JavaScript is disabled in your browser. Please enable JavaScript to view this website.
AB194859

Anti-Surfactant protein D/SP-D antibody [1.7]

Be the first to review this product! Submit a review

|

(1 Publication)

Mouse Monoclonal Surfactant protein D/SP-D antibody. Suitable for IHC-Fr and reacts with Pig samples. Cited in 1 publication. Immunogen corresponding to Cell preparation containing SFTPD protein.

View Alternative Names

Pulmonary surfactant-associated protein D, PSP-D, SP-D, Lung surfactant protein D, SFTPD

1 Images
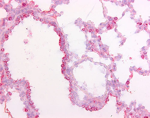
Immunohistochemistry (Frozen sections) - Anti-Surfactant protein D/SP-D antibody [1.7] (AB194859)
  • IHC-Fr

Supplier Data

Immunohistochemistry (Frozen sections) - Anti-Surfactant protein D/SP-D antibody [1.7] (AB194859)

Immunohistochemical analysis of frozen pig lung tissue labeling Surfactant protein D/SP-D with ab194859 at 1 μg/ml.

Key facts

Host species

Mouse

Clonality

Monoclonal

Clone number

1.7

Isotype

IgG1

Carrier free

No

Reacts with

Pig

Applications

IHC-Fr

applications

Immunogen

Cell preparation containing SFTPD protein. The exact immunogen used to generate this antibody is proprietary information.

Q9N1X4

Reactivity data

{ "title": "Reactivity Data", "filters": { "stats": ["", "Species", "Dilution Info", "Notes"], "tabs": { "all-applications": {"fullname" : "All Applications", "shortname": "All Applications"}, "IHCFr" : {"fullname" : "Immunohistochemistry (Frozen sections)", "shortname":"IHC-Fr"} }, "product-promise": { "all": "all", "testedAndGuaranteed": "tested", "guaranteed": "expected", "predicted": "predicted", "notRecommended": "not-recommended" } }, "values": { "Pig": { "IHCFr-species-checked": "testedAndGuaranteed", "IHCFr-species-dilution-info": "1 µg/mL", "IHCFr-species-notes": "<p></p>" } } }

Properties and storage information

Form
Liquid
Purification technique
Affinity purification Protein G
Storage buffer
Preservative: 0.09% Sodium azide Constituents: PBS
Shipped at conditions
Blue Ice
Appropriate short-term storage duration
1-2 weeks
Appropriate short-term storage conditions
+4°C
Appropriate long-term storage conditions
-20°C
Aliquoting information
Upon delivery aliquot
Storage information
Avoid freeze / thaw cycle

Supplementary information

This supplementary information is collated from multiple sources and compiled automatically.

Surfactant protein D (SP-D) also known as protein D functions as an important component of the innate immune system. It weighs around 43 kDa and is primarily expressed in pulmonary alveoli where lung cells synthesize it. SP-D belongs to the collectin family and has a C-type lectin domain that allows binding to carbohydrate structures on microbial surfaces. This ability enables SP-D to interact directly with various pathogens and infected cells targeting them for clearance. Researchers often study SP-D with 'anti-surfactant' antibodies using methods like the ELISA protocol including versions like ELISA Sp and ELISA Denise.
Biological function summary

SP-D contributes to host defense by enhancing the uptake and elimination of pathogens by immune cells such as macrophages. Part of a larger protein complex SP-D can opsonize bacteria and viruses facilitating phagocytosis. Its role extends to modulating inflammation by affecting the production of pro-inflammatory cytokines. By maintaining homeostasis in surfactant composition it indirectly supports lung function and protects against lung injury. SP-D’s function involves communication and transmission of signals within the immune system making it integral to pulmonary immune processes.

Pathways

Surfactant protein D is involved in the regulation of the complement and coagulation cascades as well as the pathogen recognition pathway. It is closely related to other collectins such as surfactant protein A (SP-A) which share similar mechanisms in the immune response. SP-D's interaction within these pathways highlights its role in identifying and neutralizing pathogens. Through its connections with related proteins SP-D plays an important part in modulating immune responses ensuring effective pathogen elimination without excessive inflammation.

SP-D has been linked with respiratory diseases such as chronic obstructive pulmonary disease (COPD) and pulmonary fibrosis. These conditions may involve impaired SP-D function or expression levels potentially due to genetic factors or environmental influences. SP-D also interacts with proteins like SP-A in these diseases participating in lung immune responses. Disrupted regulation of SP-D can contribute to chronic inflammatory states in the lungs exacerbating disease progression and leading to compromised lung function. Understanding SP-D's role in these contexts offers potential therapeutic insights for targeting pathological inflammation.

Product protocols

For this product, it's our understanding that no specific protocols are required. You can visit:

Target data

Contributes to the lung's defense against inhaled microorganisms, organic antigens and toxins. Interacts with compounds such as bacterial lipopolysaccharides, oligosaccharides and fatty acids and modulates leukocyte action in immune response. May participate in the extracellular reorganization or turnover of pulmonary surfactant. Binds strongly maltose residues and to a lesser extent other alpha-glucosyl moieties (By similarity).
See full target information SFTPD

Publications (1)

Recent publications for all applications. Explore the full list and refine your search

Immunity, inflammation and disease 13:e70163 PubMed40018991

2025

MiR-146a Reduces Inflammation in Experimental Pancreatitis via the TRAF6-NF-κB Signaling Pathway in Mice.

Applications

Unspecified application

Species

Unspecified reactive species

Xiaoyu Yang,Yuping Ren,Xueyang Li,Liang Xia,Jianhua Wan
View all publications

Product promise

We are committed to supporting your work with high-quality reagents, and we're here for you every step of the way. In the unlikely event that one of our products does not perform as expected, you're protected by our Product Promise.
For full details, please see our Terms & Conditions

Please note: All products are 'FOR RESEARCH USE ONLY. NOT FOR USE IN DIAGNOSTIC OR THERAPEUTIC PROCEDURES'.

For licensing inquiries, please contact partnerships@abcam.com