JavaScript is disabled in your browser. Please enable JavaScript to view this website.
AB220422

Anti-Surfactant protein D/SP-D antibody [EPR21774-153]

Be the first to review this product! Submit a review

|

(14 Publications)

Rabbit Recombinant Monoclonal Surfactant protein D/SP-D antibody. Suitable for IHC-P, WB, IHC-Fr and reacts with Rat, Mouse, Recombinant full length protein - Mouse samples. Cited in 14 publications.

View Alternative Names

Sftp4, Sftpd, Pulmonary surfactant-associated protein D, PSP-D, SP-D, Lung surfactant protein D

5 Images
Immunohistochemistry (Formalin/PFA-fixed paraffin-embedded sections) - Anti-Surfactant protein D/SP-D antibody [EPR21774-153] (AB220422)
  • IHC-P

Supplier Data

Immunohistochemistry (Formalin/PFA-fixed paraffin-embedded sections) - Anti-Surfactant protein D/SP-D antibody [EPR21774-153] (AB220422)

Negative control : no staining on rat skeletal muscle (PMID : 10640760).

Immunohistochemical analysis of paraffin-embedded rat skeletal muscle tissue labeling Surfactant protein D/SP-D with ab220422 at 1/5000 dilution, followed by Goat Anti-Rabbit IgG H&L (HRP) ready to use. Counter stained with Hematoxylin.

Secondary antibody only control : Used PBS instead of primary antibody, secondary antibody is Goat Anti-Rabbit IgG H&L (HRP) ready to use.

Perform heat mediated antigen retrieval using citrate buffer, pH 6.0.

Immunohistochemistry (Frozen sections) - Anti-Surfactant protein D/SP-D antibody [EPR21774-153] (AB220422)
  • IHC-Fr

Supplier Data

Immunohistochemistry (Frozen sections) - Anti-Surfactant protein D/SP-D antibody [EPR21774-153] (AB220422)

Immunohistochemical analysis of frozen sectioned 4% paraformaldehyde-fixed, 0.2% Triton X-100 permeabilized rat lung tissue labeling Surfactant protein D/SP-D with ab220422 at 1/500 dilution, followed by Goat Anti-Rabbit IgG H&L (Alexa Fluor® 488) (ab150077) at 1/1000 dilution (green). Cytoplasmic staining in Clara cells and alveolar type II cells of rat lung (PMID : 2049389) is observed. The nuclear counter stain is DAPI (blue).

Secondary antibody only control : Used PBS instead of primary antibody, secondary antibody is Goat Anti-Rabbit IgG H&L (Alexa Fluor® 488) (ab150077) at 1/1000 dilution.

Perform heat-mediated antigen retrieval by using Tris-EDTA buffer (pH 9.0).

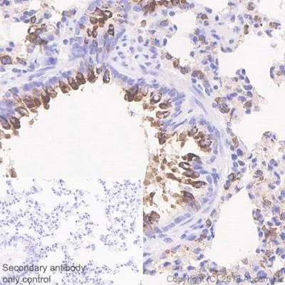
Immunohistochemistry (Formalin/PFA-fixed paraffin-embedded sections) - Anti-Surfactant protein D/SP-D antibody [EPR21774-153] (AB220422)
  • IHC-P

Supplier Data

Immunohistochemistry (Formalin/PFA-fixed paraffin-embedded sections) - Anti-Surfactant protein D/SP-D antibody [EPR21774-153] (AB220422)

Immunohistochemical analysis of paraffin-embedded rat lung tissue labeling Surfactant protein D/SP-D with ab220422 at 1/5000 dilution, followed by Goat Anti-Rabbit IgG H&L (HRP) ready to use. Cytoplasmic staining in Clara cells and alveolar type II cells of rat lung (PMID : 10820266) is observed. Counter stained with Hematoxylin.

Secondary antibody only control : Used PBS instead of primary antibody, secondary antibody is Goat Anti-Rabbit IgG H&L (HRP) ready to use.

Perform heat mediated antigen retrieval using citrate buffer, pH 6.0.

Western blot - Anti-Surfactant protein D/SP-D antibody [EPR21774-153] (AB220422)
  • WB

Supplier Data

Western blot - Anti-Surfactant protein D/SP-D antibody [EPR21774-153] (AB220422)

Blocking and dilution buffer : 5% NFDM/TBST.

Exposure times.

Lane 1 : 8 seconds.

Lane 2 : 26 seconds.

The molecular mass observed is consistent with what has been described in the literature (PMID : 9751757, PMID : 23390139).

All lanes:

Western blot - Anti-Surfactant protein D/SP-D antibody [EPR21774-153] (ab220422) at 1/1000 dilution

Lane 1:

Mouse lung tissue lysate at 20 µg

Lane 2:

Rat lung tissue lysate at 20 µg

Secondary

All lanes:

Western blot - Goat Anti-Rabbit IgG H&L (HRP) (<a href='/en-us/products/secondary-antibodies/goat-rabbit-igg-h-l-hrp-ab97051'>ab97051</a>) at 1/20000 dilution

Predicted band size: 38 kDa

Observed band size: 43 kDa

true

Western blot - Anti-Surfactant protein D/SP-D antibody [EPR21774-153] (AB220422)
  • WB

Supplier Data

Western blot - Anti-Surfactant protein D/SP-D antibody [EPR21774-153] (AB220422)

Blocking and dilution buffer : 5% NFDM/TBST.

Recombinant protein was obtained from a mammalian expression system.

All lanes:

Western blot - Anti-Surfactant protein D/SP-D antibody [EPR21774-153] (ab220422) at 1/1000 dilution

All lanes:

Mouse Surfactant protein D/SP-D recombinant protein (aa 1-374) at 0.01 µg

Secondary

All lanes:

Western blot - Goat Anti-Rabbit IgG H&L (HRP) (<a href='/en-us/products/secondary-antibodies/goat-rabbit-igg-h-l-hrp-ab97051'>ab97051</a>) at 1/100000 dilution

Predicted band size: 38 kDa

Observed band size: 50 kDa

true

Exposure time: 15s

  • Carrier free

    Anti-Surfactant protein D/SP-D antibody [EPR21774-153] - BSA and Azide free

Key facts

Host species

Rabbit

Clonality

Monoclonal

Clone number

EPR21774-153

Isotype

IgG

Carrier free

No

Reacts with

Mouse, Rat

Applications

IHC-P, WB, IHC-Fr

applications

Immunogen

The exact immunogen used to generate this antibody is proprietary information.

Specificity

The Mouse species recommendation is based on the WB results. We do not guarantee IHC for Mouse.

Reactivity data

{ "title": "Reactivity Data", "filters": { "stats": ["", "Species", "Dilution Info", "Notes"], "tabs": { "all-applications": {"fullname" : "All Applications", "shortname": "All Applications"}, "IHCP" : {"fullname" : "Immunohistochemistry (Formalin/PFA-fixed paraffin-embedded sections)", "shortname":"IHC-P"}, "WB" : {"fullname" : "Western blot", "shortname":"WB"}, "IHCFr" : {"fullname" : "Immunohistochemistry (Frozen sections)", "shortname":"IHC-Fr"} }, "product-promise": { "all": "all", "testedAndGuaranteed": "tested", "guaranteed": "expected", "predicted": "predicted", "notRecommended": "not-recommended" } }, "values": { "Mouse": { "IHCP-species-checked": "guaranteed", "IHCP-species-dilution-info": "", "IHCP-species-notes": "", "WB-species-checked": "testedAndGuaranteed", "WB-species-dilution-info": "1/1000", "WB-species-notes": "<p></p>", "IHCFr-species-checked": "guaranteed", "IHCFr-species-dilution-info": "", "IHCFr-species-notes": "" }, "Rat": { "IHCP-species-checked": "testedAndGuaranteed", "IHCP-species-dilution-info": "1/5000", "IHCP-species-notes": "<p>The Mouse species recommendation is based on the WB results. We do not guarantee IHC-P for Mouse.</p>", "WB-species-checked": "testedAndGuaranteed", "WB-species-dilution-info": "1/1000", "WB-species-notes": "<p></p>", "IHCFr-species-checked": "testedAndGuaranteed", "IHCFr-species-dilution-info": "1/500", "IHCFr-species-notes": "<p>Perform heat-mediated antigen retrieval by using Tris-EDTA buffer (pH 9.0).</p><p>The Mouse species recommendation is based on the WB results. We do not guarantee IHC-F for Mouse.</p>" }, "Recombinant full length protein - Mouse": { "IHCP-species-checked": "notRecommended", "IHCP-species-dilution-info": "", "IHCP-species-notes": "", "WB-species-checked": "testedAndGuaranteed", "WB-species-dilution-info": "1/1000", "WB-species-notes": "<p></p>", "IHCFr-species-checked": "notRecommended", "IHCFr-species-dilution-info": "", "IHCFr-species-notes": "" } } }

Product details

Patented technology
Our RabMAb® technology is a patented hybridoma-based technology for making rabbit monoclonal antibodies. For details on our patents, please refer to RabMAb® patents.

What are the advantages of a recombinant monoclonal antibody?
This product is a recombinant monoclonal antibody, which offers several advantages including:

  • - High batch-to-batch consistency and reproducibility
  • - Improved sensitivity and specificity
  • - Long-term security of supply
  • - Animal-free batch production

For more information, read more on recombinant antibodies.

Properties and storage information

Form
Liquid
Purification technique
Affinity purification Protein A
Storage buffer
pH: 7.2 - 7.4 Preservative: 0.01% Sodium azide Constituents: PBS, 40% Glycerol (glycerin, glycerine), 0.05% BSA
Shipped at conditions
Blue Ice
Appropriate short-term storage duration
1-2 weeks
Appropriate short-term storage conditions
+4°C
Appropriate long-term storage conditions
-20°C
Aliquoting information
Upon delivery aliquot
Storage information
Avoid freeze / thaw cycle

Supplementary information

This supplementary information is collated from multiple sources and compiled automatically.

Surfactant protein D (SP-D) also known as protein D functions as an important component of the innate immune system. It weighs around 43 kDa and is primarily expressed in pulmonary alveoli where lung cells synthesize it. SP-D belongs to the collectin family and has a C-type lectin domain that allows binding to carbohydrate structures on microbial surfaces. This ability enables SP-D to interact directly with various pathogens and infected cells targeting them for clearance. Researchers often study SP-D with 'anti-surfactant' antibodies using methods like the ELISA protocol including versions like ELISA Sp and ELISA Denise.
Biological function summary

SP-D contributes to host defense by enhancing the uptake and elimination of pathogens by immune cells such as macrophages. Part of a larger protein complex SP-D can opsonize bacteria and viruses facilitating phagocytosis. Its role extends to modulating inflammation by affecting the production of pro-inflammatory cytokines. By maintaining homeostasis in surfactant composition it indirectly supports lung function and protects against lung injury. SP-D’s function involves communication and transmission of signals within the immune system making it integral to pulmonary immune processes.

Pathways

Surfactant protein D is involved in the regulation of the complement and coagulation cascades as well as the pathogen recognition pathway. It is closely related to other collectins such as surfactant protein A (SP-A) which share similar mechanisms in the immune response. SP-D's interaction within these pathways highlights its role in identifying and neutralizing pathogens. Through its connections with related proteins SP-D plays an important part in modulating immune responses ensuring effective pathogen elimination without excessive inflammation.

SP-D has been linked with respiratory diseases such as chronic obstructive pulmonary disease (COPD) and pulmonary fibrosis. These conditions may involve impaired SP-D function or expression levels potentially due to genetic factors or environmental influences. SP-D also interacts with proteins like SP-A in these diseases participating in lung immune responses. Disrupted regulation of SP-D can contribute to chronic inflammatory states in the lungs exacerbating disease progression and leading to compromised lung function. Understanding SP-D's role in these contexts offers potential therapeutic insights for targeting pathological inflammation.

Product protocols

For this product, it's our understanding that no specific protocols are required. You can visit:

Target data

Contributes to the lung's defense against inhaled microorganisms, organic antigens and toxins. Interacts with compounds such as bacterial lipopolysaccharides, oligosaccharides and fatty acids and modulates leukocyte action in immune response. May participate in the extracellular reorganization or turnover of pulmonary surfactant. Binds strongly maltose residues and to a lesser extent other alpha-glucosyl moieties.
See full target information Sftpd

Publications (14)

Recent publications for all applications. Explore the full list and refine your search

Frontiers in pharmacology 16:1590096 PubMed40406492

2025

Rutin ameliorates LPS-induced acute lung injury in mice by inhibiting the cGAS-STING-NLRP3 signaling pathway.

Applications

Unspecified application

Species

Unspecified reactive species

Xin Zhou,Zhibin Wang,Yuting Wang,Guofeng Xu,Min Luo,Mengwei Zhang,Yuying Li

Fundamental & clinical pharmacology 39:e70014 PubMed40325971

2025

Insights into nanostructured lipid carriers of etoricoxib for mitigating radiation-induced lung inflammation and exploring anti-inflammatory mechanisms in rats.

Applications

Unspecified application

Species

Unspecified reactive species

Sahar Khateeb,Amal I Hassan

Molecular medicine (Cambridge, Mass.) 31:161 PubMed40307686

2025

Surfactant protein D alleviates chondrocytes senescence by upregulating SIRT3/SOD2 pathway in osteoarthritis.

Applications

Unspecified application

Species

Unspecified reactive species

Huanyu Jiang,Yantao Zhang,Piyao Ji,Jianghua Ming,Yaming Li,Yan Zhou

International journal of chronic obstructive pulmonary disease 19:33-50 PubMed38197032

2024

Abhd2, a Candidate Gene Regulating Airway Remodeling in COPD via TGF-β.

Applications

Unspecified application

Species

Unspecified reactive species

Mei-Yu Lv,Ling-Ling Jin,Xi-Qiao Sang,Wen-Chao Shi,Li-Xia Qiang,Qing-Yan Lin,Shou-De Jin

International journal of nanomedicine 18:641-657 PubMed36789391

2023

Gestational Diabetes Mellitus Impedes Fetal Lung Development Through Exosome-Dependent Crosstalk Between Trophoblasts and Lung Epithelial Cells.

Applications

Unspecified application

Species

Unspecified reactive species

Pengzheng Chen,Mengqi Gu,Shuting Wan,Xiaotong Jiang,Fengyuan Zhang,Yuchen Li,Qian Zhou,Yuan Lu,Lei Li,Xietong Wang

Journal of orthopaedic surgery and research 17:572 PubMed36578051

2022

TSG-6 inhibits IL-1β-induced inflammatory responses and extracellular matrix degradation in nucleus pulposus cells by activating the PI3K/Akt signaling pathway.

Applications

Unspecified application

Species

Unspecified reactive species

Bing Wu,Xiaojin Guo,Xiujie Yan,Zikai Tian,Wei Jiang,Xin He

Allergologia et immunopathologia 50:176-186 PubMed36335462

2022

Dimethyl itaconate inhibits LPS-induced inflammatory release and apoptosis in alveolar type II epithelial and bronchial epithelial cells by activating pulmonary surfactant proteins A and D.

Applications

Unspecified application

Species

Unspecified reactive species

Yun Shi,Huai-Qing Yin

Frontiers in immunology 13:913901 PubMed35865531

2022

Innate/Inflammatory Bioregulation of Surfactant Protein D Alleviates Rat Osteoarthritis by Inhibiting Toll-Like Receptor 4 Signaling.

Applications

Unspecified application

Species

Unspecified reactive species

Huanyu Jiang,Yubiao Zhang,Geliang Hu,Xiaobin Shang,Jianghua Ming,Ming Deng,Yaming Li,Yonggang Ma,Shiqing Liu,Yan Zhou

International journal of chronic obstructive pulmonary disease 17:1537-1552 PubMed35811742

2022

Complex Evaluation of Surfactant Protein A and D as Biomarkers for the Severity of COPD.

Applications

Unspecified application

Species

Unspecified reactive species

Mei-Yu Lv,Li-Xia Qiang,Bao-Cai Wang,Yue-Peng Zhang,Zhi-Heng Li,Xiang-Shun Li,Ling-Ling Jin,Shou-De Jin

Journal of immunology (Baltimore, Md. : 1950) 206:1923-1931 PubMed33722877

2021

Neutrophils and IL-1α Regulate Surfactant Homeostasis during Cigarette Smoking.

Applications

Unspecified application

Species

Unspecified reactive species

Nadia Milad,Marie Pineault,Ariane Lechasseur,Joanie Routhier,Marie-Josée Beaulieu,Sophie Aubin,Mathieu C Morissette
View all publications

Product promise

We are committed to supporting your work with high-quality reagents, and we're here for you every step of the way. In the unlikely event that one of our products does not perform as expected, you're protected by our Product Promise.
For full details, please see our Terms & Conditions

Please note: All products are 'FOR RESEARCH USE ONLY. NOT FOR USE IN DIAGNOSTIC OR THERAPEUTIC PROCEDURES'.

For licensing inquiries, please contact partnerships@abcam.com