JavaScript is disabled in your browser. Please enable JavaScript to view this website.
AB234260

Anti-Surfactant protein D/SP-D antibody [EPR21774-153] - BSA and Azide free

Be the first to review this product! Submit a review

|

(1 Publication)

Rabbit Recombinant Monoclonal Surfactant protein D/SP-D antibody. Carrier free. Suitable for IHC-P, WB, IHC-Fr and reacts with Rat, Recombinant fragment, Mouse samples. Cited in 1 publication.

View Alternative Names

Sftp4, Sftpd, Pulmonary surfactant-associated protein D, PSP-D, SP-D, Lung surfactant protein D

3 Images
Immunohistochemistry (Formalin/PFA-fixed paraffin-embedded sections) - Anti-Surfactant protein D/SP-D antibody [EPR21774-153] - BSA and Azide free (AB234260)
  • IHC-P

Supplier Data

Immunohistochemistry (Formalin/PFA-fixed paraffin-embedded sections) - Anti-Surfactant protein D/SP-D antibody [EPR21774-153] - BSA and Azide free (AB234260)

Negative control : no staining on rat skeletal muscle (PMID : 10640760).

Immunohistochemical analysis of paraffin-embedded rat skeletal muscle tissue labeling Surfactant protein D/SP-D with ab220422 at 1/5000 dilution, followed by Goat Anti-Rabbit IgG H&L (HRP) ready to use. Counter stained with Hematoxylin.

Secondary antibody only control : Used PBS instead of primary antibody, secondary antibody is Goat Anti-Rabbit IgG H&L (HRP) ready to use.

Perform heat mediated antigen retrieval using citrate buffer, pH 6.0.

This data was developed using the same antibody clone in a different buffer formulation containing PBS, BSA, glycerol, and sodium azide (ab220422).

Immunohistochemistry (Frozen sections) - Anti-Surfactant protein D/SP-D antibody [EPR21774-153] - BSA and Azide free (AB234260)
  • IHC-Fr

Supplier Data

Immunohistochemistry (Frozen sections) - Anti-Surfactant protein D/SP-D antibody [EPR21774-153] - BSA and Azide free (AB234260)

Immunohistochemical analysis of frozen sectioned 4% paraformaldehyde-fixed, 0.2% Triton X-100 permeabilized rat lung tissue labeling Surfactant protein D/SP-D with ab220422 at 1/500 dilution, followed by Goat Anti-Rabbit IgG H&L (Alexa Fluor® 488) (ab150077) at 1/1000 dilution (green). Cytoplasmic staining in Clara cells and alveolar type II cells of rat lung (PMID : 2049389) is observed. The nuclear counter stain is DAPI (blue).

Secondary antibody only control : Used PBS instead of primary antibody, secondary antibody is Goat Anti-Rabbit IgG H&L (Alexa Fluor® 488) (ab150077) at 1/1000 dilution.

Perform heat-mediated antigen retrieval by using Tris-EDTA buffer (pH 9.0).

This data was developed using the same antibody clone in a different buffer formulation containing PBS, BSA, glycerol, and sodium azide (ab220422).

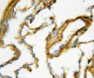
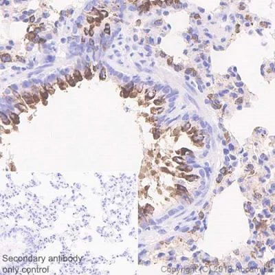
Immunohistochemistry (Formalin/PFA-fixed paraffin-embedded sections) - Anti-Surfactant protein D/SP-D antibody [EPR21774-153] - BSA and Azide free (AB234260)
  • IHC-P

Supplier Data

Immunohistochemistry (Formalin/PFA-fixed paraffin-embedded sections) - Anti-Surfactant protein D/SP-D antibody [EPR21774-153] - BSA and Azide free (AB234260)

Immunohistochemical analysis of paraffin-embedded rat lung tissue labeling Surfactant protein D/SP-D with ab220422 at 1/5000 dilution, followed by Goat Anti-Rabbit IgG H&L (HRP) ready to use. Cytoplasmic staining in Clara cells and alveolar type II cells of rat lung (PMID : 10820266) is observed. Counter stained with Hematoxylin.

Secondary antibody only control : Used PBS instead of primary antibody, secondary antibody is Goat Anti-Rabbit IgG H&L (HRP) ready to use.

Perform heat mediated antigen retrieval using citrate buffer, pH 6.0.

This data was developed using the same antibody clone in a different buffer formulation containing PBS, BSA, glycerol, and sodium azide (ab220422).

Key facts

Host species

Rabbit

Clonality

Monoclonal

Clone number

EPR21774-153

Isotype

IgG

Carrier free

Yes

Reacts with

Mouse, Rat

Applications

IHC-Fr, WB, IHC-P

applications

Immunogen

The exact immunogen used to generate this antibody is proprietary information.

Specificity

The Mouse species recommendation is based on the WB results. We do not guarantee IHC for Mouse.

Reactivity data

{ "title": "Reactivity Data", "filters": { "stats": ["", "Species", "Dilution Info", "Notes"], "tabs": { "all-applications": {"fullname" : "All Applications", "shortname": "All Applications"}, "IHCP" : {"fullname" : "Immunohistochemistry (Formalin/PFA-fixed paraffin-embedded sections)", "shortname":"IHC-P"}, "WB" : {"fullname" : "Western blot", "shortname":"WB"}, "IHCFr" : {"fullname" : "Immunohistochemistry (Frozen sections)", "shortname":"IHC-Fr"} }, "product-promise": { "all": "all", "testedAndGuaranteed": "tested", "guaranteed": "expected", "predicted": "predicted", "notRecommended": "not-recommended" } }, "values": { "Mouse": { "IHCP-species-checked": "predicted", "IHCP-species-dilution-info": "", "IHCP-species-notes": "", "WB-species-checked": "guaranteed", "WB-species-dilution-info": "", "WB-species-notes": "<p></p>", "IHCFr-species-checked": "predicted", "IHCFr-species-dilution-info": "", "IHCFr-species-notes": "" }, "Rat": { "IHCP-species-checked": "testedAndGuaranteed", "IHCP-species-dilution-info": "", "IHCP-species-notes": "<p></p>", "WB-species-checked": "guaranteed", "WB-species-dilution-info": "", "WB-species-notes": "<p></p>", "IHCFr-species-checked": "testedAndGuaranteed", "IHCFr-species-dilution-info": "", "IHCFr-species-notes": "<p>Perform heat-mediated antigen retrieval by using Tris-EDTA buffer (pH 9.0).</p>" }, "Recombinant fragment": { "IHCP-species-checked": "notRecommended", "IHCP-species-dilution-info": "", "IHCP-species-notes": "", "WB-species-checked": "guaranteed", "WB-species-dilution-info": "", "WB-species-notes": "<p></p>", "IHCFr-species-checked": "notRecommended", "IHCFr-species-dilution-info": "", "IHCFr-species-notes": "" } } }

Product details

ab234260 is the carrier-free version of ab220422.

Patented technology
Our RabMAb® technology is a patented hybridoma-based technology for making rabbit monoclonal antibodies. For details on our patents, please refer to RabMAb® patents.

What are the advantages of a recombinant monoclonal antibody?
This product is a recombinant monoclonal antibody, which offers several advantages including:

  • - High batch-to-batch consistency and reproducibility
  • - Improved sensitivity and specificity
  • - Long-term security of supply
  • - Animal-free batch production

For more information, read more on recombinant antibodies.

Conjugation ready
Our carrier-free antibodies are typically supplied in a PBS-only formulation, purified and free of BSA, sodium azide and glycerol. This conjugation-ready format is designed for use with fluorochromes, metal isotopes, oligonucleotides, and enzymes, which makes them ideal for antibody labelling, functional and cell-based assays, flow-based assays (e.g. mass cytometry) and Multiplex Imaging applications.

Use our conjugation kits for antibody conjugates that are ready-to-use in as little as 20 minutes with 1 minute hands-on-time and 100% antibody recovery: available for fluorescent dyes, HRP, biotin and gold.

Compatibility
This product is compatible with the Maxpar® Antibody Labeling Kit from Fluidigm, without the need for antibody preparation. Maxpar® is a trademark of Fluidigm Canada Inc.

Properties and storage information

Form
Liquid
Purification technique
Affinity purification Protein A
Storage buffer
pH: 7.2 - 7.4 Constituents: PBS
Shipped at conditions
Blue Ice
Appropriate short-term storage conditions
+4°C
Appropriate long-term storage conditions
+4°C
Storage information
Do Not Freeze

Supplementary information

This supplementary information is collated from multiple sources and compiled automatically.

Surfactant protein D (SP-D) also known as protein D functions as an important component of the innate immune system. It weighs around 43 kDa and is primarily expressed in pulmonary alveoli where lung cells synthesize it. SP-D belongs to the collectin family and has a C-type lectin domain that allows binding to carbohydrate structures on microbial surfaces. This ability enables SP-D to interact directly with various pathogens and infected cells targeting them for clearance. Researchers often study SP-D with 'anti-surfactant' antibodies using methods like the ELISA protocol including versions like ELISA Sp and ELISA Denise.
Biological function summary

SP-D contributes to host defense by enhancing the uptake and elimination of pathogens by immune cells such as macrophages. Part of a larger protein complex SP-D can opsonize bacteria and viruses facilitating phagocytosis. Its role extends to modulating inflammation by affecting the production of pro-inflammatory cytokines. By maintaining homeostasis in surfactant composition it indirectly supports lung function and protects against lung injury. SP-D’s function involves communication and transmission of signals within the immune system making it integral to pulmonary immune processes.

Pathways

Surfactant protein D is involved in the regulation of the complement and coagulation cascades as well as the pathogen recognition pathway. It is closely related to other collectins such as surfactant protein A (SP-A) which share similar mechanisms in the immune response. SP-D's interaction within these pathways highlights its role in identifying and neutralizing pathogens. Through its connections with related proteins SP-D plays an important part in modulating immune responses ensuring effective pathogen elimination without excessive inflammation.

SP-D has been linked with respiratory diseases such as chronic obstructive pulmonary disease (COPD) and pulmonary fibrosis. These conditions may involve impaired SP-D function or expression levels potentially due to genetic factors or environmental influences. SP-D also interacts with proteins like SP-A in these diseases participating in lung immune responses. Disrupted regulation of SP-D can contribute to chronic inflammatory states in the lungs exacerbating disease progression and leading to compromised lung function. Understanding SP-D's role in these contexts offers potential therapeutic insights for targeting pathological inflammation.

Product protocols

For this product, it's our understanding that no specific protocols are required. You can visit:

Target data

Contributes to the lung's defense against inhaled microorganisms, organic antigens and toxins. Interacts with compounds such as bacterial lipopolysaccharides, oligosaccharides and fatty acids and modulates leukocyte action in immune response. May participate in the extracellular reorganization or turnover of pulmonary surfactant. Binds strongly maltose residues and to a lesser extent other alpha-glucosyl moieties.
See full target information Sftpd

Publications (1)

Recent publications for all applications. Explore the full list and refine your search

Bone & joint research 10:328-339 PubMed34024119

2021

Extracellular vesicles derived from mesenchymal stem cells containing microRNA-381 protect against spinal cord injury in a rat model via the BRD4/WNT5A axis.

Applications

Unspecified application

Species

Unspecified reactive species

Xufeng Jia,Guangping Huang,Shaohua Wang,Miao Long,Xiaojun Tang,Daxiong Feng,Qingzhong Zhou
View all publications

Product promise

We are committed to supporting your work with high-quality reagents, and we're here for you every step of the way. In the unlikely event that one of our products does not perform as expected, you're protected by our Product Promise.
For full details, please see our Terms & Conditions

Please note: All products are 'FOR RESEARCH USE ONLY. NOT FOR USE IN DIAGNOSTIC OR THERAPEUTIC PROCEDURES'.

For licensing inquiries, please contact partnerships@abcam.com