JavaScript is disabled in your browser. Please enable JavaScript to view this website.
AB220423

Anti-Surfactant protein D/SP-D antibody [EPR21928-209]

  • BOND RX™ Validated
  • 20ul selling size
  • RabMAb
  • Advanced Validation
  • Recombinant
  • What is this?

Be the first to review this product! Submit a review

|

(1 Publication)

Rabbit Recombinant Monoclonal Surfactant protein D/SP-D antibody. Suitable for IP, WB, IHC-P, mIHC and reacts with Human, Recombinant fragment - Human samples. Cited in 1 publication.

View Alternative Names

COLEC7, PSPD, SFTP4, SFTPD, Pulmonary surfactant-associated protein D, PSP-D, SP-D, Collectin-7, Lung surfactant protein D

6 Images
Immunohistochemistry (Formalin/PFA-fixed paraffin-embedded sections) - Anti-Surfactant protein D/SP-D antibody [EPR21928-209] (AB220423)
  • IHC-P

Supplier Data

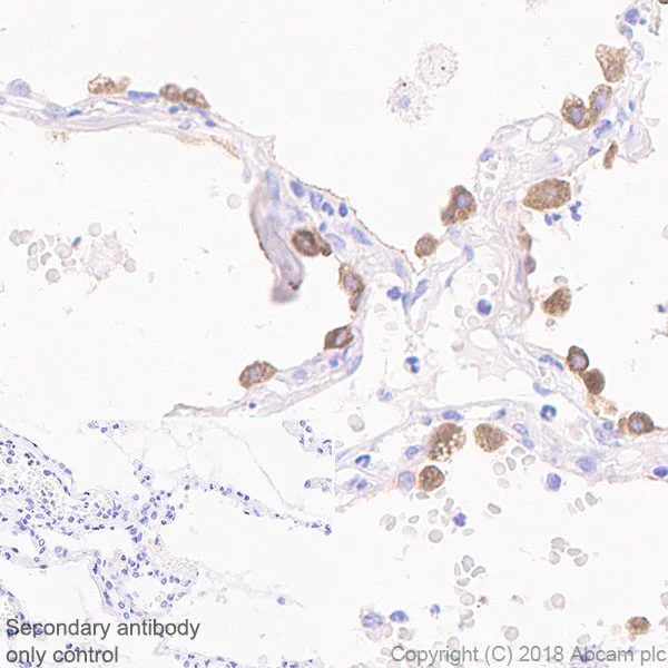
Immunohistochemistry (Formalin/PFA-fixed paraffin-embedded sections) - Anti-Surfactant protein D/SP-D antibody [EPR21928-209] (AB220423)

Immunohistochemical analysis of paraffin-embedded human lung tissue labeling Surfactant protein D/SP-D with ab220423 at 1/500 dilution, followed by a ready to use Goat Anti-Rabbit IgG H&L (HRP). Cytoplasmic staining on alveolar type II cells of human lung (PMID : 10820266) is observed. Counter stained with Hematoxylin.
Secondary antibody only control : Used PBS instead of primary antibody, secondary antibody is a ready to use Goat Anti-Rabbit IgG H&L (HRP).
Perform heat mediated antigen retrieval using ab93684 (Tris/EDTA buffer, pH 9.0).

Immunohistochemistry (Formalin/PFA-fixed paraffin-embedded sections) - Anti-Surfactant protein D/SP-D antibody [EPR21928-209] (AB220423)
  • IHC-P

Supplier Data

Immunohistochemistry (Formalin/PFA-fixed paraffin-embedded sections) - Anti-Surfactant protein D/SP-D antibody [EPR21928-209] (AB220423)

Negative control : No staining on human skeletal muscle (PMID : 10640760) is observed

Immunohistochemical analysis of paraffin-embedded human skeletal muscle tissue labeling Surfactant protein D/SP-D with ab220423 at 1/5000 dilution, followed by a ready to use Goat Anti-Rabbit IgG H&L (HRP). Counter stained with Hematoxylin.

Perform heat mediated antigen retrieval using ab93684 (Tris/EDTA buffer, pH 9.0).

Multiplex immunohistochemistry - Anti-Surfactant protein D/SP-D antibody [EPR21928-209] (AB220423)
  • mIHC

Lab

Multiplex immunohistochemistry - Anti-Surfactant protein D/SP-D antibody [EPR21928-209] (AB220423)

Fluorescence multiplex immunohistochemical analysis of formalin/PFA-fixed paraffin-embedded Human lung tissue. Panel A : Merged staining of anti-Podoplanin / gp36 (magenta; Opal™690), anti-Surfactant protein D/SP-D (green; Opal™520) and anti-Sialoadhesin/CD169 (red; Opal™570) on human lung. Panel B : Anti-Podoplanin / gp36 stained on alveolar type I cells. Panel C : Anti-Surfactant protein D/SP-D stained on alveolar type II cells. Panel D : Anti-Sialoadhesin/CD169 stained on macrophages. The section was incubated in three rounds of staining : in the order of ab236529 and ab234257 for 30 mins, then ab245735 for 10 mins at room temperature. Each round was followed by a separate fluorescent tyramide signal amplification system. The immunostaining was performed on a Leica Biosystems BOND® RX instrument with an Opal™ 4-color kit. Image acquisition was performed with Leica SP8 confocal microscope. Heat mediated antigen retrieval with Tris-EDTA buffer (pH 9.0, epitope retrieval solution 2) for 20 mins. Counterstained with DAPI.

Western blot - Anti-Surfactant protein D/SP-D antibody [EPR21928-209] (AB220423)
  • WB

Supplier Data

Western blot - Anti-Surfactant protein D/SP-D antibody [EPR21928-209] (AB220423)

Blocking/Dilution buffer : 5% NFDM/TBST.

The molecular mass observed is consistent with what has been described in the literature (PMID : 9751757).

All lanes:

Western blot - Anti-Surfactant protein D/SP-D antibody [EPR21928-209] (ab220423) at 1/1000 dilution

All lanes:

Human lung lysate at 20 µg

Secondary

All lanes:

Western blot - Goat Anti-Rabbit IgG H&L (HRP) (<a href='/en-us/products/secondary-antibodies/goat-rabbit-igg-h-l-hrp-ab97051'>ab97051</a>) at 1/20000 dilution

Predicted band size: 38 kDa

Observed band size: 43 kDa

true

Exposure time: 3min

Immunoprecipitation - Anti-Surfactant protein D/SP-D antibody [EPR21928-209] (AB220423)
  • IP

Supplier Data

Immunoprecipitation - Anti-Surfactant protein D/SP-D antibody [EPR21928-209] (AB220423)

Surfactant protein D/SP-D was immunoprecipitated from 0.35 mg human fetal lung lysate with ab220423 at 1/30 dilution. Western blot was performed from the immunoprecipitate using ab220423 at 1/1000 dilution. VeriBlot for IP Detection Reagent (HRP) (ab131366), was used for detection at 1/5000 dilution.
Lane 1 : Human fetal lung lysate 10 μg (Input).
Lane 2 : ab220423 IP in human fetal lung lysate.
Lane 3 : Rabbit monoclonal IgG (ab172730) instead of ab220423 in human fetal lung lysate.
Blocking/Dilution buffer and concentration : 5% NFDM/TBST.
Exposure time : 3 minutes.

The molecular mass observed is consistent with what has been described in the literature (PMID : 9751757).

All lanes:

Immunoprecipitation - Anti-Surfactant protein D/SP-D antibody [EPR21928-209] (ab220423)

Predicted band size: 38 kDa

Observed band size: 43 kDa

false

Western blot - Anti-Surfactant protein D/SP-D antibody [EPR21928-209] (AB220423)
  • WB

Supplier Data

Western blot - Anti-Surfactant protein D/SP-D antibody [EPR21928-209] (AB220423)

Blocking/Dilution buffer : 5% NFDM/TBST.

Recombinant protein was obtained from a mammalian expression system.

All lanes:

Western blot - Anti-Surfactant protein D/SP-D antibody [EPR21928-209] (ab220423) at 1/1000 dilution

All lanes:

Human Surfactant protein D/SP-D recombinant protein (aa 21-375), 10 ng

Secondary

All lanes:

Western blot - Goat Anti-Rabbit IgG H&L (HRP) (<a href='/en-us/products/secondary-antibodies/goat-rabbit-igg-h-l-hrp-ab97051'>ab97051</a>) at 1/100000 dilution

Predicted band size: 38 kDa

false

Exposure time: 32s

Key facts

Host species

Rabbit

Clonality

Monoclonal

Clone number

EPR21928-209

Isotype

IgG

Carrier free

No

Reacts with

Human

Applications

IHC-P, mIHC, IP, WB

applications

Immunogen

The exact immunogen used to generate this antibody is proprietary information.

Reactivity data

{ "title": "Reactivity Data", "filters": { "stats": ["", "Species", "Dilution Info", "Notes"], "tabs": { "all-applications": {"fullname" : "All Applications", "shortname": "All Applications"}, "IP" : {"fullname" : "Immunoprecipitation", "shortname":"IP"}, "WB" : {"fullname" : "Western blot", "shortname":"WB"}, "IHCP" : {"fullname" : "Immunohistochemistry (Formalin/PFA-fixed paraffin-embedded sections)", "shortname":"IHC-P"}, "mIHC" : {"fullname" : "Multiplex immunohistochemistry", "shortname":"mIHC"} }, "product-promise": { "all": "all", "testedAndGuaranteed": "tested", "guaranteed": "expected", "predicted": "predicted", "notRecommended": "not-recommended" } }, "values": { "Human": { "IP-species-checked": "testedAndGuaranteed", "IP-species-dilution-info": "1/30", "IP-species-notes": "<p></p>", "WB-species-checked": "testedAndGuaranteed", "WB-species-dilution-info": "1/1000", "WB-species-notes": "<p></p>", "IHCP-species-checked": "testedAndGuaranteed", "IHCP-species-dilution-info": "1/500", "IHCP-species-notes": "<p></p>", "mIHC-species-checked": "testedAndGuaranteed", "mIHC-species-dilution-info": "", "mIHC-species-notes": "<p></p>" }, "Recombinant fragment - Human": { "IP-species-checked": "notRecommended", "IP-species-dilution-info": "", "IP-species-notes": "", "WB-species-checked": "testedAndGuaranteed", "WB-species-dilution-info": "1/1000", "WB-species-notes": "<p></p>", "IHCP-species-checked": "notRecommended", "IHCP-species-dilution-info": "", "IHCP-species-notes": "", "mIHC-species-checked": "notRecommended", "mIHC-species-dilution-info": "", "mIHC-species-notes": "" } } }

Product details

Patented technology
Our RabMAb® technology is a patented hybridoma-based technology for making rabbit monoclonal antibodies. For details on our patents, please refer to RabMAb® patents.

What are the advantages of a recombinant monoclonal antibody?
This product is a recombinant monoclonal antibody, which offers several advantages including:

  • - High batch-to-batch consistency and reproducibility
  • - Improved sensitivity and specificity
  • - Long-term security of supply
  • - Animal-free batch production

For more information, read more on recombinant antibodies.

Properties and storage information

Form
Liquid
Purification technique
Affinity purification Protein A
Storage buffer
pH: 7.2 - 7.4 Preservative: 0.01% Sodium azide Constituents: PBS, 40% Glycerol (glycerin, glycerine), 0.05% BSA
Shipped at conditions
Blue Ice
Appropriate short-term storage duration
1-2 weeks
Appropriate short-term storage conditions
+4°C
Appropriate long-term storage conditions
-20°C
Aliquoting information
Upon delivery aliquot
Storage information
Avoid freeze / thaw cycle

Supplementary information

This supplementary information is collated from multiple sources and compiled automatically.

Surfactant protein D (SP-D) also known as protein D functions as an important component of the innate immune system. It weighs around 43 kDa and is primarily expressed in pulmonary alveoli where lung cells synthesize it. SP-D belongs to the collectin family and has a C-type lectin domain that allows binding to carbohydrate structures on microbial surfaces. This ability enables SP-D to interact directly with various pathogens and infected cells targeting them for clearance. Researchers often study SP-D with 'anti-surfactant' antibodies using methods like the ELISA protocol including versions like ELISA Sp and ELISA Denise.
Biological function summary

SP-D contributes to host defense by enhancing the uptake and elimination of pathogens by immune cells such as macrophages. Part of a larger protein complex SP-D can opsonize bacteria and viruses facilitating phagocytosis. Its role extends to modulating inflammation by affecting the production of pro-inflammatory cytokines. By maintaining homeostasis in surfactant composition it indirectly supports lung function and protects against lung injury. SP-D’s function involves communication and transmission of signals within the immune system making it integral to pulmonary immune processes.

Pathways

Surfactant protein D is involved in the regulation of the complement and coagulation cascades as well as the pathogen recognition pathway. It is closely related to other collectins such as surfactant protein A (SP-A) which share similar mechanisms in the immune response. SP-D's interaction within these pathways highlights its role in identifying and neutralizing pathogens. Through its connections with related proteins SP-D plays an important part in modulating immune responses ensuring effective pathogen elimination without excessive inflammation.

SP-D has been linked with respiratory diseases such as chronic obstructive pulmonary disease (COPD) and pulmonary fibrosis. These conditions may involve impaired SP-D function or expression levels potentially due to genetic factors or environmental influences. SP-D also interacts with proteins like SP-A in these diseases participating in lung immune responses. Disrupted regulation of SP-D can contribute to chronic inflammatory states in the lungs exacerbating disease progression and leading to compromised lung function. Understanding SP-D's role in these contexts offers potential therapeutic insights for targeting pathological inflammation.

Product protocols

For this product, it's our understanding that no specific protocols are required. You can visit:

Target data

Contributes to the lung's defense against inhaled microorganisms, organic antigens and toxins. Interacts with compounds such as bacterial lipopolysaccharides, oligosaccharides and fatty acids and modulates leukocyte action in immune response. May participate in the extracellular reorganization or turnover of pulmonary surfactant. Binds strongly maltose residues and to a lesser extent other alpha-glucosyl moieties.
See full target information SFTPD

Publications (1)

Recent publications for all applications. Explore the full list and refine your search

Frontiers in pharmacology 16:1590096 PubMed40406492

2025

Rutin ameliorates LPS-induced acute lung injury in mice by inhibiting the cGAS-STING-NLRP3 signaling pathway.

Applications

Unspecified application

Species

Unspecified reactive species

Xin Zhou,Zhibin Wang,Yuting Wang,Guofeng Xu,Min Luo,Mengwei Zhang,Yuying Li
View all publications

Product promise

We are committed to supporting your work with high-quality reagents, and we're here for you every step of the way. In the unlikely event that one of our products does not perform as expected, you're protected by our Product Promise.
For full details, please see our Terms & Conditions

Please note: All products are 'FOR RESEARCH USE ONLY. NOT FOR USE IN DIAGNOSTIC OR THERAPEUTIC PROCEDURES'.

For licensing inquiries, please contact partnerships@abcam.com