JavaScript is disabled in your browser. Please enable JavaScript to view this website.
AB469

Anti-Survivin antibody

4

(10 Reviews)

|

(146 Publications)

Rabbit Polyclonal BIRC5 antibody. Suitable for IHC-P, IP, Flow Cyt, ELISA, WB, RIP, ICC/IF and reacts with Human, Mouse, Rat, Dog, Cat, Cow samples. Cited in 146 publications. Immunogen corresponding to Recombinant Full Length Protein corresponding to Human BIRC5.

View Alternative Names

API4, IAP4, BIRC5, Baculoviral IAP repeat-containing protein 5, Apoptosis inhibitor 4, Apoptosis inhibitor survivin

8 Images
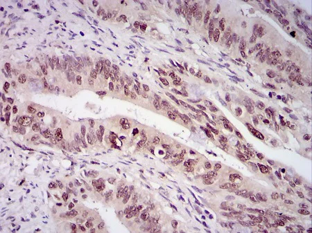
Immunohistochemistry (Formalin/PFA-fixed paraffin-embedded sections) - Anti-Survivin antibody (AB469)
  • IHC-P

Supplier Data

Immunohistochemistry (Formalin/PFA-fixed paraffin-embedded sections) - Anti-Survivin antibody (AB469)

Paraffin-embedded human rectal cancer tissue stained for Survivin using ab469 at 0.5 μg/ml in immunohistochemical analysis, using DAB with hematoxylin counterstain.

Immunocytochemistry/ Immunofluorescence - Anti-Survivin antibody (AB469)
  • ICC/IF

AbReview2567****

Immunocytochemistry/ Immunofluorescence - Anti-Survivin antibody (AB469)

HeLa cells (ab150035) in prometaphase, metaphase and anaphase stained with anti-Survivin (green), anti-tubulin (red) and DAPI (blue). These images were kindly supplied as part of the review submitted by William Moore, University of Dundee, UK.

This image is courtesy of William Moore

Immunocytochemistry/ Immunofluorescence - Anti-Survivin antibody (AB469)
  • ICC/IF

AbReview4371****

Immunocytochemistry/ Immunofluorescence - Anti-Survivin antibody (AB469)

ab469 at a 1/400 dilution staining HeLa cells by Immunocytochemistry. The antibody was incubated with the cells for 1 hour and then was detected using a Texas Red conjugated Goat anti-rabbit antibody.

This image is courtesy of an Abreview by Sandrine Ruchaud submitted on 30 March 2006.

Immunohistochemistry (Formalin/PFA-fixed paraffin-embedded sections) - Anti-Survivin antibody (AB469)
  • IHC-P

AbReview5207****

Immunohistochemistry (Formalin/PFA-fixed paraffin-embedded sections) - Anti-Survivin antibody (AB469)

ab469 staining Survivin from Human Ovarian carcionoma tumour tissue sections by Immunohistochemistry (Formalin-fixed paraffin-embedded sections). Heat mediated antigen retrieval was performed (Citrate buffer pH=6, microwave oven) and the tissue was then formaldehyde fixed and blocked (Hydrogen peroxide 0.03%). An HRP conjugated goat anti-rabbit was used as the secondary antibody.

This image is courtesy of an Abreview submitted by Dr Ben Davidson

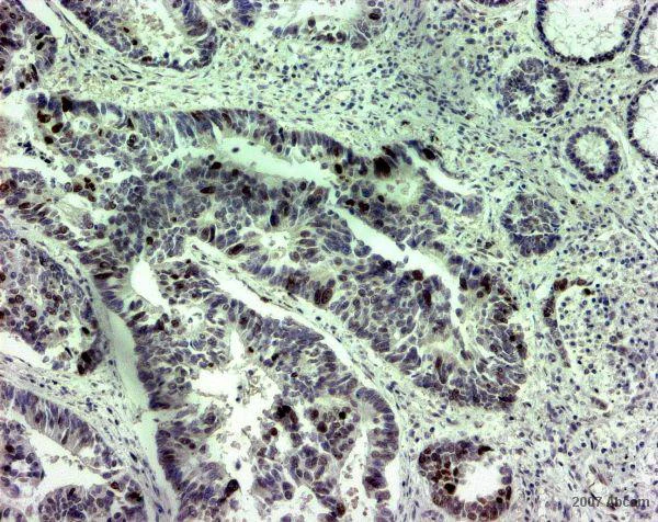
Immunohistochemistry (Formalin/PFA-fixed paraffin-embedded sections) - Anti-Survivin antibody (AB469)
  • IHC-P

AbReview6882****

Immunohistochemistry (Formalin/PFA-fixed paraffin-embedded sections) - Anti-Survivin antibody (AB469)

Paraformaldehyde-fixed, paraffin-embedded human colon carcinoma tissue stained for Survivin using ab469 at 1/500 dilution in immunohistochemical analysis.

This image is courtesy of an Abreview submitted by Mr. Rudolf Jung.

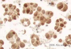
Immunocytochemistry/ Immunofluorescence - Anti-Survivin antibody (AB469)
  • ICC/IF

Supplier Data

Immunocytochemistry/ Immunofluorescence - Anti-Survivin antibody (AB469)

HeLa (human epithelial cell line from cervix adenocarcinoma) cells stained for Survivin (green) using ab469 at 1/10 dilution in ICC/IF. An Alexa Fluor 488-conjugated Goat to rabbit IgG was used as secondary antibody (green). Actin filaments were labeled with Alexa Fluor 568 phalloidin (red). DAPI was used to stain the cell nuclei (blue).

Western blot - Anti-Survivin antibody (AB469)
  • WB

Unknown

Western blot - Anti-Survivin antibody (AB469)

All lanes:

Western blot - Anti-Survivin antibody (ab469) at 1 µg/mL

Lane 1:

HeLa Nuclear at 20 µg

Lane 2:

HeLa whole cell lysate at 20 µg

Lane 3:

A431 cell lysate at 20 µg

Lane 4:

Jurkat cell lysate at 20 µg

Lane 5:

HEK293 cell lysate at 20 µg

Secondary

All lanes:

Alexa Fluor anti-rabbit at 1/5000 dilution

Predicted band size: 16 kDa

Observed band size: 18 kDa,37 kDa,50 kDa

false

Western blot - Anti-Survivin antibody (AB469)
  • WB

Supplier Data

Western blot - Anti-Survivin antibody (AB469)

All lanes:

Western blot - Anti-Survivin antibody (ab469) at 1 µg/mL

All lanes:

HeLa (human epithelial cell line from cervix adenocarcinoma) whole cell lysate at 30 µg

Predicted band size: 16 kDa,18 kDa,31 kDa,9 kDa

true

Exposure time: 1min

Key facts

Host species

Rabbit

Clonality

Polyclonal

Isotype

IgG

Carrier free

No

Reacts with

Human, Dog, Cat, Mouse, Cow, Rat

Applications

WB, IHC-P, Flow Cyt, IP, ELISA, ICC/IF, RIP

applications

Immunogen

Recombinant Full Length Protein corresponding to Human BIRC5.

O15392

Reactivity data

{ "title": "Reactivity Data", "filters": { "stats": ["", "Species", "Dilution Info", "Notes"], "tabs": { "all-applications": {"fullname" : "All Applications", "shortname": "All Applications"}, "IHCP" : {"fullname" : "Immunohistochemistry (Formalin/PFA-fixed paraffin-embedded sections)", "shortname":"IHC-P"}, "IP" : {"fullname" : "Immunoprecipitation", "shortname":"IP"}, "FlowCyt" : {"fullname" : "Flow Cytometry", "shortname":"Flow Cyt"}, "ELISA" : {"fullname" : "ELISA", "shortname":"ELISA"}, "WB" : {"fullname" : "Western blot", "shortname":"WB"}, "RIP" : {"fullname" : "RIP", "shortname":"RIP"}, "ICCIF" : {"fullname" : "Immunocytochemistry/ Immunofluorescence", "shortname":"ICC/IF"} }, "product-promise": { "all": "all", "testedAndGuaranteed": "tested", "guaranteed": "expected", "predicted": "predicted", "notRecommended": "not-recommended" } }, "values": { "Human": { "IHCP-species-checked": "testedAndGuaranteed", "IHCP-species-dilution-info": "0.5 µg/mL", "IHCP-species-notes": "<p></p>", "IP-species-checked": "guaranteed", "IP-species-dilution-info": "", "IP-species-notes": "<p>Recommended to use at 5-7 μg/ml.</p>", "FlowCyt-species-checked": "guaranteed", "FlowCyt-species-dilution-info": "", "FlowCyt-species-notes": "<p><a href='/en-us/products/primary-antibodies/rabbit-igg-polyclonal-isotype-control-chip-grade-ab171870'>ab171870</a> - Rabbit polyclonal IgG, is suitable for use as an isotype control with this antibody.</p>", "ELISA-species-checked": "guaranteed", "ELISA-species-dilution-info": "", "ELISA-species-notes": "<p></p>", "WB-species-checked": "testedAndGuaranteed", "WB-species-dilution-info": "1 µg/mL", "WB-species-notes": "<p>Found to work at 1/5000 dilution.</p>", "RIP-species-checked": "guaranteed", "RIP-species-dilution-info": "", "RIP-species-notes": "<p></p>", "ICCIF-species-checked": "testedAndGuaranteed", "ICCIF-species-dilution-info": "1/250", "ICCIF-species-notes": "<p>See Abreview by William Moore; fix with formaldehyde.</p>" }, "Mouse": { "IHCP-species-checked": "predicted", "IHCP-species-dilution-info": "", "IHCP-species-notes": "", "IP-species-checked": "guaranteed", "IP-species-dilution-info": "", "IP-species-notes": "<p>Recommended to use at 5-7 μg/ml.</p>", "FlowCyt-species-checked": "guaranteed", "FlowCyt-species-dilution-info": "", "FlowCyt-species-notes": "<p><a href='/en-us/products/primary-antibodies/rabbit-igg-polyclonal-isotype-control-chip-grade-ab171870'>ab171870</a> - Rabbit polyclonal IgG, is suitable for use as an isotype control with this antibody.</p>", "ELISA-species-checked": "guaranteed", "ELISA-species-dilution-info": "", "ELISA-species-notes": "<p></p>", "WB-species-checked": "predicted", "WB-species-dilution-info": "", "WB-species-notes": "", "RIP-species-checked": "guaranteed", "RIP-species-dilution-info": "", "RIP-species-notes": "<p></p>", "ICCIF-species-checked": "predicted", "ICCIF-species-dilution-info": "", "ICCIF-species-notes": "" }, "Rat": { "IHCP-species-checked": "predicted", "IHCP-species-dilution-info": "", "IHCP-species-notes": "", "IP-species-checked": "guaranteed", "IP-species-dilution-info": "", "IP-species-notes": "<p>Recommended to use at 5-7Âμg/ml.</p>", "FlowCyt-species-checked": "guaranteed", "FlowCyt-species-dilution-info": "", "FlowCyt-species-notes": "<p><a href='/en-us/products/primary-antibodies/rabbit-igg-polyclonal-isotype-control-chip-grade-ab171870'>ab171870</a> - Rabbit polyclonal IgG, is suitable for use as an isotype control with this antibody.</p>", "ELISA-species-checked": "guaranteed", "ELISA-species-dilution-info": "", "ELISA-species-notes": "<p></p>", "WB-species-checked": "predicted", "WB-species-dilution-info": "", "WB-species-notes": "", "RIP-species-checked": "guaranteed", "RIP-species-dilution-info": "", "RIP-species-notes": "<p></p>", "ICCIF-species-checked": "predicted", "ICCIF-species-dilution-info": "", "ICCIF-species-notes": "" }, "Cat": { "IHCP-species-checked": "predicted", "IHCP-species-dilution-info": "", "IHCP-species-notes": "", "IP-species-checked": "guaranteed", "IP-species-dilution-info": "", "IP-species-notes": "<p>Recommended to use at 5-7 μg/ml.</p>", "FlowCyt-species-checked": "guaranteed", "FlowCyt-species-dilution-info": "", "FlowCyt-species-notes": "<p><a href='/en-us/products/primary-antibodies/rabbit-igg-polyclonal-isotype-control-chip-grade-ab171870'>ab171870</a> - Rabbit polyclonal IgG, is suitable for use as an isotype control with this antibody.</p>", "ELISA-species-checked": "guaranteed", "ELISA-species-dilution-info": "", "ELISA-species-notes": "<p></p>", "WB-species-checked": "predicted", "WB-species-dilution-info": "", "WB-species-notes": "", "RIP-species-checked": "guaranteed", "RIP-species-dilution-info": "", "RIP-species-notes": "<p></p>", "ICCIF-species-checked": "predicted", "ICCIF-species-dilution-info": "", "ICCIF-species-notes": "" }, "Cow": { "IHCP-species-checked": "predicted", "IHCP-species-dilution-info": "", "IHCP-species-notes": "", "IP-species-checked": "guaranteed", "IP-species-dilution-info": "", "IP-species-notes": "<p>Recommended to use at 5-7 μg/ml.</p>", "FlowCyt-species-checked": "guaranteed", "FlowCyt-species-dilution-info": "", "FlowCyt-species-notes": "<p><a href='/en-us/products/primary-antibodies/rabbit-igg-polyclonal-isotype-control-chip-grade-ab171870'>ab171870</a> - Rabbit polyclonal IgG, is suitable for use as an isotype control with this antibody.</p>", "ELISA-species-checked": "guaranteed", "ELISA-species-dilution-info": "", "ELISA-species-notes": "<p></p>", "WB-species-checked": "predicted", "WB-species-dilution-info": "", "WB-species-notes": "", "RIP-species-checked": "guaranteed", "RIP-species-dilution-info": "", "RIP-species-notes": "<p></p>", "ICCIF-species-checked": "predicted", "ICCIF-species-dilution-info": "", "ICCIF-species-notes": "" }, "Dog": { "IHCP-species-checked": "predicted", "IHCP-species-dilution-info": "", "IHCP-species-notes": "", "IP-species-checked": "guaranteed", "IP-species-dilution-info": "", "IP-species-notes": "<p>Recommended to use at 5-7 μg/ml.</p>", "FlowCyt-species-checked": "guaranteed", "FlowCyt-species-dilution-info": "", "FlowCyt-species-notes": "<p><a href='/en-us/products/primary-antibodies/rabbit-igg-polyclonal-isotype-control-chip-grade-ab171870'>ab171870</a> - Rabbit polyclonal IgG, is suitable for use as an isotype control with this antibody.</p>", "ELISA-species-checked": "guaranteed", "ELISA-species-dilution-info": "", "ELISA-species-notes": "<p></p>", "WB-species-checked": "predicted", "WB-species-dilution-info": "", "WB-species-notes": "", "RIP-species-checked": "guaranteed", "RIP-species-dilution-info": "", "RIP-species-notes": "<p></p>", "ICCIF-species-checked": "predicted", "ICCIF-species-dilution-info": "", "ICCIF-species-notes": "" } } }

Properties and storage information

Form
Liquid
Purification technique
Affinity purification Immunogen
Storage buffer
pH: 7.4 Preservative: 0.05% Sodium azide Constituents: 99% Tris glycine, 0.876% Sodium chloride
Shipped at conditions
Blue Ice
Appropriate short-term storage duration
1-2 weeks
Appropriate short-term storage conditions
+4°C
Appropriate long-term storage conditions
-20°C
Aliquoting information
Upon delivery aliquot
Storage information
Avoid freeze / thaw cycle

Supplementary information

This supplementary information is collated from multiple sources and compiled automatically.

Survivin also known as 'BIRC5 protein' is a small protein with a molecular weight of approximately 16.5 kDa. It belongs to the Inhibitor of Apoptosis (IAP) family carrying out its functions through inhibiting caspases and averting apoptosis. Survivin is expressed highly in embryonic tissues and various cancers but its expression in adult differentiated tissues is low. This selective expression pattern makes Survivin an attractive target for cancer research and therapeutic development.
Biological function summary

Survivin aids cell division and regulates apoptosis. It plays a major role as a chromosomal passenger protein functioning in concert with other members of the chromosomal passenger complex including Aurora B kinase INCENP and Borealin. During mitosis Survivin helps ensure proper chromosome alignment segregation and cytokinesis. Its ability to inhibit apoptosis allows it to enhance cell survival contributing to tumor progression when deregulated.

Pathways

Survivin is part of the cell cycle regulation and apoptosis pathways. It plays an integral role in the mitotic spindle checkpoint working closely with Aurora B kinase to regulate mitosis. Additionally the protein interfaces with the extrinsic apoptosis pathway interacting with members like XIAP to prevent caspase activation and cell death. These interactions reveal Survivin's dual function in promoting mitosis and regulating apoptosis which is essential for maintaining cellular homeostasis.

Survivin is highly connected to cancer and neurodegenerative disorders. Its overexpression links with cancers such as colorectal cancer where it promotes malignancy through inhibiting apoptosis and ensuring unchecked cell division. In neurodegenerative disorders abnormal regulation of Survivin could lead to insufficient cellular survival contributing to diseases like Alzheimer's. The relationship between Survivin and XIAP in cancer highlights its potential as a therapeutic target aiming to induce apoptosis in cancer cells by overcoming Survivin-mediated resistance.

Product protocols

For this product, it's our understanding that no specific protocols are required. You can visit:

Target data

Multitasking protein that has dual roles in promoting cell proliferation and preventing apoptosis (PubMed : 20627126, PubMed : 21364656, PubMed : 25778398, PubMed : 28218735, PubMed : 9859993). Component of a chromosome passage protein complex (CPC) which is essential for chromosome alignment and segregation during mitosis and cytokinesis (PubMed : 16322459). Acts as an important regulator of the localization of this complex; directs CPC movement to different locations from the inner centromere during prometaphase to midbody during cytokinesis and participates in the organization of the center spindle by associating with polymerized microtubules (PubMed : 20826784). Involved in the recruitment of CPC to centromeres during early mitosis via association with histone H3 phosphorylated at 'Thr-3' (H3pT3) during mitosis (PubMed : 20929775). The complex with RAN plays a role in mitotic spindle formation by serving as a physical scaffold to help deliver the RAN effector molecule TPX2 to microtubules (PubMed : 18591255). May counteract a default induction of apoptosis in G2/M phase (PubMed : 9859993). The acetylated form represses STAT3 transactivation of target gene promoters (PubMed : 20826784). May play a role in neoplasia (PubMed : 10626797). Inhibitor of CASP3 and CASP7 (PubMed : 21536684). Essential for the maintenance of mitochondrial integrity and function (PubMed : 25778398). Isoform 2 and isoform 3 do not appear to play vital roles in mitosis (PubMed : 12773388, PubMed : 16291752). Isoform 3 shows a marked reduction in its anti-apoptotic effects when compared with the displayed wild-type isoform (PubMed : 10626797).
See full target information BIRC5

Publications (146)

Recent publications for all applications. Explore the full list and refine your search

Biomedicines 13: PubMed40722650

2025

Survivin Expression in Placentas with Intrauterine Growth Restriction.

Applications

Unspecified application

Species

Unspecified reactive species

Pavo Perković,Sanja Štifter-Vretenar,Marina Perković,Marko Štefančić,Ena Holjević,Andrea Dekanić,Tea Štimac

Frontiers in molecular biosciences 11:1361377 PubMed38698774

2024

Carcinogenic effect of human tumor-derived cell-free filtrates in nude mice.

Applications

Unspecified application

Species

Unspecified reactive species

Jorge Berlanga-Acosta,Ernesto Arteaga-Hernandez,Ariana Garcia-Ojalvo,Dayanis Duvergel-Calderin,Marisol Rodriguez-Touseiro,Laura Lopez-Marin,Jose Suarez-Alba,Dasha Fuentes-Morales,Osmany Mendoza-Fuentes,Sheyla Fernández-Puentes,Yanier Nuñez-Figueredo,Gerardo Guillen-Nieto

Discover oncology 15:82 PubMed38512482

2024

FAM83D acts as an oncogene by regulating cell cycle progression via multiple pathways in synovial sarcoma: a potential novel downstream target oncogene of anlotinib.

Applications

Unspecified application

Species

Unspecified reactive species

Zi-Mei Liu,Ying Yuan,Lei Jin

Advanced science (Weinheim, Baden-Wurttemberg, Germany) 10:e2301753 PubMed37382161

2023

TP53RK Drives the Progression of Chronic Kidney Disease by Phosphorylating Birc5.

Applications

Unspecified application

Species

Unspecified reactive species

Mengqiu Wu,Qianqian Jin,Xinyue Xu,Jiaojiao Fan,Weiyi Chen,Mengqiu Miao,Ran Gu,Shengnan Zhang,Yan Guo,Songming Huang,Yue Zhang,Aihua Zhang,Zhanjun Jia

EMBO reports 24:e56335 PubMed37341560

2023

Human Neuralized is a novel tumour suppressor targeting Wnt/β-catenin signalling in colon cancer.

Applications

Unspecified application

Species

Unspecified reactive species

Joo Mi Yi,Tae-Hong Kang,Yu Kyeong Han,Ha Young Park,Ju Hwan Yang,Jin-Han Bae,Jung-Soo Suh,Tae-Jin Kim,Joong-Gook Kim,Yan-Hong Cui,Hiromu Suzuki,Kohei Kumegawa,Sung Joo Kim,Yi Zhao,In Ja Park,Seung-Mo Hong,Joon-Yong Chung,Su-Jae Lee

Disease models & mechanisms 16: PubMed37158111

2023

Effectiveness of irinotecan plus trabectedin on a desmoplastic small round cell tumor patient-derived xenograft.

Applications

Unspecified application

Species

Unspecified reactive species

Valentina Zuco,Sandro Pasquali,Monica Tortoreto,Stefano Percio,Valentina Doldi,Marta Barisella,Paola Collini,Gian Paolo Dagrada,Silvia Brich,Patrizia Gasparini,Marco Fiore,Michela Casanova,Anna Maria Frezza,Alessandro Gronchi,Silvia Stacchiotti,Andrea Ferrari,Nadia Zaffaroni

Brazilian journal of medical and biological research = Revista brasileira de pesquisas medicas e biologicas 56:e12665 PubMed37255094

2023

A novel nano-formulation of olmesartan medoxomil with improved delivery and efficacy in the treatment of indomethacin-induced duodenitis in rats.

Applications

Unspecified application

Species

Unspecified reactive species

H A Murad,T M Alqurashi

Experimental & molecular medicine 54:1991-2006 PubMed36380019

2022

Lnc Tmem235 promotes repair of early steroid-induced osteonecrosis of the femoral head by inhibiting hypoxia-induced apoptosis of BMSCs.

Applications

Unspecified application

Species

Unspecified reactive species

Fei Zhang,Wuxun Peng,Tao Wang,Jian Zhang,Wentao Dong,Chuan Wang,Zhihong Xie,Hong Luo,Gang Liu

Disease markers 2022:6993994 PubMed36398031

2022

Pygo1 Regulates the Behavior of Human Non-Small-Cell Lung Cancer via the Wnt/-Catenin Pathway.

Applications

Unspecified application

Species

Unspecified reactive species

Yao Wen,Yuling Li,Boyu Yang,Xiangrong Guo,Li Lin,Jifeng Liang,Kai Zhang,Xu Li,Zhigang Jiang,Yuequn Wang,Yongqing Li,Xiushan Wu,Xiongwei Fan,Fang Li,Wuzhou Yuan

Experimental and therapeutic medicine 24:614 PubMed36160886

2022

TMEM14A aggravates the progression of human ovarian cancer cells by enhancing the activity of glycolysis.

Applications

Unspecified application

Species

Unspecified reactive species

Qingmei Zhang,Xiaohong Wang,Xuan Zhang,Jingfen Zhan,Binbin Zhang,Jin Jia,Jie Chen
View all publications

Product promise

We are committed to supporting your work with high-quality reagents, and we're here for you every step of the way. In the unlikely event that one of our products does not perform as expected, you're protected by our Product Promise.
For full details, please see our Terms & Conditions

Please note: All products are 'FOR RESEARCH USE ONLY. NOT FOR USE IN DIAGNOSTIC OR THERAPEUTIC PROCEDURES'.

For licensing inquiries, please contact partnerships@abcam.com