JavaScript is disabled in your browser. Please enable JavaScript to view this website.
AB182132

Anti-Survivin antibody [EPR17358]

1

(1 Review)

|

(8 Publications)

Rabbit Recombinant Monoclonal BIRC5 antibody. Suitable for IP, WB, IHC-P and reacts with Mouse, Rat samples. Cited in 8 publications.

View Alternative Names

Api4, Iap4, Birc5, Baculoviral IAP repeat-containing protein 5, Apoptosis inhibitor 4, Apoptosis inhibitor survivin, TIAP

4 Images
Western blot - Anti-Survivin antibody [EPR17358] (AB182132)
  • WB

Supplier Data

Western blot - Anti-Survivin antibody [EPR17358] (AB182132)

Blocking/Dilution buffer : 5% NFDM/TBST.

All lanes:

Western blot - Anti-Survivin antibody [EPR17358] (ab182132) at 1/1000 dilution

Lane 1:

Neuro-2a (Mouse neuroblastoma cells) whole cell lysates at 10 µg

Lane 2:

Mouse colon lysates at 10 µg

Lane 3:

Mouse testis lysates at 10 µg

Lane 4:

C6 (Rat glial tumor cells) whole cell lysates at 10 µg

Lane 5:

RAW 264.7 (Mouse macrophage cells transformed with Abelson murine leukemia virus) whole cell lysates at 10 µg

Lane 6:

PC-12 (Rat adrenal gland pheochromocytoma) whole cell lysates at 10 µg

Lane 7:

NIH/3T3 (Mouse embyro fibroblast cells) whole cell lysates at 10 µg

Secondary

All lanes:

Goat Anti-Rabbit IgG, (H+L),Peroxidase conjugated at 1/1000 dilution

Predicted band size: 16 kDa

Observed band size: 16 kDa

false

Immunoprecipitation - Anti-Survivin antibody [EPR17358] (AB182132)
  • IP

Supplier Data

Immunoprecipitation - Anti-Survivin antibody [EPR17358] (AB182132)

Survivin was immunoprecipitated from 1mg of F9 (Mouse embyro testicular cancer cell line) whole cell extract with ab182132 at 1/100 dilution. Western blot was performed from the immunoprecipitate using ab182132 at 1/1000 dilution. Anti-Rabbit IgG (HRP), specific to the non-reduced form of IgG, was used as secondary antibody at 1/1500 dilution. Lane 1 : F9 whole cell extract. Lane 2 : PBS instead of F9 whole cell extract.

Blocking and dilution buffer and concentration : 5% NFDM/TBST.

All lanes:

Immunoprecipitation - Anti-Survivin antibody [EPR17358] (ab182132)

Predicted band size: 16 kDa

false

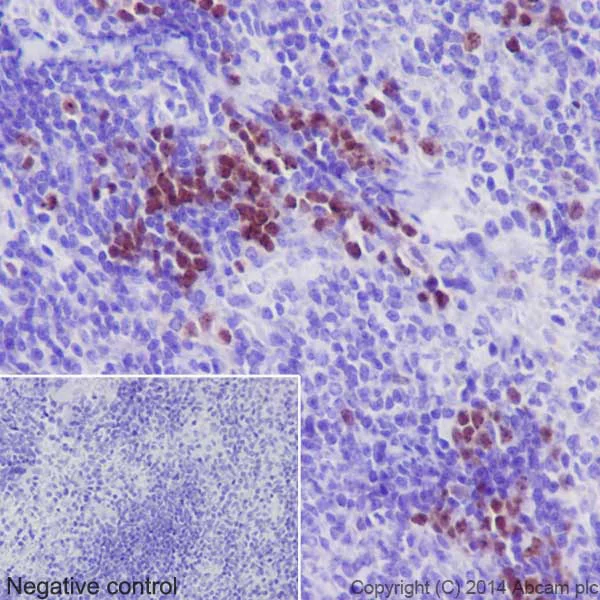
Immunohistochemistry (Formalin/PFA-fixed paraffin-embedded sections) - Anti-Survivin antibody [EPR17358] (AB182132)
  • IHC-P

Supplier Data

Immunohistochemistry (Formalin/PFA-fixed paraffin-embedded sections) - Anti-Survivin antibody [EPR17358] (AB182132)

Immunohistochemical analysis of paraffin-embedded mouse spleen tissue labeling Survivin with ab182132 at 1/500 dilution followed by Anti-Rabbit HRP (ab97051) secondary at 1/500 dilution. Nuclear staining on mouse spleen is observed. Counter stained with Hematoxylin.

Negative control : Using PBS instead of primary antibody, secondary antibody is Anti-Rabbit HRP (ab97051) secondary at 1/500 dilution.

Perform heat mediated antigen retrieval with Tris/EDTA buffer pH 9.0 before commencing with IHC staining protocol.

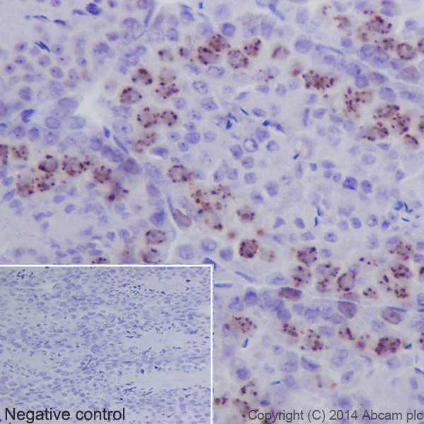
Immunohistochemistry (Formalin/PFA-fixed paraffin-embedded sections) - Anti-Survivin antibody [EPR17358] (AB182132)
  • IHC-P

Supplier Data

Immunohistochemistry (Formalin/PFA-fixed paraffin-embedded sections) - Anti-Survivin antibody [EPR17358] (AB182132)

Immunohistochemical analysis of paraffin-embedded mouse testis tissue labeling Survivin with ab182132 at 1/500 dilution followed by Anti-Rabbit HRP (ab97051) secondary at 1/500 dilution. Nuclear staining on spermatogenic cells of mouse testis is observed. Counter stained with Hematoxylin.

Negative control : Using PBS instead of primary antibody, secondary antibody is Anti-Rabbit HRP (ab97051) secondary at 1/500 dilution.

Perform heat mediated antigen retrieval with Tris/EDTA buffer pH 9.0 before commencing with IHC staining protocol.

  • HRP

    HRP Anti-Survivin antibody [EPR17358]

  • Carrier free

    Anti-Survivin antibody [EPR17358] - BSA and Azide free

Key facts

Host species

Rabbit

Clonality

Monoclonal

Clone number

EPR17358

Isotype

IgG

Carrier free

No

Reacts with

Mouse, Rat

Applications

IP, IHC-P, WB

applications

Immunogen

The exact immunogen used to generate this antibody is proprietary information.

Reactivity data

{ "title": "Reactivity Data", "filters": { "stats": ["", "Species", "Dilution Info", "Notes"], "tabs": { "all-applications": {"fullname" : "All Applications", "shortname": "All Applications"}, "IP" : {"fullname" : "Immunoprecipitation", "shortname":"IP"}, "WB" : {"fullname" : "Western blot", "shortname":"WB"}, "ICCIF" : {"fullname" : "Immunocytochemistry/ Immunofluorescence", "shortname":"ICC/IF"}, "IHCP" : {"fullname" : "Immunohistochemistry (Formalin/PFA-fixed paraffin-embedded sections)", "shortname":"IHC-P"} }, "product-promise": { "all": "all", "testedAndGuaranteed": "tested", "guaranteed": "expected", "predicted": "predicted", "notRecommended": "not-recommended" } }, "values": { "Mouse": { "IP-species-checked": "testedAndGuaranteed", "IP-species-dilution-info": "1/100", "IP-species-notes": "<p></p> Perform heat-mediated antigen retrieval with Tris/EDTA buffer pH 9.0 before commencing with IHC staining protocol.", "WB-species-checked": "testedAndGuaranteed", "WB-species-dilution-info": "1/1000", "WB-species-notes": "<p></p>", "ICCIF-species-checked": "notRecommended", "ICCIF-species-dilution-info": "1/100", "ICCIF-species-notes": "<p></p>", "IHCP-species-checked": "testedAndGuaranteed", "IHCP-species-dilution-info": "1/500", "IHCP-species-notes": "<p></p> Perform heat-mediated antigen retrieval with Tris/EDTA buffer pH 9.0 before commencing with IHC staining protocol." }, "Rat": { "IP-species-checked": "guaranteed", "IP-species-dilution-info": "", "IP-species-notes": "", "WB-species-checked": "testedAndGuaranteed", "WB-species-dilution-info": "1/1000", "WB-species-notes": "<p></p>", "ICCIF-species-checked": "notRecommended", "ICCIF-species-dilution-info": "1/100", "ICCIF-species-notes": "<p></p>", "IHCP-species-checked": "guaranteed", "IHCP-species-dilution-info": "", "IHCP-species-notes": "" } } }

You may be interested in:

AB202401

Mouse Survivin ELISA Kit (Birc5)

0

0 Reviews

View product

We recommend this product because it’s often used in the same experiment or related research.

We advise that you always check the datasheet to ensure it fits your experiments, or contact ourtechnical teamfor help.

Product details

Patented technology
Our RabMAb® technology is a patented hybridoma-based technology for making rabbit monoclonal antibodies. For details on our patents, please refer to RabMAb® patents.

What are the advantages of a recombinant monoclonal antibody?
This product is a recombinant monoclonal antibody, which offers several advantages including:

  • - High batch-to-batch consistency and reproducibility
  • - Improved sensitivity and specificity
  • - Long-term security of supply
  • - Animal-free batch production

For more information, read more on recombinant antibodies.

Properties and storage information

Form
Liquid
Purification technique
Affinity purification Protein A
Storage buffer
Preservative: 0.01% Sodium azide Constituents: 59% PBS, 40% Glycerol (glycerin, glycerine), 0.05% BSA
Shipped at conditions
Blue Ice
Appropriate short-term storage duration
1-2 weeks
Appropriate short-term storage conditions
+4°C
Appropriate long-term storage conditions
-20°C
Aliquoting information
Upon delivery aliquot
Storage information
Avoid freeze / thaw cycle

Supplementary information

This supplementary information is collated from multiple sources and compiled automatically.

Survivin also known as 'BIRC5 protein' is a small protein with a molecular weight of approximately 16.5 kDa. It belongs to the Inhibitor of Apoptosis (IAP) family carrying out its functions through inhibiting caspases and averting apoptosis. Survivin is expressed highly in embryonic tissues and various cancers but its expression in adult differentiated tissues is low. This selective expression pattern makes Survivin an attractive target for cancer research and therapeutic development.
Biological function summary

Survivin aids cell division and regulates apoptosis. It plays a major role as a chromosomal passenger protein functioning in concert with other members of the chromosomal passenger complex including Aurora B kinase INCENP and Borealin. During mitosis Survivin helps ensure proper chromosome alignment segregation and cytokinesis. Its ability to inhibit apoptosis allows it to enhance cell survival contributing to tumor progression when deregulated.

Pathways

Survivin is part of the cell cycle regulation and apoptosis pathways. It plays an integral role in the mitotic spindle checkpoint working closely with Aurora B kinase to regulate mitosis. Additionally the protein interfaces with the extrinsic apoptosis pathway interacting with members like XIAP to prevent caspase activation and cell death. These interactions reveal Survivin's dual function in promoting mitosis and regulating apoptosis which is essential for maintaining cellular homeostasis.

Survivin is highly connected to cancer and neurodegenerative disorders. Its overexpression links with cancers such as colorectal cancer where it promotes malignancy through inhibiting apoptosis and ensuring unchecked cell division. In neurodegenerative disorders abnormal regulation of Survivin could lead to insufficient cellular survival contributing to diseases like Alzheimer's. The relationship between Survivin and XIAP in cancer highlights its potential as a therapeutic target aiming to induce apoptosis in cancer cells by overcoming Survivin-mediated resistance.

Product protocols

For this product, it's our understanding that no specific protocols are required. You can visit:

Target data

Multitasking protein that has dual roles in promoting cell proliferation and preventing apoptosis (PubMed : 25778398). Component of a chromosome passage protein complex (CPC) which is essential for chromosome alignment and segregation during mitosis and cytokinesis (By similarity). Acts as an important regulator of the localization of this complex; directs CPC movement to different locations from the inner centromere during prometaphase to midbody during cytokinesis and participates in the organization of the center spindle by associating with polymerized microtubules (By similarity). Involved in the recruitment of CPC to centromeres during early mitosis via association with histone H3 phosphorylated at 'Thr-3' (H3pT3) during mitosis (By similarity). The complex with RAN plays a role in mitotic spindle formation by serving as a physical scaffold to help deliver the RAN effector molecule TPX2 to microtubules (By similarity). May counteract a default induction of apoptosis in G2/M phase (By similarity). The acetylated form represses STAT3 transactivation of target gene promoters (By similarity). May play a role in neoplasia. Inhibitor of CASP3 and CASP7 (By similarity). Essential for the maintenance of mitochondrial integrity and function (PubMed : 25778398).
See full target information Birc5

Publications (8)

Recent publications for all applications. Explore the full list and refine your search

American journal of cancer research 12:1129-1142 PubMed35411230

2022

Stat5b inhibition blocks proliferation and tumorigenicity of glioblastoma stem cells derived from a murine brain cancer model.

Applications

Unspecified application

Species

Unspecified reactive species

Chiami Moyama,Mitsugu Fujita,Shota Ando,Keiko Taniguchi,Hiromi Ii,Seisuke Tanigawa,Naoya Hashimoto,Susumu Nakata

Biotechnology and applied biochemistry 69:2284-2295 PubMed34787893

2021

S100A10 regulates tumor necrosis factor alpha-induced apoptosis in chondrocytes via the reactive oxygen species/nuclear factor-kappa B pathway.

Applications

Unspecified application

Species

Unspecified reactive species

Yanjie Guo,Ruofei Li,Xiaoqian Dang

OncoTargets and therapy 13:1011-1025 PubMed32099404

2020

The Ectopic Expression of SurvivinT34A and FilC Can Enhance the Oncolytic Effects of Vaccinia Virus in Murine Gastric Cancer.

Applications

Unspecified application

Species

Unspecified reactive species

Minglong Wang,Yanxi Luo,Ting Sun,Chenyu Mao,Yili Jiang,Xiongfei Yu,Zhongqi Li,Tian Xie,Fusheng Wu,Hui Yan,Lisong Teng

OncoTargets and therapy 12:3581-3593 PubMed31190861

2019

The reversal of MRP1 expression induced by low-frequency and low-intensity ultrasound and curcumin mediated by VEGF in brain glioma.

Applications

Unspecified application

Species

Unspecified reactive species

Lei Yao,Zhen Zhang

Journal of clinical medicine 8: PubMed30909651

2019

Epigenetic Changes at the Promoter Induced by YM155 in Synovial Sarcoma.

Applications

Unspecified application

Species

Unspecified reactive species

Aleksander Mika,Sarah E Luelling,Adriene Pavek,Christopher Nartker,Alexandra L Heyneman,Kevin B Jones,Jared J Barrott

International journal of molecular sciences 20: PubMed30832202

2019

HBD Inhibits the Development of Colitis-Associated Cancer in Mice via the IL-6R/STAT3 Signaling Pathway.

Applications

Unspecified application

Species

Unspecified reactive species

Song Deng,Aiping Wang,Xi Chen,Qun Du,Yanli Wu,Gang Chen,Wenfeng Guo,Yanwu Li

Chemistry & biodiversity 15:e1800314 PubMed30194712

2018

Polyphyllin I Inhibits Proliferation and Induces Apoptosis by Downregulating AML1-ETO and Suppressing C-KIT/Akt Signaling in t(8;21) Acute Myeloid Leukemia.

Applications

Unspecified application

Species

Unspecified reactive species

Yanting Chai,Ying Si,Jiaxin Xu,Yuchen Xiang,Hongyan Zhao,Yuan Si,Te Zhang,Ying Liu

Molecular medicine reports 18:1692-1703 PubMed29845197

2018

Tanshinone IIA regulates colorectal cancer apoptosis via attenuation of Parkin‑mediated mitophagy by suppressing AMPK/Skp2 pathways.

Applications

Unspecified application

Species

Unspecified reactive species

Lili He,Kebo Gu
View all publications

Product promise

We are committed to supporting your work with high-quality reagents, and we're here for you every step of the way. In the unlikely event that one of our products does not perform as expected, you're protected by our Product Promise.
For full details, please see our Terms & Conditions

Associated Products

Select an associated product type
Alternative Product
Primary Antibodies

AB469

Anti-Survivin antibody

primary-antibodies

survivin-antibody-ab469

4

(10 reviews)

Alternative Product
Primary Antibodies

AB93274

Anti-Survivin antibody [60.11]

primary-antibodies

survivin-antibody-6011-ab93274

0

(0 reviews)

Alternative Product
Primary Antibodies

AB204264

Alexa Fluor® 488 Anti-Survivin antibody [EP2880Y]

primary-antibodies

alexa-fluor-488-survivin-antibody-ep2880y-ab204264

0

(0 reviews)

Alternative Product
Primary Antibodies

AB204464

Alexa Fluor® 647 Anti-Survivin antibody [EP2880Y]

primary-antibodies

alexa-fluor-647-survivin-antibody-ep2880y-ab204464

0

(0 reviews)

Alternative Product
Primary Antibodies

AB134170

Anti-Survivin antibody [EPR2675]

primary-antibodies

survivin-antibody-epr2675-ab134170

4

(5 reviews)

Alternative Product
Primary Antibodies

AB192675

Anti-Survivin antibody [EP2880Y] - BSA and Azide free

primary-antibodies

survivin-antibody-ep2880y-bsa-and-azide-free-ab192675

0

(0 reviews)

Alternative Product
Primary Antibodies

AB231076

Anti-Survivin antibody [EPR20448] - BSA and Azide free

primary-antibodies

survivin-antibody-epr20448-bsa-and-azide-free-ab231076

0

(0 reviews)

Alternative Product
Primary Antibodies

AB167450

Anti-Survivin antibody [EPR2675] - BSA and Azide free

primary-antibodies

survivin-antibody-epr2675-bsa-and-azide-free-ab167450

0

(0 reviews)

Alternative Product
Primary Antibodies

AB138653

Anti-Survivin (phospho T34) antibody

primary-antibodies

survivin-phospho-t34-antibody-ab138653

0

(0 reviews)

Alternative Product
Primary Antibodies

AB76424

Anti-Survivin antibody [EP2880Y]

primary-antibodies

survivin-antibody-ep2880y-ab76424

5

(9 reviews)

Alternative Product
Primary Antibodies

AB208938

Anti-Survivin antibody [EPR20448]

primary-antibodies

survivin-antibody-epr20448-ab208938

5

(1 reviews)

Alternative Product
Primary Antibodies

AB207879

Alexa Fluor® 594 Anti-Survivin antibody [EP2880Y]

primary-antibodies

alexa-fluor-594-survivin-antibody-ep2880y-ab207879

0

(0 reviews)

Please note: All products are 'FOR RESEARCH USE ONLY. NOT FOR USE IN DIAGNOSTIC OR THERAPEUTIC PROCEDURES'.

For licensing inquiries, please contact partnerships@abcam.com