JavaScript is disabled in your browser. Please enable JavaScript to view this website.
AB167450

Anti-Survivin antibody [EPR2675] - BSA and Azide free

Be the first to review this product! Submit a review

|

(1 Publication)

Rabbit Recombinant Monoclonal BIRC5 antibody. Carrier free. Suitable for IHC-P, Flow Cyt, ICC/IF and reacts with Mouse, Human, Rat samples. Cited in 1 publication.

View Alternative Names

API4, IAP4, BIRC5, Baculoviral IAP repeat-containing protein 5, Apoptosis inhibitor 4, Apoptosis inhibitor survivin

5 Images
Immunohistochemistry (Formalin/PFA-fixed paraffin-embedded sections) - Anti-Survivin antibody [EPR2675] - BSA and Azide free (AB167450)
  • IHC-P

Lab

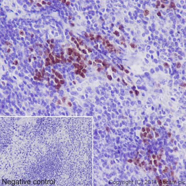
Immunohistochemistry (Formalin/PFA-fixed paraffin-embedded sections) - Anti-Survivin antibody [EPR2675] - BSA and Azide free (AB167450)

This data was developed using ab134170, the same antibody clone in a different buffer formulation.

Immunohistochemistry (Formalin/PFA-fixed paraffin-embedded sections) analysis of human tonsil tissue sections labeling Survivin with purified ab134170 at 1/800 dilution (2.67 μg/mL). Heat mediated antigen retrieval was performed using Perform heat mediated antigen retrieval using ab93684 (Tris/EDTA buffer, pH 9.0). Tissue was counterstained with Hematoxylin. Rabbit specific IHC polymer detection kit HRP/DAB (ab209101) secondary antibody was used. PBS instead of the primary antibody was used as the negative control.
The immunostaining was performed on a Leica Biosystems BOND® RX instrument.

Flow Cytometry - Anti-Survivin antibody [EPR2675] - BSA and Azide free (AB167450)
  • Flow Cyt

Lab

Flow Cytometry - Anti-Survivin antibody [EPR2675] - BSA and Azide free (AB167450)

This data was developed using ab134170, the same antibody clone in a different buffer formulation.
Flow Cytometry analysis of MCF7 (Human breast adenocarcinoma epithelial cell) cells labelling Survivin with purified ab134170 at 1/200 dilution (10 µg/mL) (Red). Cells were fixed with 4% Paraformaldehyde and permeabilised with 90% Methanol. A Goat anti rabbit IgG (Alexa Fluor® 488, ab150077) secondary antibody was used at 1/2000. Isotype control - Rabbit monoclonal IgG (Black). Unlabelled control - Cell without incubation with primary antibody and secondary antibody (Blue).

Immunohistochemistry (Formalin/PFA-fixed paraffin-embedded sections) - Anti-Survivin antibody [EPR2675] - BSA and Azide free (AB167450)
  • IHC-P

Lab

Immunohistochemistry (Formalin/PFA-fixed paraffin-embedded sections) - Anti-Survivin antibody [EPR2675] - BSA and Azide free (AB167450)

This data was developed using ab134170, the same antibody clone in a different buffer formulation.

Immunohistochemistry (Formalin/PFA-fixed paraffin-embedded sections) analysis of rat spleen tissue sections labeling Survivin with purified ab134170 at 1/800 dilution (2.67 μg/mL). Heat mediated antigen retrieval was performed using Perform heat mediated antigen retrieval using ab93684 (Tris/EDTA buffer, pH 9.0). Tissue was counterstained with Hematoxylin. Rabbit specific IHC polymer detection kit HRP/DAB (ab209101) secondary antibody was used. PBS instead of the primary antibody was used as the negative control.
The immunostaining was performed on a Leica Biosystems BOND® RX instrument.

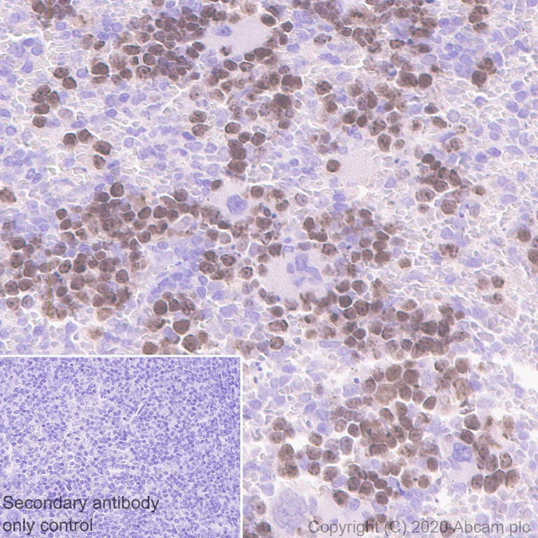
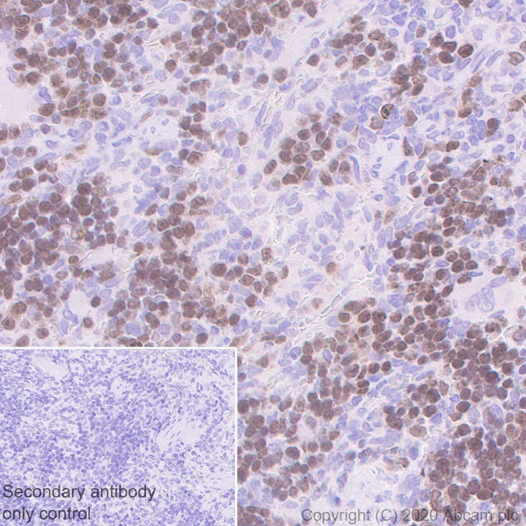
Immunohistochemistry (Formalin/PFA-fixed paraffin-embedded sections) - Anti-Survivin antibody [EPR2675] - BSA and Azide free (AB167450)
  • IHC-P

Lab

Immunohistochemistry (Formalin/PFA-fixed paraffin-embedded sections) - Anti-Survivin antibody [EPR2675] - BSA and Azide free (AB167450)

This data was developed using ab134170, the same antibody clone in a different buffer formulation.

Immunohistochemistry (Formalin/PFA-fixed paraffin-embedded sections) analysis of mouse spleen tissue sections labeling Survivin with purified ab134170 at 1/800 dilution (2.67 μg/mL). Heat mediated antigen retrieval was performed using Perform heat mediated antigen retrieval using ab93684 (Tris/EDTA buffer, pH 9.0). Tissue was counterstained with Hematoxylin. Rabbit specific IHC polymer detection kit HRP/DAB (ab209101) secondary antibody was used. PBS instead of the primary antibody was used as the negative control.
The immunostaining was performed on a Leica Biosystems BOND® RX instrument.

Immunocytochemistry/ Immunofluorescence - Anti-Survivin antibody [EPR2675] - BSA and Azide free (AB167450)
  • ICC/IF

Supplier Data

Immunocytochemistry/ Immunofluorescence - Anti-Survivin antibody [EPR2675] - BSA and Azide free (AB167450)

This data was developed using ab134170, the same antibody clone in a different buffer formulation.

Immunocytochemistry analysis of NIH/3T3 (Mouse embryonic fibroblast) cells labeling Survivin with purified ab134170 at 1/200 dilution (10 μg/mL). Cells were fixed in 4% Paraformaldehyde and permeabilized with 0.1% tritonX-100. Cells were counterstained with ab195889 Anti-alpha Tubulin antibody [DM1A] - Microtubule Marker (Alexa Fluor® 594) 1/200 (2.5 μg/mL). Goat anti rabbit IgG (Alexa Fluor® 488, ab150077) was used as the secondary antibody at 1/1000 (2 μg/mL) dilution. DAPI (blue) was used as nuclear counterstain. PBS instead of the primary antibody was used as the secondary antibody only control.

  • Unconjugated

    Anti-Survivin antibody [EPR2675]

  • 775 Alexa Fluor® 750

    Alexa Fluor® 750 Anti-Survivin antibody [EPR2675]

  • 660 APC

    APC Anti-Survivin antibody [EPR2675]

  • HRP

    HRP Anti-Survivin antibody [EPR2675]

  • 665 Alexa Fluor® 647

    Alexa Fluor® 647 Anti-Survivin antibody [EPR2675]

  • 519 Alexa Fluor® 488

    Alexa Fluor® 488 Anti-Survivin antibody [EPR2675]

  • 617 Alexa Fluor® 594

    Alexa Fluor® 594 Anti-Survivin antibody [EPR2675]

  • 578 PE

    PE Anti-Survivin antibody [EPR2675]

  • 565 Alexa Fluor® 555

    Alexa Fluor® 555 Anti-Survivin antibody [EPR2675]

  • 603 Alexa Fluor® 568

    Alexa Fluor® 568 Anti-Survivin antibody [EPR2675]

Key facts

Host species

Rabbit

Clonality

Monoclonal

Clone number

EPR2675

Isotype

IgG

Carrier free

Yes

Reacts with

Mouse, Rat, Human

Applications

ICC/IF, IHC-P, Flow Cyt

applications

Immunogen

The exact immunogen used to generate this antibody is proprietary information.

Reactivity data

{ "title": "Reactivity Data", "filters": { "stats": ["", "Species", "Dilution Info", "Notes"], "tabs": { "all-applications": {"fullname" : "All Applications", "shortname": "All Applications"}, "IHCP" : {"fullname" : "Immunohistochemistry (Formalin/PFA-fixed paraffin-embedded sections)", "shortname":"IHC-P"}, "IP" : {"fullname" : "Immunoprecipitation", "shortname":"IP"}, "FlowCyt" : {"fullname" : "Flow Cytometry", "shortname":"Flow Cyt"}, "WB" : {"fullname" : "Western blot", "shortname":"WB"}, "ICCIF" : {"fullname" : "Immunocytochemistry/ Immunofluorescence", "shortname":"ICC/IF"} }, "product-promise": { "all": "all", "testedAndGuaranteed": "tested", "guaranteed": "expected", "predicted": "predicted", "notRecommended": "not-recommended" } }, "values": { "Human": { "IHCP-species-checked": "guaranteed", "IHCP-species-dilution-info": "", "IHCP-species-notes": "", "IP-species-checked": "notRecommended", "IP-species-dilution-info": "", "IP-species-notes": "<p></p>", "FlowCyt-species-checked": "testedAndGuaranteed", "FlowCyt-species-dilution-info": "", "FlowCyt-species-notes": "<p></p>", "WB-species-checked": "notRecommended", "WB-species-dilution-info": "", "WB-species-notes": "<p></p>", "ICCIF-species-checked": "guaranteed", "ICCIF-species-dilution-info": "", "ICCIF-species-notes": "" }, "Mouse": { "IHCP-species-checked": "testedAndGuaranteed", "IHCP-species-dilution-info": "", "IHCP-species-notes": "<p></p>", "IP-species-checked": "notRecommended", "IP-species-dilution-info": "", "IP-species-notes": "<p></p>", "FlowCyt-species-checked": "guaranteed", "FlowCyt-species-dilution-info": "", "FlowCyt-species-notes": "", "WB-species-checked": "notRecommended", "WB-species-dilution-info": "", "WB-species-notes": "<p></p>", "ICCIF-species-checked": "guaranteed", "ICCIF-species-dilution-info": "", "ICCIF-species-notes": "" }, "Rat": { "IHCP-species-checked": "guaranteed", "IHCP-species-dilution-info": "", "IHCP-species-notes": "", "IP-species-checked": "notRecommended", "IP-species-dilution-info": "", "IP-species-notes": "<p></p>", "FlowCyt-species-checked": "guaranteed", "FlowCyt-species-dilution-info": "", "FlowCyt-species-notes": "", "WB-species-checked": "notRecommended", "WB-species-dilution-info": "", "WB-species-notes": "<p></p>", "ICCIF-species-checked": "testedAndGuaranteed", "ICCIF-species-dilution-info": "", "ICCIF-species-notes": "<p></p>" } } }

Product details

ab167450 is the carrier-free version of ab134170.

Patented technology
Our RabMAb® technology is a patented hybridoma-based technology for making rabbit monoclonal antibodies. For details on our patents, please refer to RabMAb® patents.

What are the advantages of a recombinant monoclonal antibody?
This product is a recombinant monoclonal antibody, which offers several advantages including:

  • - High batch-to-batch consistency and reproducibility
  • - Improved sensitivity and specificity
  • - Long-term security of supply
  • - Animal-free batch production

For more information, read more on recombinant antibodies.

Conjugation ready
Our carrier-free antibodies are typically supplied in a PBS-only formulation, purified and free of BSA, sodium azide and glycerol. This conjugation-ready format is designed for use with fluorochromes, metal isotopes, oligonucleotides, and enzymes, which makes them ideal for antibody labelling, functional and cell-based assays, flow-based assays (e.g. mass cytometry) and Multiplex Imaging applications.

Use our conjugation kits for antibody conjugates that are ready-to-use in as little as 20 minutes with 1 minute hands-on-time and 100% antibody recovery: available for fluorescent dyes, HRP, biotin and gold.

Compatibility
This product is compatible with the Maxpar® Antibody Labeling Kit from Fluidigm, without the need for antibody preparation. Maxpar® is a trademark of Fluidigm Canada Inc.

Properties and storage information

Form
Liquid
Purification technique
Affinity purification Protein A
Storage buffer
Constituents: PBS
Shipped at conditions
Blue Ice
Appropriate short-term storage conditions
+4°C
Appropriate long-term storage conditions
+4°C
Storage information
Do Not Freeze

Supplementary information

This supplementary information is collated from multiple sources and compiled automatically.

Survivin also known as 'BIRC5 protein' is a small protein with a molecular weight of approximately 16.5 kDa. It belongs to the Inhibitor of Apoptosis (IAP) family carrying out its functions through inhibiting caspases and averting apoptosis. Survivin is expressed highly in embryonic tissues and various cancers but its expression in adult differentiated tissues is low. This selective expression pattern makes Survivin an attractive target for cancer research and therapeutic development.
Biological function summary

Survivin aids cell division and regulates apoptosis. It plays a major role as a chromosomal passenger protein functioning in concert with other members of the chromosomal passenger complex including Aurora B kinase INCENP and Borealin. During mitosis Survivin helps ensure proper chromosome alignment segregation and cytokinesis. Its ability to inhibit apoptosis allows it to enhance cell survival contributing to tumor progression when deregulated.

Pathways

Survivin is part of the cell cycle regulation and apoptosis pathways. It plays an integral role in the mitotic spindle checkpoint working closely with Aurora B kinase to regulate mitosis. Additionally the protein interfaces with the extrinsic apoptosis pathway interacting with members like XIAP to prevent caspase activation and cell death. These interactions reveal Survivin's dual function in promoting mitosis and regulating apoptosis which is essential for maintaining cellular homeostasis.

Survivin is highly connected to cancer and neurodegenerative disorders. Its overexpression links with cancers such as colorectal cancer where it promotes malignancy through inhibiting apoptosis and ensuring unchecked cell division. In neurodegenerative disorders abnormal regulation of Survivin could lead to insufficient cellular survival contributing to diseases like Alzheimer's. The relationship between Survivin and XIAP in cancer highlights its potential as a therapeutic target aiming to induce apoptosis in cancer cells by overcoming Survivin-mediated resistance.

Product protocols

For this product, it's our understanding that no specific protocols are required. You can visit:

Target data

Multitasking protein that has dual roles in promoting cell proliferation and preventing apoptosis (PubMed : 20627126, PubMed : 21364656, PubMed : 25778398, PubMed : 28218735, PubMed : 9859993). Component of a chromosome passage protein complex (CPC) which is essential for chromosome alignment and segregation during mitosis and cytokinesis (PubMed : 16322459). Acts as an important regulator of the localization of this complex; directs CPC movement to different locations from the inner centromere during prometaphase to midbody during cytokinesis and participates in the organization of the center spindle by associating with polymerized microtubules (PubMed : 20826784). Involved in the recruitment of CPC to centromeres during early mitosis via association with histone H3 phosphorylated at 'Thr-3' (H3pT3) during mitosis (PubMed : 20929775). The complex with RAN plays a role in mitotic spindle formation by serving as a physical scaffold to help deliver the RAN effector molecule TPX2 to microtubules (PubMed : 18591255). May counteract a default induction of apoptosis in G2/M phase (PubMed : 9859993). The acetylated form represses STAT3 transactivation of target gene promoters (PubMed : 20826784). May play a role in neoplasia (PubMed : 10626797). Inhibitor of CASP3 and CASP7 (PubMed : 21536684). Essential for the maintenance of mitochondrial integrity and function (PubMed : 25778398). Isoform 2 and isoform 3 do not appear to play vital roles in mitosis (PubMed : 12773388, PubMed : 16291752). Isoform 3 shows a marked reduction in its anti-apoptotic effects when compared with the displayed wild-type isoform (PubMed : 10626797).
See full target information BIRC5

Publications (1)

Recent publications for all applications. Explore the full list and refine your search

Nature neuroscience 23:167-171 PubMed31873194

2019

Microglial microRNAs mediate sex-specific responses to tau pathology.

Applications

Unspecified application

Species

Unspecified reactive species

Lay Kodama,Elmer Guzman,Jon I Etchegaray,Yaqiao Li,Faten A Sayed,Lu Zhou,Yungui Zhou,Lihong Zhan,David Le,Joe C Udeochu,Claire D Clelland,Zuolin Cheng,Guoqiang Yu,Qingyun Li,Kenneth S Kosik,Li Gan
View all publications

Product promise

We are committed to supporting your work with high-quality reagents, and we're here for you every step of the way. In the unlikely event that one of our products does not perform as expected, you're protected by our Product Promise.
For full details, please see our Terms & Conditions

Please note: All products are 'FOR RESEARCH USE ONLY. NOT FOR USE IN DIAGNOSTIC OR THERAPEUTIC PROCEDURES'.

For licensing inquiries, please contact partnerships@abcam.com