JavaScript is disabled in your browser. Please enable JavaScript to view this website.
AB316023

Anti-Survivin antibody [RM1086] - BSA and Azide free

Be the first to review this product! Submit a review

|

(0 Publication)

Rabbit Recombinant Multiclonal BIRC5 antibody. Carrier free. Suitable for WB, ICC/IF, IP, IHC-P and reacts with Human, Mouse, Rat samples.

View Alternative Names

API4, IAP4, BIRC5, Baculoviral IAP repeat-containing protein 5, Apoptosis inhibitor 4, Apoptosis inhibitor survivin

11 Images
Immunocytochemistry/ Immunofluorescence - Anti-Survivin antibody [RM1086] - BSA and Azide free (AB316023)
  • ICC/IF

Supplier Data

Immunocytochemistry/ Immunofluorescence - Anti-Survivin antibody [RM1086] - BSA and Azide free (AB316023)

This data was developed using ab316022, the same antibody clone in a different buffer formulation.

Immunofluorescent analysis of 4% Paraformaldehyde-fixed, 0.1% TritonX-100 permeabilized HeLa (human cervix adenocarcinoma epithelial cell) cells labelling Survivin with ab316022 at 1/50 (10.5 ug/ml) dilution, followed by ab150081 Goat Anti-Rabbit IgG H&L (Alexa Fluor® 488) preadsorbed antibody at 1/1000 (2 ug/ml) dilution (Green).

Confocal image showing mainly nuclear staining in HeLa cells and showing kinetochores and midbody staining in Hela cells at M phase (shown in green). The counterstain was observed in magenta. Nuclear DNA was labeled with DAPI (shown in blue).
Image was taken with a confocal microscope(Leica-Microsystems, TCS SP8).

ab195889 Anti-alpha Tubulin mouse monoclonal antibody - Microtubule Marker (Alexa Fluor® 594) was used to counterstain tubulin at 1/200 (2.5ug/ml) dilution (Magenta). The Nuclear counterstain was DAPI (Blue).

Secondary antibody only control : Secondary antibody is ab150081 Goat Anti-Rabbit IgG H&L (Alexa Fluor® 488) preadsorbed at 1/1000 (2 ug/ml) dilution.

Immunoprecipitation - Anti-Survivin antibody [RM1086] - BSA and Azide free (AB316023)
  • IP

Supplier Data

Immunoprecipitation - Anti-Survivin antibody [RM1086] - BSA and Azide free (AB316023)

This data was developed using ab316022, the same antibody clone in a different buffer formulation.

Survivin was immunoprecipitated from 0.35 mg HeLa (human cervical adenocarcinoma epithelial cell) whole cell lysate with ab316022 at 1/30 dilution (2ug in 0.35mg lysates). Western blot was performed on the immunoprecipitate using ab316022 at 1/1000 dilution. VeriBlot for IP secondary antibody(HRP)(ab131366) was used at 1/5000 dilution.

Lane 1 : HeLa (human cervical adenocarcinoma epithelial cell) whole cell lysate
Lane 2 : ab316022 IP in HeLa (human cervical adenocarcinoma epithelial cell) whole cell lysate
Lane 3 : Rabbit monoclonal IgG (ab172730) instead of ab316022 in HeLa whole cell lysate.

All lanes:

Immunoprecipitation - Anti-Survivin antibody [RM1086] (<a href='/en-us/products/primary-antibodies/survivin-antibody-rm1086-ab316022'>ab316022</a>) at 1/30 dilution

All lanes:

HeLa (human cervical adenocarcinoma epithelial cell) whole cell lysate

Secondary

All lanes:

Immunoprecipitation - VeriBlot for IP Detection Reagent (HRP) (<a href='/en-us/products/reagents/veriblot-for-ip-detection-reagent-hrp-ab131366'>ab131366</a>) at 1/5000 dilution

false

Exposure time: 180s

Immunohistochemistry (Formalin/PFA-fixed paraffin-embedded sections) - Anti-Survivin antibody [RM1086] - BSA and Azide free (AB316023)
  • IHC-P

Supplier Data

Immunohistochemistry (Formalin/PFA-fixed paraffin-embedded sections) - Anti-Survivin antibody [RM1086] - BSA and Azide free (AB316023)

This data was developed using ab316022, the same antibody clone in a different buffer formulation.

Immunohistochemical analysis of paraffin-embedded Mouse spleen tissue labeling Survivin with ab316022 at 1/100 (5.25 ug/ml) dilution, followed by a ready to use LeicaDS9800 (Bond™ Polymer Refine Detection).

Nuclear staining on mouse spleen.
The section was incubated with ab316022 for 30 mins at room temperature.
The immunostaining was performed on a Leica Biosystems BOND® RX instrument

Counterstained with Hematoxylin.

Secondary antibody only control : Secondary antibody is a ready to use LeicaDS9800 (Bond™ Polymer Refine Detection).

Heat mediated antigen retrieval was performed with Tris-EDTA buffer (pH 9.0, Epitope Retrieval Solution2) for 20 mins

Immunohistochemistry (Formalin/PFA-fixed paraffin-embedded sections) - Anti-Survivin antibody [RM1086] - BSA and Azide free (AB316023)
  • IHC-P

Supplier Data

Immunohistochemistry (Formalin/PFA-fixed paraffin-embedded sections) - Anti-Survivin antibody [RM1086] - BSA and Azide free (AB316023)

This data was developed using ab316022, the same antibody clone in a different buffer formulation.

Immunohistochemical analysis of paraffin-embedded Mouse testis tissue labeling Survivin with ab316022 at 1/100 (5.25 ug/ml) dilution, followed by a ready to use LeicaDS9800 (Bond™ Polymer Refine Detection).

Nuclear staining on mouse testis.
The section was incubated with ab316022 for 30 mins at room temperature.
The immunostaining was performed on a Leica Biosystems BOND® RX instrument

Counterstained with Hematoxylin.

Secondary antibody only control : Secondary antibody is a ready to use LeicaDS9800 (Bond™ Polymer Refine Detection).

Heat mediated antigen retrieval was performed with Tris-EDTA buffer (pH 9.0, Epitope Retrieval Solution2) for 20 mins

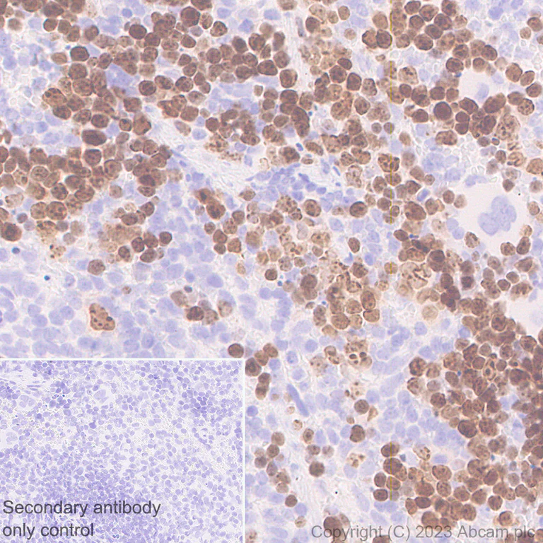
Immunohistochemistry (Formalin/PFA-fixed paraffin-embedded sections) - Anti-Survivin antibody [RM1086] - BSA and Azide free (AB316023)
  • IHC-P

Supplier Data

Immunohistochemistry (Formalin/PFA-fixed paraffin-embedded sections) - Anti-Survivin antibody [RM1086] - BSA and Azide free (AB316023)

This data was developed using ab316022, the same antibody clone in a different buffer formulation.

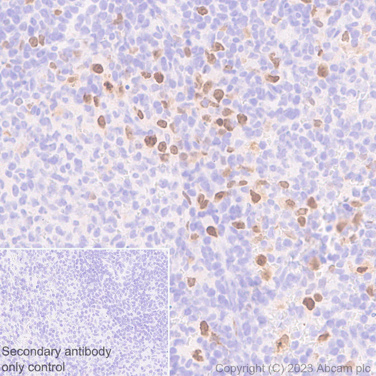
Immunohistochemical analysis of paraffin-embedded Rat spleen tissue labeling Survivin with ab316022 at 1/100 (5.25 ug/ml) dilution, followed by a ready to use LeicaDS9800 (Bond™ Polymer Refine Detection).

Nuclear staining on rat spleen.
The section was incubated with ab316022 for 30 mins at room temperature.
The immunostaining was performed on a Leica Biosystems BOND® RX instrument

Counterstained with Hematoxylin.

Secondary antibody only control : Secondary antibody is a ready to use LeicaDS9800 (Bond™ Polymer Refine Detection).

Heat mediated antigen retrieval was performed with Tris-EDTA buffer (pH 9.0, Epitope Retrieval Solution2) for 20 mins

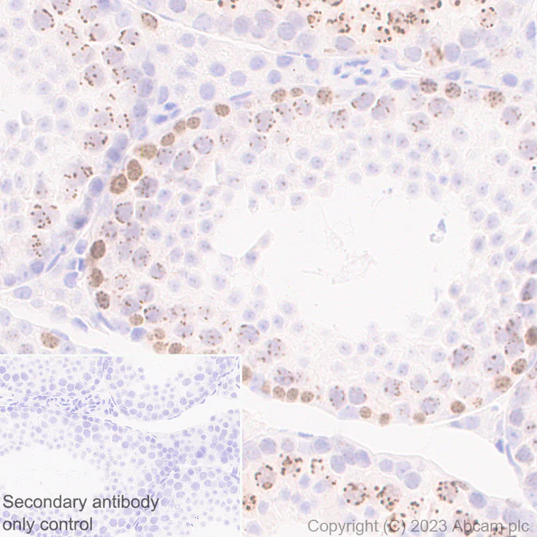
Immunohistochemistry (Formalin/PFA-fixed paraffin-embedded sections) - Anti-Survivin antibody [RM1086] - BSA and Azide free (AB316023)
  • IHC-P

Supplier Data

Immunohistochemistry (Formalin/PFA-fixed paraffin-embedded sections) - Anti-Survivin antibody [RM1086] - BSA and Azide free (AB316023)

This data was developed using ab316022, the same antibody clone in a different buffer formulation.

Immunohistochemical analysis of paraffin-embedded Rat testis tissue labeling Survivin with ab316022 at 1/100 (5.25 ug/ml) dilution, followed by a ready to use LeicaDS9800 (Bond™ Polymer Refine Detection).

Nuclear staining on rat testis.
The section was incubated with ab316022 for 30 mins at room temperature.
The immunostaining was performed on a Leica Biosystems BOND® RX instrument

Counterstained with Hematoxylin.

Secondary antibody only control : Secondary antibody is a ready to use LeicaDS9800 (Bond™ Polymer Refine Detection).

Heat mediated antigen retrieval was performed with Tris-EDTA buffer (pH 9.0, Epitope Retrieval Solution2) for 20 mins

Immunoprecipitation - Anti-Survivin antibody [RM1086] - BSA and Azide free (AB316023)
  • IP

Supplier Data

Immunoprecipitation - Anti-Survivin antibody [RM1086] - BSA and Azide free (AB316023)

This data was developed using ab316022, the same antibody clone in a different buffer formulation.

Survivin was immunoprecipitated from 0.35 mg C6 (rat glial tumor glial cell) whole cell lysate with ab316022 at 1/30 dilution (2ug in 0.35mg lysates). Western blot was performed on the immunoprecipitate using ab316022 at 1/1000 dilution. VeriBlot for IP secondary antibody(HRP)(ab131366) was used at 1/5000 dilution.

Lane 1 : C6 (rat glial tumor glial cell) whole cell lysate
Lane 2 : ab316022 IP in C6 (rat glial tumor glial cell) whole cell lysate
Lane 3 : Rabbit monoclonal IgG (ab172730) instead of ab316022 in C6 whole cell lysate.

All lanes:

Immunoprecipitation - Anti-Survivin antibody [RM1086] (<a href='/en-us/products/primary-antibodies/survivin-antibody-rm1086-ab316022'>ab316022</a>) at 1/30 dilution

All lanes:

C6 (rat glial tumor glial cell) whole cell lysate

Secondary

All lanes:

Immunoprecipitation - VeriBlot for IP Detection Reagent (HRP) (<a href='/en-us/products/reagents/veriblot-for-ip-detection-reagent-hrp-ab131366'>ab131366</a>) at 1/5000 dilution

false

Exposure time: 180s

Immunoprecipitation - Anti-Survivin antibody [RM1086] - BSA and Azide free (AB316023)
  • IP

Supplier Data

Immunoprecipitation - Anti-Survivin antibody [RM1086] - BSA and Azide free (AB316023)

This data was developed using ab316022, the same antibody clone in a different buffer formulation.

Survivin was immunoprecipitated from 0.35 mg RAW 264.7 (mouse Abelson murine leukemia virus-induced tumor macrophage) whole cell lysate with ab316022 at 1/30 dilution (2ug in 0.35mg lysates). Western blot was performed on the immunoprecipitate using ab316022 at 1/1000 dilution. VeriBlot for IP secondary antibody(HRP)(ab131366) was used at 1/5000 dilution.

Lane 1 : RAW 264.7 (mouse Abelson murine leukemia virus-induced tumor macrophage) whole cell lysate
Lane 2 : ab316022 IP in RAW 264.7 (mouse Abelson murine leukemia virus-induced tumor macrophage) whole cell lysate
Lane 3 : Rabbit monoclonal IgG (ab172730) instead of ab316022 in RAW 264.7 whole cell lysate.

All lanes:

Immunoprecipitation - Anti-Survivin antibody [RM1086] (<a href='/en-us/products/primary-antibodies/survivin-antibody-rm1086-ab316022'>ab316022</a>) at 1/30 dilution

All lanes:

RAW 264.7 (mouse Abelson murine leukemia virus-induced tumor macrophage) whole cell lysate

Secondary

All lanes:

Immunoprecipitation - VeriBlot for IP Detection Reagent (HRP) (<a href='/en-us/products/reagents/veriblot-for-ip-detection-reagent-hrp-ab131366'>ab131366</a>) at 1/5000 dilution

false

Exposure time: 180s

Western blot - Anti-Survivin antibody [RM1086] - BSA and Azide free (AB316023)
  • WB

Supplier Data

Western blot - Anti-Survivin antibody [RM1086] - BSA and Azide free (AB316023)

This data was developed using ab316022, the same antibody clone in a different buffer formulation.

In Western blot, Anti-GAPDH antibody [EPR16891] - Loading Control (ab181602) staining at 1/200000 dilution.

Exposure time : Lanes 1-3 : 180 seconds, Lanes 4-5 : 37 seconds

All lanes:

Western blot - Anti-Survivin antibody [RM1086] (<a href='/en-us/products/primary-antibodies/survivin-antibody-rm1086-ab316022'>ab316022</a>) at 1/1000 dilution

Lane 1:

HepG2 (human hepatocellar carcinoma epithelial cell) whole cell lysate at 20 µg

Lane 2:

Neuro-2a (mouse neuroblastoma neuroblast) whole cell lysate at 20 µg

Lane 3:

C6 (rat glial tumor glial cell) whole cell lysate at 20 µg

Lane 4:

RAW 264.7 (mouse Abelson murine leukemia virus-induced tumor macrophage) whole cell lysate at 20 µg

Lane 5:

F9 (mouse embryonal carcinoma epithelial cell) whole cell lysate at 20 µg

Secondary

All lanes:

Western blot - Goat Anti-Rabbit IgG H&L (HRP) (<a href='/en-us/products/secondary-antibodies/goat-rabbit-igg-h-l-hrp-ab97051'>ab97051</a>) at 1/20000 dilution

Observed band size: 16 kDa,36 kDa

false

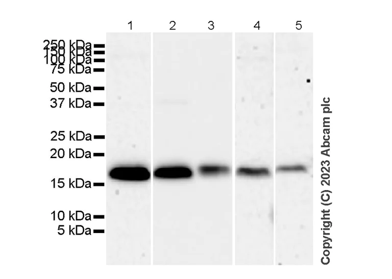
Western blot - Anti-Survivin antibody [RM1086] - BSA and Azide free (AB316023)
  • WB

Supplier Data

Western blot - Anti-Survivin antibody [RM1086] - BSA and Azide free (AB316023)

This data was developed using ab316022, the same antibody clone in a different buffer formulation.

Exposure time : Lanes 1 and 4 : 180 seconds; Lanes 2-3 and 5 : 37 seconds

All lanes:

Western blot - Anti-Survivin antibody [RM1086] (<a href='/en-us/products/primary-antibodies/survivin-antibody-rm1086-ab316022'>ab316022</a>) at 1/1000 dilution

Lane 1:

Mouse testis tissue lysate at 20 µg

Lane 2:

Mouse spleen tissue lysate at 20 µg

Lane 3:

Rat testis tissue lysate at 20 µg

Lane 4:

Rat spleen tissue lysate at 20 µg

Lane 5:

Human testis lysate at 20 µg

Secondary

All lanes:

Western blot - Goat Anti-Rabbit IgG H&L (HRP) (<a href='/en-us/products/secondary-antibodies/goat-rabbit-igg-h-l-hrp-ab97051'>ab97051</a>) at 1/20000 dilution

Observed band size: 16 kDa

false

Western blot - Anti-Survivin antibody [RM1086] - BSA and Azide free (AB316023)
  • WB

Supplier Data

Western blot - Anti-Survivin antibody [RM1086] - BSA and Azide free (AB316023)

This data was developed using ab316022, the same antibody clone in a different buffer formulation.

The expression profile/ molecular weight observed is consistent with what has been described in the literature (PMID : 9859993).

Anti-Histone H3 (phospho S10) antibody [EPR24060-36] (ab267372) at 1/1000 dilution was used as a control for nocodazole induced cell cycle arrest.

In Western blot, Anti-GAPDH antibody [EPR16891] - Loading Control (ab181602) staining at 1/200000 dilution.

All lanes:

Western blot - Anti-Survivin antibody [RM1086] (<a href='/en-us/products/primary-antibodies/survivin-antibody-rm1086-ab316022'>ab316022</a>) at 1/1000 dilution

Lane 1:

Untreated HeLa (human cervical adenocarcinoma epithelial cell) whole cell lysate at 20 µg

Lane 2:

HeLa treated with 400ng/ml nocodazole for 20 hours whole cell lysate at 20 µg

Secondary

All lanes:

Western blot - Goat Anti-Rabbit IgG H&L (HRP) (<a href='/en-us/products/secondary-antibodies/goat-rabbit-igg-h-l-hrp-ab97051'>ab97051</a>) at 1/100000 dilution

Observed band size: 16 kDa,36 kDa,15 kDa

false

Exposure time: 180s

Key facts

Host species

Rabbit

Clonality

Multiclonal

Clone number

RM1086

Isotype

IgG

Carrier free

Yes

Reacts with

Human, Mouse, Rat

Applications

IHC-P, ICC/IF, IP, WB

applications

Immunogen

The exact immunogen used to generate this antibody is proprietary information.

Specificity

Not suitable for human IHC-P.

Reactivity data

{ "title": "Reactivity Data", "filters": { "stats": ["", "Species", "Dilution Info", "Notes"], "tabs": { "all-applications": {"fullname" : "All Applications", "shortname": "All Applications"}, "WB" : {"fullname" : "Western blot", "shortname":"WB"}, "ICCIF" : {"fullname" : "Immunocytochemistry/ Immunofluorescence", "shortname":"ICC/IF"}, "IP" : {"fullname" : "Immunoprecipitation", "shortname":"IP"}, "IHCP" : {"fullname" : "Immunohistochemistry (Formalin/PFA-fixed paraffin-embedded sections)", "shortname":"IHC-P"}, "FlowCytIntra" : {"fullname" : "Flow Cytometry (Intracellular)", "shortname":"Flow Cyt (Intra)"} }, "product-promise": { "all": "all", "testedAndGuaranteed": "tested", "guaranteed": "expected", "predicted": "predicted", "notRecommended": "not-recommended" } }, "values": { "Human": { "WB-species-checked": "testedAndGuaranteed", "WB-species-dilution-info": "", "WB-species-notes": "<p></p>", "ICCIF-species-checked": "testedAndGuaranteed", "ICCIF-species-dilution-info": "", "ICCIF-species-notes": "<p></p>", "IP-species-checked": "testedAndGuaranteed", "IP-species-dilution-info": "", "IP-species-notes": "<p></p>", "IHCP-species-checked": "notRecommended", "IHCP-species-dilution-info": "", "IHCP-species-notes": "<p></p>", "FlowCytIntra-species-checked": "notRecommended", "FlowCytIntra-species-dilution-info": "", "FlowCytIntra-species-notes": "<p></p>" }, "Mouse": { "WB-species-checked": "testedAndGuaranteed", "WB-species-dilution-info": "", "WB-species-notes": "<p></p>", "ICCIF-species-checked": "guaranteed", "ICCIF-species-dilution-info": "", "ICCIF-species-notes": "", "IP-species-checked": "testedAndGuaranteed", "IP-species-dilution-info": "", "IP-species-notes": "<p></p>", "IHCP-species-checked": "testedAndGuaranteed", "IHCP-species-dilution-info": "", "IHCP-species-notes": "<p></p>", "FlowCytIntra-species-checked": "notRecommended", "FlowCytIntra-species-dilution-info": "", "FlowCytIntra-species-notes": "" }, "Rat": { "WB-species-checked": "testedAndGuaranteed", "WB-species-dilution-info": "", "WB-species-notes": "<p></p>", "ICCIF-species-checked": "guaranteed", "ICCIF-species-dilution-info": "", "ICCIF-species-notes": "", "IP-species-checked": "testedAndGuaranteed", "IP-species-dilution-info": "", "IP-species-notes": "<p></p>", "IHCP-species-checked": "testedAndGuaranteed", "IHCP-species-dilution-info": "", "IHCP-species-notes": "<p></p>", "FlowCytIntra-species-checked": "notRecommended", "FlowCytIntra-species-dilution-info": "", "FlowCytIntra-species-notes": "" } } }

Product details

ab316023 is the carrier-free version of ab316022.

What are recombinant multiclonals?
Recombinant multiclonals are a mixture of recombinant antibodies co-expressed from a library of heavy and light chains. They offer several advantages including:

  • - The sensitivity of polyclonal antibodies by recognising multiple epitopes
  • - High batch-to-batch consistency and reproducibility
  • - Improved sensitivity and specificity
  • - Long-term security of supply
  • - Animal-free batch production

View our range of recombinant multiclonal antibodies.

Patented technology
Our RabMAb® technology is a patented hybridoma-based technology for making rabbit monoclonal antibodies. For details on our patents, please refer to RabMAb® patents.

Conjugation ready
Our carrier-free antibodies are typically supplied in a PBS-only formulation, purified and free of BSA, sodium azide and glycerol. This conjugation-ready format is designed for use with fluorochromes, metal isotopes, oligonucleotides, and enzymes, which makes them ideal for antibody labelling, functional and cell-based assays, flow-based assays (e.g. mass cytometry) and Multiplex Imaging applications.

Use our conjugation kits for antibody conjugates that are ready-to-use in as little as 20 minutes with 1 minute hands-on-time and 100% antibody recovery: available for fluorescent dyes, HRP, biotin and gold.

Compatibility
This product is compatible with the Maxpar® Antibody Labeling Kit from Fluidigm, without the need for antibody preparation. Maxpar® is a trademark of Fluidigm Canada Inc.

Properties and storage information

Form
Liquid
Purification technique
Affinity purification Protein A
Storage buffer
pH: 7.2 - 7.4 Constituents: PBS
Shipped at conditions
Blue Ice
Appropriate short-term storage conditions
+4°C
Appropriate long-term storage conditions
+4°C

Supplementary information

This supplementary information is collated from multiple sources and compiled automatically.

Survivin also known as 'BIRC5 protein' is a small protein with a molecular weight of approximately 16.5 kDa. It belongs to the Inhibitor of Apoptosis (IAP) family carrying out its functions through inhibiting caspases and averting apoptosis. Survivin is expressed highly in embryonic tissues and various cancers but its expression in adult differentiated tissues is low. This selective expression pattern makes Survivin an attractive target for cancer research and therapeutic development.
Biological function summary

Survivin aids cell division and regulates apoptosis. It plays a major role as a chromosomal passenger protein functioning in concert with other members of the chromosomal passenger complex including Aurora B kinase INCENP and Borealin. During mitosis Survivin helps ensure proper chromosome alignment segregation and cytokinesis. Its ability to inhibit apoptosis allows it to enhance cell survival contributing to tumor progression when deregulated.

Pathways

Survivin is part of the cell cycle regulation and apoptosis pathways. It plays an integral role in the mitotic spindle checkpoint working closely with Aurora B kinase to regulate mitosis. Additionally the protein interfaces with the extrinsic apoptosis pathway interacting with members like XIAP to prevent caspase activation and cell death. These interactions reveal Survivin's dual function in promoting mitosis and regulating apoptosis which is essential for maintaining cellular homeostasis.

Survivin is highly connected to cancer and neurodegenerative disorders. Its overexpression links with cancers such as colorectal cancer where it promotes malignancy through inhibiting apoptosis and ensuring unchecked cell division. In neurodegenerative disorders abnormal regulation of Survivin could lead to insufficient cellular survival contributing to diseases like Alzheimer's. The relationship between Survivin and XIAP in cancer highlights its potential as a therapeutic target aiming to induce apoptosis in cancer cells by overcoming Survivin-mediated resistance.

Product protocols

For this product, it's our understanding that no specific protocols are required. You can visit:

Target data

Multitasking protein that has dual roles in promoting cell proliferation and preventing apoptosis (PubMed : 20627126, PubMed : 21364656, PubMed : 25778398, PubMed : 28218735, PubMed : 9859993). Component of a chromosome passage protein complex (CPC) which is essential for chromosome alignment and segregation during mitosis and cytokinesis (PubMed : 16322459). Acts as an important regulator of the localization of this complex; directs CPC movement to different locations from the inner centromere during prometaphase to midbody during cytokinesis and participates in the organization of the center spindle by associating with polymerized microtubules (PubMed : 20826784). Involved in the recruitment of CPC to centromeres during early mitosis via association with histone H3 phosphorylated at 'Thr-3' (H3pT3) during mitosis (PubMed : 20929775). The complex with RAN plays a role in mitotic spindle formation by serving as a physical scaffold to help deliver the RAN effector molecule TPX2 to microtubules (PubMed : 18591255). May counteract a default induction of apoptosis in G2/M phase (PubMed : 9859993). The acetylated form represses STAT3 transactivation of target gene promoters (PubMed : 20826784). May play a role in neoplasia (PubMed : 10626797). Inhibitor of CASP3 and CASP7 (PubMed : 21536684). Essential for the maintenance of mitochondrial integrity and function (PubMed : 25778398). Isoform 2 and isoform 3 do not appear to play vital roles in mitosis (PubMed : 12773388, PubMed : 16291752). Isoform 3 shows a marked reduction in its anti-apoptotic effects when compared with the displayed wild-type isoform (PubMed : 10626797).
See full target information BIRC5

Product promise

We are committed to supporting your work with high-quality reagents, and we're here for you every step of the way. In the unlikely event that one of our products does not perform as expected, you're protected by our Product Promise.
For full details, please see our Terms & Conditions

Please note: All products are 'FOR RESEARCH USE ONLY. NOT FOR USE IN DIAGNOSTIC OR THERAPEUTIC PROCEDURES'.

For licensing inquiries, please contact partnerships@abcam.com