JavaScript is disabled in your browser. Please enable JavaScript to view this website.
AB121214

Anti-SUSD2 antibody

Be the first to review this product! Submit a review

|

(5 Publications)

Rabbit Polyclonal SUSD2 antibody. Suitable for IHC-P and reacts with Human samples. Cited in 5 publications. Immunogen corresponding to Recombinant Fragment Protein within Human SUSD2 aa 500-700.

View Alternative Names

Sushi domain-containing protein 2, SUSD2

3 Images
Immunohistochemistry (Formalin/PFA-fixed paraffin-embedded sections) - Anti-SUSD2 antibody (AB121214)
  • IHC-P

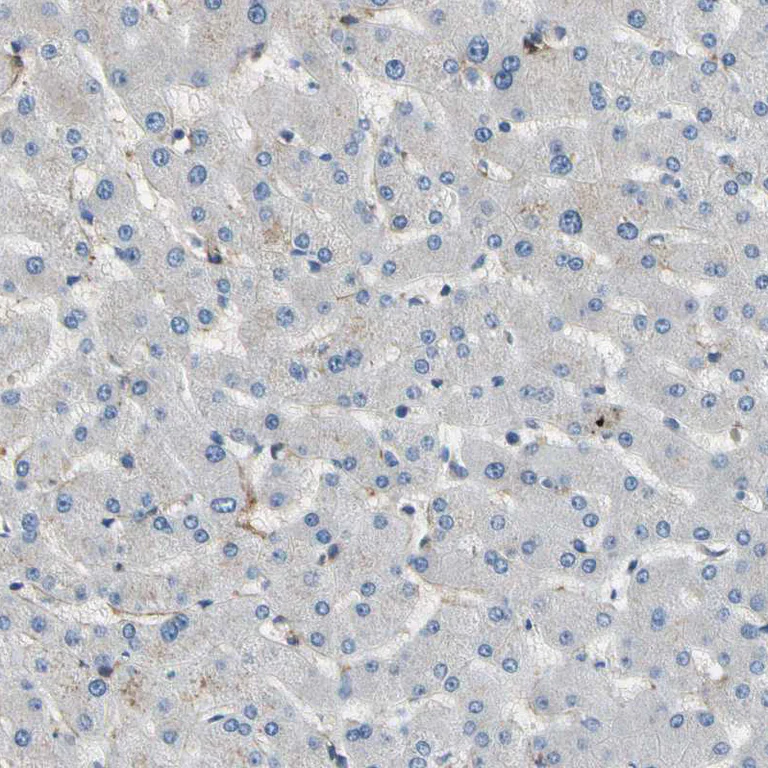
Supplier Data

Immunohistochemistry (Formalin/PFA-fixed paraffin-embedded sections) - Anti-SUSD2 antibody (AB121214)

Immunohistochemistry (Formalin/PFA-fixed paraffin-embedded sections) analysis of human liver tissue labelling SUSD2 with ab121214 at 1/500 dilution. Heat mediated antigen retrieval performed with citrate buffer pH 6 before commencing with IHC staining protocol.

Immunohistochemistry (Formalin/PFA-fixed paraffin-embedded sections) - Anti-SUSD2 antibody (AB121214)
  • IHC-P

Supplier Data

Immunohistochemistry (Formalin/PFA-fixed paraffin-embedded sections) - Anti-SUSD2 antibody (AB121214)

Immunohistochemistry (Formalin/PFA-fixed paraffin-embedded sections) analysis of human duodenum tissue labelling SUSD2 with ab121214 at 1/500 dilution. Heat mediated antigen retrieval performed with citrate buffer pH 6 before commencing with IHC staining protocol.

Immunohistochemistry (Formalin/PFA-fixed paraffin-embedded sections) - Anti-SUSD2 antibody (AB121214)
  • IHC-P

Supplier Data

Immunohistochemistry (Formalin/PFA-fixed paraffin-embedded sections) - Anti-SUSD2 antibody (AB121214)

Immunohistochemistry (Formalin/PFA-fixed paraffin-embedded sections) analysis of human lung tissue labelling SUSD2 with ab121214 at 1/500 dilution. Heat mediated antigen retrieval performed with citrate buffer pH 6 before commencing with IHC staining protocol.

Key facts

Host species

Rabbit

Clonality

Polyclonal

Isotype

IgG

Carrier free

No

Reacts with

Human

Applications

IHC-P

applications

Immunogen

Recombinant Fragment Protein within Human SUSD2 aa 500-700. The exact immunogen used to generate this antibody is proprietary information.

Q9UGT4

Reactivity data

{ "title": "Reactivity Data", "filters": { "stats": ["", "Species", "Dilution Info", "Notes"], "tabs": { "all-applications": {"fullname" : "All Applications", "shortname": "All Applications"}, "IHCP" : {"fullname" : "Immunohistochemistry (Formalin/PFA-fixed paraffin-embedded sections)", "shortname":"IHC-P"} }, "product-promise": { "all": "all", "testedAndGuaranteed": "tested", "guaranteed": "expected", "predicted": "predicted", "notRecommended": "not-recommended" } }, "values": { "Human": { "IHCP-species-checked": "testedAndGuaranteed", "IHCP-species-dilution-info": "1/500 - 1/1000", "IHCP-species-notes": "<p></p> Perform heat-mediated antigen retrieval with citrate buffer pH 6 before commencing with IHC staining protocol." } } }

Properties and storage information

Form
Liquid
Purification technique
Affinity purification Immunogen
Storage buffer
pH: 7.2 Preservative: 0.02% Sodium azide Constituents: PBS, 40% Glycerol (glycerin, glycerine)
Shipped at conditions
Blue Ice
Appropriate short-term storage conditions
+4°C
Appropriate long-term storage conditions
-20°C
Aliquoting information
Upon delivery aliquot
Storage information
Avoid freeze / thaw cycle

Supplementary information

This supplementary information is collated from multiple sources and compiled automatically.

SUSD2 also known as Sushi Domain Containing 2 is a protein involved in cellular activities such as cell adhesion and signaling. The protein has a molecular mass of approximately 80 kDa. SUSD2 expresses in various tissues including the brain lungs and reproductive organs. It often localizes at the cell membrane where it participates in interactions with other cellular components.
Biological function summary

This protein contributes to cellular communication and immune regulation. SUSD2 is a part of complexes that help mediate cell-to-cell interactions. These complexes play roles in the immune response influencing how the body responds to different stimuli. SUSD2 modulates activities such as phagocytosis and cell migration which are important in maintaining a healthy immune system.

Pathways

SUSD2 is involved in immune-related and cellular signaling pathways. It interacts with proteins like integrins and collagens which are involved in the extracellular matrix organization pathway. SUSD2 also participates in pathways related to immune regulation working together with proteins such as TNF-alpha and interleukins. This involvement is important for coordinating cellular responses necessary for immune defense.

SUSD2 possesses links to cancer and autoimmune diseases. Research indicates its possible involvement in certain cancer types like breast cancer where it might interact with oncogenes and tumor suppressors. SUSD2 also shows associations with autoimmune diseases possibly due to its role in immune system regulation. In cases such as rheumatoid arthritis it may interact with inflammatory cytokines contributing to disease pathology.

Product protocols

For this product, it's our understanding that no specific protocols are required. You can visit:

Target data

May be a cytokine receptor for GPR15LG. May be a tumor suppressor; together with GPR15LG has a growth inhibitory effect on colon cancer cells which includes G1 cell cycle arrest (PubMed : 25351403). May play a role in breast tumorigenesis (PubMed : 23131994).
See full target information SUSD2

Publications (5)

Recent publications for all applications. Explore the full list and refine your search

Cells 14: PubMed39791720

2025

Induction of SUSD2 by STAT3 Activation Is Associated with Tumor Recurrence in HER2-Positive Breast Cancer.

Applications

Unspecified application

Species

Unspecified reactive species

Yisun Jeong,Hyungjoo Kim,Daeun You,Soo Youn Cho,Sun Young Yoon,Seok Won Kim,Seok Jin Nam,Jeong Eon Lee,Sangmin Kim

Journal of personalized medicine 11: PubMed33922226

2021

Characterization of the Endometrial MSC Marker Ectonucleoside Triphosphate Diphosphohydrolase-2 (NTPDase2/CD39L1) in Low- and High-Grade Endometrial Carcinomas: Loss of Stromal Expression in the Invasive Phenotypes.

Applications

Unspecified application

Species

Unspecified reactive species

Aitor Rodríguez-Martínez,Carla Trapero,August Vidal,Josep Maria Piulats,Inmaculada Gómez de Aranda,Jean Sévigny,Maria Eulàlia Fernández-Montolí,Jordi Ponce,Xavier Matias-Guiu,Mireia Martín-Satué

Frontiers in pharmacology 12:630210 PubMed33841151

2021

Jian-Pi-Yi-Shen Formula Ameliorates Oxidative Stress, Inflammation, and Apoptosis by Activating the Nrf2 Signaling in 5/6 Nephrectomized Rats.

Applications

Unspecified application

Species

Unspecified reactive species

Fanyuan Zhou,Xiaohu Zou,Jing Zhang,Ziwei Wang,Yajun Yang,Dongtao Wang

International journal of molecular sciences 20: PubMed31698766

2019

Impaired Expression of Ectonucleotidases in Ectopic and Eutopic Endometrial Tissue Is in Favor of ATP Accumulation in the Tissue Microenvironment in Endometriosis.

Applications

Unspecified application

Species

Unspecified reactive species

Carla Trapero,August Vidal,Maria Eulàlia Fernández-Montolí,Buenaventura Coroleu,Francesc Tresserra,Pere Barri,Inmaculada Gómez de Aranda,Jean Sévigny,Jordi Ponce,Xavier Matias-Guiu,Mireia Martín-Satué

Purinergic signalling 15:225-236 PubMed31123897

2019

The ectonucleoside triphosphate diphosphohydrolase-2 (NTPDase2) in human endometrium: a novel marker of basal stroma and mesenchymal stem cells.

Applications

Unspecified application

Species

Unspecified reactive species

Carla Trapero,August Vidal,Aitor Rodríguez-Martínez,Jean Sévigny,Jordi Ponce,Buenaventura Coroleu,Xavier Matias-Guiu,Mireia Martín-Satué
View all publications

Product promise

We are committed to supporting your work with high-quality reagents, and we're here for you every step of the way. In the unlikely event that one of our products does not perform as expected, you're protected by our Product Promise.
For full details, please see our Terms & Conditions

Please note: All products are 'FOR RESEARCH USE ONLY. NOT FOR USE IN DIAGNOSTIC OR THERAPEUTIC PROCEDURES'.

For licensing inquiries, please contact partnerships@abcam.com