JavaScript is disabled in your browser. Please enable JavaScript to view this website.
AB236322

Anti-SUZ12 antibody

Be the first to review this product! Submit a review

|

(2 Publications)

Rabbit Polyclonal SUZ12 antibody. Suitable for WB, IHC-P, ICC/IF and reacts with Rat, Human samples. Cited in 2 publications. Immunogen corresponding to Recombinant Fragment Protein within Human SUZ12 aa 100-350.

View Alternative Names

CHET9, JJAZ1, KIAA0160, SUZ12, Polycomb protein SUZ12, Chromatin precipitated E2F target 9 protein, Joined to JAZF1 protein, Suppressor of zeste 12 protein homolog, ChET 9 protein

3 Images
Immunocytochemistry/ Immunofluorescence - Anti-SUZ12 antibody (AB236322)
  • ICC/IF

Supplier Data

Immunocytochemistry/ Immunofluorescence - Anti-SUZ12 antibody (AB236322)

HepG2 (human liver hepatocellular carcinoma cell line) cells stained for SUZ12 (green) using ab236322 at 1/100 dilution in ICC/IF, followed by Alexa Fluor 488® conjugated Goat Anti-Rabbit IgG (H+L).

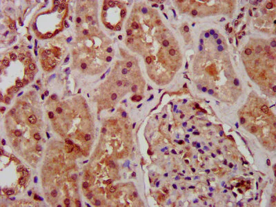
Immunohistochemistry (Formalin/PFA-fixed paraffin-embedded sections) - Anti-SUZ12 antibody (AB236322)
  • IHC-P

Supplier Data

Immunohistochemistry (Formalin/PFA-fixed paraffin-embedded sections) - Anti-SUZ12 antibody (AB236322)

Paraffin-embedded human kidney tissue stained for SUZ12 using ab236322 at 1/1000 dilution in immunohistochemical analysis.

After dewaxing and hydration, antigen retrieval was mediated by high pressure in a citrate buffer (pH 6.0). Section was blocked with 10% normal goat serum 30min at RT. Then primary antibody (1% BSA) was incubated at 4°C overnight. The primary is detected by a biotinylated secondary antibody and visualized tissue using an HRP conjugated SP system.

Western blot - Anti-SUZ12 antibody (AB236322)
  • WB

Supplier Data

Western blot - Anti-SUZ12 antibody (AB236322)

All lanes:

Western blot - Anti-SUZ12 antibody (ab236322) at 1/500 dilution

Lane 1:

Rat kidney lysate

Lane 2:

Rat liver lysate

Secondary

All lanes:

Goat polyclonal to rabbit IgG at 1/50000 dilution

Predicted band size: 83 kDa

false

Key facts

Host species

Rabbit

Clonality

Polyclonal

Isotype

IgG

Carrier free

No

Reacts with

Rat, Human

Applications

WB, IHC-P, ICC/IF

applications

Immunogen

Recombinant Fragment Protein within Human SUZ12 aa 100-350. The exact immunogen used to generate this antibody is proprietary information.

Q15022

Reactivity data

{ "title": "Reactivity Data", "filters": { "stats": ["", "Species", "Dilution Info", "Notes"], "tabs": { "all-applications": {"fullname" : "All Applications", "shortname": "All Applications"}, "WB" : {"fullname" : "Western blot", "shortname":"WB"}, "IHCP" : {"fullname" : "Immunohistochemistry (Formalin/PFA-fixed paraffin-embedded sections)", "shortname":"IHC-P"}, "ICCIF" : {"fullname" : "Immunocytochemistry/ Immunofluorescence", "shortname":"ICC/IF"} }, "product-promise": { "all": "all", "testedAndGuaranteed": "tested", "guaranteed": "expected", "predicted": "predicted", "notRecommended": "not-recommended" } }, "values": { "Human": { "WB-species-checked": "guaranteed", "WB-species-dilution-info": "", "WB-species-notes": "", "IHCP-species-checked": "testedAndGuaranteed", "IHCP-species-dilution-info": "1/1000 - 1/2000", "IHCP-species-notes": "<p></p>", "ICCIF-species-checked": "testedAndGuaranteed", "ICCIF-species-dilution-info": "1/50 - 1/500", "ICCIF-species-notes": "<p></p>" }, "Mouse": { "WB-species-checked": "predicted", "WB-species-dilution-info": "", "WB-species-notes": "", "IHCP-species-checked": "predicted", "IHCP-species-dilution-info": "", "IHCP-species-notes": "", "ICCIF-species-checked": "predicted", "ICCIF-species-dilution-info": "", "ICCIF-species-notes": "" }, "Rat": { "WB-species-checked": "testedAndGuaranteed", "WB-species-dilution-info": "1/500 - 1/5000", "WB-species-notes": "<p></p>", "IHCP-species-checked": "guaranteed", "IHCP-species-dilution-info": "", "IHCP-species-notes": "", "ICCIF-species-checked": "guaranteed", "ICCIF-species-dilution-info": "", "ICCIF-species-notes": "" } } }

Properties and storage information

Form
Liquid
Purification technique
Affinity purification Protein G
Purification notes
Purity >95%.
Storage buffer
pH: 7.4 Preservative: 0.03% Proclin 300 Constituents: PBS, 50% Glycerol (glycerin, glycerine)
Shipped at conditions
Blue Ice
Appropriate short-term storage duration
1-2 weeks
Appropriate short-term storage conditions
+4°C
Appropriate long-term storage conditions
-20°C
Aliquoting information
Upon delivery aliquot
Storage information
Avoid freeze / thaw cycle

Product protocols

For this product, it's our understanding that no specific protocols are required. You can visit:

Target data

Polycomb group (PcG) protein. Component of the PRC2 complex, which methylates 'Lys-9' (H3K9me) and 'Lys-27' (H3K27me) of histone H3, leading to transcriptional repression of the affected target gene (PubMed : 15225548, PubMed : 15231737, PubMed : 15385962, PubMed : 16618801, PubMed : 17344414, PubMed : 18285464, PubMed : 28229514, PubMed : 29499137, PubMed : 31959557). The PRC2 complex may also serve as a recruiting platform for DNA methyltransferases, thereby linking two epigenetic repression systems (PubMed : 12351676, PubMed : 12435631, PubMed : 15099518, PubMed : 15225548, PubMed : 15385962, PubMed : 15684044, PubMed : 16431907, PubMed : 18086877, PubMed : 18285464). Genes repressed by the PRC2 complex include HOXC8, HOXA9, MYT1 and CDKN2A (PubMed : 15231737, PubMed : 16618801, PubMed : 17200670, PubMed : 31959557).
See full target information SUZ12

Publications (2)

Recent publications for all applications. Explore the full list and refine your search

Journal of neuroinflammation 18:197 PubMed34511122

2021

LncRNA HOXA-AS2 regulates microglial polarization via recruitment of PRC2 and epigenetic modification of PGC-1α expression.

Applications

Unspecified application

Species

Unspecified reactive species

Xiaodong Yang,Yi Zhang,Yimeng Chen,Xiaoqin He,Yiwei Qian,Shaoqing Xu,Chao Gao,Chengjun Mo,Shengdi Chen,Qin Xiao

Journal of Cancer 10:1375-1384 PubMed31031847

2019

The Down-Regulation of SUZ12 Accelerates the Migration and Invasion of Liver Cancer Cells via Activating ERK1/2 Pathway.

Applications

Unspecified application

Species

Unspecified reactive species

Cailin Xue,Kunyuan Wang,Xiaofeng Jiang,Chengxin Gu,Ganxiang Yu,Yun Zhong,Shiming Liu,Yuqiang Nie,Yongjian Zhou,Hui Yang
View all publications

Product promise

We are committed to supporting your work with high-quality reagents, and we're here for you every step of the way. In the unlikely event that one of our products does not perform as expected, you're protected by our Product Promise.
For full details, please see our Terms & Conditions

Please note: All products are 'FOR RESEARCH USE ONLY. NOT FOR USE IN DIAGNOSTIC OR THERAPEUTIC PROCEDURES'.

For licensing inquiries, please contact partnerships@abcam.com