JavaScript is disabled in your browser. Please enable JavaScript to view this website.
AB307892

Anti-SUZ12 antibody [EPR26230-82] - BSA and Azide free

Be the first to review this product! Submit a review

|

(0 Publication)

Knockout Tested Rabbit Recombinant Monoclonal SUZ12 antibody. Carrier free. Suitable for WB, IHC-P, ICC/IF, Flow Cyt (Intra) and reacts with Human, Mouse, Rat samples.

View Alternative Names

CHET9, JJAZ1, KIAA0160, SUZ12, Polycomb protein SUZ12, Chromatin precipitated E2F target 9 protein, Joined to JAZF1 protein, Suppressor of zeste 12 protein homolog, ChET 9 protein

12 Images
Immunohistochemistry (Formalin/PFA-fixed paraffin-embedded sections) - Anti-SUZ12 antibody [EPR26230-82] - BSA and Azide free (AB307892)
  • IHC-P

Supplier Data

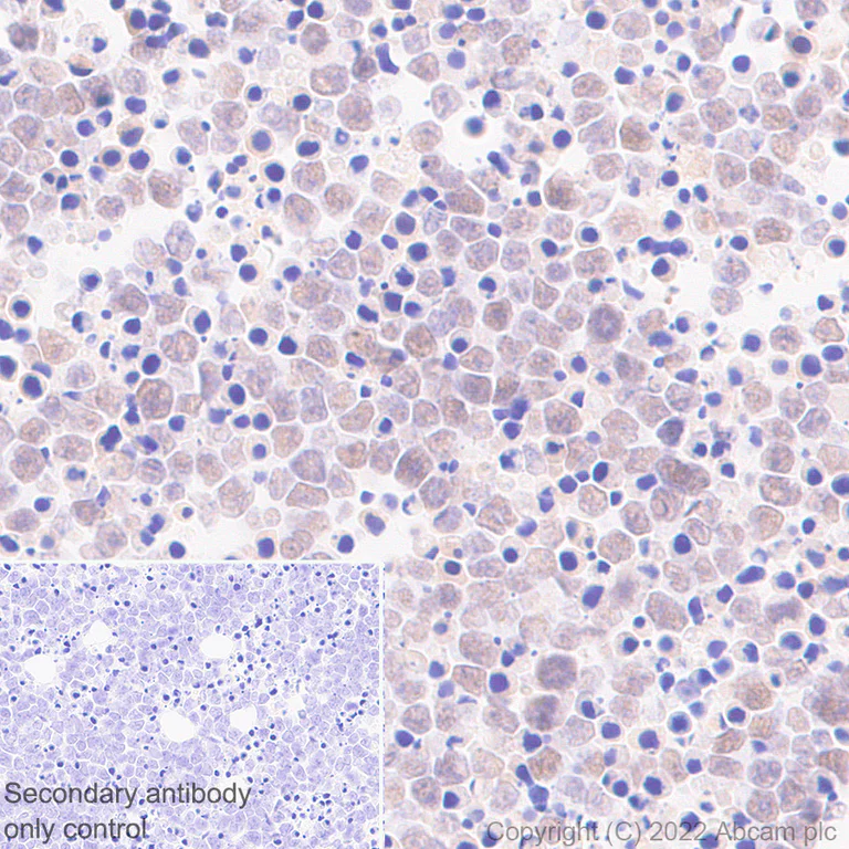
Immunohistochemistry (Formalin/PFA-fixed paraffin-embedded sections) - Anti-SUZ12 antibody [EPR26230-82] - BSA and Azide free (AB307892)

This data was produced using ab307891 the same antibody clone but in a different buffer. Immunohistochemical analysis of paraffin-embedded human diffuse large B-cell lymphoma tissue labeling SUZ12 with ab307891 at 1/200 dilution (2.465 μg/ml) followed by ready to use LeicaDS9800 (Bond® Polymer Refine Detection). Nuclear staining in human diffuse large B-cell lymphoma (PMID : 20558579). The section was incubated with ab307891 for 30 mins at room temperature. The immunostaining was performed on a Leica Biosystems BOND® RX instrument. Counterstained with Hematoxylin. Secondary antibody only control : Secondary antibody is ready to use LeicaDS9800 (Bond® Polymer Refine Detection). Heat mediated antigen retrieval was performed with Tris-EDTA buffer (pH 9.0, Epitope Retrieval Solution2) for 20 mins.

Immunohistochemistry (Formalin/PFA-fixed paraffin-embedded sections) - Anti-SUZ12 antibody [EPR26230-82] - BSA and Azide free (AB307892)
  • IHC-P

Supplier Data

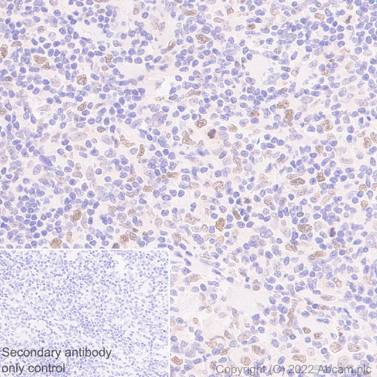
Immunohistochemistry (Formalin/PFA-fixed paraffin-embedded sections) - Anti-SUZ12 antibody [EPR26230-82] - BSA and Azide free (AB307892)

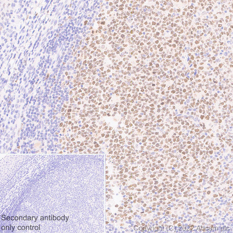
This data was produced using ab307891 the same antibody clone but in a different buffer. Immunohistochemical analysis of paraffin-embedded human tonsil tissue labeling SUZ12 with ab307891 at 1/200 dilution (2.465 μg/ml) followed by ready to use LeicaDS9800 (Bond® Polymer Refine Detection). Nuclear staining in human tonsil germinal center (PMID : 20558579). The section was incubated with ab307891 for 30 mins at room temperature. The immunostaining was performed on a Leica Biosystems BOND® RX instrument. Counterstained with Hematoxylin. Secondary antibody only control : Secondary antibody is ready to use LeicaDS9800 (Bond® Polymer Refine Detection). Heat mediated antigen retrieval was performed with Tris-EDTA buffer (pH 9.0, Epitope Retrieval Solution2) for 20 mins.

Immunocytochemistry/ Immunofluorescence - Anti-SUZ12 antibody [EPR26230-82] - BSA and Azide free (AB307892)
  • ICC/IF

Supplier Data

Immunocytochemistry/ Immunofluorescence - Anti-SUZ12 antibody [EPR26230-82] - BSA and Azide free (AB307892)

This data was produced using ab307891 the same antibody clone but in a different buffer. Immunofluorescent analysis of 4% Paraformaldehyde-fixed, 0.1% Triton X-100 permeabilized HeLa (human cervix adenocarcinoma epithelial cell) cells labeling SUZ12 with ab307891 at 1/50 dilution (9.86 ug/ml) followed by ab150081 Goat Anti-Rabbit IgG H&L (Alexa Fluor® 488) preadsorbed antibody at 1/1000 dilution (2 ug/mL) (Green). Confocal image showing nuclear staining in HeLa cell line. Image was taken with a confocal microscope(Leica-Microsystems, TCS SP8). ab195889 Anti-alpha Tubulin mouse monoclonal antibody - Microtubule Marker (Alexa Fluor® 594) was used to counterstain tubulin at 1/200 dilution (2.5 ug/ml) (Red). Nuclear counterstain was DAPI (Blue). Secondary antibody only control : Secondary antibody is ab150081 Goat Anti-Rabbit IgG H&L (Alexa Fluor® 488) preadsorbed at 1/1000 dilution (2 ug/mL).

Immunocytochemistry/ Immunofluorescence - Anti-SUZ12 antibody [EPR26230-82] - BSA and Azide free (AB307892)
  • ICC/IF

Supplier Data

Immunocytochemistry/ Immunofluorescence - Anti-SUZ12 antibody [EPR26230-82] - BSA and Azide free (AB307892)

This data was produced using ab307891 the same antibody clone but in a different buffer. Immunofluorescent analysis of 4% Paraformaldehyde-fixed, 0.1% Triton X-100 permeabilized SUZ12 KO HAP1 (human chronic myelogenous leukemia near-haploid cell) cells labeling SUZ12 with ab307891 at 1/50 dilution (9.86 ug/ml) followed by ab150081 Goat Anti-Rabbit IgG H&L (Alexa Fluor® 488) preadsorbed antibody at 1/1000 dilution (2 ug/mL) (Green). Confocal image showing nuclear staining in parental HAP1 cells. Image was taken with a confocal microscope(Leica-Microsystems, TCS SP8). ab195889 Anti-alpha Tubulin mouse monoclonal antibody - Microtubule Marker (Alexa Fluor® 594) was used to counterstain tubulin at 1/200 dilution (2.5 ug/ml) (Red). Nuclear counterstain was DAPI (Blue). Secondary antibody only control : Secondary antibody is ab150081 Goat Anti-Rabbit IgG H&L (Alexa Fluor® 488) preadsorbed at 1/1000 dilution (2 ug/mL).

Flow Cytometry (Intracellular) - Anti-SUZ12 antibody [EPR26230-82] - BSA and Azide free (AB307892)
  • Flow Cyt (Intra)

Supplier Data

Flow Cytometry (Intracellular) - Anti-SUZ12 antibody [EPR26230-82] - BSA and Azide free (AB307892)

This data was produced using ab307891 the same antibody clone but in a different buffer. Flow cytometric analysis of 4% paraformaldehyde fixed 90% methanol permeabilized F9 (mouse embryonal carcinoma epithelial cell) cells labeling SUZ12 with ab307891 at 1/50 dilution (1 ug) (Red) compared with a Rabbit monoclonal IgG (ab172730) (Black) isotype control and an unlabeled control (cells without incubation with primary antibody and secondary antibody) (Blue). A Goat Anti-Rabbit IgG (Alexa Fluor® 488, ab150081) at 1/5000 dilution was used as the secondary antibody.

Immunohistochemistry (Formalin/PFA-fixed paraffin-embedded sections) - Anti-SUZ12 antibody [EPR26230-82] - BSA and Azide free (AB307892)
  • IHC-P

Supplier Data

Immunohistochemistry (Formalin/PFA-fixed paraffin-embedded sections) - Anti-SUZ12 antibody [EPR26230-82] - BSA and Azide free (AB307892)

This data was produced using ab307891 the same antibody clone but in a different buffer. Immunohistochemical analysis of paraffin-embedded mouse large B-cell lymphoma tissue labeling SUZ12 with ab307891 at 1/1000 dilution (0.493 ug/ml) followed by ready to use LeicaDS9800 (Bond® Polymer Refine Detection). Nuclear staining in mosue large B-cell lymphoma. The section was incubated with ab307891 for 30 mins at room temperature. The immunostaining was performed on a Leica Biosystems BOND® RX instrument. Counterstained with Hematoxylin. Secondary antibody only control : Secondary antibody is ready to use LeicaDS9800 (Bond® Polymer Refine Detection). Heat mediated antigen retrieval was performed with Tris-EDTA buffer (pH 9.0, Epitope Retrieval Solution2) for 20 mins.

Immunohistochemistry (Formalin/PFA-fixed paraffin-embedded sections) - Anti-SUZ12 antibody [EPR26230-82] - BSA and Azide free (AB307892)
  • IHC-P

Supplier Data

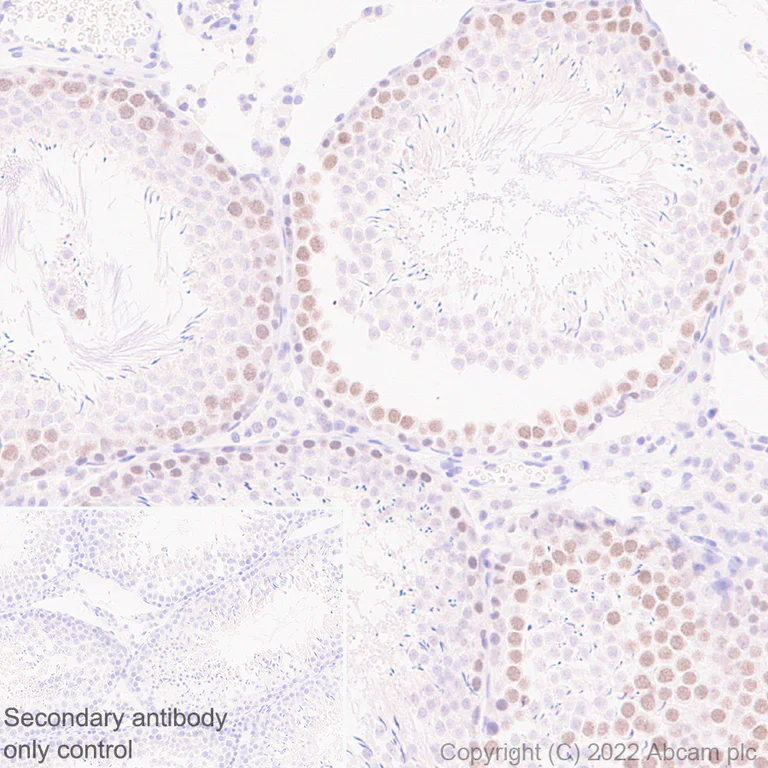
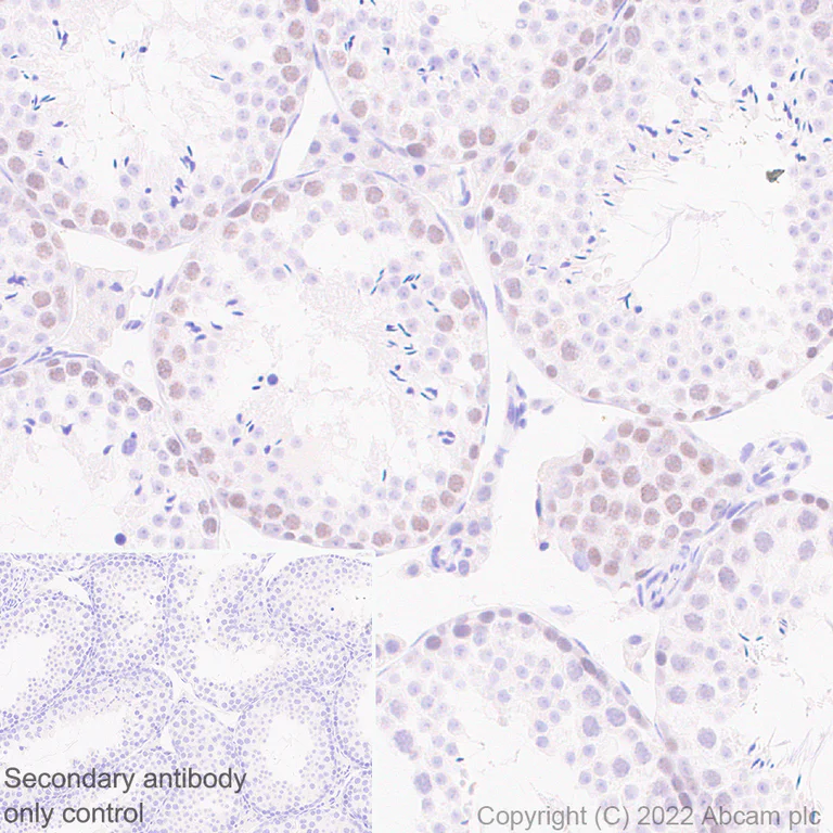
Immunohistochemistry (Formalin/PFA-fixed paraffin-embedded sections) - Anti-SUZ12 antibody [EPR26230-82] - BSA and Azide free (AB307892)

This data was produced using ab307891 the same antibody clone but in a different buffer. Immunohistochemical analysis of paraffin-embedded rat testis tissue labeling SUZ12 with ab307891 at 1/1000 dilution (0.493 ug/ml) followed by ready to use LeicaDS9800 (Bond® Polymer Refine Detection). Nuclear staining in rat testis. The section was incubated with ab307891 for 30 mins at room temperature. The immunostaining was performed on a Leica Biosystems BOND® RX instrument. Counterstained with Hematoxylin. Secondary antibody only control : Secondary antibody is ready to use LeicaDS9800 (Bond® Polymer Refine Detection). Heat mediated antigen retrieval was performed with Tris-EDTA buffer (pH 9.0, Epitope Retrieval Solution2) for 20 mins.

Immunocytochemistry/ Immunofluorescence - Anti-SUZ12 antibody [EPR26230-82] - BSA and Azide free (AB307892)
  • ICC/IF

Supplier Data

Immunocytochemistry/ Immunofluorescence - Anti-SUZ12 antibody [EPR26230-82] - BSA and Azide free (AB307892)

This data was produced using ab307891 the same antibody clone but in a different buffer. Immunofluorescent analysis of 4% Paraformaldehyde-fixed, 0.1% Triton X-100 permeabilized F9 (mouse embryonal carcinoma epithelial cell) cells labeling SUZ12 with ab307891 at 1/50 dilution (9.86 ug/ml) followed by ab150081 Goat Anti-Rabbit IgG H&L (Alexa Fluor® 488) preadsorbed antibody at 1/1000 dilution (2 ug/mL) (Green). Confocal image showing nuclear staining in F9 cell line. Image was taken with a confocal microscope(Leica-Microsystems, TCS SP8). ab195889 Anti-alpha Tubulin mouse monoclonal antibody - Microtubule Marker (Alexa Fluor® 594) was used to counterstain tubulin at 1/200 dilution (2.5 ug/ml) (Red). Nuclear counterstain was DAPI (Blue). Secondary antibody only control : Secondary antibody is ab150081 Goat Anti-Rabbit IgG H&L (Alexa Fluor® 488) preadsorbed at 1/1000 dilution (2 ug/mL).

Immunohistochemistry (Formalin/PFA-fixed paraffin-embedded sections) - Anti-SUZ12 antibody [EPR26230-82] - BSA and Azide free (AB307892)
  • IHC-P

Supplier Data

Immunohistochemistry (Formalin/PFA-fixed paraffin-embedded sections) - Anti-SUZ12 antibody [EPR26230-82] - BSA and Azide free (AB307892)

This data was produced using ab307891 the same antibody clone but in a different buffer. Immunohistochemical analysis of paraffin-embedded mouse testis tissue labeling SUZ12 with ab307891 at 1/1000 dilution (0.493 ug/ml) followed by ready to use LeicaDS9800 (Bond® Polymer Refine Detection). Nuclear staining in mouse testis. The section was incubated with ab307891 for 30 mins at room temperature. The immunostaining was performed on a Leica Biosystems BOND® RX instrument. Counterstained with Hematoxylin. Secondary antibody only control : Secondary antibody is ready to use LeicaDS9800 (Bond® Polymer Refine Detection). Heat mediated antigen retrieval was performed with Tris-EDTA buffer (pH 9.0, Epitope Retrieval Solution2) for 20 mins.

Western blot - Anti-SUZ12 antibody [EPR26230-82] - BSA and Azide free (AB307892)
  • WB

Supplier Data

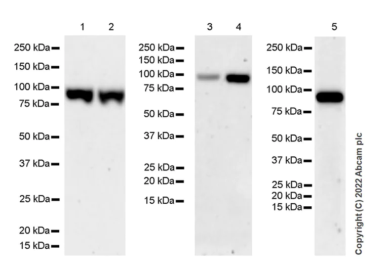
Western blot - Anti-SUZ12 antibody [EPR26230-82] - BSA and Azide free (AB307892)

This data was produced using ab307891 the same antibody clone but in a different buffer. Blocking/Dilution buffer : 5% NFDM/TBST. Exposure times : Lane1 and 2 : 81 seconds Lane 3-5 : 3 minutes Lysates were freshly made and used immediately to minimize protein degradation. The blot of lane 3-5 were developed using a high sensitivity ECL substrate.

All lanes:

Western blot - Anti-SUZ12 antibody [EPR26230-82] (<a href='/en-us/products/primary-antibodies/suz12-antibody-epr26230-82-ab307891'>ab307891</a>) at 1/1000 dilution

Lane 1:

293T (human embryonic kidney epithelial cell) whole cell lysate at 20 µg

Lane 2:

NIH/3T3 (mouse embryonic fibroblast), whole cell lysate at 20 µg

Lane 3:

U-87 MG (human glioblastoma-astrocytoma epithelial cell) whole cell lysate at 20 µg

Lane 4:

SH-SY5Y (human neuroblastoma epithelial cell) whole cell lysate at 20 µg

Lane 5:

NCCIT (human pluripotent embryonic carcinoma epithelial cell) whole cell lysate at 20 µg

Secondary

All lanes:

Western blot - Goat Anti-Rabbit IgG H&L (HRP) (<a href='/en-us/products/secondary-antibodies/goat-rabbit-igg-h-l-hrp-ab97051'>ab97051</a>) at 1/20000 dilution

Observed band size: 95 kDa

false

Western blot - Anti-SUZ12 antibody [EPR26230-82] - BSA and Azide free (AB307892)
  • WB

Supplier Data

Western blot - Anti-SUZ12 antibody [EPR26230-82] - BSA and Azide free (AB307892)

This data was produced using ab307891 the same antibody clone but in a different buffer. Lysates at 20 µg per lane. The samples were run on a Bis-Tris gel. Performed under reducing conditions. False colour image of Western blot : Anti-SUZ12 antibody ( ab307891) staining at 1/1000 dilution, shown in green; Mouse anti-GAPDH antibody 6C5 (ab8245) loading control staining at 1/20000 dilution, shown in red. In Western blot, ab307891 was shown to bind specifically to SUZ12. A band was observed at 95 kDa in wild-type HAP1 cell lysates with no signal observed at this size in SUZ12 knockout cell line. To generate this image, wild-type and SUZ12 knockout HAP1 cell lysates were analyzed. First, samples were run on an SDS-PAGE gel then transferred onto an immobilon-FL PVDF membrane. Membranes were blocked in in Intercept® (TBS) Blocking Buffer diluted with an equal volume of 0.1% TBS before incubation with primary antibodies overnight at 4 °C. Blots were washed four times in TBS-T, incubated with secondary antibodies for 1 h at room temperature, washed again four times then imaged. Secondary antibodies used were Goat anti-Rabbit IgG H&L (IRDye® 800CW) preabsorbed (ab216773) and Goat anti-Mouse IgG H&L (IRDye® 680RD) preabsorbed (ab216776) at 1/20000 dilution.

Lane 1:

Wild-type HAP1(human chronic myelogenous leukemia near-haploid cell line) whole cell lysate at 20 µg

Lane 2:

SUZ12 knockout HAP1 whole cell lysate at 20 µg

Lane 3:

HeLa (human cervix adenocarcinoma epithelial cell) whole cell lysate at 20 µg

Lane 4:

Caco-2 (human colorectal adenocarcinoma epithelial cell) whole cell lysate at 20 µg

Predicted band size: 83 kDa

false

Western blot - Anti-SUZ12 antibody [EPR26230-82] - BSA and Azide free (AB307892)
  • WB

Supplier Data

Western blot - Anti-SUZ12 antibody [EPR26230-82] - BSA and Azide free (AB307892)

This data was produced using ab307891 the same antibody clone but in a different buffer. Blocking/Dilution buffer : 5% NFDM/TBST. Exposure times : Lane 1 and 2 : 3 minutes Lane 3 and 4 : 114 seconds Lane 5-6 : 3 minutes Lysates of lane 5 and 6 were freshly made and used immediately to minimize protein degradation. The blot of lane 5-6 were developed using a high sensitivity ECL substrate. The lower bands in lane 1-4 may be caused by degradation.

All lanes:

Western blot - Anti-SUZ12 antibody [EPR26230-82] (<a href='/en-us/products/primary-antibodies/suz12-antibody-epr26230-82-ab307891'>ab307891</a>) at 1/1000 dilution

Lane 1:

HeLa (human cervical adenocarcinoma epithelial cell) whole cell lysate at 20 µg

Lane 2:

Neuro-2a (mouse neuroblastoma neuroblast) whole cell lysate at 20 µg

Lane 3:

C6 (rat glial tumor glial cell) whole cell lysate at 20 µg

Lane 4:

F9 (mouse embryonal carcinoma epithelial cell) whole cell lysate at 20 µg

Lane 5:

C6 whole cell lysate at 20 µg

Lane 6:

Neuro-2a whole cell lysate at 20 µg

Secondary

All lanes:

Western blot - Goat Anti-Rabbit IgG H&L (HRP) (<a href='/en-us/products/secondary-antibodies/goat-rabbit-igg-h-l-hrp-ab97051'>ab97051</a>) at 1/20000 dilution

Observed band size: 95 kDa

true

Key facts

Host species

Rabbit

Clonality

Monoclonal

Clone number

EPR26230-82

Isotype

IgG

Carrier free

Yes

Reacts with

Human, Mouse, Rat

Applications

Flow Cyt (Intra), ICC/IF, WB, IHC-P

applications

Immunogen

The exact immunogen used to generate this antibody is proprietary information.

Reactivity data

{ "title": "Reactivity Data", "filters": { "stats": ["", "Species", "Dilution Info", "Notes"], "tabs": { "all-applications": {"fullname" : "All Applications", "shortname": "All Applications"}, "WB" : {"fullname" : "Western blot", "shortname":"WB"}, "IHCP" : {"fullname" : "Immunohistochemistry (Formalin/PFA-fixed paraffin-embedded sections)", "shortname":"IHC-P"}, "ICCIF" : {"fullname" : "Immunocytochemistry/ Immunofluorescence", "shortname":"ICC/IF"}, "FlowCytIntra" : {"fullname" : "Flow Cytometry (Intracellular)", "shortname":"Flow Cyt (Intra)"}, "ChIP" : {"fullname" : "ChIP", "shortname":"ChIP"}, "IP" : {"fullname" : "Immunoprecipitation", "shortname":"IP"} }, "product-promise": { "all": "all", "testedAndGuaranteed": "tested", "guaranteed": "expected", "predicted": "predicted", "notRecommended": "not-recommended" } }, "values": { "Human": { "WB-species-checked": "testedAndGuaranteed", "WB-species-dilution-info": "", "WB-species-notes": "<p></p>", "IHCP-species-checked": "testedAndGuaranteed", "IHCP-species-dilution-info": "", "IHCP-species-notes": "<p></p>", "ICCIF-species-checked": "testedAndGuaranteed", "ICCIF-species-dilution-info": "", "ICCIF-species-notes": "<p></p>", "FlowCytIntra-species-checked": "notRecommended", "FlowCytIntra-species-dilution-info": "", "FlowCytIntra-species-notes": "<p></p>", "ChIP-species-checked": "notRecommended", "ChIP-species-dilution-info": "", "ChIP-species-notes": "<p></p>", "IP-species-checked": "notRecommended", "IP-species-dilution-info": "", "IP-species-notes": "<p></p>" }, "Mouse": { "WB-species-checked": "testedAndGuaranteed", "WB-species-dilution-info": "", "WB-species-notes": "<p></p>", "IHCP-species-checked": "testedAndGuaranteed", "IHCP-species-dilution-info": "", "IHCP-species-notes": "<p></p>", "ICCIF-species-checked": "testedAndGuaranteed", "ICCIF-species-dilution-info": "", "ICCIF-species-notes": "<p></p>", "FlowCytIntra-species-checked": "testedAndGuaranteed", "FlowCytIntra-species-dilution-info": "", "FlowCytIntra-species-notes": "<p></p>", "ChIP-species-checked": "notRecommended", "ChIP-species-dilution-info": "", "ChIP-species-notes": "", "IP-species-checked": "notRecommended", "IP-species-dilution-info": "", "IP-species-notes": "<p></p>" }, "Rat": { "WB-species-checked": "testedAndGuaranteed", "WB-species-dilution-info": "", "WB-species-notes": "<p></p>", "IHCP-species-checked": "testedAndGuaranteed", "IHCP-species-dilution-info": "", "IHCP-species-notes": "<p></p>", "ICCIF-species-checked": "guaranteed", "ICCIF-species-dilution-info": "", "ICCIF-species-notes": "", "FlowCytIntra-species-checked": "guaranteed", "FlowCytIntra-species-dilution-info": "", "FlowCytIntra-species-notes": "", "ChIP-species-checked": "notRecommended", "ChIP-species-dilution-info": "", "ChIP-species-notes": "", "IP-species-checked": "notRecommended", "IP-species-dilution-info": "", "IP-species-notes": "" } } }

Product details

Patented technology
Our RabMAb® technology is a patented hybridoma-based technology for making rabbit monoclonal antibodies. For details on our patents, please refer to RabMAb® patents.

What are the advantages of a recombinant monoclonal antibody?
This product is a recombinant monoclonal antibody, which offers several advantages including:

  • - High batch-to-batch consistency and reproducibility
  • - Improved sensitivity and specificity
  • - Long-term security of supply
  • - Animal-free batch production

For more information, read more on recombinant antibodies.

Conjugation ready
Our carrier-free antibodies are typically supplied in a PBS-only formulation, purified and free of BSA, sodium azide and glycerol. This conjugation-ready format is designed for use with fluorochromes, metal isotopes, oligonucleotides, and enzymes, which makes them ideal for antibody labelling, functional and cell-based assays, flow-based assays (e.g. mass cytometry) and Multiplex Imaging applications.

Use our conjugation kits for antibody conjugates that are ready-to-use in as little as 20 minutes with 1 minute hands-on-time and 100% antibody recovery: available for fluorescent dyes, HRP, biotin and gold.

Compatibility
This product is compatible with the Maxpar® Antibody Labeling Kit from Fluidigm, without the need for antibody preparation. Maxpar® is a trademark of Fluidigm Canada Inc.

Properties and storage information

Form
Liquid
Purification technique
Affinity purification Protein A
Storage buffer
pH: 7.2 - 7.4 Constituents: PBS
Shipped at conditions
Blue Ice
Appropriate short-term storage conditions
+4°C
Appropriate long-term storage conditions
+4°C

Product protocols

For this product, it's our understanding that no specific protocols are required. You can visit:

Target data

Polycomb group (PcG) protein. Component of the PRC2 complex, which methylates 'Lys-9' (H3K9me) and 'Lys-27' (H3K27me) of histone H3, leading to transcriptional repression of the affected target gene (PubMed : 15225548, PubMed : 15231737, PubMed : 15385962, PubMed : 16618801, PubMed : 17344414, PubMed : 18285464, PubMed : 28229514, PubMed : 29499137, PubMed : 31959557). The PRC2 complex may also serve as a recruiting platform for DNA methyltransferases, thereby linking two epigenetic repression systems (PubMed : 12351676, PubMed : 12435631, PubMed : 15099518, PubMed : 15225548, PubMed : 15385962, PubMed : 15684044, PubMed : 16431907, PubMed : 18086877, PubMed : 18285464). Genes repressed by the PRC2 complex include HOXC8, HOXA9, MYT1 and CDKN2A (PubMed : 15231737, PubMed : 16618801, PubMed : 17200670, PubMed : 31959557).
See full target information SUZ12

Product promise

We are committed to supporting your work with high-quality reagents, and we're here for you every step of the way. In the unlikely event that one of our products does not perform as expected, you're protected by our Product Promise.
For full details, please see our Terms & Conditions

Please note: All products are 'FOR RESEARCH USE ONLY. NOT FOR USE IN DIAGNOSTIC OR THERAPEUTIC PROCEDURES'.

For licensing inquiries, please contact partnerships@abcam.com