JavaScript is disabled in your browser. Please enable JavaScript to view this website.
AB126577

Anti-SUZ12 antibody [SUZ220A]

Be the first to review this product! Submit a review

|

(7 Publications)

Mouse Recombinant Monoclonal SUZ12 antibody. Suitable for WB, IHC-P and reacts with Human samples. Cited in 7 publications. Immunogen corresponding to Recombinant Full Length Protein corresponding to Human SUZ12.

View Alternative Names

CHET9, JJAZ1, KIAA0160, SUZ12, Polycomb protein SUZ12, Chromatin precipitated E2F target 9 protein, Joined to JAZF1 protein, Suppressor of zeste 12 protein homolog, ChET 9 protein

7 Images
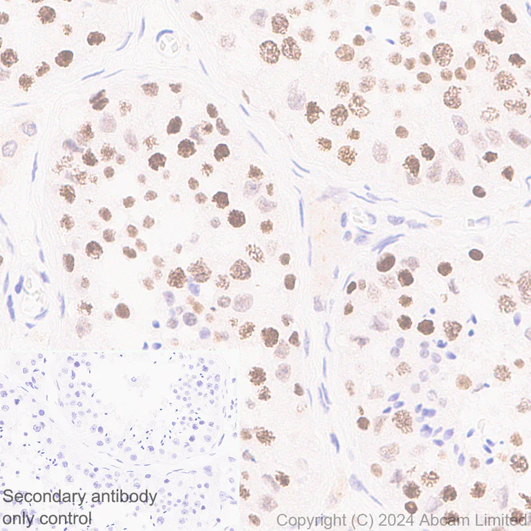
Immunohistochemistry (Formalin/PFA-fixed paraffin-embedded sections) - Anti-SUZ12 antibody [SUZ220A] (AB126577)
  • IHC-P

Lab

Immunohistochemistry (Formalin/PFA-fixed paraffin-embedded sections) - Anti-SUZ12 antibody [SUZ220A] (AB126577)

Immunohistochemical analysis of paraffin-embedded Human testis tissue labeling SUZ12 with ab126577 at 1/100 dilution, followed by a ready to use LeicaDS9800 (Bond™ Polymer Refine Detection).

Nuclear staining on human testis.
The section was incubated with ab126577 for 30 mins at room temperature, followed by anti-mouse IgG1 antibody (ab125913) for 8 mins during the LeicaDS9800 kit staining procedure.
The immunostaining was performed on a Leica Biosystems BOND® RX instrument

Counterstained with Hematoxylin.

Secondary antibody only control : Secondary antibody is a ready to use ready to use LeicaDS9800 (Bond™ Polymer Refine Detection).

Heat mediated antigen retrieval was performed with Tris-EDTA buffer (pH 9.0, Epitope Retrieval Solution2) for 20 mins

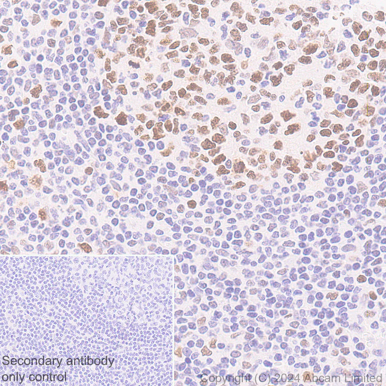
Immunohistochemistry (Formalin/PFA-fixed paraffin-embedded sections) - Anti-SUZ12 antibody [SUZ220A] (AB126577)
  • IHC-P

Lab

Immunohistochemistry (Formalin/PFA-fixed paraffin-embedded sections) - Anti-SUZ12 antibody [SUZ220A] (AB126577)

Immunohistochemical analysis of paraffin-embedded Human tonsil tissue labeling SUZ12 with ab126577 at 1/100 dilution, followed by a ready to use LeicaDS9800 (Bond™ Polymer Refine Detection).

Nuclear staining on human tonsil.
The section was incubated with ab126577 for 30 mins at room temperature, followed by anti-mouse IgG1 antibody (ab125913) for 8 mins during the LeicaDS9800 kit staining procedure.
The immunostaining was performed on a Leica Biosystems BOND® RX instrument

Counterstained with Hematoxylin.

Secondary antibody only control : Secondary antibody is a ready to use ready to use LeicaDS9800 (Bond™ Polymer Refine Detection).

Heat mediated antigen retrieval was performed with Tris-EDTA buffer (pH 9.0, Epitope Retrieval Solution2) for 20 mins

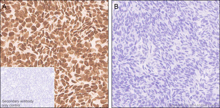
Immunohistochemistry (Formalin/PFA-fixed paraffin-embedded sections) - Anti-SUZ12 antibody [SUZ220A] (AB126577)
  • IHC-P

Lab

Immunohistochemistry (Formalin/PFA-fixed paraffin-embedded sections) - Anti-SUZ12 antibody [SUZ220A] (AB126577)

Immunohistochemical analysis of paraffin-embedded (A) Wild-type HAP1 (human chronic myelogenous leukemia near-haploid cell) cell pellet / (B) SUZ12 knockout HAP1 (HO010044) cell pellet labeling SUZ12 with ab126577 at 1/100 dilution, followed by a ready to use LeicaDS9800 (Bond™ Polymer Refine Detection).

Nuclear staining on (A) Wild-type HAP1 cell pellet, no staining on (B) SUZ12 knockout HAP1 (HO010044) cell pellet.
The section was incubated with ab126577 for 30 mins at room temperature, followed by anti-mouse IgG1 antibody (ab125913) for 8 mins during the LeicaDS9800 kit staining procedure.
The immunostaining was performed on a Leica Biosystems BOND® RX instrument

Counterstained with Hematoxylin.

Secondary antibody only control : Secondary antibody is a ready to use ready to use LeicaDS9800 (Bond™ Polymer Refine Detection).

Heat mediated antigen retrieval was performed with Tris-EDTA buffer (pH 9.0, Epitope Retrieval Solution2) for 20 mins

Western blot - Anti-SUZ12 antibody [SUZ220A] (AB126577)
  • WB

Lab

Western blot - Anti-SUZ12 antibody [SUZ220A] (AB126577)

Blocking and diluting buffer and concentration : 5% NFDM/TBST

To minimize protein degradation, cells and tissues were lysed immediately after harvest and loaded onto membranes for Western blotting.

All lanes:

Western blot - Anti-SUZ12 antibody [SUZ220A] (ab126577) at 1/1000 dilution

Lane 1:

HeLa (human cervical adenocarcinoma epithelial cell) whole cell lysate at 20 µg

Lane 2:

293T (human embryonic kidney epithelial cell) whole cell lysate at 20 µg

Lane 3:

HepG2 (human hepatocellular carcinoma epithelial cell) whole cell lysate at 20 µg

Lane 4:

MCF7 (human breast adenocarcinoma epithelial cell) whole cell lysate at 20 µg

Secondary

All lanes:

Peroxidase-Conjugated Goat anti-Mouse IgG (H+L) at 1/10000 dilution

Observed band size: 81 kDa

false

Exposure time: 37s

Western blot - Anti-SUZ12 antibody [SUZ220A] (AB126577)
  • WB

Unknown

Western blot - Anti-SUZ12 antibody [SUZ220A] (AB126577)

Note : A purified version of the antibody was used at 1/100 (stock solution at 1mg/ml). This image was from a different batch produced using hybridoma method

All lanes:

Western blot - Anti-SUZ12 antibody [SUZ220A] (ab126577) at 1/100 dilution

Lane 1:

Hek-SUZ12-V5 lysate at 30 µg

Lane 2:

Hek-mTIMP2 lysate at 30 µg

Lane 3:

Hela cell line lysate at 200 µg

Lane 4:

Jeko1 cell line lysate at 200 µg

Lane 5:

Human tonsil lysate at 200 µg

Lane 6:

Human brain lysate at 200 µg

Lane 7:

MT-2 cell line lysate at 200 µg

Lane 8:

3T3 Mouse cell line lysate at 200 µg

Lane 9:

U266 cell line lysate at 200 µg

Predicted band size: 83 kDa

Observed band size: 83 kDa

false

Western blot - Anti-SUZ12 antibody [SUZ220A] (AB126577)
  • WB

Lab

Western blot - Anti-SUZ12 antibody [SUZ220A] (AB126577)

Blocking and diluting buffer and concentration : 5% NFDM/TBST

ab181602 was used as a GAPDH loading control at a 1/200000 dilution.

Performed under reducing conditions.
In Western blot, anti-SUZ12 antibody ab126577 was shown to bind specifically to SUZ12. Target of interest was observed at 81kDa in wild-type HAP1 cell lysates (lane 1) with no signal observed at this size in SUZ12 knockout cell line (lane 2).

All lanes:

Western blot - Anti-SUZ12 antibody [SUZ220A] (ab126577) at 1/1000 dilution

Lane 1:

Wild-type HAP1 (human chronic myelogenous leukemia near-haploid cell) whole cell lysate at 20 µg

Lane 2:

SUZ12 knockout HAP1 whole cell lysate at 20 µg

Secondary

All lanes:

Peroxidase-Conjugated Goat anti-Mouse IgG (H+L) at 1/10000 dilution

Observed band size: 81 kDa

false

Exposure time: 81s

Western blot - Anti-SUZ12 antibody [SUZ220A] (AB126577)
  • WB

Unknown

Western blot - Anti-SUZ12 antibody [SUZ220A] (AB126577)

Effect of SUZ12 RNA interference (siRNA) in Jeko-1 and Z-138 mantle cell lymphoma cell lines treated with two different hairpins against SUZ12 during three days. A control cell line (empty vector) was used as negative control. Expression of SUZ12 was analyzed using ab126577. A decrease of protein expression was observed in siSUZ12 Jeko-1 and Z-138 cell extracts confirming antibody specificity. Band signals were normalized with tubulin as a loading control. This image was from a different batch produced using hybridoma method

All lanes:

Western blot - Anti-SUZ12 antibody [SUZ220A] (ab126577)

Lanes 1 and 4:

Empty vector

Lanes 2 and 5:

shSUZ12.783

Lanes 3 and 6:

shSUZ12.2076

Predicted band size: 83 kDa

Observed band size: 83 kDa

false

  • Carrier free

    Anti-SUZ12 antibody [SUZ220A] - BSA and Azide free

Key facts

Host species

Mouse

Clonality

Monoclonal

Clone number

SUZ220A

Isotype

IgG1

Carrier free

No

Reacts with

Human

Applications

IHC-P, WB

applications

Immunogen

Recombinant Full Length Protein corresponding to Human SUZ12.

Q15022

Reactivity data

{ "title": "Reactivity Data", "filters": { "stats": ["", "Species", "Dilution Info", "Notes"], "tabs": { "all-applications": {"fullname" : "All Applications", "shortname": "All Applications"}, "FlowCytIntra" : {"fullname" : "Flow Cytometry (Intracellular)", "shortname":"Flow Cyt (Intra)"}, "WB" : {"fullname" : "Western blot", "shortname":"WB"}, "ICCIF" : {"fullname" : "Immunocytochemistry/ Immunofluorescence", "shortname":"ICC/IF"}, "IHCFr" : {"fullname" : "Immunohistochemistry (Frozen sections)", "shortname":"IHC-Fr"}, "IHCP" : {"fullname" : "Immunohistochemistry (Formalin/PFA-fixed paraffin-embedded sections)", "shortname":"IHC-P"} }, "product-promise": { "all": "all", "testedAndGuaranteed": "tested", "guaranteed": "expected", "predicted": "predicted", "notRecommended": "not-recommended" } }, "values": { "Human": { "FlowCytIntra-species-checked": "notRecommended", "FlowCytIntra-species-dilution-info": "", "FlowCytIntra-species-notes": "<p></p>", "WB-species-checked": "testedAndGuaranteed", "WB-species-dilution-info": "1/1000", "WB-species-notes": "<p></p>", "ICCIF-species-checked": "notRecommended", "ICCIF-species-dilution-info": "", "ICCIF-species-notes": "<p></p>", "IHCFr-species-checked": "notRecommended", "IHCFr-species-dilution-info": "", "IHCFr-species-notes": "<p></p>", "IHCP-species-checked": "testedAndGuaranteed", "IHCP-species-dilution-info": "1/100", "IHCP-species-notes": "<p></p> Perform heat-mediated antigen retrieval with Tris/EDTA buffer pH 9.0 before commencing with IHC staining protocol." }, "Mouse": { "FlowCytIntra-species-checked": "notRecommended", "FlowCytIntra-species-dilution-info": "", "FlowCytIntra-species-notes": "<p></p>", "WB-species-checked": "notRecommended", "WB-species-dilution-info": "", "WB-species-notes": "<p></p>", "ICCIF-species-checked": "notRecommended", "ICCIF-species-dilution-info": "", "ICCIF-species-notes": "<p></p>", "IHCFr-species-checked": "notRecommended", "IHCFr-species-dilution-info": "", "IHCFr-species-notes": "", "IHCP-species-checked": "notRecommended", "IHCP-species-dilution-info": "", "IHCP-species-notes": "<p></p>" }, "Rat": { "FlowCytIntra-species-checked": "notRecommended", "FlowCytIntra-species-dilution-info": "", "FlowCytIntra-species-notes": "", "WB-species-checked": "notRecommended", "WB-species-dilution-info": "", "WB-species-notes": "", "ICCIF-species-checked": "notRecommended", "ICCIF-species-dilution-info": "", "ICCIF-species-notes": "", "IHCFr-species-checked": "notRecommended", "IHCFr-species-dilution-info": "", "IHCFr-species-notes": "", "IHCP-species-checked": "notRecommended", "IHCP-species-dilution-info": "", "IHCP-species-notes": "<p></p>" } } }

Product details

This product has switched from a hybridoma to recombinant production method on 20th June 2025

What are the advantages of a recombinant monoclonal antibody?
This product is a recombinant monoclonal antibody, which offers several advantages including:

  • - High batch-to-batch consistency and reproducibility
  • - Improved sensitivity and specificity
  • - Long-term security of supply
  • - Animal-free batch production

For more information, read more on recombinant antibodies.

Properties and storage information

Form
Liquid
Purification technique
Affinity purification Protein A
Storage buffer
pH: 7.2 - 7.4 Preservative: 0.01% Sodium azide Constituents: PBS, 40% Glycerol (glycerin, glycerine), 0.05% BSA
Shipped at conditions
Blue Ice
Appropriate short-term storage duration
1-2 weeks
Appropriate short-term storage conditions
+4°C
Appropriate long-term storage conditions
-20°C|+4°C
Aliquoting information
Upon delivery aliquot
Storage information
Avoid freeze / thaw cycle|Do Not Freeze

Product protocols

For this product, it's our understanding that no specific protocols are required. You can visit:

Target data

Polycomb group (PcG) protein. Component of the PRC2 complex, which methylates 'Lys-9' (H3K9me) and 'Lys-27' (H3K27me) of histone H3, leading to transcriptional repression of the affected target gene (PubMed : 15225548, PubMed : 15231737, PubMed : 15385962, PubMed : 16618801, PubMed : 17344414, PubMed : 18285464, PubMed : 28229514, PubMed : 29499137, PubMed : 31959557). The PRC2 complex may also serve as a recruiting platform for DNA methyltransferases, thereby linking two epigenetic repression systems (PubMed : 12351676, PubMed : 12435631, PubMed : 15099518, PubMed : 15225548, PubMed : 15385962, PubMed : 15684044, PubMed : 16431907, PubMed : 18086877, PubMed : 18285464). Genes repressed by the PRC2 complex include HOXC8, HOXA9, MYT1 and CDKN2A (PubMed : 15231737, PubMed : 16618801, PubMed : 17200670, PubMed : 31959557).
See full target information SUZ12

Publications (7)

Recent publications for all applications. Explore the full list and refine your search

Histopathology 82:420-430 PubMed36217885

2022

Loss of H3K27 trimethylation in a distinct group of de-differentiated chordoma of the skull base.

Applications

Unspecified application

Species

Unspecified reactive species

Naohiro Makise,Tatsunori Shimoi,Kuniko Sunami,Yasuko Aoyagi,Hiroshi Kobayashi,Shota Tanaka,Akira Kawai,Kan Yonemori,Tetsuo Ushiku,Akihiko Yoshida

American journal of cancer research 10:3267-3284 PubMed33163269

2020

Targeting the polycomb repressive complex-2 related proteins with novel combinational strategies for nasopharyngeal carcinoma.

Applications

Unspecified application

Species

Unspecified reactive species

Junyu Zhu,Lili Li,Joanna Tong,Connie Hui,Chi Hang Wong,Kwok Wai Lo,Raymond Chan,Qi Yong Ai,Edwin P Hui,Anthony Tc Chan,Ka F To,Qian Tao,Brigette By Ma

Genes, chromosomes & cancer 59:472-483 PubMed32259323

2020

Novel renal medullary carcinoma cell lines, UOK353 and UOK360, provide preclinical tools to identify new therapeutic treatments.

Applications

Unspecified application

Species

Unspecified reactive species

Darmood Wei,Youfeng Yang,Christopher J Ricketts,Cathy D Vocke,Mark W Ball,Carole Sourbier,Darawalee Wangsa,Danny Wangsa,Rajarshi Guha,Xiaohu Zhang,Kelli Wilson,Lu Chen,Paul S Meltzer,Thomas Ried,Craig J Thomas,Maria J Merino,W Marston Linehan

Oncology reports 42:55-66 PubMed31115583

2019

miR‑767‑5p inhibits glioma proliferation and metastasis by targeting SUZ12.

Applications

Unspecified application

Species

Unspecified reactive species

Jiale Zhang,Shuo Xu,Jia Xu,Yangyang Li,Jie Zhang,Jian Zhang,Xiaoming Lu

Histopathology 73:147-156 PubMed29489027

2018

Extraskeletal osteosarcoma: MDM2 and H3K27me3 analysis of 19 cases suggest disease heterogeneity.

Applications

Unspecified application

Species

Unspecified reactive species

Naohiro Makise,Masaya Sekimizu,Takashi Kubo,Susumu Wakai,Shun-Ichi Watanabe,Tomoyasu Kato,Takayuki Kinoshita,Nobuyoshi Hiraoka,Masashi Fukayama,Akira Kawai,Hitoshi Ichikawa,Akihiko Yoshida

BMC cancer 18:158 PubMed29415665

2018

Prognostic implications of polycomb proteins ezh2, suz12, and eed1 and histone modification by H3K27me3 in sarcoma.

Applications

IHC-P

Species

Human

Yong Jin Cho,Soo Hee Kim,Eun Kyung Kim,Jung Woo Han,Kyoo-Ho Shin,Hyuk Hu,Kyung Sik Kim,Young Deuk Choi,Sunghoon Kim,Young Han Lee,Jin-Suck Suh,Joong Bae Ahn,Hyun Cheol Chung,Sung Hoon Noh,Sun Young Rha,Sung-Taek Jung,Hyo Song Kim

Nature genetics 46:1170-2 PubMed25305755

2014

Somatic mutations of SUZ12 in malignant peripheral nerve sheath tumors.

Applications

Unspecified application

Species

Unspecified reactive species

Ming Zhang,Yuxuan Wang,Sian Jones,Mark Sausen,Kevin McMahon,Rajni Sharma,Qing Wang,Allan J Belzberg,Kaisorn Chaichana,Gary L Gallia,Ziya L Gokaslan,Greg J Riggins,Jean-Paul Wolinksy,Laura D Wood,Elizabeth A Montgomery,Ralph H Hruban,Kenneth W Kinzler,Nickolas Papadopoulos,Bert Vogelstein,Chetan Bettegowda
View all publications

Product promise

We are committed to supporting your work with high-quality reagents, and we're here for you every step of the way. In the unlikely event that one of our products does not perform as expected, you're protected by our Product Promise.
For full details, please see our Terms & Conditions

Please note: All products are 'FOR RESEARCH USE ONLY. NOT FOR USE IN DIAGNOSTIC OR THERAPEUTIC PROCEDURES'.

For licensing inquiries, please contact partnerships@abcam.com