JavaScript is disabled in your browser. Please enable JavaScript to view this website.
AB273513

Anti-SV2A antibody [EPR23500-32] - BSA and Azide free

  • BOND RX™ Validated
  • Recombinant
  • Advanced Validation
  • RabMAb
  • What is this?

Be the first to review this product! Submit a review

|

(1 Publication)

Rabbit Recombinant Monoclonal SV2A antibody. Carrier free. Suitable for mIHC, IP, Dot, WB, ICC/IF, IHC-Fr, Flow Cyt (Intra), IHC-P and reacts with Mouse, Rat, Human, Synthetic peptide samples. Cited in 1 publication.

View Alternative Names

KIAA0736, PSEC0174, SV2A, Synaptic vesicle glycoprotein 2A

18 Images
Immunohistochemistry (Formalin/PFA-fixed paraffin-embedded sections) - Anti-SV2A antibody [EPR23500-32] - BSA and Azide free (AB273513)
  • IHC-P

Unknown

Immunohistochemistry (Formalin/PFA-fixed paraffin-embedded sections) - Anti-SV2A antibody [EPR23500-32] - BSA and Azide free (AB273513)

Immunohistochemical analysis of paraffin-embedded Human cerebrum tissue labeling SV2A with ab254351 at 1/1000 followed by a ready to use Rabbit specific IHC polymer detection kit HRP/DAB (ab209101). Cytoplasmic staining in human cerebrum (PMID : 16306227). The section was incubated with ab254351 for 30 mins at room temperature. The immunostaining was performed on a Leica Biosystems BOND® RX instrument. Counterstained with Hematoxylin.

Secondary antibody only control : Secondary antibody is a ready to use Rabbit specific IHC polymer detection kit HRP/DAB (ab209101).

Heat mediated antigen retrieval with Tris-EDTA buffer (pH 9.0, epitope retrieval solution2) for 20 mins.

This data was developed using the same antibody clone in a different buffer formulation containing PBS, BSA, glycerol, and sodium azide (ab254351).

Immunohistochemistry (Formalin/PFA-fixed paraffin-embedded sections) - Anti-SV2A antibody [EPR23500-32] - BSA and Azide free (AB273513)
  • IHC-P

Unknown

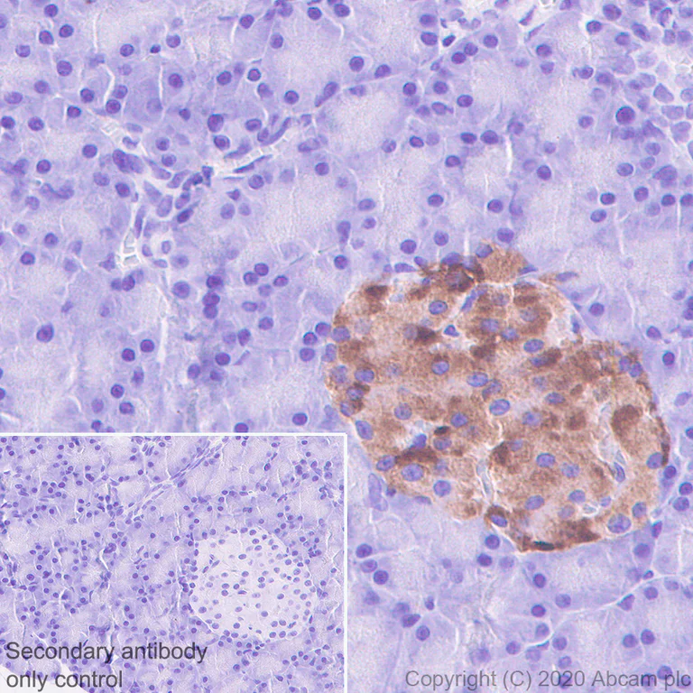
Immunohistochemistry (Formalin/PFA-fixed paraffin-embedded sections) - Anti-SV2A antibody [EPR23500-32] - BSA and Azide free (AB273513)

Immunohistochemical analysis of paraffin-embedded Human pancreas tissue labeling SV2A with ab254351 at 1/1000 dilution followed by a ready to use Rabbit specific IHC polymer detection kit HRP/DAB (ab209101). Cytoplasmic staining in human pancreatic islet (PMID : 16306227). The section was incubated with ab254351 for 30 mins at room temperature. The immunostaining was performed on a Leica Biosystems BOND® RX instrument. Counterstained with Hematoxylin.

Secondary antibody only control : Secondary antibody is a ready to use Rabbit specific IHC polymer detection kit HRP/DAB (ab209101).

Heat mediated antigen retrieval with Tris-EDTA buffer (pH 9.0, epitope retrieval solution2) for 20 mins.

This data was developed using the same antibody clone in a different buffer formulation containing PBS, BSA, glycerol, and sodium azide (ab254351).

Immunohistochemistry (Formalin/PFA-fixed paraffin-embedded sections) - Anti-SV2A antibody [EPR23500-32] - BSA and Azide free (AB273513)
  • IHC-P

Lab

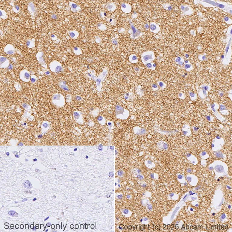
Immunohistochemistry (Formalin/PFA-fixed paraffin-embedded sections) - Anti-SV2A antibody [EPR23500-32] - BSA and Azide free (AB273513)

This data was developed using ab254351, the same antibody clone in a different buffer formulation.

Immunohistochemical analysis of paraffin-embedded human Alzheimer's brain tissue* labelling SV2A with ab254351 at 0.1ug/ml followed by a ready to use LeicaDS9800 (Bond Polymer Refine Detection).

Positive staining in human Alzheimer's brain.

The section was incubated with ab254351 for 30 mins at room temperature. The immunostaining was performed on a Leica Biosystems BOND® RX instrument. Counterstained with Hematoxylin.

Secondary antibody only control : Secondary antibody is a ready to use LeicaDS9800 (Bond Polymer Refine Detection).

Heat mediated antigen retrieval with sodium citrate buffer (pH 6.0 epitope retrieval solution1) for 20 mins.

*Tissue obtained from the Human Research Tissue Bank, supported by the NIHR Cambridge Biomedical Research Centre.

Flow Cytometry (Intracellular) - Anti-SV2A antibody [EPR23500-32] - BSA and Azide free (AB273513)
  • Flow Cyt (Intra)

Unknown

Flow Cytometry (Intracellular) - Anti-SV2A antibody [EPR23500-32] - BSA and Azide free (AB273513)

Intracellular flow cytometric analysis of 4% paraformaldehyde fixed, 90% methanol permeabilized Neuro-2a (Mouse neuroblastoma neuroblast) cells labelling SV2A with ab254351 at 1/500 dilution (0.1ug) (Red) (Red) compared with a Rabbit monoclonal IgG (ab172730) (Black) isotype control and an unlabelled control (cells without incubation with primary antibody and secondary antibody) (Blue).

A Goat anti rabbit IgG (Alexa Fluor®488, ab150077) at 1/2000 dilution was used as the secondary antibody.

This data was developed using the same antibody clone in a different buffer formulation containing PBS, BSA, glycerol, and sodium azide (ab254351).

Immunohistochemistry (Frozen sections) - Anti-SV2A antibody [EPR23500-32] - BSA and Azide free (AB273513)
  • IHC-Fr

Unknown

Immunohistochemistry (Frozen sections) - Anti-SV2A antibody [EPR23500-32] - BSA and Azide free (AB273513)

Immunohistochemical analysis of 4% PFA-fixed, 0.2% Triton X-100 permeabilized frozen Mouse pancreas tissue labeling SV2A with ab254351 at 1/100 dilution followed by ab150077 Goat Anti-Rabbit IgG H&L (Alexa Fluor® 488) at 1/1000 dilution (Green). Positive staining on mouse pancreatic islet is observed. Insulin is counter stained using ab6995 Anti-Insulin mouse monoclonal antibody. The nuclear counterstain was DAPI (Blue).

Secondary antibody control : Secondary antibody is ab150077 Goat Anti-Rabbit IgG H&L (Alexa Fluor® 488) at 1/1000 dilution.

Heat mediated antigen retrieval using sodium citrate buffer (10mM citrate pH 6.0 + 0.05% Tween-20).

This data was developed using the same antibody clone in a different buffer formulation containing PBS, BSA, glycerol, and sodium azide (ab254351).

Immunohistochemistry (Frozen sections) - Anti-SV2A antibody [EPR23500-32] - BSA and Azide free (AB273513)
  • IHC-Fr

Unknown

Immunohistochemistry (Frozen sections) - Anti-SV2A antibody [EPR23500-32] - BSA and Azide free (AB273513)

Immunohistochemical analysis of 4% PFA-fixed, 0.2% Triton X-100 permeabilized frozen Mouse cerebrum tissue labeling SV2A with ab254351 at 1/100 dilution followed by ab150077 Goat Anti-Rabbit IgG H&L (Alexa Fluor® 488) at 1/1000 dilution (Green). Positive staining on mouse cerebrum is observed. The nuclear counterstain was DAPI (Blue).

Secondary antibody control : Secondary antibody is ab150077 Goat Anti-Rabbit IgG H&L (Alexa Fluor® 488)at 1/1000 dilution.

Heat mediated antigen retrieval using sodium citrate buffer (10mM citrate pH 6.0 + 0.05% Tween-20).

This data was developed using the same antibody clone in a different buffer formulation containing PBS, BSA, glycerol, and sodium azide (ab254351).

Immunohistochemistry (Formalin/PFA-fixed paraffin-embedded sections) - Anti-SV2A antibody [EPR23500-32] - BSA and Azide free (AB273513)
  • IHC-P

Unknown

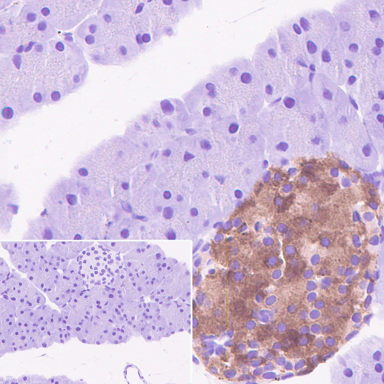
Immunohistochemistry (Formalin/PFA-fixed paraffin-embedded sections) - Anti-SV2A antibody [EPR23500-32] - BSA and Azide free (AB273513)

Immunohistochemical analysis of paraffin-embedded Rat pancreas tissue labeling SV2A with ab254351 at 1/1000 dilution followed by a ready to use Rabbit specific IHC polymer detection kit HRP/DAB (ab209101). Cytoplasmic staining in rat pancreatic islet (PMID : 16306227). The section was incubated with ab254351 for 30 mins at room temperature. The immunostaining was performed on a Leica Biosystems BOND® RX instrument. Counterstained with Hematoxylin.

Secondary antibody only control : Secondary antibody is a ready to use Rabbit specific IHC polymer detection kit HRP/DAB (ab209101).

Heat mediated antigen retrieval with Tris-EDTA buffer (pH 9.0, epitope retrieval solution2) for 20 mins.

This data was developed using the same antibody clone in a different buffer formulation containing PBS, BSA, glycerol, and sodium azide (ab254351).

Immunohistochemistry (Formalin/PFA-fixed paraffin-embedded sections) - Anti-SV2A antibody [EPR23500-32] - BSA and Azide free (AB273513)
  • IHC-P

Unknown

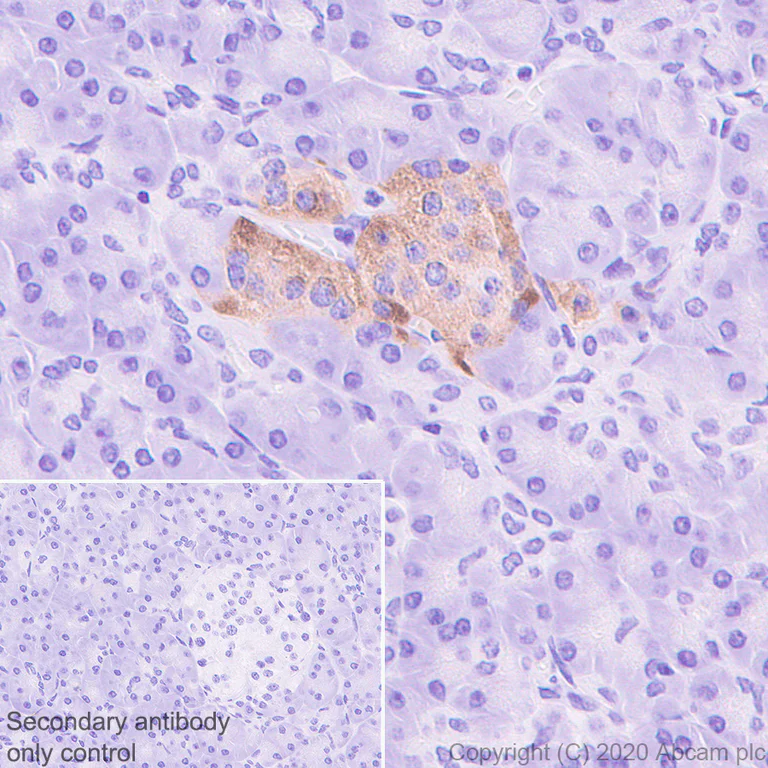
Immunohistochemistry (Formalin/PFA-fixed paraffin-embedded sections) - Anti-SV2A antibody [EPR23500-32] - BSA and Azide free (AB273513)

Immunohistochemical analysis of paraffin-embedded Mouse pancreas tissue labeling SV2A with ab254351 at 1/1000 dilution followed by a ready to use Rabbit specific IHC polymer detection kit HRP/DAB (ab209101). Cytoplasmic staining in mouse pancreatic islet (PMID : 16306227). The section was incubated with ab254351 for 30 mins at room temperature. The immunostaining was performed on a Leica Biosystems BOND® RX instrument. Counterstained with Hematoxylin.

Secondary antibody only control : Secondary antibody is a ready to use Rabbit specific IHC polymer detection kit HRP/DAB (ab209101).

Heat mediated antigen retrieval with Tris-EDTA buffer (pH 9.0, epitope retrieval solution2) for 20 mins.

This data was developed using the same antibody clone in a different buffer formulation containing PBS, BSA, glycerol, and sodium azide (ab254351).

Immunocytochemistry/ Immunofluorescence - Anti-SV2A antibody [EPR23500-32] - BSA and Azide free (AB273513)
  • ICC/IF

Unknown

Immunocytochemistry/ Immunofluorescence - Anti-SV2A antibody [EPR23500-32] - BSA and Azide free (AB273513)

Immunofluorescent analysis of 4% Paraformaldehyde-fixed, 0.1% TritonX-100 permeabilized mouse primary neuron cell cells labelling SV2A with ab254351 at 1/100 dilution, followed by ab150077 Goat Anti-Rabbit IgG H&L (Alexa Fluor® 488) antibody at 1/1000 dilution (Green). Confocal image showing cytoplasmic staining in mouse primary neuron cells. ab195889 Anti-alpha Tubulin mouse monoclonal antibody - Microtubule Marker (Alexa Fluor® 594) was used to counterstain tubulin at 1/200 dilution (Red). The Nuclear counterstain was DAPI (Blue).

Secondary antibody only control : Secondary antibody is ab150077 Goat Anti-Rabbit IgG H&L (Alexa Fluor® 488) at 1000 dilution.

This data was developed using the same antibody clone in a different buffer formulation containing PBS, BSA, glycerol, and sodium azide (ab254351).

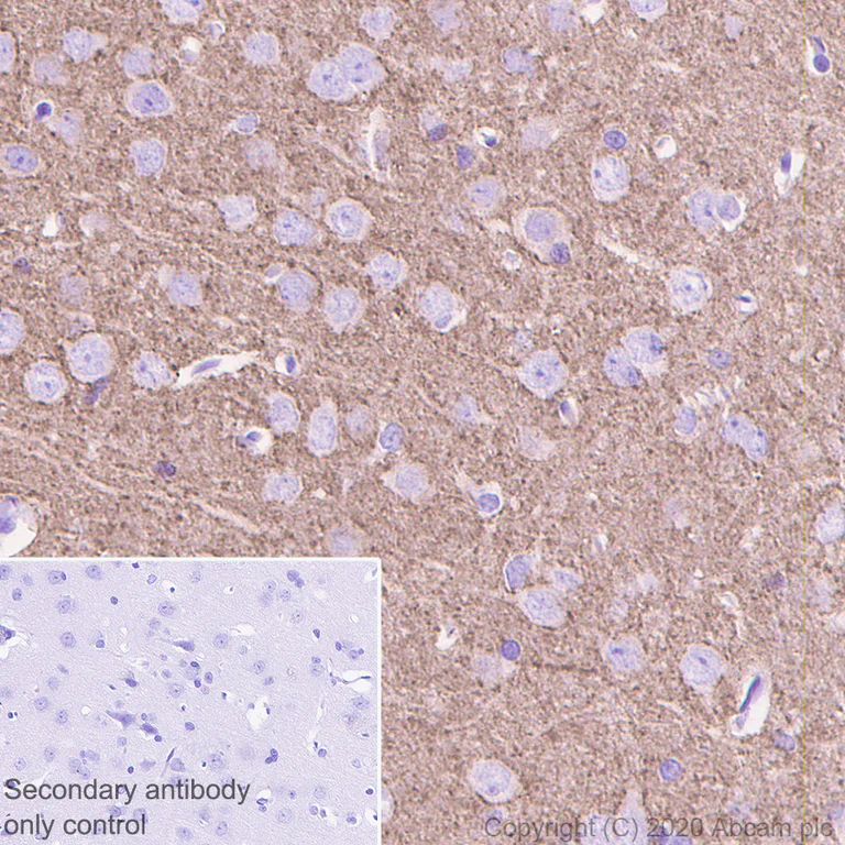
Immunohistochemistry (Formalin/PFA-fixed paraffin-embedded sections) - Anti-SV2A antibody [EPR23500-32] - BSA and Azide free (AB273513)
  • IHC-P

Unknown

Immunohistochemistry (Formalin/PFA-fixed paraffin-embedded sections) - Anti-SV2A antibody [EPR23500-32] - BSA and Azide free (AB273513)

Immunohistochemical analysis of paraffin-embedded Mouse cerebrum tissue labeling SV2A with ab254351 at 1/1000 dilution followed by a ready to use Rabbit specific IHC polymer detection kit HRP/DAB (ab209101). Cytoplasmic staining in mouse cerebrum (PMID : 16306227). The section was incubated with ab254351 for 30 mins at room temperature. The immunostaining was performed on a Leica Biosystems BOND® RX instrument. Counterstained with Hematoxylin.

Secondary antibody only control : Secondary antibody is a ready to use Rabbit specific IHC polymer detection kit HRP/DAB (ab209101).

Heat mediated antigen retrieval with Tris-EDTA buffer (pH 9.0, epitope retrieval solution2) for 20 mins.

This data was developed using the same antibody clone in a different buffer formulation containing PBS, BSA, glycerol, and sodium azide (ab254351).

Immunohistochemistry (Formalin/PFA-fixed paraffin-embedded sections) - Anti-SV2A antibody [EPR23500-32] - BSA and Azide free (AB273513)
  • IHC-P

Unknown

Immunohistochemistry (Formalin/PFA-fixed paraffin-embedded sections) - Anti-SV2A antibody [EPR23500-32] - BSA and Azide free (AB273513)

Immunohistochemical analysis of paraffin-embedded Rat cerebrum tissue labeling SV2A with ab254351 at 1/1000 dilution followed by a ready to use Rabbit specific IHC polymer detection kit HRP/DAB (ab209101). Cytoplasmic staining in rat cerebrum (PMID : 16306227). The section was incubated with ab254351 for 30 mins at room temperature. The immunostaining was performed on a Leica Biosystems BOND® RX instrument. Counterstained with Hematoxylin.

Secondary antibody only control : Secondary antibody is a ready to use Rabbit specific IHC polymer detection kit HRP/DAB (ab209101).

Heat mediated antigen retrieval with Tris-EDTA buffer (pH 9.0, epitope retrieval solution2) for 20 mins.

This data was developed using the same antibody clone in a different buffer formulation containing PBS, BSA, glycerol, and sodium azide (ab254351).

Immunocytochemistry/ Immunofluorescence - Anti-SV2A antibody [EPR23500-32] - BSA and Azide free (AB273513)
  • ICC/IF

Lab

Immunocytochemistry/ Immunofluorescence - Anti-SV2A antibody [EPR23500-32] - BSA and Azide free (AB273513)

Composite multiplex immunofluorescence staining of ab302487, ab309493 and ab254351 staining MAP2, Synaptophysin and SV2A in Mouse Primary Neurons DIV14 cells. The cells were fixed with 4% paraformaldehyde (10 min), permeabilized with 0.1% PBS-Triton X-100 for 5 minutes and then blocked with 1% BSA/10% normal donkey serum/0.3M glycine in 0.1%PBS-Tween for 1h. The cells were then incubated overnight at 4°C with ab289874 (shown in yellow), ab309493 (shown in green) and ab254351 (shown in magenta) at 5µg/ml. Cells were then incubated with ab150136 Donkey Anti-Goat IgG H&L (Alexa Fluor® 594) preadsorbed, ab150111 Donkey Anti-Mouse IgG H&L (Alexa Fluor® 647) preadsorbed and ab150061 Donkey Anti-Rabbit IgG H&L (Alexa Fluor® 488) preadsorbed at 1/1000 dilution. Nuclear DNA was labelled with DAPI (shown in blue).

Image was acquired with a high-content analyser (Operetta CLS, Perkin Elmer) and a maximum intensity projection of confocal sections is shown.

Multiplex immunohistochemistry - Anti-SV2A antibody [EPR23500-32] - BSA and Azide free (AB273513)
  • mIHC

Lab

Multiplex immunohistochemistry - Anti-SV2A antibody [EPR23500-32] - BSA and Azide free (AB273513)
Immunohistochemistry (Frozen sections) - Anti-SV2A antibody [EPR23500-32] - BSA and Azide free (AB273513)
  • IHC-Fr

Unknown

Immunohistochemistry (Frozen sections) - Anti-SV2A antibody [EPR23500-32] - BSA and Azide free (AB273513)

Immunohistochemical analysis of 4% PFA-fixed, 0.2% Triton X-100 permeabilized frozen Rat pancreas tissue labeling SV2A with ab254351 at 1/100 dilution followed by ab150077 Goat Anti-Rabbit IgG H&L (Alexa Fluor® 488) at 1/1000 dilution (Green). Positive staining on rat pancreatic islet is observed. Insulin is counter stained using ab6995 Anti-Insulin mouse monoclonal antibody. The nuclear counterstain was DAPI (Blue).

Secondary antibody control : Secondary antibody is ab150077 Goat Anti-Rabbit IgG H&L (Alexa Fluor® 488)at 1/1000 dilution.

Heat mediated antigen retrieval using sodium citrate buffer (10mM citrate pH 6.0 + 0.05% Tween-20).

This data was developed using the same antibody clone in a different buffer formulation containing PBS, BSA, glycerol, and sodium azide (ab254351).

Immunohistochemistry (Frozen sections) - Anti-SV2A antibody [EPR23500-32] - BSA and Azide free (AB273513)
  • IHC-Fr

Unknown

Immunohistochemistry (Frozen sections) - Anti-SV2A antibody [EPR23500-32] - BSA and Azide free (AB273513)

Immunohistochemical analysis of 4% PFA-fixed, 0.2% Triton X-100 permeabilized frozen Rat cerebrum tissue labeling SV2A with ab254351 at 1/100 dilution followed by ab150077 Goat Anti-Rabbit IgG H&L (Alexa Fluor® 488) at 1/1000 dilution (Green). Positive staining on rat cerebrum is observed. The nuclear counterstain was DAPI (Blue).

Secondary antibody control : Secondary antibody is ab150077 Goat Anti-Rabbit IgG H&L (Alexa Fluor® 488)at 1/1000 dilution.

Heat mediated antigen retrieval using sodium citrate buffer (10mM citrate pH 6.0 + 0.05% Tween-20).

This data was developed using the same antibody clone in a different buffer formulation containing PBS, BSA, glycerol, and sodium azide (ab254351).

Multiplex immunohistochemistry - Anti-SV2A antibody [EPR23500-32] - BSA and Azide free (AB273513)
  • mIHC

Lab

Multiplex immunohistochemistry - Anti-SV2A antibody [EPR23500-32] - BSA and Azide free (AB273513)

Fluorescence multiplex immunohistochemical analysis of the rat pancreas (Formalin/PFA-fixed paraffin-embedded sections).

Panel A : merged staining of anti-SV2A (yellow; Opal™520), anti-GIP (magenta; Opal™570) and anti-Pancreatic Polypeptide (green; Opal™690) on rat pancreas.
Panel B : anti-SV2A staining predominantly the beta cells in mouse pancreas islet.
Panel C : anti-GIP staining the alpha cells in rat pancreas islet.
Panel D : anti-Pancreatic Polypeptide staining the PP cells in rat pancreas islet.

Nuclear DNA was labelled with DAPI (shown in blue). The section was incubated in three rounds of staining : in the order of ab254351 at 1/1000 dilution (0.48 μg/ml), ab271989 at 1/4000 dilution (0.25 μg/ml) and ab255827 at 1/10000 dilution (0.05 μg/ml) for 30 mins at room temperature. Each round was followed by a separate fluorescent tyramide signal amplification system.

The immunostaining was performed on a Leica Biosystems BOND® RX instrument with an Opal™ 4-color kit. Image acquisition was performed with Leica SP8 confocal microscope.

This data was developed using the same antibody clone in a different buffer formulation (ab254351).

Immunoprecipitation - Anti-SV2A antibody [EPR23500-32] - BSA and Azide free (AB273513)
  • IP

Unknown

Immunoprecipitation - Anti-SV2A antibody [EPR23500-32] - BSA and Azide free (AB273513)

SV2A was immunoprecipitated from 0.35 mg Mouse brain tissue lysate with ab254351 at 1/30 dilution (2ug in 0.35mg lysates). Western blot was performed on the immunoprecipitate using 254351 at 1/1000 dilution. VeriBlot for IP Detection Reagent (HRP)(ab131366) was used at 1/5000 dilution.

Lane 1 : Mouse brain tissue lysate 10 ug

Lane 2 : 254351 IP in Mouse brain tissue lysate

Lane 3 : Rabbit monoclonal IgG (ab172730) instead of ab254551 in Mouse brain tissue lysate

Blocking and dilution buffer and concentration : 5% NFDM/TBST.

Exposure time : 3.25 seconds.

Samples are non-boiled as boiling may cause protein aggregates.

This data was developed using the same antibody clone in a different buffer formulation containing PBS, BSA, glycerol, and sodium azide (ab254351).

All lanes:

Immunoprecipitation - Anti-SV2A antibody [EPR23500-32] (<a href='/en-us/products/primary-antibodies/sv2a-antibody-epr23500-32-ab254351'>ab254351</a>)

Predicted band size: 83 kDa

Observed band size: 100 kDa

false

Dot Blot - Anti-SV2A antibody [EPR23500-32] - BSA and Azide free (AB273513)
  • Dot

Unknown

Dot Blot - Anti-SV2A antibody [EPR23500-32] - BSA and Azide free (AB273513)

This data was developed using the same antibody clone in a different buffer formulation (ab254351).

Concentration of ab254351 : 1/1000 dilution

Secondary ab : Goat Anti-Rabbit IgG, (H+L), Peroxidase conjugated (ab97051), 1/100000 dilution

Blocking/diluting buffer and concentration : 5% NFDM/TBST

Lane 1 : SV2A immunogen peptide

Lane 2 : SV2C corresponding region of SV2A immunogen peptide

Lane 3 : SV2A non-immunogen peptide

Exposure time : 3 minutes

Key facts

Host species

Rabbit

Clonality

Monoclonal

Clone number

EPR23500-32

Isotype

IgG

Carrier free

Yes

Reacts with

Mouse, Rat, Human

Applications

mIHC, WB, Flow Cyt (Intra), IHC-P, ICC/IF, IHC-Fr, Dot, IP

applications

Immunogen

The exact immunogen used to generate this antibody is proprietary information.

Reactivity data

{ "title": "Reactivity Data", "filters": { "stats": ["", "Species", "Dilution Info", "Notes"], "tabs": { "all-applications": {"fullname" : "All Applications", "shortname": "All Applications"}, "mIHC" : {"fullname" : "Multiplex immunohistochemistry", "shortname":"mIHC"}, "IP" : {"fullname" : "Immunoprecipitation", "shortname":"IP"}, "Dot" : {"fullname" : "Dot Blot", "shortname":"Dot"}, "WB" : {"fullname" : "Western blot", "shortname":"WB"}, "ICCIF" : {"fullname" : "Immunocytochemistry/ Immunofluorescence", "shortname":"ICC/IF"}, "IHCFr" : {"fullname" : "Immunohistochemistry (Frozen sections)", "shortname":"IHC-Fr"}, "FlowCytIntra" : {"fullname" : "Flow Cytometry (Intracellular)", "shortname":"Flow Cyt (Intra)"}, "IHCP" : {"fullname" : "Immunohistochemistry (Formalin/PFA-fixed paraffin-embedded sections)", "shortname":"IHC-P"} }, "product-promise": { "all": "all", "testedAndGuaranteed": "tested", "guaranteed": "expected", "predicted": "predicted", "notRecommended": "not-recommended" } }, "values": { "Human": { "mIHC-species-checked": "guaranteed", "mIHC-species-dilution-info": "", "mIHC-species-notes": "", "IP-species-checked": "guaranteed", "IP-species-dilution-info": "", "IP-species-notes": "", "Dot-species-checked": "guaranteed", "Dot-species-dilution-info": "", "Dot-species-notes": "", "WB-species-checked": "guaranteed", "WB-species-dilution-info": "", "WB-species-notes": "<p></p>", "ICCIF-species-checked": "guaranteed", "ICCIF-species-dilution-info": "", "ICCIF-species-notes": "", "IHCFr-species-checked": "guaranteed", "IHCFr-species-dilution-info": "", "IHCFr-species-notes": "", "FlowCytIntra-species-checked": "guaranteed", "FlowCytIntra-species-dilution-info": "", "FlowCytIntra-species-notes": "", "IHCP-species-checked": "testedAndGuaranteed", "IHCP-species-dilution-info": "", "IHCP-species-notes": "<p></p>" }, "Mouse": { "mIHC-species-checked": "testedAndGuaranteed", "mIHC-species-dilution-info": "", "mIHC-species-notes": "<p></p>", "IP-species-checked": "testedAndGuaranteed", "IP-species-dilution-info": "", "IP-species-notes": "<p></p>", "Dot-species-checked": "guaranteed", "Dot-species-dilution-info": "", "Dot-species-notes": "", "WB-species-checked": "guaranteed", "WB-species-dilution-info": "", "WB-species-notes": "<p></p>", "ICCIF-species-checked": "testedAndGuaranteed", "ICCIF-species-dilution-info": "", "ICCIF-species-notes": "<p></p>", "IHCFr-species-checked": "testedAndGuaranteed", "IHCFr-species-dilution-info": "", "IHCFr-species-notes": "<p>Heat mediated antigen retrieval using sodium citrate buffer (10mM citrate pH 6.0 + 0.05% Tween-20).</p>", "FlowCytIntra-species-checked": "testedAndGuaranteed", "FlowCytIntra-species-dilution-info": "", "FlowCytIntra-species-notes": "<p></p>", "IHCP-species-checked": "testedAndGuaranteed", "IHCP-species-dilution-info": "", "IHCP-species-notes": "<p></p>" }, "Rat": { "mIHC-species-checked": "testedAndGuaranteed", "mIHC-species-dilution-info": "", "mIHC-species-notes": "<p></p>", "IP-species-checked": "guaranteed", "IP-species-dilution-info": "", "IP-species-notes": "", "Dot-species-checked": "guaranteed", "Dot-species-dilution-info": "", "Dot-species-notes": "", "WB-species-checked": "guaranteed", "WB-species-dilution-info": "", "WB-species-notes": "<p></p>", "ICCIF-species-checked": "notRecommended", "ICCIF-species-dilution-info": "", "ICCIF-species-notes": "<p></p>", "IHCFr-species-checked": "testedAndGuaranteed", "IHCFr-species-dilution-info": "", "IHCFr-species-notes": "<p>Heat mediated antigen retrieval using sodium citrate buffer (10mM citrate pH 6.0 + 0.05% Tween-20).</p>", "FlowCytIntra-species-checked": "guaranteed", "FlowCytIntra-species-dilution-info": "", "FlowCytIntra-species-notes": "", "IHCP-species-checked": "testedAndGuaranteed", "IHCP-species-dilution-info": "", "IHCP-species-notes": "<p></p>" }, "Synthetic peptide": { "mIHC-species-checked": "notRecommended", "mIHC-species-dilution-info": "", "mIHC-species-notes": "", "IP-species-checked": "notRecommended", "IP-species-dilution-info": "", "IP-species-notes": "", "Dot-species-checked": "testedAndGuaranteed", "Dot-species-dilution-info": "1/1000", "Dot-species-notes": "<p></p>", "WB-species-checked": "notRecommended", "WB-species-dilution-info": "", "WB-species-notes": "", "ICCIF-species-checked": "notRecommended", "ICCIF-species-dilution-info": "", "ICCIF-species-notes": "", "IHCFr-species-checked": "notRecommended", "IHCFr-species-dilution-info": "", "IHCFr-species-notes": "", "FlowCytIntra-species-checked": "notRecommended", "FlowCytIntra-species-dilution-info": "", "FlowCytIntra-species-notes": "", "IHCP-species-checked": "notRecommended", "IHCP-species-dilution-info": "", "IHCP-species-notes": "" } } }

Product details

ab273513 is the carrier-free version of ab254351.

Patented technology
Our RabMAb® technology is a patented hybridoma-based technology for making rabbit monoclonal antibodies. For details on our patents, please refer to RabMAb® patents.

What are the advantages of a recombinant monoclonal antibody?
This product is a recombinant monoclonal antibody, which offers several advantages including:

  • - High batch-to-batch consistency and reproducibility
  • - Improved sensitivity and specificity
  • - Long-term security of supply
  • - Animal-free batch production

For more information, read more on recombinant antibodies.

Conjugation ready
Our carrier-free antibodies are typically supplied in a PBS-only formulation, purified and free of BSA, sodium azide and glycerol. This conjugation-ready format is designed for use with fluorochromes, metal isotopes, oligonucleotides, and enzymes, which makes them ideal for antibody labelling, functional and cell-based assays, flow-based assays (e.g. mass cytometry) and Multiplex Imaging applications.

Use our conjugation kits for antibody conjugates that are ready-to-use in as little as 20 minutes with 1 minute hands-on-time and 100% antibody recovery: available for fluorescent dyes, HRP, biotin and gold.

Compatibility
This product is compatible with the Maxpar® Antibody Labeling Kit from Fluidigm, without the need for antibody preparation. Maxpar® is a trademark of Fluidigm Canada Inc.

Properties and storage information

Form
Liquid
Purification technique
Affinity purification Protein A
Storage buffer
pH: 7.2 - 7.4 Constituents: PBS
Shipped at conditions
Blue Ice
Appropriate short-term storage conditions
+4°C
Appropriate long-term storage conditions
+4°C
Storage information
Do Not Freeze

Product protocols

For this product, it's our understanding that no specific protocols are required. You can visit:

Target data

Plays a role in the control of regulated secretion in neural and endocrine cells, enhancing selectively low-frequency neurotransmission. Positively regulates vesicle fusion by maintaining the readily releasable pool of secretory vesicles (By similarity).. (Microbial infection) Receptor for the C.botulinum neurotoxin type A2 (BoNT/A, botA); glycosylation is not essential but enhances the interaction (PubMed : 29649119). Probably also serves as a receptor for the closely related C.botulinum neurotoxin type A1.
See full target information SV2A

Publications (1)

Recent publications for all applications. Explore the full list and refine your search

Bioactive materials 46:386-405 PubMed39850018

2025

bFGF-Chitosan "brain glue" promotes functional recovery after cortical ischemic stroke.

Applications

Unspecified application

Species

Unspecified reactive species

Jiao Mu,Xiang Zou,Xinjie Bao,Zhaoyang Yang,Peng Hao,Hongmei Duan,Wen Zhao,Yudan Gao,Jinting Wu,Kun Miao,Kwok-Fai So,Liang Chen,Ying Mao,Xiaoguang Li
View all publications

Product promise

We are committed to supporting your work with high-quality reagents, and we're here for you every step of the way. In the unlikely event that one of our products does not perform as expected, you're protected by our Product Promise.
For full details, please see our Terms & Conditions

Please note: All products are 'FOR RESEARCH USE ONLY. NOT FOR USE IN DIAGNOSTIC OR THERAPEUTIC PROCEDURES'.

For licensing inquiries, please contact partnerships@abcam.com