JavaScript is disabled in your browser. Please enable JavaScript to view this website.
AB250967

Anti-SVH antibody [EPR13763] - BSA and Azide free

Be the first to review this product! Submit a review

|

(1 Publication)

Rabbit Recombinant Monoclonal SVH antibody. Carrier free. Suitable for ICC/IF, IP, WB and reacts with Human, Rat, Mouse samples. Cited in 1 publication.

View Alternative Names

SVH, PSEC0198, ARMC10, Armadillo repeat-containing protein 10, Splicing variant involved in hepatocarcinogenesis protein

4 Images
Immunocytochemistry/ Immunofluorescence - Anti-SVH antibody [EPR13763] - BSA and Azide free (AB250967)
  • ICC/IF

Supplier Data

Immunocytochemistry/ Immunofluorescence - Anti-SVH antibody [EPR13763] - BSA and Azide free (AB250967)

This data was developed using ab188573, the same antibody clone in a different buffer formulation.

Immunofluorescent analysis of 4% paraformaldehyde-fixed A431cells labeling SVH with ab188573 at 1/50 followed by Goat anti rabbit IgG (Alexa Fluor®488) and DAPI staining.

Immunoprecipitation - Anti-SVH antibody [EPR13763] - BSA and Azide free (AB250967)
  • IP

Supplier Data

Immunoprecipitation - Anti-SVH antibody [EPR13763] - BSA and Azide free (AB250967)

This data was developed using ab188573, the same antibody clone in a different buffer formulation.

Western blot analysis of SVH in immunoprecipitation pellets from U87-MG lysate. ab188573 used at 1/50 dilution (Lane 1) or PBS (Lane 2). Secondary antibody Anti-Rabbit IgG (HRP), specific to the non-reduced form of IgG at a1/1500 dilution.

All lanes:

Immunoprecipitation - Anti-SVH antibody [EPR13763] - C-terminal (<a href='/en-us/products/primary-antibodies/svh-antibody-epr13763-c-terminal-ab188573'>ab188573</a>) at 1/1000 dilution

Lane 1:

U87-MG

Lane 2:

PBS instead of U87-MG lysates

Secondary

All lanes:

Anti-Rabbit IgG (HRP), specific to the non-reduced form of IgG at 1/1500 dilution

Predicted band size: 38 kDa

Observed band size: 27 kDa,34 kDa

false

Western blot - Anti-SVH antibody [EPR13763] - BSA and Azide free (AB250967)
  • WB

Supplier Data

Western blot - Anti-SVH antibody [EPR13763] - BSA and Azide free (AB250967)

This data was developed using ab188573, the same antibody clone in a different buffer formulation.

All lanes:

Western blot - Anti-SVH antibody [EPR13763] - C-terminal (<a href='/en-us/products/primary-antibodies/svh-antibody-epr13763-c-terminal-ab188573'>ab188573</a>) at 1/1000 dilution

Lane 1:

SKBR-3 cell lysate at 20 µg

Lane 2:

A431 cell lysate at 20 µg

Lane 3:

HepG2 cell lysate at 20 µg

Lane 4:

U87-MG cell lysate at 20 µg

Secondary

All lanes:

Goat Anti-Rabbit IgG, (H+L), Peroxidase conjugated at 1/1000 dilution

Predicted band size: 38 kDa

false

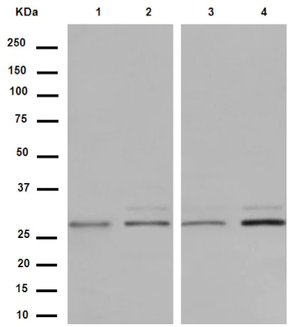
Western blot - Anti-SVH antibody [EPR13763] - BSA and Azide free (AB250967)
  • WB

Supplier Data

Western blot - Anti-SVH antibody [EPR13763] - BSA and Azide free (AB250967)

This data was developed using ab188573, the same antibody clone in a different buffer formulation.

All lanes:

Western blot - Anti-SVH antibody [EPR13763] - C-terminal (<a href='/en-us/products/primary-antibodies/svh-antibody-epr13763-c-terminal-ab188573'>ab188573</a>) at 1/1000 dilution

Lane 1:

C6 lysate at 10 µg

Lane 2:

RAW264.7 lysate at 10 µg

Lane 3:

PC-12 lysate at 10 µg

Lane 4:

NIH3T3 lysate at 10 µg

Secondary

All lanes:

Goat Anti-Rabbit IgG, (H+L), Peroxidase conjugated at 1/1000 dilution

Predicted band size: 38 kDa

false

Key facts

Host species

Rabbit

Clonality

Monoclonal

Clone number

EPR13763

Isotype

IgG

Carrier free

Yes

Reacts with

Mouse, Rat, Human

Applications

IP, ICC/IF, WB

applications

Immunogen

The exact immunogen used to generate this antibody is proprietary information.

Specificity

Based on the sequence analysis, this antibody recognizes 5 isoforms with the predicted MWs of 38KDa, 34KDa, 31KDa, 27KDa and 31KDa, respectively.

Reactivity data

{ "title": "Reactivity Data", "filters": { "stats": ["", "Species", "Dilution Info", "Notes"], "tabs": { "all-applications": {"fullname" : "All Applications", "shortname": "All Applications"}, "ICCIF" : {"fullname" : "Immunocytochemistry/ Immunofluorescence", "shortname":"ICC/IF"}, "IP" : {"fullname" : "Immunoprecipitation", "shortname":"IP"}, "WB" : {"fullname" : "Western blot", "shortname":"WB"} }, "product-promise": { "all": "all", "testedAndGuaranteed": "tested", "guaranteed": "expected", "predicted": "predicted", "notRecommended": "not-recommended" } }, "values": { "Human": { "ICCIF-species-checked": "testedAndGuaranteed", "ICCIF-species-dilution-info": "", "ICCIF-species-notes": "<p></p>", "IP-species-checked": "testedAndGuaranteed", "IP-species-dilution-info": "", "IP-species-notes": "<p></p>", "WB-species-checked": "testedAndGuaranteed", "WB-species-dilution-info": "", "WB-species-notes": "<p></p>" }, "Mouse": { "ICCIF-species-checked": "guaranteed", "ICCIF-species-dilution-info": "", "ICCIF-species-notes": "", "IP-species-checked": "guaranteed", "IP-species-dilution-info": "", "IP-species-notes": "", "WB-species-checked": "testedAndGuaranteed", "WB-species-dilution-info": "", "WB-species-notes": "<p></p>" }, "Rat": { "ICCIF-species-checked": "guaranteed", "ICCIF-species-dilution-info": "", "ICCIF-species-notes": "", "IP-species-checked": "guaranteed", "IP-species-dilution-info": "", "IP-species-notes": "", "WB-species-checked": "testedAndGuaranteed", "WB-species-dilution-info": "", "WB-species-notes": "<p></p>" } } }

Product details

ab250967 is the carrier-free version of ab188573.

Patented technology
Our RabMAb® technology is a patented hybridoma-based technology for making rabbit monoclonal antibodies. For details on our patents, please refer to RabMAb® patents.

What are the advantages of a recombinant monoclonal antibody?
This product is a recombinant monoclonal antibody, which offers several advantages including:

  • - High batch-to-batch consistency and reproducibility
  • - Improved sensitivity and specificity
  • - Long-term security of supply
  • - Animal-free batch production

For more information, read more on recombinant antibodies.

Conjugation ready
Our carrier-free antibodies are typically supplied in a PBS-only formulation, purified and free of BSA, sodium azide and glycerol. This conjugation-ready format is designed for use with fluorochromes, metal isotopes, oligonucleotides, and enzymes, which makes them ideal for antibody labelling, functional and cell-based assays, flow-based assays (e.g. mass cytometry) and Multiplex Imaging applications.

Use our conjugation kits for antibody conjugates that are ready-to-use in as little as 20 minutes with 1 minute hands-on-time and 100% antibody recovery: available for fluorescent dyes, HRP, biotin and gold.

Compatibility
This product is compatible with the Maxpar® Antibody Labeling Kit from Fluidigm, without the need for antibody preparation. Maxpar® is a trademark of Fluidigm Canada Inc.

Properties and storage information

Form
Liquid
Storage buffer
pH: 7.2 - 7.4 Constituents: PBS
Shipped at conditions
Blue Ice
Appropriate short-term storage conditions
+4°C
Appropriate long-term storage conditions
+4°C
Storage information
Do Not Freeze

Product protocols

For this product, it's our understanding that no specific protocols are required. You can visit:

Target data

May play a role in cell survival and cell growth. May suppress the transcriptional activity of p53/TP53.
See full target information ARMC10

Publications (1)

Recent publications for all applications. Explore the full list and refine your search

Genes 14: PubMed37239471

2023

Differential Regulation of POC5 by ERα in Human Normal and Scoliotic Cells.

Applications

Unspecified application

Species

Unspecified reactive species

Amani Hassan,Edward T Bagu,Shunmoogum A Patten,Sirinart Molidperee,Stefan Parent,Soraya Barchi,Isabelle Villemure,André Tremblay,Florina Moldovan
View all publications

Product promise

We are committed to supporting your work with high-quality reagents, and we're here for you every step of the way. In the unlikely event that one of our products does not perform as expected, you're protected by our Product Promise.
For full details, please see our Terms & Conditions

Please note: All products are 'FOR RESEARCH USE ONLY. NOT FOR USE IN DIAGNOSTIC OR THERAPEUTIC PROCEDURES'.

For licensing inquiries, please contact partnerships@abcam.com