JavaScript is disabled in your browser. Please enable JavaScript to view this website.
AB188573

Anti-SVH antibody [EPR13763] - C-terminal

Be the first to review this product! Submit a review

|

(1 Publication)

Rabbit Recombinant Monoclonal SVH antibody. C-terminal. Suitable for IP, WB, ICC/IF and reacts with Human, Rat, Mouse samples. Cited in 1 publication.

View Alternative Names

SVH, PSEC0198, ARMC10, Armadillo repeat-containing protein 10, Splicing variant involved in hepatocarcinogenesis protein

4 Images
Immunocytochemistry/ Immunofluorescence - Anti-SVH antibody [EPR13763] - C-terminal (AB188573)
  • ICC/IF

Supplier Data

Immunocytochemistry/ Immunofluorescence - Anti-SVH antibody [EPR13763] - C-terminal (AB188573)

Immunofluorescent analysis of 4% paraformaldehyde-fixed A431cells labeling SVH with ab188573 at 1/50 followed by Goat anti rabbit IgG (Alexa Fluor®488) and DAPI staining.

Immunoprecipitation - Anti-SVH antibody [EPR13763] - C-terminal (AB188573)
  • IP

Supplier Data

Immunoprecipitation - Anti-SVH antibody [EPR13763] - C-terminal (AB188573)

Western blot analysis of SVH in immunoprecipitation pellets from U87-MG lysate. ab188573 used at 1/50 dilution (Lane 1) or PBS (Lane 2). Secondary antibody Anti-Rabbit IgG (HRP), specific to the non-reduced form of IgG at a1/1500 dilution.

All lanes:

Immunoprecipitation - Anti-SVH antibody [EPR13763] - C-terminal (ab188573) at 1/1000 dilution

Lane 1:

U87-MG

Lane 2:

PBS instead of U87-MG lysates

Secondary

All lanes:

Anti-Rabbit IgG (HRP), specific to the non-reduced form of IgG at 1/1500 dilution

Predicted band size: 38 kDa

Observed band size: 27 kDa,34 kDa

false

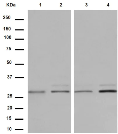
Western blot - Anti-SVH antibody [EPR13763] - C-terminal (AB188573)
  • WB

Supplier Data

Western blot - Anti-SVH antibody [EPR13763] - C-terminal (AB188573)

All lanes:

Western blot - Anti-SVH antibody [EPR13763] - C-terminal (ab188573) at 1/1000 dilution

Lane 1:

SKBR-3 cell lysate at 20 µg

Lane 2:

A431 cell lysate at 20 µg

Lane 3:

HepG2 cell lysate at 20 µg

Lane 4:

U87-MG cell lysate at 20 µg

Secondary

All lanes:

Goat Anti-Rabbit IgG, (H+L), Peroxidase conjugated at 1/1000 dilution

Predicted band size: 38 kDa

false

Western blot - Anti-SVH antibody [EPR13763] - C-terminal (AB188573)
  • WB

Supplier Data

Western blot - Anti-SVH antibody [EPR13763] - C-terminal (AB188573)

All lanes:

Western blot - Anti-SVH antibody [EPR13763] - C-terminal (ab188573) at 1/1000 dilution

Lane 1:

C6 lysate at 10 µg

Lane 2:

RAW264.7 lysate at 10 µg

Lane 3:

PC-12 lysate at 10 µg

Lane 4:

NIH3T3 lysate at 10 µg

Secondary

All lanes:

Goat Anti-Rabbit IgG, (H+L), Peroxidase conjugated at 1/1000 dilution

Predicted band size: 38 kDa

false

  • Carrier free

    Anti-SVH antibody [EPR13763] - BSA and Azide free

Key facts

Host species

Rabbit

Clonality

Monoclonal

Clone number

EPR13763

Isotype

IgG

Carrier free

No

Reacts with

Mouse, Rat, Human

Applications

WB, ICC/IF, IP

applications

Immunogen

The exact immunogen used to generate this antibody is proprietary information.

Specificity

Based on the sequence analysis, this antibody recognizes 5 isoforms with the predicted MWs of 38KDa, 34KDa, 31KDa, 27KDa and 31KDa, respectively.

Reactivity data

{ "title": "Reactivity Data", "filters": { "stats": ["", "Species", "Dilution Info", "Notes"], "tabs": { "all-applications": {"fullname" : "All Applications", "shortname": "All Applications"}, "IP" : {"fullname" : "Immunoprecipitation", "shortname":"IP"}, "WB" : {"fullname" : "Western blot", "shortname":"WB"}, "ICCIF" : {"fullname" : "Immunocytochemistry/ Immunofluorescence", "shortname":"ICC/IF"} }, "product-promise": { "all": "all", "testedAndGuaranteed": "tested", "guaranteed": "expected", "predicted": "predicted", "notRecommended": "not-recommended" } }, "values": { "Human": { "IP-species-checked": "testedAndGuaranteed", "IP-species-dilution-info": "1/50", "IP-species-notes": "<p></p>", "WB-species-checked": "testedAndGuaranteed", "WB-species-dilution-info": "1/1000", "WB-species-notes": "<p></p>", "ICCIF-species-checked": "testedAndGuaranteed", "ICCIF-species-dilution-info": "1/50", "ICCIF-species-notes": "<p></p>" }, "Mouse": { "IP-species-checked": "guaranteed", "IP-species-dilution-info": "", "IP-species-notes": "", "WB-species-checked": "testedAndGuaranteed", "WB-species-dilution-info": "1/1000", "WB-species-notes": "<p></p>", "ICCIF-species-checked": "guaranteed", "ICCIF-species-dilution-info": "", "ICCIF-species-notes": "" }, "Rat": { "IP-species-checked": "guaranteed", "IP-species-dilution-info": "", "IP-species-notes": "", "WB-species-checked": "testedAndGuaranteed", "WB-species-dilution-info": "1/1000", "WB-species-notes": "<p></p>", "ICCIF-species-checked": "guaranteed", "ICCIF-species-dilution-info": "", "ICCIF-species-notes": "" } } }

Product details

Patented technology
Our RabMAb® technology is a patented hybridoma-based technology for making rabbit monoclonal antibodies. For details on our patents, please refer to RabMAb® patents.

What are the advantages of a recombinant monoclonal antibody?
This product is a recombinant monoclonal antibody, which offers several advantages including:

  • - High batch-to-batch consistency and reproducibility
  • - Improved sensitivity and specificity
  • - Long-term security of supply
  • - Animal-free batch production

For more information, read more on recombinant antibodies.

Properties and storage information

Form
Liquid
Purification technique
Affinity purification Protein A
Storage buffer
pH: 7.2 - 7.4 Preservative: 0.01% Sodium azide Constituents: PBS, 40% Glycerol (glycerin, glycerine), 0.05% BSA
Shipped at conditions
Blue Ice
Appropriate short-term storage duration
1-2 weeks
Appropriate short-term storage conditions
+4°C
Appropriate long-term storage conditions
-20°C
Aliquoting information
Upon delivery aliquot
Storage information
Avoid freeze / thaw cycle

Product protocols

For this product, it's our understanding that no specific protocols are required. You can visit:

Target data

May play a role in cell survival and cell growth. May suppress the transcriptional activity of p53/TP53.
See full target information ARMC10

Publications (1)

Recent publications for all applications. Explore the full list and refine your search

Journal of oncology 2022:8167496 PubMed35378772

2022

The Expression, Prognostic Value, and Immunological Correlation of MCEMP1 and its Potential Role in Gastric Cancer.

Applications

Unspecified application

Species

Unspecified reactive species

Pu Huang,Yawen Liu,Baoqing Jia
View all publications

Product promise

We are committed to supporting your work with high-quality reagents, and we're here for you every step of the way. In the unlikely event that one of our products does not perform as expected, you're protected by our Product Promise.
For full details, please see our Terms & Conditions

Please note: All products are 'FOR RESEARCH USE ONLY. NOT FOR USE IN DIAGNOSTIC OR THERAPEUTIC PROCEDURES'.

For licensing inquiries, please contact partnerships@abcam.com