JavaScript is disabled in your browser. Please enable JavaScript to view this website.
AB307554

Anti-Swd2 antibody [EPR27034-63]

  • BOND RX™ Validated
  • 20ul selling size
  • RabMAb
  • Recombinant
  • What is this?

Be the first to review this product! Submit a review

|

(0 Publication)

Rabbit Recombinant Monoclonal Swd2 antibody. Suitable for IP, Flow Cyt (Intra), ICC/IF, IHC-P, WB and reacts with Mouse, Human, Rat samples.

View Alternative Names

SWD2, TMEM113, WDR82A, UNQ9342/PRO34047, WDR82, WD repeat-containing protein 82

12 Images
Immunocytochemistry/ Immunofluorescence - Anti-Swd2 antibody [EPR27034-63] (AB307554)
  • ICC/IF

Supplier Data

Immunocytochemistry/ Immunofluorescence - Anti-Swd2 antibody [EPR27034-63] (AB307554)

Immunofluorescent analysis of 4% Paraformaldehyde-fixed, 0.1% TritonX-100 permeabilized HeLa (human cervix adenocarcinoma epithelial cell) cells labelling Swd2 with ab307554 at 1/50 (11.0 ug/ml) dilution, followed by ab150081 Goat Anti-Rabbit IgG H&L (Alexa Fluor® 488) preadsorbed antibody at 1/1000 2 ug/ml dilution (Green). Confocal image showing nuclear staining in HeLa cell line.Image was taken with a confocal microscope(Leica-Microsystems, TCS SP8). ab195889 Anti-alpha Tubulin mouse monoclonal antibody - Microtubule Marker (Alexa Fluor® 594) was used to counterstain tubulin at 1/200 2.5ug/ml dilution (Red). The Nuclear counterstain was DAPI (Blue). Secondary antibody only control : Secondary antibody is ab150081 Goat Anti-Rabbit IgG H&L (Alexa Fluor® 488) preadsorbed at 1/1000 2 ug/ml dilution.

Flow Cytometry (Intracellular) - Anti-Swd2 antibody [EPR27034-63] (AB307554)
  • Flow Cyt (Intra)

Supplier Data

Flow Cytometry (Intracellular) - Anti-Swd2 antibody [EPR27034-63] (AB307554)

Flow cytometric analysis of 4% paraformaldehyde fixed 90% methanol permeabilized HeLa (human cervix adenocarcinoma epithelial cell) cells labelling Swd2 with ab307554 at 1/500 dilution (0.1ug) (Red) (Red) compared with a Rabbit monoclonal IgG (ab172730) (Black) isotype control and an unlabelled control (cells without incubation with primary antibody and secondary antibody) (Blue). A Goat Anti-Rabbit IgG (Alexa Fluor® 488, ab150081) at 1/2000 dilution was used as the secondary antibody.

Immunohistochemistry (Formalin/PFA-fixed paraffin-embedded sections) - Anti-Swd2 antibody [EPR27034-63] (AB307554)
  • IHC-P

Supplier Data

Immunohistochemistry (Formalin/PFA-fixed paraffin-embedded sections) - Anti-Swd2 antibody [EPR27034-63] (AB307554)

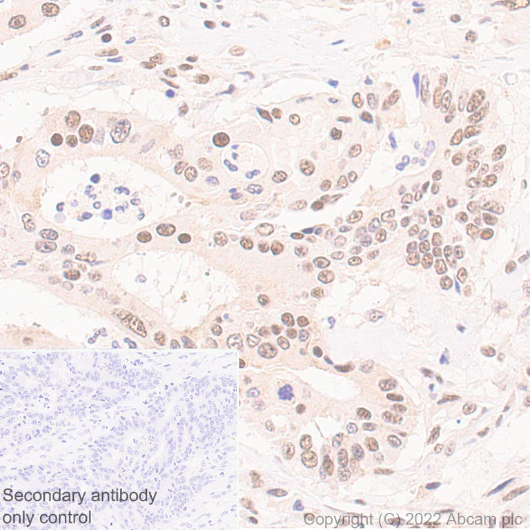
Immunohistochemical analysis of paraffin-embedded Human colon tissue labeling Swd2 with ab307554 at 1/500 (1.1 ug/ml) followed by a ready to use LeicaDS9800 (Bond™ Polymer Refine Detection) was used. Nuclear staining on human colon (PMID : 30008910). The section was incubated with ab307554 for 30 mins at room temperature.The immunostaining was performed on a Leica Biosystems BOND® RX instrument Counterstained with Hematoxylin. Secondary antibody only control : Secondary antibody is a ready to use LeicaDS9800 (Bond™ Polymer Refine Detection) was used. Heat mediated antigen retrieval was performed with Tris-EDTA buffer (pH 9.0, Epitope Retrieval Solution2) for 20 mins

Immunohistochemistry (Formalin/PFA-fixed paraffin-embedded sections) - Anti-Swd2 antibody [EPR27034-63] (AB307554)
  • IHC-P

Supplier Data

Immunohistochemistry (Formalin/PFA-fixed paraffin-embedded sections) - Anti-Swd2 antibody [EPR27034-63] (AB307554)

Immunohistochemical analysis of paraffin-embedded Human colon cancer tissue labeling Swd2 with ab307554 at 1/500 (1.1 ug/ml) followed by a ready to use LeicaDS9800 (Bond™ Polymer Refine Detection) was used. Nuclear staining on human colon cancer (PMID : 30008910). The section was incubated with ab307554 for 30 mins at room temperature.The immunostaining was performed on a Leica Biosystems BOND® RX instrument Counterstained with Hematoxylin. Secondary antibody only control : Secondary antibody is a ready to use LeicaDS9800 (Bond™ Polymer Refine Detection) was used. Heat mediated antigen retrieval was performed with Tris-EDTA buffer (pH 9.0, Epitope Retrieval Solution2) for 20 mins

Immunoprecipitation - Anti-Swd2 antibody [EPR27034-63] (AB307554)
  • IP

Supplier Data

Immunoprecipitation - Anti-Swd2 antibody [EPR27034-63] (AB307554)

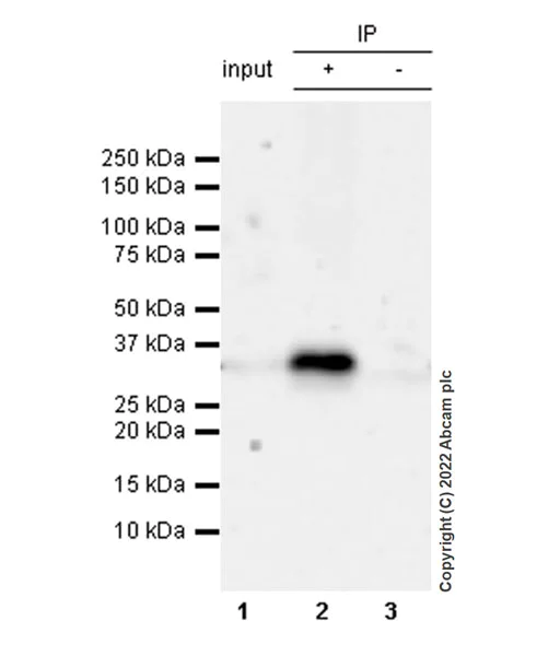
Swd2 was immunoprecipitated from 0.35 mg Human colon tissue lysate with ab307554 at 1/30 dilution (2ug in 0.35mg lysates). Western blot was performed on the immunoprecipitate using ab307554 at 1/1000 dilution. VeriBlot for IP secondary antibody(HRP)(ab131366) was used at 1/5000 dilution. Lane 1 : Human colon tissue lysate Lane 2 : ab307554 IP in Human colon tissue lysate Lane 3 : Rabbit monoclonal IgG (ab172730) instead of ab307554 in human colon tissue lysate Blocking and dilution buffer and concentration : 5% NFDM/TBST. Exposure time : 67 seconds

All lanes:

Immunoprecipitation - Anti-Swd2 antibody [EPR27034-63] (ab307554) at 1/30 dilution

All lanes:

Human colon tissue lysate

Secondary

All lanes:

Immunoprecipitation - VeriBlot for IP Detection Reagent (HRP) (<a href='/en-us/products/reagents/veriblot-for-ip-detection-reagent-hrp-ab131366'>ab131366</a>) at 1/5000 dilution

false

Exposure time: 67s

Immunohistochemistry (Formalin/PFA-fixed paraffin-embedded sections) - Anti-Swd2 antibody [EPR27034-63] (AB307554)
  • IHC-P

Supplier Data

Immunohistochemistry (Formalin/PFA-fixed paraffin-embedded sections) - Anti-Swd2 antibody [EPR27034-63] (AB307554)

Immunohistochemical analysis of paraffin-embedded Rat colon tissue labeling Swd2 with ab307554 at 1/2000 (0.275 ug/ml) followed by a ready to use LeicaDS9800 (Bond™ Polymer Refine Detection) was used. Nuclear staining on rat colon. The section was incubated with ab307554 for 30 mins at room temperature.The immunostaining was performed on a Leica Biosystems BOND® RX instrument Counterstained with Hematoxylin. Secondary antibody only control : Secondary antibody is a ready to use LeicaDS9800 (Bond™ Polymer Refine Detection) was used. Heat mediated antigen retrieval was performed with Tris-EDTA buffer (pH 9.0, Epitope Retrieval Solution2) for 20 mins

Immunohistochemistry (Formalin/PFA-fixed paraffin-embedded sections) - Anti-Swd2 antibody [EPR27034-63] (AB307554)
  • IHC-P

Supplier Data

Immunohistochemistry (Formalin/PFA-fixed paraffin-embedded sections) - Anti-Swd2 antibody [EPR27034-63] (AB307554)

Immunohistochemical analysis of paraffin-embedded Mouse colon tissue labeling Swd2 with ab307554 at 1/2000 (0.275 ug/ml) followed by a ready to use LeicaDS9800 (Bond™ Polymer Refine Detection) was used. Nuclear staining on mouse colon. The section was incubated with ab307554 for 30 mins at room temperature.The immunostaining was performed on a Leica Biosystems BOND® RX instrument Counterstained with Hematoxylin. Secondary antibody only control : Secondary antibody is a ready to use LeicaDS9800 (Bond™ Polymer Refine Detection) was used. Heat mediated antigen retrieval was performed with Tris-EDTA buffer (pH 9.0, Epitope Retrieval Solution2) for 20 mins

Immunocytochemistry/ Immunofluorescence - Anti-Swd2 antibody [EPR27034-63] (AB307554)
  • ICC/IF

Supplier Data

Immunocytochemistry/ Immunofluorescence - Anti-Swd2 antibody [EPR27034-63] (AB307554)

Immunofluorescent analysis of 4% Paraformaldehyde-fixed, 0.1% TritonX-100 permeabilized NIH/3T3 (mouse embryonic fibroblast) cells labelling Swd2 with ab307554 at 1/50 (11.0 ug/ml) dilution, followed by ab150081 Goat Anti-Rabbit IgG H&L (Alexa Fluor® 488) preadsorbed antibody at 1/1000 2 ug/ml dilution (Green). Confocal image showing nuclear staining in NIH/3T3 cell line.Image was taken with a confocal microscope(Leica-Microsystems, TCS SP8). ab195889 Anti-alpha Tubulin mouse monoclonal antibody - Microtubule Marker (Alexa Fluor® 594) was used to counterstain tubulin at 1/200 2.5ug/ml dilution (Red). The Nuclear counterstain was DAPI (Blue). Secondary antibody only control : Secondary antibody is ab150081 Goat Anti-Rabbit IgG H&L (Alexa Fluor® 488) preadsorbed at 1/1000 2 ug/ml dilution.

Flow Cytometry (Intracellular) - Anti-Swd2 antibody [EPR27034-63] (AB307554)
  • Flow Cyt (Intra)

Supplier Data

Flow Cytometry (Intracellular) - Anti-Swd2 antibody [EPR27034-63] (AB307554)

Flow cytometric analysis of 4% paraformaldehyde fixed 90% methanol permeabilized NIH/3T3 (mouse embryonic fibroblast) cells labelling Swd2 with ab307554 at 1/500 dilution (0.1ug) (Red) (Red) compared with a Rabbit monoclonal IgG (ab172730) (Black) isotype control and an unlabelled control (cells without incubation with primary antibody and secondary antibody) (Blue). A Goat Anti-Rabbit IgG (Alexa Fluor® 488, ab150081) at 1/2000 dilution was used as the secondary antibody.

Immunoprecipitation - Anti-Swd2 antibody [EPR27034-63] (AB307554)
  • IP

Supplier Data

Immunoprecipitation - Anti-Swd2 antibody [EPR27034-63] (AB307554)

Swd2 was immunoprecipitated from 0.35 mg Mouse colon tissue lysate with ab307554 at 1/30 dilution (2ug in 0.35mg lysates). Western blot was performed on the immunoprecipitate using ab307554 at 1/1000 dilution. VeriBlot for IP secondary antibody(HRP)(ab131366) was used at 1/5000 dilution. Lane 1 : Mouse colon tissue lysate Lane 2 : ab307554 IP in Mouse colon tissue lysate Lane 3 : Rabbit monoclonal IgG (ab172730) instead of ab307554 in mouse colon tissue lysate Blocking and dilution buffer and concentration : 5% NFDM/TBST. Exposure time : 67 seconds

All lanes:

Immunoprecipitation - Anti-Swd2 antibody [EPR27034-63] (ab307554) at 1/30 dilution

All lanes:

Mouse colon tissue lysate

Secondary

All lanes:

Immunoprecipitation - VeriBlot for IP Detection Reagent (HRP) (<a href='/en-us/products/reagents/veriblot-for-ip-detection-reagent-hrp-ab131366'>ab131366</a>) at 1/5000 dilution

false

Exposure time: 67s

Western blot - Anti-Swd2 antibody [EPR27034-63] (AB307554)
  • WB

Supplier Data

Western blot - Anti-Swd2 antibody [EPR27034-63] (AB307554)

Blocking and diluting buffer and concentration : 5% NFDM/TBST Exposure time : 103 seconds

All lanes:

Western blot - Anti-Swd2 antibody [EPR27034-63] (ab307554) at 1/1000 dilution

Lane 1:

Human colon tissue lysate at 10 µg

Lane 2:

Mouse colon tissue lysate at 10 µg

Lane 3:

Rat colon tissue lysate at 10 µg

Secondary

All lanes:

Western blot - Goat Anti-Rabbit IgG H&L (HRP) (<a href='/en-us/products/secondary-antibodies/goat-rabbit-igg-h-l-hrp-ab97051'>ab97051</a>) at 1/100000 dilution

Observed band size: 35 kDa

false

Exposure time: 103s

Western blot - Anti-Swd2 antibody [EPR27034-63] (AB307554)
  • WB

Supplier Data

Western blot - Anti-Swd2 antibody [EPR27034-63] (AB307554)

Blocking and diluting buffer and concentration : 5% NFDM/TBST Exposure time : 27 seconds

All lanes:

Western blot - Anti-Swd2 antibody [EPR27034-63] (ab307554) at 1/1000 dilution

Lane 1:

HeLa (human cervix adenocarcinoma epithelial cell) transfected with scrambled siRNA control whole cell lysate at 20 µg

Lane 2:

HeLa transfected with siRNA specifically targeti Swd2, whole cell lysate at 20 µg

Lane 3:

HeLa whole cell lysate at 20 µg

Lane 4:

HCT116 (human colorectal carcinoma epithelial cell) whole cell lysate at 20 µg

Lane 5:

HepG2 (human hepatocellar carcinoma epithelial cell) whole cell lysate at 20 µg

Lane 6:

NIH/3T3 (mouse embryonic fibroblast) whole cell lysate at 20 µg

Secondary

All lanes:

Western blot - Goat Anti-Rabbit IgG H&L (HRP) (<a href='/en-us/products/secondary-antibodies/goat-rabbit-igg-h-l-hrp-ab97051'>ab97051</a>) at 1/100000 dilution

Observed band size: 35 kDa

false

Exposure time: 27s

Key facts

Host species

Rabbit

Clonality

Monoclonal

Clone number

EPR27034-63

Isotype

IgG

Carrier free

No

Reacts with

Rat, Mouse, Human

Applications

IHC-P, ICC/IF, Flow Cyt (Intra), IP, WB

applications

Immunogen

The exact immunogen used to generate this antibody is proprietary information.

Reactivity data

{ "title": "Reactivity Data", "filters": { "stats": ["", "Species", "Dilution Info", "Notes"], "tabs": { "all-applications": {"fullname" : "All Applications", "shortname": "All Applications"}, "IP" : {"fullname" : "Immunoprecipitation", "shortname":"IP"}, "FlowCytIntra" : {"fullname" : "Flow Cytometry (Intracellular)", "shortname":"Flow Cyt (Intra)"}, "ICCIF" : {"fullname" : "Immunocytochemistry/ Immunofluorescence", "shortname":"ICC/IF"}, "IHCP" : {"fullname" : "Immunohistochemistry (Formalin/PFA-fixed paraffin-embedded sections)", "shortname":"IHC-P"}, "WB" : {"fullname" : "Western blot", "shortname":"WB"} }, "product-promise": { "all": "all", "testedAndGuaranteed": "tested", "guaranteed": "expected", "predicted": "predicted", "notRecommended": "not-recommended" } }, "values": { "Human": { "IP-species-checked": "testedAndGuaranteed", "IP-species-dilution-info": "1/30", "IP-species-notes": "<p></p>", "FlowCytIntra-species-checked": "testedAndGuaranteed", "FlowCytIntra-species-dilution-info": "1/500", "FlowCytIntra-species-notes": "<p></p>", "ICCIF-species-checked": "testedAndGuaranteed", "ICCIF-species-dilution-info": "1/50", "ICCIF-species-notes": "<p></p>", "IHCP-species-checked": "testedAndGuaranteed", "IHCP-species-dilution-info": "1/500 - 1/2000", "IHCP-species-notes": "<p></p> Perform heat-mediated antigen retrieval with Tris/EDTA buffer pH 9.0 before commencing with IHC staining protocol.", "WB-species-checked": "testedAndGuaranteed", "WB-species-dilution-info": "1/1000", "WB-species-notes": "<p></p>" }, "Mouse": { "IP-species-checked": "testedAndGuaranteed", "IP-species-dilution-info": "1/30", "IP-species-notes": "<p></p>", "FlowCytIntra-species-checked": "testedAndGuaranteed", "FlowCytIntra-species-dilution-info": "1/500", "FlowCytIntra-species-notes": "<p></p>", "ICCIF-species-checked": "testedAndGuaranteed", "ICCIF-species-dilution-info": "1/50", "ICCIF-species-notes": "<p></p>", "IHCP-species-checked": "testedAndGuaranteed", "IHCP-species-dilution-info": "1/500 - 1/2000", "IHCP-species-notes": "<p></p> Perform heat-mediated antigen retrieval with Tris/EDTA buffer pH 9.0 before commencing with IHC staining protocol.", "WB-species-checked": "testedAndGuaranteed", "WB-species-dilution-info": "1/1000", "WB-species-notes": "<p></p>" }, "Rat": { "IP-species-checked": "guaranteed", "IP-species-dilution-info": "", "IP-species-notes": "", "FlowCytIntra-species-checked": "guaranteed", "FlowCytIntra-species-dilution-info": "", "FlowCytIntra-species-notes": "", "ICCIF-species-checked": "guaranteed", "ICCIF-species-dilution-info": "", "ICCIF-species-notes": "", "IHCP-species-checked": "testedAndGuaranteed", "IHCP-species-dilution-info": "1/500 - 1/2000", "IHCP-species-notes": "<p></p> Perform heat-mediated antigen retrieval with Tris/EDTA buffer pH 9.0 before commencing with IHC staining protocol.", "WB-species-checked": "testedAndGuaranteed", "WB-species-dilution-info": "1/1000", "WB-species-notes": "<p></p>" } } }

Product details

Patented technology
Our RabMAb® technology is a patented hybridoma-based technology for making rabbit monoclonal antibodies. For details on our patents, please refer to RabMAb® patents.

What are the advantages of a recombinant monoclonal antibody?
This product is a recombinant monoclonal antibody, which offers several advantages including:

  • - High batch-to-batch consistency and reproducibility
  • - Improved sensitivity and specificity
  • - Long-term security of supply
  • - Animal-free batch production

For more information, read more on recombinant antibodies.

Properties and storage information

Form
Liquid
Purification technique
Affinity purification Protein A
Storage buffer
pH: 7.2 - 7.4 Preservative: 0.01% Sodium azide Constituents: PBS, 40% Glycerol (glycerin, glycerine), 0.05% BSA
Shipped at conditions
Blue Ice
Appropriate short-term storage duration
1-2 weeks
Appropriate short-term storage conditions
+4°C
Appropriate long-term storage conditions
-20°C
Aliquoting information
Upon delivery aliquot
Storage information
Avoid freeze / thaw cycle

Supplementary information

This supplementary information is collated from multiple sources and compiled automatically.

Swd2 also known as Cwc21 or Swd2p is a protein that functions as a regulatory component in RNA splicing and transcription. This protein has a mass of approximately 47 kDa and is primarily expressed in the nucleus of eukaryotic cells. Swd2 associates with the spliceosome and transcription-related complexes playing a role in coordinating transcription and processing of RNA. Understanding its precise mechanical role is key to appreciate its broader biological implications.
Biological function summary

Swd2 operates as part of the COMPASS complex a multiprotein assembly involved in histone modification. This complex methylates histone H3 at lysine 4 (H3K4) influencing chromatin structure and gene expression regulation. Swd2 contributes to the function of the spliceosome by interacting with core splicing machinery components aiding the removal of introns from pre-mRNA. Its activity affects gene expression patterns linking transcription processes with RNA maturation in the cell.

Pathways

Swd2 is integral within two major biological pathways: RNA splicing and chromatin modification. Through RNA splicing it assists with the precise excision of introns interacting with proteins like Prp19. In the chromatin modification pathway it acts as part of the COMPASS complex which involves Set1 in the methylation of H3K4. This methylation is critical for chromatin remodeling therefore impacting transcription regulation and gene silencing.

Researchers have noted associations between Swd2's function and certain cancers and neurodegenerative disorders. Aberrations in RNA splicing regulation where Swd2 is involved may contribute to oncogenesis. Altered Swd2 expression or function can disrupt the careful balance required for normal cell proliferation. Increased aberrant splicing or disrupted trimethylation at H3K4 potentially linked to Set1 may lead to pathways involved in these disorders. Understanding Swd2's pathways could be important for therapeutic exploration.

Product protocols

For this product, it's our understanding that no specific protocols are required. You can visit:

Target data

Regulatory component of the SET1/COMPASS complex implicated in the tethering of this complex to transcriptional start sites of active genes (PubMed : 17998332, PubMed : 18838538, PubMed : 20516061). Facilitates histone H3 'Lys-4' methylation (H3K4me) via recruitment of the SETD1A or SETD1B to the 'Ser-5' phosphorylated C-terminal domain (CTD) of RNA polymerase II large subunit (POLR2A) (PubMed : 17998332, PubMed : 18838538). Component of PTW/PP1 phosphatase complex, which plays a role in the control of chromatin structure and cell cycle progression during the transition from mitosis into interphase (PubMed : 20516061). Together with ZC3H4, but independently of the SET1 complex, part of a transcription termination checkpoint that promotes transcription termination of long non-coding RNAs (lncRNAs) (PubMed : 33767452, PubMed : 33913806). The transcription termination checkpoint is activated by the inefficiently spliced first exon of lncRNAs and promotes transcription termination of lncRNAs and their subsequent degradation by the exosome (PubMed : 33767452).
See full target information WDR82

Product promise

We are committed to supporting your work with high-quality reagents, and we're here for you every step of the way. In the unlikely event that one of our products does not perform as expected, you're protected by our Product Promise.
For full details, please see our Terms & Conditions

Please note: All products are 'FOR RESEARCH USE ONLY. NOT FOR USE IN DIAGNOSTIC OR THERAPEUTIC PROCEDURES'.

For licensing inquiries, please contact partnerships@abcam.com