JavaScript is disabled in your browser. Please enable JavaScript to view this website.
AB203045

Anti-SYAP1 antibody

Be the first to review this product! Submit a review

|

(1 Publication)

Rabbit Polyclonal SYAP1 antibody. Suitable for IHC-P and reacts with Rat samples. Cited in 1 publication. Immunogen corresponding to Synthetic Peptide within Human SYAP1 aa 150-250 conjugated to Keyhole Limpet Haemocyanin.

View Alternative Names

PRO3113, SYAP1, Synapse-associated protein 1, BSD domain-containing signal transducer and Akt interactor protein, BSTA

1 Images
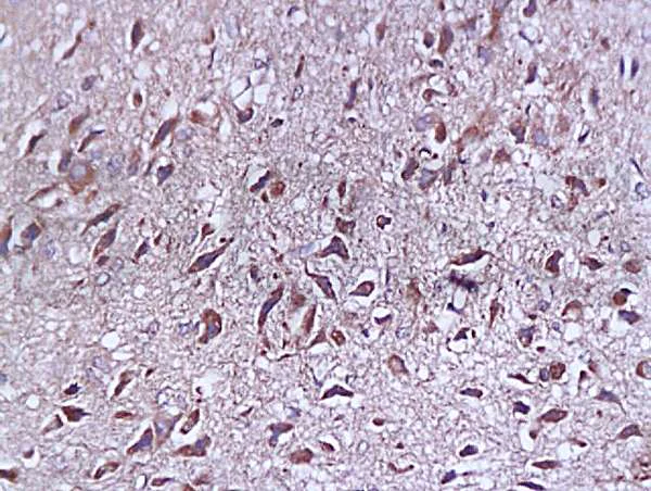
Immunohistochemistry (Formalin/PFA-fixed paraffin-embedded sections) - Anti-SYAP1 antibody (AB203045)
  • IHC-P

Supplier Data

Immunohistochemistry (Formalin/PFA-fixed paraffin-embedded sections) - Anti-SYAP1 antibody (AB203045)

Immunohistochemical analysis of formalin-fixed paraffin-embedded rat brain tissue labeling SYAP1 with ab203045 at 1/200 dilution.

Key facts

Host species

Rabbit

Clonality

Polyclonal

Isotype

IgG

Carrier free

No

Reacts with

Rat

Applications

IHC-P

applications

Immunogen

Synthetic Peptide within Human SYAP1 aa 150-250 conjugated to Keyhole Limpet Haemocyanin. The exact immunogen used to generate this antibody is proprietary information.

Q96A49

Reactivity data

{ "title": "Reactivity Data", "filters": { "stats": ["", "Species", "Dilution Info", "Notes"], "tabs": { "all-applications": {"fullname" : "All Applications", "shortname": "All Applications"}, "IHCP" : {"fullname" : "Immunohistochemistry (Formalin/PFA-fixed paraffin-embedded sections)", "shortname":"IHC-P"} }, "product-promise": { "all": "all", "testedAndGuaranteed": "tested", "guaranteed": "expected", "predicted": "predicted", "notRecommended": "not-recommended" } }, "values": { "Rat": { "IHCP-species-checked": "testedAndGuaranteed", "IHCP-species-dilution-info": "1/100 - 1/500", "IHCP-species-notes": "<p>(1/50 - 1/200 if using a fluorescent secondary antibody)</p>" } } }

Properties and storage information

Form
Liquid
Purification technique
Affinity purification Protein A
Storage buffer
pH: 7.4 Preservative: 0.02% Proclin 300 Constituents: 50% Glycerol (glycerin, glycerine), 48.98% TBS, 1X, 1% BSA
Shipped at conditions
Blue Ice
Appropriate short-term storage duration
1-2 weeks
Appropriate short-term storage conditions
+4°C
Appropriate long-term storage conditions
-20°C
Aliquoting information
Upon delivery aliquot
Storage information
Avoid freeze / thaw cycle

Product protocols

For this product, it's our understanding that no specific protocols are required. You can visit:

Target data

Plays a role in adipocyte differentiation by promoting mTORC2-mediated phosphorylation of AKT1 at 'Ser-473' after growth factor stimulation (PubMed : 23300339).
See full target information SYAP1

Publications (1)

Recent publications for all applications. Explore the full list and refine your search

Bioactive materials 11:300-316 PubMed34977433

2022

Modulating autophagic flux via ROS-responsive targeted micelles to restore neuronal proteostasis in Alzheimer's disease.

Applications

Unspecified application

Species

Unspecified reactive species

Shuting Xu,Peng Yang,Kang Qian,Yixian Li,Qian Guo,Pengzhen Wang,Ran Meng,Jing Wu,Jinxu Cao,Yunlong Cheng,Minjun Xu,Qizhi Zhang
View all publications

Product promise

We are committed to supporting your work with high-quality reagents, and we're here for you every step of the way. In the unlikely event that one of our products does not perform as expected, you're protected by our Product Promise.
For full details, please see our Terms & Conditions

Please note: All products are 'FOR RESEARCH USE ONLY. NOT FOR USE IN DIAGNOSTIC OR THERAPEUTIC PROCEDURES'.

For licensing inquiries, please contact partnerships@abcam.com