JavaScript is disabled in your browser. Please enable JavaScript to view this website.
AB122634

Anti-SYCE1 antibody

Be the first to review this product! Submit a review

|

(1 Publication)

Rabbit Polyclonal SYCE1 antibody. Suitable for IHC-P, WB and reacts with Human samples. Cited in 1 publication. Immunogen corresponding to Recombinant Fragment Protein within Human SYCE1 aa 250-350.

View Alternative Names

C10orf94, SYCE1, Synaptonemal complex central element protein 1, Cancer/testis antigen 76, CT76

2 Images
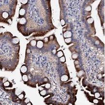
Immunohistochemistry (Formalin/PFA-fixed paraffin-embedded sections) - Anti-SYCE1 antibody (AB122634)
  • IHC-P

Unknown

Immunohistochemistry (Formalin/PFA-fixed paraffin-embedded sections) - Anti-SYCE1 antibody (AB122634)

ab122634 at 1/200 dilution staining SYCE1 in Paraffin-embedded Human duodenum tissue by Immunohistochemistry.

Western blot - Anti-SYCE1 antibody (AB122634)
  • WB

Unknown

Western blot - Anti-SYCE1 antibody (AB122634)

All lanes:

Western blot - Anti-SYCE1 antibody (ab122634) at 1/250 dilution

Lane 1:

RT 4 lysate

Lane 2:

U 251 MG lysate

Lane 3:

Human plasma lysate

Lane 4:

Human liver lysate

Lane 5:

Human tonsil lysate

Predicted band size: 40 kDa

true

Key facts

Host species

Rabbit

Clonality

Polyclonal

Isotype

IgG

Carrier free

No

Reacts with

Human

Applications

WB, IHC-P

applications

Immunogen

Recombinant Fragment Protein within Human SYCE1 aa 250-350. The exact immunogen used to generate this antibody is proprietary information.

Q8N0S2

Reactivity data

{ "title": "Reactivity Data", "filters": { "stats": ["", "Species", "Dilution Info", "Notes"], "tabs": { "all-applications": {"fullname" : "All Applications", "shortname": "All Applications"}, "IHCP" : {"fullname" : "Immunohistochemistry (Formalin/PFA-fixed paraffin-embedded sections)", "shortname":"IHC-P"}, "WB" : {"fullname" : "Western blot", "shortname":"WB"} }, "product-promise": { "all": "all", "testedAndGuaranteed": "tested", "guaranteed": "expected", "predicted": "predicted", "notRecommended": "not-recommended" } }, "values": { "Human": { "IHCP-species-checked": "testedAndGuaranteed", "IHCP-species-dilution-info": "1/200 - 1/500", "IHCP-species-notes": "<p></p> Perform heat-mediated antigen retrieval with citrate buffer pH 6 before commencing with IHC staining protocol.", "WB-species-checked": "testedAndGuaranteed", "WB-species-dilution-info": "1/250 - 1/500", "WB-species-notes": "<p></p>" } } }

Properties and storage information

Form
Liquid
Purification technique
Affinity purification Immunogen
Storage buffer
pH: 7.2 Preservative: 0.02% Sodium azide Constituents: PBS, 40% Glycerol (glycerin, glycerine)
Shipped at conditions
Blue Ice
Appropriate short-term storage conditions
+4°C
Appropriate long-term storage conditions
-20°C
Storage information
Avoid freeze / thaw cycle|Store undiluted

Product protocols

For this product, it's our understanding that no specific protocols are required. You can visit:

Target data

Major component of the transverse central element of synaptonemal complexes (SCS), formed between homologous chromosomes during meiotic prophase. Requires SYCP1 in order to be incorporated into the central element. May have a role in the synaptonemal complex assembly, stabilization and recombination.
See full target information SYCE1

Publications (1)

Recent publications for all applications. Explore the full list and refine your search

Nature communications 14:7782 PubMed38012130

2023

Time-resolved proteomic profiling reveals compositional and functional transitions across the stress granule life cycle.

Applications

Unspecified application

Species

Unspecified reactive species

Shuyao Hu,Yufeng Zhang,Qianqian Yi,Cuiwei Yang,Yanfen Liu,Yun Bai
View all publications

Product promise

We are committed to supporting your work with high-quality reagents, and we're here for you every step of the way. In the unlikely event that one of our products does not perform as expected, you're protected by our Product Promise.
For full details, please see our Terms & Conditions

Please note: All products are 'FOR RESEARCH USE ONLY. NOT FOR USE IN DIAGNOSTIC OR THERAPEUTIC PROCEDURES'.

For licensing inquiries, please contact partnerships@abcam.com