JavaScript is disabled in your browser. Please enable JavaScript to view this website.
AB190176

Anti-Syk antibody [EP573Y] - BSA and Azide free

4

(1 Review)

|

(1 Publication)

Anti-Syk antibody [EP573Y] - BSA and Azide free (ab190176) is a rabbit recombinant monoclonal antibody provided in a PBS only buffer for easy conjugation detecting Syk in Western Blot, IHC-P, ICC/IF. Suitable for Human, Mouse.

- KO validated for confirmed specificity
- BSA, sodium azide, and glycerol-free for easy conjugation
- Biophysical QC for unrivalled batch-batch consistency

View Alternative Names

Tyrosine-protein kinase SYK, Spleen tyrosine kinase, p72-Syk, SYK

7 Images
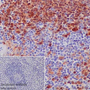
Immunohistochemistry (Formalin/PFA-fixed paraffin-embedded sections) - Anti-Syk antibody [EP573Y] - BSA and Azide free (AB190176)
  • IHC-P

Unknown

Immunohistochemistry (Formalin/PFA-fixed paraffin-embedded sections) - Anti-Syk antibody [EP573Y] - BSA and Azide free (AB190176)

Immunohistochemistry of paraffin embedded Human spleen tissue section labelling Syk with ab40781 at 1 : 5000 dilution (0.44 μg/ml).  Heat mediated antigen retrieval was performed using ab93684 (Tris/EDTA buffer, pH 9.0). A ready to use ImmunoHistoProbe one step HRP Polymer (ready to use) was used as a secondary antibody at 1 : 0 dilution. PBS instead of primary antibody was used for negative control. Hematoxylin was used as a counterstain.

This data was developed using the same antibody clone in a different buffer formulation containing PBS, BSA, glycerol, and sodium azide (ab40781).

Immunocytochemistry/ Immunofluorescence - Anti-Syk antibody [EP573Y] - BSA and Azide free (AB190176)
  • ICC/IF

Lab

Immunocytochemistry/ Immunofluorescence - Anti-Syk antibody [EP573Y] - BSA and Azide free (AB190176)

This data was developed using the same antibody clone in a different buffer formulation (ab40781) ab40781 was shown to react with SYK in wild-type THP-1 cells in immunocytochemistry with loss of signal observed in SYK knockout cell line ab288700. Wild-type and knockout cells were mixed and pelleted at a 1 : 1 ratio on coverslips. The cells were fixed with 4% paraformaldehyde (15 min) then permeabilized with 0.1% Triton X-100 (10min) and then blocked with 1x PBS, 0.01% Triton X-100, 5% BSA, 5% NGS. The cells were then incubated with ab40781 at dilution overnight at 4°C followed by a further incubation at room temperature for 1h with a goat anti-rabbit secondary antibody to (Alexa Fluor® 555) at 0.5 μg/ml. Acquisition of the green (wild-type), red (antibody staining) and far-red (knockout) channels was performed. Representative grayscale images of the red channel are shown. Wild-type and knockout cells are outlined with yellow and magenta dashed line, respectively. Schematic representation of the mosaic strategy used is shown on the bottom-right panel. Image was acquired with a Zeiss(LSM-880).

This data was provided by YCharOS Inc., an open science company with the mission of characterizing commercially available antibody reagents for all human proteins. Abcam and YCharOS are working together to help address the reproducibility crisis by enabling the life science community to better evaluate commercially available antibodies.

Western blot - Anti-Syk antibody [EP573Y] - BSA and Azide free (AB190176)
  • WB

Unknown

Western blot - Anti-Syk antibody [EP573Y] - BSA and Azide free (AB190176)

This data was developed using the same antibody clone in a different buffer formulation containing PBS, BSA, glycerol, and sodium azide (ab40781).

All lanes:

Western blot - Anti-Syk antibody [EP573Y] (<a href='/en-us/products/primary-antibodies/syk-antibody-ep573y-ab40781'>ab40781</a>) at 1/1000 dilution

All lanes:

Human bone marrow lysates at 15 µg

Secondary

All lanes:

Goat Anti-Rabbit IgG (HRP) with minimal cross-reactivity with human IgG at 1/2000 dilution

Predicted band size: 72 kDa

Observed band size: 72 kDa

false

Western blot - Anti-Syk antibody [EP573Y] - BSA and Azide free (AB190176)
  • WB

Lab

Western blot - Anti-Syk antibody [EP573Y] - BSA and Azide free (AB190176)

This data was developed using the same antibody clone in a different buffer formulation containing PBS, BSA, glycerol, and sodium azide (ab40781). Western blot : Anti-SYK antibody [EP573Y] (ab40781) staining at 1/1000 dilution, shown in green; Mouse anti-GAPDH antibody [6C5] (ab8245) loading control staining at 1/20000 dilution, shown in red. In Western blot, ab40781 was shown to bind specifically to SYK. A band was observed at 72 kDa in wild-type THP-1 cell lysates with no signal observed at this size in SYK knockout cell line ab288700 (knockout cell lysate ab289593). To generate this image, wild-type and SYK knockout THP-1 cell lysates were analysed. First, samples were run on an SDS-PAGE gel then transferred onto a nitrocellulose membrane. Membranes were blocked in 5 % milk in TBS-0.1 % Tween® 20 (TBS-T) before incubation with primary antibodies overnight at 4 °C. Blots were washed four times in TBS-T, incubated with secondary antibodies for 1 h at room temperature, washed again four times then imaged. Secondary antibodies used were Goat anti-Rabbit IgG H&L 800CW and Goat anti-Mouse IgG H&L 680RD at 1/20000 dilution.

All lanes:

Western blot - Anti-Syk antibody [EP573Y] (<a href='/en-us/products/primary-antibodies/syk-antibody-ep573y-ab40781'>ab40781</a>) at 1/1000 dilution

Lanes 1 - 4:

Western blot at 20 µg

Lane 2:

Western blot - Human SYK knockout THP-1 cell line (<a href='/en-us/products/cell-lines/human-syk-knockout-thp-1-cell-line-ab288700'>ab288700</a>)

Secondary

All lanes:

Goat anti-Rabbit IgG H&L 800CW and Goat anti-Mouse IgG H&L 680RD at 1/20000 dilution

Predicted band size: 72 kDa

Observed band size: 72 kDa

false

Western blot - Anti-Syk antibody [EP573Y] - BSA and Azide free (AB190176)
  • WB

Lab

Western blot - Anti-Syk antibody [EP573Y] - BSA and Azide free (AB190176)

This data was developed using the same antibody clone in a different buffer formulation (ab40781)

ab40781 was shown to react with SYK in wild-type THP-1 cells in Western blot with loss of signal observed in SYK knockout cell line ab288700. Wild-type THP-1 and SYK knockout cell lysates were subjected to SDS-PAGE. Membranes were blocked in 5% milk in TBST for 1 hr before incubation with ab40781 overnight at 4 °C at a 1/1000 dilution. Blots were incubated with secondary antibodies at 0.2ug/mL before imaging.

This data was provided by YCharOS Inc., an open science company with the mission of characterizing commercially available antibody reagents for all human proteins. Abcam and YCharOS are working together to help address the reproducibility crisis by enabling the life science community to better evaluate commercially available antibodies.

All lanes:

Western blot - Anti-Syk antibody [EP573Y] (<a href='/en-us/products/primary-antibodies/syk-antibody-ep573y-ab40781'>ab40781</a>) at 1/1000 dilution

Lane 1:

Wild-type THP-1 lysate at 20 µg

Lane 2:

Western blot - Human SYK knockout THP-1 cell line (<a href='/en-us/products/cell-lines/human-syk-knockout-thp-1-cell-line-ab288700'>ab288700</a>) at 20 µg

Observed band size: 72 kDa

false

Western blot - Anti-Syk antibody [EP573Y] - BSA and Azide free (AB190176)
  • WB

Unknown

Western blot - Anti-Syk antibody [EP573Y] - BSA and Azide free (AB190176)

This data was developed using the same antibody clone in a different buffer formulation containing PBS, BSA, glycerol, and sodium azide (ab40781).

All lanes:

Western blot - Anti-Syk antibody [EP573Y] (<a href='/en-us/products/primary-antibodies/syk-antibody-ep573y-ab40781'>ab40781</a>) at 1/1000 dilution

Lane 1:

Raji (Human Burkitt's lymphoma B lymphocyte) whole cell lysates at 15 µg

Lane 2:

Daudi (Human Burkitt's lymphoma lymphoblast) whole cell lysates at 15 µg

Lane 3:

WEHI-231 (Mouse B cell lymphoma B lymphocyte ) whole cell lysates at 15 µg

Secondary

All lanes:

Western blot - Goat Anti-Rabbit IgG H&L (HRP) (<a href='/en-us/products/secondary-antibodies/goat-rabbit-igg-h-l-hrp-ab97051'>ab97051</a>) at 1/20000 dilution

Predicted band size: 72 kDa

Observed band size: 72 kDa

false

Western blot - Anti-Syk antibody [EP573Y] - BSA and Azide free (AB190176)
  • WB

Lab

Western blot - Anti-Syk antibody [EP573Y] - BSA and Azide free (AB190176)

False colour image of Western blot : Anti-Syk antibody [EP573Y] staining at 1/1000 dilution, shown in green; Mouse anti-GAPDH antibody [6C5] (ab8245) loading control staining at 1/20000 dilution, shown in red. In Western blot, ab40781 was shown to bind specifically to Syk. A band was observed at 70/72 kDa in wild-type HEK-293T cell lysates with no signal observed at this size in SYK knockout cell line ab282649 (knockout cell lysate ab283048). To generate this image, wild-type and SYK knockout HEK-293T cell lysates were analysed. First, samples were run on an SDS-PAGE gel then transferred onto a nitrocellulose membrane. Membranes were blocked in 3 % milk in TBS-0.1 % Tween® 20 (TBS-T) before incubation with primary antibodies overnight at 4 °C. Blots were washed four times in TBS-T, incubated with secondary antibodies for 1 h at room temperature, washed again four times then imaged. Secondary antibodies used were Goat anti-Rabbit IgG H&L (IRDye® 800CW) preabsorbed (ab216773) and Goat anti-Mouse IgG H&L (IRDye® 680RD) preabsorbed (ab216776) at 1/20000 dilution.

All lanes:

Western blot - Anti-Syk antibody [EP573Y] (<a href='/en-us/products/primary-antibodies/syk-antibody-ep573y-ab40781'>ab40781</a>) at 1/1000 dilution

Lane 1:

Wild-type HEK-293T cell lysate at 20 µg

Lane 2:

SYK knockout HEK-293T cell lysate at 20 µg

Lane 2:

Western blot - Human SYK knockout HEK-293T cell line (<a href='/en-us/products/cell-lines/human-syk-knockout-hek-293t-cell-line-ab282649'>ab282649</a>)

Predicted band size: 72 kDa

Observed band size: 70 kDa

false

  • Unconjugated

    Anti-Syk antibody [EP573Y]

  • HRP

    HRP Anti-Syk antibody [EP573Y]

Key facts

Host species

Rabbit

Clonality

Monoclonal

Clone number

EP573Y

Isotype

IgG

Carrier free

Yes

Reacts with

Mouse, Human

Applications

IHC-P, WB, ICC/IF

applications

Immunogen

The exact immunogen used to generate this antibody is proprietary information.

Specificity

The mouse and rat recommendation is based on the WB results. We do not guarantee IHC-P for mouse and rat.

Reactivity data

{ "title": "Reactivity Data", "filters": { "stats": ["", "Species", "Dilution Info", "Notes"], "tabs": { "all-applications": {"fullname" : "All Applications", "shortname": "All Applications"}, "WB" : {"fullname" : "Western blot", "shortname":"WB"}, "IHCP" : {"fullname" : "Immunohistochemistry (Formalin/PFA-fixed paraffin-embedded sections)", "shortname":"IHC-P"}, "ICCIF" : {"fullname" : "Immunocytochemistry/ Immunofluorescence", "shortname":"ICC/IF"}, "FlowCytIntra" : {"fullname" : "Flow Cytometry (Intracellular)", "shortname":"Flow Cyt (Intra)"} }, "product-promise": { "all": "all", "testedAndGuaranteed": "tested", "guaranteed": "expected", "predicted": "predicted", "notRecommended": "not-recommended" } }, "values": { "Human": { "WB-species-checked": "testedAndGuaranteed", "WB-species-dilution-info": "", "WB-species-notes": "<p></p>", "IHCP-species-checked": "testedAndGuaranteed", "IHCP-species-dilution-info": "", "IHCP-species-notes": "<p><strong>For unpurified use at 1/100 - 1/250</strong>.</p>", "ICCIF-species-checked": "testedAndGuaranteed", "ICCIF-species-dilution-info": "", "ICCIF-species-notes": "<p></p>", "FlowCytIntra-species-checked": "notRecommended", "FlowCytIntra-species-dilution-info": "", "FlowCytIntra-species-notes": "<p><a href='/en-us/products/primary-antibodies/rabbit-igg-monoclonal-epr25a-isotype-control-low-endotoxin-azide-free-ab199376'>ab199376</a> - Rabbit monoclonal IgG, is suitable for use as an isotype control with this antibody.</p>" }, "Mouse": { "WB-species-checked": "testedAndGuaranteed", "WB-species-dilution-info": "", "WB-species-notes": "<p></p>", "IHCP-species-checked": "guaranteed", "IHCP-species-dilution-info": "", "IHCP-species-notes": "", "ICCIF-species-checked": "notRecommended", "ICCIF-species-dilution-info": "", "ICCIF-species-notes": "<p></p>", "FlowCytIntra-species-checked": "notRecommended", "FlowCytIntra-species-dilution-info": "", "FlowCytIntra-species-notes": "<p><a href='/en-us/products/primary-antibodies/rabbit-igg-monoclonal-epr25a-isotype-control-low-endotoxin-azide-free-ab199376'>ab199376</a> - Rabbit monoclonal IgG, is suitable for use as an isotype control with this antibody.</p>" }, "Rat": { "WB-species-checked": "notRecommended", "WB-species-dilution-info": "", "WB-species-notes": "<p></p>", "IHCP-species-checked": "notRecommended", "IHCP-species-dilution-info": "", "IHCP-species-notes": "", "ICCIF-species-checked": "notRecommended", "ICCIF-species-dilution-info": "", "ICCIF-species-notes": "<p></p>", "FlowCytIntra-species-checked": "notRecommended", "FlowCytIntra-species-dilution-info": "", "FlowCytIntra-species-notes": "<p><a href='/en-us/products/primary-antibodies/rabbit-igg-monoclonal-epr25a-isotype-control-low-endotoxin-azide-free-ab199376'>ab199376</a> - Rabbit monoclonal IgG, is suitable for use as an isotype control with this antibody.</p>" } } }

Product details

What is this antibody validated in?
Anti-Syk antibody [EP573Y] - BSA and Azide free (ab190176) is a rabbit recombinant monoclonal antibody and is validated for use in Western Blot (WB), Immunohistochemistry (IHC-P), Immunocytochemistry/immunofluorescence (ICC/IF) in Human, Mouse samples.

What is the molecular weight of Syk?
Anti-Syk [EP573Y] - BSA and Azide free (ab190176) specifically detects a band for Syk (UniProt: P43405) at a molecular weight of 72kDa.

Trial sizes available!
Test your antibody or perform pre-screening before committing to a larger quantity. Sold in 10µl. Discover our selection of trial-size antibodies.

Specificity confirmed
The specificity of Anti-Syk antibody [EP573Y] - BSA and Azide free (ab190176) has been confirmed by Western blot testing in SYK Knockout HEK293T cell line, ab282649.

Other related products
We have a range of other formats of antibody clone [EP573Y] also available for your convenience: ab40781, Carrier free - ab190176, HRP - ab198940

Patented technology
Our RabMAb® technology is a patented hybridoma-based technology for making rabbit monoclonal antibodies. For details on our patents, please refer to RabMAb® patents.

What are the advantages of a recombinant monoclonal antibody?
This product is a recombinant monoclonal antibody, which offers several advantages including:

  • - High batch-to-batch consistency and reproducibility
  • - Improved sensitivity and specificity
  • - Long-term security of supply
  • - Animal-free batch production

For more information, read more on recombinant antibodies.

Conjugation ready
Our carrier-free antibodies are typically supplied in a PBS-only formulation, purified and free of BSA, sodium azide and glycerol. This conjugation-ready format is designed for use with fluorochromes, metal isotopes, oligonucleotides, and enzymes, which makes them ideal for antibody labelling, functional and cell-based assays, flow-based assays (e.g. mass cytometry) and Multiplex Imaging applications.

Use our conjugation kits for antibody conjugates that are ready-to-use in as little as 20 minutes with 1 minute hands-on-time and 100% antibody recovery: available for fluorescent dyes, HRP, biotin and gold.

Compatibility
This product is compatible with the Maxpar® Antibody Labeling Kit from Fluidigm, without the need for antibody preparation. Maxpar® is a trademark of Fluidigm Canada Inc.

Properties and storage information

Form
Liquid
Purification technique
Affinity purification Protein A
Storage buffer
pH: 7.2 - 7.4 Constituents: PBS
Shipped at conditions
Blue Ice
Appropriate short-term storage conditions
+4°C
Appropriate long-term storage conditions
+4°C
Storage information
Do Not Freeze

Supplementary information

This supplementary information is collated from multiple sources and compiled automatically.

Spleen tyrosine kinase commonly known as Syk is a non-receptor tyrosine kinase with a mass of about 72 kDa. It serves as a critical signaling molecule in immune cells. Syk is expressed in various cell types such as B cells T cells monocytes and others involved in the immune response. It initiates signaling cascades by binding to immunoreceptor tyrosine-based activation motifs (ITAMs). Alternate forms include phosphorylated Syk often referred to as p-Syk which activates various downstream signaling pathways.
Biological function summary

Syk plays a role in transmitting signals from the cell surface to the interior of the cell facilitating various cellular activities. It is a part of signal transduction complexes and functions in the regulation of immune cell activation differentiation and survival. It affects processes like Fc receptor signaling in macrophages and neutrophils impacting immune responses and inflammation. The phospho-Syk form influences the strength and duration of signaling affecting various cellular functions.

Pathways

Syk is significant in the B-cell receptor (BCR) signaling pathway and Fc receptor signaling pathway. Within these pathways Syk interacts with proteins like Lyn and Fyn which are other kinases involved in BCR signal transduction. Syk phosphorylation noted as p-Syk plays a part in activating downstream molecules such as phospholipase C gamma (PLCγ) to mediate cellular responses to external stimuli. The critical role of Syk in these pathways influences both adaptive and innate immune responses.

Syk correlates with conditions like rheumatoid arthritis and certain B-cell lymphomas. In rheumatoid arthritis aberrant Syk signaling contributes to the inflammation and joint destruction characteristic of the disease. Syk's role in B-cell antigen receptor signaling links it to B-cell lymphomas where dysregulation in signaling pathways leads to uncontrolled proliferation of malignant B cells. The involvement of Syk in both disease contexts suggests its potential as a therapeutic target along with pathways related to proteins like BLNK and PLCγ in these disorders.

Product protocols

For this product, it's our understanding that no specific protocols are required. You can visit:

Target data

Non-receptor tyrosine kinase which mediates signal transduction downstream of a variety of transmembrane receptors including classical immunoreceptors like the B-cell receptor (BCR). Regulates several biological processes including innate and adaptive immunity, cell adhesion, osteoclast maturation, platelet activation and vascular development (PubMed : 12387735, PubMed : 33782605). Assembles into signaling complexes with activated receptors at the plasma membrane via interaction between its SH2 domains and the receptor tyrosine-phosphorylated ITAM domains. The association with the receptor can also be indirect and mediated by adapter proteins containing ITAM or partial hemITAM domains. The phosphorylation of the ITAM domains is generally mediated by SRC subfamily kinases upon engagement of the receptor. More rarely signal transduction via SYK could be ITAM-independent. Direct downstream effectors phosphorylated by SYK include DEPTOR, VAV1, PLCG1, PI-3-kinase, LCP2 and BLNK (PubMed : 12456653, PubMed : 15388330, PubMed : 34634301, PubMed : 8657103). Initially identified as essential in B-cell receptor (BCR) signaling, it is necessary for the maturation of B-cells most probably at the pro-B to pre-B transition (PubMed : 12456653). Activated upon BCR engagement, it phosphorylates and activates BLNK an adapter linking the activated BCR to downstream signaling adapters and effectors. It also phosphorylates and activates PLCG1 and the PKC signaling pathway. It also phosphorylates BTK and regulates its activity in B-cell antigen receptor (BCR)-coupled signaling. In addition to its function downstream of BCR also plays a role in T-cell receptor signaling. Also plays a crucial role in the innate immune response to fungal, bacterial and viral pathogens. It is for instance activated by the membrane lectin CLEC7A. Upon stimulation by fungal proteins, CLEC7A together with SYK activates immune cells inducing the production of ROS. Also activates the inflammasome and NF-kappa-B-mediated transcription of chemokines and cytokines in presence of pathogens. Regulates neutrophil degranulation and phagocytosis through activation of the MAPK signaling cascade (By similarity). Required for the stimulation of neutrophil phagocytosis by IL15 (PubMed : 15123770). Also mediates the activation of dendritic cells by cell necrosis stimuli. Also involved in mast cells activation. Involved in interleukin-3/IL3-mediated signaling pathway in basophils (By similarity). Also functions downstream of receptors mediating cell adhesion (PubMed : 12387735). Relays for instance, integrin-mediated neutrophils and macrophages activation and P-selectin receptor/SELPG-mediated recruitment of leukocytes to inflammatory loci. Also plays a role in non-immune processes. It is for instance involved in vascular development where it may regulate blood and lymphatic vascular separation. It is also required for osteoclast development and function. Functions in the activation of platelets by collagen, mediating PLCG2 phosphorylation and activation. May be coupled to the collagen receptor by the ITAM domain-containing FCER1G. Also activated by the membrane lectin CLEC1B that is required for activation of platelets by PDPN/podoplanin. Involved in platelet adhesion being activated by ITGB3 engaged by fibrinogen. Together with CEACAM20, enhances production of the cytokine CXCL8/IL-8 via the NFKB pathway and may thus have a role in the intestinal immune response (By similarity).
See full target information SYK

Publications (1)

Recent publications for all applications. Explore the full list and refine your search

PloS one 7:e42430 PubMed22879980

2012

The modular nature of dendritic cell responses to commensal and pathogenic fungi.

Applications

WB

Species

Unspecified reactive species

Lisa Rizzetto,Sonja I Buschow,Luca Beltrame,Carl G Figdor,Stephan Schierer,Gerold Schuler,Duccio Cavalieri
View all publications

Product promise

We are committed to supporting your work with high-quality reagents, and we're here for you every step of the way. In the unlikely event that one of our products does not perform as expected, you're protected by our Product Promise.
For full details, please see our Terms & Conditions

Please note: All products are 'FOR RESEARCH USE ONLY. NOT FOR USE IN DIAGNOSTIC OR THERAPEUTIC PROCEDURES'.

For licensing inquiries, please contact partnerships@abcam.com