JavaScript is disabled in your browser. Please enable JavaScript to view this website.
AB274430

Anti-Synapsin I antibody [EPR23531-50] - BSA and Azide free

  • BOND RX™ Validated
  • Recombinant
  • Advanced Validation
  • RabMAb
  • What is this?

Be the first to review this product! Submit a review

|

(3 Publications)

Rabbit Recombinant Monoclonal Synapsin I antibody. Carrier free. Suitable for ICC/IF, IP, WB, IHC-P, IHC-Fr, Flow Cyt (Intra), mIHC and reacts with Rat, Mouse, Human samples. Cited in 3 publications.

View Alternative Names

Synapsin-1, Brain protein 4.1, Synapsin I, SYN1

19 Images
Multiplex immunohistochemistry - Anti-Synapsin I antibody [EPR23531-50] - BSA and Azide free (AB274430)
  • mIHC

Lab

Multiplex immunohistochemistry - Anti-Synapsin I antibody [EPR23531-50] - BSA and Azide free (AB274430)

This data was developed using ab254349, the same antibody clone in a different buffer formulation. Multiplex immunohistochemistry analysis of formalin/PFA-fixed paraffin-embedded Human retina tissue labeling RPE65, Rhodopsin and Synapsin I with ab231782 at 1/8000 dilution, ab232934 at 1/8000 dilution and ab274430 at 1/1500 dilution followed by a ready to use Opal Polymer HRP Ms + Rb secondary antibody. Nuclear counter stain used was DAPI. Heat mediated antigen retrieval with Tris-EDTA buffer (pH 9.0, epitope retrieval solution2) for 20 mins Panel A : merged staining of anti-Synapsin I (magenta; Opal™690), anti-RPE65 (green; Opal™520) and anti-Rhodopsin (red; Opal™570) on human retina. Panel B : anti-RPE65 stained on pigmented layer. Panel C : anti-Rhodopsin stained on rod photoreceptor cells. Panel D : anti-Synapsin I stained on inner plexiform layer. The section was incubated in three rounds of staining : in the order of ab274430, ab231782, and ab232934 for 30 mins at room temperature. Each round was followed by a separate fluorescent tyramide signal amplification system. The immunostaining was performed on a Leica Biosystems BOND® RX instrument with an Opal™ 4-color kit. Image acquisition was performed with Leica SP8 confocal microscope. The section was incubated in three rounds of staining : in the order of ab312840, ab16669, and ab236434 for 30 mins at room temperature. Each round was followed by a separate fluorescent tyramide signal amplification system. The immunostaining was performed on a Leica Biosystems BOND® RX instrument with an Opal™ 4-color kit. Image acquisition was performed with Leica SP8 confocal microscope.

Immunohistochemistry (Formalin/PFA-fixed paraffin-embedded sections) - Anti-Synapsin I antibody [EPR23531-50] - BSA and Azide free (AB274430)
  • IHC-P

Unknown

Immunohistochemistry (Formalin/PFA-fixed paraffin-embedded sections) - Anti-Synapsin I antibody [EPR23531-50] - BSA and Azide free (AB274430)

This data was developed using ab254349, the same antibody clone in a different buffer formulation.

Immunohistochemical analysis of paraffin-embedded Human hippocampus tissue labeling Synapsin-1 with ab254349 at 1/1000 dilution followed by a ready to use Rabbit specific IHC polymer detection kit HRP/DAB (ab209101). Cytoplasmic staining in human hippocampus (PMID : 22900032). The section was incubated with ab254349 for 30 mins at room temperature.The immunostaining was performed on a Leica Biosystems BOND® RX instrument. Counterstained with Hematoxylin.

Secondary antibody only control : Secondary antibody is a ready to use Rabbit specific IHC polymer detection kit HRP/DAB (ab209101).

Heat mediated antigen retrieval with Citrate buffer (pH 6.0, epitope retrieval solution 1) for 20 mins.

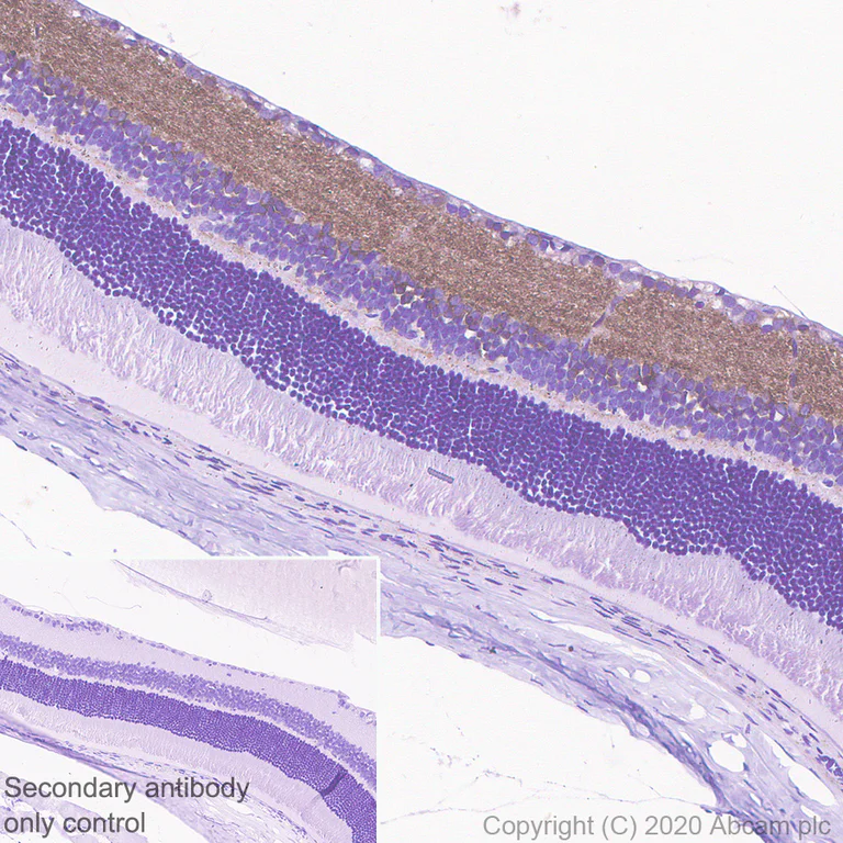
Immunohistochemistry (Formalin/PFA-fixed paraffin-embedded sections) - Anti-Synapsin I antibody [EPR23531-50] - BSA and Azide free (AB274430)
  • IHC-P

Unknown

Immunohistochemistry (Formalin/PFA-fixed paraffin-embedded sections) - Anti-Synapsin I antibody [EPR23531-50] - BSA and Azide free (AB274430)

This data was developed using ab254349, the same antibody clone in a different buffer formulation.

Immunohistochemical analysis of paraffin-embedded Rat retina tissue labeling Synapsin-1 with ab254349 at 1/1000 dilution followed by a ready to use Rabbit specific IHC polymer detection kit HRP/DAB (ab209101). Cytoplasmic staining in rat retina (PMID : 2124189). The section was incubated with ab254349 for 30 mins at room temperature. The immunostaining was performed on a Leica Biosystems BOND® RX instrument. Counterstained with Hematoxylin.

Secondary antibody only control : Secondary antibody is a ready to use Rabbit specific IHC polymer detection kit HRP/DAB (ab209101).

Heat mediated antigen retrieval with Citrate buffer (pH 6.0, epitope retrieval solution 1) for 20 mins.

Immunocytochemistry/ Immunofluorescence - Anti-Synapsin I antibody [EPR23531-50] - BSA and Azide free (AB274430)
  • ICC/IF

Unknown

Immunocytochemistry/ Immunofluorescence - Anti-Synapsin I antibody [EPR23531-50] - BSA and Azide free (AB274430)

This data was developed using ab254349, the same antibody clone in a different buffer formulation.

Immunofluorescent analysis of 4% Paraformaldehyde-fixed, 0.1% Triton X-100 permeabilized mouse primary neuron cells labelling Synapsin-1 with ab254349 at 1/500 dilution, followed by ab150077 Goat Anti-Rabbit IgG H&L (Alexa Fluor® 488) antibody at 1/1000 dilution (Green). Confocal image showing positive staining in mouse primary neuron. Confocal scanning Z step was set as 0.3 μm followed by image processing with maximum Z projection. ab11267 Anti-MAP2 mouse monoclonal antibody was used to counterstain MAP2 at 1/500 dilution, followed by ab150120 Goat Anti-Mouse IgG H&L (Alexa Fluor® 594) at 1/1000 dilution (Red). The Nuclear counterstain was DAPI (Blue).

-ve control 1 : ab254349 at 1/500 dilution, followed by ab150120 Goat Anti-Mouse IgG H&L (Alexa Fluor® 594) at 1/1000 dilution.

-ve control 2 : ab11267 at 1/500 dilution, followed by ab150077 Goat Anti-Rabbit IgG H&L (Alexa Fluor® 488) antibody at 1/1000 dilution.

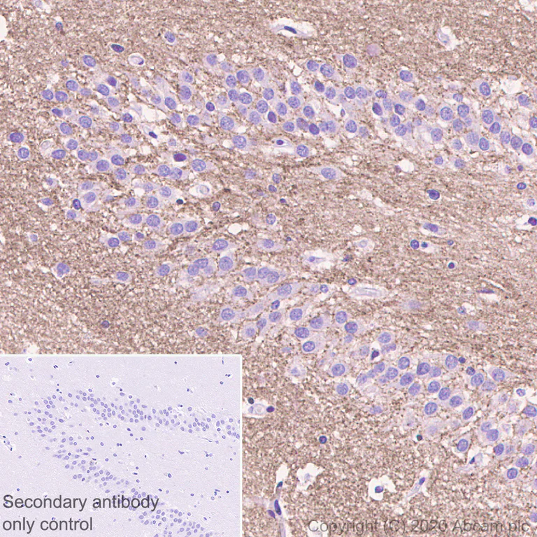
Immunohistochemistry (Formalin/PFA-fixed paraffin-embedded sections) - Anti-Synapsin I antibody [EPR23531-50] - BSA and Azide free (AB274430)
  • IHC-P

Unknown

Immunohistochemistry (Formalin/PFA-fixed paraffin-embedded sections) - Anti-Synapsin I antibody [EPR23531-50] - BSA and Azide free (AB274430)

This data was developed using ab254349, the same antibody clone in a different buffer formulation.

Immunohistochemical analysis of paraffin-embedded Mouse hippocampus tissue labeling Synapsin-1 with ab254349 at 1/1000 dilution followed by a ready to use Rabbit specific IHC polymer detection kit HRP/DAB (ab209101). Cytoplasmic staining in mouse hippocampus (PMID : 22900032). The section was incubated with ab254349 for 30 mins at room temperature.The immunostaining was performed on a Leica Biosystems BOND® RX instrument. Counterstained with Hematoxylin.

Secondary antibody only control : Secondary antibody is a ready to use Rabbit specific IHC polymer detection kit HRP/DAB (ab209101).

Heat mediated antigen retrieval with Citrate buffer (pH 6.0, epitope retrieval solution 1) for 20 mins.

Flow Cytometry (Intracellular) - Anti-Synapsin I antibody [EPR23531-50] - BSA and Azide free (AB274430)
  • Flow Cyt (Intra)

Unknown

Flow Cytometry (Intracellular) - Anti-Synapsin I antibody [EPR23531-50] - BSA and Azide free (AB274430)

This data was developed using ab254349, the same antibody clone in a different buffer formulation.

Intracellular flow cytometric analysis of 4% paraformaldehyde-fixed, 0.1% Tween-20 permeabilized Mouse primary brain cells cells labelling Synapsin-1 with ab254349 at 1/50 dilution (1ug) (Right) compared with a Rabbit monoclonal IgG (ab172730) isotype control (Left). A Goat anti rabbit IgG (Alexa Fluor®488, ab150077) at 1/2000 dilution was used as the secondary antibody.

Immunohistochemistry (Frozen sections) - Anti-Synapsin I antibody [EPR23531-50] - BSA and Azide free (AB274430)
  • IHC-Fr

Unknown

Immunohistochemistry (Frozen sections) - Anti-Synapsin I antibody [EPR23531-50] - BSA and Azide free (AB274430)

This data was developed using ab254349, the same antibody clone in a different buffer formulation.

Immunohistochemical analysis of 4% PFA-fixed, 0.2% Triton X-100 permeabilized frozen Rat lung tissue labeling Synapsin-1 with ab254349 at 1/100 dilution followed by ab150077 Goat Anti-Rabbit IgG H&L (Alexa Fluor® 488) at 1/1000 (2 ug/ml) dilution (Green). Negative control : no staining on rat lung (PMID : 9539796) is observed. The nuclear counterstain was DAPI (Blue).

Secondary antibody control : Secondary antibody is ab150077 Goat Anti-Rabbit IgG H&L (Alexa Fluor® 488)at 1/1000 (2 ug/ml) dilution.

Heat mediated antigen retrieval using sodium citrate buffer (10mM citrate pH 6.0 + 0.05% Tween-20).

Immunohistochemistry (Frozen sections) - Anti-Synapsin I antibody [EPR23531-50] - BSA and Azide free (AB274430)
  • IHC-Fr

Unknown

Immunohistochemistry (Frozen sections) - Anti-Synapsin I antibody [EPR23531-50] - BSA and Azide free (AB274430)

This data was developed using ab254349, the same antibody clone in a different buffer formulation.

Immunohistochemical analysis of 4% PFA-fixed, 0.2% Triton X-100 permeabilized frozen Mouse lung tissue labeling Synapsin-1 with ab254349 at 1/100 dilution followed by ab150077 Goat Anti-Rabbit IgG H&L (Alexa Fluor® 488) at 1/1000 (2 ug/ml) dilution (Green). Negative control : no staining on mouse lung (PMID : 9539796) is observed. The nuclear counterstain was DAPI (Blue).

Secondary antibody control : Secondary antibody is ab150077 Goat Anti-Rabbit IgG H&L (Alexa Fluor® 488)at 1/1000 (2 ug/ml) dilution.

Heat mediated antigen retrieval using sodium citrate buffer (10mM citrate pH 6.0 + 0.05% Tween-20).

Immunohistochemistry (Frozen sections) - Anti-Synapsin I antibody [EPR23531-50] - BSA and Azide free (AB274430)
  • IHC-Fr

Unknown

Immunohistochemistry (Frozen sections) - Anti-Synapsin I antibody [EPR23531-50] - BSA and Azide free (AB274430)

This data was developed using ab254349, the same antibody clone in a different buffer formulation.

Immunohistochemical analysis of 4% PFA-fixed, 0.2% Triton X-100 permeabilized frozen Mouse cerebrum tissue labeling Synapsin-1 with ab254349 at 1/100 dilution followed by ab150077 Goat Anti-Rabbit IgG H&L (Alexa Fluor® 488) at 1/1000 (2 ug/ml) dilution (Green). Positive staining on mouse cerebrum is observed. The nuclear counterstain was DAPI (Blue).

Secondary antibody control : Secondary antibody is ab150077 Goat Anti-Rabbit IgG H&L (Alexa Fluor® 488)at 1/1000 (2 ug/ml) dilution.

Heat mediated antigen retrieval using sodium citrate buffer (10mM citrate pH 6.0 + 0.05% Tween-20).

Immunocytochemistry/ Immunofluorescence - Anti-Synapsin I antibody [EPR23531-50] - BSA and Azide free (AB274430)
  • ICC/IF

Unknown

Immunocytochemistry/ Immunofluorescence - Anti-Synapsin I antibody [EPR23531-50] - BSA and Azide free (AB274430)

This data was developed using ab254349, the same antibody clone in a different buffer formulation.

Immunofluorescent analysis of 4% Paraformaldehyde-fixed, 0.1% Triton X-100 permeabilized rat primary neuron cells labelling Synapsin-1 with ab254349 at 1/500 dilution, followed by ab150077 Goat Anti-Rabbit IgG H&L (Alexa Fluor® 488) antibody at 1/1000 dilution (Green). Confocal image showing positive staining in rat primary neuron.Confocal scanning Z step was set as 0.3 μm followed by image processing with maximum Z projection. ab11267 Anti-MAP2 mouse monoclonal antibody was used to counterstain MAP2 at 1/500 dilution, followed by ab150120 Goat Anti-Mouse IgG H&L (Alexa Fluor® 594) at 1/1000 dilution (Red). The Nuclear counterstain was DAPI (Blue).

-ve control 1 : ab254349 at 1/500 dilution, followed by ab150120 Goat Anti-Mouse IgG H&L (Alexa Fluor® 594) at 1/1000 dilution.

-ve control 2 : ab11267 at 1/500 dilution, followed by ab150077 Goat Anti-Rabbit IgG H&L (Alexa Fluor® 488) antibody at 1/1000 dilution.

Immunohistochemistry (Frozen sections) - Anti-Synapsin I antibody [EPR23531-50] - BSA and Azide free (AB274430)
  • IHC-Fr

Unknown

Immunohistochemistry (Frozen sections) - Anti-Synapsin I antibody [EPR23531-50] - BSA and Azide free (AB274430)

This data was developed using ab254349, the same antibody clone in a different buffer formulation.

Immunohistochemical analysis of 4% PFA-fixed, 0.2% Triton X-100 permeabilized frozen Mouse retina tissue labeling Synapsin-1 with ab254349 at 1/100 dilution followed by ab150077 Goat Anti-Rabbit IgG H&L (Alexa Fluor® 488) at 1/1000 (2 ug/ml) dilution (Green). Positive staining on mouse retina is observed. The nuclear counterstain was DAPI (Blue).

Secondary antibody control : Secondary antibody is ab150077 Goat Anti-Rabbit IgG H&L (Alexa Fluor® 488)at 1/1000 (2 ug/ml) dilution.

Heat mediated antigen retrieval using sodium citrate buffer (10mM citrate pH 6.0 + 0.05% Tween-20).

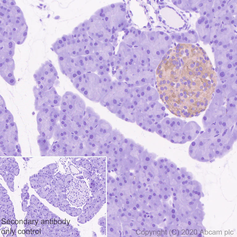
Immunohistochemistry (Formalin/PFA-fixed paraffin-embedded sections) - Anti-Synapsin I antibody [EPR23531-50] - BSA and Azide free (AB274430)
  • IHC-P

Unknown

Immunohistochemistry (Formalin/PFA-fixed paraffin-embedded sections) - Anti-Synapsin I antibody [EPR23531-50] - BSA and Azide free (AB274430)

This data was developed using ab254349, the same antibody clone in a different buffer formulation.

Immunohistochemical analysis of paraffin-embedded Mouse pancreas tissue labeling Synapsin-1 with ab254349 at 1/1000 dilution followed by a ready to use Rabbit specific IHC polymer detection kit HRP/DAB (ab209101). Cytoplasmic staining in mouse pancreatic islets (PMID : 22334712). The section was incubated with ab254349 for 30 mins at room temperature. The immunostaining was performed on a Leica Biosystems BOND® RX instrument. Counterstained with Hematoxylin.

Secondary antibody only control : Secondary antibody is a ready to use Rabbit specific IHC polymer detection kit HRP/DAB (ab209101).

Heat mediated antigen retrieval with Citrate buffer (pH 6.0, epitope retrieval solution 1) for 20 mins.

Immunohistochemistry (Frozen sections) - Anti-Synapsin I antibody [EPR23531-50] - BSA and Azide free (AB274430)
  • IHC-Fr

Unknown

Immunohistochemistry (Frozen sections) - Anti-Synapsin I antibody [EPR23531-50] - BSA and Azide free (AB274430)

This data was developed using ab254349, the same antibody clone in a different buffer formulation.

Immunohistochemical analysis of 4% PFA-fixed, 0.2% Triton X-100 permeabilized frozen Rat retina tissue labeling Synapsin-1 with ab254349 at 1/100 dilution followed by ab150077 Goat Anti-Rabbit IgG H&L (Alexa Fluor® 488) at 1/1000 (2 ug/ml) dilution (Green). Positive staining on rat retina is observed. The nuclear counterstain was DAPI (Blue).

Secondary antibody control : Secondary antibody is ab150077 Goat Anti-Rabbit IgG H&L (Alexa Fluor® 488)at 1/1000 (2 ug/ml) dilution.

Heat mediated antigen retrieval using sodium citrate buffer (10mM citrate pH 6.0 + 0.05% Tween-20).

Immunohistochemistry (Frozen sections) - Anti-Synapsin I antibody [EPR23531-50] - BSA and Azide free (AB274430)
  • IHC-Fr

Unknown

Immunohistochemistry (Frozen sections) - Anti-Synapsin I antibody [EPR23531-50] - BSA and Azide free (AB274430)

This data was developed using ab254349, the same antibody clone in a different buffer formulation.

Immunohistochemical analysis of 4% PFA-fixed, 0.2% Triton X-100 permeabilized frozen Rat cerebrum tissue labeling Synapsin-1 with ab254349 at 1/100 dilution followed by ab150077 Goat Anti-Rabbit IgG H&L (Alexa Fluor® 488) at 1/1000 (2 ug/ml) dilution (Green). Positive staining on rat cerebrum is observed. The nuclear counterstain was DAPI (Blue).

Secondary antibody control : Secondary antibody is ab150077 Goat Anti-Rabbit IgG H&L (Alexa Fluor® 488)at 1/1000 (2 ug/ml) dilution.

Heat mediated antigen retrieval using sodium citrate buffer (10mM citrate pH 6.0 + 0.05% Tween-20).

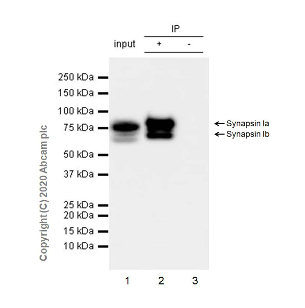
Immunoprecipitation - Anti-Synapsin I antibody [EPR23531-50] - BSA and Azide free (AB274430)
  • IP

Unknown

Immunoprecipitation - Anti-Synapsin I antibody [EPR23531-50] - BSA and Azide free (AB274430)

This data was developed using ab254349, the same antibody clone in a different buffer formulation.

Synapsin-1 was immunoprecipitated from 0.35 mg Mouse brain tissue lysate with ab254349 at 1/30 dilution (2ug in 0.35mg lysates). Western blot was performed on the immunoprecipitate using ab254349 at 1/1000 dilution. VeriBlot for IP Detection Reagent (HRP)(ab131366) was used at 1/1000 dilution.

Lane 1 : Mouse brain tissue lysate 10 ug

Lane 2 : ab254349 IP in Mouse brain tissue lysate

Lane 3 : Rabbit monoclonal IgG (ab172730) instead of ab254349 in mouse brain tissue lysate

Blocking and dilution buffer and concentration : 5% NFDM/TBST.

Exposure time : 1 second.

All lanes:

Immunoprecipitation - Anti-Synapsin I antibody [EPR23531-50] - Synaptic Marker (<a href='/en-us/products/primary-antibodies/synapsin-i-antibody-epr23531-50-synaptic-marker-ab254349'>ab254349</a>)

Predicted band size: 74 kDa

Observed band size: 70 kDa,75 kDa

false

Immunoprecipitation - Anti-Synapsin I antibody [EPR23531-50] - BSA and Azide free (AB274430)
  • IP

Unknown

Immunoprecipitation - Anti-Synapsin I antibody [EPR23531-50] - BSA and Azide free (AB274430)

This data was developed using ab254349, the same antibody clone in a different buffer formulation.

Synapsin-1 was immunoprecipitated from 0.35 mg Rat brain tissue lysate with ab254349 at 1/30 dilution (2ug in 0.35mg lysates). Western blot was performed on the immunoprecipitate using ab254349 at 1/1000 dilution. VeriBlot for IP Detection Reagent (HRP)(ab131366) was used at 1/1000 dilution.

Lane 1 : Rat brain tissue lysate 10 ug

Lane 2 : ab254349 IP in Rat brain tissue lysate

Lane 3 : Rabbit monoclonal IgG (ab172730) instead of ab254349 in rat brain tissue lysate

Blocking and dilution buffer and concentration : 5% NFDM/TBST.

Exposure time : 1 second.

All lanes:

Immunoprecipitation - Anti-Synapsin I antibody [EPR23531-50] - Synaptic Marker (<a href='/en-us/products/primary-antibodies/synapsin-i-antibody-epr23531-50-synaptic-marker-ab254349'>ab254349</a>)

Predicted band size: 74 kDa

Observed band size: 70 kDa,75 kDa

false

Western blot - Anti-Synapsin I antibody [EPR23531-50] - BSA and Azide free (AB274430)
  • WB

Lab

Western blot - Anti-Synapsin I antibody [EPR23531-50] - BSA and Azide free (AB274430)

This data was developed using ab254349, the same antibody clone in a different buffer formulation.

Blocking and diluting buffer and concentration : 5% NFDM/TBST.

This blot was developed using a higher sensitivity ECL substrate.

Exposure time : 15 seconds.

All lanes:

Western blot - Anti-Synapsin I antibody [EPR23531-50] - Synaptic Marker (<a href='/en-us/products/primary-antibodies/synapsin-i-antibody-epr23531-50-synaptic-marker-ab254349'>ab254349</a>) at 1/1000 dilution

All lanes:

Human brain tissue lysate at 20 µg

Secondary

All lanes:

VeriBlot for IP secondary antibody(HRP)(<a href='/en-us/products/reagents/veriblot-for-ip-detection-reagent-hrp-ab131366'>ab131366</a>) at 1/1000 dilution

Predicted band size: 74 kDa

Observed band size: 70 kDa,75 kDa

false

Western blot - Anti-Synapsin I antibody [EPR23531-50] - BSA and Azide free (AB274430)
  • WB

Lab

Western blot - Anti-Synapsin I antibody [EPR23531-50] - BSA and Azide free (AB274430)

This data was developed using ab254349, the same antibody clone in a different buffer formulation.

Blocking and diluting buffer and concentration : 5% NFDM/TBST.

This blot was developed using a higher sensitivity ECL substrate.

Exposure time : 15 seconds.

All lanes:

Western blot - Anti-Synapsin I antibody [EPR23531-50] - Synaptic Marker (<a href='/en-us/products/primary-antibodies/synapsin-i-antibody-epr23531-50-synaptic-marker-ab254349'>ab254349</a>) at 1/1000 dilution

Lane 1:

Mouse brain tissue lysate at 20 µg

Lane 2:

Rat brain tissue lysate at 20 µg

Lane 3:

Rat spinal cord tissue lysate at 20 µg

Secondary

All lanes:

Goat Anti-Rabbit IgG, (H+L), Peroxidase conjugated (<a href='/en-us/products/secondary-antibodies/goat-rabbit-igg-h-l-hrp-ab97051'>ab97051</a>) at 1/50000 dilution

Predicted band size: 74 kDa

Observed band size: 70 kDa,75 kDa

false

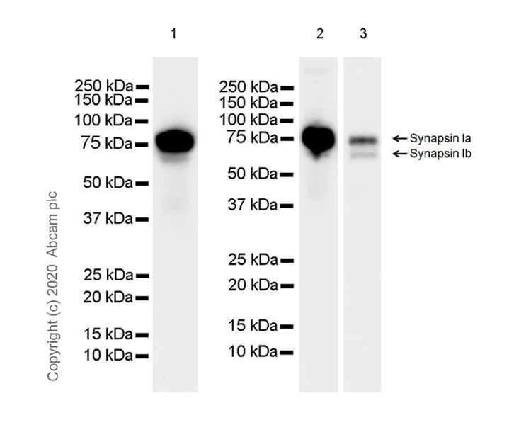
Western blot - Anti-Synapsin I antibody [EPR23531-50] - BSA and Azide free (AB274430)
  • WB

Lab

Western blot - Anti-Synapsin I antibody [EPR23531-50] - BSA and Azide free (AB274430)

This data was developed using ab254349, the same antibody clone in a different buffer formulation.

Blocking and diluting buffer and concentration : 5% NFDM/TBST.

Negative control : Mouse lung (PMID : 9539796).

Exposure times : Lanes 1-3 : 5.5 seconds; Lane 4 : 3 minutes.

All lanes:

Western blot - Anti-Synapsin I antibody [EPR23531-50] - Synaptic Marker (<a href='/en-us/products/primary-antibodies/synapsin-i-antibody-epr23531-50-synaptic-marker-ab254349'>ab254349</a>) at 1/1000 dilution

Lane 1:

Mouse brain tissue lysate at 20 µg

Lane 2:

Mouse lung tissue lysate at 20 µg

Lane 3:

Rat brain tissue lysate at 20 µg

Lane 4:

Rat spinal cord tissue lysate at 20 µg

Secondary

All lanes:

Goat Anti-Rabbit IgG, (H+L), Peroxidase conjugated (<a href='/en-us/products/secondary-antibodies/goat-rabbit-igg-h-l-hrp-ab97051'>ab97051</a>) at 1/50000 dilution

Predicted band size: 74 kDa

Observed band size: 75 kDa

false

  • Unconjugated

    Anti-Synapsin I antibody [EPR23531-50] - Synaptic Marker

  • 578 PE

    PE Anti-Synapsin I antibody [EPR23531-50] – Synaptic Marker

  • 660 APC

    APC Anti-Synapsin I antibody [EPR23531-50] – Synaptic Marker

  • 775 Alexa Fluor® 750

    Alexa Fluor® 750 Anti-Synapsin I antibody [EPR23531-50] - Synaptic Marker

  • 665 Alexa Fluor® 647

    Alexa Fluor® 647 Anti-Synapsin I antibody [EPR23531-50] - Synaptic Marker

  • 519 Alexa Fluor® 488

    Alexa Fluor® 488 Anti-Synapsin I antibody [EPR23531-50] - Synaptic Marker

  • 565 Alexa Fluor® 555

    Alexa Fluor® 555 Anti-Synapsin I - Synaptic Marker antibody [EPR23531-50]

  • 617 Alexa Fluor® 594

    Alexa Fluor® 594 Anti-Synapsin I - Synaptic Marker antibody [EPR23531-50]

Key facts

Host species

Rabbit

Clonality

Monoclonal

Clone number

EPR23531-50

Isotype

IgG

Carrier free

Yes

Reacts with

Mouse, Rat, Human

Applications

WB, ICC/IF, IHC-Fr, Flow Cyt (Intra), IHC-P, mIHC, IP

applications

Immunogen

The exact immunogen used to generate this antibody is proprietary information.

Reactivity data

{ "title": "Reactivity Data", "filters": { "stats": ["", "Species", "Dilution Info", "Notes"], "tabs": { "all-applications": {"fullname" : "All Applications", "shortname": "All Applications"}, "ICCIF" : {"fullname" : "Immunocytochemistry/ Immunofluorescence", "shortname":"ICC/IF"}, "IP" : {"fullname" : "Immunoprecipitation", "shortname":"IP"}, "WB" : {"fullname" : "Western blot", "shortname":"WB"}, "IHCP" : {"fullname" : "Immunohistochemistry (Formalin/PFA-fixed paraffin-embedded sections)", "shortname":"IHC-P"}, "IHCFr" : {"fullname" : "Immunohistochemistry (Frozen sections)", "shortname":"IHC-Fr"}, "FlowCytIntra" : {"fullname" : "Flow Cytometry (Intracellular)", "shortname":"Flow Cyt (Intra)"}, "mIHC" : {"fullname" : "Multiplex immunohistochemistry", "shortname":"mIHC"} }, "product-promise": { "all": "all", "testedAndGuaranteed": "tested", "guaranteed": "expected", "predicted": "predicted", "notRecommended": "not-recommended" } }, "values": { "Human": { "ICCIF-species-checked": "guaranteed", "ICCIF-species-dilution-info": "", "ICCIF-species-notes": "", "IP-species-checked": "guaranteed", "IP-species-dilution-info": "", "IP-species-notes": "", "WB-species-checked": "testedAndGuaranteed", "WB-species-dilution-info": "", "WB-species-notes": "<p></p>", "IHCP-species-checked": "testedAndGuaranteed", "IHCP-species-dilution-info": "", "IHCP-species-notes": "<p></p>", "IHCFr-species-checked": "guaranteed", "IHCFr-species-dilution-info": "", "IHCFr-species-notes": "", "FlowCytIntra-species-checked": "guaranteed", "FlowCytIntra-species-dilution-info": "", "FlowCytIntra-species-notes": "", "mIHC-species-checked": "testedAndGuaranteed", "mIHC-species-dilution-info": "", "mIHC-species-notes": "<p></p>" }, "Mouse": { "ICCIF-species-checked": "testedAndGuaranteed", "ICCIF-species-dilution-info": "", "ICCIF-species-notes": "<p></p>", "IP-species-checked": "testedAndGuaranteed", "IP-species-dilution-info": "", "IP-species-notes": "<p></p>", "WB-species-checked": "testedAndGuaranteed", "WB-species-dilution-info": "", "WB-species-notes": "<p></p>", "IHCP-species-checked": "testedAndGuaranteed", "IHCP-species-dilution-info": "", "IHCP-species-notes": "<p></p>", "IHCFr-species-checked": "testedAndGuaranteed", "IHCFr-species-dilution-info": "", "IHCFr-species-notes": "<p></p>", "FlowCytIntra-species-checked": "testedAndGuaranteed", "FlowCytIntra-species-dilution-info": "", "FlowCytIntra-species-notes": "<p></p>", "mIHC-species-checked": "guaranteed", "mIHC-species-dilution-info": "", "mIHC-species-notes": "" }, "Rat": { "ICCIF-species-checked": "testedAndGuaranteed", "ICCIF-species-dilution-info": "", "ICCIF-species-notes": "<p></p>", "IP-species-checked": "testedAndGuaranteed", "IP-species-dilution-info": "", "IP-species-notes": "<p></p>", "WB-species-checked": "testedAndGuaranteed", "WB-species-dilution-info": "", "WB-species-notes": "<p></p>", "IHCP-species-checked": "testedAndGuaranteed", "IHCP-species-dilution-info": "", "IHCP-species-notes": "<p></p>", "IHCFr-species-checked": "testedAndGuaranteed", "IHCFr-species-dilution-info": "", "IHCFr-species-notes": "<p></p>", "FlowCytIntra-species-checked": "guaranteed", "FlowCytIntra-species-dilution-info": "", "FlowCytIntra-species-notes": "", "mIHC-species-checked": "guaranteed", "mIHC-species-dilution-info": "", "mIHC-species-notes": "" } } }

Product details

ab274430 is the carrier-free version of ab254349.

Patented technology
Our RabMAb® technology is a patented hybridoma-based technology for making rabbit monoclonal antibodies. For details on our patents, please refer to RabMAb® patents.

What are the advantages of a recombinant monoclonal antibody?
This product is a recombinant monoclonal antibody, which offers several advantages including:

  • - High batch-to-batch consistency and reproducibility
  • - Improved sensitivity and specificity
  • - Long-term security of supply
  • - Animal-free batch production

For more information, read more on recombinant antibodies.

Conjugation ready
Our carrier-free antibodies are typically supplied in a PBS-only formulation, purified and free of BSA, sodium azide and glycerol. This conjugation-ready format is designed for use with fluorochromes, metal isotopes, oligonucleotides, and enzymes, which makes them ideal for antibody labelling, functional and cell-based assays, flow-based assays (e.g. mass cytometry) and Multiplex Imaging applications.

Use our conjugation kits for antibody conjugates that are ready-to-use in as little as 20 minutes with 1 minute hands-on-time and 100% antibody recovery: available for fluorescent dyes, HRP, biotin and gold.

Compatibility
This product is compatible with the Maxpar® Antibody Labeling Kit from Fluidigm, without the need for antibody preparation. Maxpar® is a trademark of Fluidigm Canada Inc.

Properties and storage information

Form
Liquid
Purification technique
Affinity purification Protein A
Storage buffer
pH: 7.2 - 7.4 Constituents: PBS
Shipped at conditions
Blue Ice
Appropriate short-term storage conditions
+4°C
Appropriate long-term storage conditions
+4°C
Storage information
Do Not Freeze

Supplementary information

This supplementary information is collated from multiple sources and compiled automatically.

Synapsin I also known as SYN1 plays an important role in synaptic function. It is a phosphoprotein with a molecular mass of approximately 78 kDa. Synapsin I is expressed mainly in the neurons of the central nervous system (CNS). It binds to synaptic vesicles and actin cytoskeleton which suggests that it functions in modulating neurotransmitter release at the presynaptic terminals. This modulation occurs as synapsin I undergoes phosphorylation which is critical for its activity.
Biological function summary

Synapsin I influences synaptic plasticity and is part of the synaptic vesicle trafficking complex. In its dephosphorylated state Synapsin I associates with synaptic vesicles anchoring them to the actin cytoskeleton. Upon phosphorylation Synapsin I changes conformation causing vesicles to mobilize. This activity supports the modulation of neurotransmitter release impacting learning and memory functions.

Pathways

Synapsin I participates significantly in the neurotransmitter release cycle and synaptic vesicle trafficking pathway. Protein kinase A (PKA) and Ca2+/calmodulin-dependent protein kinase II (CaMKII) regulate its phosphorylation affecting how Synapsin I contributes to vesicle release. The phosphorylation of Synapsin I at sites such as serine 9 enables its interaction with other proteins like actin and spectrin facilitating vesicle movement.

Altered Synapsin I expression associates with neurological conditions like epilepsy and schizophrenia. In epilepsy dysregulation of Synapsin I phosphorylation processes can result in imbalanced neurotransmitter release potentially leading to seizures. Its connection to schizophrenia involves changes in synaptic plasticity which neurotransmitter systems such as dopamine and related proteins like alpha-synuclein also influence. Understanding these interactions can aid in developing therapeutic strategies.

Product protocols

For this product, it's our understanding that no specific protocols are required. You can visit:

Target data

Neuronal phosphoprotein that coats synaptic vesicles, and binds to the cytoskeleton. Acts as a regulator of synaptic vesicles trafficking, involved in the control of neurotransmitter release at the pre-synaptic terminal (PubMed : 21441247, PubMed : 23406870). Also involved in the regulation of axon outgrowth and synaptogenesis (By similarity). The complex formed with NOS1 and CAPON proteins is necessary for specific nitric-oxid functions at a presynaptic level (By similarity).
See full target information SYN1

Publications (3)

Recent publications for all applications. Explore the full list and refine your search

Journal of orthopaedic surgery and research 20:571 PubMed40474233

2025

Sympathetic cholinergic nerve fibres promote BMSC differentiation into osteoblasts via NRTN secretion: a potential treatment for osteoporosis.

Applications

Unspecified application

Species

Unspecified reactive species

Yuechun Chen,Zhenyu Zhang,Huibo Ti,Junjie Wu,Feng-Lai Yuan,Xia Li

FASEB journal : official publication of the Federation of American Societies for Experimental Biology 39:e70691 PubMed40458983

2025

Insulin-Like Growth Factor 2 Reverses Synaptic and Cognitive Deficits in Fetal Growth Restriction Mice.

Applications

Unspecified application

Species

Unspecified reactive species

Jianfeng Dong,Wen Chen,Shujuan Chang,Nana Liu,Wei Zhu,Li Ma,Jing Qiao,Yuhang Wang,Zhiyong Mao,Jiuhong Kang

Frontiers in neuroscience 15:725398 PubMed34690674

2021

Brain-Derived Neurotrophic Factor Secreting Human Mesenchymal Stem Cells Improve Outcomes in Rett Syndrome Mouse Models.

Applications

Unspecified application

Species

Unspecified reactive species

Hyo Jeong Kim,Delger Bayarsaikhan,Jaesuk Lee,Govigerel Bayarsaikhan,Bonghee Lee
View all publications

Product promise

We are committed to supporting your work with high-quality reagents, and we're here for you every step of the way. In the unlikely event that one of our products does not perform as expected, you're protected by our Product Promise.
For full details, please see our Terms & Conditions

Please note: All products are 'FOR RESEARCH USE ONLY. NOT FOR USE IN DIAGNOSTIC OR THERAPEUTIC PROCEDURES'.

For licensing inquiries, please contact partnerships@abcam.com