JavaScript is disabled in your browser. Please enable JavaScript to view this website.
AB254349

Anti-Synapsin I antibody [EPR23531-50] - Synaptic Marker

  • BOND RX™ Validated
  • Lab Essentials
  • 20ul selling size
  • RabMAb
  • Advanced Validation
  • Recombinant
  • What is this?

4

(1 Review)

|

(48 Publications)

Anti-Synapsin I antibody [EPR23531-50] - Synaptic Marker (ab254349) is a rabbit monoclonal antibody detecting Synapsin I in Western Blot, Flow Cytometry (Intra), Flow Cytometry, IP, IHC-P, IHC-Fr, ICC/IF, mIHC. Suitable for Human, Mouse, Rat.

- Multiplex IHC validated on the Leica BOND® MAX using Opal reagents
- Biophysical QC for unrivalled batch-batch consistency
- Over 10 publications

View Alternative Names

Synapsin-1, Brain protein 4.1, Synapsin I, SYN1

19 Images
Multiplex immunohistochemistry - Anti-Synapsin I antibody [EPR23531-50] - Synaptic Marker (AB254349)
  • mIHC

Lab

Multiplex immunohistochemistry - Anti-Synapsin I antibody [EPR23531-50] - Synaptic Marker (AB254349)

Multiplex immunohistochemistry analysis of formalin/PFA-fixed paraffin-embedded Human retina tissue labeling RPE65, Rhodopsin and Synapsin I with ab231782 at 1/8000 dilution, ab232934 at 1/8000 dilution and ab274430 at 1/1500 dilution followed by a ready to use Opal Polymer HRP Ms + Rb secondary antibody. Nuclear counter stain used was DAPI. Heat mediated antigen retrieval with Tris-EDTA buffer (pH 9.0, epitope retrieval solution2) for 20 mins Panel A : merged staining of anti-Synapsin I (magenta; Opal™690), anti-RPE65 (green; Opal™520) and anti-Rhodopsin (red; Opal™570) on human retina. Panel B : anti-RPE65 stained on pigmented layer. Panel C : anti-Rhodopsin stained on rod photoreceptor cells. Panel D : anti-Synapsin I stained on inner plexiform layer. The section was incubated in three rounds of staining : in the order of ab274430, ab231782, and ab232934 for 30 mins at room temperature. Each round was followed by a separate fluorescent tyramide signal amplification system. The immunostaining was performed on a Leica Biosystems BOND® RX instrument with an Opal™ 4-color kit. Image acquisition was performed with Leica SP8 confocal microscope. The section was incubated in three rounds of staining : in the order of ab312840, ab16669, and ab236434 for 30 mins at room temperature. Each round was followed by a separate fluorescent tyramide signal amplification system. The immunostaining was performed on a Leica Biosystems BOND® RX instrument with an Opal™ 4-color kit. Image acquisition was performed with Leica SP8 confocal microscope.

Immunohistochemistry (Formalin/PFA-fixed paraffin-embedded sections) - Anti-Synapsin I antibody [EPR23531-50] - Synaptic Marker (AB254349)
  • IHC-P

Unknown

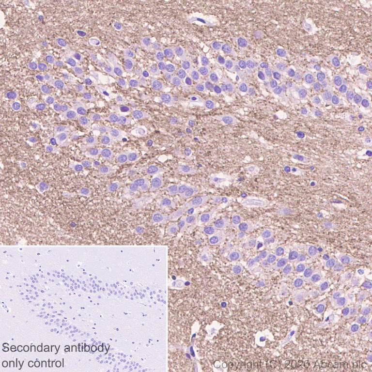
Immunohistochemistry (Formalin/PFA-fixed paraffin-embedded sections) - Anti-Synapsin I antibody [EPR23531-50] - Synaptic Marker (AB254349)

Immunohistochemical analysis of paraffin-embedded Human hippocampus tissue labeling Synapsin-1 with ab254349 at 1/1000 dilution followed by a ready to use Rabbit specific IHC polymer detection kit HRP/DAB (ab209101). Cytoplasmic staining in human hippocampus (PMID : 22900032). The section was incubated with ab254349 for 30 mins at room temperature.The immunostaining was performed on a Leica Biosystems BOND® RX instrument. Counterstained with Hematoxylin.

Secondary antibody only control : Secondary antibody is a ready to use Rabbit specific IHC polymer detection kit HRP/DAB (ab209101).

Heat mediated antigen retrieval with Citrate buffer (pH 6.0, epitope retrieval solution 1) for 20 mins.

Immunohistochemistry (Formalin/PFA-fixed paraffin-embedded sections) - Anti-Synapsin I antibody [EPR23531-50] - Synaptic Marker (AB254349)
  • IHC-P

Unknown

Immunohistochemistry (Formalin/PFA-fixed paraffin-embedded sections) - Anti-Synapsin I antibody [EPR23531-50] - Synaptic Marker (AB254349)

Immunohistochemical analysis of paraffin-embedded Rat retina tissue labeling Synapsin-1 with ab254349 at 1/1000 dilution followed by a ready to use Rabbit specific IHC polymer detection kit HRP/DAB (ab209101). Cytoplasmic staining in rat retina (PMID : 2124189). The section was incubated with ab254349 for 30 mins at room temperature. The immunostaining was performed on a Leica Biosystems BOND® RX instrument. Counterstained with Hematoxylin.

Secondary antibody only control : Secondary antibody is a ready to use Rabbit specific IHC polymer detection kit HRP/DAB (ab209101).

Heat mediated antigen retrieval with Citrate buffer (pH 6.0, epitope retrieval solution 1) for 20 mins.

Immunocytochemistry/ Immunofluorescence - Anti-Synapsin I antibody [EPR23531-50] - Synaptic Marker (AB254349)
  • ICC/IF

Unknown

Immunocytochemistry/ Immunofluorescence - Anti-Synapsin I antibody [EPR23531-50] - Synaptic Marker (AB254349)

Immunofluorescent analysis of 4% Paraformaldehyde-fixed, 0.1% Triton X-100 permeabilized mouse primary neuron cells labelling Synapsin-1 with ab254349 at 1/500 dilution, followed by ab150077 Goat Anti-Rabbit IgG H&L (Alexa Fluor® 488) antibody at 1/1000 dilution (Green). Confocal image showing positive staining in mouse primary neuron. Confocal scanning Z step was set as 0.3 μm followed by image processing with maximum Z projection. ab11267 Anti-MAP2 mouse monoclonal antibody was used to counterstain MAP2 at 1/500 dilution, followed by ab150120 Goat Anti-Mouse IgG H&L (Alexa Fluor® 594) at 1/1000 dilution (Red). The Nuclear counterstain was DAPI (Blue).

-ve control 1 : ab254349 at 1/500 dilution, followed by ab150120 Goat Anti-Mouse IgG H&L (Alexa Fluor® 594) at 1/1000 dilution.

-ve control 2 : ab11267 at 1/500 dilution, followed by ab150077 Goat Anti-Rabbit IgG H&L (Alexa Fluor® 488) antibody at 1/1000 dilution.

Immunohistochemistry (Formalin/PFA-fixed paraffin-embedded sections) - Anti-Synapsin I antibody [EPR23531-50] - Synaptic Marker (AB254349)
  • IHC-P

Unknown

Immunohistochemistry (Formalin/PFA-fixed paraffin-embedded sections) - Anti-Synapsin I antibody [EPR23531-50] - Synaptic Marker (AB254349)

Immunohistochemical analysis of paraffin-embedded Mouse hippocampus tissue labeling Synapsin-1 with ab254349 at 1/1000 dilution followed by a ready to use Rabbit specific IHC polymer detection kit HRP/DAB (ab209101). Cytoplasmic staining in mouse hippocampus (PMID : 22900032). The section was incubated with ab254349 for 30 mins at room temperature. The immunostaining was performed on a Leica Biosystems BOND® RX instrument. Counterstained with Hematoxylin.

Secondary antibody only control : Secondary antibody is a ready to use Rabbit specific IHC polymer detection kit HRP/DAB (ab209101).

Heat mediated antigen retrieval with Citrate buffer (pH 6.0, epitope retrieval solution 1) for 20 mins.

Flow Cytometry (Intracellular) - Anti-Synapsin I antibody [EPR23531-50] - Synaptic Marker (AB254349)
  • Flow Cyt (Intra)

Unknown

Flow Cytometry (Intracellular) - Anti-Synapsin I antibody [EPR23531-50] - Synaptic Marker (AB254349)

Intracellular flow cytometric analysis of 4% paraformaldehyde-fixed, 0.1% Tween-20 permeabilized Mouse primary brain cells cells labelling Synapsin-1 with ab254349 at 1/50 dilution (1ug) (Right) compared with a Rabbit monoclonal IgG (ab172730) isotype control (Left). A Goat anti rabbit IgG (Alexa Fluor® 488, ab150077) at 1/2000 dilution was used as the secondary antibody.

Immunohistochemistry (Frozen sections) - Anti-Synapsin I antibody [EPR23531-50] - Synaptic Marker (AB254349)
  • IHC-Fr

Unknown

Immunohistochemistry (Frozen sections) - Anti-Synapsin I antibody [EPR23531-50] - Synaptic Marker (AB254349)

Immunohistochemical analysis of 4% PFA-fixed, 0.2% Triton X-100 permeabilized frozen Rat lung tissue labeling Synapsin-1 with ab254349 at 1/100 dilution followed by ab150077 Goat Anti-Rabbit IgG H&L (Alexa Fluor® 488) at 1/1000 (2 ug/ml) dilution (Green). Negative control : no staining on rat lung (PMID : 9539796) is observed. The nuclear counterstain was DAPI (Blue).

Secondary antibody control : Secondary antibody is ab150077 Goat Anti-Rabbit IgG H&L (Alexa Fluor® 488) at 1/1000 (2 ug/ml) dilution.

Heat mediated antigen retrieval using sodium citrate buffer (10mM citrate pH 6.0 + 0.05% Tween-20).

Immunohistochemistry (Frozen sections) - Anti-Synapsin I antibody [EPR23531-50] - Synaptic Marker (AB254349)
  • IHC-Fr

Unknown

Immunohistochemistry (Frozen sections) - Anti-Synapsin I antibody [EPR23531-50] - Synaptic Marker (AB254349)

Immunohistochemical analysis of 4% PFA-fixed, 0.2% Triton X-100 permeabilized frozen Mouse lung tissue labeling Synapsin-1 with ab254349 at 1/100 dilution followed by ab150077 Goat Anti-Rabbit IgG H&L (Alexa Fluor® 488) at 1/1000 (2 ug/ml) dilution (Green). Negative control : no staining on mouse lung (PMID : 9539796) is observed. The nuclear counterstain was DAPI (Blue).

Secondary antibody control : Secondary antibody is ab150077 Goat Anti-Rabbit IgG H&L (Alexa Fluor® 488) at 1/1000 (2 ug/ml) dilution.

Heat mediated antigen retrieval using sodium citrate buffer (10mM citrate pH 6.0 + 0.05% Tween-20).

Immunohistochemistry (Frozen sections) - Anti-Synapsin I antibody [EPR23531-50] - Synaptic Marker (AB254349)
  • IHC-Fr

Unknown

Immunohistochemistry (Frozen sections) - Anti-Synapsin I antibody [EPR23531-50] - Synaptic Marker (AB254349)

Immunohistochemical analysis of 4% PFA-fixed, 0.2% Triton X-100 permeabilized frozen Mouse cerebrum tissue labeling Synapsin-1 with ab254349 at 1/100 dilution followed by ab150077 Goat Anti-Rabbit IgG H&L (Alexa Fluor® 488) at 1/1000 (2 ug/ml) dilution (Green). Positive staining on mouse cerebrum is observed. The nuclear counterstain was DAPI (Blue).

Secondary antibody control : Secondary antibody is ab150077 Goat Anti-Rabbit IgG H&L (Alexa Fluor® 488) at 1/1000 (2 ug/ml) dilution.

Heat mediated antigen retrieval using sodium citrate buffer (10mM citrate pH 6.0 + 0.05% Tween-20).

Immunocytochemistry/ Immunofluorescence - Anti-Synapsin I antibody [EPR23531-50] - Synaptic Marker (AB254349)
  • ICC/IF

Unknown

Immunocytochemistry/ Immunofluorescence - Anti-Synapsin I antibody [EPR23531-50] - Synaptic Marker (AB254349)

Immunofluorescent analysis of 4% Paraformaldehyde-fixed, 0.1% Triton X-100 permeabilized rat primary neuron cells labelling Synapsin-1 with ab254349 at 1/500 dilution, followed by ab150077 Goat Anti-Rabbit IgG H&L (Alexa Fluor® 488) antibody at 1/1000 dilution (Green). Confocal image showing positive staining in rat primary neuron.Confocal scanning Z step was set as 0.3 μm followed by image processing with maximum Z projection. ab11267 Anti-MAP2 mouse monoclonal antibody was used to counterstain MAP2 at 1/500 dilution, followed by ab150120 Goat Anti-Mouse IgG H&L (Alexa Fluor® 594) at 1/1000 dilution (Red). The Nuclear counterstain was DAPI (Blue).

-ve control 1 : ab254349 at 1/500 dilution, followed by ab150120 Goat Anti-Mouse IgG H&L (Alexa Fluor® 594) at 1/1000 dilution.

-ve control 2 : ab11267 at 1/500 dilution, followed by ab150077 Goat Anti-Rabbit IgG H&L (Alexa Fluor® 488) antibody at 1/1000 dilution.

Immunohistochemistry (Frozen sections) - Anti-Synapsin I antibody [EPR23531-50] - Synaptic Marker (AB254349)
  • IHC-Fr

Unknown

Immunohistochemistry (Frozen sections) - Anti-Synapsin I antibody [EPR23531-50] - Synaptic Marker (AB254349)

Immunohistochemical analysis of 4% PFA-fixed, 0.2% Triton X-100 permeabilized frozen Mouse retina tissue labeling Synapsin-1 with ab254349 at 1/100 dilution followed by ab150077 Goat Anti-Rabbit IgG H&L (Alexa Fluor® 488) at 1/1000 (2 ug/ml) dilution (Green). Positive staining on mouse retina is observed. The nuclear counterstain was DAPI (Blue).

Secondary antibody control : Secondary antibody is ab150077 Goat Anti-Rabbit IgG H&L (Alexa Fluor® 488) at 1/1000 (2 ug/ml) dilution.

Heat mediated antigen retrieval using sodium citrate buffer (10mM citrate pH 6.0 + 0.05% Tween-20).

Immunohistochemistry (Formalin/PFA-fixed paraffin-embedded sections) - Anti-Synapsin I antibody [EPR23531-50] - Synaptic Marker (AB254349)
  • IHC-P

Unknown

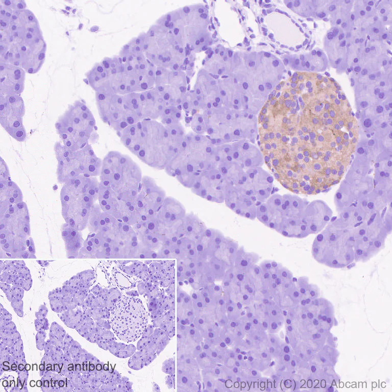
Immunohistochemistry (Formalin/PFA-fixed paraffin-embedded sections) - Anti-Synapsin I antibody [EPR23531-50] - Synaptic Marker (AB254349)

Immunohistochemical analysis of paraffin-embedded Mouse pancreas tissue labeling Synapsin-1 with ab254349 at 1/1000 dilution followed by a ready to use Rabbit specific IHC polymer detection kit HRP/DAB (ab209101). Cytoplasmic staining in mouse pancreatic islets (PMID : 22334712). The section was incubated with ab254349 for 30 mins at room temperature. The immunostaining was performed on a Leica Biosystems BOND® RX instrument. Counterstained with Hematoxylin.

Secondary antibody only control : Secondary antibody is a ready to use Rabbit specific IHC polymer detection kit HRP/DAB (ab209101).

Heat mediated antigen retrieval with Citrate buffer (pH 6.0, epitope retrieval solution 1) for 20 mins.

Immunohistochemistry (Frozen sections) - Anti-Synapsin I antibody [EPR23531-50] - Synaptic Marker (AB254349)
  • IHC-Fr

Unknown

Immunohistochemistry (Frozen sections) - Anti-Synapsin I antibody [EPR23531-50] - Synaptic Marker (AB254349)

Immunohistochemical analysis of 4% PFA-fixed, 0.2% Triton X-100 permeabilized frozen Rat retina tissue labeling Synapsin-1 with ab254349 at 1/100 dilution followed by ab150077 Goat Anti-Rabbit IgG H&L (Alexa Fluor® 488) at 1/1000 (2 ug/ml) dilution (Green). Positive staining on rat retina is observed. The nuclear counterstain was DAPI (Blue).

Secondary antibody control : Secondary antibody is ab150077 Goat Anti-Rabbit IgG H&L (Alexa Fluor® 488) at 1/1000 (2 ug/ml) dilution.

Heat mediated antigen retrieval using sodium citrate buffer (10mM citrate pH 6.0 + 0.05% Tween-20).

Immunohistochemistry (Frozen sections) - Anti-Synapsin I antibody [EPR23531-50] - Synaptic Marker (AB254349)
  • IHC-Fr

Unknown

Immunohistochemistry (Frozen sections) - Anti-Synapsin I antibody [EPR23531-50] - Synaptic Marker (AB254349)

Immunohistochemical analysis of 4% PFA-fixed, 0.2% Triton X-100 permeabilized frozen Rat cerebrum tissue labeling Synapsin-1 with ab254349 at 1/100 dilution followed by ab150077 Goat Anti-Rabbit IgG H&L (Alexa Fluor® 488) at 1/1000 (2 ug/ml) dilution (Green). Positive staining on rat cerebrum is observed. The nuclear counterstain was DAPI (Blue).

Secondary antibody control : Secondary antibody is ab150077 Goat Anti-Rabbit IgG H&L (Alexa Fluor® 488) at 1/1000 (2 ug/ml) dilution.

Heat mediated antigen retrieval using sodium citrate buffer (10mM citrate pH 6.0 + 0.05% Tween-20).

Immunoprecipitation - Anti-Synapsin I antibody [EPR23531-50] - Synaptic Marker (AB254349)
  • IP

Unknown

Immunoprecipitation - Anti-Synapsin I antibody [EPR23531-50] - Synaptic Marker (AB254349)

Synapsin-1 was immunoprecipitated from 0.35 mg Mouse brain tissue lysate with ab254349 at 1/30 dilution (2ug in 0.35mg lysates). Western blot was performed on the immunoprecipitate using ab254349 at 1/1000 dilution. VeriBlot for IP Detection Reagent (HRP)(ab131366) was used at 1/1000 dilution.

Lane 1 : Mouse brain tissue lysate 10 ug

Lane 2 : ab254349 IP in Mouse brain tissue lysate

Lane 3 : Rabbit monoclonal IgG (ab172730) instead of ab254349 in mouse brain tissue lysate

Blocking and dilution buffer and concentration : 5% NFDM/TBST.

Exposure time : 1 second.

All lanes:

Immunoprecipitation - Anti-Synapsin I antibody [EPR23531-50] - Synaptic Marker (ab254349)

Predicted band size: 74 kDa

Observed band size: 70 kDa,75 kDa

false

Immunoprecipitation - Anti-Synapsin I antibody [EPR23531-50] - Synaptic Marker (AB254349)
  • IP

Unknown

Immunoprecipitation - Anti-Synapsin I antibody [EPR23531-50] - Synaptic Marker (AB254349)

Synapsin-1 was immunoprecipitated from 0.35 mg Rat brain tissue lysate with ab254349 at 1/30 dilution (2ug in 0.35mg lysates). Western blot was performed on the immunoprecipitate using ab254349 at 1/1000 dilution. VeriBlot for IP Detection Reagent (HRP)(ab131366) was used at 1/1000 dilution.

Lane 1 : Rat brain tissue lysate 10 ug

Lane 2 : ab254349 IP in Rat brain tissue lysate

Lane 3 : Rabbit monoclonal IgG (ab172730) instead of ab254349 in rat brain tissue lysate

Blocking and dilution buffer and concentration : 5% NFDM/TBST.

Exposure time : 1 second.

All lanes:

Immunoprecipitation - Anti-Synapsin I antibody [EPR23531-50] - Synaptic Marker (ab254349)

Predicted band size: 74 kDa

Observed band size: 70 kDa,75 kDa

false

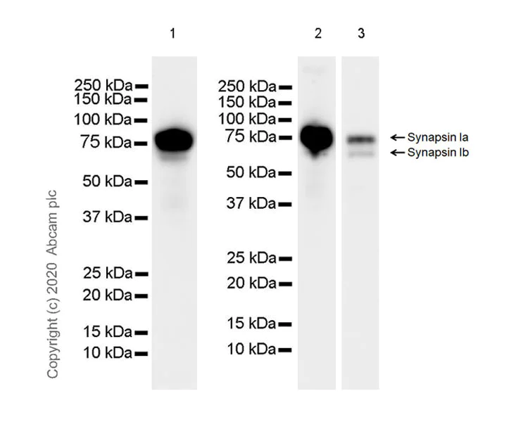
Western blot - Anti-Synapsin I antibody [EPR23531-50] - Synaptic Marker (AB254349)
  • WB

Lab

Western blot - Anti-Synapsin I antibody [EPR23531-50] - Synaptic Marker (AB254349)

Blocking and diluting buffer and concentration : 5% NFDM/TBST.

This blot was developed using a higher sensitivity ECL substrate.

Exposure time : 15 seconds.

All lanes:

Western blot - Anti-Synapsin I antibody [EPR23531-50] - Synaptic Marker (ab254349) at 1/1000 dilution

All lanes:

Human brain tissue lysate at 20 µg

Secondary

All lanes:

VeriBlot for IP secondary antibody(HRP)(<a href='/en-us/products/reagents/veriblot-for-ip-detection-reagent-hrp-ab131366'>ab131366</a>) at 1/1000 dilution

Predicted band size: 74 kDa

Observed band size: 70 kDa,75 kDa

false

Western blot - Anti-Synapsin I antibody [EPR23531-50] - Synaptic Marker (AB254349)
  • WB

Lab

Western blot - Anti-Synapsin I antibody [EPR23531-50] - Synaptic Marker (AB254349)

Blocking and diluting buffer and concentration : 5% NFDM/TBST.

This blot was developed using a higher sensitivity ECL substrate.

Exposure time : 15 seconds.

All lanes:

Western blot - Anti-Synapsin I antibody [EPR23531-50] - Synaptic Marker (ab254349) at 1/1000 dilution

Lane 1:

Mouse brain tissue lysate at 20 µg

Lane 2:

Rat brain tissue lysate at 20 µg

Lane 3:

Rat spinal cord tissue lysate at 20 µg

Secondary

All lanes:

Goat Anti-Rabbit IgG, (H+L), Peroxidase conjugated (<a href='/en-us/products/secondary-antibodies/goat-rabbit-igg-h-l-hrp-ab97051'>ab97051</a>) at 1/50000 dilution

Predicted band size: 74 kDa

Observed band size: 70 kDa,75 kDa

false

Western blot - Anti-Synapsin I antibody [EPR23531-50] - Synaptic Marker (AB254349)
  • WB

Lab

Western blot - Anti-Synapsin I antibody [EPR23531-50] - Synaptic Marker (AB254349)

Blocking and diluting buffer and concentration : 5% NFDM/TBST.

Negative control : Mouse lung (PMID : 9539796).

Exposure times : Lanes 1-3 : 5.5 seconds; Lane 4 : 3 minutes.

All lanes:

Western blot - Anti-Synapsin I antibody [EPR23531-50] - Synaptic Marker (ab254349) at 1/1000 dilution

Lane 1:

Mouse brain tissue lysate at 20 µg

Lane 2:

Mouse lung tissue lysate at 20 µg

Lane 3:

Rat brain tissue lysate at 20 µg

Lane 4:

Rat spinal cord tissue lysate at 20 µg

Secondary

All lanes:

Goat Anti-Rabbit IgG, (H+L), Peroxidase conjugated (<a href='/en-us/products/secondary-antibodies/goat-rabbit-igg-h-l-hrp-ab97051'>ab97051</a>) at 1/50000 dilution

Predicted band size: 74 kDa

Observed band size: 75 kDa

false

  • 565 Alexa Fluor® 555

    Alexa Fluor® 555 Anti-Synapsin I - Synaptic Marker antibody [EPR23531-50]

  • Carrier free

    Anti-Synapsin I antibody [EPR23531-50] - BSA and Azide free

  • 665 Alexa Fluor® 647

    Alexa Fluor® 647 Anti-Synapsin I antibody [EPR23531-50] - Synaptic Marker

  • 519 Alexa Fluor® 488

    Alexa Fluor® 488 Anti-Synapsin I antibody [EPR23531-50] - Synaptic Marker

  • 617 Alexa Fluor® 594

    Alexa Fluor® 594 Anti-Synapsin I - Synaptic Marker antibody [EPR23531-50]

  • 660 APC

    APC Anti-Synapsin I antibody [EPR23531-50] – Synaptic Marker

  • 578 PE

    PE Anti-Synapsin I antibody [EPR23531-50] – Synaptic Marker

  • 775 Alexa Fluor® 750

    Alexa Fluor® 750 Anti-Synapsin I antibody [EPR23531-50] - Synaptic Marker

Key facts

Host species

Rabbit

Clonality

Monoclonal

Clone number

EPR23531-50

Isotype

IgG

Carrier free

No

Reacts with

Mouse, Rat, Human

Applications

mIHC, IP, WB, Flow Cyt (Intra), ICC/IF, IHC-Fr, IHC-P

applications

Immunogen

The exact immunogen used to generate this antibody is proprietary information.

Reactivity data

{ "title": "Reactivity Data", "filters": { "stats": ["", "Species", "Dilution Info", "Notes"], "tabs": { "all-applications": {"fullname" : "All Applications", "shortname": "All Applications"}, "IHCP" : {"fullname" : "Immunohistochemistry (Formalin/PFA-fixed paraffin-embedded sections)", "shortname":"IHC-P"}, "ICCIF" : {"fullname" : "Immunocytochemistry/ Immunofluorescence", "shortname":"ICC/IF"}, "IP" : {"fullname" : "Immunoprecipitation", "shortname":"IP"}, "WB" : {"fullname" : "Western blot", "shortname":"WB"}, "IHCFr" : {"fullname" : "Immunohistochemistry (Frozen sections)", "shortname":"IHC-Fr"}, "FlowCytIntra" : {"fullname" : "Flow Cytometry (Intracellular)", "shortname":"Flow Cyt (Intra)"}, "mIHC" : {"fullname" : "Multiplex immunohistochemistry", "shortname":"mIHC"} }, "product-promise": { "all": "all", "testedAndGuaranteed": "tested", "guaranteed": "expected", "predicted": "predicted", "notRecommended": "not-recommended" } }, "values": { "Human": { "IHCP-species-checked": "testedAndGuaranteed", "IHCP-species-dilution-info": "1/1000", "IHCP-species-notes": "<p></p> Perform heat-mediated antigen retrieval with citrate buffer pH 6 before commencing with IHC staining protocol.", "ICCIF-species-checked": "guaranteed", "ICCIF-species-dilution-info": "", "ICCIF-species-notes": "", "IP-species-checked": "guaranteed", "IP-species-dilution-info": "", "IP-species-notes": "", "WB-species-checked": "testedAndGuaranteed", "WB-species-dilution-info": "1/1000", "WB-species-notes": "<p></p>", "IHCFr-species-checked": "guaranteed", "IHCFr-species-dilution-info": "", "IHCFr-species-notes": "", "FlowCytIntra-species-checked": "guaranteed", "FlowCytIntra-species-dilution-info": "", "FlowCytIntra-species-notes": "", "mIHC-species-checked": "testedAndGuaranteed", "mIHC-species-dilution-info": "", "mIHC-species-notes": "<p></p>" }, "Mouse": { "IHCP-species-checked": "testedAndGuaranteed", "IHCP-species-dilution-info": "1/1000", "IHCP-species-notes": "<p></p> Perform heat-mediated antigen retrieval with citrate buffer pH 6 before commencing with IHC staining protocol.", "ICCIF-species-checked": "testedAndGuaranteed", "ICCIF-species-dilution-info": "1/500", "ICCIF-species-notes": "<p></p>", "IP-species-checked": "testedAndGuaranteed", "IP-species-dilution-info": "1/30", "IP-species-notes": "<p></p>", "WB-species-checked": "testedAndGuaranteed", "WB-species-dilution-info": "1/1000", "WB-species-notes": "<p></p>", "IHCFr-species-checked": "testedAndGuaranteed", "IHCFr-species-dilution-info": "1/100", "IHCFr-species-notes": "<p>Heat mediated antigen retrieval using sodium citrate buffer (10mM citrate pH 6.0 + 0.05% Tween-20).</p>", "FlowCytIntra-species-checked": "testedAndGuaranteed", "FlowCytIntra-species-dilution-info": "1/50", "FlowCytIntra-species-notes": "<p></p>", "mIHC-species-checked": "guaranteed", "mIHC-species-dilution-info": "", "mIHC-species-notes": "" }, "Rat": { "IHCP-species-checked": "testedAndGuaranteed", "IHCP-species-dilution-info": "1/1000", "IHCP-species-notes": "<p></p> Perform heat-mediated antigen retrieval with citrate buffer pH 6 before commencing with IHC staining protocol.", "ICCIF-species-checked": "testedAndGuaranteed", "ICCIF-species-dilution-info": "1/500", "ICCIF-species-notes": "<p></p>", "IP-species-checked": "testedAndGuaranteed", "IP-species-dilution-info": "1/30", "IP-species-notes": "<p></p>", "WB-species-checked": "testedAndGuaranteed", "WB-species-dilution-info": "1/1000", "WB-species-notes": "<p></p>", "IHCFr-species-checked": "testedAndGuaranteed", "IHCFr-species-dilution-info": "1/100", "IHCFr-species-notes": "<p>Heat mediated antigen retrieval using sodium citrate buffer (10mM citrate pH 6.0 + 0.05% Tween-20).</p>", "FlowCytIntra-species-checked": "guaranteed", "FlowCytIntra-species-dilution-info": "", "FlowCytIntra-species-notes": "", "mIHC-species-checked": "guaranteed", "mIHC-species-dilution-info": "", "mIHC-species-notes": "" } } }

Product details

What is this antibody validated in?
Anti-Synapsin I antibody [EPR23531-50] - Synaptic Marker (ab254349) is a rabbit recombinant monoclonal antibody and is validated for use in Western Blot (WB), Flow Cytometry (Intra), Flow Cytometry (Flow Cyt), Immunoprecipitation (IP), Immunohistochemistry (IHC-P), Immunohistochemistry (IHC-Fr), Immunocytochemistry/immunofluorescence (ICC/IF), Multiplex IHC (mIHC) in Human, Mouse, Rat samples.

What is the molecular weight of Synapsin I?
Anti-Synapsin I [EPR23531-50] - Synaptic Marker (ab254349) specifically detects a band for Synapsin I (UniProt: O88935) at a molecular weight of 74kDa.

Trusted by the scientific community
Anti-Synapsin I [EPR23531-50] - Synaptic Marker (ab254349) was first used in a scientific publication in 2020 and has been cited over 10 times in peer-reviewed journals.

Trial sizes available!
Test your antibody or perform pre-screening before committing to a larger quantity. Sold in 10µl. Discover our selection of trial-size antibodies.

Other related products
We have a range of other formats of antibody clone [EPR23531-50] also available for your convenience: ab254349, Carrier free - ab274430, PE - ab317882, APC - ab317918, Alexa Fluor® 750 - ab321505, Alexa Fluor® 647 - ab305212

Patented technology
Our RabMAb® technology is a patented hybridoma-based technology for making rabbit monoclonal antibodies. For details on our patents, please refer to RabMAb® patents.

What are the advantages of a recombinant monoclonal antibody?
This product is a recombinant monoclonal antibody, which offers several advantages including:

  • - High batch-to-batch consistency and reproducibility
  • - Improved sensitivity and specificity
  • - Long-term security of supply
  • - Animal-free batch production

For more information, read more on recombinant antibodies.

Shipping conditions update: ambient shipping

This product will be delivered at ambient temperature instead of chilled – this is by design. Extensive stability testing confirmed that our products are suitable for shipment under ambient conditions and maintain expected quality.

Why the change?

It’s part of our commitment to more sustainable packaging solutions, with ambient deliveries using eco-friendly materials such as recyclable cardboard instead of polystyrene.

What you need to know

  • Ambient shipments come with a flyer explaining the below.
  • No ice will be included in ambient shipments, but mixed orders (ambient and cold-chain items) will still arrive with ice packs to protect temperature-sensitive products.
  • Warranty coverage remains fully valid, aligned with our validated shipping method.
  • Please store the product as per the datasheet instructions upon receipt.

Find out more - https://www.abcam.com/en-us/support/shipping-storage-support/ambient-shipping

Properties and storage information

Form
Liquid
Purification technique
Affinity purification Protein A
Storage buffer
pH: 7.2 - 7.4 Preservative: 0.01% Sodium azide Constituents: PBS, 40% Glycerol (glycerin, glycerine), 0.05% BSA
Shipped at conditions
Conditional Ambient
Appropriate short-term storage duration
1-2 weeks
Appropriate short-term storage conditions
+4°C
Appropriate long-term storage conditions
-20°C
Aliquoting information
Upon delivery aliquot
Storage information
Avoid freeze / thaw cycle

Supplementary information

This supplementary information is collated from multiple sources and compiled automatically.

Synapsin I also known as SYN1 plays an important role in synaptic function. It is a phosphoprotein with a molecular mass of approximately 78 kDa. Synapsin I is expressed mainly in the neurons of the central nervous system (CNS). It binds to synaptic vesicles and actin cytoskeleton which suggests that it functions in modulating neurotransmitter release at the presynaptic terminals. This modulation occurs as synapsin I undergoes phosphorylation which is critical for its activity.
Biological function summary

Synapsin I influences synaptic plasticity and is part of the synaptic vesicle trafficking complex. In its dephosphorylated state Synapsin I associates with synaptic vesicles anchoring them to the actin cytoskeleton. Upon phosphorylation Synapsin I changes conformation causing vesicles to mobilize. This activity supports the modulation of neurotransmitter release impacting learning and memory functions.

Pathways

Synapsin I participates significantly in the neurotransmitter release cycle and synaptic vesicle trafficking pathway. Protein kinase A (PKA) and Ca2+/calmodulin-dependent protein kinase II (CaMKII) regulate its phosphorylation affecting how Synapsin I contributes to vesicle release. The phosphorylation of Synapsin I at sites such as serine 9 enables its interaction with other proteins like actin and spectrin facilitating vesicle movement.

Altered Synapsin I expression associates with neurological conditions like epilepsy and schizophrenia. In epilepsy dysregulation of Synapsin I phosphorylation processes can result in imbalanced neurotransmitter release potentially leading to seizures. Its connection to schizophrenia involves changes in synaptic plasticity which neurotransmitter systems such as dopamine and related proteins like alpha-synuclein also influence. Understanding these interactions can aid in developing therapeutic strategies.

Product protocols

For this product, it's our understanding that no specific protocols are required. You can visit:

Target data

Neuronal phosphoprotein that coats synaptic vesicles, and binds to the cytoskeleton. Acts as a regulator of synaptic vesicles trafficking, involved in the control of neurotransmitter release at the pre-synaptic terminal (PubMed : 21441247, PubMed : 23406870). Also involved in the regulation of axon outgrowth and synaptogenesis (By similarity). The complex formed with NOS1 and CAPON proteins is necessary for specific nitric-oxid functions at a presynaptic level (By similarity).
See full target information SYN1

Publications (48)

Recent publications for all applications. Explore the full list and refine your search

Brain sciences 15: PubMed40867169

2025

Contralateral Structure and Molecular Response to Severe Unilateral Brain Injury.

Applications

Unspecified application

Species

Unspecified reactive species

Xixian Liao,Xiaojian Xu,Ming Li,Runfa Tian,Yuan Zhuang,Guoyi Gao

iScience 28:112302 PubMed40641552

2025

Humanized mouse model reveals T cell ANXA2 as a potential therapeutic target in ischemic stroke.

Applications

Unspecified application

Species

Unspecified reactive species

Tianyuan Zhang,Xiaojuan Zheng,Aijun Lu,Shuyuan Li,Keshen Li,Xiaoxiong Huang,Yanfang Liu,Wei Chen,Shengming Huang,Niu He,Chi Kwan Tsang,Hongcheng Mai,Anding Xu,Dan Lu

Journal of neurodevelopmental disorders 17:36 PubMed40604385

2025

Novel ANKRD17 variants implicate synaptic and mitochondrial disruptions in intellectual disability and autism spectrum disorder.

Applications

Unspecified application

Species

Unspecified reactive species

Dan Xia,Yuanyuan Xu,Zhanwen He,Rui Chen,Xiaoqin Xiao,Xiaojuan Li,Kewen Deng,Shuyun Deng,Lina Zhang,Jieming Zhang,Xiaofang Peng,Zhe Meng,Ruohao Wu,Dilong Wang,Zulin Liu,Hui Chen,Lu Li,Liyang Liang

Neurochemical research 50:219 PubMed40587030

2025

Propofol Modulates Microglial Glucose Metabolism Via the AMPK/HIF-1α Signaling Pathway To Ameliorate ECS-induced Cognitive Deficits in Depressive-like Rats.

Applications

Unspecified application

Species

Unspecified reactive species

Mou Zou,Su Min,Ruiyang Hong,Jia Huang,Dongyu Zhou,Yun Liang

Communications biology 8:916 PubMed40527961

2025

Drug treatment alters performance in a neural microphysiological system of information processing.

Applications

Unspecified application

Species

Unspecified reactive species

Bradley Watmuff,Forough Habibollahi,Candice Desouza,Moein Khajehnejad,Alon Loeffler,Koby Baranes,Noah Poulin,Mark Kotter,Brett J Kagan

Acta neuropathologica communications 13:112 PubMed40410917

2025

Experimental evidence that readily diffusible forms of Aβ from Alzheimer's disease brain have seeding activity.

Applications

Unspecified application

Species

Unspecified reactive species

Simin Song,Qianmin Liu,Ruixiang Chen,Ping Chen,Min Tao,Siyao Li,Liping Guo,Xixi Zhu,Yan Liu,Lu Liu,Hiroki Sasaguri,Takashi Saito,Takaomi C Saido,Dominic M Walsh,Zhangjin Zhang,Wei Hong

Acta neuropathologica communications 13:86 PubMed40307956

2025

Prion replication in organotypic brain slice cultures is distinct from in vivo inoculation and is species dependent.

Applications

Unspecified application

Species

Unspecified reactive species

Jessy A Slota,Lise Lamoureux,Jennifer Myskiw,Kathy L Frost,Sarah J Medina,Dominic M S Kielich,Melanie Leonhardt,Gunjan Thapar,Ben A Bailey-Elkin,Stephanie A Booth

Pharmaceuticals (Basel, Switzerland) 18: PubMed40283892

2025

Hypidone Hydrochloride (YL-0919), a Sigma-1 Receptor Agonist, Improves Attention by Increasing BDNF in mPFC.

Applications

Unspecified application

Species

Unspecified reactive species

Yixin Yang,Yue Zhang,Xiaojuan Hou,Hailong Li,Hui Ma,Yunfeng Li

Alzheimer's & dementia : the journal of the Alzheimer's Association 21:e70093 PubMed40271543

2025

Developmental deletion of amyloid precursor protein precludes transcriptional and proteomic responses to brain injury.

Applications

Unspecified application

Species

Unspecified reactive species

Valentina Lacovich,Maria Čarna,Sebastian J Novotný,Shanshan Wang,Kateřina Texlová,Kristina Locker Kovačovicova,Neda Dragišić,Daniel Havas,Brian P Head,Yonas E Geda,Clara Limbäck-Stokin,Gorazd Bernard Stokin

Actas espanolas de psiquiatria 53:253-266 PubMed40071366

2025

Establishing a Mouse Model of NL3R617W-Associated Autism Spectrum Disorder for a Functional Study.

Applications

Unspecified application

Species

Unspecified reactive species

Wei Gao,Qiao Cai,Xiaoming Ying,Bei Zhao
View all publications

Product promise

We are committed to supporting your work with high-quality reagents, and we're here for you every step of the way. In the unlikely event that one of our products does not perform as expected, you're protected by our Product Promise.
For full details, please see our Terms & Conditions

Please note: All products are 'FOR RESEARCH USE ONLY. NOT FOR USE IN DIAGNOSTIC OR THERAPEUTIC PROCEDURES'.

For licensing inquiries, please contact partnerships@abcam.com