JavaScript is disabled in your browser. Please enable JavaScript to view this website.
AB302705

Anti-Synaptogyrin 3 antibody [EPR25082-29] (BSA and Azide free)

Be the first to review this product! Submit a review

|

(0 Publication)

Rabbit Recombinant Monoclonal Synaptogyrin 3 antibody. Carrier free. Suitable for IHC-P, WB and reacts with Human samples.

View Alternative Names

Synaptogyrin-3, SYNGR3

6 Images
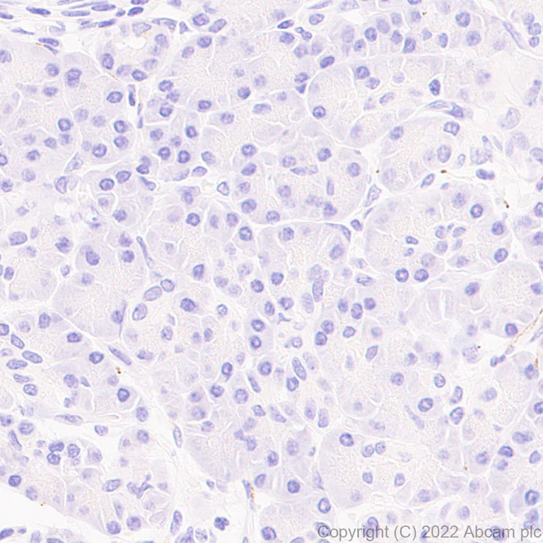
Immunohistochemistry (Formalin/PFA-fixed paraffin-embedded sections) - Anti-Synaptogyrin 3 antibody [EPR25082-29] (BSA and Azide free) (AB302705)
  • IHC-P

Supplier Data

Immunohistochemistry (Formalin/PFA-fixed paraffin-embedded sections) - Anti-Synaptogyrin 3 antibody [EPR25082-29] (BSA and Azide free) (AB302705)

This data was developed using ab302704, the same antibody clone in a different buffer formulation. Immunohistochemical analysis of paraffin-embedded Human pancreas tissue labeling Synaptogyrin 3 with ab302704 at 1/2000 (0.246 ug/ml) followed by a ready to use LeicaDS9800 (Bond™ Polymer Refine Detection) was used. Negative control : No staining on acinar cells in human pancreas (PMID : 9760194). The section was incubated with ab302704 for 30 mins at room temperature.The immunostaining was performed on a Leica Biosystems BOND® RX instrument Counterstained with Hematoxylin. Secondary antibody only control : Secondary antibody is a ready to use LeicaDS9800 (Bond™ Polymer Refine Detection) was used. Heat mediated antigen retrieval with Tris-EDTA buffer (pH 9.0, epitope retrieval solution2) for 20 mins

Immunohistochemistry (Formalin/PFA-fixed paraffin-embedded sections) - Anti-Synaptogyrin 3 antibody [EPR25082-29] (BSA and Azide free) (AB302705)
  • IHC-P

Supplier Data

Immunohistochemistry (Formalin/PFA-fixed paraffin-embedded sections) - Anti-Synaptogyrin 3 antibody [EPR25082-29] (BSA and Azide free) (AB302705)

This data was developed using ab302704, the same antibody clone in a different buffer formulation. Immunohistochemical analysis of paraffin-embedded Human hypothalamus tissue labeling Synaptogyrin 3 with ab302704 at 1/2000 (0.246 ug/ml) followed by a ready to use LeicaDS9800 (Bond™ Polymer Refine Detection) was used. Positive staining on human hypothalamus. The section was incubated with ab302704 for 30 mins at room temperature.The immunostaining was performed on a Leica Biosystems BOND® RX instrument Counterstained with Hematoxylin. Secondary antibody only control : Secondary antibody is a ready to use LeicaDS9800 (Bond™ Polymer Refine Detection) was used. Heat mediated antigen retrieval with Tris-EDTA buffer (pH 9.0, epitope retrieval solution2) for 20 mins

Immunohistochemistry (Formalin/PFA-fixed paraffin-embedded sections) - Anti-Synaptogyrin 3 antibody [EPR25082-29] (BSA and Azide free) (AB302705)
  • IHC-P

Supplier Data

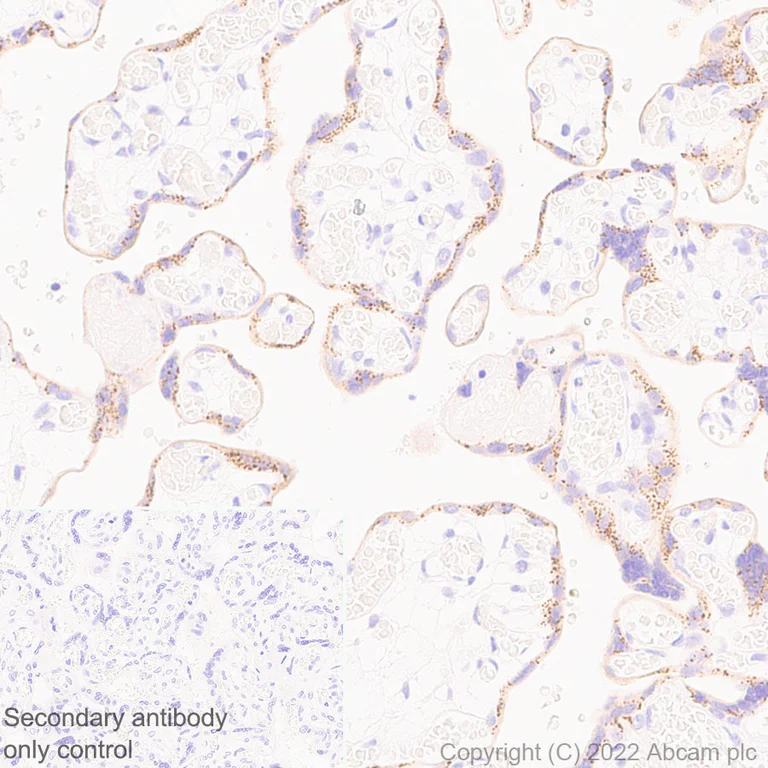
Immunohistochemistry (Formalin/PFA-fixed paraffin-embedded sections) - Anti-Synaptogyrin 3 antibody [EPR25082-29] (BSA and Azide free) (AB302705)

This data was developed using ab302704, the same antibody clone in a different buffer formulation. Immunohistochemical analysis of paraffin-embedded Human placenta tissue labeling Synaptogyrin 3 with ab302704 at 1/2000 (0.246 ug/ml) followed by a ready to use LeicaDS9800 (Bond™ Polymer Refine Detection) was used. Positive staining on human placenta (PMID : 9760194). The section was incubated with ab302704 for 30 mins at room temperature.The immunostaining was performed on a Leica Biosystems BOND® RX instrument Counterstained with Hematoxylin. Secondary antibody only control : Secondary antibody is a ready to use LeicaDS9800 (Bond™ Polymer Refine Detection) was used. Heat mediated antigen retrieval with Tris-EDTA buffer (pH 9.0, epitope retrieval solution2) for 20 mins

Immunohistochemistry (Formalin/PFA-fixed paraffin-embedded sections) - Anti-Synaptogyrin 3 antibody [EPR25082-29] (BSA and Azide free) (AB302705)
  • IHC-P

Supplier Data

Immunohistochemistry (Formalin/PFA-fixed paraffin-embedded sections) - Anti-Synaptogyrin 3 antibody [EPR25082-29] (BSA and Azide free) (AB302705)

This data was developed using ab302704, the same antibody clone in a different buffer formulation. Immunohistochemical analysis of paraffin-embedded Human cerebrum tissue labeling Synaptogyrin 3 with ab302704 at 1/2000 (0.246 ug/ml) followed by a ready to use LeicaDS9800 (Bond™ Polymer Refine Detection) was used. Positive staining on human cerebrum (PMID : 9760194). The section was incubated with ab302704 for 30 mins at room temperature.The immunostaining was performed on a Leica Biosystems BOND® RX instrument Counterstained with Hematoxylin. Secondary antibody only control : Secondary antibody is a ready to use LeicaDS9800 (Bond™ Polymer Refine Detection) was used. Heat mediated antigen retrieval with Tris-EDTA buffer (pH 9.0, epitope retrieval solution2) for 20 mins

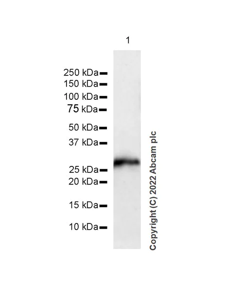
Western blot - Anti-Synaptogyrin 3 antibody [EPR25082-29] (BSA and Azide free) (AB302705)
  • WB

Supplier Data

Western blot - Anti-Synaptogyrin 3 antibody [EPR25082-29] (BSA and Azide free) (AB302705)

This data was developed using ab302704, the same antibody clone in a different buffer Blocking and diluting buffer and concentration : 5% NFDM/TBST Exposure time : 103 seconds

All lanes:

Western blot - Anti-Synaptogyrin 3 antibody [EPR25082-29] (<a href='/en-us/products/primary-antibodies/synaptogyrin-3-antibody-epr25082-29-ab302704'>ab302704</a>) at 1/1000 dilution

All lanes:

Human hypothalamus tissue lysate 50 µg

Secondary

All lanes:

Goat Anti-Rabbit IgG (HRP) with minimal cross-reactivity with human IgG at 1/1000 dilution

Observed band size: 26 kDa

false

Exposure time: 103s

Western blot - Anti-Synaptogyrin 3 antibody [EPR25082-29] (BSA and Azide free) (AB302705)
  • WB

Supplier Data

Western blot - Anti-Synaptogyrin 3 antibody [EPR25082-29] (BSA and Azide free) (AB302705)

This data was developed using ab302704, the same antibody clone in a different buffer Blocking and diluting buffer and concentration : 5% NFDM/TBST Negative control : pancreas (Database : HPA, the human protein atlas) Exposure time : 37 seconds

All lanes:

Western blot - Anti-Synaptogyrin 3 antibody [EPR25082-29] (<a href='/en-us/products/primary-antibodies/synaptogyrin-3-antibody-epr25082-29-ab302704'>ab302704</a>) at 1/1000 dilution

Lane 1:

Human eyeball tissue lysate 50 µg

Lane 2:

Human pancreas tissue lysate 50 µg

Secondary

All lanes:

Goat Anti-Rabbit IgG (HRP) with minimal cross-reactivity with human IgG at 1/1000 dilution

Observed band size: 26 kDa

false

Exposure time: 37s

Key facts

Host species

Rabbit

Clonality

Monoclonal

Clone number

EPR25082-29

Isotype

IgG

Carrier free

Yes

Reacts with

Human

Applications

IHC-P, WB

applications

Immunogen

The exact immunogen used to generate this antibody is proprietary information.

Reactivity data

{ "title": "Reactivity Data", "filters": { "stats": ["", "Species", "Dilution Info", "Notes"], "tabs": { "all-applications": {"fullname" : "All Applications", "shortname": "All Applications"}, "IP" : {"fullname" : "Immunoprecipitation", "shortname":"IP"}, "FlowCytIntra" : {"fullname" : "Flow Cytometry (Intracellular)", "shortname":"Flow Cyt (Intra)"}, "ICCIF" : {"fullname" : "Immunocytochemistry/ Immunofluorescence", "shortname":"ICC/IF"}, "IHCP" : {"fullname" : "Immunohistochemistry (Formalin/PFA-fixed paraffin-embedded sections)", "shortname":"IHC-P"}, "WB" : {"fullname" : "Western blot", "shortname":"WB"} }, "product-promise": { "all": "all", "testedAndGuaranteed": "tested", "guaranteed": "expected", "predicted": "predicted", "notRecommended": "not-recommended" } }, "values": { "Human": { "IP-species-checked": "notRecommended", "IP-species-dilution-info": "", "IP-species-notes": "<p></p>", "FlowCytIntra-species-checked": "notRecommended", "FlowCytIntra-species-dilution-info": "", "FlowCytIntra-species-notes": "<p></p>", "ICCIF-species-checked": "notRecommended", "ICCIF-species-dilution-info": "", "ICCIF-species-notes": "<p></p>", "IHCP-species-checked": "testedAndGuaranteed", "IHCP-species-dilution-info": "", "IHCP-species-notes": "<p></p>", "WB-species-checked": "testedAndGuaranteed", "WB-species-dilution-info": "", "WB-species-notes": "<p></p>" }, "Mouse": { "IP-species-checked": "notRecommended", "IP-species-dilution-info": "", "IP-species-notes": "<p></p>", "FlowCytIntra-species-checked": "notRecommended", "FlowCytIntra-species-dilution-info": "", "FlowCytIntra-species-notes": "", "ICCIF-species-checked": "notRecommended", "ICCIF-species-dilution-info": "", "ICCIF-species-notes": "<p></p>", "IHCP-species-checked": "notRecommended", "IHCP-species-dilution-info": "", "IHCP-species-notes": "<p></p>", "WB-species-checked": "notRecommended", "WB-species-dilution-info": "", "WB-species-notes": "<p></p>" }, "Rat": { "IP-species-checked": "notRecommended", "IP-species-dilution-info": "", "IP-species-notes": "", "FlowCytIntra-species-checked": "notRecommended", "FlowCytIntra-species-dilution-info": "", "FlowCytIntra-species-notes": "", "ICCIF-species-checked": "notRecommended", "ICCIF-species-dilution-info": "", "ICCIF-species-notes": "<p></p>", "IHCP-species-checked": "notRecommended", "IHCP-species-dilution-info": "", "IHCP-species-notes": "<p></p>", "WB-species-checked": "notRecommended", "WB-species-dilution-info": "", "WB-species-notes": "<p></p>" } } }

Product details

Want a custom formulation?
This antibody clone is manufactured by Abcam. If you require a custom buffer formulation or conjugation for your experiments, please contact orders@abcam.com

Patented technology
Our RabMAb® technology is a patented hybridoma-based technology for making rabbit monoclonal antibodies. For details on our patents, please refer to RabMAb® patents.

Conjugation ready
Our carrier-free antibodies are typically supplied in a PBS-only formulation, purified and free of BSA, sodium azide and glycerol. This conjugation-ready format is designed for use with fluorochromes, metal isotopes, oligonucleotides, and enzymes, which makes them ideal for antibody labelling, functional and cell-based assays, flow-based assays (e.g. mass cytometry) and Multiplex Imaging applications.

Use our conjugation kits for antibody conjugates that are ready-to-use in as little as 20 minutes with 1 minute hands-on-time and 100% antibody recovery: available for fluorescent dyes, HRP, biotin and gold.

What are the advantages of a recombinant monoclonal antibody?
This product is a recombinant monoclonal antibody, which offers several advantages including:

  • - High batch-to-batch consistency and reproducibility
  • - Improved sensitivity and specificity
  • - Long-term security of supply
  • - Animal-free batch production

For more information, read more on recombinant antibodies.

Properties and storage information

Form
Liquid
Purification technique
Affinity purification Protein A
Storage buffer
pH: 7.2 - 7.4 Constituents: PBS
Shipped at conditions
Blue Ice
Appropriate short-term storage conditions
+4°C
Appropriate long-term storage conditions
+4°C
Storage information
Do Not Freeze

Supplementary information

This supplementary information is collated from multiple sources and compiled automatically.

Synaptogyrin 3 also known as SYNGR3 functions as a component of vesicular transport within the synaptic terminals. With a molecular mass of approximately 25 kDa this protein localizes mainly in the brain prominently within the presynaptic nerve terminals. It plays a role in neurotransmitter release by being involved in modulating synaptic vesicle exocytosis. SYNGR3 shares structural characteristics with other members of the synaptogyrin family marked by its transmembrane domains.
Biological function summary

SYNGR3 influences synaptic plasticity and neurotransmission efficiency. This protein acts in conjunction with synaptophysin part of a larger complex that regulates vesicle biogenesis and release dynamics. Its presence contributes to sustaining long-term potentiation and synaptic integrity rendering it important for memory and learning processes. Its activity is essential in maintaining effective communication between neurons across the synapses.

Pathways

SYNGR3 plays a significant role in the synaptic vesicle cycle pathway. This pathway involves recycling and mobilization of synaptic vesicles interacting with proteins such as synaptotagmin and VAMP2. Another key interaction involves the SNARE complex which is important for vesicle fusion and subsequent neurotransmitter release. SYNGR3 aids in aligning vesicles for efficient fusion impacting neuronal signaling pathways.

Dysfunction in SYNGR3 relates to neurological conditions such as schizophrenia and Alzheimer's disease. Abnormalities in SYNGR3 expression or function may disrupt synaptic transmission contributing to cognitive deficits seen in these disorders. There is also a connection between SYNGR3 and amyloid precursor protein (APP) suggesting disruptions in their interactions might exacerbate neurodegenerative processes. Understanding SYNGR3's role may provide insight into potential therapeutic targets for these conditions.

Product protocols

For this product, it's our understanding that no specific protocols are required. You can visit:

Target data

May play a role in regulated exocytosis. May indirectly regulate the activity of the plasma membrane dopamine transporter SLC6A3 and thereby regulate dopamine transport back from the synaptic cleft into the presynaptic terminal.
See full target information SYNGR3

Product promise

We are committed to supporting your work with high-quality reagents, and we're here for you every step of the way. In the unlikely event that one of our products does not perform as expected, you're protected by our Product Promise.
For full details, please see our Terms & Conditions

Please note: All products are 'FOR RESEARCH USE ONLY. NOT FOR USE IN DIAGNOSTIC OR THERAPEUTIC PROCEDURES'.

For licensing inquiries, please contact partnerships@abcam.com