JavaScript is disabled in your browser. Please enable JavaScript to view this website.
AB187259

Anti-Synaptophysin antibody [YE269] - BSA and Azide free

  • BOND RX™ Validated
  • RabMAb
  • Recombinant
  • KO Validated
  • What is this?

Be the first to review this product! Submit a review

|

(11 Publications)

Rabbit Recombinant Monoclonal Synaptophysin antibody. Carrier free. Suitable for IHC-P, ICC/IF, WB and reacts with Mouse, Rat, Human samples. Cited in 11 publications.

View Alternative Names

Synaptophysin, Major synaptic vesicle protein p38, SYP

16 Images
Immunohistochemistry (Formalin/PFA-fixed paraffin-embedded sections) - Anti-Synaptophysin antibody [YE269] - BSA and Azide free (AB187259)
  • IHC-P

Lab

Immunohistochemistry (Formalin/PFA-fixed paraffin-embedded sections) - Anti-Synaptophysin antibody [YE269] - BSA and Azide free (AB187259)

This data was produced using the same antibody clone but in a different formulation containing PBS, sodium azide, glycerol and BSA (ab32127).

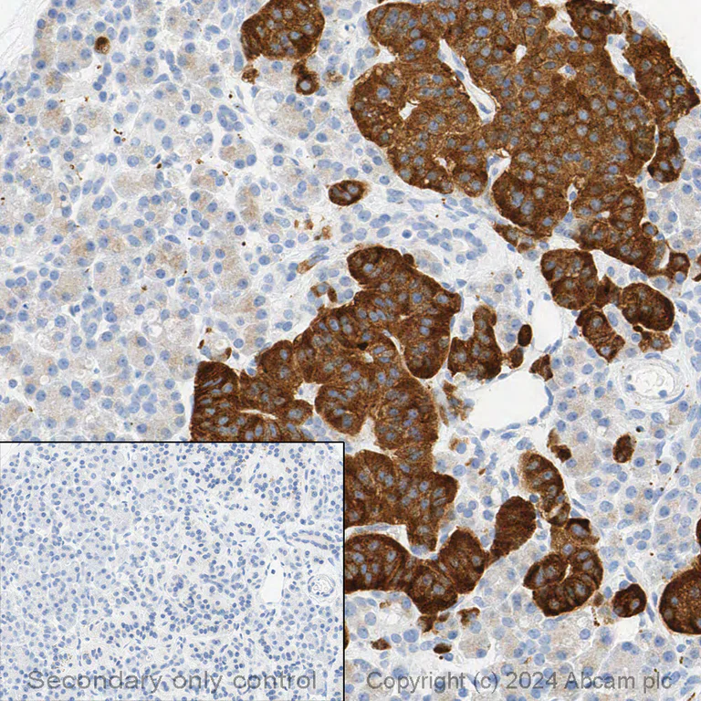
Immunohistochemical analysis of formalin fixed paraffin embedded human pancreas labelling synaptophysin with ab32127 at a concentration of 1 µg/ml. The immunostaining was performed on a Ventana DISCOVERY ULTRA (Roche Tissue Diagnostics) instrument with a OptiView DAB IHC Detection Kit. Heat mediated antigen retrieval was performed with DISCOVERY cell conditioning solution (CC1) 100°C, pH8.5 for 32mins.

ab32127 Anti-Synaptophysin antibody [YE269] was incubated for 16mins at 37°C. Sections were counterstained with Hematoxylin II. Image inset shows absence of staining in secondary antibody only control.

Customers are encouraged to optimise antigen retrieval conditions, antibody concentration, incubation times and temperature for best results in their own IHC assay workflow (automated and manual)

Immunohistochemistry (Formalin/PFA-fixed paraffin-embedded sections) - Anti-Synaptophysin antibody [YE269] - BSA and Azide free (AB187259)
  • IHC-P

Lab

Immunohistochemistry (Formalin/PFA-fixed paraffin-embedded sections) - Anti-Synaptophysin antibody [YE269] - BSA and Azide free (AB187259)

This data was developed using ab32127, the same antibody clone in a different buffer formulation.

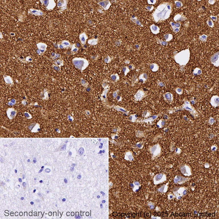
Immunohistochemical analysis of paraffin-embedded human Alzheimer's brain tissue* labelling SYP with ab32127 at 1ug/ml followed by a ready to use LeicaDS9800 (Bond Polymer Refine Detection).

Positive staining in human Alzheimer's brain.

The section was incubated with ab32127 for 30 mins at room temperature. The immunostaining was performed on a Leica Biosystems BOND® RX instrument. Counterstained with Hematoxylin.

Secondary antibody only control : Secondary antibody is a ready to use LeicaDS9800 (Bond Polymer Refine Detection).

Heat mediated antigen retrieval with sodium citrate buffer (pH 6.0 epitope retrieval solution1) for 20 mins.

*Tissue obtained from the Human Research Tissue Bank, supported by the NIHR Cambridge Biomedical Research Centre.

Immunocytochemistry/ Immunofluorescence - Anti-Synaptophysin antibody [YE269] - BSA and Azide free (AB187259)
  • ICC/IF

Unknown

Immunocytochemistry/ Immunofluorescence - Anti-Synaptophysin antibody [YE269] - BSA and Azide free (AB187259)

Clone YE269 (ab187259) has been successfully conjugated by Abcam. This image was generated using Anti-Synaptophysin antibody [YE269] (Alexa Fluor® 647). Please refer to ab196166 for protocol details.

ab196166 staining Synaptophysin in NGF-differentiated PC-12 cells. The cells were fixed with 100% methanol (5 min), permeabilised in 0.1% Triton X-100 for 5 minutes and then blocked in 1% BSA/10% normal goat serum/0.3M glycine in 0.1% PBS-Tween for 1h. The cells were then incubated with ab196166 at 1/100 dilution (shown in red) and ab195887, Mouse monoclonal [DM1A] to alpha Tubulin (Alexa Fluor® 488, shown in green) at 1/167 dilution overnight at +4°C. Nuclear DNA was labelled in blue with DAPI.

This product gave a positive signal in 5% formaldehyde (10 min) fixed NGF-differentiated PC-12 cells under the same testing conditions.

Image was taken with a confocal microscope (Leica-Microsystems, TCS SP8).

Immunocytochemistry/ Immunofluorescence - Anti-Synaptophysin antibody [YE269] - BSA and Azide free (AB187259)
  • ICC/IF

Unknown

Immunocytochemistry/ Immunofluorescence - Anti-Synaptophysin antibody [YE269] - BSA and Azide free (AB187259)

Clone YE269 (ab187259) has been successfully conjugated by Abcam. This image was generated using Anti-Synaptophysin antibody [YE269] (Alexa Fluor® 488). Please refer to ab196379 for protocol details.

ab196379 staining Synaptophysin in NGF-differentiated PC-12 cells. The cells were fixed with 100% methanol (5 min), permeabilised in 0.1% Triton X-100 for 5 minutes and then blocked in 1% BSA/10% normal goat serum/0.3M glycine in 0.1%PBS-Tween for 1h. The cells were then incubated with ab196379 at 1/100 dilution (shown in green) and ab195889, Mouse monoclonal [DM1A] to alpha Tubulin (Alexa Fluor® 594, shown in red) at 1/167 dilution overnight at +4°C. Nuclear DNA was labelled in blue with DAPI.

Image was taken with a confocal microscope (Leica-Microsystems, TCS SP8).

Western blot - Anti-Synaptophysin antibody [YE269] - BSA and Azide free (AB187259)
  • WB

Lab

Western blot - Anti-Synaptophysin antibody [YE269] - BSA and Azide free (AB187259)

This data was developed using the same antibody clone in a different buffer formulation (ab32127).

Lanes 1-3 : Merged signal (red and green). Green - ab32127 observed at 38 kDa. Red - loading control, ab7291 observed at 50 kDa.

ab32127 Anti-Synaptophysin antibody [YE269] was shown to specifically react with Synaptophysin in wild-type HEK293T cells. Loss of signal was observed when knockout cell line ab267272 (knockout cell lysate ab257060) was used. Wild-type and Synaptophysin knockout samples were subjected to SDS-PAGE. ab32127 and Anti-alpha Tubulin antibody [DM1A] - Loading Control (ab7291) were incubated overnight at 4°C at 1 in 1000 dilution and 1 in 20000 dilution respectively. Blots were developed with Goat anti- Rabbit IgG H&L (IRDye® 800CW) preadsorbed (ab216773) and Goat anti- Mouse IgG H&L (IRDye® 680RD) preadsorbed (ab216776) secondary antibodies at 1 in 10000 dilution for 1 hour at room temperature before imaging.

All lanes:

Western blot - Anti-Synaptophysin antibody [YE269] - Synaptic Marker (<a href='/en-us/products/primary-antibodies/synaptophysin-antibody-ye269-synaptic-marker-ab32127'>ab32127</a>) at 1/1000 dilution

Lane 1:

Wild-type HEK-293T cell lysate at 20 µg

Lane 2:

SYP knockout HEK-293T cell lysate at 20 µg

Lane 2:

Western blot - Human SYP (Synaptophysin) knockout HEK-293T cell line (<a href='/en-us/products/cell-lines/human-syp-synaptophysin-knockout-hek-293t-cell-line-ab267272'>ab267272</a>)

Lane 3:

Human brain tissue lysate

Predicted band size: 33 kDa

Observed band size: 38 kDa

false

Immunocytochemistry/ Immunofluorescence - Anti-Synaptophysin antibody [YE269] - BSA and Azide free (AB187259)
  • ICC/IF

Lab

Immunocytochemistry/ Immunofluorescence - Anti-Synaptophysin antibody [YE269] - BSA and Azide free (AB187259)

This data was developed using the same antibody clone in a different buffer formulation containing PBS and sodium azide (ab32127)

ab32127 staining Synaptophysin in primary hippocampal rat neurons/glia, (obtained from Neuromics, cat. no. PC35101), DIV14. The cells were fixed with 100% methanol (5 min), permeabilized with 0.1% PBS-Tween for 5 minutes and then blocked with 1% BSA/10% normal goat serum/0.3M glycine in 0.1%PBS-Tween for 1h. The cells were then incubated overnight at 4°C with ab32127 at 0.1?g/ml and ab192757, Mouse mono Anti-PSD95 antibody [K28/43] - Synaptic Marker. Cells were then incubated with ab150081, Goat polyclonal Secondary Antibody to Rabbit IgG - H&L (Alexa Fluor® 488), pre-adsorbed at 1/1000 dilution (shown in green) and ab150120, Goat polyclonal Secondary Antibody to Mouse IgG - H&L (Alexa Fluor® 594), pre-adsorbed at 1/1000 dilution (shown in pseudocolour red). Nuclear DNA was labelled with DAPI (shown in blue).

Also suitable in cells fixed with 4% paraformaldehyde (10 min).

Image was acquired with a high-content analyser (Operetta CLS, Perkin Elmer) and a maximum intensity projection of confocal sections is shown.

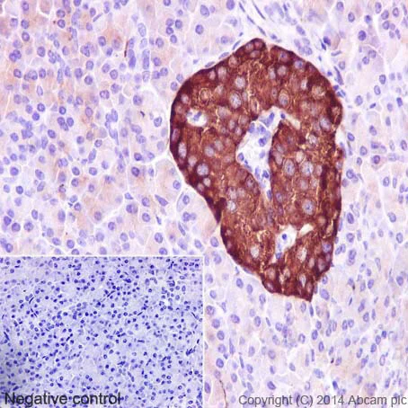
Immunohistochemistry (Formalin/PFA-fixed paraffin-embedded sections) - Anti-Synaptophysin antibody [YE269] - BSA and Azide free (AB187259)
  • IHC-P

Supplier Data

Immunohistochemistry (Formalin/PFA-fixed paraffin-embedded sections) - Anti-Synaptophysin antibody [YE269] - BSA and Azide free (AB187259)

Immunohistochemical staining of paraffin embedded human pancreas with purified ab32127 at a dilution of 1/400.

A pre-diluted HRP polymer for rabbit/mouse IgG was used as the secondary antibody and the sample was counterstained with hematoxylin. Antigen retrieval was perfomed using Tris-EDTA buffer, pH 9.0.

PBS was used instead of the primary antibody as the negative control, and is shown in the inset.

This data was developed using the same antibody clone in a different buffer formulation containing PBS, BSA, glycerol, and sodium azide (ab32127).

Immunocytochemistry/ Immunofluorescence - Anti-Synaptophysin antibody [YE269] - BSA and Azide free (AB187259)
  • ICC/IF

Lab

Immunocytochemistry/ Immunofluorescence - Anti-Synaptophysin antibody [YE269] - BSA and Azide free (AB187259)

This data was developed using the same antibody clone in a different buffer formulation containing PBS and sodium azide (ab32127).

ab32127 staining Synaptophysin in primary mouse neurons/glia, DIV14 (prepared from E18 mouse hippocampal brain area, obtained from Transnetyx Tissue by BrainBits, LLC, cat.no. C57EHP) cells. The cells were fixed with 4% paraformaldehyde (10 min), permeabilized with 0.1% PBS-Tween for 5 minutes and then blocked with 1% BSA/10% normal goat serum/0.3M glycine in 0.1%PBS-Tween for 1h. The cells were then incubated overnight at 4°C with ab32127 at 0.1µg/ml and ab192757, Mouse mono Anti-PSD95 antibody [K28/43] - Synaptic Marker. Cells were then incubated with ab150081, Goat polyclonal Secondary Antibody to Rabbit IgG - H&L (Alexa Fluor® 488), pre-adsorbed at 1/1000 dilution (shown in green) and ab150120, Goat polyclonal Secondary Antibody to Mouse IgG - H&L (Alexa Fluor® 594), pre-adsorbed at 1/1000 dilution (shown in pseudocolour red). Nuclear DNA was labelled with DAPI (shown in blue).

Also suitable in cells fixed with 100% methanol (5 min).

Image was acquired with a high-content analyser (Operetta CLS, Perkin Elmer) and a maximum intensity projection of confocal sections is shown.

Immunohistochemistry (Formalin/PFA-fixed paraffin-embedded sections) - Anti-Synaptophysin antibody [YE269] - BSA and Azide free (AB187259)
  • IHC-P

Unknown

Immunohistochemistry (Formalin/PFA-fixed paraffin-embedded sections) - Anti-Synaptophysin antibody [YE269] - BSA and Azide free (AB187259)

This IHC data was generated using the same anti-Synaptophysin antibody clone, YE269, in a different buffer formulation (cat# ab32127).

Unpurified ab32127 showing positive staining in Medulloblastoma tissue.

Perform heat mediated antigen retrieval before commencing with IHC staining protocol.

Immunohistochemistry (Formalin/PFA-fixed paraffin-embedded sections) - Anti-Synaptophysin antibody [YE269] - BSA and Azide free (AB187259)
  • IHC-P

Unknown

Immunohistochemistry (Formalin/PFA-fixed paraffin-embedded sections) - Anti-Synaptophysin antibody [YE269] - BSA and Azide free (AB187259)

Unpurified ab32127 showing positive staining in lung neuroendocrine tumor tissue.

This data was developed using the same antibody clone in a different buffer formulation containing PBS, BSA, glycerol, and sodium azide (ab32127).

Perform heat mediated antigen retrieval before commencing with IHC staining protocol.

Immunocytochemistry/ Immunofluorescence - Anti-Synaptophysin antibody [YE269] - BSA and Azide free (AB187259)
  • ICC/IF

Unknown

Immunocytochemistry/ Immunofluorescence - Anti-Synaptophysin antibody [YE269] - BSA and Azide free (AB187259)

Immunofluorescent staining of PC-12 (rat adrenal gland pheochromocytoma cell line) cells (fixed in 4% PFA, permeabilized with 0.1% Triton X 100) using purified ab32127 at a dilution of 1/50.

An Alexa Fluor® 488 goat anti-rabbit antibody was used as the secondary at a dilution of 1/500 and the cells were counterstained with DAPI.

The negative control is shown in the bottom right hand panel - for the negative control, Alex Fluor® 594 goat anti-mouse was used at a dilution of 1/500.

This data was developed using the same antibody clone in a different buffer formulation containing PBS, BSA, glycerol, and sodium azide (ab32127).

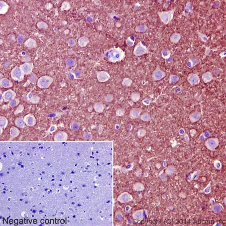
Immunohistochemistry (Formalin/PFA-fixed paraffin-embedded sections) - Anti-Synaptophysin antibody [YE269] - BSA and Azide free (AB187259)
  • IHC-P

Unknown

Immunohistochemistry (Formalin/PFA-fixed paraffin-embedded sections) - Anti-Synaptophysin antibody [YE269] - BSA and Azide free (AB187259)

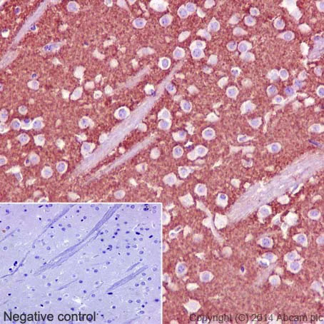
Immunohistochemical staining of paraffin embedded mouse cerebral cortex with purified ab32127 at a dilution of 1/400.

A pre-diluted HRP polymer for rabbit/mouse IgG was used as the secondary antibody and the sample was counterstained with hematoxylin. Antigen retrieval was perfomed using Tris-EDTA buffer, pH 9.0.

PBS was used instead of the primary antibody as the negative control, and is shown in the inset.

This data was developed using the same antibody clone in a different buffer formulation containing PBS, BSA, glycerol, and sodium azide (ab32127).

Immunocytochemistry/ Immunofluorescence - Anti-Synaptophysin antibody [YE269] - BSA and Azide free (AB187259)
  • ICC/IF

AbReview43819****

Immunocytochemistry/ Immunofluorescence - Anti-Synaptophysin antibody [YE269] - BSA and Azide free (AB187259)

ab32127 staining synaptophysin in human iPS cell derived neurons by immunocytochemistry/immmunofluorescence.

Samples were fixed with paraformaldehyde and blocked with 1% serum for 30 minutes at room temperature. Samples were incubated with primary antibody at 1/250 dilution for 1 hour. ab150061 was used as the secondary antibody at 1/250 dilution.

This data was developed using the same antibody clone in a different buffer formulation containing PBS, BSA, glycerol, and sodium azide (ab32127).

This image is courtesy of an anonymous Abreview.

Immunohistochemistry (Formalin/PFA-fixed paraffin-embedded sections) - Anti-Synaptophysin antibody [YE269] - BSA and Azide free (AB187259)
  • IHC-P

Unknown

Immunohistochemistry (Formalin/PFA-fixed paraffin-embedded sections) - Anti-Synaptophysin antibody [YE269] - BSA and Azide free (AB187259)

Immunohistochemical staining of paraffin embedded rat cerebral cortex with purified ab32127 at a dilution of 1/400.

A pre-diluted HRP polymer for rabbit/mouse IgG was used as the secondary antibody and the sample was counterstained with hematoxylin. Antigen retrieval was perfomed using Tris-EDTA buffer, pH 9.0.

PBS was used instead of the primary antibody as the negative control, and is shown in the inset.

This data was developed using the same antibody clone in a different buffer formulation containing PBS, BSA, glycerol, and sodium azide (ab32127).

Immunocytochemistry/ Immunofluorescence - Anti-Synaptophysin antibody [YE269] - BSA and Azide free (AB187259)
  • ICC/IF

Lab

Immunocytochemistry/ Immunofluorescence - Anti-Synaptophysin antibody [YE269] - BSA and Azide free (AB187259)

Immunocytochemistry/ Immunofluorescence analysis of mouse primary neuron cells labeling Synaptophysin with purified ab32127 at 1/100 (2.7μg/mL). Cells were fixed in 4% paraformaldehyde and permeabilized with 0.1% Triton X-100. Cells were counterstained with ab195889 Anti-alpha Tubulin antibody [DM1A] - Microtubule Marker (Alexa Fluor® 594) 1/200 (2.5 μg/mL). Goat anti rabbit IgG (Alexa Fluor® 488, ab150077) was used as the secondary antibody at 1/1000 (2 μg/mL) dilution. DAPI (blue) was used as nuclear counterstain. PBS instead of the primary antibody was used as the secondary antibody only control.
Confocal scanning Z step was set as 0.3 μm followed by image processing with maximum Z projection.

This data was developed using the same antibody clone in a different buffer formulation containing PBS, BSA, glycerol, and sodium azide (ab32127).

Western blot - Anti-Synaptophysin antibody [YE269] - BSA and Azide free (AB187259)
  • WB

Lab

Western blot - Anti-Synaptophysin antibody [YE269] - BSA and Azide free (AB187259)

This data was developed using the same antibody clone in a different buffer formulation (ab32127).

Lanes 1- 2 : Merged signal (red and green). Green - ab32127 observed at 38 kDa. Red - Anti-GAPDH antibody [6C5] - Loading Control (ab8245) observed at 37 kDa.

ab32127 was shown to react with Syp in wild-type HEK-293T cells in western blot. Loss of signal was observed when knockout cell line ab255356 (knockout cell lysate ab263862) was used. Wild-type HEK-293T and SYP knockout HEK-293T cell lysates were subjected to SDS-PAGE. Membrane was blocked for 1 hour at room temperature in 0.1% TBST with 3% non-fat dried milk. ab32127 and Anti-GAPDH antibody [6C5] - Loading Control (ab8245) overnight at 4°C at a 1 in 1000 dilution and a 1 in 20000 dilution respectively. Blots were developed with Goat anti-Rabbit IgG H&L (IRDye®800CW) preadsorbed (ab216773) and Goat anti-Mouse IgG H&L (IRDye®680RD) preadsorbed (ab216776) secondary antibodies at 1 in 20000 dilution for 1 hour at room temperature before imaging.

All lanes:

Western blot - Anti-Synaptophysin antibody [YE269] - Synaptic Marker (<a href='/en-us/products/primary-antibodies/synaptophysin-antibody-ye269-synaptic-marker-ab32127'>ab32127</a>) at 1/1000 dilution

Lane 1:

Wild-type HEK-293T cell lysate at 20 µg

Lane 2:

SYP knockout HEK-293T cell lysate at 20 µg

Lane 2:

Western blot - Human SYP (Synaptophysin) knockout HEK-293T cell line (<a href='/en-us/products/cell-lines/human-syp-synaptophysin-knockout-hek-293t-cell-line-ab255356'>ab255356</a>)

Predicted band size: 33 kDa

Observed band size: 38 kDa

false

  • Unconjugated

    Anti-Synaptophysin antibody [YE269] - Synaptic Marker

  • 519 Alexa Fluor® 488

    Alexa Fluor® 488 Anti-Synaptophysin antibody [YE269] - Synaptic Marker

  • 617 Alexa Fluor® 594

    Alexa Fluor® 594 Anti-Synaptophysin antibody [YE269] - Synaptic Marker

  • HRP

    HRP Anti-Synaptophysin antibody [YE269] - Synaptic Marker

  • 665 Alexa Fluor® 647

    Alexa Fluor® 647 Anti-Synaptophysin antibody [YE269] - Synaptic Marker

  • 565 Alexa Fluor® 555

    Alexa Fluor® 555 Anti-Synaptophysin antibody [YE269] - Synaptic Marker

Key facts

Host species

Rabbit

Clonality

Monoclonal

Clone number

YE269

Isotype

IgG

Carrier free

Yes

Reacts with

Mouse, Rat, Human

Applications

ICC/IF, WB, IHC-P

applications

Immunogen

The exact immunogen used to generate this antibody is proprietary information.

Reactivity data

{ "title": "Reactivity Data", "filters": { "stats": ["", "Species", "Dilution Info", "Notes"], "tabs": { "all-applications": {"fullname" : "All Applications", "shortname": "All Applications"}, "IHCP" : {"fullname" : "Immunohistochemistry (Formalin/PFA-fixed paraffin-embedded sections)", "shortname":"IHC-P"}, "ICCIF" : {"fullname" : "Immunocytochemistry/ Immunofluorescence", "shortname":"ICC/IF"}, "WB" : {"fullname" : "Western blot", "shortname":"WB"} }, "product-promise": { "all": "all", "testedAndGuaranteed": "tested", "guaranteed": "expected", "predicted": "predicted", "notRecommended": "not-recommended" } }, "values": { "Human": { "IHCP-species-checked": "testedAndGuaranteed", "IHCP-species-dilution-info": "", "IHCP-species-notes": "<p></p>", "ICCIF-species-checked": "guaranteed", "ICCIF-species-dilution-info": "", "ICCIF-species-notes": "", "WB-species-checked": "testedAndGuaranteed", "WB-species-dilution-info": "", "WB-species-notes": "<p>Can be blocked with Synaptophysin peptide (<a href='/en-us/products/proteins-peptides/synaptophysin-peptide-ab189853'>ab189853</a>).</p>" }, "Mouse": { "IHCP-species-checked": "testedAndGuaranteed", "IHCP-species-dilution-info": "", "IHCP-species-notes": "<p></p>", "ICCIF-species-checked": "testedAndGuaranteed", "ICCIF-species-dilution-info": "", "ICCIF-species-notes": "<p></p>", "WB-species-checked": "testedAndGuaranteed", "WB-species-dilution-info": "", "WB-species-notes": "<p>Can be blocked with Synaptophysin peptide (<a href='/en-us/products/proteins-peptides/synaptophysin-peptide-ab189853'>ab189853</a>).</p>" }, "Rat": { "IHCP-species-checked": "testedAndGuaranteed", "IHCP-species-dilution-info": "", "IHCP-species-notes": "<p></p>", "ICCIF-species-checked": "testedAndGuaranteed", "ICCIF-species-dilution-info": "", "ICCIF-species-notes": "<p></p>", "WB-species-checked": "testedAndGuaranteed", "WB-species-dilution-info": "", "WB-species-notes": "<p>Can be blocked with Synaptophysin peptide (<a href='/en-us/products/proteins-peptides/synaptophysin-peptide-ab189853'>ab189853</a>).</p>" }, "Cow": { "IHCP-species-checked": "predicted", "IHCP-species-dilution-info": "", "IHCP-species-notes": "", "ICCIF-species-checked": "predicted", "ICCIF-species-dilution-info": "", "ICCIF-species-notes": "", "WB-species-checked": "predicted", "WB-species-dilution-info": "", "WB-species-notes": "" }, "Donkey": { "IHCP-species-checked": "predicted", "IHCP-species-dilution-info": "", "IHCP-species-notes": "", "ICCIF-species-checked": "predicted", "ICCIF-species-dilution-info": "", "ICCIF-species-notes": "", "WB-species-checked": "predicted", "WB-species-dilution-info": "", "WB-species-notes": "" } } }

You may be interested in:

AB315042

Human Synaptophysin ELISA Kit

0

0 Reviews

View product

We recommend this product because it’s often used in the same experiment or related research.

We advise that you always check the datasheet to ensure it fits your experiments, or contact ourtechnical teamfor help.

Product details

Properties and storage information

Form
Liquid
Purification technique
Affinity purification Protein A
Storage buffer
pH: 7.2 - 7.4 Constituents: PBS
Shipped at conditions
Blue Ice
Appropriate short-term storage conditions
+4°C
Appropriate long-term storage conditions
+4°C
Storage information
Do Not Freeze

Supplementary information

This supplementary information is collated from multiple sources and compiled automatically.

Synaptophysin also known as SYP is a glycoprotein approximately 38 kDa in size. It is expressed abundantly in the presynaptic vesicle membranes of neurons and in neuroendocrine cells. Synaptophysin serves as a marker for synaptic vesicles and neuroendocrine tumors. The protein plays a significant role in synaptic vesicle cycling processes engaging in the release and recycling of neurotransmitters.
Biological function summary

Synaptophysin contributes to synaptic transmission and is engaged in the formation and maintenance of the synaptic vesicle pools. It is a part of the complex involved in neuronal communication and might interact with other vesicular proteins to ensure efficient neurotransmitter exchange. Researchers often utilize anti-Synaptophysin antibodies such as Alexa Fluor 647 labeled ones for visualization under confocal microscopy.

Pathways

Synaptophysin operates within pathways involving neurotransmitter release and synaptic vesicle cycle. It connects to proteins like Synaptotagmin and SNAP-25 integral to the facilitation of synaptic transmission and exocytosis. These pathways ensure efficient signal conduction across neurons which is critical for normal nervous system functioning.

Synaptophysin shows a strong association with neurodegenerative diseases and certain cancers like neuroblastoma. Altered expression levels or dysfunction of Synaptophysin can serve as a diagnostic marker for these conditions. The protein is connected with proteins like Bcl-2 in neurodegenerative diseases affecting cell survival and apoptosis pathways.

Product protocols

For this product, it's our understanding that no specific protocols are required. You can visit:

Target data

Possibly involved in structural functions as organizing other membrane components or in targeting the vesicles to the plasma membrane. Involved in the regulation of short-term and long-term synaptic plasticity (By similarity).
See full target information SYP

Publications (11)

Recent publications for all applications. Explore the full list and refine your search

Cell reports. Medicine 3:100604 PubMed35492239

2022

Single-cell proteomics defines the cellular heterogeneity of localized prostate cancer.

Applications

Unspecified application

Species

Unspecified reactive species

Laura De Vargas Roditi,Andrea Jacobs,Jan H Rueschoff,Pete Bankhead,Stéphane Chevrier,Hartland W Jackson,Thomas Hermanns,Christian D Fankhauser,Cedric Poyet,Felix Chun,Niels J Rupp,Alexandra Tschaebunin,Bernd Bodenmiller,Peter J Wild

Brain : a journal of neurology 136:1799-815 PubMed23687122

2013

Disease-specific molecular events in cortical multiple sclerosis lesions.

Applications

ICC/IF

Species

Human

Marie Therese Fischer,Isabella Wimmer,Romana Höftberger,Susanna Gerlach,Lukas Haider,Tobias Zrzavy,Simon Hametner,Don Mahad,Christoph J Binder,Markus Krumbholz,Jan Bauer,Monika Bradl,Hans Lassmann

Scientific reports 3:1345 PubMed23439431

2013

Characterization of induced neural progenitors from skin fibroblasts by a novel combination of defined factors.

Applications

ICC/IF

Species

Mouse

Changhai Tian,Qiang Liu,Kangmu Ma,Yongxiang Wang,Qiang Chen,Randall Ambroz,David L Klinkebiel,Yuju Li,Yunlong Huang,Jianqing Ding,Jie Wu,Jialin C Zheng

Brain : a journal of neurology 134:1914-24 PubMed21653539

2011

Oxidative damage in multiple sclerosis lesions.

Applications

IHC-P

Species

Human

Lukas Haider,Marie T Fischer,Josa M Frischer,Jan Bauer,Romana Höftberger,Gergö Botond,Harald Esterbauer,Christoph J Binder,Joseph L Witztum,Hans Lassmann

Oncogene 29:335-44 PubMed19855433

2009

Activated BRAF induces gliomas in mice when combined with Ink4a/Arf loss or Akt activation.

Applications

Unspecified application

Species

Unspecified reactive species

J P Robinson,M W VanBrocklin,A R Guilbeault,D L Signorelli,S Brandner,S L Holmen

Neuroscience 165:427-35 PubMed19850110

2009

Caprospinol reduces amyloid deposits and improves cognitive function in a rat model of Alzheimer's disease.

Applications

IHC

Species

Rat

L Lecanu,G Rammouz,A McCourty,E K Sidahmed,J Greeson,V Papadopoulos

American journal of physiology. Regulatory, integrative and comparative physiology 296:R681-92 PubMed19144756

2009

Intrauterine growth restriction due to uteroplacental insufficiency decreased white matter and altered NMDAR subunit composition in juvenile rat hippocampi.

Applications

Unspecified application

Species

Unspecified reactive species

Michelle E Schober,Robert A McKnight,Xing Yu,Christopher W Callaway,Xingrao Ke,Robert H Lane

The Journal of clinical investigation 118:3075-86 PubMed18704195

2008

Palmitoyl protein thioesterase-1 deficiency impairs synaptic vesicle recycling at nerve terminals, contributing to neuropathology in humans and mice.

Applications

WB, ICC/IF

Species

Mouse, Mouse

Sung-Jo Kim,Zhongjian Zhang,Chinmoy Sarkar,Pei-Chih Tsai,Yi-Ching Lee,Louis Dye,Anil B Mukherjee

Investigative ophthalmology & visual science 49:3677-86 PubMed18660429

2008

Synaptic pathology in retinoschisis knockout (Rs1-/y) mouse retina and modification by rAAV-Rs1 gene delivery.

Applications

Unspecified application

Species

Mouse

Yuichiro Takada,Camasamudram Vijayasarathy,Yong Zeng,Sten Kjellstrom,Ronald A Bush,Paul A Sieving

Journal of neurochemistry 105:703-13 PubMed18205749

2008

Delayed combinatorial treatment with flavopiridol and minocycline provides longer term protection for neuronal soma but not dendrites following global ischemia.

Applications

Unspecified application

Species

Unspecified reactive species

Grace O Iyirhiaro,Tyson B Brust,Juliet Rashidian,Zohreh Galehdar,Aweis Osman,Maryam Phillips,Ruth S Slack,Brian A Macvicar,David S Park
View all publications

Product promise

We are committed to supporting your work with high-quality reagents, and we're here for you every step of the way. In the unlikely event that one of our products does not perform as expected, you're protected by our Product Promise.
For full details, please see our Terms & Conditions

Associated Products

Select an associated product type
Alternative Product
Primary Antibodies

AB52636

Anti-Synaptophysin antibody [EP1098Y] - Synaptic Marker

primary-antibodies

synaptophysin-antibody-ep1098y-synaptic-marker-ab52636

4

(10 reviews)

Alternative Product
Primary Antibodies

AB178412

Anti-Synaptophysin antibody [EPR1097-2] - Synaptic Marker

primary-antibodies

synaptophysin-antibody-epr1097-2-synaptic-marker-ab178412

0

(0 reviews)

Alternative Version
Primary Antibodies

AB196379

Alexa Fluor® 488 Anti-Synaptophysin antibody [YE269] - Synaptic Marker

primary-antibodies

alexa-fluor-488-synaptophysin-antibody-ye269-synaptic-marker-ab196379

4

(4 reviews)

Alternative Version
Primary Antibodies

AB206868

Alexa Fluor® 594 Anti-Synaptophysin antibody [YE269] - Synaptic Marker

primary-antibodies

alexa-fluor-594-synaptophysin-antibody-ye269-synaptic-marker-ab206868

5

(1 reviews)

Alternative Version
Primary Antibodies

AB195520

HRP Anti-Synaptophysin antibody [YE269] - Synaptic Marker

primary-antibodies

hrp-synaptophysin-antibody-ye269-synaptic-marker-ab195520

0

(0 reviews)

Alternative Version
Primary Antibodies

AB196166

Alexa Fluor® 647 Anti-Synaptophysin antibody [YE269] - Synaptic Marker

primary-antibodies

alexa-fluor-647-synaptophysin-antibody-ye269-synaptic-marker-ab196166

5

(2 reviews)

Alternative Version
Primary Antibodies

AB206870

Alexa Fluor® 555 Anti-Synaptophysin antibody [YE269] - Synaptic Marker

primary-antibodies

alexa-fluor-555-synaptophysin-antibody-ye269-synaptic-marker-ab206870

3

(3 reviews)

Please note: All products are 'FOR RESEARCH USE ONLY. NOT FOR USE IN DIAGNOSTIC OR THERAPEUTIC PROCEDURES'.

For licensing inquiries, please contact partnerships@abcam.com