JavaScript is disabled in your browser. Please enable JavaScript to view this website.
AB32127

Anti-Synaptophysin antibody [YE269] - Synaptic Marker

  • BOND RX™ Validated
  • RabMAb
  • Recombinant
  • KO Validated
  • What is this?

5

(37 Reviews)

|

(472 Publications)

Anti-Synaptophysin antibody [YE269] (ab32127) is a rabbit monoclonal antibody detecting Synaptophysin in Western Blot, IHC-P, ICC/IF. Suitable for Human, Mouse, Rat.

- KO validated for confirmed specificity
- Biophysical QC for unrivalled batch-batch consistency
- Over 310 publications
- Trusted since 2006

View Alternative Names

Synaptophysin, Major synaptic vesicle protein p38, SYP

17 Images
Western blot - Anti-Synaptophysin antibody [YE269] - Synaptic Marker (AB32127)
  • WB

Lab

Western blot - Anti-Synaptophysin antibody [YE269] - Synaptic Marker (AB32127)

Lanes 1-3 : Merged signal (red and green). Green - ab32127 observed at 38 kDa. Red - loading control, ab7291 observed at 50 kDa.

ab32127 Anti-Synaptophysin antibody [YE269] was shown to specifically react with Synaptophysin in wild-type HEK293T cells. Loss of signal was observed when knockout cell line ab267272 (knockout cell lysate ab257060) was used. Wild-type and Synaptophysin knockout samples were subjected to SDS-PAGE. ab32127 and Anti-alpha Tubulin antibody [DM1A] - Loading Control (ab7291) were incubated overnight at 4°C at 1 in 1000 dilution and 1 in 20000 dilution respectively. Blots were developed with Goat anti- Rabbit IgG H&L (IRDye® 800CW) preadsorbed (ab216773) and Goat anti- Mouse IgG H&L (IRDye® 680RD) preadsorbed (ab216776) secondary antibodies at 1 in 10000 dilution for 1 hour at room temperature before imaging.

All lanes:

Western blot - Anti-Synaptophysin antibody [YE269] - Synaptic Marker (ab32127) at 1/1000 dilution

Lane 1:

Wild-type HEK-293T cell lysate at 20 µg

Lane 2:

SYP knockout HEK-293T cell lysate at 20 µg

Lane 2:

Western blot - Human SYP (Synaptophysin) knockout HEK-293T cell line (<a href='/en-us/products/cell-lines/human-syp-synaptophysin-knockout-hek-293t-cell-line-ab267272'>ab267272</a>)

Lane 3:

Human brain tissue lysate

Predicted band size: 33 kDa

Observed band size: 38 kDa

false

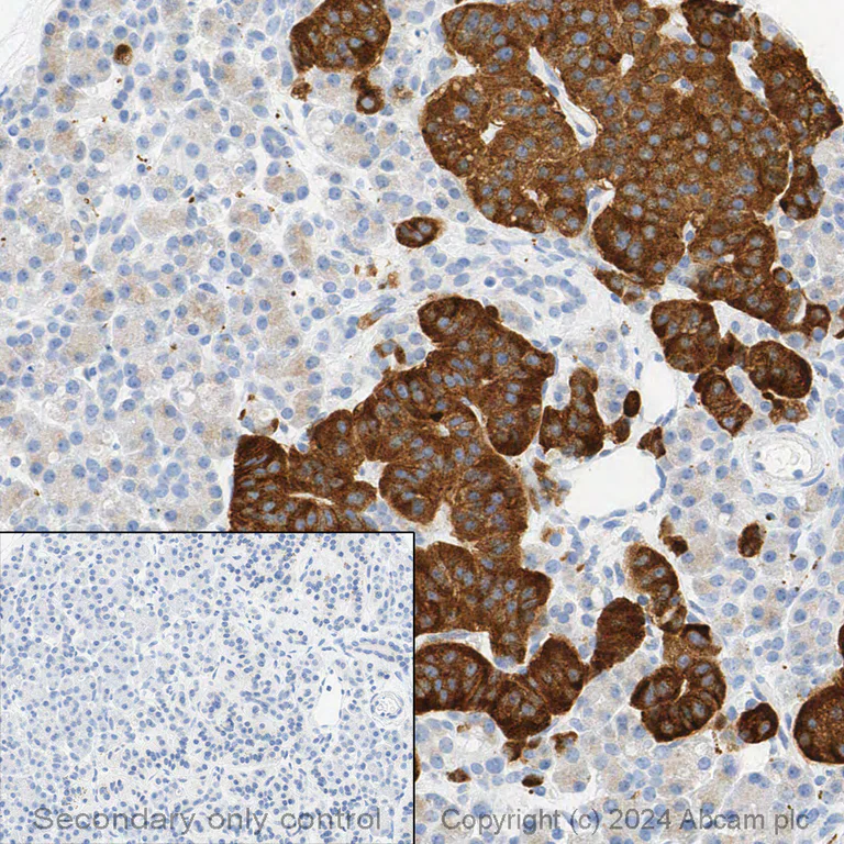
Immunohistochemistry (Formalin/PFA-fixed paraffin-embedded sections) - Anti-Synaptophysin antibody [YE269] - Synaptic Marker (AB32127)
  • IHC-P

Supplier Data

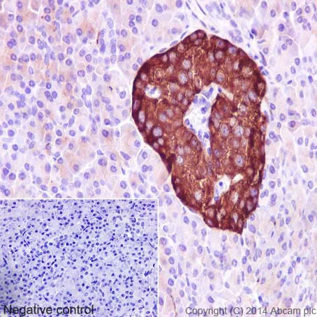
Immunohistochemistry (Formalin/PFA-fixed paraffin-embedded sections) - Anti-Synaptophysin antibody [YE269] - Synaptic Marker (AB32127)

Immunohistochemical staining of paraffin embedded human pancreas with purified ab32127 at a dilution of 1/400.

A pre-diluted HRP polymer for rabbit/mouse IgG was used as the secondary antibody and the sample was counterstained with hematoxylin. Antigen retrieval was perfomed using Tris-EDTA buffer, pH 9.0.

PBS was used instead of the primary antibody as the negative control, and is shown in the inset.

Immunohistochemistry (Formalin/PFA-fixed paraffin-embedded sections) - Anti-Synaptophysin antibody [YE269] - Synaptic Marker (AB32127)
  • IHC-P

Lab

Immunohistochemistry (Formalin/PFA-fixed paraffin-embedded sections) - Anti-Synaptophysin antibody [YE269] - Synaptic Marker (AB32127)

Immunohistochemical analysis of formalin fixed paraffin embedded human pancreas labelling synaptophysin with ab32127 at a concentration of 1 µg/ml. The immunostaining was performed on a Ventana DISCOVERY ULTRA (Roche Tissue Diagnostics) instrument with a OptiView DAB IHC Detection Kit. Heat mediated antigen retrieval was performed with DISCOVERY cell conditioning solution (CC1) 100°C, pH8.5 for 32mins.

ab32127 Anti-Synaptophysin antibody [YE269] was incubated for 16mins at 37°C. Sections were counterstained with Hematoxylin II. Image inset shows absence of staining in secondary antibody only control.

Customers are encouraged to optimise antigen retrieval conditions, antibody concentration, incubation times and temperature for best results in their own IHC assay workflow (automated and manual)

Immunohistochemistry (Formalin/PFA-fixed paraffin-embedded sections) - Anti-Synaptophysin antibody [YE269] - Synaptic Marker (AB32127)
  • IHC-P

Lab

Immunohistochemistry (Formalin/PFA-fixed paraffin-embedded sections) - Anti-Synaptophysin antibody [YE269] - Synaptic Marker (AB32127)

Immunohistochemical analysis of paraffin-embedded human Alzheimer's brain tissue* labelling SYP with ab32127 at 1ug/ml followed by a ready to use LeicaDS9800 (Bond Polymer Refine Detection).

Positive staining in human Alzheimer's brain.

The section was incubated with ab32127 for 30 mins at room temperature. The immunostaining was performed on a Leica Biosystems BOND® RX instrument. Counterstained with Hematoxylin.

Secondary antibody only control : Secondary antibody is a ready to use LeicaDS9800 (Bond Polymer Refine Detection).

Heat mediated antigen retrieval with sodium citrate buffer (pH 6.0 epitope retrieval solution1) for 20 mins.

*Tissue obtained from the Human Research Tissue Bank, supported by the NIHR Cambridge Biomedical Research Centre.

Immunocytochemistry/ Immunofluorescence - Anti-Synaptophysin antibody [YE269] - Synaptic Marker (AB32127)
  • ICC/IF

Lab

Immunocytochemistry/ Immunofluorescence - Anti-Synaptophysin antibody [YE269] - Synaptic Marker (AB32127)

ab32127 staining Synaptophysin in primary hippocampal rat neurons/glia, (obtained from Neuromics, cat. no. PC35101), DIV14. The cells were fixed with 100% methanol (5 min), permeabilized with 0.1% PBS-Tween for 5 minutes and then blocked with 1% BSA/10% normal goat serum/0.3M glycine in 0.1%PBS-Tween for 1h. The cells were then incubated overnight at 4°C with ab32127 at 0.1μg/ml and ab192757, Mouse mono Anti-PSD95 antibody [K28/43] - Synaptic Marker. Cells were then incubated with ab150081, Goat polyclonal Secondary Antibody to Rabbit IgG - H&L (Alexa Fluor® 488), pre-adsorbed at 1/1000 dilution (shown in green) and ab150120, Goat polyclonal Secondary Antibody to Mouse IgG - H&L (Alexa Fluor® 594), pre-adsorbed at 1/1000 dilution (shown in pseudocolour red). Nuclear DNA was labelled with DAPI (shown in blue).

Also suitable in cells fixed with 4% paraformaldehyde (10 min).

Image was acquired with a high-content analyser (Operetta CLS, Perkin Elmer) and a maximum intensity projection of confocal sections is shown.

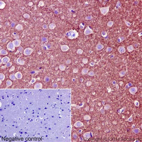
Immunohistochemistry (Formalin/PFA-fixed paraffin-embedded sections) - Anti-Synaptophysin antibody [YE269] - Synaptic Marker (AB32127)
  • IHC-P

Unknown

Immunohistochemistry (Formalin/PFA-fixed paraffin-embedded sections) - Anti-Synaptophysin antibody [YE269] - Synaptic Marker (AB32127)

Immunohistochemical staining of paraffin embedded rat cerebral cortex with purified ab32127 at a dilution of 1/400.

A pre-diluted HRP polymer for rabbit/mouse IgG was used as the secondary antibody and the sample was counterstained with hematoxylin. Antigen retrieval was perfomed using Tris-EDTA buffer, pH 9.0.

PBS was used instead of the primary antibody as the negative control, and is shown in the inset.

Immunocytochemistry/ Immunofluorescence - Anti-Synaptophysin antibody [YE269] - Synaptic Marker (AB32127)
  • ICC/IF

Lab

Immunocytochemistry/ Immunofluorescence - Anti-Synaptophysin antibody [YE269] - Synaptic Marker (AB32127)

ab32127 staining Synaptophysin in primary mouse neurons/glia, DIV14 (prepared from E18 mouse hippocampal brain area, obtained from Transnetyx Tissue by BrainBits, LLC, cat.no. C57EHP) cells. The cells were fixed with 4% paraformaldehyde (10 min), permeabilized with 0.1% PBS-Tween for 5 minutes and then blocked with 1% BSA/10% normal goat serum/0.3M glycine in 0.1%PBS-Tween for 1h. The cells were then incubated overnight at 4°C with ab32127 at 0.1µg/ml and ab192757, Mouse mono Anti-PSD95 antibody [K28/43] - Synaptic Marker. Cells were then incubated with ab150081, Goat polyclonal Secondary Antibody to Rabbit IgG - H&L (Alexa Fluor® 488), pre-adsorbed at 1/1000 dilution (shown in green) and ab150120, Goat polyclonal Secondary Antibody to Mouse IgG - H&L (Alexa Fluor® 594), pre-adsorbed at 1/1000 dilution (shown in pseudocolour red). Nuclear DNA was labelled with DAPI (shown in blue).

Also suitable in cells fixed with 100% methanol (5 min).

Image was acquired with a high-content analyser (Operetta CLS, Perkin Elmer) and a maximum intensity projection of confocal sections is shown.

Immunocytochemistry/ Immunofluorescence - Anti-Synaptophysin antibody [YE269] - Synaptic Marker (AB32127)
  • ICC/IF

Lab

Immunocytochemistry/ Immunofluorescence - Anti-Synaptophysin antibody [YE269] - Synaptic Marker (AB32127)

Immunocytochemistry/ Immunofluorescence analysis of mouse primary neuron cells labeling Synaptophysin with purified ab32127 at 1/100 (2.7μg/mL). Cells were fixed in 4% paraformaldehyde and permeabilized with 0.1% Triton X-100. Cells were counterstained with ab195889 Anti-alpha Tubulin antibody [DM1A] - Microtubule Marker (Alexa Fluor® 594) 1/200 (2.5 μg/mL). Goat anti rabbit IgG (Alexa Fluor® 488, ab150077) was used as the secondary antibody at 1/1000 (2 μg/mL) dilution. DAPI (blue) was used as nuclear counterstain. PBS instead of the primary antibody was used as the secondary antibody only control.
Confocal scanning Z step was set as 0.3 μm followed by image processing with maximum Z projection.

Immunocytochemistry/ Immunofluorescence - Anti-Synaptophysin antibody [YE269] - Synaptic Marker (AB32127)
  • ICC/IF

Unknown

Immunocytochemistry/ Immunofluorescence - Anti-Synaptophysin antibody [YE269] - Synaptic Marker (AB32127)

Immunofluorescent staining of PC-12 (rat adrenal gland pheochromocytoma cell line) cells (fixed in 4% PFA, permeabilized with 0.1% Triton X 100) using purified ab32127 at a dilution of 1/50.

An Alexa Fluor® 488 goat anti-rabbit antibody was used as the secondary at a dilution of 1/500 and the cells were counterstained with DAPI.

The negative control is shown in the bottom right hand panel - for the negative control, Alex Fluor® 594 goat anti-mouse was used at a dilution of 1/500.

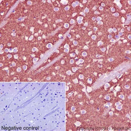
Immunohistochemistry (Formalin/PFA-fixed paraffin-embedded sections) - Anti-Synaptophysin antibody [YE269] - Synaptic Marker (AB32127)
  • IHC-P

Unknown

Immunohistochemistry (Formalin/PFA-fixed paraffin-embedded sections) - Anti-Synaptophysin antibody [YE269] - Synaptic Marker (AB32127)

Immunohistochemical staining of paraffin embedded mouse cerebral cortex with purified ab32127 at a dilution of 1/400.

A pre-diluted HRP polymer for rabbit/mouse IgG was used as the secondary antibody and the sample was counterstained with hematoxylin. Antigen retrieval was perfomed using Tris-EDTA buffer, pH 9.0.

PBS was used instead of the primary antibody as the negative control, and is shown in the inset.

Western blot - Anti-Synaptophysin antibody [YE269] - Synaptic Marker (AB32127)
  • WB

Lab

Western blot - Anti-Synaptophysin antibody [YE269] - Synaptic Marker (AB32127)

All lanes:

Western blot - Anti-Synaptophysin antibody [YE269] - Synaptic Marker (ab32127) at 1/100000 dilution

All lanes:

Human fetal brain at 20 µg

Secondary

All lanes:

HRP goat anti-rabbit (H+L) at 1/1000 dilution

Predicted band size: 33 kDa

Observed band size: 38 kDa

false

Western blot - Anti-Synaptophysin antibody [YE269] - Synaptic Marker (AB32127)
  • WB

Unknown

Western blot - Anti-Synaptophysin antibody [YE269] - Synaptic Marker (AB32127)

Lanes 1-3 : Merged signal (red and green). Green - ab32127 observed at 38 kDa. Red - loading control, ab7291 observed at 50 kDa.

ab32127 Anti-Synaptophysin antibody [YE269] was shown to specifically react with Synaptophysin in wild-type HEK293T cells. Loss of signal was observed when knockout cell line ab267272 (knockout cell lysate ab257060) was used. Wild-type and Synaptophysin knockout samples were subjected to SDS-PAGE. ab32127 and Anti-alpha Tubulin antibody [DM1A] - Loading Control (ab7291) were incubated overnight at 4°C at 1 in 1000 dilution and 1 in 20000 dilution respectively. Blots were developed with Goat anti- Rabbit IgG H&L (IRDye® 800CW) preadsorbed (ab216773) and Goat anti- Mouse IgG H&L (IRDye® 680RD) preadsorbed (ab216776) secondary antibodies at 1 in 10000 dilution for 1 hour at room temperature before imaging.

All lanes:

Western blot - Anti-Synaptophysin antibody [YE269] - Synaptic Marker (ab32127) at 1/1000 dilution

Lane 1:

Wild-type HEK293T cell lysate at 20 µg

Lane 2:

Syp knockout HEK293T cell lysate at 20 µg

Lane 3:

Human brain tissue lysate at 20 µg

Predicted band size: 33 kDa

Observed band size: 38 kDa

false

Western blot - Anti-Synaptophysin antibody [YE269] - Synaptic Marker (AB32127)
  • WB

Lab

Western blot - Anti-Synaptophysin antibody [YE269] - Synaptic Marker (AB32127)

Lanes 1- 2 : Merged signal (red and green). Green - ab32127 observed at 38 kDa. Red - Anti-GAPDH antibody [6C5] - Loading Control (ab8245) observed at 37 kDa.

ab32127 was shown to react with Syp in wild-type HEK-293T cells in western blot. Loss of signal was observed when knockout cell line ab255356 (knockout cell lysate ab263862) was used. Wild-type HEK-293T and SYP knockout HEK-293T cell lysates were subjected to SDS-PAGE. Membrane was blocked for 1 hour at room temperature in 0.1% TBST with 3% non-fat dried milk. ab32127 and Anti-GAPDH antibody [6C5] - Loading Control (ab8245) overnight at 4°C at a 1 in 1000 dilution and a 1 in 20000 dilution respectively. Blots were developed with Goat anti-Rabbit IgG H&L (IRDye®800CW) preadsorbed (ab216773) and Goat anti-Mouse IgG H&L (IRDye®680RD) preadsorbed (ab216776) secondary antibodies at 1 in 20000 dilution for 1 hour at room temperature before imaging.

All lanes:

Western blot - Anti-Synaptophysin antibody [YE269] - Synaptic Marker (ab32127) at 1/1000 dilution

Lane 1:

Wild-type HEK-293T cell lysate at 20 µg

Lane 2:

SYP knockout HEK-293T cell lysate at 20 µg

Lane 2:

Western blot - Human SYP (Synaptophysin) knockout HEK-293T cell line (<a href='/en-us/products/cell-lines/human-syp-synaptophysin-knockout-hek-293t-cell-line-ab255356'>ab255356</a>)

Predicted band size: 33 kDa

Observed band size: 38 kDa

false

Western blot - Anti-Synaptophysin antibody [YE269] - Synaptic Marker (AB32127)
  • WB

Unknown

Western blot - Anti-Synaptophysin antibody [YE269] - Synaptic Marker (AB32127)

Blocking/Dilution buffer : 5% NFDM/TBST

All lanes:

Western blot - Anti-Synaptophysin antibody [YE269] - Synaptic Marker (ab32127) at 1/100000 dilution

Lane 1:

Mouse brain

Lane 2:

Rat brain

Secondary

All lanes:

HRP goat anti-rabbit at 1/1000 dilution

Predicted band size: 33 kDa

Observed band size: 38 kDa

false

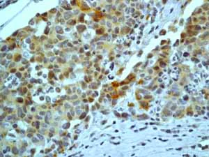
Immunohistochemistry (Formalin/PFA-fixed paraffin-embedded sections) - Anti-Synaptophysin antibody [YE269] - Synaptic Marker (AB32127)
  • IHC-P

Unknown

Immunohistochemistry (Formalin/PFA-fixed paraffin-embedded sections) - Anti-Synaptophysin antibody [YE269] - Synaptic Marker (AB32127)

Unpurified ab32127 showing positive staining in medulloblastoma tissue.

Perform heat mediated antigen retrieval before commencing with IHC staining protocol.

Immunohistochemistry (Formalin/PFA-fixed paraffin-embedded sections) - Anti-Synaptophysin antibody [YE269] - Synaptic Marker (AB32127)
  • IHC-P

Unknown

Immunohistochemistry (Formalin/PFA-fixed paraffin-embedded sections) - Anti-Synaptophysin antibody [YE269] - Synaptic Marker (AB32127)

Unpurified ab32127 showing positive staining in lung neuroendocrine tumor tissue.

Perform heat mediated antigen retrieval before commencing with IHC staining protocol.

Western blot - Anti-Synaptophysin antibody [YE269] - Synaptic Marker (AB32127)
  • WB

Unknown

Western blot - Anti-Synaptophysin antibody [YE269] - Synaptic Marker (AB32127)

All lanes:

Western blot - Anti-Synaptophysin antibody [YE269] - Synaptic Marker (ab32127) at 1/10000 dilution

All lanes:

PC-12 (rat adrenal gland pheochromocytoma cell line) cell lysate

Predicted band size: 33 kDa

Observed band size: 21 kDa,22 kDa,34 kDa

false

  • 519 Alexa Fluor® 488

    Alexa Fluor® 488 Anti-Synaptophysin antibody [YE269] - Synaptic Marker

  • 617 Alexa Fluor® 594

    Alexa Fluor® 594 Anti-Synaptophysin antibody [YE269] - Synaptic Marker

  • HRP

    HRP Anti-Synaptophysin antibody [YE269] - Synaptic Marker

  • 665 Alexa Fluor® 647

    Alexa Fluor® 647 Anti-Synaptophysin antibody [YE269] - Synaptic Marker

  • Carrier free

    Anti-Synaptophysin antibody [YE269] - BSA and Azide free

  • 565 Alexa Fluor® 555

    Alexa Fluor® 555 Anti-Synaptophysin antibody [YE269] - Synaptic Marker

Key facts

Host species

Rabbit

Clonality

Monoclonal

Clone number

YE269

Isotype

IgG

Carrier free

No

Reacts with

Mouse, Rat, Human

Applications

WB, ICC/IF, IHC-P

applications

Immunogen

The exact immunogen used to generate this antibody is proprietary information.

Reactivity data

{ "title": "Reactivity Data", "filters": { "stats": ["", "Species", "Dilution Info", "Notes"], "tabs": { "all-applications": {"fullname" : "All Applications", "shortname": "All Applications"}, "IHCP" : {"fullname" : "Immunohistochemistry (Formalin/PFA-fixed paraffin-embedded sections)", "shortname":"IHC-P"}, "ICCIF" : {"fullname" : "Immunocytochemistry/ Immunofluorescence", "shortname":"ICC/IF"}, "WB" : {"fullname" : "Western blot", "shortname":"WB"} }, "product-promise": { "all": "all", "testedAndGuaranteed": "tested", "guaranteed": "expected", "predicted": "predicted", "notRecommended": "not-recommended" } }, "values": { "Human": { "IHCP-species-checked": "testedAndGuaranteed", "IHCP-species-dilution-info": "1/400 - 1/800", "IHCP-species-notes": "<p></p> Perform heat-mediated antigen retrieval before commencing with IHC staining protocol.", "ICCIF-species-checked": "guaranteed", "ICCIF-species-dilution-info": "", "ICCIF-species-notes": "", "WB-species-checked": "testedAndGuaranteed", "WB-species-dilution-info": "1/20000 - 1/100000", "WB-species-notes": "<p>Can be blocked with Synaptophysin peptide (<a href='/en-us/products/proteins-peptides/synaptophysin-peptide-ab189853'>ab189853</a>).</p>" }, "Mouse": { "IHCP-species-checked": "testedAndGuaranteed", "IHCP-species-dilution-info": "1/400 - 1/800", "IHCP-species-notes": "<p></p> Perform heat-mediated antigen retrieval before commencing with IHC staining protocol.", "ICCIF-species-checked": "testedAndGuaranteed", "ICCIF-species-dilution-info": "0.1 µg/mL", "ICCIF-species-notes": "<p></p>", "WB-species-checked": "testedAndGuaranteed", "WB-species-dilution-info": "1/20000 - 1/100000", "WB-species-notes": "<p>Can be blocked with Synaptophysin peptide (<a href='/en-us/products/proteins-peptides/synaptophysin-peptide-ab189853'>ab189853</a>).</p>" }, "Rat": { "IHCP-species-checked": "testedAndGuaranteed", "IHCP-species-dilution-info": "1/400 - 1/800", "IHCP-species-notes": "<p></p> Perform heat-mediated antigen retrieval before commencing with IHC staining protocol.", "ICCIF-species-checked": "testedAndGuaranteed", "ICCIF-species-dilution-info": "0.1 µg/mL", "ICCIF-species-notes": "<p></p>", "WB-species-checked": "testedAndGuaranteed", "WB-species-dilution-info": "1/20000 - 1/100000", "WB-species-notes": "<p>Can be blocked with Synaptophysin peptide (<a href='/en-us/products/proteins-peptides/synaptophysin-peptide-ab189853'>ab189853</a>).</p>" }, "Cow": { "IHCP-species-checked": "predicted", "IHCP-species-dilution-info": "", "IHCP-species-notes": "", "ICCIF-species-checked": "predicted", "ICCIF-species-dilution-info": "", "ICCIF-species-notes": "", "WB-species-checked": "predicted", "WB-species-dilution-info": "", "WB-species-notes": "" }, "Donkey": { "IHCP-species-checked": "predicted", "IHCP-species-dilution-info": "", "IHCP-species-notes": "", "ICCIF-species-checked": "predicted", "ICCIF-species-dilution-info": "", "ICCIF-species-notes": "", "WB-species-checked": "predicted", "WB-species-dilution-info": "", "WB-species-notes": "" } } }

Product details

Anti-Synaptophysin antibody [YE269] (ab32127) was developed by Abcam using patented rabbit monoclonal antibody technology and is validated for use in ICC/IF, IHC-P and WB.

Anti-Synaptophysin antibody [YE269] (ab32127) was first used in a scientific publication in 1986 and has been cited over 311 times in peer reviewed journals. It's performance in Western blot and IHC in mouse samplesis trusted by the scientific community.

Abcam's high quality manufacturing and validation processes ensure Anti-Synaptophysin antibody [YE269] (ab32127) has high sensitivity and specificity alongside high lot-to-lot consistency and reproducibility.

The specificity of Anti-Synaptophysin antibody [YE269] (ab32127) has been confirmed by Western Blot testing in Synaptophysin knockout HEK-293T cells (ab255356).

Anti-Synaptophysin antibody [YE269] (ab32127) has 38 independent reviews from customers.

Anti-Synaptophysin antibody [YE269] (ab32127) specifically detects Synaptophysin (UniProt ID: P08247; Molecular weight: 34kDa) and is sold in 100 µL and 1 mL selling sizes.

Conjugation-ready, carrier free format available for antibody clone YE269 - ab187259.

Antibody clone YE269 is also available pre-conjugated to a variety of labels for your convenience - HRP, Alexa Fluor® 647, Alexa Fluor® 488, Alexa Fluor® 594, Alexa Fluor® 555, (ab195520, ab196166, ab196379, ab206868, ab206870, ).

Synaptophysin (SYP) is a key protein in neuro research, particularly for its role as a marker of synaptic vesicles. It is involved in synaptic transmission and vesicle trafficking. Researchers use synaptophysin to study synaptic density and integrity, making it essential for understanding synaptic function and dysfunction in various neurological conditions, including Alzheimer's disease (AD) and schizophrenia. Its expression helps in assessing synaptic health and the effects of neurodegenerative diseases on synaptic connectivity.

Patented technology
Our RabMAb® technology is a patented hybridoma-based technology for making rabbit monoclonal antibodies. For details on our patents, please refer to RabMAb® patents.

What are the advantages of a recombinant monoclonal antibody?
This product is a recombinant monoclonal antibody, which offers several advantages including:

  • - High batch-to-batch consistency and reproducibility
  • - Improved sensitivity and specificity
  • - Long-term security of supply
  • - Animal-free batch production

For more information, read more on recombinant antibodies.

Properties and storage information

Form
Liquid
Purification technique
Affinity purification Protein A
Storage buffer
pH: 7.2 - 7.4 Preservative: 0.01% Sodium azide Constituents: PBS, 40% Glycerol (glycerin, glycerine), 0.05% BSA
Shipped at conditions
Blue Ice
Appropriate short-term storage conditions
+4°C
Appropriate long-term storage conditions
-20°C
Aliquoting information
Upon delivery aliquot
Storage information
Avoid freeze / thaw cycle

Supplementary information

This supplementary information is collated from multiple sources and compiled automatically.

Synaptophysin also known as SYP is a glycoprotein approximately 38 kDa in size. It is expressed abundantly in the presynaptic vesicle membranes of neurons and in neuroendocrine cells. Synaptophysin serves as a marker for synaptic vesicles and neuroendocrine tumors. The protein plays a significant role in synaptic vesicle cycling processes engaging in the release and recycling of neurotransmitters.
Biological function summary

Synaptophysin contributes to synaptic transmission and is engaged in the formation and maintenance of the synaptic vesicle pools. It is a part of the complex involved in neuronal communication and might interact with other vesicular proteins to ensure efficient neurotransmitter exchange. Researchers often utilize anti-Synaptophysin antibodies such as Alexa Fluor 647 labeled ones for visualization under confocal microscopy.

Pathways

Synaptophysin operates within pathways involving neurotransmitter release and synaptic vesicle cycle. It connects to proteins like Synaptotagmin and SNAP-25 integral to the facilitation of synaptic transmission and exocytosis. These pathways ensure efficient signal conduction across neurons which is critical for normal nervous system functioning.

Synaptophysin shows a strong association with neurodegenerative diseases and certain cancers like neuroblastoma. Altered expression levels or dysfunction of Synaptophysin can serve as a diagnostic marker for these conditions. The protein is connected with proteins like Bcl-2 in neurodegenerative diseases affecting cell survival and apoptosis pathways.

Product protocols

For this product, it's our understanding that no specific protocols are required. You can visit:

Target data

Possibly involved in structural functions as organizing other membrane components or in targeting the vesicles to the plasma membrane. Involved in the regulation of short-term and long-term synaptic plasticity (By similarity).
See full target information SYP

Publications (472)

Recent publications for all applications. Explore the full list and refine your search

Nature communications 16:8404 PubMed40998795

2025

Injectable therapeutic system incorporating neurogenesis-programmed stem cells concomitantly promoting muscle regeneration treats stress urinary incontinence.

Applications

Unspecified application

Species

Unspecified reactive species

Wenzhuo Fang,Xuan Du,Ranxing Yang,Meng Liu,Ming Yang,Yangwang Jin,Guo Gao,Qiang Fu,Ying Wang

Science advances 11:eadq7665 PubMed40991686

2025

Impaired macroautophagy in oligodendrocyte precursor cells suppresses neuronal plasticity via a senescence-associated signaling.

Applications

Unspecified application

Species

Unspecified reactive species

Hong Chen,Yan-Yun Sun,Qi-Fa Li,Yu-Tong Du,Na-Na Hu,Ao-Ran Sui,Xiao-Qing Luo,Xin Huang,Chao Zhu,Gang Yang,Lin-Lin Yao,Yong Tang,Hua Hu,Chun-Feng Liu,Jin Tao,Lei Feng,Frank Kirchhoff,Wenhui Huang,Shao Li,Quan-Hong Ma

iScience 28:113401 PubMed40970196

2025

Mesenchymal stromal cell secretome-induced synaptogenesis is mediated by thrombospondin-1.

Applications

Unspecified application

Species

Unspecified reactive species

Diogo Tomé,Luís F Martins,Miguel Aroso,Henrique Santos,Rui O Costa,João L Afonso,Sofia C Serra,Paulo Aguiar,Carlos B Duarte,João Peça,Paulo S Pinheiro,António J Salgado,Ramiro D Almeida

International journal of biological sciences 21:5167-5184 PubMed40959274

2025

Recovery of FAM134A-mediated ER-phagy through BRD4 inhibition alleviates ethanol-induced neurodegeneration.

Applications

Unspecified application

Species

Unspecified reactive species

Jae Ryong Lim,Chang Woo Chae,Jee Hyeon Yoon,Ji Hyeon Cho,Ji Yong Park,Su Jong Han,Han Seung Chang,Su Yeol Kim,Ha Jin Kim,Young Hyun Jung,Ho Jae Han

CNS neuroscience & therapeutics 31:e70606 PubMed40916543

2025

Neuroprotective Effects of Transcranial Pulsed Current Stimulation: Modulation of Microglial Polarization in Traumatic Brain Injury.

Applications

Unspecified application

Species

Unspecified reactive species

Peng Yao,Bingkai Ren,Qianhui Zhou,Yang Bai,Zhen Feng

Cell & bioscience 15:124 PubMed40877964

2025

Enriched environment inhibits GLT-1 ubiquitination by downregulating SMURF1 to attenuate ischemic brain injury induced excitotoxicity.

Applications

Unspecified application

Species

Unspecified reactive species

Yi Zhang,Wen Liu,Tao Huang,Lingling Liu,Xiuping Chen

Alzheimer's research & therapy 17:193 PubMed40830501

2025

Endothelial delivery of simvastatin by LRP1-targeted nanoparticles ameliorates pathogenesis of alzheimer's disease in a mouse model.

Applications

Unspecified application

Species

Unspecified reactive species

Ting-Ting Pan,Yan-Yun Sun,Yi-Fan Shi,Mei Zhao,Naveed Ullah Khan,Hai-Yan Chen,Wen-Li Ji,Jie Li,Liang Han,Quan-Hong Ma

NPJ Parkinson's disease 11:242 PubMed40804075

2025

Early synaptic changes and reduced brain connectivity in PD-like mice with depressive phenotype.

Applications

Unspecified application

Species

Unspecified reactive species

Lluis Miquel-Rio,Judith Jericó-Escolar,Unai Sarriés-Serrano,Claudia Yanes-Castilla,María Torres-López,Uxia Argibay,Verónica Paz,Carme Casal,Emma Muñoz-Moreno,Xavier López-Gil,Analia Bortolozzi

BMC medicine 23:470 PubMed40797316

2025

Gut microbiota links to cognitive impairment in bipolar disorder via modulating synaptic plasticity.

Applications

Unspecified application

Species

Unspecified reactive species

Anying Tang,Hangyuan Jiang,Jie Li,Yi Chen,Jinyu Zhang,Dandan Wang,Shaohua Hu,Jianbo Lai

Oncology letters 30:451 PubMed40747380

2025

Choroidal metastasis as the first sign of small cell lung cancer: A case report.

Applications

Unspecified application

Species

Unspecified reactive species

Keke Wei,Fang Liu,Cheng Ning,Yingbo Zhang,Chunmei Hu
View all publications

Product promise

We are committed to supporting your work with high-quality reagents, and we're here for you every step of the way. In the unlikely event that one of our products does not perform as expected, you're protected by our Product Promise.
For full details, please see our Terms & Conditions

Please note: All products are 'FOR RESEARCH USE ONLY. NOT FOR USE IN DIAGNOSTIC OR THERAPEUTIC PROCEDURES'.

For licensing inquiries, please contact partnerships@abcam.com