JavaScript is disabled in your browser. Please enable JavaScript to view this website.
AB282117

Anti-Synaptopodin antibody [EPR23922-79] - BSA and Azide free

5

(1 Review)

|

(0 Publication)

Rabbit Recombinant Monoclonal Synaptopodin antibody. Carrier free. Suitable for IP, WB, IHC-Fr, IHC-P and reacts with Mouse, Rat, Human samples.

View Alternative Names

KIAA1029, SYNPO, Synaptopodin

15 Images
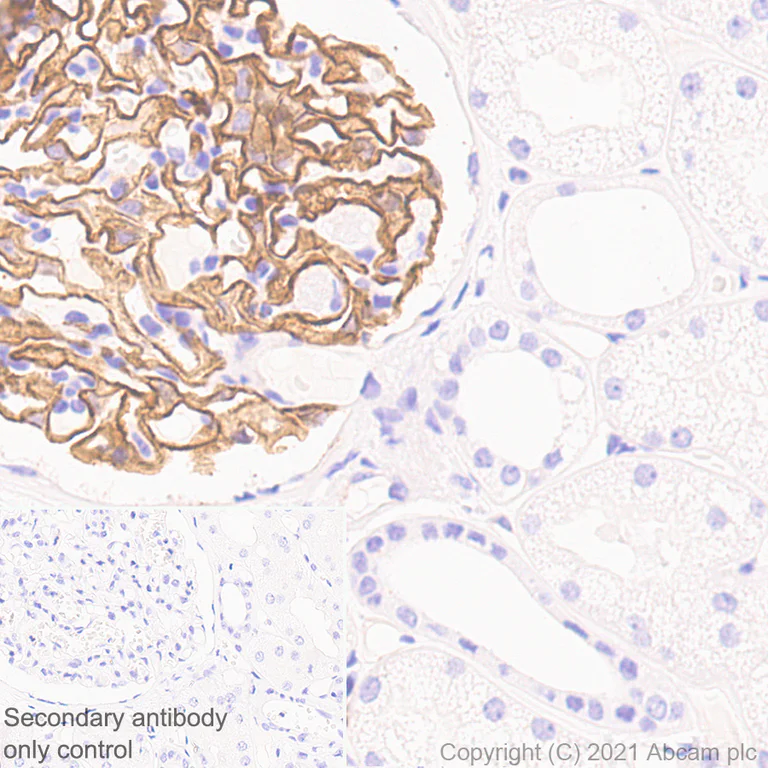
Immunohistochemistry (Formalin/PFA-fixed paraffin-embedded sections) - Anti-Synaptopodin antibody [EPR23922-79] - BSA and Azide free (AB282117)
  • IHC-P

Supplier Data

Immunohistochemistry (Formalin/PFA-fixed paraffin-embedded sections) - Anti-Synaptopodin antibody [EPR23922-79] - BSA and Azide free (AB282117)

This data was developed using ab259976, the same antibody clone in a different buffer formulation.

Immunohistochemical analysis of paraffin-embedded human kidney tissue labelling Synaptopodin with ab259976 at 1/500 (0.936 μg/ml) dilution followed by a ready to use LeicaDS9800 (Bond™ Polymer Refine Detection). Positive staining mainly in glomeruli of human kidney. The section was incubated with ab259976 for 30 mins at room temperature. The immunostaining was performed on a Leica Biosystems BOND® RX instrument. Counterstained with Hematoxylin.

Secondary antibody only control : Secondary antibody is a ready to use LeicaDS9800 (Bond™ Polymer Refine Detection).

Heat mediated antigen retrieval with Tris-EDTA buffer (pH 9.0, epitope retrieval solution2) for 20 mins.

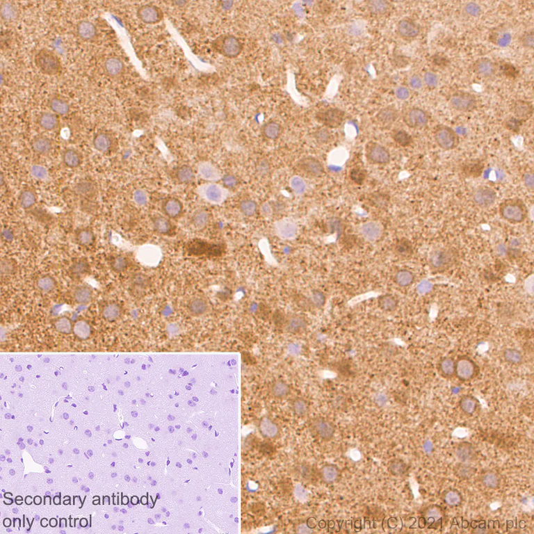
Immunohistochemistry (Formalin/PFA-fixed paraffin-embedded sections) - Anti-Synaptopodin antibody [EPR23922-79] - BSA and Azide free (AB282117)
  • IHC-P

Supplier Data

Immunohistochemistry (Formalin/PFA-fixed paraffin-embedded sections) - Anti-Synaptopodin antibody [EPR23922-79] - BSA and Azide free (AB282117)

This data was developed using ab259976, the same antibody clone in a different buffer formulation.

Immunohistochemical analysis of paraffin-embedded human cerebrum tissue labelling Synaptopodin with ab259976 at 1/500 (0.936 μg/ml) dilution followed by a ready to use LeicaDS9800 (Bond™ Polymer Refine Detection). Positive staining in human cerebrum. The section was incubated with ab259976 for 30 mins at room temperature. The immunostaining was performed on a Leica Biosystems BOND® RX instrument. Counterstained with Hematoxylin.

Secondary antibody only control : Secondary antibody is a ready to use LeicaDS9800 (Bond™ Polymer Refine Detection).

Heat mediated antigen retrieval with Tris-EDTA buffer (pH 9.0, epitope retrieval solution2) for 20 mins.

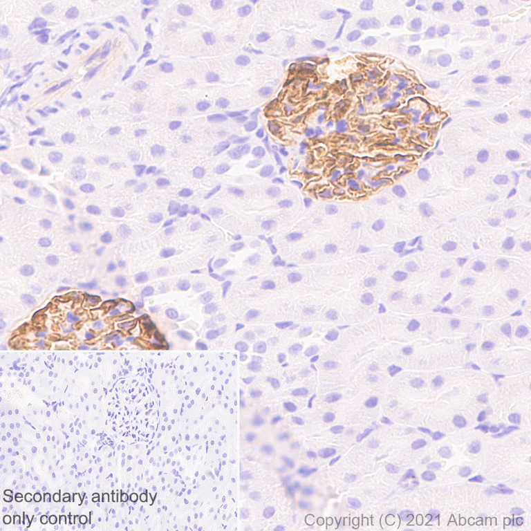
Immunohistochemistry (Formalin/PFA-fixed paraffin-embedded sections) - Anti-Synaptopodin antibody [EPR23922-79] - BSA and Azide free (AB282117)
  • IHC-P

Supplier Data

Immunohistochemistry (Formalin/PFA-fixed paraffin-embedded sections) - Anti-Synaptopodin antibody [EPR23922-79] - BSA and Azide free (AB282117)

This data was developed using ab259976, the same antibody clone in a different buffer formulation.

Immunohistochemical analysis of paraffin-embedded rat kidney tissue labelling Synaptopodin with ab259976 at 1/500 (0.936 μg/ml) dilution followed by a ready to use LeicaDS9800 (Bond™ Polymer Refine Detection). Positive staining mainly in glomeruli of rat kidney. The section was incubated with ab259976 for 30 mins at room temperature. The immunostaining was performed on a Leica Biosystems BOND® RX instrument. Counterstained with Hematoxylin.

Secondary antibody only control : Secondary antibody is a ready to use LeicaDS9800 (Bond™ Polymer Refine Detection).

Heat mediated antigen retrieval with Tris-EDTA buffer (pH 9.0, epitope retrieval solution2) for 20 mins.

Immunohistochemistry (Frozen sections) - Anti-Synaptopodin antibody [EPR23922-79] - BSA and Azide free (AB282117)
  • IHC-Fr

Supplier Data

Immunohistochemistry (Frozen sections) - Anti-Synaptopodin antibody [EPR23922-79] - BSA and Azide free (AB282117)

This data was developed using ab259976, the same antibody clone in a different buffer formulation.

Immunohistochemical analysis of 4% PFA-fixed, 0.2% Triton X-100 permeabilized frozen rat hippocampus tissue labeling Synaptopodin with ab259976 at 1/100 (4.68 μg/ml) dilution followed by ab150077 Goat Anti-Rabbit IgG H&L (Alexa Fluor® 488) at 1/1000 dilution (Green). Positive staining on rat hippocampus is observed. The nuclear counterstain was DAPI (Blue).

Secondary antibody control : Secondary antibody is ab150077 Goat Anti-Rabbit IgG H&L (Alexa Fluor® 488) at 1/1000 dilution.

Heat mediated antigen retrieval using sodium citrate buffer (10mM citrate pH 6.0 + 0.05% Tween-20).

Immunohistochemistry (Formalin/PFA-fixed paraffin-embedded sections) - Anti-Synaptopodin antibody [EPR23922-79] - BSA and Azide free (AB282117)
  • IHC-P

Supplier Data

Immunohistochemistry (Formalin/PFA-fixed paraffin-embedded sections) - Anti-Synaptopodin antibody [EPR23922-79] - BSA and Azide free (AB282117)

This data was developed using ab259976, the same antibody clone in a different buffer formulation.

Immunohistochemical analysis of paraffin-embedded mouse kidney tissue labelling Synaptopodin with ab259976 at 1/500 (0.936 μg/ml) dilution followed by a ready to use LeicaDS9800 (Bond™ Polymer Refine Detection). Positive staining mainly in glomeruli of mouse kidney (PMID : 22475818, PMID : 15841212). The section was incubated with ab259976 for 30 mins at room temperature. The immunostaining was performed on a Leica Biosystems BOND® RX instrument. Counterstained with Hematoxylin.

Secondary antibody only control : Secondary antibody is a ready to use LeicaDS9800 (Bond™ Polymer Refine Detection).

Heat mediated antigen retrieval with Tris-EDTA buffer (pH 9.0, epitope retrieval solution2) for 20 mins.

Immunohistochemistry (Formalin/PFA-fixed paraffin-embedded sections) - Anti-Synaptopodin antibody [EPR23922-79] - BSA and Azide free (AB282117)
  • IHC-P

Supplier Data

Immunohistochemistry (Formalin/PFA-fixed paraffin-embedded sections) - Anti-Synaptopodin antibody [EPR23922-79] - BSA and Azide free (AB282117)

This data was developed using ab259976, the same antibody clone in a different buffer formulation.

Immunohistochemical analysis of paraffin-embedded mouse cerebrum tissue labelling Synaptopodin with ab259976 at 1/500 (0.936 μg/ml) dilution followed by a ready to use LeicaDS9800 (Bond™ Polymer Refine Detection). Positive staining in mouse cerebrum (PMID : 15841212). The section was incubated with ab259976 for 30 mins at room temperature. The immunostaining was performed on a Leica Biosystems BOND® RX instrument. Counterstained with Hematoxylin.

Secondary antibody only control : Secondary antibody is a ready to use LeicaDS9800 (Bond™ Polymer Refine Detection).

Heat mediated antigen retrieval with Tris-EDTA buffer (pH 9.0, epitope retrieval solution2) for 20 mins.

Immunohistochemistry (Frozen sections) - Anti-Synaptopodin antibody [EPR23922-79] - BSA and Azide free (AB282117)
  • IHC-Fr

Supplier Data

Immunohistochemistry (Frozen sections) - Anti-Synaptopodin antibody [EPR23922-79] - BSA and Azide free (AB282117)

This data was developed using ab259976, the same antibody clone in a different buffer formulation.

Immunohistochemical analysis of 4% PFA-fixed, 0.2% Triton X-100 permeabilized frozen mouse cerebral cortex tissue labeling Synaptopodin with ab259976 at 1/100 (4.68 μg/ml) dilution followed by ab150077 Goat Anti-Rabbit IgG H&L (Alexa Fluor® 488) at 1/1000 dilution (Green). Positive staining on mouse cerebral cortex is observed. The nuclear counterstain was DAPI (Blue).

Secondary antibody control : Secondary antibody is ab150077 Goat Anti-Rabbit IgG H&L (Alexa Fluor® 488) at 1/1000 dilution.

Heat mediated antigen retrieval using sodium citrate buffer (10mM citrate pH 6.0 + 0.05% Tween-20).

Immunohistochemistry (Frozen sections) - Anti-Synaptopodin antibody [EPR23922-79] - BSA and Azide free (AB282117)
  • IHC-Fr

Supplier Data

Immunohistochemistry (Frozen sections) - Anti-Synaptopodin antibody [EPR23922-79] - BSA and Azide free (AB282117)

This data was developed using ab259976, the same antibody clone in a different buffer formulation.

Immunohistochemical analysis of 4% PFA-fixed, 0.2% Triton X-100 permeabilized frozen rat kidney tissue labeling Synaptopodin with ab259976 at 1/100 (4.68 μg/ml) dilution followed by ab150077 Goat Anti-Rabbit IgG H&L (Alexa Fluor® 488) at 1/1000 dilution (Green). Positive staining on glomerulus of rat kidney is observed. The nuclear counterstain was DAPI (Blue).

Secondary antibody control : Secondary antibody is ab150077 Goat Anti-Rabbit IgG H&L (Alexa Fluor® 488) at 1/1000 dilution.

Heat mediated antigen retrieval using sodium citrate buffer (10mM citrate pH 6.0 + 0.05% Tween-20).

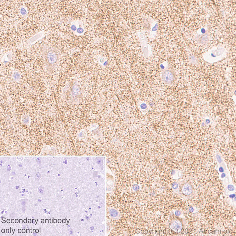
Immunohistochemistry (Formalin/PFA-fixed paraffin-embedded sections) - Anti-Synaptopodin antibody [EPR23922-79] - BSA and Azide free (AB282117)
  • IHC-P

Supplier Data

Immunohistochemistry (Formalin/PFA-fixed paraffin-embedded sections) - Anti-Synaptopodin antibody [EPR23922-79] - BSA and Azide free (AB282117)

This data was developed using ab259976, the same antibody clone in a different buffer formulation.

Immunohistochemical analysis of paraffin-embedded rat cerebrum tissue labelling Synaptopodin with ab259976 at 1/500 (0.936 μg/ml) dilution followed by a ready to use LeicaDS9800 (Bond™ Polymer Refine Detection). Positive staining in rat cerebrum. The section was incubated with ab259976 for 30 mins at room temperature. The immunostaining was performed on a Leica Biosystems BOND® RX instrument. Counterstained with Hematoxylin.

Secondary antibody only control : Secondary antibody is a ready to use LeicaDS9800 (Bond™ Polymer Refine Detection).

Heat mediated antigen retrieval with Tris-EDTA buffer (pH 9.0, epitope retrieval solution2) for 20 mins.

Immunohistochemistry (Frozen sections) - Anti-Synaptopodin antibody [EPR23922-79] - BSA and Azide free (AB282117)
  • IHC-Fr

Supplier Data

Immunohistochemistry (Frozen sections) - Anti-Synaptopodin antibody [EPR23922-79] - BSA and Azide free (AB282117)

This data was developed using ab259976, the same antibody clone in a different buffer formulation.

Immunohistochemical analysis of 4% PFA-fixed, 0.2% Triton X-100 permeabilized frozen rat cerebral cortex tissue labeling Synaptopodin with ab259976 at 1/100 (4.68 μg/ml) dilution followed by ab150077 Goat Anti-Rabbit IgG H&L (Alexa Fluor® 488) at 1/1000 dilution (Green). Positive staining on rat cerebral cortex is observed. The nuclear counterstain was DAPI (Blue).

Secondary antibody control : Secondary antibody is ab150077 Goat Anti-Rabbit IgG H&L (Alexa Fluor® 488) at 1/1000 dilution.

Heat mediated antigen retrieval using sodium citrate buffer (10mM citrate pH 6.0 + 0.05% Tween-20).

Immunohistochemistry (Frozen sections) - Anti-Synaptopodin antibody [EPR23922-79] - BSA and Azide free (AB282117)
  • IHC-Fr

Supplier Data

Immunohistochemistry (Frozen sections) - Anti-Synaptopodin antibody [EPR23922-79] - BSA and Azide free (AB282117)

This data was developed using ab259976, the same antibody clone in a different buffer formulation.

Immunohistochemical analysis of 4% PFA-fixed, 0.2% Triton X-100 permeabilized frozen mouse kidney tissue labeling Synaptopodin with ab259976 at 1/100 (4.68 μg/ml) dilution followed by ab150077 Goat Anti-Rabbit IgG H&L (Alexa Fluor® 488) at 1/1000 dilution (Green). Positive staining on glomerulus of mouse kidney is observed. The nuclear counterstain was DAPI (Blue).

Secondary antibody control : Secondary antibody is ab150077 Goat Anti-Rabbit IgG H&L (Alexa Fluor® 488) at 1/1000 dilution.

Heat mediated antigen retrieval using sodium citrate buffer (10mM citrate pH 6.0 + 0.05% Tween-20).

Immunohistochemistry (Frozen sections) - Anti-Synaptopodin antibody [EPR23922-79] - BSA and Azide free (AB282117)
  • IHC-Fr

Supplier Data

Immunohistochemistry (Frozen sections) - Anti-Synaptopodin antibody [EPR23922-79] - BSA and Azide free (AB282117)

This data was developed using ab259976, the same antibody clone in a different buffer formulation.

Immunohistochemical analysis of 4% PFA-fixed, 0.2% Triton X-100 permeabilized frozen mouse hippocampus tissue labeling Synaptopodin with ab259976 at 1/100 (4.68 μg/ml) dilution followed by ab150077 Goat Anti-Rabbit IgG H&L (Alexa Fluor® 488) at 1/1000 dilution (Green). Positive staining on mouse hippocampus is observed. The nuclear counterstain was DAPI (Blue).

Secondary antibody control : Secondary antibody is ab150077 Goat Anti-Rabbit IgG H&L (Alexa Fluor® 488) at 1/1000 dilution.

Heat mediated antigen retrieval using sodium citrate buffer (10mM citrate pH 6.0 + 0.05% Tween-20).

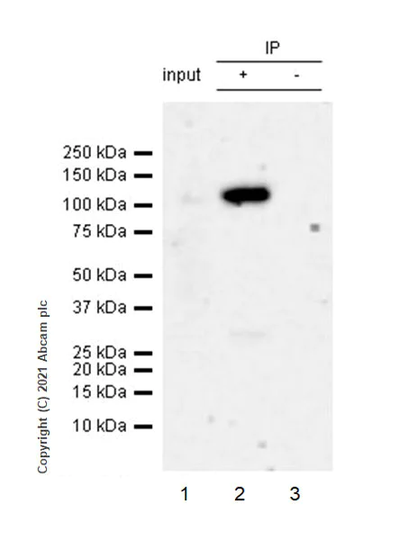
Immunoprecipitation - Anti-Synaptopodin antibody [EPR23922-79] - BSA and Azide free (AB282117)
  • IP

Supplier Data

Immunoprecipitation - Anti-Synaptopodin antibody [EPR23922-79] - BSA and Azide free (AB282117)

This data was developed using ab259976, the same antibody clone in a different buffer formulation.

Synaptopodin was immunoprecipitated from 0.35 mg rat hippocampus tissue lysate 10μg with ab259976 at 1/30 dilution (2μg in 0.35mg lysates). Western blot was performed on the immunoprecipitate using ab259976 at 1/1000 dilution. VeriBlot for IP secondary antibody(HRP)(ab131366) was used at 1/5000 dilution.

Lane 1 : Rat hippocampus tissue lysate 10μg

Lane 2 : ab259976 IP in rat hippocampus tissue lysate

Lane 3 : Rabbit monoclonal IgG (ab172730) instead of ab259976 in rat hippocampus tissue lysate

Blocking and dilution buffer and concentration : 5% NFDM/TBST.

Exposure time : 3 minutes

All lanes:

Immunoprecipitation - Anti-Synaptopodin antibody [EPR23922-79] (<a href='/en-us/products/primary-antibodies/synaptopodin-antibody-epr23922-79-ab259976'>ab259976</a>)

Predicted band size: 99 kDa

Observed band size: 100 kDa

false

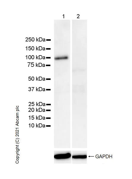
Western blot - Anti-Synaptopodin antibody [EPR23922-79] - BSA and Azide free (AB282117)
  • WB

Lab

Western blot - Anti-Synaptopodin antibody [EPR23922-79] - BSA and Azide free (AB282117)

This data was developed using ab259976, the same antibody clone in a different buffer formulation.

Blocking and diluting buffer and concentration : 5% NFDM/TBST

The molecular weight is consistent to what has been described in literatures (PMID : 18724379, PMID : 15841212)

Negative control : liver (PMID : 11595771)

This blot was developed using a higher sensitivity ECL substrate.

Exposure time : 92 seconds

All lanes:

Western blot - Anti-Synaptopodin antibody [EPR23922-79] (<a href='/en-us/products/primary-antibodies/synaptopodin-antibody-epr23922-79-ab259976'>ab259976</a>) at 1/1000 dilution

Lane 1:

Rat hippocampus tissue lysate at 20 µg

Lane 2:

Rat liver tissue lysate at 40 µg

Secondary

All lanes:

Western blot - Goat Anti-Rabbit IgG H&L (HRP) (<a href='/en-us/products/secondary-antibodies/goat-rabbit-igg-h-l-hrp-ab97051'>ab97051</a>) at 1/100000 dilution

Predicted band size: 99 kDa

Observed band size: 100 kDa

false

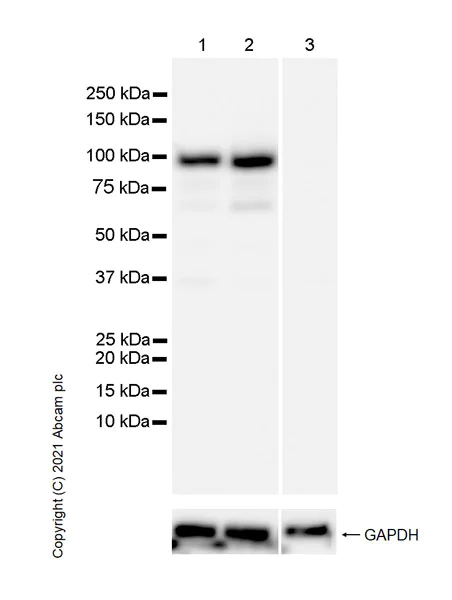
Western blot - Anti-Synaptopodin antibody [EPR23922-79] - BSA and Azide free (AB282117)
  • WB

Lab

Western blot - Anti-Synaptopodin antibody [EPR23922-79] - BSA and Azide free (AB282117)

This data was developed using ab259976, the same antibody clone in a different buffer formulation.

Blocking and diluting buffer and concentration : 5% NFDM/TBST

The molecular weight is consistent to what has been described in literatures (PMID : 18724379, PMID : 15841212)

Negative control : liver (PMID : 11595771)

Exposure time : 15 seconds

All lanes:

Western blot - Anti-Synaptopodin antibody [EPR23922-79] (<a href='/en-us/products/primary-antibodies/synaptopodin-antibody-epr23922-79-ab259976'>ab259976</a>) at 1/1000 dilution

Lane 1:

Mouse hippocampus tissue lysate at 20 µg

Lane 2:

Mouse brain tissue lysate at 20 µg

Lane 3:

Mouse liver tissue lysate at 40 µg

Secondary

All lanes:

Western blot - Goat Anti-Rabbit IgG H&L (HRP) (<a href='/en-us/products/secondary-antibodies/goat-rabbit-igg-h-l-hrp-ab97051'>ab97051</a>) at 1/100000 dilution

Predicted band size: 99 kDa

Observed band size: 100 kDa

false

Key facts

Host species

Rabbit

Clonality

Monoclonal

Clone number

EPR23922-79

Isotype

IgG

Carrier free

Yes

Reacts with

Mouse, Rat, Human

Applications

IP, WB, IHC-Fr, IHC-P

applications

Immunogen

The exact immunogen used to generate this antibody is proprietary information.

Reactivity data

{ "title": "Reactivity Data", "filters": { "stats": ["", "Species", "Dilution Info", "Notes"], "tabs": { "all-applications": {"fullname" : "All Applications", "shortname": "All Applications"}, "IP" : {"fullname" : "Immunoprecipitation", "shortname":"IP"}, "FlowCyt" : {"fullname" : "Flow Cytometry", "shortname":"Flow Cyt"}, "WB" : {"fullname" : "Western blot", "shortname":"WB"}, "IHCFr" : {"fullname" : "Immunohistochemistry (Frozen sections)", "shortname":"IHC-Fr"}, "IHCP" : {"fullname" : "Immunohistochemistry (Formalin/PFA-fixed paraffin-embedded sections)", "shortname":"IHC-P"} }, "product-promise": { "all": "all", "testedAndGuaranteed": "tested", "guaranteed": "expected", "predicted": "predicted", "notRecommended": "not-recommended" } }, "values": { "Human": { "IP-species-checked": "guaranteed", "IP-species-dilution-info": "", "IP-species-notes": "", "FlowCyt-species-checked": "notRecommended", "FlowCyt-species-dilution-info": "", "FlowCyt-species-notes": "<p></p>", "WB-species-checked": "notRecommended", "WB-species-dilution-info": "", "WB-species-notes": "<p></p>", "IHCFr-species-checked": "guaranteed", "IHCFr-species-dilution-info": "", "IHCFr-species-notes": "", "IHCP-species-checked": "testedAndGuaranteed", "IHCP-species-dilution-info": "", "IHCP-species-notes": "<p></p>" }, "Mouse": { "IP-species-checked": "testedAndGuaranteed", "IP-species-dilution-info": "", "IP-species-notes": "<p></p>", "FlowCyt-species-checked": "notRecommended", "FlowCyt-species-dilution-info": "", "FlowCyt-species-notes": "<p></p>", "WB-species-checked": "testedAndGuaranteed", "WB-species-dilution-info": "", "WB-species-notes": "<p></p>", "IHCFr-species-checked": "testedAndGuaranteed", "IHCFr-species-dilution-info": "", "IHCFr-species-notes": "<p>Heat mediated antigen retrieval using sodium citrate buffer (10mM citrate pH 6.0 + 0.05% Tween-20)</p>", "IHCP-species-checked": "testedAndGuaranteed", "IHCP-species-dilution-info": "", "IHCP-species-notes": "<p></p>" }, "Rat": { "IP-species-checked": "testedAndGuaranteed", "IP-species-dilution-info": "", "IP-species-notes": "<p></p>", "FlowCyt-species-checked": "notRecommended", "FlowCyt-species-dilution-info": "", "FlowCyt-species-notes": "<p></p>", "WB-species-checked": "testedAndGuaranteed", "WB-species-dilution-info": "", "WB-species-notes": "<p></p>", "IHCFr-species-checked": "testedAndGuaranteed", "IHCFr-species-dilution-info": "", "IHCFr-species-notes": "<p>Heat mediated antigen retrieval using sodium citrate buffer (10mM citrate pH 6.0 + 0.05% Tween-20)</p>", "IHCP-species-checked": "testedAndGuaranteed", "IHCP-species-dilution-info": "", "IHCP-species-notes": "<p></p>" } } }

Product details

ab282117 is the carrier-free version of ab259976.

Patented technology
Our RabMAb® technology is a patented hybridoma-based technology for making rabbit monoclonal antibodies. For details on our patents, please refer to RabMAb® patents.

What are the advantages of a recombinant monoclonal antibody?
This product is a recombinant monoclonal antibody, which offers several advantages including:

  • - High batch-to-batch consistency and reproducibility
  • - Improved sensitivity and specificity
  • - Long-term security of supply
  • - Animal-free batch production

For more information, read more on recombinant antibodies.

Conjugation ready
Our carrier-free antibodies are typically supplied in a PBS-only formulation, purified and free of BSA, sodium azide and glycerol. This conjugation-ready format is designed for use with fluorochromes, metal isotopes, oligonucleotides, and enzymes, which makes them ideal for antibody labelling, functional and cell-based assays, flow-based assays (e.g. mass cytometry) and Multiplex Imaging applications.

Use our conjugation kits for antibody conjugates that are ready-to-use in as little as 20 minutes with 1 minute hands-on-time and 100% antibody recovery: available for fluorescent dyes, HRP, biotin and gold.

Compatibility
This product is compatible with the Maxpar® Antibody Labeling Kit from Fluidigm, without the need for antibody preparation. Maxpar® is a trademark of Fluidigm Canada Inc.

Properties and storage information

Form
Liquid
Purification technique
Affinity purification Protein A
Storage buffer
Constituents: PBS
Shipped at conditions
Blue Ice
Appropriate short-term storage conditions
+4°C
Appropriate long-term storage conditions
+4°C
Storage information
Do Not Freeze

Supplementary information

This supplementary information is collated from multiple sources and compiled automatically.

Synaptopodin also known as SYNPO is an actin-associated protein with a molecular mass of approximately 100 kDa. It plays a mechanical role by associating and bundling actin filaments important for cytoskeletal dynamics. Synaptopodin gets expressed mainly in podocytes of the kidney as well as in certain neurons particularly found in dendritic spines and telencephalic dendrites. This protein is sensitive to calcium signaling which influences its interaction with the actin cytoskeleton.
Biological function summary

The actin-modulating effects of Synaptopodin contribute to the regulation of cell shape and motility. Synaptopodin is essential for the formation of the dendritic spine apparatus working as a part of a protein complex that stabilizes dendritic spines which are key to synaptic plasticity and signal transduction. The protein can also influence the podocyte function in the kidney maintaining the structure of foot processes that are fundamental for the kidney filtration barrier.

Pathways

Synaptopodin plays an important role in the maintenance of synaptic plasticity and the actin cytoskeleton pathway which affects both neuronal plasticity and kidney function. Within these pathways Synaptopodin interacts with proteins like alpha-actinin and myosin-Va forming linkages that stabilize actin filaments and regulate cytoskeletal organization. The protein contributes to the protection of neurons and kidney glomeruli through signaling pathways that affect actin dynamic balance.

Synaptopodin has significant implications in nephrotic syndrome and Alzheimer's disease. In nephrotic syndrome alterations in Synaptopodin expression or function can lead to podocyte injury contributing to kidney dysfunction. In Alzheimer's disease Synaptopodin modulation of spine morphology may impact synaptic connectivity and cognitive function. The protein interacts with nephrin in kidney pathology and potentially affects tau protein signaling in Alzheimer's illustrating its vital role in both neurological and renal health.

Product protocols

For this product, it's our understanding that no specific protocols are required. You can visit:

Target data

Actin-associated protein that may play a role in modulating actin-based shape and motility of dendritic spines and renal podocyte foot processes. Seems to be essential for the formation of spine apparatuses in spines of telencephalic neurons, which is involved in synaptic plasticity (By similarity).
See full target information SYNPO

Product promise

We are committed to supporting your work with high-quality reagents, and we're here for you every step of the way. In the unlikely event that one of our products does not perform as expected, you're protected by our Product Promise.
For full details, please see our Terms & Conditions

Please note: All products are 'FOR RESEARCH USE ONLY. NOT FOR USE IN DIAGNOSTIC OR THERAPEUTIC PROCEDURES'.

For licensing inquiries, please contact partnerships@abcam.com