JavaScript is disabled in your browser. Please enable JavaScript to view this website.
AB311844

Anti-Synaptotagmin VII antibody [EPR27957-6] - BSA and Azide free

Be the first to review this product! Submit a review

|

(0 Publication)

Rabbit Recombinant Monoclonal Synaptotagmin VII antibody. Carrier free. Suitable for WB, IHC-Fr, IHC-P and reacts with Recombinant fragment - Mouse, Human, Mouse, Rat samples.

View Alternative Names

Synaptotagmin-7, Synaptotagmin VII, SytVII, Syt7

11 Images
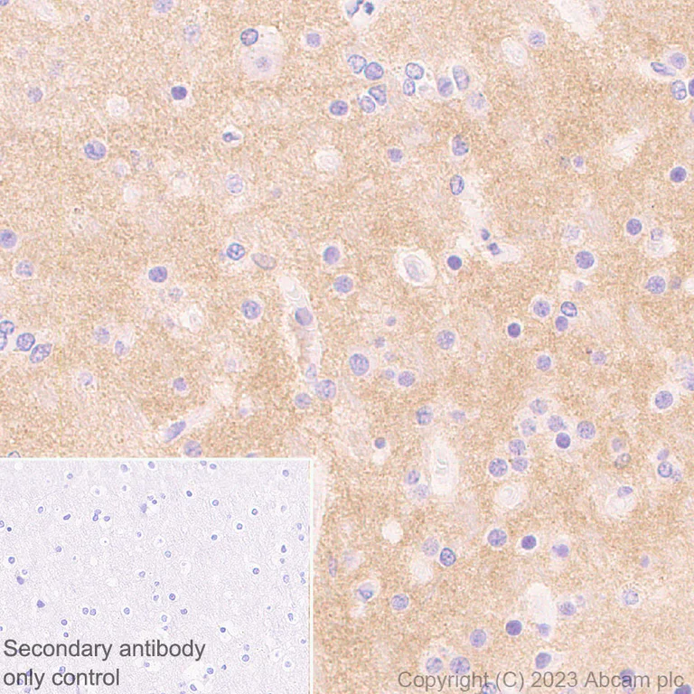
Immunohistochemistry (Formalin/PFA-fixed paraffin-embedded sections) - Anti-Synaptotagmin VII antibody [EPR27957-6] - BSA and Azide free (AB311844)
  • IHC-P

Supplier Data

Immunohistochemistry (Formalin/PFA-fixed paraffin-embedded sections) - Anti-Synaptotagmin VII antibody [EPR27957-6] - BSA and Azide free (AB311844)

This data was developed using ab311843, the same antibody clone in a different buffer formulation. Immunohistochemical analysis of paraffin-embedded Human cerebrum tissue labeling Synaptotagmin VII with ab311843 at 1/2000 (0.265 ug/ml) followed by a ready to use Rabbit specific IHC polymer detection kit HRP/DAB (ab209101). Cytoplasmic staining on human cererbrum. The section was incubated with ab311843 for 30 mins at room temperature.The immunostaining was performed on a Leica Biosystems BOND® RX instrument Counterstained with Hematoxylin. Secondary antibody only control : Secondary antibody is a ready to use Rabbit specific IHC polymer detection kit HRP/DAB (ab209101). Heat mediated antigen retrieval was performed with Citrate buffer (pH 6.0, Epitope Retrieval Solution 1) for 20 mins

Immunohistochemistry (Frozen sections) - Anti-Synaptotagmin VII antibody [EPR27957-6] - BSA and Azide free (AB311844)
  • IHC-Fr

Supplier Data

Immunohistochemistry (Frozen sections) - Anti-Synaptotagmin VII antibody [EPR27957-6] - BSA and Azide free (AB311844)

This data was developed using ab311843, the same antibody clone in a different buffer formulation. Immunohistochemical analysis of 4% PFA-fixed, 0.2% Triton X-100 permeabilized frozen Mouse liver (fresh) tissue labeling Synaptotagmin VII with ab311843 at 1/50 (10.6 ug/ml) dilution followed by ab150081 Goat Anti-Rabbit IgG H&L (Alexa Fluor® 488) preadsorbed at 1/1000 2 ug/mL dilution (Green). Negative control : confocal image showing no staining on mouse liver (PMID : 7791877). The nuclear counterstain was DAPI (Blue). The section was incubated with ab311843 for 60 mins at room temperature. The section was then mounted using Fluoromount®.The immunostaining was performed on a Leica Biosystems BOND® RX instrument. Image was taken with a confocal microscope (Leica-Microsystems, TCS SP8). is observed. The nuclear counterstain was DAPI (Blue). Secondary antibody control : Secondary antibody is ab150081 Goat Anti-Rabbit IgG H&L (Alexa Fluor® 488) preadsorbedat 1/1000 2 ug/mL dilution.

Immunohistochemistry (Frozen sections) - Anti-Synaptotagmin VII antibody [EPR27957-6] - BSA and Azide free (AB311844)
  • IHC-Fr

Supplier Data

Immunohistochemistry (Frozen sections) - Anti-Synaptotagmin VII antibody [EPR27957-6] - BSA and Azide free (AB311844)

This data was developed using ab311843, the same antibody clone in a different buffer formulation. Immunohistochemical analysis of 4% PFA-fixed, 0.2% Triton X-100 permeabilized frozen Rat liver (fresh) tissue labeling Synaptotagmin VII with ab311843 at 1/50 (10.6 ug/ml) dilution followed by ab150081 Goat Anti-Rabbit IgG H&L (Alexa Fluor® 488) preadsorbed at 1/1000 2 ug/mL dilution (Green). Negative control : confocal image showing no staining on rat liver (PMID : 7791877). The nuclear counterstain was DAPI (Blue). The section was incubated with ab311843 for 60 mins at room temperature. The section was then mounted using Fluoromount®.The immunostaining was performed on a Leica Biosystems BOND® RX instrument. Image was taken with a confocal microscope (Leica-Microsystems, TCS SP8). is observed. The nuclear counterstain was DAPI (Blue). Secondary antibody control : Secondary antibody is ab150081 Goat Anti-Rabbit IgG H&L (Alexa Fluor® 488) preadsorbedat 1/1000 2 ug/mL dilution.

Immunohistochemistry (Frozen sections) - Anti-Synaptotagmin VII antibody [EPR27957-6] - BSA and Azide free (AB311844)
  • IHC-Fr

Supplier Data

Immunohistochemistry (Frozen sections) - Anti-Synaptotagmin VII antibody [EPR27957-6] - BSA and Azide free (AB311844)

This data was developed using ab311843, the same antibody clone in a different buffer formulation. Immunohistochemical analysis of 4% PFA-fixed, 0.2% Triton X-100 permeabilized frozen Rat cerebellum (fresh) tissue labeling Synaptotagmin VII with ab311843 at 1/50 (10.6 ug/ml) dilution followed by ab150081 Goat Anti-Rabbit IgG H&L (Alexa Fluor® 488) preadsorbed at 1/1000 2 ug/mL dilution (Green). Confocal image showing positive staining on rat cerebellum. The nuclear counterstain was DAPI (Blue). The section was incubated with ab311843 for 60 mins at room temperature. The section was then mounted using Fluoromount®.The immunostaining was performed on a Leica Biosystems BOND® RX instrument. Image was taken with a confocal microscope (Leica-Microsystems, TCS SP8). is observed. The nuclear counterstain was DAPI (Blue). Secondary antibody control : Secondary antibody is ab150081 Goat Anti-Rabbit IgG H&L (Alexa Fluor® 488) preadsorbedat 1/1000 2 ug/mL dilution.

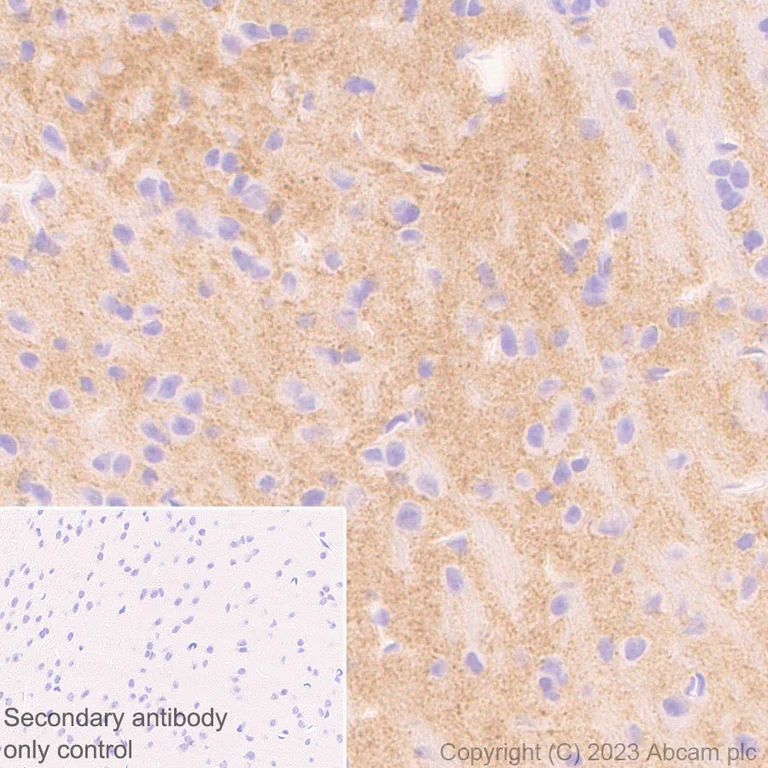
Immunohistochemistry (Formalin/PFA-fixed paraffin-embedded sections) - Anti-Synaptotagmin VII antibody [EPR27957-6] - BSA and Azide free (AB311844)
  • IHC-P

Supplier Data

Immunohistochemistry (Formalin/PFA-fixed paraffin-embedded sections) - Anti-Synaptotagmin VII antibody [EPR27957-6] - BSA and Azide free (AB311844)

This data was developed using ab311843, the same antibody clone in a different buffer formulation. Immunohistochemical analysis of paraffin-embedded Rat cerebrum tissue labeling Synaptotagmin VII with ab311843 at 1/2000 (0.265 ug/ml) followed by a ready to use Rabbit specific IHC polymer detection kit HRP/DAB (ab209101). Cytoplasmic staining on rat cererbrum.The section was incubated with ab311843 for 30 mins at room temperature.The immunostaining was performed on a Leica Biosystems BOND® RX instrument Counterstained with Hematoxylin. Secondary antibody only control : Secondary antibody is a ready to use Rabbit specific IHC polymer detection kit HRP/DAB (ab209101). Heat mediated antigen retrieval was performed with Citrate buffer (pH 6.0, Epitope Retrieval Solution 1) for 20 mins

Immunohistochemistry (Formalin/PFA-fixed paraffin-embedded sections) - Anti-Synaptotagmin VII antibody [EPR27957-6] - BSA and Azide free (AB311844)
  • IHC-P

Supplier Data

Immunohistochemistry (Formalin/PFA-fixed paraffin-embedded sections) - Anti-Synaptotagmin VII antibody [EPR27957-6] - BSA and Azide free (AB311844)

This data was developed using ab311843, the same antibody clone in a different buffer formulation. Immunohistochemical analysis of paraffin-embedded Mouse cerebrum tissue labeling Synaptotagmin VII with ab311843 at 1/2000 (0.265 ug/ml) followed by a ready to use Rabbit specific IHC polymer detection kit HRP/DAB (ab209101). Cytoplasmic staining on mouse cererbrum (PMID : 29593071). The section was incubated with ab311843 for 30 mins at room temperature.The immunostaining was performed on a Leica Biosystems BOND® RX instrument Counterstained with Hematoxylin. Secondary antibody only control : Secondary antibody is a ready to use Rabbit specific IHC polymer detection kit HRP/DAB (ab209101). Heat mediated antigen retrieval was performed with Citrate buffer (pH 6.0, Epitope Retrieval Solution 1) for 20 mins

Immunohistochemistry (Frozen sections) - Anti-Synaptotagmin VII antibody [EPR27957-6] - BSA and Azide free (AB311844)
  • IHC-Fr

Supplier Data

Immunohistochemistry (Frozen sections) - Anti-Synaptotagmin VII antibody [EPR27957-6] - BSA and Azide free (AB311844)

This data was developed using ab311843, the same antibody clone in a different buffer formulation. Immunohistochemical analysis of 4% PFA-fixed, 0.2% Triton X-100 permeabilized frozen Mouse cerebellum (fresh) tissue labeling Synaptotagmin VII with ab311843 at 1/50 (10.6 ug/ml) dilution followed by ab150081 Goat Anti-Rabbit IgG H&L (Alexa Fluor® 488) preadsorbed at 1/1000 2 ug/mL dilution (Green). Confocal image showing positive staining on mouse cerebellum. The nuclear counterstain was DAPI (Blue). The section was incubated with ab311843 for 60 mins at room temperature. The section was then mounted using Fluoromount®.The immunostaining was performed on a Leica Biosystems BOND® RX instrument. Image was taken with a confocal microscope (Leica-Microsystems, TCS SP8). is observed. The nuclear counterstain was DAPI (Blue). Secondary antibody control : Secondary antibody is ab150081 Goat Anti-Rabbit IgG H&L (Alexa Fluor® 488) preadsorbedat 1/1000 2 ug/mL dilution.

Immunohistochemistry (Formalin/PFA-fixed paraffin-embedded sections) - Anti-Synaptotagmin VII antibody [EPR27957-6] - BSA and Azide free (AB311844)
  • IHC-P

Supplier Data

Immunohistochemistry (Formalin/PFA-fixed paraffin-embedded sections) - Anti-Synaptotagmin VII antibody [EPR27957-6] - BSA and Azide free (AB311844)

This data was developed using ab311843, the same antibody clone in a different buffer formulation. Immunohistochemical analysis of paraffin-embedded Mouse liver tissue labeling Synaptotagmin VII with ab311843 at 1/2000 (0.265 ug/ml) followed by a ready to use Rabbit specific IHC polymer detection kit HRP/DAB (ab209101). Negative control : No staining on mouse liver. The section was incubated with ab311843 for 30 mins at room temperature.The immunostaining was performed on a Leica Biosystems BOND® RX instrument Counterstained with Hematoxylin. Secondary antibody only control : Secondary antibody is a ready to use Rabbit specific IHC polymer detection kit HRP/DAB (ab209101). Heat mediated antigen retrieval was performed with Citrate buffer (pH 6.0, Epitope Retrieval Solution 1) for 20 mins

Western blot - Anti-Synaptotagmin VII antibody [EPR27957-6] - BSA and Azide free (AB311844)
  • WB

Supplier Data

Western blot - Anti-Synaptotagmin VII antibody [EPR27957-6] - BSA and Azide free (AB311844)

This data was developed using ab311843, the same antibody clone in a different buffer formulation. Blocking and diluting buffer and concentration : 5% NFDM/TBST Negative control : liver, testis(PMID : 7791877). Samples are non-boiled as boiling may cause protein aggregation. The expression profile/ molecular weight observed is consistent with what has been described in the literature (PMID : 7791877). In Western blot, anti-GAPDH antibody (ab181602) loading control staining at 1/200000 dilution. Exposure time : 37 seconds

All lanes:

Western blot - Anti-Synaptotagmin VII antibody [EPR27957-6] (<a href='/en-us/products/primary-antibodies/synaptotagmin-vii-antibody-epr27957-6-ab311843'>ab311843</a>) at 1/1000 dilution

Lane 1:

Rat brain tissue lysate at 20 µg

Lane 2:

Rat cerebellum tissue lysate at 20 µg

Lane 3:

Rat olfactory bb tissue lysate 20 at 20 µg

Lane 4:

Rat liver tissue lysate at 20 µg

Lane 5:

Rat testis tissue lysate at 20 µg

Lane 6:

Human cerebellum tissue lysate at 20 µg

Lane 7:

human hypothalamus tissue lysate at 20 µg

Lane 8:

human liver tissue lysate at 20 µg

Secondary

All lanes:

Western blot - Goat Anti-Rabbit IgG H&L (HRP) (<a href='/en-us/products/secondary-antibodies/goat-rabbit-igg-h-l-hrp-ab97051'>ab97051</a>) at 1/100000 dilution

Observed band size: 60 kDa

false

Exposure time: 37s

Western blot - Anti-Synaptotagmin VII antibody [EPR27957-6] - BSA and Azide free (AB311844)
  • WB

Supplier Data

Western blot - Anti-Synaptotagmin VII antibody [EPR27957-6] - BSA and Azide free (AB311844)

This data was developed using ab311843, the same antibody clone in a different buffer formulation. Blocking and diluting buffer and concentration : 5% NFDM/TBST Negative control : liver, testis(PMID : 7791877). Samples are non-boiled as boiling may cause protein aggregation. The expression profile/ molecular weight observed is consistent with what has been described in the literature (PMID : 7791877). In Western blot, anti-GAPDH antibody (ab181602) loading control staining at 1/200000 dilution. Exposure time : 37 seconds

All lanes:

Western blot - Anti-Synaptotagmin VII antibody [EPR27957-6] (<a href='/en-us/products/primary-antibodies/synaptotagmin-vii-antibody-epr27957-6-ab311843'>ab311843</a>) at 1/1000 dilution

Lane 1:

Mouse brain tissue lysate at 20 µg

Lane 2:

Mouse cerebellum tissue lysate at 20 µg

Lane 3:

Mouse hippocampus tissue lysate at 20 µg

Lane 4:

Mouse liver tissue lysate at 20 µg

Lane 5:

Mouse testis tissue lysate at 20 µg

Secondary

All lanes:

Western blot - Goat Anti-Rabbit IgG H&L (HRP) (<a href='/en-us/products/secondary-antibodies/goat-rabbit-igg-h-l-hrp-ab97051'>ab97051</a>) at 1/100000 dilution

Observed band size: 60 kDa

false

Exposure time: 37s

Western blot - Anti-Synaptotagmin VII antibody [EPR27957-6] - BSA and Azide free (AB311844)
  • WB

Supplier Data

Western blot - Anti-Synaptotagmin VII antibody [EPR27957-6] - BSA and Azide free (AB311844)

This data was developed using ab311843, the same antibody clone in a different buffer formulation. Blocking and diluting buffer and concentration : 5% NFDM/TBST This antibody has weak cross reactivity with mouse SYT1 and SYT2. In Western blot, anti-His antibody (ab213204) staining at 1/5000 dilution. Exposure time : 37 seconds

All lanes:

Western blot - Anti-Synaptotagmin VII antibody [EPR27957-6] (<a href='/en-us/products/primary-antibodies/synaptotagmin-vii-antibody-epr27957-6-ab311843'>ab311843</a>) at 1/1000 dilution

Lane 1:

His-tagged mouse SYT7 recombinant protein at 10 ng

Lane 2:

His-tagged mouse SYT2 recombinant protein at 10 ng

Lane 3:

His-tagged mouse SYT1 recombinant protein at 10 ng

Lane 4:

His-tagged mouse SYT3 recombinant protein at 10 ng

Lane 5:

His-tagged mouse SYT4 recombinant protein at 100 ng

Lane 6:

His-tagged mouse SYT5 recombinant protein at 100 ng

Lane 7:

His-tagged mouse SYT6 recombinant protein at 10 ng

Lane 8:

His-tagged mouse SYT9 recombinant protein at 10 ng

Secondary

All lanes:

Western blot - Goat Anti-Rabbit IgG H&L (HRP) (<a href='/en-us/products/secondary-antibodies/goat-rabbit-igg-h-l-hrp-ab97051'>ab97051</a>) at 1/100000 dilution

false

Exposure time: 37s

Key facts

Host species

Rabbit

Clonality

Monoclonal

Clone number

EPR27957-6

Isotype

IgG

Carrier free

Yes

Reacts with

Human, Mouse, Rat

Applications

IHC-P, IHC-Fr, WB

applications

Immunogen

The exact immunogen used to generate this antibody is proprietary information.

Reactivity data

{ "title": "Reactivity Data", "filters": { "stats": ["", "Species", "Dilution Info", "Notes"], "tabs": { "all-applications": {"fullname" : "All Applications", "shortname": "All Applications"}, "WB" : {"fullname" : "Western blot", "shortname":"WB"}, "IHCFr" : {"fullname" : "Immunohistochemistry (Frozen sections)", "shortname":"IHC-Fr"}, "IHCP" : {"fullname" : "Immunohistochemistry (Formalin/PFA-fixed paraffin-embedded sections)", "shortname":"IHC-P"}, "FlowCytIntra" : {"fullname" : "Flow Cytometry (Intracellular)", "shortname":"Flow Cyt (Intra)"}, "ICCIF" : {"fullname" : "Immunocytochemistry/ Immunofluorescence", "shortname":"ICC/IF"}, "IP" : {"fullname" : "Immunoprecipitation", "shortname":"IP"} }, "product-promise": { "all": "all", "testedAndGuaranteed": "tested", "guaranteed": "expected", "predicted": "predicted", "notRecommended": "not-recommended" } }, "values": { "Human": { "WB-species-checked": "testedAndGuaranteed", "WB-species-dilution-info": "", "WB-species-notes": "<p></p>", "IHCFr-species-checked": "guaranteed", "IHCFr-species-dilution-info": "", "IHCFr-species-notes": "", "IHCP-species-checked": "testedAndGuaranteed", "IHCP-species-dilution-info": "", "IHCP-species-notes": "<p></p>", "FlowCytIntra-species-checked": "notRecommended", "FlowCytIntra-species-dilution-info": "", "FlowCytIntra-species-notes": "", "ICCIF-species-checked": "notRecommended", "ICCIF-species-dilution-info": "", "ICCIF-species-notes": "", "IP-species-checked": "notRecommended", "IP-species-dilution-info": "", "IP-species-notes": "" }, "Mouse": { "WB-species-checked": "testedAndGuaranteed", "WB-species-dilution-info": "", "WB-species-notes": "<p></p>", "IHCFr-species-checked": "testedAndGuaranteed", "IHCFr-species-dilution-info": "", "IHCFr-species-notes": "<p></p>", "IHCP-species-checked": "testedAndGuaranteed", "IHCP-species-dilution-info": "", "IHCP-species-notes": "<p></p>", "FlowCytIntra-species-checked": "notRecommended", "FlowCytIntra-species-dilution-info": "", "FlowCytIntra-species-notes": "<p></p>", "ICCIF-species-checked": "notRecommended", "ICCIF-species-dilution-info": "", "ICCIF-species-notes": "<p></p>", "IP-species-checked": "notRecommended", "IP-species-dilution-info": "", "IP-species-notes": "<p></p>" }, "Rat": { "WB-species-checked": "testedAndGuaranteed", "WB-species-dilution-info": "", "WB-species-notes": "<p></p>", "IHCFr-species-checked": "testedAndGuaranteed", "IHCFr-species-dilution-info": "", "IHCFr-species-notes": "<p></p>", "IHCP-species-checked": "testedAndGuaranteed", "IHCP-species-dilution-info": "", "IHCP-species-notes": "<p></p>", "FlowCytIntra-species-checked": "notRecommended", "FlowCytIntra-species-dilution-info": "", "FlowCytIntra-species-notes": "", "ICCIF-species-checked": "notRecommended", "ICCIF-species-dilution-info": "", "ICCIF-species-notes": "<p></p>", "IP-species-checked": "notRecommended", "IP-species-dilution-info": "", "IP-species-notes": "" }, "Recombinant fragment - Mouse": { "WB-species-checked": "testedAndGuaranteed", "WB-species-dilution-info": "", "WB-species-notes": "<p></p>", "IHCFr-species-checked": "notRecommended", "IHCFr-species-dilution-info": "", "IHCFr-species-notes": "", "IHCP-species-checked": "notRecommended", "IHCP-species-dilution-info": "", "IHCP-species-notes": "", "FlowCytIntra-species-checked": "notRecommended", "FlowCytIntra-species-dilution-info": "", "FlowCytIntra-species-notes": "", "ICCIF-species-checked": "notRecommended", "ICCIF-species-dilution-info": "", "ICCIF-species-notes": "", "IP-species-checked": "notRecommended", "IP-species-dilution-info": "", "IP-species-notes": "" } } }

Product details

Patented technology
Our RabMAb® technology is a patented hybridoma-based technology for making rabbit monoclonal antibodies. For details on our patents, please refer to RabMAb® patents.

What are the advantages of a recombinant monoclonal antibody?
This product is a recombinant monoclonal antibody, which offers several advantages including:

  • - High batch-to-batch consistency and reproducibility
  • - Improved sensitivity and specificity
  • - Long-term security of supply
  • - Animal-free batch production

For more information, read more on recombinant antibodies.

Conjugation ready
Our carrier-free antibodies are typically supplied in a PBS-only formulation, purified and free of BSA, sodium azide and glycerol. This conjugation-ready format is designed for use with fluorochromes, metal isotopes, oligonucleotides, and enzymes, which makes them ideal for antibody labelling, functional and cell-based assays, flow-based assays (e.g. mass cytometry) and Multiplex Imaging applications.

Use our conjugation kits for antibody conjugates that are ready-to-use in as little as 20 minutes with 1 minute hands-on-time and 100% antibody recovery: available for fluorescent dyes, HRP, biotin and gold.

Compatibility
This product is compatible with the Maxpar® Antibody Labeling Kit from Fluidigm, without the need for antibody preparation. Maxpar® is a trademark of Fluidigm Canada Inc.

Properties and storage information

Form
Liquid
Purification technique
Affinity purification Protein A
Storage buffer
pH: 7.2 - 7.4 Constituents: PBS
Shipped at conditions
Blue Ice
Appropriate short-term storage conditions
+4°C
Appropriate long-term storage conditions
+4°C

Supplementary information

This supplementary information is collated from multiple sources and compiled automatically.

Synaptotagmin VII also known as Syt7 is a calcium-sensitive protein that plays an important role in the process of vesicle trafficking and membrane fusion. It has a molecular weight of approximately 48 kDa. This protein belongs to the synaptotagmin family with several isoforms expressed in different tissues. Synaptotagmin VII is mainly found in the cerebrum and other parts of the central nervous system where it regulates neurotransmitter release. Its calcium-binding domains are essential for its function in synaptic vesicle exocytosis and endocytosis.
Biological function summary

The function of Synaptotagmin VII involves the facilitation of calcium-dependent exocytosis. It acts as a calcium sensor that triggers the rapid release of neurotransmitters in response to synaptic activity. Synaptotagmin VII forms part of a larger protein complex that includes SNARE proteins which are directly involved in the docking and fusion of synaptic vesicles. Synaptotagmin VII's action ensures efficient communication between neurons by ensuring that neurotransmitter release occurs at the right moment when triggered by a rise in intracellular calcium levels.

Pathways

Synaptotagmin VII is important for pathways that involve synaptic vesicle cycling which includes the calcium-triggered synaptic vesicle exocytosis pathway. It interacts with other proteins such as syntaxin and SNAP-25 as part of the SNARE complex which mediates vesicle fusion. Synaptotagmin VII's function in these pathways ensures that neuronal signaling is rapid and tightly regulated a vital component for maintaining synaptic plasticity and normal brain function.

Alterations in Synaptotagmin VII expression or function can be linked to neurological conditions such as epilepsy and certain forms of cognitive dysfunction. Dysregulation of Synaptotagmin VII may lead to impaired neurotransmission contributing to the pathophysiology of these disorders. Moreover its connection with proteins in the SNARE complex hints at its potential involvement in diseases where these pathways are disrupted. For instance an imbalance in synaptotagmin and SNARE protein interactions can lead to defective neurotransmitter release potentially exacerbating synaptic abnormalities observed in some seizure disorders.

Product protocols

For this product, it's our understanding that no specific protocols are required. You can visit:

Target data

Ca(2+) sensor involved in Ca(2+)-dependent exocytosis of secretory and synaptic vesicles through Ca(2+) and phospholipid binding to the C2 domain. Ca(2+) induces binding of the C2-domains to phospholipid membranes and to assembled SNARE-complexes; both actions contribute to triggering exocytosis. SYT7 binds Ca(2+) with high affinity and slow kinetics compared to other synaptotagmins (PubMed : 26738595). Involved in Ca(2+)-triggered lysosomal exocytosis, a major component of the plasma membrane repair (By similarity). Ca(2+)-regulated delivery of lysosomal membranes to the cell surface is also involved in the phagocytic uptake of particles by macrophages (PubMed : 16982801, PubMed : 21041449). Ca(2+)-triggered lysosomal exocytosis also plays a role in bone remodeling by regulating secretory pathways in osteoclasts and osteoblasts (PubMed : 18539119). Involved in cholesterol transport from lysosome to peroxisome by promoting membrane contacts between lysosomes and peroxisomes : probably acts by promoting vesicle fusion by binding phosphatidylinositol-4,5-bisphosphate on peroxisomal membranes (PubMed : 25860611). Acts as a key mediator of synaptic facilitation, a process also named short-term synaptic potentiation : synaptic facilitation takes place at synapses with a low initial release probability and is caused by influx of Ca(2+) into the axon terminal after spike generation, increasing the release probability of neurotransmitters (PubMed : 24569478, PubMed : 26738595). Probably mediates synaptic facilitation by directly increasing the probability of release (PubMed : 26738595). May also contribute to synaptic facilitation by regulating synaptic vesicle replenishment, a process required to ensure that synaptic vesicles are ready for the arrival of the next action potential : SYT7 is required for synaptic vesicle replenishment by acting as a sensor for Ca(2+) and by forming a complex with calmodulin (PubMed : 24569478). Also acts as a regulator of Ca(2+)-dependent insulin and glucagon secretion in beta-cells (PubMed : 18308938, PubMed : 19171650). Triggers exocytosis by promoting fusion pore opening and fusion pore expansion in chromaffin cells (PubMed : 20956309). Also regulates the secretion of some non-synaptic secretory granules of specialized cells (By similarity).
See full target information Synaptotagmin-7

Product promise

We are committed to supporting your work with high-quality reagents, and we're here for you every step of the way. In the unlikely event that one of our products does not perform as expected, you're protected by our Product Promise.
For full details, please see our Terms & Conditions

Please note: All products are 'FOR RESEARCH USE ONLY. NOT FOR USE IN DIAGNOSTIC OR THERAPEUTIC PROCEDURES'.

For licensing inquiries, please contact partnerships@abcam.com