JavaScript is disabled in your browser. Please enable JavaScript to view this website.
AB128936

Anti-Syndecan-1 antibody [EPR6454]

5

(7 Reviews)

|

(84 Publications)

Anti-Syndecan-1 antibody [EPR6454] (ab128936) is a rabbit monoclonal antibody detecting Syndecan-1 in IHC-P. Suitable for Human.

- Biophysical QC for unrivalled batch-batch consistency
- Over 50 publications

View Alternative Names

CD138, SDC, SDC1, Syndecan-1, SYND1

8 Images
Immunohistochemistry (Formalin/PFA-fixed paraffin-embedded sections) - Anti-Syndecan-1 antibody [EPR6454] (AB128936)
  • IHC-P

Lab

Immunohistochemistry (Formalin/PFA-fixed paraffin-embedded sections) - Anti-Syndecan-1 antibody [EPR6454] (AB128936)

Immunohistochemical analysis of paraffin-embedded A549 wild type cell pellet labelling Syndecan-1 with ab128936 (0.1 ug/ml), followed by a ready to use LeicaDS9800 (Bond™ Polymer Refine Detection)

Positive staining on A549 wild type cell pellet tissue. The section was incubated with ab128936 for 15 mins at room temperature. The immunostaining was performed on a Leica Biosystems BOND® RX instrument.

Counterstained with Hematoxylin.

Secondary antibody only control : LeicaDS9800 (Bond™ Polymer Refine Detection)

Heat mediated antigen retrieval was performed with Citrate buffer (pH 6.0, Epitope Retrieval Solution 1) for 20 mins.

Immunohistochemistry (Formalin/PFA-fixed paraffin-embedded sections) - Anti-Syndecan-1 antibody [EPR6454] (AB128936)
  • IHC-P

Lab

Immunohistochemistry (Formalin/PFA-fixed paraffin-embedded sections) - Anti-Syndecan-1 antibody [EPR6454] (AB128936)

Immunohistochemical analysis of paraffin-embedded human normal skin tissue labelling Syndecan-1 with ab128936 (0.1 ug/ml), followed by a ready to use LeicaDS9800 (Bond™ Polymer Refine Detection)

Positive staining on human normal skin tissue. The section was incubated with ab128936 for 15 mins at room temperature. The immunostaining was performed on a Leica Biosystems BOND® RX instrument.

Counterstained with Hematoxylin.

Secondary antibody only control : LeicaDS9800 (Bond™ Polymer Refine Detection)

Heat mediated antigen retrieval was performed with Citrate buffer (pH 6.0, Epitope Retrieval Solution 1) for 20 mins.

Immunohistochemistry (Formalin/PFA-fixed paraffin-embedded sections) - Anti-Syndecan-1 antibody [EPR6454] (AB128936)
  • IHC-P

Lab

Immunohistochemistry (Formalin/PFA-fixed paraffin-embedded sections) - Anti-Syndecan-1 antibody [EPR6454] (AB128936)

Immunohistochemical analysis of paraffin-embedded human normal heart tissue labelling Syndecan-1 with ab128936 (0.1 ug/ml), followed by a ready to use LeicaDS9800 (Bond™ Polymer Refine Detection)

Negative control image : The section was incubated with ab128936 for 15 mins at room temperature. The immunostaining was performed on a Leica Biosystems BOND® RX instrument.

Counterstained with Hematoxylin.

Secondary antibody only control : LeicaDS9800 (Bond™ Polymer Refine Detection)

Heat mediated antigen retrieval was performed with Citrate buffer (pH 6.0, Epitope Retrieval Solution 1) for 20 mins.

Immunohistochemistry (Formalin/PFA-fixed paraffin-embedded sections) - Anti-Syndecan-1 antibody [EPR6454] (AB128936)
  • IHC-P

Lab

Immunohistochemistry (Formalin/PFA-fixed paraffin-embedded sections) - Anti-Syndecan-1 antibody [EPR6454] (AB128936)

Immunohistochemical analysis of paraffin-embedded human skeletal muscle tissue labelling Syndecan-1 with ab128936 at a 1/5000 dilution, followed by a ready to use LeicaDS9800 (Bond™ Polymer Refine Detection).

Negative staining on human skeletal muscle. The section was incubated with ab128936 for 30 mins at room temperature.
The immunostaining was performed on a Leica Biosystems BOND® RX instrument.

Counterstained with Hematoxylin.

Secondary antibody only control : LeicaDS9800 (Bond™ Polymer Refine Detection)

Heat mediated antigen retrieval using Bond™ Epitope Retrieval Solution 2 (pH 9.0) for 20 mins.

Immunohistochemistry (Formalin/PFA-fixed paraffin-embedded sections) - Anti-Syndecan-1 antibody [EPR6454] (AB128936)
  • IHC-P

Lab

Immunohistochemistry (Formalin/PFA-fixed paraffin-embedded sections) - Anti-Syndecan-1 antibody [EPR6454] (AB128936)

Immunohistochemical analysis of paraffin-embedded human skin tissue labelling Syndecan-1 with ab128936 at a 1/5000 dilution, followed by a ready to use LeicaDS9800 (Bond™ Polymer Refine Detection).

Positive staining on human skin. The section was incubated with ab128936 for 30 mins at room temperature.
The immunostaining was performed on a Leica Biosystems BOND® RX instrument.

Counterstained with Hematoxylin.

Secondary antibody only control : LeicaDS9800 (Bond™ Polymer Refine Detection)

Heat mediated antigen retrieval using Bond™ Epitope Retrieval Solution 2 (pH 9.0) for 20 mins.

Immunohistochemistry (Formalin/PFA-fixed paraffin-embedded sections) - Anti-Syndecan-1 antibody [EPR6454] (AB128936)
  • IHC-P

Lab

Immunohistochemistry (Formalin/PFA-fixed paraffin-embedded sections) - Anti-Syndecan-1 antibody [EPR6454] (AB128936)

Immunohistochemical analysis of paraffin-embedded human normal placenta tissue labelling Syndecan-1 with ab128936 (0.1 ug/ml), followed by a ready to use LeicaDS9800 (Bond™ Polymer Refine Detection)

Positive staining on human normal placenta tissue. The section was incubated with ab128936 for 15 mins at room temperature. The immunostaining was performed on a Leica Biosystems BOND® RX instrument.

Counterstained with Hematoxylin.

Secondary antibody only control : LeicaDS9800 (Bond™ Polymer Refine Detection)

Heat mediated antigen retrieval was performed with Citrate buffer (pH 6.0, Epitope Retrieval Solution 1) for 20 mins.

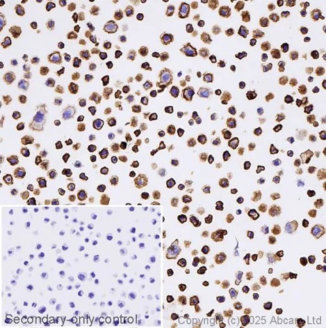
Immunohistochemistry (Formalin/PFA-fixed paraffin-embedded sections) - Anti-Syndecan-1 antibody [EPR6454] (AB128936)
  • IHC-P

Lab

Immunohistochemistry (Formalin/PFA-fixed paraffin-embedded sections) - Anti-Syndecan-1 antibody [EPR6454] (AB128936)

Immunohistochemical analysis of paraffin-embedded human tonsil tissue labelling Syndecan-1 with ab128936 at a 1/10000 dilution, followed by a ready to use LeicaDS9800 (Bond™ Polymer Refine Detection).

Positive staining on human tonsil. The section was incubated with ab128936 for 30 mins at room temperature.
The immunostaining was performed on a Leica Biosystems BOND® RX instrument.

Counterstained with Hematoxylin.

Secondary antibody only control : LeicaDS9800 (Bond™ Polymer Refine Detection)

Heat mediated antigen retrieval using Bond™ Epitope Retrieval Solution 2 (pH 9.0) for 20 mins.

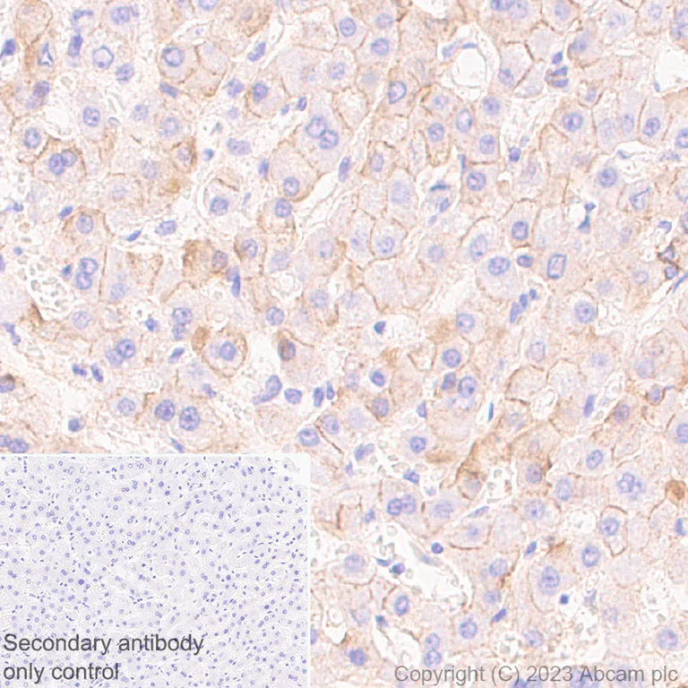
Immunohistochemistry (Formalin/PFA-fixed paraffin-embedded sections) - Anti-Syndecan-1 antibody [EPR6454] (AB128936)
  • IHC-P

Lab

Immunohistochemistry (Formalin/PFA-fixed paraffin-embedded sections) - Anti-Syndecan-1 antibody [EPR6454] (AB128936)

Immunohistochemical analysis of paraffin-embedded human liver tissue labelling Syndecan-1 with ab128936 at a 1/10000 dilution, followed by a ready to use LeicaDS9800 (Bond™ Polymer Refine Detection).

Positive staining on human liver. The section was incubated with ab128936 for 30 mins at room temperature.
The immunostaining was performed on a Leica Biosystems BOND® RX instrument.

Counterstained with Hematoxylin.

Secondary antibody only control : LeicaDS9800 (Bond™ Polymer Refine Detection)

Heat mediated antigen retrieval using Bond™ Epitope Retrieval Solution 2 (pH 9.0) for 20 mins.

  • Carrier free

    Anti-Syndecan-1 antibody [EPR6454] - BSA and Azide free

  • Carrier free

    Anti-Syndecan-1 antibody [EPR6454] - Low endotoxin, Azide free

Key facts

Host species

Rabbit

Clonality

Monoclonal

Clone number

EPR6454

Isotype

IgG

Carrier free

No

Reacts with

Human

Applications

IHC-P

applications

Immunogen

The exact immunogen used to generate this antibody is proprietary information.

Reactivity data

{ "title": "Reactivity Data", "filters": { "stats": ["", "Species", "Dilution Info", "Notes"], "tabs": { "all-applications": {"fullname" : "All Applications", "shortname": "All Applications"}, "IHCP" : {"fullname" : "Immunohistochemistry (Formalin/PFA-fixed paraffin-embedded sections)", "shortname":"IHC-P"}, "WB" : {"fullname" : "Western blot", "shortname":"WB"}, "ICCIF" : {"fullname" : "Immunocytochemistry/ Immunofluorescence", "shortname":"ICC/IF"}, "FlowCytIntra" : {"fullname" : "Flow Cytometry (Intracellular)", "shortname":"Flow Cyt (Intra)"} }, "product-promise": { "all": "all", "testedAndGuaranteed": "tested", "guaranteed": "expected", "predicted": "predicted", "notRecommended": "not-recommended" } }, "values": { "Human": { "IHCP-species-checked": "testedAndGuaranteed", "IHCP-species-dilution-info": "1/8000", "IHCP-species-notes": "<p><strong>For unpurified, use 1/500 - 1/1000.</strong></p>", "WB-species-checked": "notRecommended", "WB-species-dilution-info": "", "WB-species-notes": "<p></p>", "ICCIF-species-checked": "notRecommended", "ICCIF-species-dilution-info": "", "ICCIF-species-notes": "<p></p>", "FlowCytIntra-species-checked": "notRecommended", "FlowCytIntra-species-dilution-info": "", "FlowCytIntra-species-notes": "<p></p>" }, "Mouse": { "IHCP-species-checked": "notRecommended", "IHCP-species-dilution-info": "", "IHCP-species-notes": "", "WB-species-checked": "notRecommended", "WB-species-dilution-info": "", "WB-species-notes": "<p></p>", "ICCIF-species-checked": "notRecommended", "ICCIF-species-dilution-info": "", "ICCIF-species-notes": "", "FlowCytIntra-species-checked": "notRecommended", "FlowCytIntra-species-dilution-info": "", "FlowCytIntra-species-notes": "" }, "Rat": { "IHCP-species-checked": "notRecommended", "IHCP-species-dilution-info": "", "IHCP-species-notes": "", "WB-species-checked": "notRecommended", "WB-species-dilution-info": "", "WB-species-notes": "<p></p>", "ICCIF-species-checked": "notRecommended", "ICCIF-species-dilution-info": "", "ICCIF-species-notes": "", "FlowCytIntra-species-checked": "notRecommended", "FlowCytIntra-species-dilution-info": "", "FlowCytIntra-species-notes": "" } } }

Product details

Product Specifications
Anti-Syndecan-1 antibody [EPR6454] (ab128936) was developed by Abcam using patented rabbit monoclonal antibody technology and is validated for use in IHC-P in human samples.
Anti-Syndecan-1 antibody [EPR6454] (ab128936) specifically detects Syndecan-1 (UniProt ID: P18827; Molecular weight: 30kDa) and is sold in a convenient trial size to enable initial testing (20 µL) and larger sizes for subsequent scaling up experiments (100 µL and 1 mL).

Quality and Validation
Abcam's high quality manufacturing and validation processes ensure Anti-Syndecan-1 antibody [EPR6454] (ab128936) has high sensitivity and specificity alongside high lot-to-lot consistency and reproducibility.
Anti-Syndecan-1 antibody [EPR6454] (ab128936) has been cited over 51 times in peer reviewed journals and is trusted by the scientific community.
Anti-Syndecan-1 antibody [EPR6454] (ab128936) has 7 independent reviews from customers.

Related Products
Antibody clone EPR6454 is also available pre-conjugated to a variety of labels for your convenience - PE (ab209584).

Patented technology
Our RabMAb® technology is a patented hybridoma-based technology for making rabbit monoclonal antibodies. For details on our patents, please refer to RabMAb® patents.

What are the advantages of a recombinant monoclonal antibody?
This product is a recombinant monoclonal antibody, which offers several advantages including:

  • - High batch-to-batch consistency and reproducibility
  • - Improved sensitivity and specificity
  • - Long-term security of supply
  • - Animal-free batch production

For more information, read more on recombinant antibodies.

Properties and storage information

Form
Liquid
Purification technique
Affinity purification Protein A
Storage buffer
pH: 7.2 - 7.4 Preservative: 0.01% Sodium azide Constituents: PBS, 40% Glycerol (glycerin, glycerine), 0.05% BSA
Shipped at conditions
Blue Ice
Appropriate short-term storage duration
1-2 weeks
Appropriate short-term storage conditions
+4°C
Appropriate long-term storage conditions
-20°C
Aliquoting information
Upon delivery aliquot
Storage information
Stable for 12 months at -20°C

Supplementary information

This supplementary information is collated from multiple sources and compiled automatically.

Syndecan-1 also known as CD138 is a transmembrane heparan sulfate proteoglycan with a molecular weight of approximately 30 to 80 kDa. The size variation arises from differences in its glycosaminoglycan chains. This protein resides predominantly on the surface of epithelial cells and plasma cells. Researchers commonly use the CD138 marker to identify these cells in biological samples. It plays a significant role in cell-cell and cell-matrix interactions acting as a co-receptor for a variety of growth factors cytokines and extracellular matrix proteins.
Biological function summary

Syndecan-1 participates in tissue repair inflammation and cell signaling ensuring epithelial integrity and communication. Syndecan-1 influences cell behavior by interacting with other components of the extracellular matrix and different membrane receptors. It is also involved in forming and regulating proteoglycan complexes at the cell surface. These complex interactions facilitate the modulation of cell proliferation migration and differentiation which are fundamental to maintaining tissue architecture and function.

Pathways

Syndecan-1 actively contributes to both the Wnt and FGF signaling pathways. Through its interaction with proteins such as miR-15 syndecan-1 modulates cellular responses essential for developmental processes and tissue homeostasis. The connection with these pathways allows syndecan-1 to integrate and relay extracellular signals impacting gene expression and cellular behavior. Its relationship with other proteins like A38 as a co-receptor emphasizes its role in finely tuning signaling cascades within cellular environments.

Syndecan-1 shows a connection to multiple myeloma and breast cancer. The overexpression of syndecan-1 in these conditions disrupts normal cellular functions and promotes tumorigenesis by aiding in the tumor cell's adhesion migration and invasion. Its interaction with proteins such as perCP further demonstrates its role in disease progression providing potential as a therapeutic target. These relationships make syndecan-1 an important focus for research in oncology and other fields of disease study.

Product protocols

For this product, it's our understanding that no specific protocols are required. You can visit:

Target data

The protein expressed by the SDC1 gene is a cell surface proteoglycan with heparan sulfate and chondroitin sulfate, linking the cytoskeleton to the interstitial matrix. It regulates exosome biogenesis alongside SDCBP and PDCD6IP. This supplementary information is collated from multiple sources and compiled automatically.
See full target information SDC1

Publications (84)

Recent publications for all applications. Explore the full list and refine your search

Communications biology 8:1446 PubMed41068254

2025

Cxcl9 macrophages recruit circulating Cxcr3+ plasmablasts into kidneys to promote pathogenesis of lupus nephritis mice.

Applications

Unspecified application

Species

Unspecified reactive species

Jing Zhao,Xinlong Bai,Cheng Zhou,Qing Ouyang,Yingjie Zhang,Xiao Zhang,Xumin Zheng,Chaofan Li,Wanjun Shen,Qinggang Li,Guangyan Cai,Xiangmei Chen,Ping Li,Xue-Yuan Bai

Journal of translational medicine 23:1034 PubMed41034905

2025

Interplay of axon regeneration genes and immune infiltration in spinal cord injury.

Applications

Unspecified application

Species

Unspecified reactive species

Zimin Xiang,Dingxi Fang,Danping Gao,Qi Zhang,Yuxuan Zhang,Yuping Sun,Liyan Li,Xiaoqian Zhang,Jiaxin Li,Lingzhi Ding

Science advances 11:eadr5199 PubMed40815643

2025

Traction force and mechanosensitivity mediate species-specific implantation patterns in human and mouse embryos.

Applications

Unspecified application

Species

Unspecified reactive species

Amélie Luise Godeau,Anna Seriola,Oren Tchaicheeyan,Marc Casals,Denitza Denkova,Ester Aroca,Ot Massafret,Albert Parra,Maria Demestre,Anna Ferrer-Vaquer,Shahar Goren,Anna Veiga,Miquel Solé,Montse Boada,Jordi Comelles,Elena Martínez,Julien Colombelli,Ayelet Lesman,Samuel Ojosnegros

iScience 28:112862 PubMed40612503

2025

Syndecan-1-mediated loading of VEGF-A into small extracellular vesicles facilitates peritubular capillary repair during AKI-to-CKD transition.

Applications

Unspecified application

Species

Unspecified reactive species

Xin Zhong,Tao-Tao Tang,Yue Zhang,Ding-Ding Xue,An-Ran Shen,Ning Li,Min Wu,Bi-Cheng Liu,Lin-Li Lv

Oncology letters 30:402 PubMed40606308

2025

Prognostic impact of syndecan-1 expression and serum concentration in colorectal cancer.

Applications

Unspecified application

Species

Unspecified reactive species

Kakeru Tawada,Hirokatsu Hayashi,Masahide Endo,Takeshi Horaguchi,Ryoma Yokoi,Keita Matsumoto,Masashi Kuno,Masahiro Fukada,Ryuichi Asai,Yuta Sato,Itaru Yasufuku,Jesse Yu Tajima,Yoshihiro Tanaka,Takao Takahashi,Nobuhisa Matsuhashi,Hiroyuki Tomita

International journal of molecular sciences 26: PubMed40362273

2025

FAM20B-Catalyzed Glycosylation Regulates the Chondrogenic and Osteogenic Differentiation of the Embryonic Condyle by Controlling IHH Diffusion and Release.

Applications

Unspecified application

Species

Unspecified reactive species

Xiaoyan Chen,Han Liu,Yuhong Huang,Leilei Li,Xuxi Jiang,Bo Liu,Nan Li,Lei Zhu,Chao Liu,Jing Xiao

Biology 14: PubMed40136525

2025

Burn-Related Glycocalyx Derangement and the Emerging Role of MMP8 in Syndecan Shedding.

Applications

Unspecified application

Species

Unspecified reactive species

Hannes Kühtreiber,Daniel Bormann,Melanie Salek,Lisa Auer,Thomas Haider,Caterina Selina Mildner,Marie-Therese Lingitz,Clemens Aigner,Christine Radtke,Daniel Zimpfer,Hendrik Jan Ankersmit,Michael Mildner

Iranian journal of pathology 19:422-430 PubMed40034935

2025

Investigation of Non-Coding RNA-Related Autophagy Alterations in Drug-Resistant Multiple Myeloma Plasma Cells.

Applications

Unspecified application

Species

Unspecified reactive species

Leila Sarafraznia,Zari Tahan Nejad Asadi,Dian Dayer,Mohammad Ali Jalalifar,Nariman Ghanatir

Respiratory research 26:82 PubMed40025534

2025

Aerosolized nicotine-free e-liquid base constituents exacerbates mitochondrial dysfunction and endothelial glycocalyx shedding via the AKT/GSK3β-mPTP pathway in lung injury models.

Applications

Unspecified application

Species

Unspecified reactive species

Ziyu Dai,Bin Xie,Chen Jiang,Yun Peng,Jianing Lin,Qiong Chen,Jingyi Sun

Nature communications 16:1976 PubMed40000630

2025

Comprehensive characterization of early-onset lung cancer, in Chinese young adults.

Applications

Unspecified application

Species

Unspecified reactive species

Ye Tian,Rui Ma,Wenchang Zhao,Shumin Wang,Chuanjiang Zhou,Weibing Wu,Bo Yang,Hua Xin,Hongyan Wang,Pengfei Li,Ranhua Li,Changhong Liu,Yao Lu,Qian Yu,Chengyang Song,Han Zhang,Ruipu Liang,Lei Zhang,Di Zhou,Xitong Zhao,Zhuo Wu,Yafei Qi,Rui Wang,Teng Fei,Xueying Yang
View all publications

Product promise

We are committed to supporting your work with high-quality reagents, and we're here for you every step of the way. In the unlikely event that one of our products does not perform as expected, you're protected by our Product Promise.
For full details, please see our Terms & Conditions

Please note: All products are 'FOR RESEARCH USE ONLY. NOT FOR USE IN DIAGNOSTIC OR THERAPEUTIC PROCEDURES'.

For licensing inquiries, please contact partnerships@abcam.com