JavaScript is disabled in your browser. Please enable JavaScript to view this website.
AB216458

Anti-Syndecan-1 antibody [EPR6454] - Low endotoxin, Azide free

Be the first to review this product! Submit a review

|

(0 Publication)

Rabbit Recombinant Monoclonal Syndecan-1 antibody. Carrier free. Suitable for IHC-P and reacts with Human samples.

View Alternative Names

CD138, SDC, SDC1, Syndecan-1, SYND1

8 Images
Immunohistochemistry (Formalin/PFA-fixed paraffin-embedded sections) - Anti-Syndecan-1 antibody [EPR6454] - Low endotoxin, Azide free (AB216458)
  • IHC-P

Lab

Immunohistochemistry (Formalin/PFA-fixed paraffin-embedded sections) - Anti-Syndecan-1 antibody [EPR6454] - Low endotoxin, Azide free (AB216458)

This data was developed using the same antibody clone in a different buffer formulation containing PBS, BSA, glycerol, and sodium azide (ab128936).

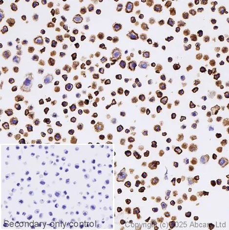
Immunohistochemical analysis of paraffin-embedded A549 wild type cell pellet labelling Syndecan-1 with ab128936 (0.1 ug/ml), followed by a ready to use LeicaDS9800 (Bond™ Polymer Refine Detection)

Positive staining on A549 wild type cell pellet tissue. The section was incubated with ab128936 for 15 mins at room temperature. The immunostaining was performed on a Leica Biosystems BOND® RX instrument.

Counterstained with Hematoxylin.

Secondary antibody only control : LeicaDS9800 (Bond™ Polymer Refine Detection)

Heat mediated antigen retrieval was performed with Citrate buffer (pH 6.0, Epitope Retrieval Solution 1) for 20 mins.

Immunohistochemistry (Formalin/PFA-fixed paraffin-embedded sections) - Anti-Syndecan-1 antibody [EPR6454] - Low endotoxin, Azide free (AB216458)
  • IHC-P

Lab

Immunohistochemistry (Formalin/PFA-fixed paraffin-embedded sections) - Anti-Syndecan-1 antibody [EPR6454] - Low endotoxin, Azide free (AB216458)

This data was developed using the same antibody clone in a different buffer formulation containing PBS, BSA, glycerol, and sodium azide (ab128936).

Immunohistochemical analysis of paraffin-embedded human normal skin tissue labelling Syndecan-1 with ab128936 (0.1 ug/ml), followed by a ready to use LeicaDS9800 (Bond™ Polymer Refine Detection)

Positive staining on human normal skin tissue. The section was incubated with ab128936 for 15 mins at room temperature. The immunostaining was performed on a Leica Biosystems BOND® RX instrument.

Counterstained with Hematoxylin.

Secondary antibody only control : LeicaDS9800 (Bond™ Polymer Refine Detection)

Heat mediated antigen retrieval was performed with Citrate buffer (pH 6.0, Epitope Retrieval Solution 1) for 20 mins.

Immunohistochemistry (Formalin/PFA-fixed paraffin-embedded sections) - Anti-Syndecan-1 antibody [EPR6454] - Low endotoxin, Azide free (AB216458)
  • IHC-P

Lab

Immunohistochemistry (Formalin/PFA-fixed paraffin-embedded sections) - Anti-Syndecan-1 antibody [EPR6454] - Low endotoxin, Azide free (AB216458)

This data was developed using the same antibody clone in a different buffer formulation containing PBS, BSA, glycerol, and sodium azide (ab128936).

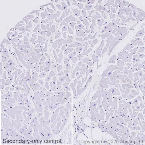
Immunohistochemical analysis of paraffin-embedded human normal heart tissue labelling Syndecan-1 with ab128936 (0.1 ug/ml), followed by a ready to use LeicaDS9800 (Bond™ Polymer Refine Detection)

Negative control image : The section was incubated with ab128936 for 15 mins at room temperature. The immunostaining was performed on a Leica Biosystems BOND® RX instrument.

Counterstained with Hematoxylin.

Secondary antibody only control : LeicaDS9800 (Bond™ Polymer Refine Detection)

Heat mediated antigen retrieval was performed with Citrate buffer (pH 6.0, Epitope Retrieval Solution 1) for 20 mins.

Immunohistochemistry (Formalin/PFA-fixed paraffin-embedded sections) - Anti-Syndecan-1 antibody [EPR6454] - Low endotoxin, Azide free (AB216458)
  • IHC-P

Lab

Immunohistochemistry (Formalin/PFA-fixed paraffin-embedded sections) - Anti-Syndecan-1 antibody [EPR6454] - Low endotoxin, Azide free (AB216458)

This data was developed using the same antibody clone in a different buffer formulation containing PBS, BSA, glycerol, and sodium azide (ab128936).

Immunohistochemical analysis of paraffin-embedded human skeletal muscle tissue labelling Syndecan-1 with ab128936 at a 1/5000 dilution, followed by a ready to use LeicaDS9800 (Bond™ Polymer Refine Detection).

Negative staining on human skeletal muscle. The section was incubated with ab128936 for 30 mins at room temperature.
The immunostaining was performed on a Leica Biosystems BOND® RX instrument.

Counterstained with Hematoxylin.

Secondary antibody only control : LeicaDS9800 (Bond™ Polymer Refine Detection)

Heat mediated antigen retrieval using Bond™ Epitope Retrieval Solution 2 (pH 9.0) for 20 mins.

Immunohistochemistry (Formalin/PFA-fixed paraffin-embedded sections) - Anti-Syndecan-1 antibody [EPR6454] - Low endotoxin, Azide free (AB216458)
  • IHC-P

Lab

Immunohistochemistry (Formalin/PFA-fixed paraffin-embedded sections) - Anti-Syndecan-1 antibody [EPR6454] - Low endotoxin, Azide free (AB216458)

This data was developed using the same antibody clone in a different buffer formulation containing PBS, BSA, glycerol, and sodium azide (ab128936).

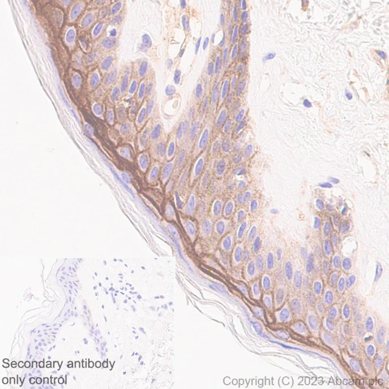
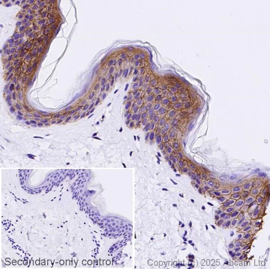
Immunohistochemical analysis of paraffin-embedded human skin tissue labelling Syndecan-1 with ab128936 at a 1/5000 dilution, followed by a ready to use LeicaDS9800 (Bond™ Polymer Refine Detection).

Positive staining on human skin. The section was incubated with ab128936 for 30 mins at room temperature.
The immunostaining was performed on a Leica Biosystems BOND® RX instrument.

Counterstained with Hematoxylin.

Secondary antibody only control : LeicaDS9800 (Bond™ Polymer Refine Detection)

Heat mediated antigen retrieval using Bond™ Epitope Retrieval Solution 2 (pH 9.0) for 20 mins.

Immunohistochemistry (Formalin/PFA-fixed paraffin-embedded sections) - Anti-Syndecan-1 antibody [EPR6454] - Low endotoxin, Azide free (AB216458)
  • IHC-P

Lab

Immunohistochemistry (Formalin/PFA-fixed paraffin-embedded sections) - Anti-Syndecan-1 antibody [EPR6454] - Low endotoxin, Azide free (AB216458)

This data was developed using the same antibody clone in a different buffer formulation containing PBS, BSA, glycerol, and sodium azide (ab128936).

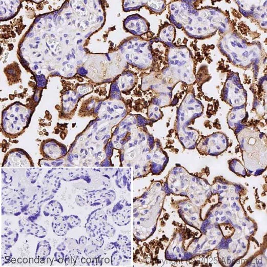
Immunohistochemical analysis of paraffin-embedded human normal placenta tissue labelling Syndecan-1 with ab128936 (0.1 ug/ml), followed by a ready to use LeicaDS9800 (Bond™ Polymer Refine Detection)

Positive staining on human normal placenta tissue. The section was incubated with ab128936 for 15 mins at room temperature. The immunostaining was performed on a Leica Biosystems BOND® RX instrument.

Counterstained with Hematoxylin.

Secondary antibody only control : LeicaDS9800 (Bond™ Polymer Refine Detection)

Heat mediated antigen retrieval was performed with Citrate buffer (pH 6.0, Epitope Retrieval Solution 1) for 20 mins.

Immunohistochemistry (Formalin/PFA-fixed paraffin-embedded sections) - Anti-Syndecan-1 antibody [EPR6454] - Low endotoxin, Azide free (AB216458)
  • IHC-P

Lab

Immunohistochemistry (Formalin/PFA-fixed paraffin-embedded sections) - Anti-Syndecan-1 antibody [EPR6454] - Low endotoxin, Azide free (AB216458)

This data was developed using the same antibody clone in a different buffer formulation containing PBS, BSA, glycerol, and sodium azide (ab128936).

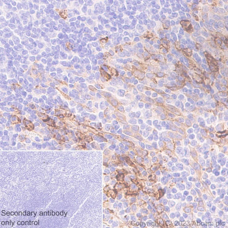
Immunohistochemical analysis of paraffin-embedded human tonsil tissue labelling Syndecan-1 with ab128936 at a 1/10000 dilution, followed by a ready to use LeicaDS9800 (Bond™ Polymer Refine Detection).

Positive staining on human tonsil. The section was incubated with ab128936 for 30 mins at room temperature.
The immunostaining was performed on a Leica Biosystems BOND® RX instrument.

Counterstained with Hematoxylin.

Secondary antibody only control : LeicaDS9800 (Bond™ Polymer Refine Detection)

Heat mediated antigen retrieval using Bond™ Epitope Retrieval Solution 2 (pH 9.0) for 20 mins.

Immunohistochemistry (Formalin/PFA-fixed paraffin-embedded sections) - Anti-Syndecan-1 antibody [EPR6454] - Low endotoxin, Azide free (AB216458)
  • IHC-P

Lab

Immunohistochemistry (Formalin/PFA-fixed paraffin-embedded sections) - Anti-Syndecan-1 antibody [EPR6454] - Low endotoxin, Azide free (AB216458)

This data was developed using the same antibody clone in a different buffer formulation containing PBS, BSA, glycerol, and sodium azide (ab128936).

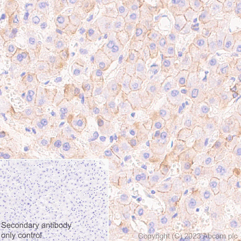
Immunohistochemical analysis of paraffin-embedded human liver tissue labelling Syndecan-1 with ab128936 at a 1/10000 dilution, followed by a ready to use LeicaDS9800 (Bond™ Polymer Refine Detection).

Positive staining on human liver. The section was incubated with ab128936 for 30 mins at room temperature.
The immunostaining was performed on a Leica Biosystems BOND® RX instrument.

Counterstained with Hematoxylin.

Secondary antibody only control : LeicaDS9800 (Bond™ Polymer Refine Detection)

Heat mediated antigen retrieval using Bond™ Epitope Retrieval Solution 2 (pH 9.0) for 20 mins.

Key facts

Host species

Rabbit

Clonality

Monoclonal

Clone number

EPR6454

Isotype

IgG

Carrier free

Yes

Reacts with

Human

Applications

IHC-P

applications

Immunogen

The exact immunogen used to generate this antibody is proprietary information.

Reactivity data

{ "title": "Reactivity Data", "filters": { "stats": ["", "Species", "Dilution Info", "Notes"], "tabs": { "all-applications": {"fullname" : "All Applications", "shortname": "All Applications"}, "IHCP" : {"fullname" : "Immunohistochemistry (Formalin/PFA-fixed paraffin-embedded sections)", "shortname":"IHC-P"}, "WB" : {"fullname" : "Western blot", "shortname":"WB"}, "ICCIF" : {"fullname" : "Immunocytochemistry/ Immunofluorescence", "shortname":"ICC/IF"}, "FlowCytIntra" : {"fullname" : "Flow Cytometry (Intracellular)", "shortname":"Flow Cyt (Intra)"} }, "product-promise": { "all": "all", "testedAndGuaranteed": "tested", "guaranteed": "expected", "predicted": "predicted", "notRecommended": "not-recommended" } }, "values": { "Human": { "IHCP-species-checked": "testedAndGuaranteed", "IHCP-species-dilution-info": "", "IHCP-species-notes": "<p></p>", "WB-species-checked": "notRecommended", "WB-species-dilution-info": "", "WB-species-notes": "<p></p>", "ICCIF-species-checked": "notRecommended", "ICCIF-species-dilution-info": "", "ICCIF-species-notes": "<p></p>", "FlowCytIntra-species-checked": "notRecommended", "FlowCytIntra-species-dilution-info": "", "FlowCytIntra-species-notes": "<p></p>" }, "Mouse": { "IHCP-species-checked": "notRecommended", "IHCP-species-dilution-info": "", "IHCP-species-notes": "", "WB-species-checked": "notRecommended", "WB-species-dilution-info": "", "WB-species-notes": "<p></p>", "ICCIF-species-checked": "notRecommended", "ICCIF-species-dilution-info": "", "ICCIF-species-notes": "", "FlowCytIntra-species-checked": "notRecommended", "FlowCytIntra-species-dilution-info": "", "FlowCytIntra-species-notes": "" }, "Rat": { "IHCP-species-checked": "notRecommended", "IHCP-species-dilution-info": "", "IHCP-species-notes": "", "WB-species-checked": "notRecommended", "WB-species-dilution-info": "", "WB-species-notes": "<p></p>", "ICCIF-species-checked": "notRecommended", "ICCIF-species-dilution-info": "", "ICCIF-species-notes": "", "FlowCytIntra-species-checked": "notRecommended", "FlowCytIntra-species-dilution-info": "", "FlowCytIntra-species-notes": "" } } }

Product details

ab216458 is the carrier-free version of ab128936.

Patented technology
Our RabMAb® technology is a patented hybridoma-based technology for making rabbit monoclonal antibodies. For details on our patents, please refer to RabMAb® patents.

What are the advantages of a recombinant monoclonal antibody?
This product is a recombinant monoclonal antibody, which offers several advantages including:

  • - High batch-to-batch consistency and reproducibility
  • - Improved sensitivity and specificity
  • - Long-term security of supply
  • - Animal-free batch production

For more information, read more on recombinant antibodies.

Conjugation ready
Our carrier-free antibodies are typically supplied in a PBS-only formulation, purified and free of BSA, sodium azide and glycerol. This conjugation-ready format is designed for use with fluorochromes, metal isotopes, oligonucleotides, and enzymes, which makes them ideal for antibody labelling, functional and cell-based assays, flow-based assays (e.g. mass cytometry) and Multiplex Imaging applications.

Use our conjugation kits for antibody conjugates that are ready-to-use in as little as 20 minutes with 1 minute hands-on-time and 100% antibody recovery: available for fluorescent dyes, HRP, biotin and gold.

Compatibility
This product is compatible with the Maxpar® Antibody Labeling Kit from Fluidigm, without the need for antibody preparation. Maxpar® is a trademark of Fluidigm Canada Inc.

What does low endotoxin mean?
Our low endotoxin, azide-free formats have low endotoxin level (1 EU/mg, determined by the TAL assay) and are free from azide, to achieve consistent experimental results in functional assays.

Properties and storage information

Form
Liquid
Purification technique
Affinity purification Protein A
Storage buffer
pH: 7.2 - 7.4 Constituents: PBS
Shipped at conditions
Blue Ice
Appropriate short-term storage conditions
+4°C
Appropriate long-term storage conditions
+4°C
Storage information
Do Not Freeze

Supplementary information

This supplementary information is collated from multiple sources and compiled automatically.

Syndecan-1 also known as CD138 is a transmembrane heparan sulfate proteoglycan with a molecular weight of approximately 30 to 80 kDa. The size variation arises from differences in its glycosaminoglycan chains. This protein resides predominantly on the surface of epithelial cells and plasma cells. Researchers commonly use the CD138 marker to identify these cells in biological samples. It plays a significant role in cell-cell and cell-matrix interactions acting as a co-receptor for a variety of growth factors cytokines and extracellular matrix proteins.
Biological function summary

Syndecan-1 participates in tissue repair inflammation and cell signaling ensuring epithelial integrity and communication. Syndecan-1 influences cell behavior by interacting with other components of the extracellular matrix and different membrane receptors. It is also involved in forming and regulating proteoglycan complexes at the cell surface. These complex interactions facilitate the modulation of cell proliferation migration and differentiation which are fundamental to maintaining tissue architecture and function.

Pathways

Syndecan-1 actively contributes to both the Wnt and FGF signaling pathways. Through its interaction with proteins such as miR-15 syndecan-1 modulates cellular responses essential for developmental processes and tissue homeostasis. The connection with these pathways allows syndecan-1 to integrate and relay extracellular signals impacting gene expression and cellular behavior. Its relationship with other proteins like A38 as a co-receptor emphasizes its role in finely tuning signaling cascades within cellular environments.

Syndecan-1 shows a connection to multiple myeloma and breast cancer. The overexpression of syndecan-1 in these conditions disrupts normal cellular functions and promotes tumorigenesis by aiding in the tumor cell's adhesion migration and invasion. Its interaction with proteins such as perCP further demonstrates its role in disease progression providing potential as a therapeutic target. These relationships make syndecan-1 an important focus for research in oncology and other fields of disease study.

Product protocols

For this product, it's our understanding that no specific protocols are required. You can visit:

Target data

The protein expressed by the SDC1 gene is a cell surface proteoglycan with heparan sulfate and chondroitin sulfate, linking the cytoskeleton to the interstitial matrix. It regulates exosome biogenesis alongside SDCBP and PDCD6IP. This supplementary information is collated from multiple sources and compiled automatically.
See full target information SDC1

Product promise

We are committed to supporting your work with high-quality reagents, and we're here for you every step of the way. In the unlikely event that one of our products does not perform as expected, you're protected by our Product Promise.
For full details, please see our Terms & Conditions

Please note: All products are 'FOR RESEARCH USE ONLY. NOT FOR USE IN DIAGNOSTIC OR THERAPEUTIC PROCEDURES'.

For licensing inquiries, please contact partnerships@abcam.com