JavaScript is disabled in your browser. Please enable JavaScript to view this website.
AB308031

Anti-Syndecan 2/HSPG antibody [RP23040036]

Be the first to review this product! Submit a review

|

(0 Publication)

Rabbit Recombinant Multiclonal Syndecan 2/HSPG antibody. Suitable for WB, ICC/IF, IHC-P and reacts with Human samples. Immunogen corresponding to Synthetic Peptide within Human SDC2.

View Alternative Names

CD362, HSPG1, SDC2, Syndecan-2, SYND2, Fibroglycan, Heparan sulfate proteoglycan core protein, HSPG

4 Images
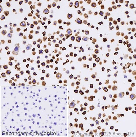
Immunohistochemistry (Formalin/PFA-fixed paraffin-embedded sections) - Anti-Syndecan 2/HSPG antibody [RP23040036] (AB308031)
  • IHC-P

Supplier Data

Immunohistochemistry (Formalin/PFA-fixed paraffin-embedded sections) - Anti-Syndecan 2/HSPG antibody [RP23040036] (AB308031)

Immunohistochemical analysis of paraffin-embedded human hepatocellular carcinoma tissue labelling Syndecan-2 with ab308031 at 1/20 dilution, followed by an HRP-conjugated secondary. Nuclear staining on human hepatocellular carcinoma tissue is observed. Counter stained with Hematoxylin. Secondary antibody only control : Used PBS instead of primary antibody, secondary antibody is HRP-conjugated secondary.

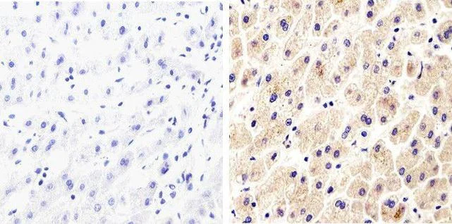
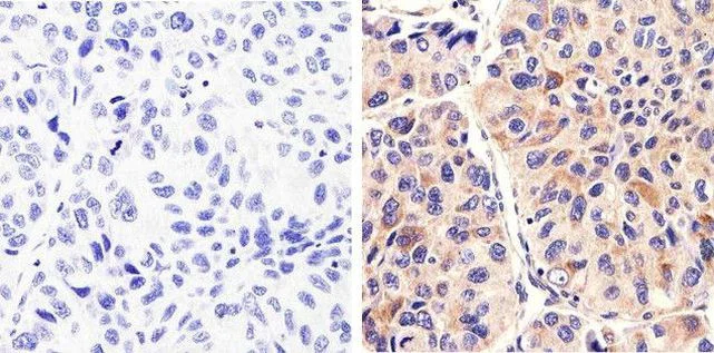
Immunohistochemistry (Formalin/PFA-fixed paraffin-embedded sections) - Anti-Syndecan 2/HSPG antibody [RP23040036] (AB308031)
  • IHC-P

Supplier Data

Immunohistochemistry (Formalin/PFA-fixed paraffin-embedded sections) - Anti-Syndecan 2/HSPG antibody [RP23040036] (AB308031)

Immunohistochemical analysis of paraffin-embedded human liver tissue tissue labelling Syndecan-2 with ab308031 at 1/20 dilution, followed by an HRP-conjugated secondary. Nuclear staining on human liver tissue tissue is observed. Counter stained with Hematoxylin. Secondary antibody only control : Used PBS instead of primary antibody, secondary antibody is HRP-conjugated secondary.

Immunocytochemistry/ Immunofluorescence - Anti-Syndecan 2/HSPG antibody [RP23040036] (AB308031)
  • ICC/IF

Supplier Data

Immunocytochemistry/ Immunofluorescence - Anti-Syndecan 2/HSPG antibody [RP23040036] (AB308031)

Immunofluorescent analysis of Syndecan-2 in MCF-7 cells using ab308031 at 1µg/mL followed by detection using an Alexa Fluor® 488-conjugated Goat anti-Rabbit secondary antibody (green) (Image A). Nuclei were stained using DAPI (blue) (Image B). Actin stained with Alexa Fluor® 594 phalloidin (red) (image C). Image D is a composite image showing membrane localization of syndecan-2.

Western blot - Anti-Syndecan 2/HSPG antibody [RP23040036] (AB308031)
  • WB

Supplier Data

Western blot - Anti-Syndecan 2/HSPG antibody [RP23040036] (AB308031)

Western blot analysis of Syndecan-2 in whole cell extracts of Jurkat (lane 1) and Raji (lane 2) using ab308031 at a dilution of 2 µg/mL. Samples were detected using chemiluminescence (ECL). Results show a band at ~22kDa.

All lanes:

Western blot - Anti-Syndecan 2/HSPG antibody [RP23040036] (ab308031) at 2 µg/mL

Lane 1:

Jurkat cells whole cell extracts

Lane 2:

Raji cells whole cell extracts

Predicted band size: 22 kDa

Observed band size: 22 kDa

true

Key facts

Host species

Rabbit

Clonality

Multiclonal

Clone number

RP23040036

Isotype

IgG

Carrier free

No

Reacts with

Human

Applications

ICC/IF, IHC-P, WB

applications

Immunogen

Synthetic Peptide within Human SDC2.

P34741

Reactivity data

{ "title": "Reactivity Data", "filters": { "stats": ["", "Species", "Dilution Info", "Notes"], "tabs": { "all-applications": {"fullname" : "All Applications", "shortname": "All Applications"}, "WB" : {"fullname" : "Western blot", "shortname":"WB"}, "ICCIF" : {"fullname" : "Immunocytochemistry/ Immunofluorescence", "shortname":"ICC/IF"}, "IHCP" : {"fullname" : "Immunohistochemistry (Formalin/PFA-fixed paraffin-embedded sections)", "shortname":"IHC-P"} }, "product-promise": { "all": "all", "testedAndGuaranteed": "tested", "guaranteed": "expected", "predicted": "predicted", "notRecommended": "not-recommended" } }, "values": { "Human": { "WB-species-checked": "testedAndGuaranteed", "WB-species-dilution-info": "2 µg/mL", "WB-species-notes": "<p></p>", "ICCIF-species-checked": "testedAndGuaranteed", "ICCIF-species-dilution-info": "1-3 µg/mL", "ICCIF-species-notes": "<p></p>", "IHCP-species-checked": "testedAndGuaranteed", "IHCP-species-dilution-info": "1/20", "IHCP-species-notes": "<p></p> Perform heat-mediated antigen retrieval with citrate buffer pH 6 before commencing with IHC staining protocol." } } }

Product details

What are recombinant multiclonals?
Recombinant multiclonals are a mixture of recombinant antibodies co-expressed from a library of heavy and light chains. They offer several advantages including:

  • - The sensitivity of polyclonal antibodies by recognising multiple epitopes
  • - High batch-to-batch consistency and reproducibility
  • - Improved sensitivity and specificity
  • - Long-term security of supply
  • - Animal-free batch production

View our range of recombinant multiclonal antibodies.

Properties and storage information

Form
Liquid
Storage buffer
pH: 7.4 Preservative: 0.09% Sodium azide Constituents: PBS
Shipped at conditions
Blue Ice
Appropriate short-term storage duration
1-2 weeks
Appropriate short-term storage conditions
+4°C
Appropriate long-term storage conditions
-20°C
Aliquoting information
Upon delivery aliquot
Storage information
Avoid freeze / thaw cycle

Supplementary information

This supplementary information is collated from multiple sources and compiled automatically.

Syndecan-2 also known as HSPG (Heparan Sulfate Proteoglycan) protein is a cell surface proteoglycan commonly found in many tissues. It weighs approximately 48- to 50-kDa. Syndecan-2 has a transmembrane core protein and is characterized by the attachment of heparan sulfate glycosaminoglycan chains. It expresses in various cell types including fibroblasts epithelial cells and neuronal cells. This protein binds to extracellular matrix components and growth factors following its structural attributes.
Biological function summary

Syndecan-2 interacts with multiple partners to regulate cellular processes. It is often part of a larger complex involving extracellular matrix proteins and growth factors. Syndecan-2 modulates cytoskeleton organization cell adhesion and migration. Its activity plays significant roles in tissue repair and development because of its involvement in signal transduction via these interactions. Numerous research studies suggest its regulatory impact on cell morphology and signaling events.

Pathways

Syndecan-2 is heavily implicated in several important biological signaling cascades. The protein significantly influences the Wnt signaling pathway which governs cell proliferation differentiation and migration. Another key pathway involving Syndecan-2 is the Rho family of GTPase pathway where it interacts with proteins like Rac1 and Cdc42 to mediate actin cytoskeleton dynamics. These pathways associate Syndecan-2 with cellular responses to extracellular signals contributing to its role in tissue homeostasis.

Syndecan-2 expressions and functions associate with tumor growth and metastasis particularly in cancers such as colorectal and breast cancer. The protein affects tumor microenvironment remodeling facilitating cancerous invasion and dissemination. Additionally Syndecan-2 links to inflammatory diseases like atherosclerosis where it contributes to vascular damage and inflammation. In these conditions Syndecan-2 interactions with other proteins such as integrins exacerbate pathogenic processes.

Product protocols

For this product, it's our understanding that no specific protocols are required. You can visit:

Target data

Cell surface proteoglycan which regulates dendritic arbor morphogenesis.
See full target information SDC2

Product promise

We are committed to supporting your work with high-quality reagents, and we're here for you every step of the way. In the unlikely event that one of our products does not perform as expected, you're protected by our Product Promise.
For full details, please see our Terms & Conditions

Please note: All products are 'FOR RESEARCH USE ONLY. NOT FOR USE IN DIAGNOSTIC OR THERAPEUTIC PROCEDURES'.

For licensing inquiries, please contact partnerships@abcam.com