JavaScript is disabled in your browser. Please enable JavaScript to view this website.
AB3344

Anti-SynGAP antibody

0

(1 Review)

|

(7 Publications)

Rabbit Polyclonal SynGAP antibody. Suitable for IHC-P, ICC/IF and reacts with Human, Rat samples. Cited in 7 publications. Immunogen corresponding to Recombinant Fragment Protein within Rat Syngap1 aa 900-1200.

View Alternative Names

KIAA1938, SYNGAP1, Ras/Rap GTPase-activating protein SynGAP, Neuronal RasGAP, Synaptic Ras GTPase-activating protein 1, Synaptic Ras-GAP 1

4 Images
Immunohistochemistry (Formalin/PFA-fixed paraffin-embedded sections) - Anti-SynGAP antibody (AB3344)
  • IHC-P

Supplier Data

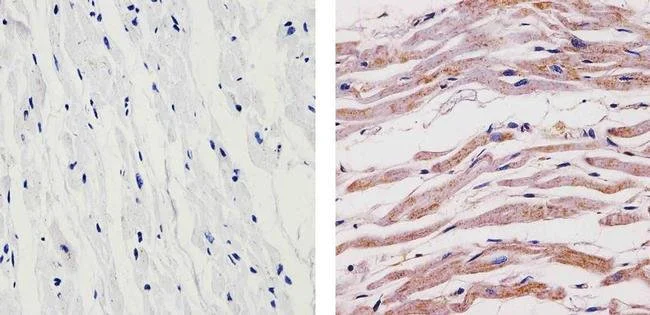
Immunohistochemistry (Formalin/PFA-fixed paraffin-embedded sections) - Anti-SynGAP antibody (AB3344)

Immunohistochemical anysis of paraffin-embedded human hear tissue staining synGAP with ab3344 at 1/100 dilution counterstained with hematoxylin and detected using HRP-conjugated secondary antibody. Negative control (left) has no primary antibody.

Immunocytochemistry/ Immunofluorescence - Anti-SynGAP antibody (AB3344)
  • ICC/IF

Supplier Data

Immunocytochemistry/ Immunofluorescence - Anti-SynGAP antibody (AB3344)

Immunolocalization of SynGAP in rat hippocampal neurons using ab3344.

Immunocytochemistry/ Immunofluorescence - Anti-SynGAP antibody (AB3344)
  • ICC/IF

Supplier Data

Immunocytochemistry/ Immunofluorescence - Anti-SynGAP antibody (AB3344)

Immunocytochemistry analysis of 4% paraformaldehyde-fixed 0.1% Triton™ X-100 permeabilized PC-12 cells staining synGAP with ab3344 at 2 μg/ml concentration and Goat anti-Rabbit IgG (H+L) Superclonal™ Secondary Antibody Alexa Fluor® 488 conjugate at 1 : 2000. Nuclei were stained with SlowFade® Gold Antifade Mountant with DAPI (blue), and F-actin stained with Alexa Fluor® 555 Rhodamine Phalloidin (red). Negative control is using no primary antibody control.

Immunocytochemistry/ Immunofluorescence - Anti-SynGAP antibody (AB3344)
  • ICC/IF

Supplier Data

Immunocytochemistry/ Immunofluorescence - Anti-SynGAP antibody (AB3344)

Immunolocalization of SynGAP in rat hippocampal neurons using ab3344.

Key facts

Host species

Rabbit

Clonality

Polyclonal

Isotype

IgG

Carrier free

No

Reacts with

Rat, Human

Applications

ICC/IF, IHC-P

applications

Immunogen

Recombinant Fragment Protein within Rat Syngap1 aa 900-1200. The exact immunogen used to generate this antibody is proprietary information.

Q9QUH6

Reactivity data

{ "title": "Reactivity Data", "filters": { "stats": ["", "Species", "Dilution Info", "Notes"], "tabs": { "all-applications": {"fullname" : "All Applications", "shortname": "All Applications"}, "IHCP" : {"fullname" : "Immunohistochemistry (Formalin/PFA-fixed paraffin-embedded sections)", "shortname":"IHC-P"}, "ICCIF" : {"fullname" : "Immunocytochemistry/ Immunofluorescence", "shortname":"ICC/IF"} }, "product-promise": { "all": "all", "testedAndGuaranteed": "tested", "guaranteed": "expected", "predicted": "predicted", "notRecommended": "not-recommended" } }, "values": { "Human": { "IHCP-species-checked": "testedAndGuaranteed", "IHCP-species-dilution-info": "2 µg/mL", "IHCP-species-notes": "<p></p>", "ICCIF-species-checked": "guaranteed", "ICCIF-species-dilution-info": "", "ICCIF-species-notes": "" }, "Rat": { "IHCP-species-checked": "guaranteed", "IHCP-species-dilution-info": "", "IHCP-species-notes": "", "ICCIF-species-checked": "testedAndGuaranteed", "ICCIF-species-dilution-info": "2 µg/mL", "ICCIF-species-notes": "<p></p>" } } }

Properties and storage information

Form
Liquid
Purification technique
Affinity purification Immunogen
Storage buffer
Constituents: PBS, 0.1% BSA
Shipped at conditions
Blue Ice
Appropriate short-term storage duration
1-2 weeks
Appropriate short-term storage conditions
+4°C
Appropriate long-term storage conditions
-20°C
Aliquoting information
Upon delivery aliquot
Storage information
Avoid freeze / thaw cycle

Supplementary information

This supplementary information is collated from multiple sources and compiled automatically.

SynGAP also known as Synaptic Ras GTPase-activating protein 1 has a molecular weight of about 138 kDa. It predominantly expresses in the brain especially in the post-synaptic density of neurons. SynGAP acts mechanically by regulating Ras and Rap GTPase signaling through its GTPase-activating protein (GAP) domain. This protein modulates synaptic strength and plasticity by influencing the activity of these GTPases which are pivotal for intracellular signaling.
Biological function summary

SynGAP influences synaptic function and plasticity. It forms part of the NMDA receptor complex linking it to various synaptic signaling pathways. SynGAP modulates excitatory synaptic transmission by controlling the levels of Ras and Rap GTPases which impact the phosphorylation of AMPA receptors. Through these activities it maintains proper synaptic strength and structural integrity essential for learning and memory processes.

Pathways

SynGAP interfaces with signaling networks critical for neuronal function such as the MAPK/ERK and PI3K/Akt pathways. In these pathways SynGAP regulates Ras-related protein kinase activity influencing downstream effects on gene expression and cellular survival. The protein's interaction with other partners like the PSD-95 and other MAGUK family proteins highlights its central role in controlling synaptic signaling cascades.

Researchers link SynGAP to neurodevelopmental disorders like intellectual disability and autism spectrum disorders. Mutations or disruptions in SynGAP levels correlate with altered synaptic function and contribute to these conditions. SynGAP also interacts with proteins such as SHANK3 which connects to synaptic abnormalities observed in these disorders. Understanding its role in such conditions can provide insights into potential therapeutic targets.

Product protocols

For this product, it's our understanding that no specific protocols are required. You can visit:

Target data

Major constituent of the PSD essential for postsynaptic signaling. Inhibitory regulator of the Ras-cAMP pathway. Member of the NMDAR signaling complex in excitatory synapses, it may play a role in NMDAR-dependent control of AMPAR potentiation, AMPAR membrane trafficking and synaptic plasticity. Regulates AMPAR-mediated miniature excitatory postsynaptic currents. Exhibits dual GTPase-activating specificity for Ras and Rap. May be involved in certain forms of brain injury, leading to long-term learning and memory deficits (By similarity).
See full target information SYNGAP1

Publications (7)

Recent publications for all applications. Explore the full list and refine your search

Frontiers in molecular neuroscience 17:1401746 PubMed39050824

2024

Context-dependent hyperactivity in and zebrafish models of SYNGAP1-related disorder.

Applications

Unspecified application

Species

Unspecified reactive species

Sureni H Sumathipala,Suha Khan,Robert A Kozol,Yoichi Araki,Sheyum Syed,Richard L Huganir,Julia E Dallman

Science (New York, N.Y.) 383:eadk1291 PubMed38422154

2024

SynGAP regulates synaptic plasticity and cognition independently of its catalytic activity.

Applications

Unspecified application

Species

Unspecified reactive species

Yoichi Araki,Kacey E Rajkovich,Elizabeth E Gerber,Timothy R Gamache,Richard C Johnson,Thanh Hai N Tran,Bian Liu,Qianwen Zhu,Ingie Hong,Alfredo Kirkwood,Richard Huganir

International journal of molecular sciences 22: PubMed33802775

2021

Early and Delayed Impact of Nanosilver on the Glutamatergic NMDA Receptor Complex in Immature Rat Brain.

Applications

Unspecified application

Species

Unspecified reactive species

Beata Dąbrowska-Bouta,Grzegorz Sulkowski,Mikołaj Sałek,Małgorzata Frontczak-Baniewicz,Lidia Strużyńska

Scientific reports 10:15983 PubMed32994440

2020

Quantitative analysis of global protein stability rates in tissues.

Applications

Unspecified application

Species

Unspecified reactive species

Daniel B McClatchy,Salvador Martínez-Bartolomé,Yu Gao,Mathieu Lavallée-Adam,John R Yates

Science signaling 12: PubMed31387938

2019

Disruption of SynGAP-dopamine D1 receptor complexes alters actin and microtubule dynamics and impairs GABAergic interneuron migration.

Applications

Unspecified application

Species

Unspecified reactive species

Ping Su,Terence K Y Lai,Frankie H F Lee,Andrew R Abela,Paul J Fletcher,Fang Liu

PloS one 7:e46683 PubMed23071613

2012

Comparative study of human and mouse postsynaptic proteomes finds high compositional conservation and abundance differences for key synaptic proteins.

Applications

Unspecified application

Species

Unspecified reactive species

Alex Bayés,Mark O Collins,Mike D R Croning,Louie N van de Lagemaat,Jyoti S Choudhary,Seth G N Grant

Neuroscience 192:132-9 PubMed21736925

2011

SynGAP moves out of the core of the postsynaptic density upon depolarization.

Applications

EM, WB

Species

Rat, Rat

Y Yang,J-H Tao-Cheng,T S Reese,A Dosemeci
View all publications

Product promise

We are committed to supporting your work with high-quality reagents, and we're here for you every step of the way. In the unlikely event that one of our products does not perform as expected, you're protected by our Product Promise.
For full details, please see our Terms & Conditions

Please note: All products are 'FOR RESEARCH USE ONLY. NOT FOR USE IN DIAGNOSTIC OR THERAPEUTIC PROCEDURES'.

For licensing inquiries, please contact partnerships@abcam.com