JavaScript is disabled in your browser. Please enable JavaScript to view this website.
AB284679

Anti-Synip antibody [EP302Y] - BSA and Azide free

Be the first to review this product! Submit a review

|

(0 Publication)

Rabbit Monoclonal Synip antibody. Carrier free. Suitable for WB, IHC-P and reacts with Human, Mouse, Rat samples.

View Alternative Names

Syntaxin-binding protein 4, Syntaxin 4-interacting protein, STX4-interacting protein, Synip, STXBP4

4 Images
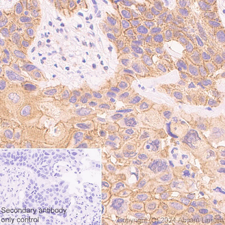
Immunohistochemistry (Formalin/PFA-fixed paraffin-embedded sections) - Anti-Synip antibody [EP302Y] - BSA and Azide free (AB284679)
  • IHC-P

Lab

Immunohistochemistry (Formalin/PFA-fixed paraffin-embedded sections) - Anti-Synip antibody [EP302Y] - BSA and Azide free (AB284679)

Immunohistochemical analysis of paraffin-embedded Human lung cancer tissue labeling Synip with ab40674 at 1/1000 dilution. The immunostaining was performed on a Leica Biosystems BOND® RX instrument. Counterstained with Hematoxylin. Heat mediated antigen retrieval was performed with Tris-EDTA buffer (pH 9.0, epitope retrieval solution 2) for 20 mins.

Immunohistochemistry (Formalin/PFA-fixed paraffin-embedded sections) - Anti-Synip antibody [EP302Y] - BSA and Azide free (AB284679)
  • IHC-P

Lab

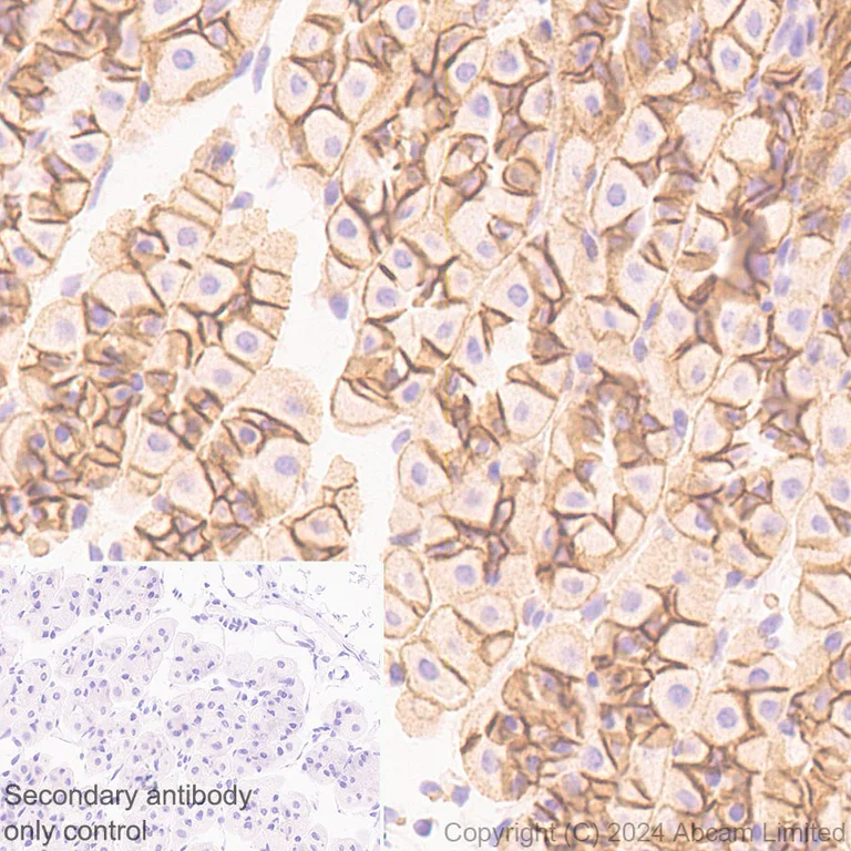
Immunohistochemistry (Formalin/PFA-fixed paraffin-embedded sections) - Anti-Synip antibody [EP302Y] - BSA and Azide free (AB284679)

Immunohistochemical analysis of paraffin-embedded Rat stomach tissue labeling Synip with ab40674 at 1/1000 dilution. The immunostaining was performed on a Leica Biosystems BOND® RX instrument. Counterstained with Hematoxylin. Heat mediated antigen retrieval was performed with Tris-EDTA buffer (pH 9.0, epitope retrieval solution 2) for 20 mins.

Immunohistochemistry (Formalin/PFA-fixed paraffin-embedded sections) - Anti-Synip antibody [EP302Y] - BSA and Azide free (AB284679)
  • IHC-P

Lab

Immunohistochemistry (Formalin/PFA-fixed paraffin-embedded sections) - Anti-Synip antibody [EP302Y] - BSA and Azide free (AB284679)

Immunohistochemical analysis of paraffin-embedded Mouse stomach tissue labeling Synip with ab40674 at 1/3500 dilution. The immunostaining was performed on a Leica Biosystems BOND® RX instrument. Counterstained with Hematoxylin. Heat mediated antigen retrieval was performed with Tris-EDTA buffer (pH 9.0, epitope retrieval solution 2) for 20 mins.

Western blot - Anti-Synip antibody [EP302Y] - BSA and Azide free (AB284679)
  • WB

Lab

Western blot - Anti-Synip antibody [EP302Y] - BSA and Azide free (AB284679)

Blocking and diluting buffer and concentration : 5% NFDM/TBST.

All lanes:

Western blot - Anti-Synip antibody [EP302Y] (<a href='/en-us/products/primary-antibodies/synip-antibody-ep302y-ab40674'>ab40674</a>) at 1/10000 dilution

Lane 1:

Human skeletal muscle lysate at 15 µg

Lane 2:

Mouse skeletal muscle lysate at 15 µg

Lane 3:

Rat skeletal muscle lysate at 15 µg

Secondary

All lanes:

Goat Anti-Rabbit IgG (HRP) with minimal cross-reactivity with human IgG at 1/20000 dilution

Observed band size: 68 kDa

false

Key facts

Host species

Rabbit

Clonality

Monoclonal

Clone number

EP302Y

Isotype

IgG

Carrier free

Yes

Reacts with

Human, Mouse, Rat

Applications

IHC-P, WB

applications

Immunogen

The exact immunogen used to generate this antibody is proprietary information.

Specificity

This antibody is specific for Synip. It is predicted to detect the isoform 2 based an sequence analysis.

Reactivity data

{ "title": "Reactivity Data", "filters": { "stats": ["", "Species", "Dilution Info", "Notes"], "tabs": { "all-applications": {"fullname" : "All Applications", "shortname": "All Applications"}, "ICCIF" : {"fullname" : "Immunocytochemistry/ Immunofluorescence", "shortname":"ICC/IF"}, "IP" : {"fullname" : "Immunoprecipitation", "shortname":"IP"}, "WB" : {"fullname" : "Western blot", "shortname":"WB"}, "IHCP" : {"fullname" : "Immunohistochemistry (Formalin/PFA-fixed paraffin-embedded sections)", "shortname":"IHC-P"} }, "product-promise": { "all": "all", "testedAndGuaranteed": "tested", "guaranteed": "expected", "predicted": "predicted", "notRecommended": "not-recommended" } }, "values": { "Human": { "ICCIF-species-checked": "notRecommended", "ICCIF-species-dilution-info": "", "ICCIF-species-notes": "<p></p>", "IP-species-checked": "notRecommended", "IP-species-dilution-info": "", "IP-species-notes": "<p></p>", "WB-species-checked": "testedAndGuaranteed", "WB-species-dilution-info": "", "WB-species-notes": "<p></p>", "IHCP-species-checked": "testedAndGuaranteed", "IHCP-species-dilution-info": "", "IHCP-species-notes": "<p></p>" }, "Mouse": { "ICCIF-species-checked": "notRecommended", "ICCIF-species-dilution-info": "", "ICCIF-species-notes": "", "IP-species-checked": "notRecommended", "IP-species-dilution-info": "", "IP-species-notes": "", "WB-species-checked": "testedAndGuaranteed", "WB-species-dilution-info": "", "WB-species-notes": "<p></p>", "IHCP-species-checked": "testedAndGuaranteed", "IHCP-species-dilution-info": "", "IHCP-species-notes": "<p></p>" }, "Rat": { "ICCIF-species-checked": "notRecommended", "ICCIF-species-dilution-info": "", "ICCIF-species-notes": "", "IP-species-checked": "notRecommended", "IP-species-dilution-info": "", "IP-species-notes": "", "WB-species-checked": "testedAndGuaranteed", "WB-species-dilution-info": "", "WB-species-notes": "<p></p>", "IHCP-species-checked": "testedAndGuaranteed", "IHCP-species-dilution-info": "", "IHCP-species-notes": "<p></p>" } } }

Product details

ab284679 is the carrier-free version of ab40674.

This product has switched from a hybridoma to recombinant production method on 13th September 2024.

Patented technology
Our RabMAb® technology is a patented hybridoma-based technology for making rabbit monoclonal antibodies. For details on our patents, please refer to RabMAb® patents.

What are the advantages of a recombinant monoclonal antibody?
This product is a recombinant monoclonal antibody, which offers several advantages including:

  • - High batch-to-batch consistency and reproducibility
  • - Improved sensitivity and specificity
  • - Long-term security of supply
  • - Animal-free batch production

For more information, read more on recombinant antibodies.

Conjugation ready
Our carrier-free antibodies are typically supplied in a PBS-only formulation, purified and free of BSA, sodium azide and glycerol. This conjugation-ready format is designed for use with fluorochromes, metal isotopes, oligonucleotides, and enzymes, which makes them ideal for antibody labelling, functional and cell-based assays, flow-based assays (e.g. mass cytometry) and Multiplex Imaging applications.

Use our conjugation kits for antibody conjugates that are ready-to-use in as little as 20 minutes with 1 minute hands-on-time and 100% antibody recovery: available for fluorescent dyes, HRP, biotin and gold.

Compatibility
This product is compatible with the Maxpar® Antibody Labeling Kit from Fluidigm, without the need for antibody preparation. Maxpar® is a trademark of Fluidigm Canada Inc.

Properties and storage information

Form
Liquid
Purification technique
Affinity purification Protein A
Storage buffer
pH: 7.2 - 7.4 Constituents: PBS
Shipped at conditions
Blue Ice
Appropriate short-term storage conditions
+4°C
Appropriate long-term storage conditions
+4°C

Supplementary information

This supplementary information is collated from multiple sources and compiled automatically.

Synip also known as Syntaxin-binding protein 4 is a protein with a molecular mass of approximately 78 kDa. This protein modulates intracellular trafficking by binding to syntaxin 4 an important component in vesicle transport. Synip is expressed in various tissues with notable expression in adipose tissue muscle and pancreatic beta cells. Its mechanical role involves managing the accessibility of syntaxin 4 impacting the docking and fusion of vesicles with target membranes.
Biological function summary

Synip plays a role in exocytosis a process critical for insulin secretion in pancreatic beta cells. Synip forms a complex with other proteins including SNAP-23 and Munc18c which together regulate vesicle docking and fusion. This function is essential for maintaining glucose homeostasis in the body by ensuring proper release of insulin.

Pathways

Synip interacts with proteins involved in the insulin signaling pathway such as GLUT4 which is responsible for glucose uptake in muscle and adipose tissue. It also plays a role in the SNARE complex formation a critical step in vesicle-mediated transport. Through these interactions Synip contributes to the regulation of glucose metabolism and energy balance in the body.

Synip's function is linked to diabetes mellitus particularly type 2 diabetes due to its role in insulin secretion and glucose homeostasis. Dysregulation or mutations in Synip can impair insulin release leading to insulin resistance. Furthermore Synip has connections with proteins like Syntaxin 4 within the context of metabolic syndrome a condition characterized by increased risk of cardiovascular disease and diabetes due to metabolic imbalances.

Product protocols

For this product, it's our understanding that no specific protocols are required. You can visit:

Target data

Plays a role in the translocation of transport vesicles from the cytoplasm to the plasma membrane. Inhibits the translocation of SLC2A4 from intracellular vesicles to the plasma membrane by STX4A binding and preventing the interaction between STX4A and VAMP2. Stimulation with insulin disrupts the interaction with STX4A, leading to increased levels of SLC2A4 at the plasma membrane. May also play a role in the regulation of insulin release by pancreatic beta cells after stimulation by glucose (By similarity).
See full target information STXBP4

Product promise

We are committed to supporting your work with high-quality reagents, and we're here for you every step of the way. In the unlikely event that one of our products does not perform as expected, you're protected by our Product Promise.
For full details, please see our Terms & Conditions

Please note: All products are 'FOR RESEARCH USE ONLY. NOT FOR USE IN DIAGNOSTIC OR THERAPEUTIC PROCEDURES'.

For licensing inquiries, please contact partnerships@abcam.com