JavaScript is disabled in your browser. Please enable JavaScript to view this website.
AB224217

Anti-SYNJ2BP antibody - N-terminal

Be the first to review this product! Submit a review

|

(2 Publications)

Rabbit Polyclonal SYNJ2BP antibody. N-terminal. Suitable for IHC-P, WB, ICC/IF and reacts with Human, Mouse samples. Cited in 2 publications. Immunogen corresponding to Recombinant Fragment Protein within Human SYNJ2BP aa 1 to C-terminus.

View Alternative Names

OMP25, SYNJ2BP, Synaptojanin-2-binding protein, Mitochondrial outer membrane protein 25

10 Images
Immunohistochemistry (Formalin/PFA-fixed paraffin-embedded sections) - Anti-SYNJ2BP antibody - N-terminal (AB224217)
  • IHC-P

Unknown

Immunohistochemistry (Formalin/PFA-fixed paraffin-embedded sections) - Anti-SYNJ2BP antibody - N-terminal (AB224217)

ab224217 (1 : 500 dilution) staining SYNJ2BP of human paraffin-embedded duodenum tissue by immunohistochemcial analysis shows strong granular cytoplasmic positivity in glandular cells.

Immunohistochemistry (Formalin/PFA-fixed paraffin-embedded sections) - Anti-SYNJ2BP antibody - N-terminal (AB224217)
  • IHC-P

Unknown

Immunohistochemistry (Formalin/PFA-fixed paraffin-embedded sections) - Anti-SYNJ2BP antibody - N-terminal (AB224217)

ab224217 (1 : 500 dilution) staining SYNJ2BP of human paraffin-embedded prostate tissue by immunohistochemcial analysis shows moderate to strong granular cytoplasmic positivity in glandular cells.

Immunohistochemistry (Formalin/PFA-fixed paraffin-embedded sections) - Anti-SYNJ2BP antibody - N-terminal (AB224217)
  • IHC-P

Unknown

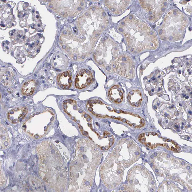
Immunohistochemistry (Formalin/PFA-fixed paraffin-embedded sections) - Anti-SYNJ2BP antibody - N-terminal (AB224217)

ab224217 (1 : 500 dilution) staining SYNJ2BP of human paraffin-embedded kidney tissue by immunohistochemcial analysis shows moderate granular cytoplasmic positivity in distal tubules cells.

Immunocytochemistry/ Immunofluorescence - Anti-SYNJ2BP antibody - N-terminal (AB224217)
  • ICC/IF

Unknown

Immunocytochemistry/ Immunofluorescence - Anti-SYNJ2BP antibody - N-terminal (AB224217)

PFA-fixed, Triton X-100 permeabilized mouse parietal association cortex cells stained for SYNJ2BP (green) using ab224217 at 2 μg/ml in ICC/IF. Shows strong positivity in synapses.

Immunocytochemistry/ Immunofluorescence - Anti-SYNJ2BP antibody - N-terminal (AB224217)
  • ICC/IF

Unknown

Immunocytochemistry/ Immunofluorescence - Anti-SYNJ2BP antibody - N-terminal (AB224217)

PFA-fixed, Triton X-100 permeabilized mouse globus pallidus cells stained for SYNJ2BP (green) using ab224217 at 2 μg/ml in ICC/IF. Shows weak positivity in synapses and neuronal processes.

Immunocytochemistry/ Immunofluorescence - Anti-SYNJ2BP antibody - N-terminal (AB224217)
  • ICC/IF

Unknown

Immunocytochemistry/ Immunofluorescence - Anti-SYNJ2BP antibody - N-terminal (AB224217)

PFA-fixed, Triton X-100 permeabilized mouse hipocampus cells stained for SYNJ2BP (green) using ab224217 at 2 μg/ml in ICC/IF. Shows strong positivity in synapses,

Western blot - Anti-SYNJ2BP antibody - N-terminal (AB224217)
  • WB

Supplier Data

Western blot - Anti-SYNJ2BP antibody - N-terminal (AB224217)

All lanes:

Western blot - Anti-SYNJ2BP antibody - N-terminal (ab224217) at 1/250 dilution

All lanes:

Mouse cerebral cortex tissue lysate

Predicted band size: 16 kDa

true

Immunohistochemistry (Formalin/PFA-fixed paraffin-embedded sections) - Anti-SYNJ2BP antibody - N-terminal (AB224217)
  • IHC-P

Unknown

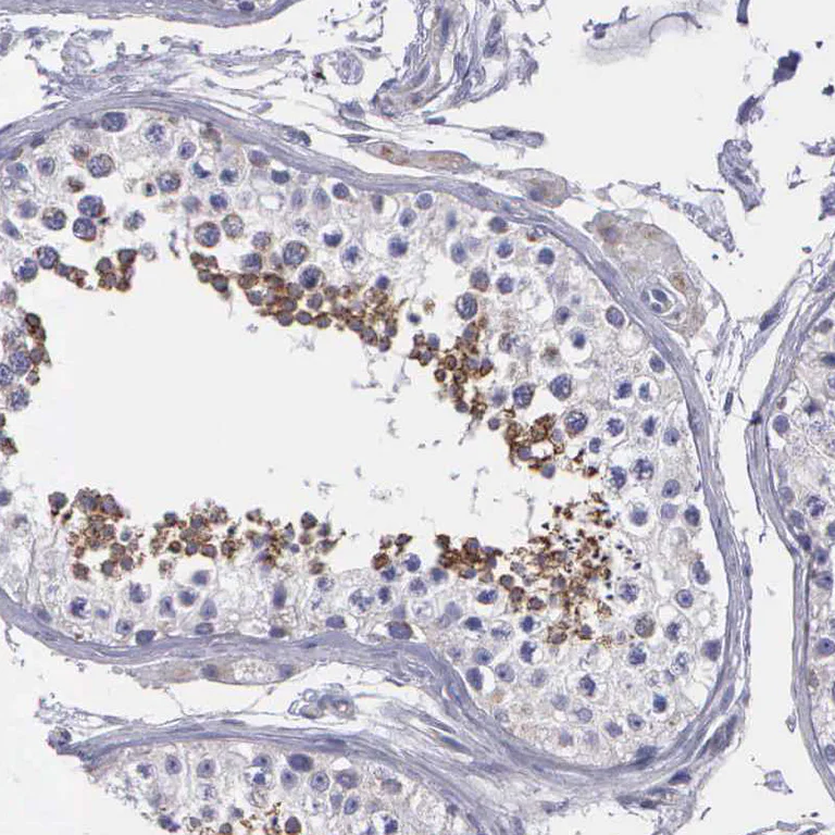
Immunohistochemistry (Formalin/PFA-fixed paraffin-embedded sections) - Anti-SYNJ2BP antibody - N-terminal (AB224217)

ab224217 (1 : 500 dilution) staining SYNJ2BP of human paraffin-embedded testis tissue by immunohistochemcial analysis shows moderate granular cytoplasmic positivity in seminiferous duct cells.

Immunocytochemistry/ Immunofluorescence - Anti-SYNJ2BP antibody - N-terminal (AB224217)
  • ICC/IF

Supplier Data

Immunocytochemistry/ Immunofluorescence - Anti-SYNJ2BP antibody - N-terminal (AB224217)

PFA-fixed, Triton X-100 permeabilized A431 (human epidermoid carcinoma cell line) cells stained for SYNJ2BP (green) using ab224217 at 4 μg/ml in ICC/IF.

Western blot - Anti-SYNJ2BP antibody - N-terminal (AB224217)
  • WB

Supplier Data

Western blot - Anti-SYNJ2BP antibody - N-terminal (AB224217)

All lanes:

Western blot - Anti-SYNJ2BP antibody - N-terminal (ab224217) at 1/250 dilution

All lanes:

RT4 (human urinary bladder cancer cell line) cell lysate

Predicted band size: 16 kDa

true

Key facts

Host species

Rabbit

Clonality

Polyclonal

Isotype

IgG

Carrier free

No

Reacts with

Mouse, Human

Applications

IHC-P, WB, ICC/IF

applications

Immunogen

Recombinant Fragment Protein within Human SYNJ2BP aa 1 to C-terminus. The exact immunogen used to generate this antibody is proprietary information.

P57105

Reactivity data

{ "title": "Reactivity Data", "filters": { "stats": ["", "Species", "Dilution Info", "Notes"], "tabs": { "all-applications": {"fullname" : "All Applications", "shortname": "All Applications"}, "IHCP" : {"fullname" : "Immunohistochemistry (Formalin/PFA-fixed paraffin-embedded sections)", "shortname":"IHC-P"}, "WB" : {"fullname" : "Western blot", "shortname":"WB"}, "ICCIF" : {"fullname" : "Immunocytochemistry/ Immunofluorescence", "shortname":"ICC/IF"} }, "product-promise": { "all": "all", "testedAndGuaranteed": "tested", "guaranteed": "expected", "predicted": "predicted", "notRecommended": "not-recommended" } }, "values": { "Human": { "IHCP-species-checked": "testedAndGuaranteed", "IHCP-species-dilution-info": "1/500 - 1/1000", "IHCP-species-notes": "<p></p> Perform heat-mediated antigen retrieval with citrate buffer pH 6 before commencing with IHC staining protocol.", "WB-species-checked": "testedAndGuaranteed", "WB-species-dilution-info": "0.04-0.4 µg/mL", "WB-species-notes": "<p></p>", "ICCIF-species-checked": "testedAndGuaranteed", "ICCIF-species-dilution-info": "0.25-2 µg/mL", "ICCIF-species-notes": "<p>Fixation/Permeabilization: PFA/Triton X-100.</p>" }, "Mouse": { "IHCP-species-checked": "guaranteed", "IHCP-species-dilution-info": "", "IHCP-species-notes": "", "WB-species-checked": "testedAndGuaranteed", "WB-species-dilution-info": "0.04-0.4 µg/mL", "WB-species-notes": "<p></p>", "ICCIF-species-checked": "testedAndGuaranteed", "ICCIF-species-dilution-info": "0.25-2 µg/mL", "ICCIF-species-notes": "<p>Fixation/Permeabilization: PFA/Triton X-100.</p>" }, "Rat": { "IHCP-species-checked": "predicted", "IHCP-species-dilution-info": "", "IHCP-species-notes": "", "WB-species-checked": "predicted", "WB-species-dilution-info": "", "WB-species-notes": "", "ICCIF-species-checked": "predicted", "ICCIF-species-dilution-info": "", "ICCIF-species-notes": "" }, "Cow": { "IHCP-species-checked": "predicted", "IHCP-species-dilution-info": "", "IHCP-species-notes": "", "WB-species-checked": "predicted", "WB-species-dilution-info": "", "WB-species-notes": "", "ICCIF-species-checked": "predicted", "ICCIF-species-dilution-info": "", "ICCIF-species-notes": "" } } }

Properties and storage information

Form
Liquid
Purification technique
Affinity purification Immunogen
Storage buffer
pH: 7.2 Preservative: 0.02% Sodium azide Constituents: PBS, 40% Glycerol (glycerin, glycerine)
Shipped at conditions
Blue Ice
Appropriate short-term storage duration
1-2 weeks
Appropriate short-term storage conditions
+4°C
Appropriate long-term storage conditions
-20°C
Aliquoting information
Upon delivery aliquot
Storage information
Avoid freeze / thaw cycle

Product protocols

For this product, it's our understanding that no specific protocols are required. You can visit:

Target data

Regulates endocytosis of activin type 2 receptor kinases through the Ral/RALBP1-dependent pathway and may be involved in suppression of activin-induced signal transduction.
See full target information SYNJ2BP

Publications (2)

Recent publications for all applications. Explore the full list and refine your search

Journal of neural transmission (Vienna, Austria : 1996) : PubMed40886229

2025

The effect of recombinant botulinum neurotoxin A on neuropathic pain in the spared nerve injury mouse model.

Applications

Unspecified application

Species

Unspecified reactive species

Rasmus E Hammer,Akinyemi A Omoniyi,Mette Richner,Stephane Lezmi,Christian B Vaegter,Mikhail Kalinichev,Pall Karlsson,Jens R Nyengaard

Science (New York, N.Y.) 369: PubMed32973005

2020

The endoplasmic reticulum P5A-ATPase is a transmembrane helix dislocase.

Applications

Unspecified application

Species

Unspecified reactive species

Michael J McKenna,Sue Im Sim,Alban Ordureau,Lianjie Wei,J Wade Harper,Sichen Shao,Eunyong Park
View all publications

Product promise

We are committed to supporting your work with high-quality reagents, and we're here for you every step of the way. In the unlikely event that one of our products does not perform as expected, you're protected by our Product Promise.
For full details, please see our Terms & Conditions

Please note: All products are 'FOR RESEARCH USE ONLY. NOT FOR USE IN DIAGNOSTIC OR THERAPEUTIC PROCEDURES'.

For licensing inquiries, please contact partnerships@abcam.com