JavaScript is disabled in your browser. Please enable JavaScript to view this website.
AB272736

Anti-Syntaxin 1a antibody [EPR23457-15]

Be the first to review this product! Submit a review

|

(2 Publications)

Rabbit Recombinant Monoclonal Syntaxin 1a antibody. Suitable for IP, WB, ICC/IF, IHC-Fr, Flow Cyt (Intra), IHC-P and reacts with Mouse, Human, Rat samples. Cited in 2 publications.

View Alternative Names

STX1, STX1A, Syntaxin-1A, Neuron-specific antigen HPC-1

6 Images
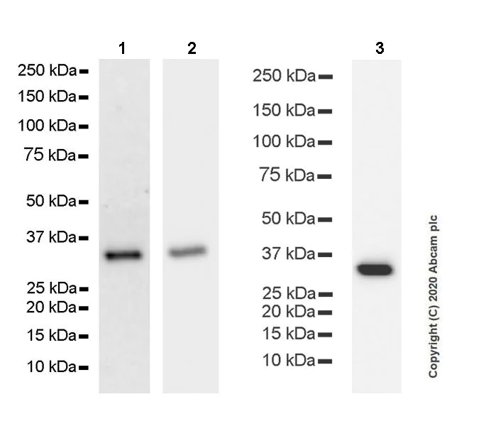
Western blot - Anti-Syntaxin 1a antibody [EPR23457-15] (AB272736)
  • WB

Lab

Western blot - Anti-Syntaxin 1a antibody [EPR23457-15] (AB272736)

Blocking and diluting buffer and concentration : 5% NFDM/TBST.

Exposure time : Lane 1 : 3 minutes Lane 2 : 3.25 seconds Lane 3 : 15 seconds.

All lanes:

Western blot - Anti-Syntaxin 1a antibody [EPR23457-15] (ab272736) at 1/1000 dilution

Lane 1:

SH-SY5Y (human neuroblastoma epithelial cell), whole cell lysate at 20 µg

Lane 2:

Neuro-2a (mouse neuroblastoma neuroblast), whole cell lysate at 20 µg

Lane 3:

PC-12 (rat adrenal gland pheochromocytoma), whole cell lysate at 20 µg

Secondary

All lanes:

Goat Anti-Rabbit IgG, (H+L), Peroxidase conjugated (<a href='/en-us/products/secondary-antibodies/goat-rabbit-igg-h-l-hrp-ab97051'>ab97051</a>) at 1/100000 dilution

Predicted band size: 33 kDa

Observed band size: 33 kDa

false

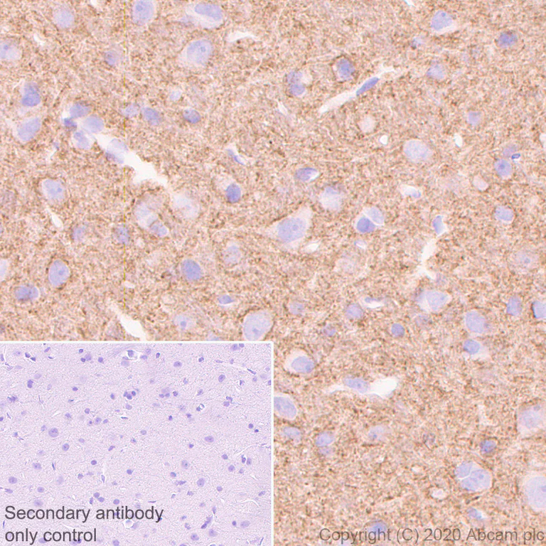
Immunohistochemistry (Formalin/PFA-fixed paraffin-embedded sections) - Anti-Syntaxin 1a antibody [EPR23457-15] (AB272736)
  • IHC-P

Unknown

Immunohistochemistry (Formalin/PFA-fixed paraffin-embedded sections) - Anti-Syntaxin 1a antibody [EPR23457-15] (AB272736)

Immunohistochemical analysis of paraffin-embedded rat cerebrum tissue labeling Syntaxin 1a with ab272736 at 1/2000, followed by a ready to use Rabbit specific IHC polymer detection kit HRP/DAB (ab209101).

Positive staining on rat cerebrum (PMID : 10644452).
The section was incubated with ab272736 for 30 mins at room temperature.
The immunostaining was performed on a Leica Biosystems BOND® RX instrument

Counterstained with Hematoxylin.

Secondary antibody only control : Secondary antibody is a ready to use Rabbit specific IHC polymer detection kit HRP/DAB (ab209101).

Heat mediated antigen retrieval was performed with Tris-EDTA buffer (pH 9.0, Epitope Retrieval Solution2) for 20 mins.

Flow Cytometry (Intracellular) - Anti-Syntaxin 1a antibody [EPR23457-15] (AB272736)
  • Flow Cyt (Intra)

Unknown

Flow Cytometry (Intracellular) - Anti-Syntaxin 1a antibody [EPR23457-15] (AB272736)

Intracellular flow cytometric analysis of 4% paraformaldehyde fixed 90% methanol permeabilized Neuro-2a (Mouse neuroblastoma neuroblast) cells labelling Syntaxin 1a with ab272736 at 1/500 dilution (0.1μg) (Red) compared with a Rabbit monoclonal IgG (ab172730) (Black) isotype control and an unlabelled control (cells without incubation with primary antibody and secondary antibody) (Blue). Goat anti rabbit IgG (Alexa Fluor® 488, ab150077) at 1/2000 dilution was used as the secondary antibody.

Immunoprecipitation - Anti-Syntaxin 1a antibody [EPR23457-15] (AB272736)
  • IP

Unknown

Immunoprecipitation - Anti-Syntaxin 1a antibody [EPR23457-15] (AB272736)

Syntaxin 1a was immunoprecipitated from 0.35 mg human brain tissue lysate 10μg with ab272736 at 1/30 dilution (2μg in 0.35mg lysates). Western blot was performed on the immunoprecipitate using ab272736 at 1/1000 dilution. VeriBlot for IP Detection Reagent (HRP)(ab131366) was used at 1/5000 dilution.

Lane 1 : Human brain tissue lysate 10μg.

Lane 2 : ab272736 IP in human brain tissue lysate.

Lane 3 : Rabbit monoclonal IgG (ab172730) instead of ab272736 in human brain tissue lysate.

Blocking/Dilution buffer : 5% NFDM/TBST.

Exposure time : 3.25 seconds.

All lanes:

Immunoprecipitation - Anti-Syntaxin 1a antibody [EPR23457-15] (ab272736)

Predicted band size: 33 kDa

Observed band size: 33 kDa

false

Western blot - Anti-Syntaxin 1a antibody [EPR23457-15] (AB272736)
  • WB

Lab

Western blot - Anti-Syntaxin 1a antibody [EPR23457-15] (AB272736)

Blocking and diluting buffer and concentration : 5% NFDM/TBST.

The expression profile observed is consistent with what have been described in literature (PMID : 10644452).

Negative control : Human liver (PMID : 10644452).

Exposure time : 3.25 seconds.

All lanes:

Western blot - Anti-Syntaxin 1a antibody [EPR23457-15] (ab272736) at 1/2000 dilution

Lane 1:

Human brain tissue lysate at 20 µg

Lane 2:

Human liver tissue lysate at 20 µg

Secondary

All lanes:

VeriBlot for IP secondary antibody(HRP)(<a href='/en-us/products/reagents/veriblot-for-ip-detection-reagent-hrp-ab131366'>ab131366</a>) at 1/1000 dilution

Predicted band size: 33 kDa

Observed band size: 33 kDa

false

Western blot - Anti-Syntaxin 1a antibody [EPR23457-15] (AB272736)
  • WB

Lab

Western blot - Anti-Syntaxin 1a antibody [EPR23457-15] (AB272736)

Blocking and diluting buffer and concentration : 5% NFDM/TBST.

Exposure time : 3.25 seconds.

All lanes:

Western blot - Anti-Syntaxin 1a antibody [EPR23457-15] (ab272736) at 1/2000 dilution

Lane 1:

Mouse brain tissue lysate at 20 µg

Lane 2:

Rat brain tissue lysate at 20 µg

Secondary

All lanes:

Goat Anti-Rabbit IgG, (H+L), Peroxidase conjugated (<a href='/en-us/products/secondary-antibodies/goat-rabbit-igg-h-l-hrp-ab97051'>ab97051</a>) at 1/100000 dilution

Predicted band size: 33 kDa

Observed band size: 33 kDa

false

  • Carrier free

    Anti-Syntaxin 1a antibody [EPR23457-15] - BSA and Azide free

Key facts

Host species

Rabbit

Clonality

Monoclonal

Clone number

EPR23457-15

Isotype

IgG

Carrier free

No

Reacts with

Mouse, Rat, Human

Applications

Flow Cyt (Intra), IHC-Fr, IHC-P, WB, ICC/IF, IP

applications

Immunogen

The exact immunogen used to generate this antibody is proprietary information.

Reactivity data

{ "title": "Reactivity Data", "filters": { "stats": ["", "Species", "Dilution Info", "Notes"], "tabs": { "all-applications": {"fullname" : "All Applications", "shortname": "All Applications"}, "IP" : {"fullname" : "Immunoprecipitation", "shortname":"IP"}, "WB" : {"fullname" : "Western blot", "shortname":"WB"}, "ICCIF" : {"fullname" : "Immunocytochemistry/ Immunofluorescence", "shortname":"ICC/IF"}, "IHCFr" : {"fullname" : "Immunohistochemistry (Frozen sections)", "shortname":"IHC-Fr"}, "FlowCytIntra" : {"fullname" : "Flow Cytometry (Intracellular)", "shortname":"Flow Cyt (Intra)"}, "IHCP" : {"fullname" : "Immunohistochemistry (Formalin/PFA-fixed paraffin-embedded sections)", "shortname":"IHC-P"} }, "product-promise": { "all": "all", "testedAndGuaranteed": "tested", "guaranteed": "expected", "predicted": "predicted", "notRecommended": "not-recommended" } }, "values": { "Human": { "IP-species-checked": "testedAndGuaranteed", "IP-species-dilution-info": "1/30", "IP-species-notes": "<p></p>", "WB-species-checked": "testedAndGuaranteed", "WB-species-dilution-info": "1/1000", "WB-species-notes": "<p></p>", "ICCIF-species-checked": "guaranteed", "ICCIF-species-dilution-info": "", "ICCIF-species-notes": "", "IHCFr-species-checked": "guaranteed", "IHCFr-species-dilution-info": "", "IHCFr-species-notes": "", "FlowCytIntra-species-checked": "guaranteed", "FlowCytIntra-species-dilution-info": "", "FlowCytIntra-species-notes": "", "IHCP-species-checked": "testedAndGuaranteed", "IHCP-species-dilution-info": "1/2000", "IHCP-species-notes": "<p></p>" }, "Mouse": { "IP-species-checked": "testedAndGuaranteed", "IP-species-dilution-info": "1/30", "IP-species-notes": "<p></p>", "WB-species-checked": "testedAndGuaranteed", "WB-species-dilution-info": "1/1000", "WB-species-notes": "<p></p>", "ICCIF-species-checked": "testedAndGuaranteed", "ICCIF-species-dilution-info": "1/50", "ICCIF-species-notes": "<p></p>", "IHCFr-species-checked": "testedAndGuaranteed", "IHCFr-species-dilution-info": "1/100", "IHCFr-species-notes": "<p></p>", "FlowCytIntra-species-checked": "testedAndGuaranteed", "FlowCytIntra-species-dilution-info": "1/500", "FlowCytIntra-species-notes": "<p></p>", "IHCP-species-checked": "testedAndGuaranteed", "IHCP-species-dilution-info": "1/2000", "IHCP-species-notes": "<p></p>" }, "Rat": { "IP-species-checked": "guaranteed", "IP-species-dilution-info": "", "IP-species-notes": "", "WB-species-checked": "testedAndGuaranteed", "WB-species-dilution-info": "1/1000", "WB-species-notes": "<p></p>", "ICCIF-species-checked": "testedAndGuaranteed", "ICCIF-species-dilution-info": "1/50", "ICCIF-species-notes": "<p></p>", "IHCFr-species-checked": "testedAndGuaranteed", "IHCFr-species-dilution-info": "1/100", "IHCFr-species-notes": "<p></p>", "FlowCytIntra-species-checked": "guaranteed", "FlowCytIntra-species-dilution-info": "", "FlowCytIntra-species-notes": "", "IHCP-species-checked": "testedAndGuaranteed", "IHCP-species-dilution-info": "1/2000", "IHCP-species-notes": "<p></p>" } } }

You may be interested in:

AB277088

Syntaxin 1a ELISA Kit

0

0 Reviews

View product

We recommend this product because it’s often used in the same experiment or related research.

We advise that you always check the datasheet to ensure it fits your experiments, or contact ourtechnical teamfor help.

Product details

Patented technology
Our RabMAb® technology is a patented hybridoma-based technology for making rabbit monoclonal antibodies. For details on our patents, please refer to RabMAb® patents.

What are the advantages of a recombinant monoclonal antibody?
This product is a recombinant monoclonal antibody, which offers several advantages including:

  • - High batch-to-batch consistency and reproducibility
  • - Improved sensitivity and specificity
  • - Long-term security of supply
  • - Animal-free batch production

For more information, read more on recombinant antibodies.

Properties and storage information

Form
Liquid
Purification technique
Affinity purification Protein A
Storage buffer
pH: 7.2 - 7.4 Preservative: 0.01% Sodium azide Constituents: PBS, 40% Glycerol (glycerin, glycerine), 0.05% BSA
Shipped at conditions
Blue Ice
Appropriate short-term storage duration
1-2 weeks
Appropriate short-term storage conditions
+4°C
Appropriate long-term storage conditions
-20°C
Aliquoting information
Upon delivery aliquot
Storage information
Avoid freeze / thaw cycle

Supplementary information

This supplementary information is collated from multiple sources and compiled automatically.

Syntaxin 1a also known as STX1A is an essential protein in cellular mechanisms involved in neurotransmitter release. This protein weighing approximately 33 kDa plays a direct role in synaptic vesicle fusion through its function as a member of the SNARE (Soluble N-ethylmaleimide-sensitive factor Attachment protein Receptor) complex. Syntaxin 1a is highly expressed in the brain especially in areas like the hippocampus and cerebral cortex where it facilitates rapid neurotransmission important for communication between neurons.
Biological function summary

The involvement of Syntaxin 1a in synaptic transmission is significant. It forms a complex with other proteins such as SNAP-25 and VAMP enabling the docking and fusion of synaptic vesicles with the presynaptic membrane. This action results in the release of neurotransmitters into the synaptic cleft which then bind to receptors on the postsynaptic neuron to propagate neural signals. Syntaxin 1a ensures efficient synaptic activity and is indispensable for maintaining synaptic plasticity which is critical for learning and memory.

Pathways

Syntaxin 1a is pivotal in the regulation of neurotransmitter release within the synaptic vesicle cycle pathway. This pathway includes the assembly and disassembly of the SNARE complex which are processes vital for neurotransmitter exocytosis. Syntaxin 1a engages closely with proteins like synaptotagmin acting as calcium sensors and Munc18 which helps in initiating SNARE assembly. These interactions highlight the careful orchestration of vesicle trafficking and fusion events necessary for effective synaptic communication.

Dysfunctions in Syntaxin 1a are linked to neurological conditions such as epilepsy and autism spectrum disorders. Alterations or mutations in Syntaxin 1a can lead to improper synaptic vesicle fusion and disrupted neurotransmitter release which are characteristics of these disorders. Additionally Syntaxin 1a interacts with proteins like Munc18-1 whose mutations are associated with similar synaptic transmission deficiencies further implicating the involvement of Syntaxin 1a in these pathologies.

Product protocols

For this product, it's our understanding that no specific protocols are required. You can visit:

Target data

Plays an essential role in hormone and neurotransmitter calcium-dependent exocytosis and endocytosis (PubMed : 26635000). Part of the SNARE (Soluble NSF Attachment Receptor) complex composed of SNAP25, STX1A and VAMP2 which mediates the fusion of synaptic vesicles with the presynaptic plasma membrane. STX1A and SNAP25 are localized on the plasma membrane while VAMP2 resides in synaptic vesicles. The pairing of the three SNAREs from the N-terminal SNARE motifs to the C-terminal anchors leads to the formation of the SNARE complex, which brings membranes into close proximity and results in final fusion. Participates in the calcium-dependent regulation of acrosomal exocytosis in sperm (PubMed : 23091057). Also plays an important role in the exocytosis of hormones such as insulin or glucagon-like peptide 1 (GLP-1) (By similarity).
See full target information STX1A

Publications (2)

Recent publications for all applications. Explore the full list and refine your search

Proceedings of the National Academy of Sciences of the United States of America 119:e2202536119 PubMed36161898

2022

Dissection of the long-range projections of specific neurons at the synaptic level in the whole mouse brain.

Applications

Unspecified application

Species

Unspecified reactive species

Jiaojiao Tian,Miao Ren,Peilin Zhao,Shukang Luo,Yingying Chen,Xiaofeng Xu,Tao Jiang,Qingtao Sun,Anan Li,Hui Gong,Xiangning Li,Qingming Luo

Cell death discovery 8:33 PubMed35075150

2022

MicroRNA-181a-2-3p shuttled by mesenchymal stem cell-secreted extracellular vesicles inhibits oxidative stress in Parkinson's disease by inhibiting EGR1 and NOX4.

Applications

Unspecified application

Species

Unspecified reactive species

Jianjun Ma,Xiaoxue Shi,Mingjian Li,Siyuan Chen,Qi Gu,Jinhua Zheng,Dongsheng Li,Shaopu Wu,Hongqi Yang,Xue Li
View all publications

Product promise

We are committed to supporting your work with high-quality reagents, and we're here for you every step of the way. In the unlikely event that one of our products does not perform as expected, you're protected by our Product Promise.
For full details, please see our Terms & Conditions

Please note: All products are 'FOR RESEARCH USE ONLY. NOT FOR USE IN DIAGNOSTIC OR THERAPEUTIC PROCEDURES'.

For licensing inquiries, please contact partnerships@abcam.com