JavaScript is disabled in your browser. Please enable JavaScript to view this website.
AB233275

Anti-Syntaxin 2/STX2 antibody

Be the first to review this product! Submit a review

|

(2 Publications)

Rabbit Polyclonal Syntaxin 2/STX2 antibody. Suitable for WB, IHC-P and reacts with Pig, Recombinant fragment - Human, Human samples. Cited in 2 publications. Immunogen corresponding to Recombinant Fragment Protein within Human STX2 aa 1 to C-terminus.

View Alternative Names

EPIM, STX2A, STX2B, STX2C, STX2, Syntaxin-2, Epimorphin

8 Images
Immunohistochemistry (Formalin/PFA-fixed paraffin-embedded sections) - Anti-Syntaxin 2/STX2 antibody (AB233275)
  • IHC-P

Supplier Data

Immunohistochemistry (Formalin/PFA-fixed paraffin-embedded sections) - Anti-Syntaxin 2/STX2 antibody (AB233275)

Paraffin-embedded human breast cancer tissue stained for Syntaxin 2/STX2 using ab233275 at 20 μg/ml in immunohistochemical analysis. DAB staining.

Immunohistochemistry (Formalin/PFA-fixed paraffin-embedded sections) - Anti-Syntaxin 2/STX2 antibody (AB233275)
  • IHC-P

Supplier Data

Immunohistochemistry (Formalin/PFA-fixed paraffin-embedded sections) - Anti-Syntaxin 2/STX2 antibody (AB233275)

Paraffin-embedded human pancreas tissue stained for Syntaxin 2/STX2 using ab233275 at 20 μg/ml in immunohistochemical analysis. DAB staining.

Immunohistochemistry (Formalin/PFA-fixed paraffin-embedded sections) - Anti-Syntaxin 2/STX2 antibody (AB233275)
  • IHC-P

Supplier Data

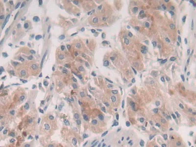
Immunohistochemistry (Formalin/PFA-fixed paraffin-embedded sections) - Anti-Syntaxin 2/STX2 antibody (AB233275)

Paraffin-embedded human glioma tissue stained for Syntaxin 2/STX2 using ab233275 at 20 μg/ml in immunohistochemical analysis. DAB staining.

Immunohistochemistry (Formalin/PFA-fixed paraffin-embedded sections) - Anti-Syntaxin 2/STX2 antibody (AB233275)
  • IHC-P

Supplier Data

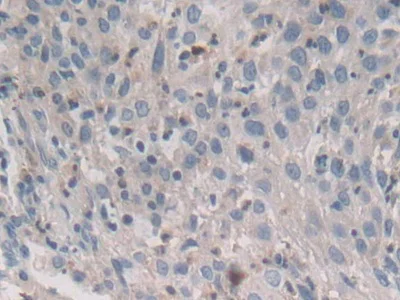
Immunohistochemistry (Formalin/PFA-fixed paraffin-embedded sections) - Anti-Syntaxin 2/STX2 antibody (AB233275)

Paraffin-embedded human lung cancer tissue stained for Syntaxin 2/STX2 using ab233275 at 20 μg/ml in immunohistochemical analysis. DAB staining.

Immunohistochemistry (Formalin/PFA-fixed paraffin-embedded sections) - Anti-Syntaxin 2/STX2 antibody (AB233275)
  • IHC-P

Supplier Data

Immunohistochemistry (Formalin/PFA-fixed paraffin-embedded sections) - Anti-Syntaxin 2/STX2 antibody (AB233275)

Paraffin-embedded human stomach tissue stained for Syntaxin 2/STX2 using ab233275 at 20 μg/ml in immunohistochemical analysis. DAB staining.

Immunohistochemistry (Formalin/PFA-fixed paraffin-embedded sections) - Anti-Syntaxin 2/STX2 antibody (AB233275)
  • IHC-P

Supplier Data

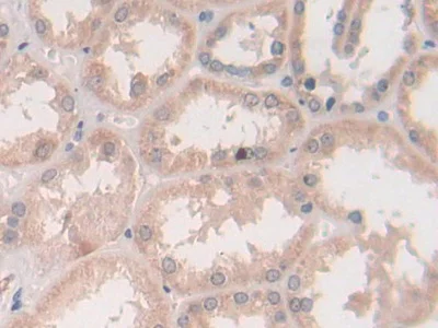
Immunohistochemistry (Formalin/PFA-fixed paraffin-embedded sections) - Anti-Syntaxin 2/STX2 antibody (AB233275)

Paraffin-embedded human kidney tissue stained for Syntaxin 2/STX2 using ab233275 at 20 μg/ml in immunohistochemical analysis. DAB staining.

Western blot - Anti-Syntaxin 2/STX2 antibody (AB233275)
  • WB

Supplier Data

Western blot - Anti-Syntaxin 2/STX2 antibody (AB233275)

All lanes:

Western blot - Anti-Syntaxin 2/STX2 antibody (ab233275) at 1 µg

All lanes:

Recombinant human Syntaxin 2/STX2 protein

Secondary

All lanes:

HRP-Linked Guinea pig Anti-Rabbit at 1/2000 dilution

Predicted band size: 33 kDa

false

Western blot - Anti-Syntaxin 2/STX2 antibody (AB233275)
  • WB

Supplier Data

Western blot - Anti-Syntaxin 2/STX2 antibody (AB233275)

All lanes:

Western blot - Anti-Syntaxin 2/STX2 antibody (ab233275) at 1 µg/mL

Lane 1:

Human serum

Lane 2:

Human lung lysate

Lane 3:

Pig brain lysate

Lane 4:

HeLa (human epithelial cell line from cervix adenocarcinoma) cell lysate

Secondary

All lanes:

HRP-Linked Guinea pig Anti-Rabbit at 1/2000 dilution

Predicted band size: 33 kDa

false

Key facts

Host species

Rabbit

Clonality

Polyclonal

Isotype

IgG

Carrier free

No

Reacts with

Human, Pig

Applications

IHC-P, WB

applications

Immunogen

Recombinant Fragment Protein within Human STX2 aa 1 to C-terminus. The exact immunogen used to generate this antibody is proprietary information.

P32856

Reactivity data

{ "title": "Reactivity Data", "filters": { "stats": ["", "Species", "Dilution Info", "Notes"], "tabs": { "all-applications": {"fullname" : "All Applications", "shortname": "All Applications"}, "WB" : {"fullname" : "Western blot", "shortname":"WB"}, "IHCP" : {"fullname" : "Immunohistochemistry (Formalin/PFA-fixed paraffin-embedded sections)", "shortname":"IHC-P"} }, "product-promise": { "all": "all", "testedAndGuaranteed": "tested", "guaranteed": "expected", "predicted": "predicted", "notRecommended": "not-recommended" } }, "values": { "Human": { "WB-species-checked": "testedAndGuaranteed", "WB-species-dilution-info": "0.5-2 µg/mL", "WB-species-notes": "<p></p>", "IHCP-species-checked": "testedAndGuaranteed", "IHCP-species-dilution-info": "5-20 µg/mL", "IHCP-species-notes": "<p></p>" }, "Mouse": { "WB-species-checked": "predicted", "WB-species-dilution-info": "", "WB-species-notes": "", "IHCP-species-checked": "predicted", "IHCP-species-dilution-info": "", "IHCP-species-notes": "" }, "Pig": { "WB-species-checked": "testedAndGuaranteed", "WB-species-dilution-info": "0.5-2 µg/mL", "WB-species-notes": "<p></p>", "IHCP-species-checked": "guaranteed", "IHCP-species-dilution-info": "", "IHCP-species-notes": "" }, "Recombinant fragment - Human": { "WB-species-checked": "testedAndGuaranteed", "WB-species-dilution-info": "0.5-2 µg/mL", "WB-species-notes": "<p></p>", "IHCP-species-checked": "notRecommended", "IHCP-species-dilution-info": "", "IHCP-species-notes": "" } } }

Properties and storage information

Form
Liquid
Purification technique
Affinity purification Protein A
Purification notes
ab233275 was purified by antigen-specific affinity chromatography followed by Protein A affinity chromatography.
Storage buffer
pH: 7.4 Preservative: 0.011% Proclin 300 Constituents: PBS, 55.77% Glycerol (glycerin, glycerine)
Shipped at conditions
Blue Ice
Appropriate short-term storage duration
1-2 weeks
Appropriate short-term storage conditions
+4°C
Appropriate long-term storage conditions
-20°C
Aliquoting information
Upon delivery aliquot
Storage information
Avoid freeze / thaw cycle

Supplementary information

This supplementary information is collated from multiple sources and compiled automatically.

Syntaxin 2 (STX2) also known as epimorphin plays an important role in the process of vesicle fusion in cells. This protein is part of the t-SNARE family and has a molecular mass of approximately 33 kDa. STX2 is expressed in various tissues including the brain lungs and kidneys indicating its widespread involvement in cellular processes throughout the body.
Biological function summary

Syntaxin 2 mediates intracellular membrane fusion events. It functions as a component of the SNARE complex which facilitates vesicle targeting and fusion with cell membranes. This activity is necessary for secretory pathways and endocytic processes ensuring proper transport and release of cellular materials. In addition STX2 takes part in regulating insulin exocytosis highlighting its role in maintaining metabolic balance.

Pathways

The protein is central to the vesicular transport and secretory pathways. It interacts with other SNARE proteins like SNAP-25 and VAMP2 forming a complex that drives membrane fusion. Syntaxin 2 also has a connection with the insulin signaling pathway highlighting its contribution to glucose homeostasis and energy metabolism. These interactions show its participation in critical cellular communication and transport pathways.

Syntaxin 2 is linked to certain metabolic and neurological conditions. Its involvement in insulin secretion suggests a connection to type 2 diabetes where dysregulation can affect insulin release. Additionally altered expression or function of STX2 has been examined in neurodegenerative diseases such as Alzheimer's disease. Disruptions involving proteins like APP in conjunction with STX2 might contribute to the development of such disorders indicating STX2's potential as a therapeutic target.

Product protocols

For this product, it's our understanding that no specific protocols are required. You can visit:

Target data

Essential for epithelial morphogenesis. May mediate Ca(2+)-regulation of exocytosis acrosomal reaction in sperm.
See full target information STX2

Publications (2)

Recent publications for all applications. Explore the full list and refine your search

Communications biology 8:1040 PubMed40640354

2025

Fortilin deficiency induces anti-atherosclerotic phenotypes in macrophages and protects hypercholesterolemic mice against atherosclerosis.

Applications

Unspecified application

Species

Unspecified reactive species

Nattaporn Wanachottrakul,Decha Pinkaew,Sandipan Mukherjee,Preedakorn Chunhacha,Mari Nakashima,Asa A Brockman,Uttariya Pal,Hasseri B Halim,Yuhong Wei,Lena Tanaka,Hanna Huynh,Kota Ramana,Shiyou Chen,Rebecca A Ihrie,Ken Fujise

Nature communications 11:3594 PubMed32681011

2020

CircGRIA1 shows an age-related increase in male macaque brain and regulates synaptic plasticity and synaptogenesis.

Applications

Unspecified application

Species

Unspecified reactive species

Kaiyu Xu,Ying Zhang,Wandi Xiong,Zhongyu Zhang,Zhengbo Wang,Longbao Lv,Chao Liu,Zhengfei Hu,Yong-Tang Zheng,Lin Lu,Xin-Tian Hu,Jiali Li
View all publications

Product promise

We are committed to supporting your work with high-quality reagents, and we're here for you every step of the way. In the unlikely event that one of our products does not perform as expected, you're protected by our Product Promise.
For full details, please see our Terms & Conditions

Please note: All products are 'FOR RESEARCH USE ONLY. NOT FOR USE IN DIAGNOSTIC OR THERAPEUTIC PROCEDURES'.

For licensing inquiries, please contact partnerships@abcam.com