JavaScript is disabled in your browser. Please enable JavaScript to view this website.
AB246856

Anti-Syntaxin 4 antibody

Be the first to review this product! Submit a review

|

(1 Publication)

Rabbit Polyclonal Syntaxin 4 antibody. Suitable for IHC-P, WB and reacts with Human samples. Cited in 1 publication. Immunogen corresponding to Recombinant Fragment Protein within Human STX4 aa 1-150.

View Alternative Names

STX4A, STX4, Syntaxin-4, Renal carcinoma antigen NY-REN-31

6 Images
Immunohistochemistry (Formalin/PFA-fixed paraffin-embedded sections) - Anti-Syntaxin 4 antibody (AB246856)
  • IHC-P

Supplier Data

Immunohistochemistry (Formalin/PFA-fixed paraffin-embedded sections) - Anti-Syntaxin 4 antibody (AB246856)

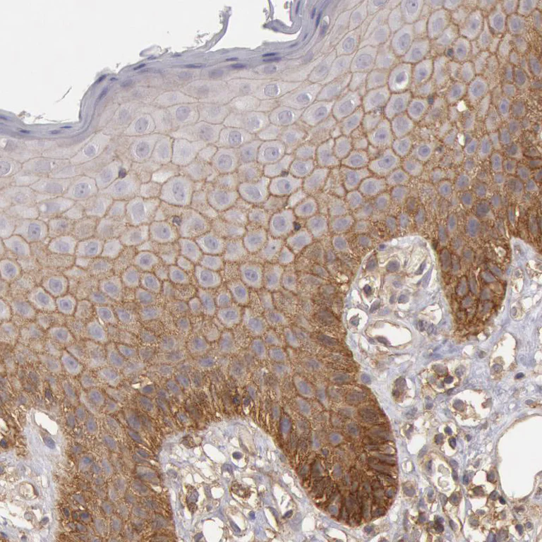
Formalin-fixed, paraffin-embedded human skin tissue stained for Syntaxin 4 with ab246856 at a 1/200 dilution in immunohistochemical analysis.

Immunohistochemistry (Formalin/PFA-fixed paraffin-embedded sections) - Anti-Syntaxin 4 antibody (AB246856)
  • IHC-P

Supplier Data

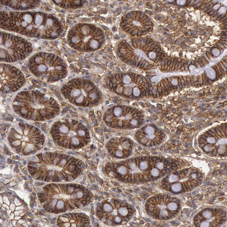
Immunohistochemistry (Formalin/PFA-fixed paraffin-embedded sections) - Anti-Syntaxin 4 antibody (AB246856)

Formalin-fixed, paraffin-embedded human gastrointestinal tissue stained for Syntaxin 4 with ab246856 at a 1/200 dilution in immunohistochemical analysis.

Immunohistochemistry (Formalin/PFA-fixed paraffin-embedded sections) - Anti-Syntaxin 4 antibody (AB246856)
  • IHC-P

Supplier Data

Immunohistochemistry (Formalin/PFA-fixed paraffin-embedded sections) - Anti-Syntaxin 4 antibody (AB246856)

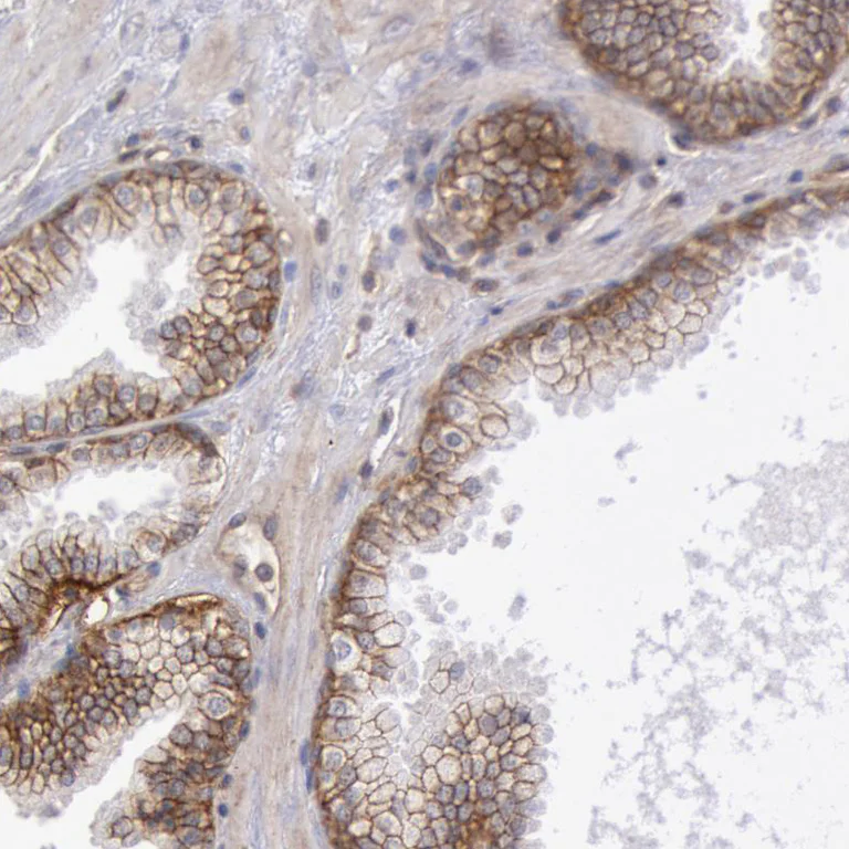
Formalin-fixed, paraffin-embedded human prostate tissue stained for Syntaxin 4 with ab246856 at a 1/200 dilution in immunohistochemical analysis.

Western blot - Anti-Syntaxin 4 antibody (AB246856)
  • WB

Unknown

Western blot - Anti-Syntaxin 4 antibody (AB246856)

All lanes:

Western blot - Anti-Syntaxin 4 antibody (ab246856) at 0.4 µg/mL

Lane 1:

A549 cells transfected with control siRNA, lysate

Lane 2:

A549 cells transfected with siRNA probe #1, lysate

Lane 3:

A549 cells transfected with siRNA probe #2, lysate

Predicted band size: 34 kDa

false

Western blot - Anti-Syntaxin 4 antibody (AB246856)
  • WB

Unknown

Western blot - Anti-Syntaxin 4 antibody (AB246856)

All lanes:

Western blot - Anti-Syntaxin 4 antibody (ab246856) at 0.4 µg/mL

All lanes:

MCF7 (Human breast adenocarcinoma cell line) cell lysate

Predicted band size: 34 kDa

false

Immunohistochemistry (Formalin/PFA-fixed paraffin-embedded sections) - Anti-Syntaxin 4 antibody (AB246856)
  • IHC-P

Supplier Data

Immunohistochemistry (Formalin/PFA-fixed paraffin-embedded sections) - Anti-Syntaxin 4 antibody (AB246856)

Formalin-fixed, paraffin-embedded human lymphoid tissue stained for Syntaxin 4 with ab246856 at a 1/200 dilution in immunohistochemical analysis.

Key facts

Host species

Rabbit

Clonality

Polyclonal

Isotype

IgG

Carrier free

No

Reacts with

Human

Applications

WB, IHC-P

applications

Immunogen

Recombinant Fragment Protein within Human STX4 aa 1-150. The exact immunogen used to generate this antibody is proprietary information.

Q12846

Reactivity data

{ "title": "Reactivity Data", "filters": { "stats": ["", "Species", "Dilution Info", "Notes"], "tabs": { "all-applications": {"fullname" : "All Applications", "shortname": "All Applications"}, "IHCP" : {"fullname" : "Immunohistochemistry (Formalin/PFA-fixed paraffin-embedded sections)", "shortname":"IHC-P"}, "ICC" : {"fullname" : "Immunocytochemistry", "shortname":"ICC"}, "WB" : {"fullname" : "Western blot", "shortname":"WB"} }, "product-promise": { "all": "all", "testedAndGuaranteed": "tested", "guaranteed": "expected", "predicted": "predicted", "notRecommended": "not-recommended" } }, "values": { "Human": { "IHCP-species-checked": "testedAndGuaranteed", "IHCP-species-dilution-info": "1/200 - 1/500", "IHCP-species-notes": "<p></p> Perform heat-mediated antigen retrieval with citrate buffer pH 6 before commencing with IHC staining protocol.", "ICC-species-checked": "notRecommended", "ICC-species-dilution-info": "", "ICC-species-notes": "<p></p>", "WB-species-checked": "testedAndGuaranteed", "WB-species-dilution-info": "0.04-0.4 µg/mL", "WB-species-notes": "<p></p>" } } }

Properties and storage information

Form
Liquid
Purification technique
Affinity purification Immunogen
Storage buffer
pH: 7.2 Preservative: 0.02% Sodium azide Constituents: PBS, 40% Glycerol (glycerin, glycerine)
Shipped at conditions
Blue Ice
Appropriate short-term storage duration
1-2 weeks
Appropriate short-term storage conditions
+4°C
Appropriate long-term storage conditions
-20°C
Aliquoting information
Upon delivery aliquot
Storage information
Avoid freeze / thaw cycle

Supplementary information

This supplementary information is collated from multiple sources and compiled automatically.

Syntaxin 4 also known as STX4 is a member of the soluble NSF attachment protein receptor (SNARE) family. It has a molecular mass of approximately 33 kDa. Syntaxin 4 is integral to membrane fusion processes specifically docking and fusion of vesicles with target membranes. It expresses in a wide range of tissues but high levels are found in skeletal muscle and adipose tissue. Its function is necessary in cellular trafficking systems and exocytosis.
Biological function summary

Syntaxin 4 facilitates key transport events at the plasma membrane. It forms part of the SNARE complex which is essential for vesicle targeting and fusion. This complex includes other SNARE proteins such as VAMP2 and SNAP23 ensuring that vesicles deliver their content accurately within cells. This function is critical in processes such as insulin-stimulated glucose uptake and neurotransmitter release.

Pathways

Syntaxin 4 involves itself in the regulation of vesicular transport and insulin signaling. It plays an essential role in the GLUT4 translocation pathway where Syntaxin 4 interacts with proteins like Munc18c which is critical for the regulation of glucose transport in response to insulin. Another important pathway includes its involvement in neurotransmitter release where Syntaxin 4 interfaces with synaptotagmin highlighting its influence within signal transmission processes.

Dysfunctions related to Syntaxin 4 have implications in conditions such as type 2 diabetes and certain neuropathies. In the context of type 2 diabetes impaired Syntaxin 4-mediated uptake of glucose into cells can lead to insulin resistance. Syntaxin 4 also relates to neuromuscular disorders where its malfunction can alter neurotransmitter release. These conditions oftentimes involve Munc18c which stabilizes Syntaxin 4 and modulates its activity within the cell.

Product protocols

For this product, it's our understanding that no specific protocols are required. You can visit:

Target data

Plasma membrane t-SNARE that mediates docking of transport vesicles (By similarity). Necessary for the translocation of SLC2A4 from intracellular vesicles to the plasma membrane (By similarity). In neurons, recruited at neurite tips to membrane domains rich in the phospholipid 1-oleoyl-2-palmitoyl-PC (OPPC) which promotes neurite tip surface expression of the dopamine transporter SLC6A3/DAT by facilitating fusion of SLC6A3-containing transport vesicles with the plasma membrane (By similarity). Together with STXB3 and VAMP2, may also play a role in docking/fusion of intracellular GLUT4-containing vesicles with the cell surface in adipocytes and in docking of synaptic vesicles at presynaptic active zones (By similarity). Required for normal hearing (PubMed : 36355422).
See full target information STX4

Publications (1)

Recent publications for all applications. Explore the full list and refine your search

Alzheimer's & dementia : the journal of the Alzheimer's Association 20:8758-8768 PubMed39439289

2024

Microscopy assessment of a fluorescence [F] flortaucipir analog (T726) shows neuropathological overlap with 3R and 4R tau lesions.

Applications

Unspecified application

Species

Unspecified reactive species

Rodolfo G Gatto,Youssef Hossam,R Ross Reichard,Val J Lowe,Jennifer L Whitwell,Keith A Josephs
View all publications

Product promise

We are committed to supporting your work with high-quality reagents, and we're here for you every step of the way. In the unlikely event that one of our products does not perform as expected, you're protected by our Product Promise.
For full details, please see our Terms & Conditions

Please note: All products are 'FOR RESEARCH USE ONLY. NOT FOR USE IN DIAGNOSTIC OR THERAPEUTIC PROCEDURES'.

For licensing inquiries, please contact partnerships@abcam.com