JavaScript is disabled in your browser. Please enable JavaScript to view this website.
AB188583

Anti-Syntaxin antibody [EPR15139(B)]

Be the first to review this product! Submit a review

|

(6 Publications)

Rabbit Recombinant Monoclonal Syntaxin antibody. Suitable for IP, WB, IHC-P, ICC/IF and reacts with Human, Mouse, Rat samples. Cited in 6 publications.

View Alternative Names

STX1B1, STX1B2, STX1B, Syntaxin-1B, Syntaxin-1B1, Syntaxin-1B2

12 Images
Immunohistochemistry (Formalin/PFA-fixed paraffin-embedded sections) - Anti-Syntaxin antibody [EPR15139(B)] (AB188583)
  • IHC-P

Lab

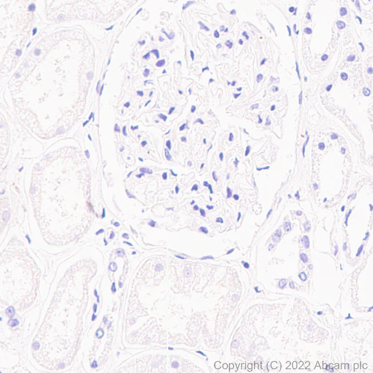
Immunohistochemistry (Formalin/PFA-fixed paraffin-embedded sections) - Anti-Syntaxin antibody [EPR15139(B)] (AB188583)

Immunohistochemical analysis of paraffin-embedded Human kidney tissue labeling Syntaxin with ab188583 at 1/10000 dilution (0.109 μg/ml) followed by a ready to use LeicaDS9800 (Bond™ Polymer Refine Detection) was used. The section was counterstained with Hematoxylin. Secondary antibody only control : Secondary antibody is a ready to use LeicaDS9800 (Bond™ Polymer Refine Detection). Heat mediated antigen retrieval was performed with Citrate buffer (pH 6.0, Epitope Retrieval Solution 1) for 20 mins. Negative control : no staining on human kidney. The section was incubated with ab188583 for 30 mins at room temperature. The immunostaining was performed on a Leica Biosystems BOND® RX instrument.

Immunohistochemistry (Formalin/PFA-fixed paraffin-embedded sections) - Anti-Syntaxin antibody [EPR15139(B)] (AB188583)
  • IHC-P

Lab

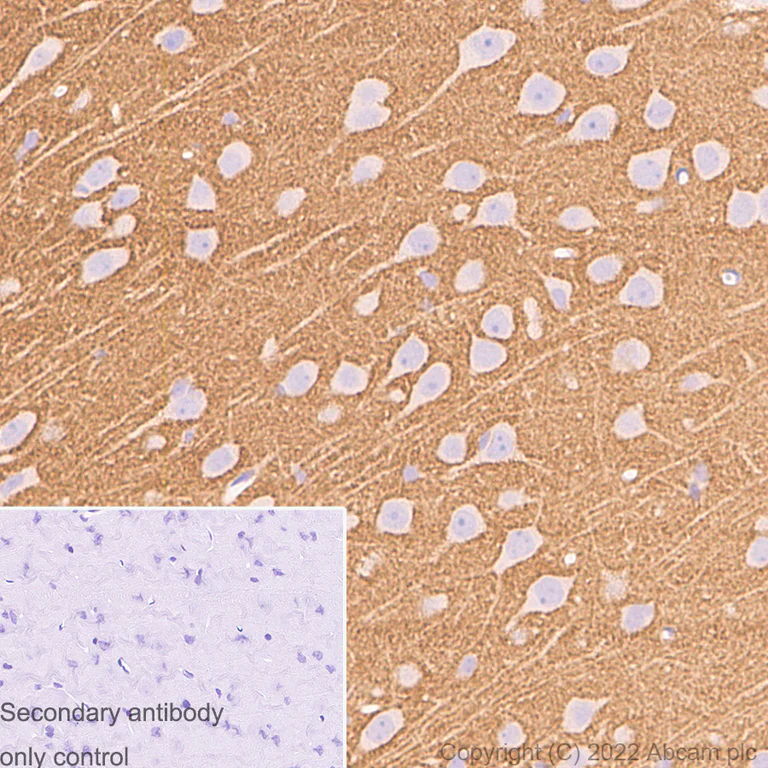
Immunohistochemistry (Formalin/PFA-fixed paraffin-embedded sections) - Anti-Syntaxin antibody [EPR15139(B)] (AB188583)

Immunohistochemical analysis of paraffin-embedded Human cerebrum tissue labeling Syntaxin with ab188583 at 1/10000 dilution (0.109 μg/ml) followed by a ready to use LeicaDS9800 (Bond™ Polymer Refine Detection) was used. The section was counterstained with Hematoxylin. Secondary antibody only control : Secondary antibody is a ready to use LeicaDS9800 (Bond™ Polymer Refine Detection). Heat mediated antigen retrieval was performed with Citrate buffer (pH 6.0, Epitope Retrieval Solution 1) for 20 mins. Positive staining on human cerebrum. The section was incubated with ab188583 for 30 mins at room temperature. The immunostaining was performed on a Leica Biosystems BOND® RX instrument.

Immunoprecipitation - Anti-Syntaxin antibody [EPR15139(B)] (AB188583)
  • IP

Supplier Data

Immunoprecipitation - Anti-Syntaxin antibody [EPR15139(B)] (AB188583)

Immunoprecipitation of Human fetal brain lysates using ab188583. Detection of Syntaxin utilised ab188583 at 1/50 dilution and Goat Anti-Rabbit IgG, (H+L), Peroxidase conjugated at 1/1000 dilution.

All lanes:

Immunoprecipitation - Anti-Syntaxin antibody [EPR15139(B)] (ab188583)

Predicted band size: 33 kDa

false

Immunocytochemistry/ Immunofluorescence - Anti-Syntaxin antibody [EPR15139(B)] (AB188583)
  • ICC/IF

Lab

Immunocytochemistry/ Immunofluorescence - Anti-Syntaxin antibody [EPR15139(B)] (AB188583)

Immunofluorescent analysis of 4% Paraformaldehyde-fixed, 0.1% TritonX-100 permeabilized mouse primary neural/glia cells labelling Syntaxin with ab188583 at 1/100 dilution (10.85 ug/ml), followed by ab150081 Goat Anti-Rabbit IgG H&L (Alexa Fluor® 488) preadsorbed antibody at 1/1000 dilution (2 ug/ml) (Green). ab11267 Anti-MAP2 mouse monoclonal antibody was used for counterstaining at 1/500 dilution (4ug/ml) with counterstain secondary antiobdy ab150120 Goat Anti-Mouse IgG H&L (Alexa Fluor® 594) used at 1/1000 dilution (2µg/mL) (Red). The Nuclear counterstain was DAPI (Blue). -ve control 1 : ab188583 used at 1/100 dilution with counterstain secondary antibody only ab150120 Goat Anti-Mouse IgG H&L (Alexa Fluor® 594) used at 1/1000 dilution. -ve control 2 : ab11267 used at 1/500 dilution with target secondary antibody only ab150081 Goat Anti-Rabbit IgG H&L (Alexa Fluor® 488) preadsorbed used at 1/1000 dilution. Confocal image showing positive staining in mouse primary neuron. Confocal scanning Z step was set as 0.3 μm followed by image processing with maximum Z projection.

Immunohistochemistry (Formalin/PFA-fixed paraffin-embedded sections) - Anti-Syntaxin antibody [EPR15139(B)] (AB188583)
  • IHC-P

Lab

Immunohistochemistry (Formalin/PFA-fixed paraffin-embedded sections) - Anti-Syntaxin antibody [EPR15139(B)] (AB188583)

Immunohistochemical analysis of paraffin-embedded Mouse cerebrum tissue labeling Syntaxin with ab188583 at 1/10000 dilution (0.109 μg/ml) followed by a ready to use LeicaDS9800 (Bond™ Polymer Refine Detection) was used. The section was counterstained with Hematoxylin. Secondary antibody only control : Secondary antibody is a ready to use LeicaDS9800 (Bond™ Polymer Refine Detection). Heat mediated antigen retrieval was performed with Citrate buffer (pH 6.0, Epitope Retrieval Solution 1) for 20 mins. Positive staining on mouse cerebrum. The section was incubated with ab188583 for 30 mins at room temperature. The immunostaining was performed on a Leica Biosystems BOND® RX instrument.

Immunocytochemistry/ Immunofluorescence - Anti-Syntaxin antibody [EPR15139(B)] (AB188583)
  • ICC/IF

Lab

Immunocytochemistry/ Immunofluorescence - Anti-Syntaxin antibody [EPR15139(B)] (AB188583)

Immunohistochemical analysis of paraffin-embedded Rat cerebrum tissue labeling Syntaxin with ab188583 at 1/10000 dilution (0.109 μg/ml) followed by a ready to use LeicaDS9800 (Bond™ Polymer Refine Detection) was used. The section was counterstained with Hematoxylin. Secondary antibody only control : Secondary antibody is a ready to use LeicaDS9800 (Bond™ Polymer Refine Detection). Heat mediated antigen retrieval was performed with Citrate buffer (pH 6.0, Epitope Retrieval Solution 1) for 20 mins. Positive staining on rat cerebrum. The section was incubated with ab188583 for 30 mins at room temperature. The immunostaining was performed on a Leica Biosystems BOND® RX instrument.

Immunocytochemistry/ Immunofluorescence - Anti-Syntaxin antibody [EPR15139(B)] (AB188583)
  • ICC/IF

Lab

Immunocytochemistry/ Immunofluorescence - Anti-Syntaxin antibody [EPR15139(B)] (AB188583)

Immunofluorescent analysis of 4% Paraformaldehyde-fixed, 0.1% TritonX-100 permeabilized rat primary neural/glia cells labelling Syntaxin with ab188583 at 1/100 dilution (10.85 ug/ml), followed by ab150081 Goat Anti-Rabbit IgG H&L (Alexa Fluor® 488) preadsorbed antibody at 1/1000 dilution (2 ug/ml) (Green). ab11267 Anti-MAP2 mouse monoclonal antibody was used for counterstaining at 1/500 dilution (4ug/ml) with counterstain secondary antiobdy ab150120 Goat Anti-Mouse IgG H&L (Alexa Fluor® 594) used at 1/1000 dilution (2µg/mL) (Red). The Nuclear counterstain was DAPI (Blue). -ve control 1 : ab188583 used at 1/100 dilution with counterstain secondary antibody only ab150120 Goat Anti-Mouse IgG H&L (Alexa Fluor® 594) used at 1/1000 dilution. -ve control 2 : ab11267 used at 1/500 dilution with target secondary antibody only ab150081 Goat Anti-Rabbit IgG H&L (Alexa Fluor® 488) preadsorbed used at 1/1000 dilution. Confocal image showing positive staining in rat primary neuron. Confocal scanning Z step was set as 0.3 μm followed by image processing with maximum Z projection.

Western blot - Anti-Syntaxin antibody [EPR15139(B)] (AB188583)
  • WB

Supplier Data

Western blot - Anti-Syntaxin antibody [EPR15139(B)] (AB188583)

All lanes:

Western blot - Anti-Syntaxin antibody [EPR15139(B)] (ab188583) at 1/50000 dilution

All lanes:

Human fetal brain tissue lysate at 20 µg

Secondary

All lanes:

Goat Anti-Rabbit IgG, (H+L), Peroxidase conjugated at 1/1000 dilution

Predicted band size: 33 kDa

false

Western blot - Anti-Syntaxin antibody [EPR15139(B)] (AB188583)
  • WB

Supplier Data

Western blot - Anti-Syntaxin antibody [EPR15139(B)] (AB188583)

All lanes:

Western blot - Anti-Syntaxin antibody [EPR15139(B)] (ab188583) at 1/50000 dilution

All lanes:

Human glioma tissue lysate at 10 µg

Secondary

All lanes:

Anti-Rabbit IgG (HRP), specific to the non-reduced form of IgG at 1/500 dilution

Predicted band size: 33 kDa

false

Western blot - Anti-Syntaxin antibody [EPR15139(B)] (AB188583)
  • WB

Lab

Western blot - Anti-Syntaxin antibody [EPR15139(B)] (AB188583)

Blocking and diluting buffer and concentration : 5% NFDM/TBST. ab181602 was used as a GAPDH loading control. Negative control : human heart, human kidney and human spleen. In Western blot, anti-GAPDH antibody (ab181602) staining at 1/20, 0000 dilution.

All lanes:

Western blot - Anti-Syntaxin antibody [EPR15139(B)] (ab188583) at 1/1000 dilution

Lane 1:

Human cerebellum tissue lysate at 20 µg

Lane 2:

Human heart tissue lysate at 20 µg

Lane 3:

Human kidney tissue lysate at 20 µg

Lane 4:

Human spleen tissue lysate at 20 µg

Secondary

All lanes:

Goat Anti-Rabbit IgG (HRP) with minimal cross-reactivity with human IgG at 1/2000 dilution

Predicted band size: 33 kDa

Observed band size: 33 kDa

false

Exposure time: 1s

Western blot - Anti-Syntaxin antibody [EPR15139(B)] (AB188583)
  • WB

Lab

Western blot - Anti-Syntaxin antibody [EPR15139(B)] (AB188583)

Blocking and diluting buffer and concentration : 5% NFDM/TBST. ab181602 was used as a GAPDH loading control. Negative control : rat heart, rat kidney and rat spleen. In Western blot, anti-GAPDH antibody (ab181602) staining at 1/20, 0000 dilution.

All lanes:

Western blot - Anti-Syntaxin antibody [EPR15139(B)] (ab188583) at 1/1000 dilution

Lane 1:

Rat cerebellum tissue lysate at 20 µg

Lane 2:

Rat heart tissue lysate at 20 µg

Lane 3:

Rat kidney tissue lysate at 20 µg

Lane 4:

Rat spleen tissue lysate at 20 µg

Secondary

All lanes:

Goat Anti-Rabbit IgG (HRP) with minimal cross-reactivity with human IgG at 1/2000 dilution

Predicted band size: 33 kDa

Observed band size: 33 kDa

false

Exposure time: 1s

Western blot - Anti-Syntaxin antibody [EPR15139(B)] (AB188583)
  • WB

Lab

Western blot - Anti-Syntaxin antibody [EPR15139(B)] (AB188583)

Blocking and diluting buffer and concentration : 5% NFDM/TBST. ab181602 was used as a GAPDH loading control. Negative control : mouse heart, mouse kidney and mouse spleen. In Western blot, anti-GAPDH antibody (ab181602) staining at 1/20, 0000 dilution.

All lanes:

Western blot - Anti-Syntaxin antibody [EPR15139(B)] (ab188583) at 1/1000 dilution

Lane 1:

Mouse cerebellum tissue lysate at 20 µg

Lane 2:

Mouse heart tissue lysate at 20 µg

Lane 3:

Mouse kidney tissue lysate at 20 µg

Lane 4:

Mouse spleen tissue lysate at 20 µg

Secondary

All lanes:

Goat Anti-Rabbit IgG (HRP) with minimal cross-reactivity with human IgG at 1/2000 dilution

Predicted band size: 33 kDa

Observed band size: 33 kDa

false

Exposure time: 1s

  • Carrier free

    Anti-Syntaxin antibody [EPR15139(B)] - BSA and Azide free

Key facts

Host species

Rabbit

Clonality

Monoclonal

Clone number

EPR15139(B)

Isotype

IgG

Carrier free

No

Reacts with

Mouse, Rat, Human

Applications

IHC-P, WB, ICC/IF, IP

applications

Immunogen

The exact immunogen used to generate this antibody is proprietary information.

Reactivity data

{ "title": "Reactivity Data", "filters": { "stats": ["", "Species", "Dilution Info", "Notes"], "tabs": { "all-applications": {"fullname" : "All Applications", "shortname": "All Applications"}, "IP" : {"fullname" : "Immunoprecipitation", "shortname":"IP"}, "WB" : {"fullname" : "Western blot", "shortname":"WB"}, "IHCP" : {"fullname" : "Immunohistochemistry (Formalin/PFA-fixed paraffin-embedded sections)", "shortname":"IHC-P"}, "ICCIF" : {"fullname" : "Immunocytochemistry/ Immunofluorescence", "shortname":"ICC/IF"} }, "product-promise": { "all": "all", "testedAndGuaranteed": "tested", "guaranteed": "expected", "predicted": "predicted", "notRecommended": "not-recommended" } }, "values": { "Human": { "IP-species-checked": "testedAndGuaranteed", "IP-species-dilution-info": "1/40 - 1/60", "IP-species-notes": "<p></p>", "WB-species-checked": "testedAndGuaranteed", "WB-species-dilution-info": "1/10000 - 1/50000", "WB-species-notes": "<p></p>", "IHCP-species-checked": "testedAndGuaranteed", "IHCP-species-dilution-info": "1/10000", "IHCP-species-notes": "<p></p>", "ICCIF-species-checked": "guaranteed", "ICCIF-species-dilution-info": "", "ICCIF-species-notes": "" }, "Mouse": { "IP-species-checked": "guaranteed", "IP-species-dilution-info": "", "IP-species-notes": "", "WB-species-checked": "testedAndGuaranteed", "WB-species-dilution-info": "1/10000 - 1/50000", "WB-species-notes": "<p></p>", "IHCP-species-checked": "testedAndGuaranteed", "IHCP-species-dilution-info": "1/10000", "IHCP-species-notes": "<p></p>", "ICCIF-species-checked": "testedAndGuaranteed", "ICCIF-species-dilution-info": "", "ICCIF-species-notes": "<p></p>" }, "Rat": { "IP-species-checked": "guaranteed", "IP-species-dilution-info": "", "IP-species-notes": "", "WB-species-checked": "testedAndGuaranteed", "WB-species-dilution-info": "1/10000 - 1/500000", "WB-species-notes": "<p></p>", "IHCP-species-checked": "testedAndGuaranteed", "IHCP-species-dilution-info": "1/10000", "IHCP-species-notes": "<p></p>", "ICCIF-species-checked": "testedAndGuaranteed", "ICCIF-species-dilution-info": "", "ICCIF-species-notes": "<p></p>" } } }

Product details

Patented technology
Our RabMAb® technology is a patented hybridoma-based technology for making rabbit monoclonal antibodies. For details on our patents, please refer to RabMAb® patents.

What are the advantages of a recombinant monoclonal antibody?
This product is a recombinant monoclonal antibody, which offers several advantages including:

  • - High batch-to-batch consistency and reproducibility
  • - Improved sensitivity and specificity
  • - Long-term security of supply
  • - Animal-free batch production

For more information, read more on recombinant antibodies.

Properties and storage information

Form
Liquid
Purification technique
Affinity purification Protein A
Storage buffer
pH: 7.2 - 7.4 Preservative: 0.01% Sodium azide Constituents: PBS, 40% Glycerol (glycerin, glycerine), 0.05% BSA
Shipped at conditions
Blue Ice
Appropriate short-term storage duration
1-2 weeks
Appropriate short-term storage conditions
+4°C
Appropriate long-term storage conditions
-20°C
Aliquoting information
Upon delivery aliquot
Storage information
Avoid freeze / thaw cycle

Supplementary information

This supplementary information is collated from multiple sources and compiled automatically.

Syntaxin also known as HPC-1 or STX1A functions as an important component in the vesicle docking and fusion process particularly in neuronal exocytosis. This protein weighs approximately 33 kDa and has a significant presence in the brain especially in the synapses. Syntaxin belongs to the SNARE protein family and plays a pivotal role in facilitating the fusion of synaptic vesicles with the presynaptic membrane allowing neurotransmitter release. Its expression is not limited to nervous tissue but occurs in various other tissues reflecting its versatile roles in cellular activities.
Biological function summary

Syntaxin interacts with other SNARE proteins such as SNAP-25 and VAMP to form the SNARE complex essential for synaptic vesicle fusion and neurotransmitter release. This complex mediates the membrane fusion process vital for effective neuronal communication. Syntaxin exhibits interaction with several regulatory proteins like Munc18 which stabilizes its closed conformation critical in maintaining a reservoir of readily releasable vesicles. Its involvement in the SNARE complex marks its importance in cellular exocytosis and endocytosis.

Pathways

Syntaxin participates prominently in the neurotransmission and secretion pathways. It interacts within the neurotransmission pathway by associating with SNAP-25 and VAMP facilitating rapid neurotransmitter release in synaptic transmission. Additionally in the secretion pathway Syntaxin involvement extends to insulin release interacting with proteins like Munc18 and enhancing vesicular transport processes. Its action in these pathways demonstrates its fundamental role in cellular signaling and material transport.

Syntaxin's dysfunction has links to neurological conditions such as Alzheimer's disease and botulism. In Alzheimer's disease abnormal Syntaxin interaction may impair synaptic function and neurotransmitter release leading to cognitive deficits. Botulism caused by botulinum toxin disrupts Syntaxin-mediated vesicle docking leading to muscular paralysis. Related proteins like SNAP-25 also play a role in these conditions emphasizing the complex network within the SNARE pathway that Syntaxin operates within highlighting its significance in maintaining cellular homeostasis and function.

Product protocols

For this product, it's our understanding that no specific protocols are required. You can visit:

Target data

Potentially involved in docking of synaptic vesicles at presynaptic active zones. May mediate Ca(2+)-regulation of exocytosis acrosomal reaction in sperm (By similarity).
See full target information STX1B

Publications (6)

Recent publications for all applications. Explore the full list and refine your search

Molecular neurobiology 59:1649-1664 PubMed35001354

2022

Soybean Meal Extract Preserves Memory Ability by Increasing Presynaptic Function and Modulating Gut Microbiota in Rats.

Applications

Unspecified application

Species

Unspecified reactive species

Kun-Chieh Yeh,Chi-Feng Hung,Hui-Ling Lee,Ting-Yang Hsieh,Su-Jane Wang

Cell reports 36:109333 PubMed34233191

2021

Altered conformation of α-synuclein drives dysfunction of synaptic vesicles in a synaptosomal model of Parkinson's disease.

Applications

Unspecified application

Species

Unspecified reactive species

Luis Fonseca-Ornelas,Thibault Viennet,Matteo Rovere,Haiyang Jiang,Lei Liu,Silke Nuber,Maria Ericsson,Haribabu Arthanari,Dennis J Selkoe

Frontiers in cellular neuroscience 14:202 PubMed32733207

2020

Neuroprotective Effects of Adenosine A1 Receptor Signaling on Cognitive Impairment Induced by Chronic Intermittent Hypoxia in Mice.

Applications

Unspecified application

Species

Unspecified reactive species

Yichun Zhang,Hongchao Cao,Xuehao Qiu,Danfen Xu,Yifeng Chen,Gregory N Barnes,Yunjia Tu,Adwoa Takyiwaa Gyabaah,Abdulla Husain Abdulla Ahmed Gharbal,Chenlei Peng,Jun Cai,Xiaohong Cai

Annals of translational medicine 7:564 PubMed31807545

2019

Antidepressant-like effects of the Guanxin Danshen formula via mediation of the CaMK II-CREB-BDNF signalling pathway in chronic unpredictable mild stress-induced depressive rats.

Applications

Unspecified application

Species

Unspecified reactive species

Weijie Xie,Xiangbao Meng,Yadong Zhai,Tianyuan Ye,Ping Zhou,Fengwei Nan,Guibo Sun,Xiaobo Sun

Epilepsia 59:1621-1630 PubMed30009426

2018

A PRRT2 variant in a Chinese family with paroxysmal kinesigenic dyskinesia and benign familial infantile seizures results in loss of interaction with STX1B.

Applications

Unspecified application

Species

Unspecified reactive species

Hongying Ma,Shenglei Feng,Xuejun Deng,Li Wang,Sheng Zeng,Cheng Wang,Xixiang Ma,Hao Sun,Rui Chen,Shiyue Du,Jinglin Mao,Xianwei Zhang,Cong Ma,Hong Jiang,Luoying Zhang,Beisha Tang,Jing Yu Liu

The EMBO journal 36:42-60 PubMed27932448

2016

Dedicated SNAREs and specialized TRIM cargo receptors mediate secretory autophagy.

Applications

Unspecified application

Species

Unspecified reactive species

Tomonori Kimura,Jingyue Jia,Suresh Kumar,Seong Won Choi,Yuexi Gu,Michal Mudd,Nicolas Dupont,Shanya Jiang,Ryan Peters,Farzin Farzam,Ashish Jain,Keith A Lidke,Christopher M Adams,Terje Johansen,Vojo Deretic
View all publications

Product promise

We are committed to supporting your work with high-quality reagents, and we're here for you every step of the way. In the unlikely event that one of our products does not perform as expected, you're protected by our Product Promise.
For full details, please see our Terms & Conditions

Please note: All products are 'FOR RESEARCH USE ONLY. NOT FOR USE IN DIAGNOSTIC OR THERAPEUTIC PROCEDURES'.

For licensing inquiries, please contact partnerships@abcam.com