JavaScript is disabled in your browser. Please enable JavaScript to view this website.
AB315342

Anti-Syntenin antibody [EPR28604-40]

  • BOND RX™ Validated
  • 20ul selling size
  • RabMAb
  • Recombinant
  • What is this?

Be the first to review this product! Submit a review

|

(1 Publication)

Rabbit Recombinant Monoclonal Syntenin antibody. Suitable for WB, IHC-P, IP and reacts with Mouse, Recombinant fragment - Mouse samples. Cited in 1 publication.

View Alternative Names

Syntenin-1, Scaffold protein Pbp1, Syndecan-binding protein 1, Sdcbp

11 Images
Immunohistochemistry (Formalin/PFA-fixed paraffin-embedded sections) - Anti-Syntenin antibody [EPR28604-40] (AB315342)
  • IHC-P

Supplier Data

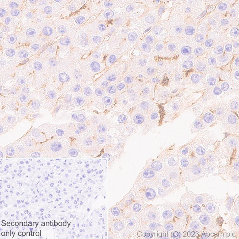
Immunohistochemistry (Formalin/PFA-fixed paraffin-embedded sections) - Anti-Syntenin antibody [EPR28604-40] (AB315342)

Immunohistochemical analysis of paraffin-embedded Mouse liver tissue labeling Syntenin with ab315342 at 1/500 (1.046 ug/ml) dilution, followed by a ready to use LeicaDS9800 (Bond™ Polymer Refine Detection).

Low expression tissue : low expression on mouse liver.
The section was incubated with ab315342 for 30 mins at room temperature.
The immunostaining was performed on a Leica Biosystems BOND® RX instrument

Counterstained with Hematoxylin.

Secondary antibody only control : Secondary antibody is a ready to use LeicaDS9800 (Bond™ Polymer Refine Detection).

Heat mediated antigen retrieval was performed with Tris-EDTA buffer (pH 9.0, Epitope Retrieval Solution2) for 20 mins

Immunohistochemistry (Formalin/PFA-fixed paraffin-embedded sections) - Anti-Syntenin antibody [EPR28604-40] (AB315342)
  • IHC-P

Supplier Data

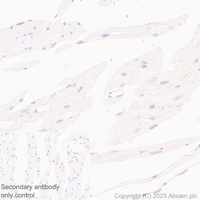
Immunohistochemistry (Formalin/PFA-fixed paraffin-embedded sections) - Anti-Syntenin antibody [EPR28604-40] (AB315342)

Immunohistochemical analysis of paraffin-embedded Mouse cardiac muscle tissue labeling Syntenin with ab315342 at 1/500 (1.046 ug/ml) dilution, followed by a ready to use LeicaDS9800 (Bond™ Polymer Refine Detection).

Low expression tissue : low expression on mouse cardiac muscle.
The section was incubated with ab315342 for 30 mins at room temperature.
The immunostaining was performed on a Leica Biosystems BOND® RX instrument

Counterstained with Hematoxylin.

Secondary antibody only control : Secondary antibody is a ready to use LeicaDS9800 (Bond™ Polymer Refine Detection).

Heat mediated antigen retrieval was performed with Tris-EDTA buffer (pH 9.0, Epitope Retrieval Solution2) for 20 mins

Immunohistochemistry (Formalin/PFA-fixed paraffin-embedded sections) - Anti-Syntenin antibody [EPR28604-40] (AB315342)
  • IHC-P

Supplier Data

Immunohistochemistry (Formalin/PFA-fixed paraffin-embedded sections) - Anti-Syntenin antibody [EPR28604-40] (AB315342)

Immunohistochemical analysis of paraffin-embedded Mouse hippocampus tissue labeling Syntenin with ab315342 at 1/500 (1.046 ug/ml) dilution, followed by a ready to use LeicaDS9800 (Bond™ Polymer Refine Detection).

Positive staining on mouse hippocampus.
The section was incubated with ab315342 for 30 mins at room temperature.
The immunostaining was performed on a Leica Biosystems BOND® RX instrument

Counterstained with Hematoxylin.

Secondary antibody only control : Secondary antibody is a ready to use LeicaDS9800 (Bond™ Polymer Refine Detection).

Heat mediated antigen retrieval was performed with Tris-EDTA buffer (pH 9.0, Epitope Retrieval Solution2) for 20 mins

Immunohistochemistry (Formalin/PFA-fixed paraffin-embedded sections) - Anti-Syntenin antibody [EPR28604-40] (AB315342)
  • IHC-P

Supplier Data

Immunohistochemistry (Formalin/PFA-fixed paraffin-embedded sections) - Anti-Syntenin antibody [EPR28604-40] (AB315342)

Immunohistochemical analysis of paraffin-embedded Mouse cerebral cortex tissue labeling Syntenin with ab315342 at 1/500 (1.046 ug/ml) dilution, followed by a ready to use LeicaDS9800 (Bond™ Polymer Refine Detection).

Positive staining on mouse cerebral cortex.
The section was incubated with ab315342 for 30 mins at room temperature.
The immunostaining was performed on a Leica Biosystems BOND® RX instrument

Counterstained with Hematoxylin.

Secondary antibody only control : Secondary antibody is a ready to use LeicaDS9800 (Bond™ Polymer Refine Detection).

Heat mediated antigen retrieval was performed with Tris-EDTA buffer (pH 9.0, Epitope Retrieval Solution2) for 20 mins

Immunohistochemistry (Formalin/PFA-fixed paraffin-embedded sections) - Anti-Syntenin antibody [EPR28604-40] (AB315342)
  • IHC-P

Supplier Data

Immunohistochemistry (Formalin/PFA-fixed paraffin-embedded sections) - Anti-Syntenin antibody [EPR28604-40] (AB315342)

Immunohistochemical analysis of paraffin-embedded Mouse liver cancer tissue labeling Syntenin with ab315342 at 1/500 (1.046 ug/ml) dilution, followed by a ready to use LeicaDS9800 (Bond™ Polymer Refine Detection).

Positive staining on mouse liver cancer.
The section was incubated with ab315342 for 30 mins at room temperature.
The immunostaining was performed on a Leica Biosystems BOND® RX instrument

Counterstained with Hematoxylin.

Secondary antibody only control : Secondary antibody is a ready to use LeicaDS9800 (Bond™ Polymer Refine Detection).

Heat mediated antigen retrieval was performed with Tris-EDTA buffer (pH 9.0, Epitope Retrieval Solution2) for 20 mins

Immunohistochemistry (Formalin/PFA-fixed paraffin-embedded sections) - Anti-Syntenin antibody [EPR28604-40] (AB315342)
  • IHC-P

Supplier Data

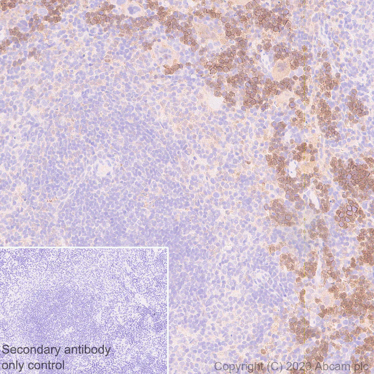
Immunohistochemistry (Formalin/PFA-fixed paraffin-embedded sections) - Anti-Syntenin antibody [EPR28604-40] (AB315342)

Immunohistochemical analysis of paraffin-embedded Mouse spleen tissue labeling Syntenin with ab315342 at 1/500 (1.046 ug/ml) dilution, followed by a ready to use LeicaDS9800 (Bond™ Polymer Refine Detection).

Positive staining on mouse spleen.
The section was incubated with ab315342 for 30 mins at room temperature.
The immunostaining was performed on a Leica Biosystems BOND® RX instrument

Counterstained with Hematoxylin.

Secondary antibody only control : Secondary antibody is a ready to use LeicaDS9800 (Bond™ Polymer Refine Detection).

Heat mediated antigen retrieval was performed with Tris-EDTA buffer (pH 9.0, Epitope Retrieval Solution2) for 20 mins

Immunoprecipitation - Anti-Syntenin antibody [EPR28604-40] (AB315342)
  • IP

Supplier Data

Immunoprecipitation - Anti-Syntenin antibody [EPR28604-40] (AB315342)

Syntenin was immunoprecipitated from 0.35 mg Neuro-2a (mouse neuroblastoma neuroblast) whole cell lysate with ab315342 at 1/30 dilution (2ug in 0.35mg lysates). Western blot was performed on the immunoprecipitate using ab315342 at 1/1000 dilution. VeriBlot for IP secondary antibody(HRP)(ab131366) was used at 1/5000 dilution.

Blocking and diluting buffer and concentration : 5% NFDM/TBST.

All lanes:

Immunoprecipitation - Anti-Syntenin antibody [EPR28604-40] (ab315342) at 1/1000 dilution

Lane 1:

Neuro-2a (mouse neuroblastoma neuroblast) whole cell lysate

Lane 2:

ab315342 at 1/30 IP in Neuro-2a (mouse neuroblastoma neuroblast) whole cell lysate

Lane 3:

Rabbit monoclonal IgG (<a href='/en-us/products/primary-antibodies/rabbit-igg-monoclonal-epr25a-isotype-control-ab172730'>ab172730</a>) instead of ab315342 in Neuro-2a whole cell lysate

Secondary

All lanes:

Immunoprecipitation - VeriBlot for IP Detection Reagent (HRP) (<a href='/en-us/products/reagents/veriblot-for-ip-detection-reagent-hrp-ab131366'>ab131366</a>) at 1/5000 dilution

false

Exposure time: 24s

Western blot - Anti-Syntenin antibody [EPR28604-40] (AB315342)
  • WB

Supplier Data

Western blot - Anti-Syntenin antibody [EPR28604-40] (AB315342)

Low expression : heart, kidney (PMID : 25543283).

Blocking and diluting buffer and concentration : 5% NFDM/TBST.

In Western blot, Anti-GAPDH antibody [EPR16891] - Loading Control (ab181602) staining at 1/200000 dilution.

All lanes:

Western blot - Anti-Syntenin antibody [EPR28604-40] (ab315342) at 1/1000 dilution

Lane 1:

Mouse hippocampus tissue lysate at 20 µg

Lane 2:

Mouse heart tissue lysate at 20 µg

Lane 3:

Mouse kidney tissue lysate at 20 µg

Secondary

All lanes:

Western blot - Goat Anti-Rabbit IgG H&L (HRP) (<a href='/en-us/products/secondary-antibodies/goat-rabbit-igg-h-l-hrp-ab97051'>ab97051</a>) at 1/100000 dilution

Observed band size: 35 kDa,36 kDa

false

Exposure time: 180s

Western blot - Anti-Syntenin antibody [EPR28604-40] (AB315342)
  • WB

Supplier Data

Western blot - Anti-Syntenin antibody [EPR28604-40] (AB315342)

In Western blot, Anti-GAPDH antibody [EPR16891] - Loading Control (ab181602) staining at 1/200000 dilution.

Blocking and diluting buffer and concentration : 5% NFDM/TBST.

All lanes:

Western blot - Anti-Syntenin antibody [EPR28604-40] (ab315342) at 1/1000 dilution

Lane 1:

Neuro-2a (mouse neuroblastoma neuroblast) whole cell lysate at 20 µg

Lane 2:

LLC1 (mouse lung carcinoma) whole cell lysate at 20 µg

Secondary

All lanes:

Western blot - Goat Anti-Rabbit IgG H&L (HRP) (<a href='/en-us/products/secondary-antibodies/goat-rabbit-igg-h-l-hrp-ab97051'>ab97051</a>) at 1/100000 dilution

Observed band size: 35 kDa,36 kDa

true

Exposure time: 180s

Western blot - Anti-Syntenin antibody [EPR28604-40] (AB315342)
  • WB

Supplier Data

Western blot - Anti-Syntenin antibody [EPR28604-40] (AB315342)

Low expression : liver (PMID : 25543283).

Blocking and diluting buffer and concentration : 5% NFDM/TBST.

In Western blot, Anti-GAPDH antibody [EPR16891] - Loading Control (ab181602) staining at 1/200000 dilution.

All lanes:

Western blot - Anti-Syntenin antibody [EPR28604-40] (ab315342) at 1/1000 dilution

Lane 1:

Mouse thymus tissue lysate at 20 µg

Lane 2:

Mouse hippocampus tissue lysate at 20 µg

Lane 3:

Mouse cerebellum tissue lysate at 20 µg

Lane 4:

Mouse spleen tissue lysate at 20 µg

Lane 5:

Mouse liver tissue lysate at 20 µg

Secondary

All lanes:

Western blot - Goat Anti-Rabbit IgG H&L (HRP) (<a href='/en-us/products/secondary-antibodies/goat-rabbit-igg-h-l-hrp-ab97051'>ab97051</a>) at 1/100000 dilution

Observed band size: 35 kDa,36 kDa

false

Exposure time: 180s

Western blot - Anti-Syntenin antibody [EPR28604-40] (AB315342)
  • WB

Supplier Data

Western blot - Anti-Syntenin antibody [EPR28604-40] (AB315342)

This antibody does not cross-react with mouse Syntenin-2.

Blocking and diluting buffer and concentration : 5% NFDM/TBST.

In Western blot, Anti-6X His tag® antibody [EPR20547] - ChIP Grade (ab213204) staining at 1/5000 dilution.

All lanes:

Western blot - Anti-Syntenin antibody [EPR28604-40] (ab315342) at 1/1000 dilution

Lane 1:

His-tagged mouse Syntenin-1 recombinant protein at 10 ng

Lane 2:

His-tagged mouse Syntenin-2 recombinant protein at 10 ng

Secondary

All lanes:

Western blot - Goat Anti-Rabbit IgG H&L (HRP) (<a href='/en-us/products/secondary-antibodies/goat-rabbit-igg-h-l-hrp-ab97051'>ab97051</a>) at 1/100000 dilution

Observed band size: 35 kDa

false

Exposure time: 180s

  • Carrier free

    Anti-Syntenin antibody [EPR28604-40] - BSA and Azide free

Key facts

Host species

Rabbit

Clonality

Monoclonal

Clone number

EPR28604-40

Isotype

IgG

Carrier free

No

Reacts with

Mouse

Applications

WB, IP, IHC-P

applications

Immunogen

The exact immunogen used to generate this antibody is proprietary information.

Reactivity data

{ "title": "Reactivity Data", "filters": { "stats": ["", "Species", "Dilution Info", "Notes"], "tabs": { "all-applications": {"fullname" : "All Applications", "shortname": "All Applications"}, "WB" : {"fullname" : "Western blot", "shortname":"WB"}, "IHCP" : {"fullname" : "Immunohistochemistry (Formalin/PFA-fixed paraffin-embedded sections)", "shortname":"IHC-P"}, "IP" : {"fullname" : "Immunoprecipitation", "shortname":"IP"} }, "product-promise": { "all": "all", "testedAndGuaranteed": "tested", "guaranteed": "expected", "predicted": "predicted", "notRecommended": "not-recommended" } }, "values": { "Human": { "WB-species-checked": "notRecommended", "WB-species-dilution-info": "", "WB-species-notes": "<p></p>", "IHCP-species-checked": "notRecommended", "IHCP-species-dilution-info": "", "IHCP-species-notes": "<p></p>", "IP-species-checked": "notRecommended", "IP-species-dilution-info": "", "IP-species-notes": "" }, "Mouse": { "WB-species-checked": "testedAndGuaranteed", "WB-species-dilution-info": "1/1000", "WB-species-notes": "<p></p>", "IHCP-species-checked": "testedAndGuaranteed", "IHCP-species-dilution-info": "1/500", "IHCP-species-notes": "<p></p>", "IP-species-checked": "testedAndGuaranteed", "IP-species-dilution-info": "1/30", "IP-species-notes": "<p></p>" }, "Rat": { "WB-species-checked": "notRecommended", "WB-species-dilution-info": "", "WB-species-notes": "<p></p>", "IHCP-species-checked": "notRecommended", "IHCP-species-dilution-info": "", "IHCP-species-notes": "<p></p>", "IP-species-checked": "notRecommended", "IP-species-dilution-info": "", "IP-species-notes": "" }, "Recombinant fragment - Mouse": { "WB-species-checked": "testedAndGuaranteed", "WB-species-dilution-info": "1/1000", "WB-species-notes": "<p></p>", "IHCP-species-checked": "notRecommended", "IHCP-species-dilution-info": "", "IHCP-species-notes": "", "IP-species-checked": "notRecommended", "IP-species-dilution-info": "", "IP-species-notes": "" } } }

Product details

Patented technology
Our RabMAb® technology is a patented hybridoma-based technology for making rabbit monoclonal antibodies. For details on our patents, please refer to RabMAb® patents.

What are the advantages of a recombinant monoclonal antibody?
This product is a recombinant monoclonal antibody, which offers several advantages including:

  • - High batch-to-batch consistency and reproducibility
  • - Improved sensitivity and specificity
  • - Long-term security of supply
  • - Animal-free batch production

For more information, read more on recombinant antibodies.

Properties and storage information

Form
Liquid
Purification technique
Affinity purification Protein A
Storage buffer
pH: 7.2 - 7.4 Preservative: 0.01% Sodium azide Constituents: PBS, 40% Glycerol (glycerin, glycerine), 0.05% BSA
Shipped at conditions
Blue Ice
Appropriate short-term storage duration
1-2 weeks
Appropriate short-term storage conditions
+4°C
Appropriate long-term storage conditions
-20°C
Aliquoting information
Upon delivery aliquot
Storage information
Avoid freeze / thaw cycle

Supplementary information

This supplementary information is collated from multiple sources and compiled automatically.

Syntenin also known as syndecan binding protein (SDCBP) is a multifunctional adaptor protein with a molecular weight of approximately 32 kDa. It typically finds expression in various tissues with high levels noted in the brain placenta and kidney. Mechanically syntenin facilitates cellular signal transduction by interacting with the cytoplasmic domains of syndecans therefore playing a vital role in modulating those signals. Notably syntenin associates with the actin cytoskeleton impacting cell shape and motility.
Biological function summary

Syntenin regulates important cellular processes such as cell adhesion migration and intracellular trafficking. It often associates with protein complexes like those formed with PDZ domain-containing proteins enhancing its ability to link and organize diverse cellular pathways. By influencing these cellular processes syntenin has an impact on tissue development and repair mechanisms. This protein's interaction with the cytoskeleton and membrane-bound molecules allows it to act as an essential mediator in cellular communication.

Pathways

Syntenin is integral to the Wnt and TGF-beta signaling pathways which regulate cell growth and differentiation. Syntenin interacts with proteins such as β-catenin and Smad3 within these pathways linking extracellular signaling cues to specific intracellular responses. These interactions highlight syntenin's role in modulating gene expression and maintaining cellular homeostasis especially in processes like embryogenesis and tissue regeneration.

Syntenin holds significance in cancer progression and neurodegenerative diseases. Its overexpression or altered function correlates with increased metastasis in various cancers associated with proteins like syndecan-1 and matrix metalloproteinases. In neurodegeneration dysregulated syntenin expression influences signaling pathways potentially contributing to disorders like Alzheimer's disease. Understanding syntenin's role in these conditions might lead to more targeted therapeutic strategies and improved disease management.

Product protocols

For this product, it's our understanding that no specific protocols are required. You can visit:

Target data

Multifunctional adapter protein involved in diverse array of functions including trafficking of transmembrane proteins, neuro and immunomodulation, exosome biogenesis, and tumorigenesis. Positively regulates TGFB1-mediated SMAD2/3 activation and TGFB1-induced epithelial-to-mesenchymal transition (EMT) and cell migration in various cell types. May increase TGFB1 signaling by enhancing cell-surface expression of TGFR1 by preventing the interaction between TGFR1 and CAV1 and subsequent CAV1-dependent internalization and degradation of TGFR1. In concert with SDC1/4 and PDCD6IP, regulates exosome biogenesis (By similarity). Regulates migration, growth, proliferation, and cell cycle progression in a variety of cancer types (PubMed : 26539120). In adherens junctions may function to couple syndecans to cytoskeletal proteins or signaling components. Seems to couple transcription factor SOX4 to the IL-5 receptor (IL5RA). May also play a role in vesicular trafficking. Seems to be required for the targeting of TGFA to the cell surface in the early secretory pathway (By similarity).
See full target information Sdcbp

Publications (1)

Recent publications for all applications. Explore the full list and refine your search

Nature communications 16:2924 PubMed40133312

2025

Programmable production of bioactive extracellular vesicles in vivo to treat myocardial infarction.

Applications

Unspecified application

Species

Unspecified reactive species

Siyuan Fu,Zhiyu Wang,Peihong Huang,Guanjun Li,Jian Niu,Zhiyang Li,Guangyue Zu,Pengcheng Zhou,Lianhui Wang,David Tai Leong,Xianguang Ding
View all publications

Product promise

We are committed to supporting your work with high-quality reagents, and we're here for you every step of the way. In the unlikely event that one of our products does not perform as expected, you're protected by our Product Promise.
For full details, please see our Terms & Conditions

Please note: All products are 'FOR RESEARCH USE ONLY. NOT FOR USE IN DIAGNOSTIC OR THERAPEUTIC PROCEDURES'.

For licensing inquiries, please contact partnerships@abcam.com