JavaScript is disabled in your browser. Please enable JavaScript to view this website.
AB133267

Anti-Syntenin antibody [EPR8102]

3

(1 Review)

|

(145 Publications)

Anti-Syntenin antibody [EPR8102] (ab133267) is a rabbit monoclonal antibody detecting Syntenin in Western Blot, Flow Cytometry (Intra), Flow Cytometry, IP, IHC-P, ICC/IF. Suitable for Human.

- KO validated for confirmed specificity
- Biophysical QC for unrivalled batch-batch consistency
- Over 80 publications

View Alternative Names

MDA9, SYCL, SDCBP, Syntenin-1, Melanoma differentiation-associated protein 9, Pro-TGF-alpha cytoplasmic domain-interacting protein 18, Scaffold protein Pbp1, Syndecan-binding protein 1, MDA-9, TACIP18

19 Images
Immunocytochemistry/ Immunofluorescence - Anti-Syntenin antibody [EPR8102] (AB133267)
  • ICC/IF

Lab

Immunocytochemistry/ Immunofluorescence - Anti-Syntenin antibody [EPR8102] (AB133267)

ab133267 was shown to react with SDCBP in wild-type HAP1 cells in immunocytochemistry with loss of signal observed in a SDCBP siRNA knockdown cell line. Wild-type and siRNA knockdown cells were mixed and pelleted at a 1 : 1 ratio on coverslips. The cells were fixed with 4% paraformaldehyde (15 min) then permeabilized with 0.1% Triton X-100 (10min) and then blocked with 1x PBS, 0.01% Triton X-100, 5% BSA, 5% NGS. The cells were then incubated with ab133267 at 1/500 dilution overnight at 4°C followed by a further incubation at room temperature for 1h with a goat anti-rabbit secondary antibody to (Alexa Fluor® 555) at 0.5 μg/ml. Acquisition of the green (wild-type), red (antibody staining) and far-red (siRNA knockdown) channels was performed. Representative grayscale images of the red channel are shown. Wild-type and siRNA knockdown cells are outlined with yellow and magenta dashed line, respectively. Schematic representation of the mosaic strategy used is shown on the bottom-right panel. Image was acquired with a Zeiss(LSM-880).

This data was provided by YCharOS Inc., an open science company with the mission of characterizing commercially available antibody reagents for all human proteins. Abcam and YCharOS are working together to help address the reproducibility crisis by enabling the life science community to better evaluate commercially available antibodies.

Flow Cytometry (Intracellular) - Anti-Syntenin antibody [EPR8102] (AB133267)
  • Flow Cyt (Intra)

Unknown

Flow Cytometry (Intracellular) - Anti-Syntenin antibody [EPR8102] (AB133267)

Overlay histogram showing SHSY-5Y cells stained with unpurified ab133267 (red line). The cells were fixed with 4% paraformaldehyde (10 min) and then permeabilized with 0.1% PBS-Tween for 20 min. The cells were then incubated in 1x PBS / 10% normal goat serum / 0.3M glycine to block non-specific protein-protein interactions followed by the antibody (ab133267, 1/10000 dilution) for 30 min at 22°C. The secondary antibody used was Alexa Fluor® 488 goat anti-rabbit IgG (H&L) (ab150077) at 1/2000 dilution for 30 min at 22°C. Isotype control antibody (black line) was rabbit IgG (monoclonal) (0.1μg/1x106 cells) used under the same conditions. Unlabelled sample (blue line) was also used as a control. Acquisition of >5,000 events were collected using a 20mW Argon ion laser (488nm) and 525/30 bandpass filter. This antibody gave a positive signal in SHSY-5Y cells fixed with 80% methanol (5 min)/permeabilized with 0.1% PBS-Tween for 20 min used under the same conditions.

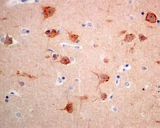
Immunohistochemistry (Formalin/PFA-fixed paraffin-embedded sections) - Anti-Syntenin antibody [EPR8102] (AB133267)
  • IHC-P

Unknown

Immunohistochemistry (Formalin/PFA-fixed paraffin-embedded sections) - Anti-Syntenin antibody [EPR8102] (AB133267)

Immunohistochemical analysis of Syntenin in paraffin embedded Human brain tissue, using unpurified ab133267 at a 1/50 dilution.

Perform heat mediated antigen retrieval before commencing with IHC staining protocol.

Flow Cytometry (Intracellular) - Anti-Syntenin antibody [EPR8102] (AB133267)
  • Flow Cyt (Intra)

Lab

Flow Cytometry (Intracellular) - Anti-Syntenin antibody [EPR8102] (AB133267)

Intracellular Flow Cytometry analysis ofHeLa (Human epithelial cell line from cervix adenocarcinoma)labeling Syntenin with purifiedab133267 at 1/50 (red).Cells were fixed with 4% paraformaldehyde. A goat anti rabbit IgG (Alexa Fluor® 488) 1/2000 was used as the secondary antibody. Black - Isotype control, rabbit monoclonal IgG. Blue - Unlabelled control, cells without incubation with primary and secondary antibodies.

Immunocytochemistry/ Immunofluorescence - Anti-Syntenin antibody [EPR8102] (AB133267)
  • ICC/IF

Lab

Immunocytochemistry/ Immunofluorescence - Anti-Syntenin antibody [EPR8102] (AB133267)

ab133267 staining Syntenin in HeLa (human cervix adenocarcinoma) cells by ICC/IF (Immunocytochemistry/immunofluorescence). Cells were fixed with 4% Paraformaldehyde and permeabilized with 0.1% Triton X-100. Samples were incubated with primary antibody at a dilution of 1/500. A goat anti rabbit IgG (Alexa Fluor® 488) (ab150077) was used as the secondary antibody at a dilution of 1/1000. DAPI was used as a nuclear counterstain.

Negative control 1 : PBS only.

Immunohistochemistry (Formalin/PFA-fixed paraffin-embedded sections) - Anti-Syntenin antibody [EPR8102] (AB133267)
  • IHC-P

Lab

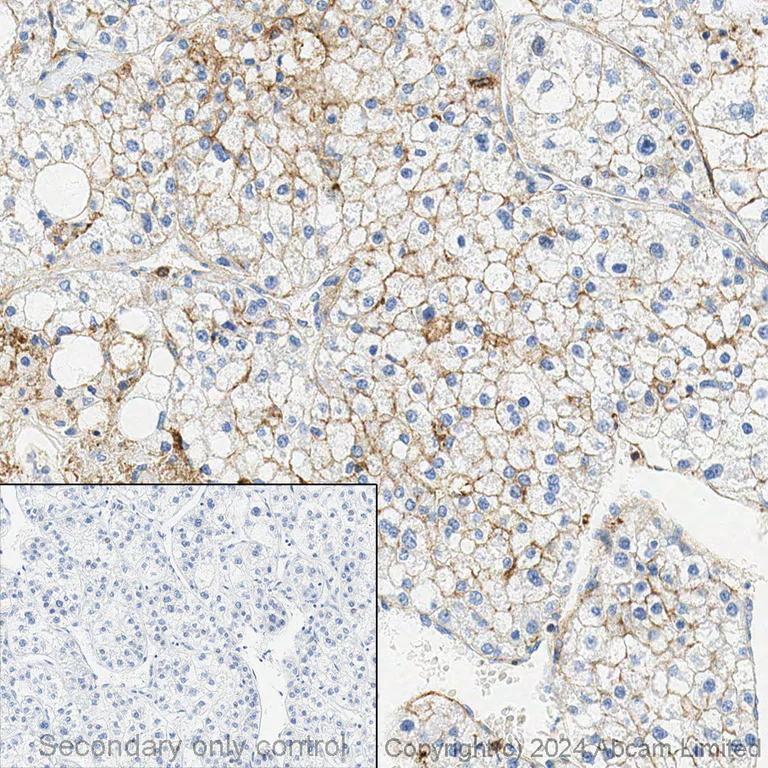
Immunohistochemistry (Formalin/PFA-fixed paraffin-embedded sections) - Anti-Syntenin antibody [EPR8102] (AB133267)

Immunohistochemistry (Formalin/PFA-fixed paraffin-embedded sections) analysis of Human hepatocellular carcinoma tissue labeling Syntenin with purified ab133267 at 1/50 dilution. Heat mediated antigen retrieval was performed using EDTA buffer pH 9. ab97051, a HRP-conjugated goat anti-rabbit IgG (H+L) was used as the secondary antibody (1/500). Negative control using PBS instead of primary antibody. Counterstained with hematoxylin

Immunohistochemistry (Formalin/PFA-fixed paraffin-embedded sections) - Anti-Syntenin antibody [EPR8102] (AB133267)
  • IHC-P

Lab

Immunohistochemistry (Formalin/PFA-fixed paraffin-embedded sections) - Anti-Syntenin antibody [EPR8102] (AB133267)

Immunohistochemistry (Formalin/PFA-fixed paraffin-embedded sections) analysis of Human cerebral cortex tissue labeling Syntenin with purified ab133267 at 1/50 dilution. Heat mediated antigen retrieval was performed using EDTA buffer pH 9. ab97051, a HRP-conjugated goat anti-rabbit IgG (H+L) was used as the secondary antibody (1/500). Negative control using PBS instead of primary antibody. Counterstained with hematoxylin.

Immunohistochemistry (Formalin/PFA-fixed paraffin-embedded sections) - Anti-Syntenin antibody [EPR8102] (AB133267)
  • IHC-P

Lab

Immunohistochemistry (Formalin/PFA-fixed paraffin-embedded sections) - Anti-Syntenin antibody [EPR8102] (AB133267)

Immunohistochemical analysis of formalin fixed paraffin embedded human liver carcinoma labelling Syntenin with ab133267 at a concentration of 0.01µg/ml. The immunostaining was performed on a Ventana DISCOVERY ULTRA (Roche Tissue Diagnostics) instrument with a OptiView DAB IHC Detection Kit. Heat mediated antigen retrieval was performed with DISCOVERY cell conditioning solution (CC1) 100°C, pH8.5 for 32mins.

ab133267 Anti-Syntenin antibody [EPR8102] was incubated for 16mins at 37°C. Sections were counterstained with Hematoxylin II. Image inset shows absence of staining in secondary antibody only control.

Customers are encouraged to optimise antigen retrieval conditions, antibody concentration, incubation times and temperature for best results in their own IHC assay workflow (automated and manual).

Immunoprecipitation - Anti-Syntenin antibody [EPR8102] (AB133267)
  • IP

Lab

Immunoprecipitation - Anti-Syntenin antibody [EPR8102] (AB133267)

Immunoprecipitation of SDCBP in HAP1 culture medium. Culture medium was prepared and immunoprecipitation was performed using 2 μg of ab133267 pre-coupled to Protein A beads. Samples were then washed and processed for western blot.

This data was provided by YCharOS Inc., an open science company with the mission of characterizing commercially available antibody reagents for all human proteins. Abcam and YCharOS are working together to help address the reproducibility crisis by enabling the life science community to better evaluate commercially available antibodies.

All lanes:

Immunoprecipitation - Anti-Syntenin antibody [EPR8102] (ab133267) at 2 µg

All lanes:

HAP1 culture medium

Observed band size: 31 kDa

false

Immunoprecipitation - Anti-Syntenin antibody [EPR8102] (AB133267)
  • IP

Lab

Immunoprecipitation - Anti-Syntenin antibody [EPR8102] (AB133267)

ab133267 (purified) at 1/40 immunoprecipitating Syntenin in HeLa whole cell lysate.

Lane 1 (input) : HeLa whole cell lysate (10μg)

Lane 2 (+) : ab133267 + HeLa whole cell lysate.

Lane 3 (-) : Rabbit monoclonal IgG (ab172730) instead of ab133267 in HeLa whole cell lysate.

Blocking buffer and concentration : 5% NFDM/TBST.

Diluting buffer and concentration : 5% NFDM /TBST.

All lanes:

Immunoprecipitation - Anti-Syntenin antibody [EPR8102] (ab133267)

Predicted band size: 32 kDa

Observed band size: 32 kDa

false

Immunoprecipitation - Anti-Syntenin antibody [EPR8102] (AB133267)
  • IP

Lab

Immunoprecipitation - Anti-Syntenin antibody [EPR8102] (AB133267)

Immunoprecipitation of SDCBP in HAP1 cells. Lysates were prepared and immunoprecipitation was performed using 2 μg of ab133267 pre-coupled to Protein A beads. Samples were then washed and processed for western blot.

This data was provided by YCharOS Inc., an open science company with the mission of characterizing commercially available antibody reagents for all human proteins. Abcam and YCharOS are working together to help address the reproducibility crisis by enabling the life science community to better evaluate commercially available antibodies.

All lanes:

Immunoprecipitation - Anti-Syntenin antibody [EPR8102] (ab133267) at 2 µg

All lanes:

HAP1 cells lysates

Observed band size: 31 kDa

false

Western blot - Anti-Syntenin antibody [EPR8102] (AB133267)
  • WB

Lab

Western blot - Anti-Syntenin antibody [EPR8102] (AB133267)

Blocking and dilution buffer : 5% NFDM/TBST

All lanes:

Western blot - Anti-Syntenin antibody [EPR8102] (ab133267) at 1/2000 dilution

All lanes:

A549 (Human lung carcinoma cell line) whole cell lysate at 15 µg

Secondary

All lanes:

Western blot - Goat Anti-Rabbit IgG H&L (HRP) (<a href='/en-us/products/secondary-antibodies/goat-rabbit-igg-h-l-hrp-ab97051'>ab97051</a>) at 1/20000 dilution

Predicted band size: 32 kDa

Observed band size: 32 kDa

false

Western blot - Anti-Syntenin antibody [EPR8102] (AB133267)
  • WB

Lab

Western blot - Anti-Syntenin antibody [EPR8102] (AB133267)

Blocking and dilution buffer : 5% NFDM/TBST

All lanes:

Western blot - Anti-Syntenin antibody [EPR8102] (ab133267) at 1/2000 dilution

Lane 1:

Human placenta lysate at 15 µg

Lane 2:

Human fetal brain lysate at 15 µg

Secondary

All lanes:

Anti-Rabbit IgG (HRP), specific to the non-reduced form of IgG at 1/2000 dilution

Predicted band size: 32 kDa,46 kDa,86 kDa

Observed band size: 32 kDa

false

Western blot - Anti-Syntenin antibody [EPR8102] (AB133267)
  • WB

Lab

Western blot - Anti-Syntenin antibody [EPR8102] (AB133267)

Lane 1 : Wild-type HAP1 whole cell lysate (20 μg)
Lane 2 : Syntenin knockout HAP1 whole cell lysate (20 μg)
Lane 3 : A549 whole cell lysate (20 μg)
Lane 4 : HeLa whole cell lysate (20 μg)

Lanes 1 - 4 : Merged signal (red and green). Green - ab133267 observed at 32 kDa. Red - loading control, ab130007, observed at 130 kDa.

ab133267 was shown to recognize Syntenin in wild-type HAP1 cells as signal was lost at the expected MW in Syntenin knockout cells. Additional cross-reactive bands were observed in the wild-type and knockout cells. Wild-type and Syntenin knockout samples were subjected to SDS-PAGE. ab133267 and ab130007 (Mouse anti-Vinculin loading control) were incubated overnight at 4°C at 1/1000 dilution and 1/20000 dilution respectively. Blots were developed with Goat anti-Rabbit IgG H&L (IRDye® 800CW) preabsorbed ab216773 and Goat anti-Mouse IgG H&L (IRDye® 680RD) preabsorbed ab216776 secondary antibodies at 1/20000 dilution for 1 hour at room temperature before imaging.

All lanes:

Western blot - Anti-Syntenin antibody [EPR8102] (ab133267)

Predicted band size: 32 kDa

false

Western blot - Anti-Syntenin antibody [EPR8102] (AB133267)
  • WB

Lab

Western blot - Anti-Syntenin antibody [EPR8102] (AB133267)

ab133267 was shown to react with SDCBP in wild-type HAP1 cells in Western blot with loss of signal observed in a SDCBP siRNA knockdown cell line. Cell lysates from wild-type HAP1 transfected with either scrambled siRNA or SDCBP siRNA were subjected to SDS-PAGE. Membranes were blocked in 5% milk in TBST for 1 hr before incubation with ab133267 overnight at 4 °C at a 1/1000 dilution. Blots were incubated with secondary antibodies at 0.2 µg/mL before imaging.

This data was provided by YCharOS Inc., an open science company with the mission of characterizing commercially available antibody reagents for all human proteins. Abcam and YCharOS are working together to help address the reproducibility crisis by enabling the life science community to better evaluate commercially available antibodies.

All lanes:

Western blot - Anti-Syntenin antibody [EPR8102] (ab133267) at 1/1000 dilution

Lane 1:

Wild-type HAP1 transfected with scrambled siRNA control lysate at 30 µg

Lane 2:

HAP1 transfected with siRNA specifically targeting SDCBP cell lysate at 30 µg

Observed band size: 31 kDa

false

Western blot - Anti-Syntenin antibody [EPR8102] (AB133267)
  • WB

Lab

Western blot - Anti-Syntenin antibody [EPR8102] (AB133267)

ab133267 was shown to react with SDCBP in wild-type HAP1 culture medium in Western blot with loss of signal observed in a SDCBP siRNA knockdown culture media. Cell culture medium from wild-type HAP1 transfected with either scrambled siRNA or SDCBP siRNA was subjected to SDS-PAGE. Membranes were blocked in 5% milk in TBST for 1 hr before incubation with ab133267 overnight at 4 °C at a 1/1000 dilution. Blots were incubated with secondary antibodies at 0.2 µg/mL before imaging.

This data was provided by YCharOS Inc., an open science company with the mission of characterizing commercially available antibody reagents for all human proteins. Abcam and YCharOS are working together to help address the reproducibility crisis by enabling the life science community to better evaluate commercially available antibodies.

All lanes:

Western blot - Anti-Syntenin antibody [EPR8102] (ab133267) at 1/1000 dilution

Lane 1:

Wild-type HAP1 transfected with scrambled siRNA control culture medium at 30 µg

Lane 2:

HAP1 transfected with siRNA specifically targeting SDCBP culture medium at 30 µg

Observed band size: 31 kDa

false

Western blot - Anti-Syntenin antibody [EPR8102] (AB133267)
  • WB

Lab

Western blot - Anti-Syntenin antibody [EPR8102] (AB133267)

Blocking and dilution buffer : 5% NFDM/TBST

All lanes:

Western blot - Anti-Syntenin antibody [EPR8102] (ab133267) at 1/10000 dilution

All lanes:

HeLa (Human epithelial cell line from cervix adenocarcinoma) whole cell lysate at 20 µg

Secondary

All lanes:

Anti-Rabbit IgG (HRP), specific to the non-reduced form of IgG at 1/2000 dilution

Predicted band size: 110 kDa,119 kDa,14 kDa,15 kDa,25 kDa,32 kDa,43 kDa

Observed band size: 11 kDa,15 kDa,25 kDa,32 kDa

false

Western blot - Anti-Syntenin antibody [EPR8102] (AB133267)
  • WB

Unknown

Western blot - Anti-Syntenin antibody [EPR8102] (AB133267)

All lanes:

Western blot - Anti-Syntenin antibody [EPR8102] (ab133267) at 1/1000 dilution

Lane 1:

Human fetal brain lysate at 10 µg

Lane 2:

293T cell lysate at 10 µg

Lane 3:

Human fetal heart lysate at 10 µg

Lane 4:

HeLa cell lysate at 10 µg

Secondary

All lanes:

Goat anti-rabbit HRP conjugated antibody at 1/2000 dilution

Predicted band size: 32 kDa

Observed band size: 32 kDa

false

OI-RD Scanning - Anti-Syntenin antibody [EPR8102] (AB133267)
  • OI-RD Scanning

Unknown

OI-RD Scanning - Anti-Syntenin antibody [EPR8102] (AB133267)

We have systematically measured KD (the equilibrium dissociation constant between the antibody and its antigen), of more than 840 recombinant antibodies to assess not only their individual KD values but also to see the average affinity of antibody. Based on the comparison with published literature values for mouse monoclonal antibodies, Recombinant antibodies appear to be on average 1-2 order of magnitude higher affinity.

  • 665 Alexa Fluor® 647

    Alexa Fluor® 647 Anti-Syntenin antibody [EPR8102]

  • 578 PE

    PE Anti-Syntenin antibody [EPR8102]

  • Carrier free

    Anti-Syntenin antibody [EPR8102] - BSA and Azide free

Key facts

Host species

Rabbit

Clonality

Monoclonal

Clone number

EPR8102

Isotype

IgG

Carrier free

No

Reacts with

Human

Applications

WB, ICC/IF, Flow Cyt (Intra), IP, IHC-P

applications

Immunogen

The exact immunogen used to generate this antibody is proprietary information.

Reactivity data

{ "title": "Reactivity Data", "filters": { "stats": ["", "Species", "Dilution Info", "Notes"], "tabs": { "all-applications": {"fullname" : "All Applications", "shortname": "All Applications"}, "IHCP" : {"fullname" : "Immunohistochemistry (Formalin/PFA-fixed paraffin-embedded sections)", "shortname":"IHC-P"}, "FlowCytIntra" : {"fullname" : "Flow Cytometry (Intracellular)", "shortname":"Flow Cyt (Intra)"}, "IP" : {"fullname" : "Immunoprecipitation", "shortname":"IP"}, "WB" : {"fullname" : "Western blot", "shortname":"WB"}, "ICCIF" : {"fullname" : "Immunocytochemistry/ Immunofluorescence", "shortname":"ICC/IF"} }, "product-promise": { "all": "all", "testedAndGuaranteed": "tested", "guaranteed": "expected", "predicted": "predicted", "notRecommended": "not-recommended" } }, "values": { "Human": { "IHCP-species-checked": "testedAndGuaranteed", "IHCP-species-dilution-info": "1/50 - 1/100", "IHCP-species-notes": "<p></p> Perform heat-mediated antigen retrieval before commencing with IHC staining protocol.", "FlowCytIntra-species-checked": "testedAndGuaranteed", "FlowCytIntra-species-dilution-info": "1/50", "FlowCytIntra-species-notes": "<p><a href='/en-us/products/primary-antibodies/rabbit-igg-monoclonal-epr25a-isotype-control-ab172730'>ab172730</a> - Rabbit monoclonal IgG, is suitable for use as an isotype control with this antibody. For unpurified use at 1/1000 - 1/10000.</p>", "IP-species-checked": "testedAndGuaranteed", "IP-species-dilution-info": "1/10 - 1/100", "IP-species-notes": "<p></p>", "WB-species-checked": "testedAndGuaranteed", "WB-species-dilution-info": "1/1000 - 1/10000", "WB-species-notes": "<p></p>", "ICCIF-species-checked": "testedAndGuaranteed", "ICCIF-species-dilution-info": "1/50 - 1/200", "ICCIF-species-notes": "<p></p>" } } }

Product details

What is this antibody validated in?
Anti-Syntenin antibody [EPR8102] (ab133267) is a rabbit recombinant monoclonal antibody and is validated for use in Western Blot (WB), Flow Cytometry (Intra), Flow Cytometry (Flow Cyt), Immunoprecipitation (IP), Immunohistochemistry (IHC-P), Immunocytochemistry/immunofluorescence (ICC/IF) in Human samples.

What is the molecular weight of Syntenin?
Anti-Syntenin [EPR8102] (ab133267) specifically detects a band for Syntenin (UniProt: O00560) at a molecular weight of 32kDa.

Trusted by the scientific community
Anti-Syntenin [EPR8102] (ab133267) was first used in a scientific publication in 2012 and has been cited over 80 times in peer-reviewed journals.

Trial sizes available!
Test your antibody or perform pre-screening before committing to a larger quantity. Sold in 10µl. Discover our selection of trial-size antibodies.

Specificity confirmed
The specificity of Anti-Syntenin antibody [EPR8102] (ab133267) has been confirmed by Western blot testing in SDCBP Knockout HAP1 cells.

Other related products
We have a range of other formats of antibody clone [EPR8102] also available for your convenience: ab133267, Alexa Fluor® 647 - ab205772, PE - ab210837, Carrier free - ab236071

Species reactivity
Mouse, Rat: We have preliminary internal testing data to indicate this antibody may not react with these species.
Please contact us for more information.

Patented technology
Our RabMAb® technology is a patented hybridoma-based technology for making rabbit monoclonal antibodies. For details on our patents, please refer to RabMAb® patents.

What are the advantages of a recombinant monoclonal antibody?
This product is a recombinant monoclonal antibody, which offers several advantages including:

  • - High batch-to-batch consistency and reproducibility
  • - Improved sensitivity and specificity
  • - Long-term security of supply
  • - Animal-free batch production

For more information, read more on recombinant antibodies.

Properties and storage information

Form
Liquid
Purification technique
Affinity purification Protein A
Storage buffer
pH: 7.2 - 7.4 Preservative: 0.01% Sodium azide Constituents: PBS, 40% Glycerol (glycerin, glycerine), 0.05% BSA
Shipped at conditions
Blue Ice
Appropriate short-term storage duration
1-2 weeks
Appropriate short-term storage conditions
+4°C
Appropriate long-term storage conditions
-20°C
Aliquoting information
Upon delivery aliquot
Storage information
Avoid freeze / thaw cycle

Supplementary information

This supplementary information is collated from multiple sources and compiled automatically.

Syntenin also known as syndecan binding protein (SDCBP) is a multifunctional adaptor protein with a molecular weight of approximately 32 kDa. It typically finds expression in various tissues with high levels noted in the brain placenta and kidney. Mechanically syntenin facilitates cellular signal transduction by interacting with the cytoplasmic domains of syndecans therefore playing a vital role in modulating those signals. Notably syntenin associates with the actin cytoskeleton impacting cell shape and motility.
Biological function summary

Syntenin regulates important cellular processes such as cell adhesion migration and intracellular trafficking. It often associates with protein complexes like those formed with PDZ domain-containing proteins enhancing its ability to link and organize diverse cellular pathways. By influencing these cellular processes syntenin has an impact on tissue development and repair mechanisms. This protein's interaction with the cytoskeleton and membrane-bound molecules allows it to act as an essential mediator in cellular communication.

Pathways

Syntenin is integral to the Wnt and TGF-beta signaling pathways which regulate cell growth and differentiation. Syntenin interacts with proteins such as Β-catenin and Smad3 within these pathways linking extracellular signaling cues to specific intracellular responses. These interactions highlight syntenin's role in modulating gene expression and maintaining cellular homeostasis especially in processes like embryogenesis and tissue regeneration.

Syntenin holds significance in cancer progression and neurodegenerative diseases. Its overexpression or altered function correlates with increased metastasis in various cancers associated with proteins like syndecan-1 and matrix metalloproteinases. In neurodegeneration dysregulated syntenin expression influences signaling pathways potentially contributing to disorders like Alzheimer's disease. Understanding syntenin's role in these conditions might lead to more targeted therapeutic strategies and improved disease management.

Product protocols

For this product, it's our understanding that no specific protocols are required. You can visit:

Target data

Multifunctional adapter protein involved in diverse array of functions including trafficking of transmembrane proteins, neuro and immunomodulation, exosome biogenesis, and tumorigenesis (PubMed : 26291527). Positively regulates TGFB1-mediated SMAD2/3 activation and TGFB1-induced epithelial-to-mesenchymal transition (EMT) and cell migration in various cell types. May increase TGFB1 signaling by enhancing cell-surface expression of TGFR1 by preventing the interaction between TGFR1 and CAV1 and subsequent CAV1-dependent internalization and degradation of TGFR1 (PubMed : 25893292). In concert with SDC1/4 and PDCD6IP, regulates exosome biogenesis (PubMed : 22660413). Regulates migration, growth, proliferation, and cell cycle progression in a variety of cancer types (PubMed : 26539120). In adherens junctions may function to couple syndecans to cytoskeletal proteins or signaling components. Seems to couple transcription factor SOX4 to the IL-5 receptor (IL5RA) (PubMed : 11498591). May also play a role in vesicular trafficking (PubMed : 11179419). Seems to be required for the targeting of TGFA to the cell surface in the early secretory pathway (PubMed : 10230395).
See full target information SDCBP

Publications (145)

Recent publications for all applications. Explore the full list and refine your search

Science advances 11:eadz7083 PubMed41032588

2025

Restriction of HIV-1 infectivity by interferon and IFITM3 is counteracted by Nef.

Applications

Unspecified application

Species

Unspecified reactive species

Mahesh Agarwal,Kin Kui Lai,Isaiah Wilt,Saliha Majdoul,Abigail A Jolley,Mary Lewinski,Alex A Compton

eLife 12: PubMed41025959

2025

Matrix-associated extracellular vesicles modulate human smooth muscle cell adhesion and directionality by presenting collagen VI.

Applications

Unspecified application

Species

Unspecified reactive species

Alexander N Kapustin,Sofia Serena Tsakali,Meredith Whitehead,George Chennell,Meng-Ying Wu,Chris Molenaar,Anton Kutikhin,Yimeng Chen,Sadia Ahmad,Leo Bogdanov,Maxim Sinitsky,Kseniya Rubina,Aled Clayton,Frederik J Verweij,Dirk Michiel Pegtel,Simona Zingaro,Arseniy Lobov,Bozhana Zainullina,Dylan Owen,Maddy Parsons,Richard E Cheney,Derek T Warren,Martin James Humphries,Thomas Iskratsch,Mark Holt,Catherine M Shanahan

PloS one 20:e0329014 PubMed40938891

2025

A novel sialylation pathway mediated by extracellular vesicles in aggressive prostate cancer.

Applications

Unspecified application

Species

Unspecified reactive species

Camila A Bach,Md Niamat Hossain,Ishan J Chaudhari,Cecilia E Verrillo,Nicole M Naranjo,Isabella Amoroso,Anna Testa,Samuel Sey,William K Kelly,Susan L Bellis,Aurelio Lorico,Ada G Blidner,Gabriel A Rabinovich,Lucia R Languino

Journal of lipid research 66:100877 PubMed40840701

2025

Multiomics analysis to evaluate the enrichment of extracellular vesicles from human plasma.

Applications

Unspecified application

Species

Unspecified reactive species

Huaqi Su,Christopher Fowler,Colin L Masters,Kevin J Barnham,Gavin E Reid,Laura J Vella

HemaSphere 9:e70197 PubMed40832015

2025

Syntenin inhibition impairs stroma-tumor communication in multiple myeloma and improves bortezomib treatment efficiency.

Applications

Unspecified application

Species

Unspecified reactive species

Chenggong Tu,Raphael Leblanc,Arne Van der Vreken,Marnix Koops,Stephane Audebert,Lauriane Goullieux,Sofie Meeussen,Kim De Veirman,Elke De Bruyne,Karin Vanderkerken,Guido David,Tom Cupedo,Pascale Zimmermann,Eline Menu

Journal of extracellular vesicles 14:e70122 PubMed40704538

2025

Tethered Exosomes Containing the Matrix Metalloproteinase MT1-MMP Contribute to Extracellular Matrix Degradation.

Applications

Unspecified application

Species

Unspecified reactive species

Roberta Palmulli,Hannah K Jackson,James R Edgar

Cell communication and signaling : CCS 23:348 PubMed40691620

2025

NAMPT and NNMT released via extracellular vesicles and as soluble mediators are distinguished traits of BRAF inhibitor resistance of melanoma cells impacting on the tumor microenvironment.

Applications

Unspecified application

Species

Unspecified reactive species

Beatrice Ghezzi,Irene Fiorilla,Ágata Carreira,Francesco Recco,Leonardo Sorci,Lidia Avalle,Alessia Ponzano,Francesca Mazzola,Alberto Maria Todesco,Nicoletta Tommasi,Massimiliano Gasparrini,Vito Giuseppe D'Agostino,Flavio Mignone,Alessandro Provenzani,Valentina Audrito

Journal of extracellular vesicles 14:e70113 PubMed40620070

2025

Defining the Parameters for Sorting of RNA Cargo Into Extracellular Vesicles.

Applications

Unspecified application

Species

Unspecified reactive species

Ahmed Abdelgawad,Yiyao Huang,Olesia Gololobova,Yanbao Yu,Kenneth W Witwer,Vijay Parashar,Mona Batish

eLife 14: PubMed40601477

2025

Negative regulation of miRNA sorting into EVs is mediated by the capacity of RBP PCBP2 to impair the SYNCRIP-dependent miRNA loading.

Applications

Unspecified application

Species

Unspecified reactive species

Francesco Marocco,Sabrina Garbo,Claudia Montaldo,Alessio Colantoni,Luca Quattrocchi,Gioele Gaboardi,Giovanna Sabarese,Carla Cicchini,Mario Lecce,Alessia Carnevale,Rossella Paolini,Gian Gaetano Tartaglia,Cecilia Battistelli,Marco Tripodi

Breast cancer (Tokyo, Japan) 32:988-1005 PubMed40411659

2025

Helix pomatia agglutinin bound to surface glycans of small extracellular vesicles in-vitro and in-vivo increases in early and late stage breast cancer.

Applications

Unspecified application

Species

Unspecified reactive species

Jamie Cooper,Bethy Airstone,Ellie Beaman,Emanuela Carollo,Susan Ann Brooks,Ryan Charles Pink
View all publications

Product promise

We are committed to supporting your work with high-quality reagents, and we're here for you every step of the way. In the unlikely event that one of our products does not perform as expected, you're protected by our Product Promise.
For full details, please see our Terms & Conditions

Please note: All products are 'FOR RESEARCH USE ONLY. NOT FOR USE IN DIAGNOSTIC OR THERAPEUTIC PROCEDURES'.

For licensing inquiries, please contact partnerships@abcam.com