JavaScript is disabled in your browser. Please enable JavaScript to view this website.
AB188873

Anti-Syntrophin alpha 1 antibody [EPR14828]

Be the first to review this product! Submit a review

|

(5 Publications)

Rabbit Recombinant Monoclonal SNTA1 antibody. Suitable for WB, ICC/IF, Flow Cyt (Intra), IHC-P and reacts with Mouse, Human samples. Cited in 5 publications.

View Alternative Names

SNT1, SNTA1, Alpha-1-syntrophin, 59 kDa dystrophin-associated protein A1 acidic component 1, Pro-TGF-alpha cytoplasmic domain-interacting protein 1, Syntrophin-1, TACIP1

7 Images
Western blot - Anti-Syntrophin alpha 1 antibody [EPR14828] (AB188873)
  • WB

Supplier Data

Western blot - Anti-Syntrophin alpha 1 antibody [EPR14828] (AB188873)

All lanes:

Western blot - Anti-Syntrophin alpha 1 antibody [EPR14828] (ab188873) at 1/1000 dilution

All lanes:

Human muscle lysate at 10 µg

Secondary

All lanes:

Anti-Rabbit IgG (HRP), specific to the non-reduced form of IgG at 1/1000 dilution

Predicted band size: 54 kDa

Observed band size: 54 kDa

false

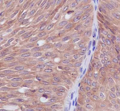
Immunohistochemistry (Formalin/PFA-fixed paraffin-embedded sections) - Anti-Syntrophin alpha 1 antibody [EPR14828] (AB188873)
  • IHC-P

Supplier Data

Immunohistochemistry (Formalin/PFA-fixed paraffin-embedded sections) - Anti-Syntrophin alpha 1 antibody [EPR14828] (AB188873)

Immunohistochemical analysis of paraffin-embedded Human bladder transitional cell carcinoma tissue labeling Syntrophin alpha 1 with ab188873 at 1/500 dilution followed by prediluted HRP Polymer for Rabbit IgG. Counter stained with Hematoxylin.

Perform heat mediated antigen retrieval with Tris/EDTA buffer pH 9.0 before commencing with IHC staining protocol.

Immunocytochemistry/ Immunofluorescence - Anti-Syntrophin alpha 1 antibody [EPR14828] (AB188873)
  • ICC/IF

Supplier Data

Immunocytochemistry/ Immunofluorescence - Anti-Syntrophin alpha 1 antibody [EPR14828] (AB188873)

Immunofluorescent analysis of 4% paraformaldehyde-fixed MCF7 cells labeling Syntrophin alpha 1 with ab188873 at 1/250 dilution followed by Goat anti rabbit IgG (AlexaFluor® 555) secondary antibody at 1/200 dilution. Counter stained with DAPI (blue).

Flow Cytometry (Intracellular) - Anti-Syntrophin alpha 1 antibody [EPR14828] (AB188873)
  • Flow Cyt (Intra)

Supplier Data

Flow Cytometry (Intracellular) - Anti-Syntrophin alpha 1 antibody [EPR14828] (AB188873)

Intracellular flow cytometric analysis of 2% paraformaldehyde-fixedHT29 cells labeling Syntrophin alpha 1with ab188873 at 1/280 dilution (red)compared to a Rabbit monoclonal IgG isotype control (green), followed by Goat anti rabbit IgG (FITC) secondary at 1/150 dilution.

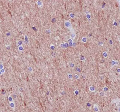
Immunohistochemistry (Formalin/PFA-fixed paraffin-embedded sections) - Anti-Syntrophin alpha 1 antibody [EPR14828] (AB188873)
  • IHC-P

Supplier Data

Immunohistochemistry (Formalin/PFA-fixed paraffin-embedded sections) - Anti-Syntrophin alpha 1 antibody [EPR14828] (AB188873)

Immunohistochemical analysis of paraffin-embedded Human brain tissue labeling Syntrophin alpha 1 with ab188873 at 1/500 dilution followed by prediluted HRP Polymer for Rabbit IgG. Counter stained with Hematoxylin.

Perform heat mediated antigen retrieval with Tris/EDTA buffer pH 9.0 before commencing with IHC staining protocol.

Western blot - Anti-Syntrophin alpha 1 antibody [EPR14828] (AB188873)
  • WB

Supplier Data

Western blot - Anti-Syntrophin alpha 1 antibody [EPR14828] (AB188873)

All lanes:

Western blot - Anti-Syntrophin alpha 1 antibody [EPR14828] (ab188873) at 1/1000 dilution

Lane 1:

HT29 lysate at 20 µg

Lane 2:

HepG2 lysate at 20 µg

Lane 3:

A549 lysate at 20 µg

Lane 4:

MCF7 lysate at 20 µg

Secondary

All lanes:

Goat Anti-Rabbit IgG, (H+L), Peroxidase conjugate at 1/1000 dilution

Predicted band size: 54 kDa

Observed band size: 54 kDa

false

Western blot - Anti-Syntrophin alpha 1 antibody [EPR14828] (AB188873)
  • WB

Supplier Data

Western blot - Anti-Syntrophin alpha 1 antibody [EPR14828] (AB188873)

All lanes:

Western blot - Anti-Syntrophin alpha 1 antibody [EPR14828] (ab188873) at 1/1000 dilution

All lanes:

NIH 3T3 lysate at 10 µg

Secondary

All lanes:

Goat Anti-Rabbit IgG, (H+L), Peroxidase conjugate at 1/1000 dilution

Predicted band size: 54 kDa

Observed band size: 54 kDa

false

  • Carrier free

    Anti-Syntrophin alpha 1 antibody [EPR14828] - BSA and Azide free

  • 565 Alexa Fluor® 555

    Alexa Fluor® 555 Anti-Syntrophin alpha 1 antibody [EPR14828]

  • 660 APC

    APC Anti-Syntrophin alpha 1 antibody [EPR14828]

  • 665 Alexa Fluor® 647

    Alexa Fluor® 647 Anti-Syntrophin alpha 1 antibody [EPR14828]

  • 617 Alexa Fluor® 594

    Alexa Fluor® 594 Anti-Syntrophin alpha 1 antibody [EPR14828]

  • 519 Alexa Fluor® 488

    Alexa Fluor® 488 Anti-Syntrophin alpha 1 antibody [EPR14828]

  • 578 PE

    PE Anti-Syntrophin alpha 1 antibody [EPR14828]

  • 775 Alexa Fluor® 750

    Alexa Fluor® 750 Anti-Syntrophin alpha 1 antibody [EPR14828]

Key facts

Host species

Rabbit

Clonality

Monoclonal

Clone number

EPR14828

Isotype

IgG

Carrier free

No

Reacts with

Mouse, Human

Applications

WB, Flow Cyt (Intra), IHC-P, ICC/IF

applications

Immunogen

The exact immunogen used to generate this antibody is proprietary information.

Reactivity data

{ "title": "Reactivity Data", "filters": { "stats": ["", "Species", "Dilution Info", "Notes"], "tabs": { "all-applications": {"fullname" : "All Applications", "shortname": "All Applications"}, "WB" : {"fullname" : "Western blot", "shortname":"WB"}, "ICCIF" : {"fullname" : "Immunocytochemistry/ Immunofluorescence", "shortname":"ICC/IF"}, "FlowCytIntra" : {"fullname" : "Flow Cytometry (Intracellular)", "shortname":"Flow Cyt (Intra)"}, "IHCP" : {"fullname" : "Immunohistochemistry (Formalin/PFA-fixed paraffin-embedded sections)", "shortname":"IHC-P"} }, "product-promise": { "all": "all", "testedAndGuaranteed": "tested", "guaranteed": "expected", "predicted": "predicted", "notRecommended": "not-recommended" } }, "values": { "Human": { "WB-species-checked": "testedAndGuaranteed", "WB-species-dilution-info": "1/1000 - 1/10000", "WB-species-notes": "<p></p>", "ICCIF-species-checked": "testedAndGuaranteed", "ICCIF-species-dilution-info": "1/250", "ICCIF-species-notes": "<p></p>", "FlowCytIntra-species-checked": "testedAndGuaranteed", "FlowCytIntra-species-dilution-info": "1/280", "FlowCytIntra-species-notes": "<p><a href='/en-us/products/primary-antibodies/rabbit-igg-monoclonal-epr25a-isotype-control-ab172730'>ab172730</a> - Rabbit monoclonal IgG, is suitable for use as an isotype control with this antibody.</p>", "IHCP-species-checked": "testedAndGuaranteed", "IHCP-species-dilution-info": "1/250 - 1/500", "IHCP-species-notes": "<p></p> Perform heat-mediated antigen retrieval with Tris/EDTA buffer pH 9.0 before commencing with IHC staining protocol." }, "Mouse": { "WB-species-checked": "testedAndGuaranteed", "WB-species-dilution-info": "1/1000 - 1/10000", "WB-species-notes": "<p></p>", "ICCIF-species-checked": "guaranteed", "ICCIF-species-dilution-info": "", "ICCIF-species-notes": "", "FlowCytIntra-species-checked": "guaranteed", "FlowCytIntra-species-dilution-info": "", "FlowCytIntra-species-notes": "", "IHCP-species-checked": "guaranteed", "IHCP-species-dilution-info": "", "IHCP-species-notes": "" } } }

Product details

Patented technology
Our RabMAb® technology is a patented hybridoma-based technology for making rabbit monoclonal antibodies. For details on our patents, please refer to RabMAb® patents.

What are the advantages of a recombinant monoclonal antibody?
This product is a recombinant monoclonal antibody, which offers several advantages including:

  • - High batch-to-batch consistency and reproducibility
  • - Improved sensitivity and specificity
  • - Long-term security of supply
  • - Animal-free batch production

For more information, read more on recombinant antibodies.

Properties and storage information

Form
Liquid
Purification technique
Affinity purification Protein A
Storage buffer
pH: 7.2 - 7.4 Preservative: 0.01% Sodium azide Constituents: 59% PBS, 40% Glycerol (glycerin, glycerine), 0.05% BSA
Shipped at conditions
Blue Ice
Appropriate short-term storage duration
1-2 weeks
Appropriate short-term storage conditions
+4°C
Appropriate long-term storage conditions
-20°C
Aliquoting information
Upon delivery aliquot
Storage information
Avoid freeze / thaw cycle

Supplementary information

This supplementary information is collated from multiple sources and compiled automatically.

Syntrophin alpha 1 also known as SNTA1 or by its protein mass of about 53 kDa is an adaptor protein that plays an important role in linking the cytoskeleton to the cell membrane. It interacts with ion channels receptors and signaling proteins at the membrane. Syntrophin alpha 1 forms part of the dystrophin-associated protein complex important for structural integrity and signaling processes in muscle tissue. This protein sees expression mainly in skeletal and cardiac muscles as well as in the brain where it contributes to signal transduction and cellular architecture.
Biological function summary

Syntrophin alpha 1 contributes to maintaining muscular and neural function by organizing protein complexes at the cell membrane. It anchors various signaling molecules and is part of the dystrophin-glycoprotein complex. This involvement helps stabilize the muscle cell membrane during contraction and impact preventing damage. In neurons it modulates synaptic signaling and assists in maintaining cellular organization. The precise coordination of this protein with others in its complex ensures proper physiological responses to environmental stimuli.

Pathways

Syntrophin alpha 1 is a component of signaling pathways related to muscle contraction and neurological processes. It interfaces with the PI3K/AKT signaling pathway connected to cellular growth and the nitric oxide pathway that regulates muscle blood flow. Syntrophin alpha 1 is closely related to dystrophin in these pathways and together they interface with neuronal nitric oxide synthase (nNOS) modulating blood flow and synaptic activity. This partnership not only regulates physiological functions but also maintains cellular stability during stress.

Alterations in syntrophin alpha 1 are associated with muscular dystrophies and cardiac conditions. Its malfunction contributes to disorders such as Duchenne muscular dystrophy where the absence of dystrophin disrupts the syntrophin-mediated membrane stability. Furthermore SNTA1 mutations can lead to long QT syndrome affecting cardiac electrical activity. In both cases the disturbance in syntrophin's interaction with dystrophin and nNOS contributes to disease progression leading to impaired muscle or cardiac function.

Product protocols

For this product, it's our understanding that no specific protocols are required. You can visit:

Target data

Adapter protein that binds to and probably organizes the subcellular localization of a variety of membrane proteins. May link various receptors to the actin cytoskeleton and the extracellular matrix via the dystrophin glycoprotein complex. Plays an important role in synapse formation and in the organization of UTRN and acetylcholine receptors at the neuromuscular synapse. Binds to phosphatidylinositol 4,5-bisphosphate (By similarity).
See full target information SNTA1

Publications (5)

Recent publications for all applications. Explore the full list and refine your search

Frontiers in cellular neuroscience 17:1272391 PubMed38077948

2023

Evaluation of gliovascular functions of AQP4 readthrough isoforms.

Applications

Unspecified application

Species

Unspecified reactive species

Shayna M Mueller,Kelli McFarland White,Stuart B Fass,Siyu Chen,Zhan Shi,Xia Ge,John A Engelbach,Seana H Gaines,Annie R Bice,Michael J Vasek,Joel R Garbow,Joseph P Culver,Zila Martinez-Lozada,Martine Cohen-Salmon,Joseph D Dougherty,Darshan Sapkota

Molecular therapy. Methods & clinical development 30:161-180 PubMed37457303

2023

CRISPR-Cas9 correction in the DMD mouse model is accompanied by upregulation of Dp71f protein.

Applications

Unspecified application

Species

Unspecified reactive species

Tatiana V Egorova,Anna V Polikarpova,Svetlana G Vassilieva,Marina A Dzhenkova,Irina M Savchenko,Oleg A Velyaev,Anna A Shmidt,Vladislav O Soldatov,Mikhail V Pokrovskii,Alexey V Deykin,Maryana V Bardina

Scientific reports 12:848 PubMed35039573

2022

Therapeutic potential of highly functional codon-optimized microutrophin for muscle-specific expression.

Applications

Unspecified application

Species

Unspecified reactive species

Anna V Starikova,Victoria V Skopenkova,Anna V Polikarpova,Denis A Reshetov,Svetlana G Vassilieva,Oleg A Velyaev,Anna A Shmidt,Irina M Savchenko,Vladislav O Soldatov,Tatiana V Egorova,Maryana V Bardina

Disease models & mechanisms 12: PubMed31028078

2019

CRISPR/Cas9-generated mouse model of Duchenne muscular dystrophy recapitulating a newly identified large 430 kb deletion in the human gene.

Applications

Unspecified application

Species

Unspecified reactive species

Tatiana V Egorova,Evgenia D Zotova,Denis A Reshetov,Anna V Polikarpova,Svetlana G Vassilieva,Dmitry V Vlodavets,Alexey A Gavrilov,Sergey V Ulianov,Vladimir L Buchman,Alexei V Deykin

The American journal of pathology 189:813-825 PubMed30653956

2019

β1 Syntrophin Supports Autophagy Initiation and Protects against Cerulein-Induced Acute Pancreatitis.

Applications

Unspecified application

Species

Unspecified reactive species

Risheng Ye,Toshiharu Onodera,Pierre-Gilles Blanchard,Christine M Kusminski,Victoria Esser,Rolf A Brekken,Philipp E Scherer
View all publications

Product promise

We are committed to supporting your work with high-quality reagents, and we're here for you every step of the way. In the unlikely event that one of our products does not perform as expected, you're protected by our Product Promise.
For full details, please see our Terms & Conditions

Please note: All products are 'FOR RESEARCH USE ONLY. NOT FOR USE IN DIAGNOSTIC OR THERAPEUTIC PROCEDURES'.

For licensing inquiries, please contact partnerships@abcam.com