JavaScript is disabled in your browser. Please enable JavaScript to view this website.
AB239008

Anti-Syntrophin alpha 1 antibody [EPR14828] - BSA and Azide free

Be the first to review this product! Submit a review

|

(0 Publication)

Rabbit Recombinant Monoclonal SNTA1 antibody. Carrier free. Suitable for WB, ICC/IF, Flow Cyt (Intra), IHC-P and reacts with Mouse, Human samples.

View Alternative Names

SNT1, SNTA1, Alpha-1-syntrophin, 59 kDa dystrophin-associated protein A1 acidic component 1, Pro-TGF-alpha cytoplasmic domain-interacting protein 1, Syntrophin-1, TACIP1

4 Images
Flow Cytometry (Intracellular) - Anti-Syntrophin alpha 1 antibody [EPR14828] - BSA and Azide free (AB239008)
  • Flow Cyt (Intra)

Supplier Data

Flow Cytometry (Intracellular) - Anti-Syntrophin alpha 1 antibody [EPR14828] - BSA and Azide free (AB239008)

Intracellular flow cytometric analysis of 2% paraformaldehyde-fixed HT29 cells labeling Syntrophin alpha 1 with ab188873 at 1/280 dilution (red) compared to a Rabbit monoclonal IgG isotype control (green), followed by Goat anti rabbit IgG (FITC) secondary at 1/150 dilution.

This data was developed using the same antibody clone in a different buffer formulation containing PBS, BSA, glycerol, and sodium azide (ab188873).

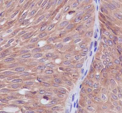
Immunohistochemistry (Formalin/PFA-fixed paraffin-embedded sections) - Anti-Syntrophin alpha 1 antibody [EPR14828] - BSA and Azide free (AB239008)
  • IHC-P

Supplier Data

Immunohistochemistry (Formalin/PFA-fixed paraffin-embedded sections) - Anti-Syntrophin alpha 1 antibody [EPR14828] - BSA and Azide free (AB239008)

Immunohistochemical analysis of paraffin-embedded Human bladder transitional cell carcinoma tissue labeling Syntrophin alpha 1 with ab188873 at 1/500 dilution followed by prediluted HRP Polymer for Rabbit IgG. Counter stained with Hematoxylin.

This data was developed using the same antibody clone in a different buffer formulation containing PBS, BSA, glycerol, and sodium azide (ab188873).

Perform heat mediated antigen retrieval with Tris/EDTA buffer pH 9.0 before commencing with IHC staining protocol.

Immunocytochemistry/ Immunofluorescence - Anti-Syntrophin alpha 1 antibody [EPR14828] - BSA and Azide free (AB239008)
  • ICC/IF

Supplier Data

Immunocytochemistry/ Immunofluorescence - Anti-Syntrophin alpha 1 antibody [EPR14828] - BSA and Azide free (AB239008)

Immunofluorescent analysis of 4% paraformaldehyde-fixed MCF7 cells labeling Syntrophin alpha 1 with ab188873 at 1/250 dilution followed by Goat anti rabbit IgG (AlexaFluor® 555) secondary antibody at 1/200 dilution. Counter stained with DAPI (blue).

This data was developed using the same antibody clone in a different buffer formulation containing PBS, BSA, glycerol, and sodium azide (ab188873).

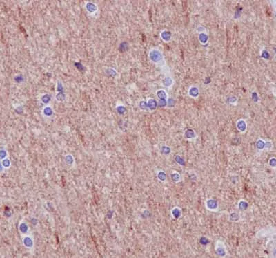
Immunohistochemistry (Formalin/PFA-fixed paraffin-embedded sections) - Anti-Syntrophin alpha 1 antibody [EPR14828] - BSA and Azide free (AB239008)
  • IHC-P

Supplier Data

Immunohistochemistry (Formalin/PFA-fixed paraffin-embedded sections) - Anti-Syntrophin alpha 1 antibody [EPR14828] - BSA and Azide free (AB239008)

Immunohistochemical analysis of paraffin-embedded Human brain tissue labeling Syntrophin alpha 1 with ab188873 at 1/500 dilution followed by prediluted HRP Polymer for Rabbit IgG. Counter stained with Hematoxylin.

This data was developed using the same antibody clone in a different buffer formulation containing PBS, BSA, glycerol, and sodium azide (ab188873).

Perform heat mediated antigen retrieval with Tris/EDTA buffer pH 9.0 before commencing with IHC staining protocol.

  • Unconjugated

    Anti-Syntrophin alpha 1 antibody [EPR14828]

  • 660 APC

    APC Anti-Syntrophin alpha 1 antibody [EPR14828]

  • 565 Alexa Fluor® 555

    Alexa Fluor® 555 Anti-Syntrophin alpha 1 antibody [EPR14828]

  • 665 Alexa Fluor® 647

    Alexa Fluor® 647 Anti-Syntrophin alpha 1 antibody [EPR14828]

  • 617 Alexa Fluor® 594

    Alexa Fluor® 594 Anti-Syntrophin alpha 1 antibody [EPR14828]

  • 578 PE

    PE Anti-Syntrophin alpha 1 antibody [EPR14828]

  • 519 Alexa Fluor® 488

    Alexa Fluor® 488 Anti-Syntrophin alpha 1 antibody [EPR14828]

  • 775 Alexa Fluor® 750

    Alexa Fluor® 750 Anti-Syntrophin alpha 1 antibody [EPR14828]

Key facts

Host species

Rabbit

Clonality

Monoclonal

Clone number

EPR14828

Isotype

IgG

Carrier free

Yes

Reacts with

Mouse, Human

Applications

WB, Flow Cyt (Intra), ICC/IF, IHC-P

applications

Immunogen

The exact immunogen used to generate this antibody is proprietary information.

Reactivity data

{ "title": "Reactivity Data", "filters": { "stats": ["", "Species", "Dilution Info", "Notes"], "tabs": { "all-applications": {"fullname" : "All Applications", "shortname": "All Applications"}, "WB" : {"fullname" : "Western blot", "shortname":"WB"}, "ICCIF" : {"fullname" : "Immunocytochemistry/ Immunofluorescence", "shortname":"ICC/IF"}, "FlowCytIntra" : {"fullname" : "Flow Cytometry (Intracellular)", "shortname":"Flow Cyt (Intra)"}, "IHCP" : {"fullname" : "Immunohistochemistry (Formalin/PFA-fixed paraffin-embedded sections)", "shortname":"IHC-P"} }, "product-promise": { "all": "all", "testedAndGuaranteed": "tested", "guaranteed": "expected", "predicted": "predicted", "notRecommended": "not-recommended" } }, "values": { "Human": { "WB-species-checked": "guaranteed", "WB-species-dilution-info": "", "WB-species-notes": "<p></p>", "ICCIF-species-checked": "testedAndGuaranteed", "ICCIF-species-dilution-info": "", "ICCIF-species-notes": "<p></p>", "FlowCytIntra-species-checked": "testedAndGuaranteed", "FlowCytIntra-species-dilution-info": "", "FlowCytIntra-species-notes": "<p><a href='/en-us/products/primary-antibodies/rabbit-igg-monoclonal-epr25a-isotype-control-ab172730'>ab172730</a> - Rabbit monoclonal IgG, is suitable for use as an isotype control with this antibody.</p>", "IHCP-species-checked": "testedAndGuaranteed", "IHCP-species-dilution-info": "", "IHCP-species-notes": "<p></p> Perform heat-mediated antigen retrieval with Tris/EDTA buffer pH 9.0 before commencing with IHC staining protocol." }, "Mouse": { "WB-species-checked": "guaranteed", "WB-species-dilution-info": "", "WB-species-notes": "<p></p> Perform heat-mediated antigen retrieval with Tris/EDTA buffer pH 9.0 before commencing with IHC staining protocol.", "ICCIF-species-checked": "predicted", "ICCIF-species-dilution-info": "", "ICCIF-species-notes": "", "FlowCytIntra-species-checked": "predicted", "FlowCytIntra-species-dilution-info": "", "FlowCytIntra-species-notes": "", "IHCP-species-checked": "predicted", "IHCP-species-dilution-info": "", "IHCP-species-notes": "" } } }

Product details

ab239008 is the carrier-free version of ab188873.

Patented technology
Our RabMAb® technology is a patented hybridoma-based technology for making rabbit monoclonal antibodies. For details on our patents, please refer to RabMAb® patents.

What are the advantages of a recombinant monoclonal antibody?
This product is a recombinant monoclonal antibody, which offers several advantages including:

  • - High batch-to-batch consistency and reproducibility
  • - Improved sensitivity and specificity
  • - Long-term security of supply
  • - Animal-free batch production

For more information, read more on recombinant antibodies.

Conjugation ready
Our carrier-free antibodies are typically supplied in a PBS-only formulation, purified and free of BSA, sodium azide and glycerol. This conjugation-ready format is designed for use with fluorochromes, metal isotopes, oligonucleotides, and enzymes, which makes them ideal for antibody labelling, functional and cell-based assays, flow-based assays (e.g. mass cytometry) and Multiplex Imaging applications.

Use our conjugation kits for antibody conjugates that are ready-to-use in as little as 20 minutes with 1 minute hands-on-time and 100% antibody recovery: available for fluorescent dyes, HRP, biotin and gold.

Compatibility
This product is compatible with the Maxpar® Antibody Labeling Kit from Fluidigm, without the need for antibody preparation. Maxpar® is a trademark of Fluidigm Canada Inc.

Properties and storage information

Form
Liquid
Purification technique
Affinity purification Protein A
Storage buffer
pH: 7.2 - 7.4 Constituents: PBS
Shipped at conditions
Blue Ice
Appropriate short-term storage conditions
+4°C
Appropriate long-term storage conditions
+4°C
Storage information
Do Not Freeze

Supplementary information

This supplementary information is collated from multiple sources and compiled automatically.

Syntrophin alpha 1 also known as SNTA1 or by its protein mass of about 53 kDa is an adaptor protein that plays an important role in linking the cytoskeleton to the cell membrane. It interacts with ion channels receptors and signaling proteins at the membrane. Syntrophin alpha 1 forms part of the dystrophin-associated protein complex important for structural integrity and signaling processes in muscle tissue. This protein sees expression mainly in skeletal and cardiac muscles as well as in the brain where it contributes to signal transduction and cellular architecture.
Biological function summary

Syntrophin alpha 1 contributes to maintaining muscular and neural function by organizing protein complexes at the cell membrane. It anchors various signaling molecules and is part of the dystrophin-glycoprotein complex. This involvement helps stabilize the muscle cell membrane during contraction and impact preventing damage. In neurons it modulates synaptic signaling and assists in maintaining cellular organization. The precise coordination of this protein with others in its complex ensures proper physiological responses to environmental stimuli.

Pathways

Syntrophin alpha 1 is a component of signaling pathways related to muscle contraction and neurological processes. It interfaces with the PI3K/AKT signaling pathway connected to cellular growth and the nitric oxide pathway that regulates muscle blood flow. Syntrophin alpha 1 is closely related to dystrophin in these pathways and together they interface with neuronal nitric oxide synthase (nNOS) modulating blood flow and synaptic activity. This partnership not only regulates physiological functions but also maintains cellular stability during stress.

Alterations in syntrophin alpha 1 are associated with muscular dystrophies and cardiac conditions. Its malfunction contributes to disorders such as Duchenne muscular dystrophy where the absence of dystrophin disrupts the syntrophin-mediated membrane stability. Furthermore SNTA1 mutations can lead to long QT syndrome affecting cardiac electrical activity. In both cases the disturbance in syntrophin's interaction with dystrophin and nNOS contributes to disease progression leading to impaired muscle or cardiac function.

Product protocols

For this product, it's our understanding that no specific protocols are required. You can visit:

Target data

Adapter protein that binds to and probably organizes the subcellular localization of a variety of membrane proteins. May link various receptors to the actin cytoskeleton and the extracellular matrix via the dystrophin glycoprotein complex. Plays an important role in synapse formation and in the organization of UTRN and acetylcholine receptors at the neuromuscular synapse. Binds to phosphatidylinositol 4,5-bisphosphate (By similarity).
See full target information SNTA1

Product promise

We are committed to supporting your work with high-quality reagents, and we're here for you every step of the way. In the unlikely event that one of our products does not perform as expected, you're protected by our Product Promise.
For full details, please see our Terms & Conditions

Please note: All products are 'FOR RESEARCH USE ONLY. NOT FOR USE IN DIAGNOSTIC OR THERAPEUTIC PROCEDURES'.

For licensing inquiries, please contact partnerships@abcam.com