JavaScript is disabled in your browser. Please enable JavaScript to view this website.
AB184176

Anti-SYPL1 antibody [EPR14317]

Be the first to review this product! Submit a review

|

(7 Publications)

Rabbit Recombinant Monoclonal SYPL1 antibody. Suitable for WB, Flow Cyt (Intra), IHC-P and reacts with Human samples. Cited in 7 publications.

View Alternative Names

SYPL, SYPL1, Synaptophysin-like protein 1, Pantophysin

5 Images
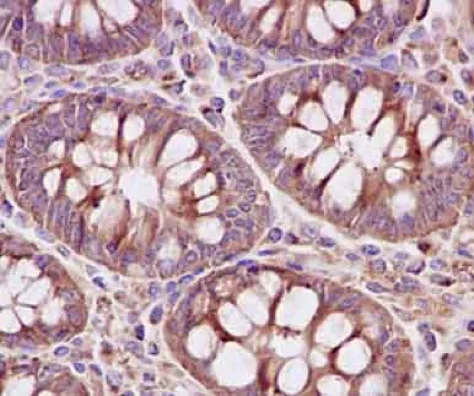
Immunohistochemistry (Formalin/PFA-fixed paraffin-embedded sections) - Anti-SYPL1 antibody [EPR14317] (AB184176)
  • IHC-P

Supplier Data

Immunohistochemistry (Formalin/PFA-fixed paraffin-embedded sections) - Anti-SYPL1 antibody [EPR14317] (AB184176)

Immunohistochemical analysis of paraffin-embedded Human colon tissue labeling SYPL1 with ab184176 at 1/250 dilution followed by pre-diluted HRP-conjugated secondary antibody and counter-stained with Hematoxylin.

Perform heat mediated antigen retrieval with EDTA buffer pH 9 before commencing with IHC staining protocol.

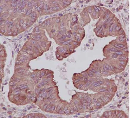
Immunohistochemistry (Formalin/PFA-fixed paraffin-embedded sections) - Anti-SYPL1 antibody [EPR14317] (AB184176)
  • IHC-P

Supplier Data

Immunohistochemistry (Formalin/PFA-fixed paraffin-embedded sections) - Anti-SYPL1 antibody [EPR14317] (AB184176)

Immunohistochemical analysis of paraffin-embedded Human ovarian carcinoma tissue labeling SYPL1 with ab184176 at 1/250 dilution followed by pre-diluted HRP-conjugated secondary antibody and counter-stained with Hematoxylin.

Perform heat mediated antigen retrieval with EDTA buffer pH 9 before commencing with IHC staining protocol.

Flow Cytometry (Intracellular) - Anti-SYPL1 antibody [EPR14317] (AB184176)
  • Flow Cyt (Intra)

Supplier Data

Flow Cytometry (Intracellular) - Anti-SYPL1 antibody [EPR14317] (AB184176)

Intracellular flow cytometric analysis of HepG2 cells (paraformaldehyde-fixed, 2%)labeling SYPL1 with ab184176 at 1/130 dilution (red) or a rabbit IgG isotype control (green), followed by Goat anti rabbit IgG (FITC) secondary at 1/150 dilution.

Western blot - Anti-SYPL1 antibody [EPR14317] (AB184176)
  • WB

Supplier Data

Western blot - Anti-SYPL1 antibody [EPR14317] (AB184176)

All lanes:

Western blot - Anti-SYPL1 antibody [EPR14317] (ab184176) at 1/5000 dilution

Lane 1:

Human fetal lung tissue lysate at 20 µg

Lane 2:

Human fetal liver tissue lysate at 20 µg

Secondary

All lanes:

Anti-Rabbit IgG (HRP), specific to the non-reduced form of IgG at 1/1000 dilution

Predicted band size: 28 kDa

false

Western blot - Anti-SYPL1 antibody [EPR14317] (AB184176)
  • WB

Supplier Data

Western blot - Anti-SYPL1 antibody [EPR14317] (AB184176)

All lanes:

Western blot - Anti-SYPL1 antibody [EPR14317] (ab184176) at 1/1000 dilution

Lane 1:

Human fetal kidney tissue lysate at 20 µg

Lane 2:

Human adipose tissue lysate at 20 µg

Secondary

All lanes:

Anti-Rabbit IgG (HRP), specific to the non-reduced form of IgG at 1/1000 dilution

Predicted band size: 28 kDa

false

Key facts

Host species

Rabbit

Clonality

Monoclonal

Clone number

EPR14317

Isotype

IgG

Carrier free

No

Reacts with

Human

Applications

IHC-P, WB, Flow Cyt (Intra)

applications

Immunogen

The exact immunogen used to generate this antibody is proprietary information.

Reactivity data

{ "title": "Reactivity Data", "filters": { "stats": ["", "Species", "Dilution Info", "Notes"], "tabs": { "all-applications": {"fullname" : "All Applications", "shortname": "All Applications"}, "WB" : {"fullname" : "Western blot", "shortname":"WB"}, "FlowCytIntra" : {"fullname" : "Flow Cytometry (Intracellular)", "shortname":"Flow Cyt (Intra)"}, "IHCP" : {"fullname" : "Immunohistochemistry (Formalin/PFA-fixed paraffin-embedded sections)", "shortname":"IHC-P"} }, "product-promise": { "all": "all", "testedAndGuaranteed": "tested", "guaranteed": "expected", "predicted": "predicted", "notRecommended": "not-recommended" } }, "values": { "Human": { "WB-species-checked": "testedAndGuaranteed", "WB-species-dilution-info": "1/1000 - 1/10000", "WB-species-notes": "<p></p>", "FlowCytIntra-species-checked": "testedAndGuaranteed", "FlowCytIntra-species-dilution-info": "1/130", "FlowCytIntra-species-notes": "<p><a href='/en-us/products/primary-antibodies/rabbit-igg-monoclonal-epr25a-isotype-control-ab172730'>ab172730</a> - Rabbit monoclonal IgG, is suitable for use as an isotype control with this antibody.</p>", "IHCP-species-checked": "testedAndGuaranteed", "IHCP-species-dilution-info": "1/100 - 1/250", "IHCP-species-notes": "<p></p>" } } }

Product details

Patented technology
Our RabMAb® technology is a patented hybridoma-based technology for making rabbit monoclonal antibodies. For details on our patents, please refer to RabMAb® patents.

What are the advantages of a recombinant monoclonal antibody?
This product is a recombinant monoclonal antibody, which offers several advantages including:

  • - High batch-to-batch consistency and reproducibility
  • - Improved sensitivity and specificity
  • - Long-term security of supply
  • - Animal-free batch production

For more information, read more on recombinant antibodies.

Properties and storage information

Form
Liquid
Purification technique
Affinity purification Protein A
Storage buffer
pH: 7.2 Preservative: 0.01% Sodium azide Constituents: PBS, 40% Glycerol (glycerin, glycerine), 0.05% BSA
Shipped at conditions
Blue Ice
Appropriate short-term storage duration
1-2 weeks
Appropriate short-term storage conditions
+4°C
Appropriate long-term storage conditions
-20°C
Aliquoting information
Upon delivery aliquot
Storage information
Avoid freeze / thaw cycle

Product protocols

For this product, it's our understanding that no specific protocols are required. You can visit:

Publications (7)

Recent publications for all applications. Explore the full list and refine your search

Nature communications 14:5113 PubMed37607933

2023

SYPL1 defines a vesicular pathway essential for sperm cytoplasmic droplet formation and male fertility.

Applications

Unspecified application

Species

Unspecified reactive species

Jiali Liu,Louis Hermo,Deqiang Ding,Chao Wei,Jeffrey M Mann,Xiaoyuan Yan,Ashley F Melnick,Yingjie Wu,Alicia Withrow,Jose Cibelli,Rex A Hess,Chen Chen

Journal of experimental & clinical cancer research : CR 42:204 PubMed37563661

2023

AR antagonists develop drug resistance through TOMM20 autophagic degradation-promoted transformation to neuroendocrine prostate cancer.

Applications

Unspecified application

Species

Unspecified reactive species

Linglong Yin,Yubing Ye,Ling Zou,Jinli Lin,Yi Dai,Yongming Fu,Youhong Liu,Yuchong Peng,Yingxue Gao,Yuxin Fu,Xuli Qi,Tanggang Deng,Songwei Zhang,Xiong Li

Molecular neurobiology 59:5656-5672 PubMed35761156

2022

Effects of Fibroblast Growth Factor 21 on Lactate Uptake and Usage in Mice with Diabetes-Associated Cognitive Decline.

Applications

Unspecified application

Species

Unspecified reactive species

Liangcai Zhao,Haowei Jiang,Jiaojiao Xie,Danjie Shen,Qingqing Yi,Jiapin Yan,Chen Li,Hong Zheng,Hongchang Gao

Antioxidants (Basel, Switzerland) 11: PubMed35624863

2022

Comparative Proteomic Analysis Reveals the Effect of Selenoprotein W Deficiency on Oligodendrogenesis in Fear Memory.

Applications

Unspecified application

Species

Unspecified reactive species

Jiaxin Situ,Xuelian Huang,Mingyang Zuo,Yingying Huang,Bingyu Ren,Qiong Liu

Frontiers in oncology 10:1482 PubMed33042794

2020

SYPL1 Inhibits Apoptosis in Pancreatic Ductal Adenocarcinoma Suppression of ROS-Induced ERK Activation.

Applications

Unspecified application

Species

Unspecified reactive species

Yunda Song,Xuesong Sun,Fangting Duan,Chaobin He,Jiali Wu,Xin Huang,Kaili Xing,Shuxin Sun,Ruiqi Wang,Fengxiao Xie,Yize Mao,Jun Wang,Shengping Li

Clinica chimica acta; international journal of cli 509:36-42 PubMed32502495

2020

Serum SYPL1 is a promising diagnostic biomarker for colorectal cancer.

Applications

Unspecified application

Species

Unspecified reactive species

Lei Liu,Qiao He,Yan Li,Bing Zhang,Xiaobin Sun,Jing Shan,Biran Pan,Tongtong Zhang,Zihao Zhao,Xiaoyu Song,Yuanbiao Guo

Oncology reports 38:1533-1542 PubMed28731154

2017

SYPL1 overexpression predicts poor prognosis of hepatocellular carcinoma and associates with epithelial-mesenchymal transition.

Applications

Unspecified application

Species

Unspecified reactive species

Dong-Han Chen,Qiu-Wan Wu,Xiu-Dong Li,Shuang-Jia Wang,Zhi-Ming Zhang
View all publications

Product promise

We are committed to supporting your work with high-quality reagents, and we're here for you every step of the way. In the unlikely event that one of our products does not perform as expected, you're protected by our Product Promise.
For full details, please see our Terms & Conditions

Please note: All products are 'FOR RESEARCH USE ONLY. NOT FOR USE IN DIAGNOSTIC OR THERAPEUTIC PROCEDURES'.

For licensing inquiries, please contact partnerships@abcam.com