JavaScript is disabled in your browser. Please enable JavaScript to view this website.
AB154035

Anti-SYT2 antibody [ZNP-1]

Be the first to review this product! Submit a review

|

(3 Publications)

Mouse Monoclonal SYT2 antibody. Suitable for IHC-P, WB, ICC/IF and reacts with Mouse, Rat, Human, Zebrafish samples. Cited in 3 publications.

View Alternative Names

Synaptotagmin-2, Synaptotagmin II, SytII, SYT2

4 Images
Western blot - Anti-SYT2 antibody [ZNP-1] (AB154035)
  • WB

Unknown

Western blot - Anti-SYT2 antibody [ZNP-1] (AB154035)

All lanes:

Western blot - Anti-SYT2 antibody [ZNP-1] (ab154035) at 1 µg/mL

Lane 1:

Human brain tissue lysate - total protein (<a href='/en-us/products/unavailable/human-brain-tissue-lysate-total-protein-ab29466'>ab29466</a>) at 15 µg

Lane 2:

Rat Brain Homogenate Lysate at 15 µg

Lane 3:

Mouse Brain Homogenate Lysate at 15 µg

Lane 4:

Zebrafish Brain Homogenate Lysate at 15 µg

Secondary

All lanes:

Goat polyclonal to Mouse IgG – HRP at 1/1000 dilution

Predicted band size: 47 kDa

Observed band size: 65 kDa

false

Immunocytochemistry/ Immunofluorescence - Anti-SYT2 antibody [ZNP-1] (AB154035)
  • ICC/IF

Unknown

Immunocytochemistry/ Immunofluorescence - Anti-SYT2 antibody [ZNP-1] (AB154035)

Immunocytochemistry with SH-SY5Y cells stained with Anti-SYT2 antibody (ab154035) in red and DAPI in blue, as a counter stain. The target protein locates to the plasma membrane (red). Fixation : 4% Paraformaldehyde, 20 min.
Permeabilization : 0.1% Triton X-100, 10min.
Blocking : 10% Goat Serum/PBS, 1 hour.
Primary : Anti-SYT2 antibody (ab154035) 5 µg/ml in 10% Goat Serum/PBS, 2hr at room temperature or over night at 4°C.
Secondary : Alexa Fluor® 594 Goat Anti-Mouse (H&L) used at a 1/1000 dilution in 10% Goat Serum/PBS, 1hr at RT.
Washing : 3x 1% Goat Serum/PBS, 10 mins/wash
DAPI : 2 µM in 1% Goat Serum/PBS, 10 mins

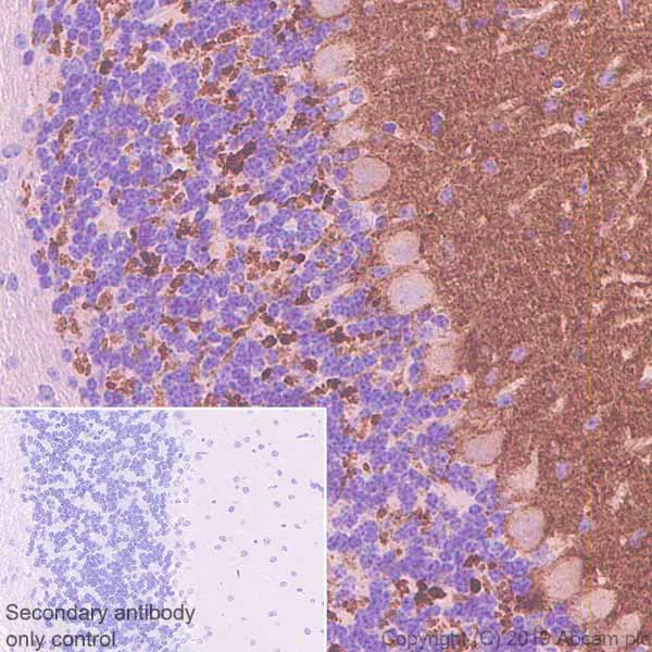
Immunohistochemistry (Formalin/PFA-fixed paraffin-embedded sections) - Anti-SYT2 antibody [ZNP-1] (AB154035)
  • IHC-P

Lab

Immunohistochemistry (Formalin/PFA-fixed paraffin-embedded sections) - Anti-SYT2 antibody [ZNP-1] (AB154035)

Immunohistochemistry (Formalin/PFA-fixed paraffin-embedded sections) analysis of rat cerebellum tissue sections labeling SYT2 with purified ab154035 at 1/4000 dilution (0.25 µg/mL). Heat mediated antigen retrieval with citrate buffer (pH 6.0, epitope retrieval solution 1) for 20 minutes. Leica mouse (DS9800) was used as the secondary antibody. Negative control : secondary antibody only control. Hematoxylin was used as a counterstain.

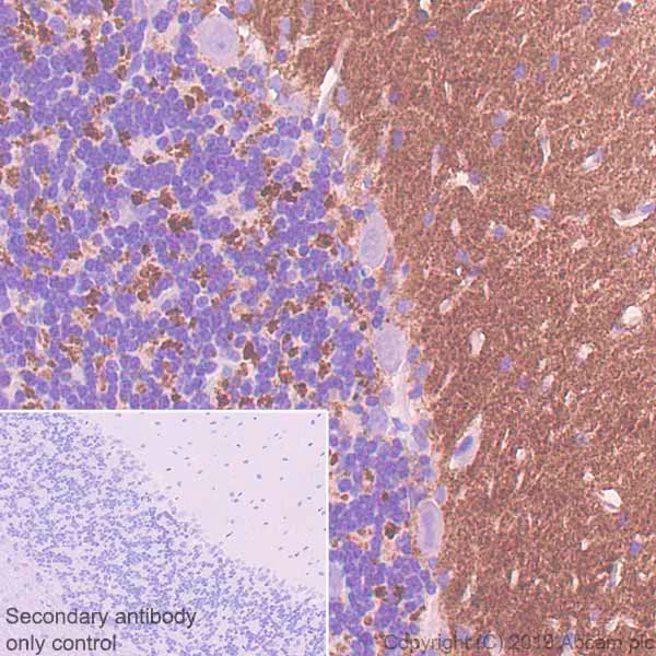
Immunohistochemistry (Formalin/PFA-fixed paraffin-embedded sections) - Anti-SYT2 antibody [ZNP-1] (AB154035)
  • IHC-P

Lab

Immunohistochemistry (Formalin/PFA-fixed paraffin-embedded sections) - Anti-SYT2 antibody [ZNP-1] (AB154035)

Immunohistochemistry (Formalin/PFA-fixed paraffin-embedded sections) analysis of mouse cerebellum tissue sections labeling SYT2 with purified ab154035 at 1/4000 dilution (0.25 µg/mL). Heat mediated antigen retrieval with citrate buffer (pH 6.0, epitope retrieval solution 1) for 20 minutes. Leica mouse (DS9800) was used as the secondary antibody. Negative control : secondary antibody only control. Hematoxylin was used as a counterstain.

Key facts

Host species

Mouse

Clonality

Monoclonal

Clone number

znp-1

Isotype

IgG2a

Carrier free

No

Reacts with

Mouse, Rat, Human, Zebrafish

Applications

ICC/IF, IHC-P, WB

applications

Reactivity data

{ "title": "Reactivity Data", "filters": { "stats": ["", "Species", "Dilution Info", "Notes"], "tabs": { "all-applications": {"fullname" : "All Applications", "shortname": "All Applications"}, "IHCP" : {"fullname" : "Immunohistochemistry (Formalin/PFA-fixed paraffin-embedded sections)", "shortname":"IHC-P"}, "WB" : {"fullname" : "Western blot", "shortname":"WB"}, "ICCIF" : {"fullname" : "Immunocytochemistry/ Immunofluorescence", "shortname":"ICC/IF"} }, "product-promise": { "all": "all", "testedAndGuaranteed": "tested", "guaranteed": "expected", "predicted": "predicted", "notRecommended": "not-recommended" } }, "values": { "Human": { "IHCP-species-checked": "guaranteed", "IHCP-species-dilution-info": "", "IHCP-species-notes": "", "WB-species-checked": "testedAndGuaranteed", "WB-species-dilution-info": "1 µg/mL", "WB-species-notes": "<p></p>", "ICCIF-species-checked": "testedAndGuaranteed", "ICCIF-species-dilution-info": "5 µg/mL", "ICCIF-species-notes": "<p></p>" }, "Mouse": { "IHCP-species-checked": "testedAndGuaranteed", "IHCP-species-dilution-info": "1/4000", "IHCP-species-notes": "<p></p> Perform heat-mediated antigen retrieval with citrate buffer pH 6 before commencing with IHC staining protocol.", "WB-species-checked": "testedAndGuaranteed", "WB-species-dilution-info": "1 µg/mL", "WB-species-notes": "<p></p>", "ICCIF-species-checked": "guaranteed", "ICCIF-species-dilution-info": "", "ICCIF-species-notes": "" }, "Rat": { "IHCP-species-checked": "testedAndGuaranteed", "IHCP-species-dilution-info": "1/4000", "IHCP-species-notes": "<p></p> Perform heat-mediated antigen retrieval with citrate buffer pH 6 before commencing with IHC staining protocol.", "WB-species-checked": "testedAndGuaranteed", "WB-species-dilution-info": "1 µg/mL", "WB-species-notes": "<p></p>", "ICCIF-species-checked": "guaranteed", "ICCIF-species-dilution-info": "", "ICCIF-species-notes": "" }, "Cow": { "IHCP-species-checked": "notRecommended", "IHCP-species-dilution-info": "1/4000", "IHCP-species-notes": "<p></p> Perform heat-mediated antigen retrieval with citrate buffer pH 6 before commencing with IHC staining protocol.", "WB-species-checked": "notRecommended", "WB-species-dilution-info": "1 µg/mL", "WB-species-notes": "<p></p>", "ICCIF-species-checked": "notRecommended", "ICCIF-species-dilution-info": "5 µg/mL", "ICCIF-species-notes": "<p></p>" }, "Zebrafish": { "IHCP-species-checked": "guaranteed", "IHCP-species-dilution-info": "", "IHCP-species-notes": "", "WB-species-checked": "testedAndGuaranteed", "WB-species-dilution-info": "1 µg/mL", "WB-species-notes": "<p></p>", "ICCIF-species-checked": "guaranteed", "ICCIF-species-dilution-info": "", "ICCIF-species-notes": "" } } }

Product details

Want a custom formulation?
This antibody clone is manufactured by Abcam. If you require a custom buffer formulation or conjugation for your experiments, please contact orders@abcam.com

Properties and storage information

Form
Liquid
Purity
IgG fraction
Purification notes
Near homogeneity as judged by SDS-PAGE. ab154035 was produced in vitro using hybridomas grown in serum-free medium, and then concentrated by chemical fractionation.
Storage buffer
pH: 7.5 Preservative: 0.02% Sodium azide Constituents: Human serum albumin
Shipped at conditions
Blue Ice
Appropriate short-term storage conditions
+4°C
Appropriate long-term storage conditions
+4°C

Product protocols

For this product, it's our understanding that no specific protocols are required. You can visit:

Target data

Exhibits calcium-dependent phospholipid and inositol polyphosphate binding properties (By similarity). May have a regulatory role in the membrane interactions during trafficking of synaptic vesicles at the active zone of the synapse (By similarity). Plays a role in dendrite formation by melanocytes (PubMed : 23999003).
See full target information Synaptotagmin-2

Publications (3)

Recent publications for all applications. Explore the full list and refine your search

iScience 25:104692 PubMed35856033

2022

Synaptotagmin 2 is ectopically overexpressed in excitatory presynapses of a widely used CaMKΙΙα-Cre mouse line.

Applications

Unspecified application

Species

Unspecified reactive species

Ken Matsuura,Haytham M A Mohamed,Mohieldin M M Youssef,Yutaka Yoshida,Tadashi Yamamoto

International journal of molecular sciences 23: PubMed35743315

2022

Trehalose Treatment in Zebrafish Model of Lafora Disease.

Applications

Unspecified application

Species

Unspecified reactive species

Stefania Della Vecchia,Asahi Ogi,Rosario Licitra,Francesca Abramo,Gabriele Nardi,Serena Mero,Silvia Landi,Roberta Battini,Federico Sicca,Gian Michele Ratto,Filippo Maria Santorelli,Maria Marchese

iScience 25:103551 PubMed34984324

2022

16pdel lipid changes in iPSC-derived neurons and function of FAM57B in lipid metabolism and synaptogenesis.

Applications

Unspecified application

Species

Unspecified reactive species

Danielle L Tomasello,Jiyoon L Kim,Yara Khodour,Jasmine M McCammon,Maya Mitalipova,Rudolf Jaenisch,Anthony H Futerman,Hazel Sive
View all publications

Product promise

We are committed to supporting your work with high-quality reagents, and we're here for you every step of the way. In the unlikely event that one of our products does not perform as expected, you're protected by our Product Promise.
For full details, please see our Terms & Conditions

Associated Products

Select an associated product type
Alternative Product
Primary Antibodies

AB181123

Anti-SYT2 antibody [EPR13204]

primary-antibodies

syt2-antibody-epr13204-ab181123

0

(0 reviews)

Please note: All products are 'FOR RESEARCH USE ONLY. NOT FOR USE IN DIAGNOSTIC OR THERAPEUTIC PROCEDURES'.

For licensing inquiries, please contact partnerships@abcam.com