JavaScript is disabled in your browser. Please enable JavaScript to view this website.
AB277491

Anti-SYT2 + SYT1 antibody [EPR23920-2] - BSA and Azide free

Be the first to review this product! Submit a review

|

(0 Publication)

Rabbit Recombinant Monoclonal SYT2 antibody. Carrier free. Suitable for ICC/IF, IP, WB, IHC-Fr, IHC-P and reacts with Mouse, Rat, Human, Recombinant fragment - Mouse samples.

View Alternative Names

Synaptotagmin-2, Inositol polyphosphate-binding protein, Synaptotagmin II, IP4-binding protein, IP4BP, SytII, Syt2

9 Images
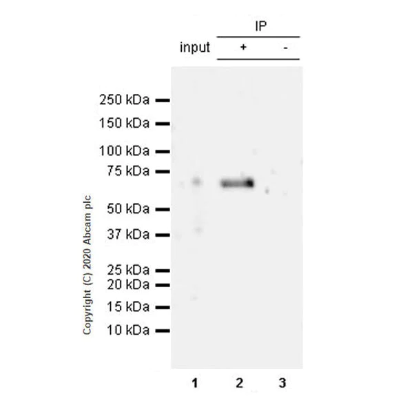
Immunoprecipitation - Anti-SYT2 + SYT1 antibody [EPR23920-2] - BSA and Azide free (AB277491)
  • IP

Supplier Data

Immunoprecipitation - Anti-SYT2 + SYT1 antibody [EPR23920-2] - BSA and Azide free (AB277491)

This data was developed using ab259977, the same antibody clone in a different buffer formulation.

SYT1 + SYT2 was immunoprecipitated from 0.35 mg Human cerebellum tissue lysate 10 ug with ab259977 at 1/30 dilution (2ug in 0.35mg lysates). Western blot was performed on the immunoprecipitate using ab259977 at 1/1000 dilution. VeriBlot for IP Detection Reagent (HRP)(ab131366) was used at 1/5000 dilution.

Lane 1 : Human cerebellum tissue lysate 10 ug

Lane 2 : ab259977 IP in Human cerebellum tissue lysate

Lane 3 : Rabbit monoclonal IgG (ab172730) instead of ab259977 in human cerebellum tissue lysate

Blocking and dilution buffer and concentration : 5% NFDM/TBST.

Exposure time : 3 minutes

All lanes:

Immunoprecipitation - Anti-SYT2 + SYT1 antibody [EPR23920-2] (<a href='/en-us/products/primary-antibodies/syt2-syt1-antibody-epr23920-2-ab259977'>ab259977</a>)

Observed band size: 60 kDa

false

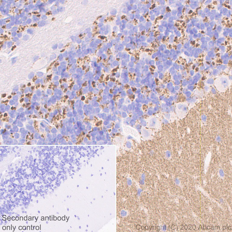
Immunohistochemistry (Formalin/PFA-fixed paraffin-embedded sections) - Anti-SYT2 + SYT1 antibody [EPR23920-2] - BSA and Azide free (AB277491)
  • IHC-P

Supplier Data

Immunohistochemistry (Formalin/PFA-fixed paraffin-embedded sections) - Anti-SYT2 + SYT1 antibody [EPR23920-2] - BSA and Azide free (AB277491)

This data was developed using ab259977, the same antibody clone in a different buffer formulation.

Immunohistochemical analysis of paraffin-embedded Rat cerebellum tissue labeling SYT1 + SYT2 with ab259977 at 1/50 dilution followed by a ready to use Rabbit specific IHC polymer detection kit HRP/DAB (ab209101). Cytoplasmic staining on rat cerebellum (PMID : 1856191). The section was incubated with ab259977 for 30 mins at room temperature. The immunostaining was performed on a Leica Biosystems BOND® RX instrument Counterstained with Hematoxylin.

Secondary antibody only control : Secondary antibody is a ready to use Rabbit specific IHC polymer detection kit HRP/DAB (ab209101).

Heat mediated antigen retrieval with Tris-EDTA buffer (pH 9.0, epitope retrieval solution2) for 20 mins

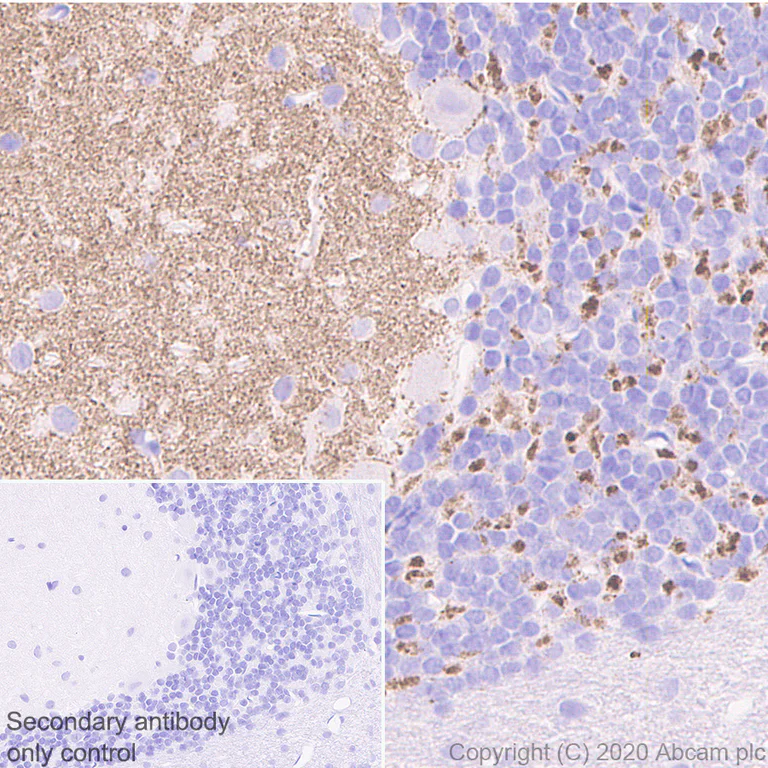
Immunohistochemistry (Formalin/PFA-fixed paraffin-embedded sections) - Anti-SYT2 + SYT1 antibody [EPR23920-2] - BSA and Azide free (AB277491)
  • IHC-P

Supplier Data

Immunohistochemistry (Formalin/PFA-fixed paraffin-embedded sections) - Anti-SYT2 + SYT1 antibody [EPR23920-2] - BSA and Azide free (AB277491)

This data was developed using ab259977, the same antibody clone in a different buffer formulation.

Immunohistochemical analysis of paraffin-embedded Mouse cerebellum tissue labeling SYT1 + SYT2 with ab259977 at 1/50 dilution followed by a ready to use Rabbit specific IHC polymer detection kit HRP/DAB (ab209101). Cytoplasmic staining on mouse cerebellum. The section was incubated with ab259977 for 30 mins at room temperature. The immunostaining was performed on a Leica Biosystems BOND® RX instrument Counterstained with Hematoxylin.

Secondary antibody only control : Secondary antibody is a ready to use Rabbit specific IHC polymer detection kit HRP/DAB (ab209101).

Heat mediated antigen retrieval with Tris-EDTA buffer (pH 9.0, epitope retrieval solution2) for 20 mins

Immunocytochemistry/ Immunofluorescence - Anti-SYT2 + SYT1 antibody [EPR23920-2] - BSA and Azide free (AB277491)
  • ICC/IF

Supplier Data

Immunocytochemistry/ Immunofluorescence - Anti-SYT2 + SYT1 antibody [EPR23920-2] - BSA and Azide free (AB277491)

This data was developed using ab259977, the same antibody clone in a different buffer formulation.

Immunofluorescent analysis of 4% Paraformaldehyde-fixed, 0.1% TritonX-100 permeabilized mouse primary neuron cells labelling SYT1 + SYT2 with ab259977 at 1/50 dilution, followed by ab150077 Goat Anti-Rabbit IgG H&L (Alexa Fluor® 488) antibody at 1/1000 dilution (Green). Confocal image showing positive staining in synapse of mouse primary neurons. Confocal scanning Z step was set as 0.3 μm followed by image processing with maximum Z projection is observed. ab11267 Anti-MAP2 mouse monoclonal antibody was used to counterstain tubulin at 1/500 followed by ab150120 Goat Anti-Mouse IgG H&L (Alexa Fluor® 594) at 1/1000 dilution (Red). The Nuclear counterstain was DAPI (Blue).

Secondary antibody only control : Secondary antibody is ab150077 Goat Anti-Rabbit IgG H&L (Alexa Fluor® 488) at 1/1000 dilution.

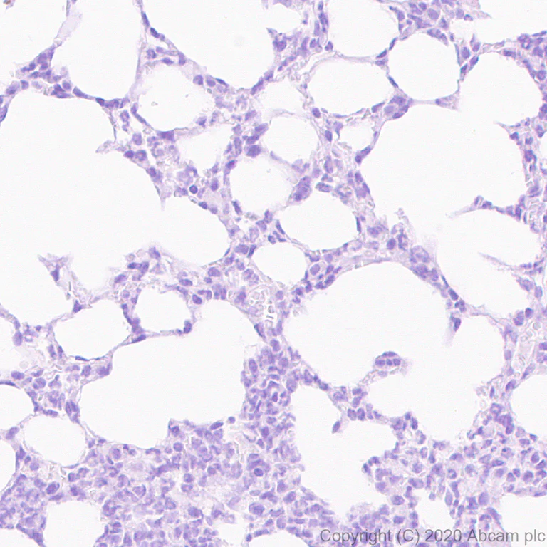
Immunohistochemistry (Formalin/PFA-fixed paraffin-embedded sections) - Anti-SYT2 + SYT1 antibody [EPR23920-2] - BSA and Azide free (AB277491)
  • IHC-P

Supplier Data

Immunohistochemistry (Formalin/PFA-fixed paraffin-embedded sections) - Anti-SYT2 + SYT1 antibody [EPR23920-2] - BSA and Azide free (AB277491)

This data was developed using ab259977, the same antibody clone in a different buffer formulation.

Immunohistochemical analysis of paraffin-embedded Mouse lung tissue labeling SYT1 + SYT2 with ab259977 at 1/50 dilution followed by a ready to use Rabbit specific IHC polymer detection kit HRP/DAB (ab209101). Negative control : No staining on mouse lung (PMID : 1856191). The section was incubated with ab259977 for 30 mins at room temperature. The immunostaining was performed on a Leica Biosystems BOND® RX instrument Counterstained with Hematoxylin.

Secondary antibody only control : Secondary antibody is a ready to use Rabbit specific IHC polymer detection kit HRP/DAB (ab209101).

Heat mediated antigen retrieval with Tris-EDTA buffer (pH 9.0, epitope retrieval solution2) for 20 mins

Immunohistochemistry (Frozen sections) - Anti-SYT2 + SYT1 antibody [EPR23920-2] - BSA and Azide free (AB277491)
  • IHC-Fr

Supplier Data

Immunohistochemistry (Frozen sections) - Anti-SYT2 + SYT1 antibody [EPR23920-2] - BSA and Azide free (AB277491)

This data was developed using ab259977, the same antibody clone in a different buffer formulation.

Immunohistochemical analysis of 4% PFA-fixed, 0.2% Triton X-100 permeabilized frozen Mouse hippocampus tissue labeling SYT1 + SYT2 with ab259977 at 1/50 dilution followed by ab150077 Goat Anti-Rabbit IgG H&L (Alexa Fluor® 488) at 1/1000 dilution (Green). Positive staining on mouse hippocampus is observed. The nuclear counterstain was DAPI (Blue).

Secondary antibody control : Secondary antibody is ab150077 Goat Anti-Rabbit IgG H&L (Alexa Fluor® 488)at 1/1000 dilution.

Heat mediated antigen retrieval using sodium citrate buffer (10mM citrate pH 6.0 + 0.05% Tween-20).

Western blot - Anti-SYT2 + SYT1 antibody [EPR23920-2] - BSA and Azide free (AB277491)
  • WB

Lab

Western blot - Anti-SYT2 + SYT1 antibody [EPR23920-2] - BSA and Azide free (AB277491)

This data was developed using ab259977, the same antibody clone in a different buffer formulation.

Blocking and diluting buffer and concentration : 5% NFDM/TBST

Unknown band at 37 kDa (PMID : 32930942).

Negative : human liver (PMID : 17492637).

Exposure time : 5.5 seconds

All lanes:

Western blot - Anti-SYT2 + SYT1 antibody [EPR23920-2] (<a href='/en-us/products/primary-antibodies/syt2-syt1-antibody-epr23920-2-ab259977'>ab259977</a>) at 1/1000 dilution

Lane 1:

Human cerebellum tissue lysate at 20 µg

Lane 2:

Human liver tissue lysate at 20 µg

Secondary

All lanes:

Western blot - VeriBlot for IP Detection Reagent (HRP) (<a href='/en-us/products/reagents/veriblot-for-ip-detection-reagent-hrp-ab131366'>ab131366</a>) at 1/1000 dilution

Observed band size: 37 kDa,60 kDa

false

Western blot - Anti-SYT2 + SYT1 antibody [EPR23920-2] - BSA and Azide free (AB277491)
  • WB

Lab

Western blot - Anti-SYT2 + SYT1 antibody [EPR23920-2] - BSA and Azide free (AB277491)

This data was developed using ab259977, the same antibody clone in a different buffer formulation.

Blocking and diluting buffer and concentration : 5% NFDM/TBST

Unknown band at 37 kDa (PMID : 32930942).

Negative : mouse liver (PMID : 17492637).

Exposure time : Lane 1, 2, 4 : 10 secondsLane 3 : 3.3 seconds

All lanes:

Western blot - Anti-SYT2 + SYT1 antibody [EPR23920-2] (<a href='/en-us/products/primary-antibodies/syt2-syt1-antibody-epr23920-2-ab259977'>ab259977</a>) at 1/1000 dilution

Lane 1:

PC-12 (rat adrenal gland pheochromocytoma) whole cell lysate at 20 µg

Lane 2:

C57 spinal cord tissue lysate at 20 µg

Lane 3:

Mouse brain tissue lysate at 20 µg

Lane 4:

Mouse liver tissue lysate at 20 µg

Secondary

All lanes:

Western blot - Goat Anti-Rabbit IgG H&L (HRP) (<a href='/en-us/products/secondary-antibodies/goat-rabbit-igg-h-l-hrp-ab97051'>ab97051</a>) at 1/20000 dilution

Observed band size: 37 kDa,48 kDa,60 kDa

false

Western blot - Anti-SYT2 + SYT1 antibody [EPR23920-2] - BSA and Azide free (AB277491)
  • WB

Lab

Western blot - Anti-SYT2 + SYT1 antibody [EPR23920-2] - BSA and Azide free (AB277491)

This data was developed using ab259977, the same antibody clone in a different buffer formulation.

Blocking and diluting buffer and concentration : 5% NFDM/TBST

This antibody reacts with mouse SYT1 and SYT2 but not with SYT3, SYT4, SYT5, SYT6, SYT7, SYT9. These rec proteins were both made in house and extracted from E.coil expression systems.

Exposure time : 15 seconds

All lanes:

Western blot - Anti-SYT2 + SYT1 antibody [EPR23920-2] (<a href='/en-us/products/primary-antibodies/syt2-syt1-antibody-epr23920-2-ab259977'>ab259977</a>) at 1/1000 dilution

Lane 1:

His-tagged mouse recombinant protein SYT1 (aa137-421) (35 kDa) at 0.03 µg

Lane 2:

His-tagged mouse recombinant protein SYT2 (aa137-420) (34.8 kDa) at 0.03 µg

Lane 3:

His-tagged mouse recombinant protein SYT3 (aa 76-587) (56.9 kDa) at 0.03 µg

Lane 4:

His-tagged mouse recombinant protein SYT4 (aa 38-425) (45.6 kDa) at 0.03 µg

Lane 5:

His-tagged mouse recombinant protein SYT5 (aa 46-386) (40.4 kDa) at 0.03 µg

Lane 6:

His-tagged mouse recombinant protein SYT6 (aa 81-511) (51kDa) at 0.03 µg

Lane 7:

His-tagged mouse recombinant protein SYT7 (aa 38-403) (43.6 kDa) at 0.03 µg

Lane 8:

His-tagged mouse recombinant protein SYT9 (aa 74-491) (50.2 kDa) at 0.03 µg

Secondary

All lanes:

Western blot - Goat Anti-Rabbit IgG H&L (HRP) (<a href='/en-us/products/secondary-antibodies/goat-rabbit-igg-h-l-hrp-ab97051'>ab97051</a>) at 1/100000 dilution

Observed band size: 34.8-56.9 kDa

false

Key facts

Host species

Rabbit

Clonality

Monoclonal

Clone number

EPR23920-2

Isotype

IgG

Carrier free

Yes

Reacts with

Mouse, Rat, Human

Applications

IHC-P, WB, IHC-Fr, ICC/IF, IP

applications

Immunogen

The exact immunogen used to generate this antibody is proprietary information.

Reactivity data

{ "title": "Reactivity Data", "filters": { "stats": ["", "Species", "Dilution Info", "Notes"], "tabs": { "all-applications": {"fullname" : "All Applications", "shortname": "All Applications"}, "FlowCytIntra" : {"fullname" : "Flow Cytometry (Intracellular)", "shortname":"Flow Cyt (Intra)"}, "ICCIF" : {"fullname" : "Immunocytochemistry/ Immunofluorescence", "shortname":"ICC/IF"}, "IP" : {"fullname" : "Immunoprecipitation", "shortname":"IP"}, "WB" : {"fullname" : "Western blot", "shortname":"WB"}, "IHCFr" : {"fullname" : "Immunohistochemistry (Frozen sections)", "shortname":"IHC-Fr"}, "IHCP" : {"fullname" : "Immunohistochemistry (Formalin/PFA-fixed paraffin-embedded sections)", "shortname":"IHC-P"} }, "product-promise": { "all": "all", "testedAndGuaranteed": "tested", "guaranteed": "expected", "predicted": "predicted", "notRecommended": "not-recommended" } }, "values": { "Human": { "FlowCytIntra-species-checked": "notRecommended", "FlowCytIntra-species-dilution-info": "", "FlowCytIntra-species-notes": "<p></p>", "ICCIF-species-checked": "guaranteed", "ICCIF-species-dilution-info": "", "ICCIF-species-notes": "", "IP-species-checked": "guaranteed", "IP-species-dilution-info": "", "IP-species-notes": "", "WB-species-checked": "testedAndGuaranteed", "WB-species-dilution-info": "", "WB-species-notes": "<p></p>", "IHCFr-species-checked": "testedAndGuaranteed", "IHCFr-species-dilution-info": "", "IHCFr-species-notes": "<p></p>", "IHCP-species-checked": "guaranteed", "IHCP-species-dilution-info": "", "IHCP-species-notes": "" }, "Mouse": { "FlowCytIntra-species-checked": "notRecommended", "FlowCytIntra-species-dilution-info": "", "FlowCytIntra-species-notes": "<p></p>", "ICCIF-species-checked": "testedAndGuaranteed", "ICCIF-species-dilution-info": "", "ICCIF-species-notes": "<p></p>", "IP-species-checked": "guaranteed", "IP-species-dilution-info": "", "IP-species-notes": "", "WB-species-checked": "testedAndGuaranteed", "WB-species-dilution-info": "", "WB-species-notes": "<p></p>", "IHCFr-species-checked": "guaranteed", "IHCFr-species-dilution-info": "", "IHCFr-species-notes": "", "IHCP-species-checked": "testedAndGuaranteed", "IHCP-species-dilution-info": "", "IHCP-species-notes": "<p></p>" }, "Rat": { "FlowCytIntra-species-checked": "notRecommended", "FlowCytIntra-species-dilution-info": "", "FlowCytIntra-species-notes": "<p></p>", "ICCIF-species-checked": "guaranteed", "ICCIF-species-dilution-info": "", "ICCIF-species-notes": "", "IP-species-checked": "testedAndGuaranteed", "IP-species-dilution-info": "", "IP-species-notes": "<p></p>", "WB-species-checked": "testedAndGuaranteed", "WB-species-dilution-info": "", "WB-species-notes": "<p></p>", "IHCFr-species-checked": "guaranteed", "IHCFr-species-dilution-info": "", "IHCFr-species-notes": "", "IHCP-species-checked": "guaranteed", "IHCP-species-dilution-info": "", "IHCP-species-notes": "" }, "Recombinant fragment - Mouse": { "FlowCytIntra-species-checked": "notRecommended", "FlowCytIntra-species-dilution-info": "", "FlowCytIntra-species-notes": "", "ICCIF-species-checked": "notRecommended", "ICCIF-species-dilution-info": "", "ICCIF-species-notes": "", "IP-species-checked": "notRecommended", "IP-species-dilution-info": "", "IP-species-notes": "", "WB-species-checked": "testedAndGuaranteed", "WB-species-dilution-info": "", "WB-species-notes": "<p></p>", "IHCFr-species-checked": "notRecommended", "IHCFr-species-dilution-info": "", "IHCFr-species-notes": "", "IHCP-species-checked": "notRecommended", "IHCP-species-dilution-info": "", "IHCP-species-notes": "" } } }

Product details

ab277491 is the carrier-free version of ab259977.

Patented technology
Our RabMAb® technology is a patented hybridoma-based technology for making rabbit monoclonal antibodies. For details on our patents, please refer to RabMAb® patents.

What are the advantages of a recombinant monoclonal antibody?
This product is a recombinant monoclonal antibody, which offers several advantages including:

  • - High batch-to-batch consistency and reproducibility
  • - Improved sensitivity and specificity
  • - Long-term security of supply
  • - Animal-free batch production

For more information, read more on recombinant antibodies.

Conjugation ready
Our carrier-free antibodies are typically supplied in a PBS-only formulation, purified and free of BSA, sodium azide and glycerol. This conjugation-ready format is designed for use with fluorochromes, metal isotopes, oligonucleotides, and enzymes, which makes them ideal for antibody labelling, functional and cell-based assays, flow-based assays (e.g. mass cytometry) and Multiplex Imaging applications.

Use our conjugation kits for antibody conjugates that are ready-to-use in as little as 20 minutes with 1 minute hands-on-time and 100% antibody recovery: available for fluorescent dyes, HRP, biotin and gold.

Compatibility
This product is compatible with the Maxpar® Antibody Labeling Kit from Fluidigm, without the need for antibody preparation. Maxpar® is a trademark of Fluidigm Canada Inc.

Properties and storage information

Form
Liquid
Purification technique
Affinity purification Protein A
Storage buffer
Constituents: PBS
Shipped at conditions
Blue Ice
Appropriate short-term storage conditions
+4°C
Appropriate long-term storage conditions
+4°C

Product protocols

For this product, it's our understanding that no specific protocols are required. You can visit:

Target data

Exhibits calcium-dependent phospholipid and inositol polyphosphate binding properties (PubMed : 7961887). May have a regulatory role in the membrane interactions during trafficking of synaptic vesicles at the active zone of the synapse (PubMed : 7961887). Plays a role in dendrite formation by melanocytes (By similarity).. (Microbial infection) Receptor for C.botulinum neurotoxin type B (BoNT/B, botB); interaction is improved in the presence of gangliosides (PubMed : 14504267). The toxin binds via the vesicular domain (residues 47-60) (PubMed : 14504267, PubMed : 17167418, PubMed : 23807078).. (Microbial infection) Receptor for C.botulinum neurotoxin type G (BoNT/G, botG); gangliosides are not required for (or only very slightly improve) binding to a membrane-anchored receptor fragment (PubMed : 20219474). The toxin binds via the vesicular domain (residues 47-55) (PubMed : 20219474).
See full target information Synaptotagmin-2

Additional targets

SYT2

Product promise

We are committed to supporting your work with high-quality reagents, and we're here for you every step of the way. In the unlikely event that one of our products does not perform as expected, you're protected by our Product Promise.
For full details, please see our Terms & Conditions

Please note: All products are 'FOR RESEARCH USE ONLY. NOT FOR USE IN DIAGNOSTIC OR THERAPEUTIC PROCEDURES'.

For licensing inquiries, please contact partnerships@abcam.com