JavaScript is disabled in your browser. Please enable JavaScript to view this website.
AB275959

Anti-T-bet / Tbx21 antibody [BLR110H]

Be the first to review this product! Submit a review

|

(2 Publications)

Rabbit Recombinant Monoclonal T-bet / Tbx21 antibody. Suitable for ICC, IP, WB, IHC-P and reacts with Human samples. Cited in 2 publications. Immunogen corresponding to Synthetic Peptide within Human TBX21 aa 450 to C-terminus.

View Alternative Names

TBET, TBLYM, TBX21, T-box transcription factor TBX21, T-box protein 21, T-cell-specific T-box transcription factor T-bet, Transcription factor TBLYM

5 Images
Immunocytochemistry - Anti-T-bet / Tbx21 antibody [BLR110H] (AB275959)
  • ICC

Supplier Data

Immunocytochemistry - Anti-T-bet / Tbx21 antibody [BLR110H] (AB275959)

MJ (Primary cutaneous T-cell non-Hodgkin lymphoma) cells stained for T-bet / Tbx21 using ab275959 at 1/500 dilution in ICC. Secondary antibody HRP-conjugated goat anti-rabbit IgG was used. DAB substrate.

Western blot - Anti-T-bet / Tbx21 antibody [BLR110H] (AB275959)
  • WB

Supplier Data

Western blot - Anti-T-bet / Tbx21 antibody [BLR110H] (AB275959)

Chemiluminescence with an exposure time of 30 seconds.

Lower Panel : Rabbit anti-Actin recombinant monoclonal.

All lanes:

Western blot - Anti-T-bet / Tbx21 antibody [BLR110H] (ab275959) at 1/1000 dilution

Lane 1:

MCF7 (Human breast adenocarcinoma cell line) whole cell lysate at 50 µg

Lane 2:

HEK-293T (Human epithelial cell line from embryonic kidney transformed with large T antigen) whole cell lysate at 50 µg

Lane 3:

MJ/G11 (Human T lymphocyte cell line) whole cell lysate at 50 µg

Lane 4:

HeLa (Human epithelial cell line from cervix adenocarcinoma) whole cell lysate at 50 µg

Lane 5:

Jurkat (Human T cell leukemia cell line from peripheral blood) whole cell lysate at 50 µg

Lane 6:

NK-92 (Human peripheral blood malignant non-Hodgkin's lymphoma cell line) whole cell lysate at 50 µg

Lane 7:

HepG2 (Human liver hepatocellular carcinoma cell line) whole cell lysate at 50 µg

Lane 8:

U-2 OS (Human bone osteosarcoma epithelial cell line) whole cell lysate at 50 µg

Secondary

All lanes:

HRP conjugated goat anti-rabbit IgG

Predicted band size: 58 kDa

false

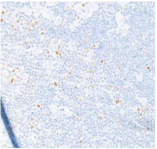
Immunohistochemistry (Formalin/PFA-fixed paraffin-embedded sections) - Anti-T-bet / Tbx21 antibody [BLR110H] (AB275959)
  • IHC-P

Supplier Data

Immunohistochemistry (Formalin/PFA-fixed paraffin-embedded sections) - Anti-T-bet / Tbx21 antibody [BLR110H] (AB275959)

Paraffin embedded Hodgkin's lymphoma tissue stained for T-bet / Tbx21 using ab275959 at 1/500 dilution in immunohistochemical analysis. Secondary antibody HRP-conjugated goat anti-rabbit IgG was used. DAB substrate.

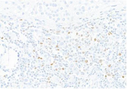
Immunohistochemistry (Formalin/PFA-fixed paraffin-embedded sections) - Anti-T-bet / Tbx21 antibody [BLR110H] (AB275959)
  • IHC-P

Supplier Data

Immunohistochemistry (Formalin/PFA-fixed paraffin-embedded sections) - Anti-T-bet / Tbx21 antibody [BLR110H] (AB275959)

Paraffin embedded seminoma tissue stained for T-bet / Tbx21 using ab275959 at 1/500 dilution in immunohistochemical analysis. Secondary antibody HRP-conjugated goat anti-rabbit IgG was used. DAB substrate.

Immunoprecipitation - Anti-T-bet / Tbx21 antibody [BLR110H] (AB275959)
  • IP

Supplier Data

Immunoprecipitation - Anti-T-bet / Tbx21 antibody [BLR110H] (AB275959)

Whole cell lysate (1.0 mg per IP reaction; 20% of IP loaded) from MJ/G11 cells
prepared using NETN lysis buffer. ab275959 was used for immunoprecipitation at 6 μl per reaction. For blotting ab275959 was used at 1/1000 dilution.

Lane 1 : ab275959.

Lane 2 : Control IgG.

Chemiluminescence with an exposure time of 3 seconds.

All lanes:

Immunoprecipitation - Anti-T-bet / Tbx21 antibody [BLR110H] (ab275959)

Predicted band size: 58 kDa

false

Key facts

Host species

Rabbit

Clonality

Monoclonal

Clone number

BLR110H

Isotype

IgG

Carrier free

No

Reacts with

Human

Applications

WB, IHC-P, ICC, IP

applications

Immunogen

Synthetic Peptide within Human TBX21 aa 450 to C-terminus. The exact immunogen used to generate this antibody is proprietary information.

Q9UL17

Reactivity data

{ "title": "Reactivity Data", "filters": { "stats": ["", "Species", "Dilution Info", "Notes"], "tabs": { "all-applications": {"fullname" : "All Applications", "shortname": "All Applications"}, "ICC" : {"fullname" : "Immunocytochemistry", "shortname":"ICC"}, "IP" : {"fullname" : "Immunoprecipitation", "shortname":"IP"}, "WB" : {"fullname" : "Western blot", "shortname":"WB"}, "IHCP" : {"fullname" : "Immunohistochemistry (Formalin/PFA-fixed paraffin-embedded sections)", "shortname":"IHC-P"} }, "product-promise": { "all": "all", "testedAndGuaranteed": "tested", "guaranteed": "expected", "predicted": "predicted", "notRecommended": "not-recommended" } }, "values": { "Human": { "ICC-species-checked": "testedAndGuaranteed", "ICC-species-dilution-info": "1/100 - 1/500", "ICC-species-notes": "<p>Epitope retrieval with citrate buffer pH6.0 is recommended for FFPE cell sections</p>", "IP-species-checked": "testedAndGuaranteed", "IP-species-dilution-info": "", "IP-species-notes": "<p>6 μl/mg lysate</p>", "WB-species-checked": "testedAndGuaranteed", "WB-species-dilution-info": "1/1000", "WB-species-notes": "<p></p>", "IHCP-species-checked": "testedAndGuaranteed", "IHCP-species-dilution-info": "1/100 - 1/500", "IHCP-species-notes": "<p></p>" } } }

Product details

This product is sold under License from Bethyl Laboratories, Inc.

Properties and storage information

Form
Liquid
Purification technique
Affinity purification Immunogen
Storage buffer
pH: 8.2 Preservative: 0.09% Sodium azide Constituents: 99% Borate buffered saline
Shipped at conditions
Blue Ice
Appropriate short-term storage duration
1-2 weeks
Appropriate short-term storage conditions
+4°C
Appropriate long-term storage conditions
+4°C
Aliquoting information
Upon delivery aliquot
Storage information
Avoid freeze / thaw cycle

Supplementary information

This supplementary information is collated from multiple sources and compiled automatically.

T-bet also known as Tbx21 is a T-box transcription factor that plays an important role in regulating immune responses. T-bet has a molecular mass of approximately 58 kDa. It is extensively expressed in T-helper 1 (Th1) cells and natural killer (NK) cells facilitating these cells' development and function. T-bet guides the transcriptional activities necessary for cellular differentiation and immune response by binding to specific DNA sequences. Its expression is tightly controlled reflecting its central role in immune regulation. "9d bet" is also referenced in scientific research although its specific context requires precise understanding within a given study.
Biological function summary

This transcription factor is pivotal for manufacturing interferon-gamma (IFN-γ) initiating and sustaining Th1 cell immunity. T-bet doesn't act alone; it functions as part of larger protein complexes interacting with other transcription factors and cofactors to exert its effects. The capacity to influence IFN-γ production makes T-bet a significant player in immune responses helping coordinate responses against intracellular pathogens. Moreover the expression of T-bet is not limited solely to T cells but also impacts other immune cells like CD8+ T cells and B cells. Anti-bet or anti-T antibodies frequently target T-bet in research to explore immune system intricacies better.

Pathways

T-bet integrates into the immune signaling network through pathways such as the JAK-STAT pathway and the Th1 differentiation pathway. It activates transcription of the IFNG gene working closely with related proteins like STAT4. T-bet's influence extends as it cooperates with STAT1 enabling a feed-forward loop that amplifies and stabilizes Th1 responses. "Bet t products" could refer to those derived from such transcriptional activation. Additionally T-bet involvement goes beyond transcriptional regulation affecting cytokine transport and secretion processes vital for an effective immune response.

Researchers have linked T-bet to autoimmune diseases and infectious diseases. Aberrant expression of T-bet can lead to enhanced Th1 responses intensifying autoimmune conditions such as multiple sclerosis (MS). Its role in diseases connects it with NF-κB pathways and other transcription factors influencing inflammatory processes. Furthermore "anti bet" studies often involve understanding T-bet's role in infectious diseases seeking to manipulate its function to adjust immune responses in chronic infections. Studies targeting its pathways or interactions with disease-specific proteins aim to develop therapeutic strategies turning an element of dysregulation into a novel treatment approach.

Product protocols

For this product, it's our understanding that no specific protocols are required. You can visit:

Target data

Lineage-defining transcription factor which initiates Th1 lineage development from naive Th precursor cells both by activating Th1 genetic programs and by repressing the opposing Th2 and Th17 genetic programs (PubMed : 10761931). Activates transcription of a set of genes important for Th1 cell function, including those encoding IFN-gamma and the chemokine receptor CXCR3. Induces permissive chromatin accessibilty and CpG methylation in IFNG (PubMed : 33296702). Activates IFNG and CXCR3 genes in part by recruiting chromatin remodeling complexes including KDM6B, a SMARCA4-containing SWI/SNF-complex, and an H3K4me2-methyltransferase complex to their promoters and all of these complexes serve to establish a more permissive chromatin state conducive with transcriptional activation (By similarity). Can activate Th1 genes also via recruitment of Mediator complex and P-TEFb (composed of CDK9 and CCNT1/cyclin-T1) in the form of the super elongation complex (SEC) to super-enhancers and associated genes in activated Th1 cells (PubMed : 27292648). Inhibits the Th17 cell lineage commitment by blocking RUNX1-mediated transactivation of Th17 cell-specific transcriptinal regulator RORC. Inhibits the Th2 cell lineage commitment by suppressing the production of Th2 cytokines, such as IL-4, IL-5, and IL- 13, via repression of transcriptional regulators GATA3 and NFATC2. Protects Th1 cells from amplifying aberrant type-I IFN response in an IFN-gamma abundant microenvironment by acting as a repressor of type-I IFN transcription factors and type-I IFN-stimulated genes. Acts as a regulator of antiviral B-cell responses; controls chronic viral infection by promoting the antiviral antibody IgG2a isotype switching and via regulation of a broad antiviral gene expression program (By similarity). Required for the correct development of natural killer (NK) and mucosal-associated invariant T (MAIT) cells (PubMed : 33296702).
See full target information TBX21

Publications (2)

Recent publications for all applications. Explore the full list and refine your search

Advanced science (Weinheim, Baden-Wurttemberg, Germany) 12:e2404432 PubMed39573933

2024

γδ T Cell-mediated Tumor Immunity is Tightly Regulated by STING and TGF-β Signaling Pathways.

Applications

Unspecified application

Species

Unspecified reactive species

Jing Luo,Shengli Wang,Quanli Yang,Qianqian Fu,Chuyun Zhu,Tao Li,Shuxian Yang,Yin Zhao,Rong Guo,Xiaosong Ben,Yuzhen Zheng,Sitao Li,Guang Yang,Hongru Zhang,Hui Xiao,Zhengfan Jiang,Nan Yan,Dieter Kabelitz,Guodong Sun,Zvi Granot,Ligong Lu,Fuping You,Jianlei Hao,Zhinan Yin

DNA repair 133:103611 PubMed38103522

2023

FBH1 deficiency sensitizes cells to WEE1 inhibition by promoting mitotic catastrophe.

Applications

Unspecified application

Species

Unspecified reactive species

Lucy Jennings,Heather Andrews Walters,Tyler J McCraw,Joshua L Turner,Jennifer M Mason
View all publications

Product promise

We are committed to supporting your work with high-quality reagents, and we're here for you every step of the way. In the unlikely event that one of our products does not perform as expected, you're protected by our Product Promise.
For full details, please see our Terms & Conditions

Please note: All products are 'FOR RESEARCH USE ONLY. NOT FOR USE IN DIAGNOSTIC OR THERAPEUTIC PROCEDURES'.

For licensing inquiries, please contact partnerships@abcam.com