JavaScript is disabled in your browser. Please enable JavaScript to view this website.
AB300452

Anti-T-bet / Tbx21 antibody [EPR25086-9] - BSA and Azide free

Be the first to review this product! Submit a review

|

(0 Publication)

Rabbit Recombinant Monoclonal T-bet / Tbx21 antibody. Carrier free. Suitable for IHC-P and reacts with Rat, Mouse samples.

View Alternative Names

Tbet, Tblym, Tbx21, T-box transcription factor TBX21, T-box protein 21, T-cell-specific T-box transcription factor T-bet, Transcription factor TBLYM

5 Images
Immunohistochemistry (Formalin/PFA-fixed paraffin-embedded sections) - Anti-T-bet / Tbx21 antibody [EPR25086-9] - BSA and Azide free (AB300452)
  • IHC-P

Supplier Data

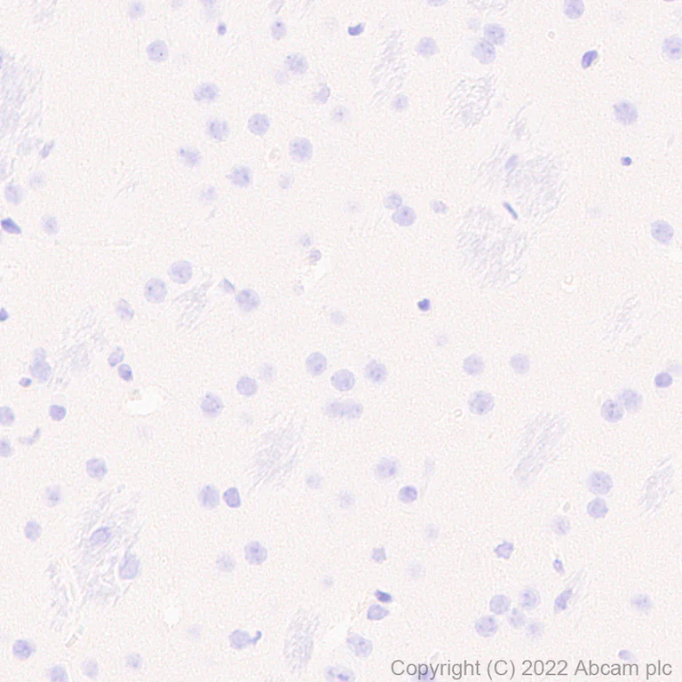
Immunohistochemistry (Formalin/PFA-fixed paraffin-embedded sections) - Anti-T-bet / Tbx21 antibody [EPR25086-9] - BSA and Azide free (AB300452)

This data was developed using ab300451, the same antibody clone in a different buffer formulation.Immunohistochemical analysis of paraffin-embedded Rat brain tissue labeling T-bet / Tbx21 with ab300451 at 1/6000 (0.093 ug/ml) followed by a ready to use LeicaDS9800 (Bond™ Polymer Refine Detection) was used. Negative control : no staining on rat brain (PMID : 10761931). The section was incubated with ab300451 for 30 mins at room temperature.The immunostaining was performed on a Leica Biosystems BOND® RX instrument. Counterstained with Hematoxylin. Secondary antibody only control : Secondary antibody is a ready to use LeicaDS9800 (Bond™ Polymer Refine Detection) was used.Heat mediated antigen retrieval with Tris-EDTA buffer (pH 9.0, epitope retrieval solution2) for 20 mins

Immunohistochemistry (Formalin/PFA-fixed paraffin-embedded sections) - Anti-T-bet / Tbx21 antibody [EPR25086-9] - BSA and Azide free (AB300452)
  • IHC-P

Supplier Data

Immunohistochemistry (Formalin/PFA-fixed paraffin-embedded sections) - Anti-T-bet / Tbx21 antibody [EPR25086-9] - BSA and Azide free (AB300452)

This data was developed using ab300451, the same antibody clone in a different buffer formulation.Immunohistochemical analysis of paraffin-embedded Rat spleen tissue labeling T-bet / Tbx21 with ab300451 at 1/6000 (0.093 ug/ml) followed by a ready to use LeicaDS9800 (Bond™ Polymer Refine Detection) was used. Nuclear staining on rat spleen (PMID : 10761931, PMID : 27158669). The section was incubated with ab300451 for 30 mins at room temperature.The immunostaining was performed on a Leica Biosystems BOND® RX instrument. Counterstained with Hematoxylin. Secondary antibody only control : Secondary antibody is a ready to use LeicaDS9800 (Bond™ Polymer Refine Detection) was used.Heat mediated antigen retrieval with Tris-EDTA buffer (pH 9.0, epitope retrieval solution2) for 20 mins

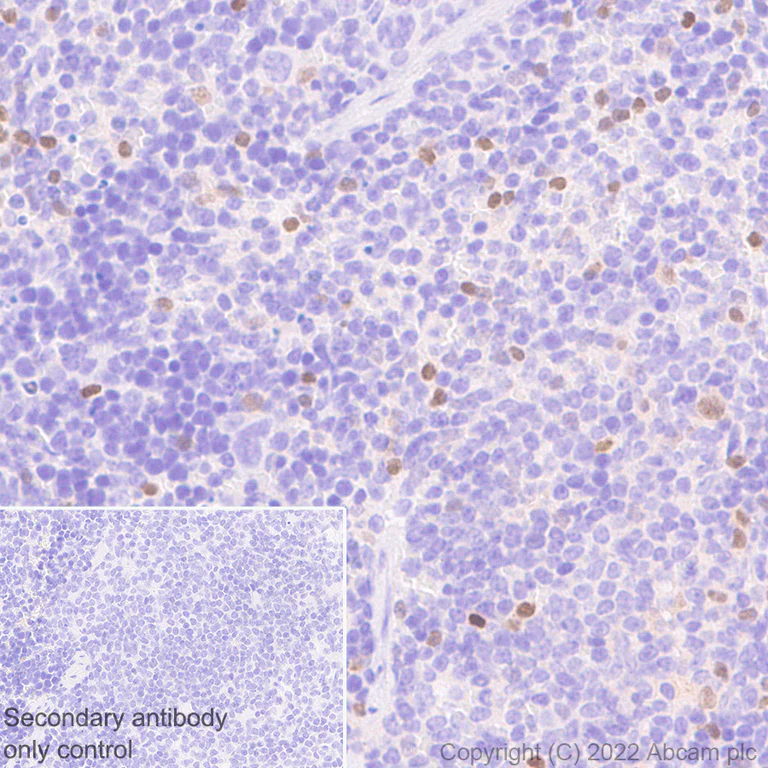
Immunohistochemistry (Formalin/PFA-fixed paraffin-embedded sections) - Anti-T-bet / Tbx21 antibody [EPR25086-9] - BSA and Azide free (AB300452)
  • IHC-P

Supplier Data

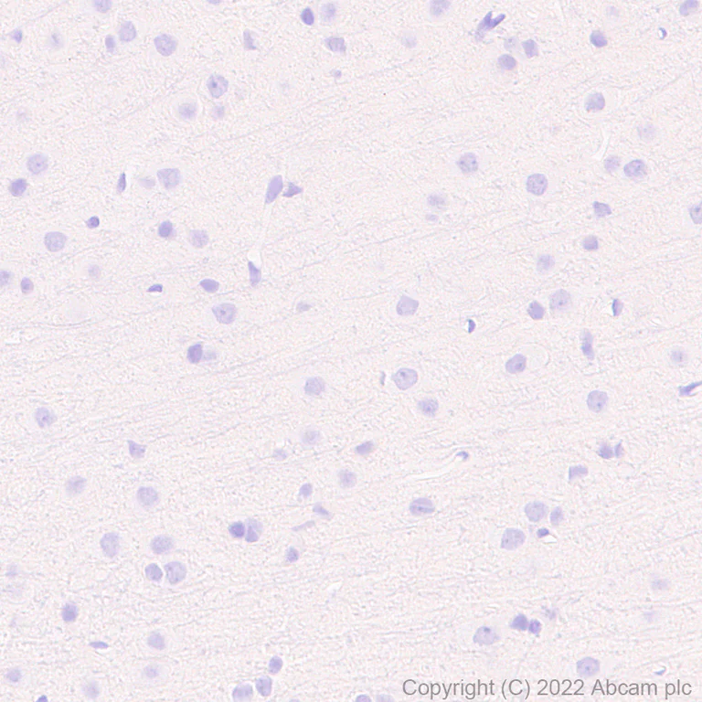
Immunohistochemistry (Formalin/PFA-fixed paraffin-embedded sections) - Anti-T-bet / Tbx21 antibody [EPR25086-9] - BSA and Azide free (AB300452)

This data was developed using ab300451, the same antibody clone in a different buffer formulation.Immunohistochemical analysis of paraffin-embedded Mouse brain tissue labeling T-bet / Tbx21 with ab300451 at 1/6000 (0.093 ug/ml) followed by a ready to use LeicaDS9800 (Bond™ Polymer Refine Detection) was used. Negative control : no staining on mouse brain (PMID : 10761931). The section was incubated with ab300451 for 30 mins at room temperature. The immunostaining was performed on a Leica Biosystems BOND® RX instrument. Counterstained with Hematoxylin. Secondary antibody only control : Secondary antibody is a ready to use LeicaDS9800 (Bond™ Polymer Refine Detection) was used.Heat mediated antigen retrieval with Tris-EDTA buffer (pH 9.0, epitope retrieval solution2) for 20 mins

Immunohistochemistry (Formalin/PFA-fixed paraffin-embedded sections) - Anti-T-bet / Tbx21 antibody [EPR25086-9] - BSA and Azide free (AB300452)
  • IHC-P

Supplier Data

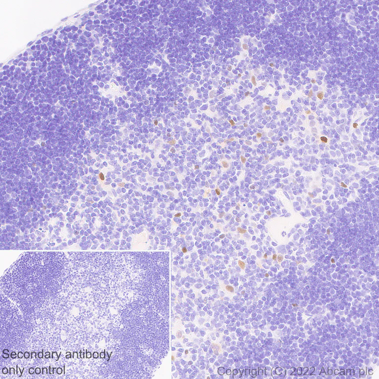
Immunohistochemistry (Formalin/PFA-fixed paraffin-embedded sections) - Anti-T-bet / Tbx21 antibody [EPR25086-9] - BSA and Azide free (AB300452)

This data was developed using ab300451, the same antibody clone in a different buffer formulation.Immunohistochemical analysis of paraffin-embedded Mouse thymus tissue labeling T-bet / Tbx21 with ab300451 at 1/6000 (0.093 ug/ml) followed by a ready to use LeicaDS9800 (Bond™ Polymer Refine Detection) was used. Nuclear staining on mouse thymus (PMID : 10761931). The section was incubated with ab300451 for 30 mins at room temperature. The immunostaining was performed on a Leica Biosystems BOND® RX instrument. Counterstained with Hematoxylin. Secondary antibody only control : Secondary antibody is a ready to use LeicaDS9800 (Bond™ Polymer Refine Detection) was used.Heat mediated antigen retrieval with Tris-EDTA buffer (pH 9.0, epitope retrieval solution2) for 20 mins

Immunohistochemistry (Formalin/PFA-fixed paraffin-embedded sections) - Anti-T-bet / Tbx21 antibody [EPR25086-9] - BSA and Azide free (AB300452)
  • IHC-P

Supplier Data

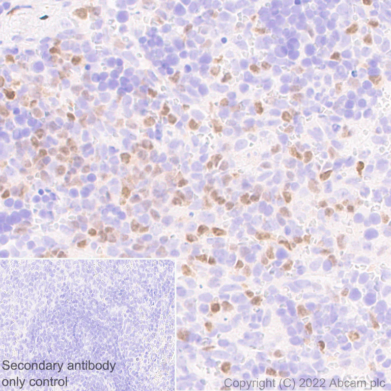
Immunohistochemistry (Formalin/PFA-fixed paraffin-embedded sections) - Anti-T-bet / Tbx21 antibody [EPR25086-9] - BSA and Azide free (AB300452)

This data was developed using ab300451, the same antibody clone in a different buffer formulation.Immunohistochemical analysis of paraffin-embedded Mouse spleen tissue labeling T-bet / Tbx21 with ab300451 at 1/6000 (0.093 ug/ml) followed by a ready to use LeicaDS9800 (Bond™ Polymer Refine Detection) was used. Nuclear staining on mouse spleen (PMID : 10761931, PMID : 27158669). The section was incubated with ab300451 for 30 mins at room temperature. The immunostaining was performed on a Leica Biosystems BOND® RX instrument. Counterstained with Hematoxylin. Secondary antibody only control : Secondary antibody is a ready to use LeicaDS9800 (Bond™ Polymer Refine Detection) was used.Heat mediated antigen retrieval with Tris-EDTA buffer (pH 9.0, epitope retrieval solution2) for 20 mins

Key facts

Host species

Rabbit

Clonality

Monoclonal

Clone number

EPR25086-9

Isotype

IgG

Carrier free

Yes

Reacts with

Rat, Mouse

Applications

IHC-P

applications

Immunogen

The exact immunogen used to generate this antibody is proprietary information.

Reactivity data

{ "title": "Reactivity Data", "filters": { "stats": ["", "Species", "Dilution Info", "Notes"], "tabs": { "all-applications": {"fullname" : "All Applications", "shortname": "All Applications"}, "IP" : {"fullname" : "Immunoprecipitation", "shortname":"IP"}, "FlowCytIntra" : {"fullname" : "Flow Cytometry (Intracellular)", "shortname":"Flow Cyt (Intra)"}, "ICCIF" : {"fullname" : "Immunocytochemistry/ Immunofluorescence", "shortname":"ICC/IF"}, "IHCP" : {"fullname" : "Immunohistochemistry (Formalin/PFA-fixed paraffin-embedded sections)", "shortname":"IHC-P"}, "WB" : {"fullname" : "Western blot", "shortname":"WB"} }, "product-promise": { "all": "all", "testedAndGuaranteed": "tested", "guaranteed": "expected", "predicted": "predicted", "notRecommended": "not-recommended" } }, "values": { "Human": { "IP-species-checked": "notRecommended", "IP-species-dilution-info": "", "IP-species-notes": "<p></p>", "FlowCytIntra-species-checked": "notRecommended", "FlowCytIntra-species-dilution-info": "", "FlowCytIntra-species-notes": "<p></p>", "ICCIF-species-checked": "notRecommended", "ICCIF-species-dilution-info": "", "ICCIF-species-notes": "", "IHCP-species-checked": "notRecommended", "IHCP-species-dilution-info": "", "IHCP-species-notes": "<p></p>", "WB-species-checked": "notRecommended", "WB-species-dilution-info": "", "WB-species-notes": "<p></p>" }, "Mouse": { "IP-species-checked": "notRecommended", "IP-species-dilution-info": "", "IP-species-notes": "<p></p>", "FlowCytIntra-species-checked": "notRecommended", "FlowCytIntra-species-dilution-info": "", "FlowCytIntra-species-notes": "<p></p>", "ICCIF-species-checked": "notRecommended", "ICCIF-species-dilution-info": "", "ICCIF-species-notes": "<p></p>", "IHCP-species-checked": "testedAndGuaranteed", "IHCP-species-dilution-info": "", "IHCP-species-notes": "<p></p>", "WB-species-checked": "notRecommended", "WB-species-dilution-info": "", "WB-species-notes": "<p></p>" }, "Rat": { "IP-species-checked": "notRecommended", "IP-species-dilution-info": "", "IP-species-notes": "", "FlowCytIntra-species-checked": "notRecommended", "FlowCytIntra-species-dilution-info": "", "FlowCytIntra-species-notes": "", "ICCIF-species-checked": "notRecommended", "ICCIF-species-dilution-info": "", "ICCIF-species-notes": "", "IHCP-species-checked": "testedAndGuaranteed", "IHCP-species-dilution-info": "", "IHCP-species-notes": "<p></p>", "WB-species-checked": "notRecommended", "WB-species-dilution-info": "", "WB-species-notes": "<p></p>" } } }

Product details

Patented technology
Our RabMAb® technology is a patented hybridoma-based technology for making rabbit monoclonal antibodies. For details on our patents, please refer to RabMAb® patents.

What are the advantages of a recombinant monoclonal antibody?
This product is a recombinant monoclonal antibody, which offers several advantages including:

  • - High batch-to-batch consistency and reproducibility
  • - Improved sensitivity and specificity
  • - Long-term security of supply
  • - Animal-free batch production

For more information, read more on recombinant antibodies.

Conjugation ready
Our carrier-free antibodies are typically supplied in a PBS-only formulation, purified and free of BSA, sodium azide and glycerol. This conjugation-ready format is designed for use with fluorochromes, metal isotopes, oligonucleotides, and enzymes, which makes them ideal for antibody labelling, functional and cell-based assays, flow-based assays (e.g. mass cytometry) and Multiplex Imaging applications.

Use our conjugation kits for antibody conjugates that are ready-to-use in as little as 20 minutes with 1 minute hands-on-time and 100% antibody recovery: available for fluorescent dyes, HRP, biotin and gold.

Compatibility
This product is compatible with the Maxpar® Antibody Labeling Kit from Fluidigm, without the need for antibody preparation. Maxpar® is a trademark of Fluidigm Canada Inc.

Properties and storage information

Form
Liquid
Purification technique
Affinity purification Protein A
Storage buffer
pH: 7.2 - 7.4 Constituents: PBS
Shipped at conditions
Blue Ice
Appropriate short-term storage conditions
+4°C
Appropriate long-term storage conditions
+4°C
Storage information
Do Not Freeze

Supplementary information

This supplementary information is collated from multiple sources and compiled automatically.

T-bet also known as Tbx21 is a T-box transcription factor that plays an important role in regulating immune responses. T-bet has a molecular mass of approximately 58 kDa. It is extensively expressed in T-helper 1 (Th1) cells and natural killer (NK) cells facilitating these cells' development and function. T-bet guides the transcriptional activities necessary for cellular differentiation and immune response by binding to specific DNA sequences. Its expression is tightly controlled reflecting its central role in immune regulation. "9d bet" is also referenced in scientific research although its specific context requires precise understanding within a given study.
Biological function summary

This transcription factor is pivotal for manufacturing interferon-gamma (IFN-γ) initiating and sustaining Th1 cell immunity. T-bet doesn't act alone; it functions as part of larger protein complexes interacting with other transcription factors and cofactors to exert its effects. The capacity to influence IFN-γ production makes T-bet a significant player in immune responses helping coordinate responses against intracellular pathogens. Moreover the expression of T-bet is not limited solely to T cells but also impacts other immune cells like CD8+ T cells and B cells. Anti-bet or anti-T antibodies frequently target T-bet in research to explore immune system intricacies better.

Pathways

T-bet integrates into the immune signaling network through pathways such as the JAK-STAT pathway and the Th1 differentiation pathway. It activates transcription of the IFNG gene working closely with related proteins like STAT4. T-bet's influence extends as it cooperates with STAT1 enabling a feed-forward loop that amplifies and stabilizes Th1 responses. "Bet t products" could refer to those derived from such transcriptional activation. Additionally T-bet involvement goes beyond transcriptional regulation affecting cytokine transport and secretion processes vital for an effective immune response.

Researchers have linked T-bet to autoimmune diseases and infectious diseases. Aberrant expression of T-bet can lead to enhanced Th1 responses intensifying autoimmune conditions such as multiple sclerosis (MS). Its role in diseases connects it with NF-κB pathways and other transcription factors influencing inflammatory processes. Furthermore "anti bet" studies often involve understanding T-bet's role in infectious diseases seeking to manipulate its function to adjust immune responses in chronic infections. Studies targeting its pathways or interactions with disease-specific proteins aim to develop therapeutic strategies turning an element of dysregulation into a novel treatment approach.

Product protocols

For this product, it's our understanding that no specific protocols are required. You can visit:

Target data

Lineage-defining transcription factor which initiates Th1 lineage development from naive Th precursor cells both by activating Th1 genetic programs and by repressing the opposing Th2 and Th17 genetic programs. Activates transcription of a set of genes important for Th1 cell function, including those encoding IFN-gamma and the chemokine receptor CXCR3. Activates IFNG and CXCR3 genes in part by recruiting chromatin remodeling complexes including KDM6B, a SMARCA4-containing SWI/SNF-complex, and an H3K4me2-methyltransferase complex to their promoters and all of these complexes serve to establish a more permissive chromatin state conducive with transcriptional activation (PubMed : 10761931, PubMed : 17923685, PubMed : 21095589). Can activate Th1 genes also via recruitment of Mediator complex and P-TEFb (composed of CDK9 and CCNT1/cyclin-T1) in the form of the super elongation complex (SEC) to super-enhancers and associated genes in activated Th1 cells (PubMed : 27292648). Inhibits the Th17 cell lineage commitment by blocking RUNX1-mediated transactivation of Th17 cell-specific transcriptinal regulator RORC (PubMed : 21151104). Inhibits the Th2 cell lineage commitment by suppressing the production of Th2 cytokines, such as IL-4, IL-5, and IL- 13, via repression of transcriptional regulators GATA3 and NFATC2 (PubMed : 15662016, PubMed : 21690296, PubMed : 23616576). Protects Th1 cells from amplifying aberrant type-I IFN response in an IFN-gamma abundant microenvironment by acting as a repressor of type-I IFN transcription factors and type-I IFN- stimulated genes (PubMed : 28623086). Acts as a regulator of antiviral B-cell responses; controls chronic viral infection by promoting the antiviral antibody IgG2a isotype switching and via regulation of a broad antiviral gene expression program (PubMed : 27430722).
See full target information Tbx21

Product promise

We are committed to supporting your work with high-quality reagents, and we're here for you every step of the way. In the unlikely event that one of our products does not perform as expected, you're protected by our Product Promise.
For full details, please see our Terms & Conditions

Please note: All products are 'FOR RESEARCH USE ONLY. NOT FOR USE IN DIAGNOSTIC OR THERAPEUTIC PROCEDURES'.

For licensing inquiries, please contact partnerships@abcam.com