JavaScript is disabled in your browser. Please enable JavaScript to view this website.
AB150440

Anti-T-bet / Tbx21 antibody [EPR9301]

5

(1 Review)

|

(20 Publications)

Rabbit Recombinant Monoclonal T-bet / Tbx21 antibody. Suitable for IHC-P and reacts with Human samples. Cited in 20 publications.

View Alternative Names

TBET, TBLYM, TBX21, T-box transcription factor TBX21, T-box protein 21, T-cell-specific T-box transcription factor T-bet, Transcription factor TBLYM

6 Images
Immunohistochemistry (Formalin/PFA-fixed paraffin-embedded sections) - Anti-T-bet / Tbx21 antibody [EPR9301] (AB150440)
  • IHC-P

Lab

Immunohistochemistry (Formalin/PFA-fixed paraffin-embedded sections) - Anti-T-bet / Tbx21 antibody [EPR9301] (AB150440)

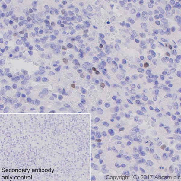
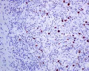
Immunohistochemistry (Formalin/PFA-fixed paraffin-embedded sections) analysis of human Hodgkin lymphoma tissue sections labeling T-bet/Tbx21 with Purified ab150440 at 1 : 1000 dilution (1.23 μg/ml). Heat mediated antigen retrieval was performed using EDTA Buffer, pH9.0. Tissue was counterstained with Hematoxylin. ImmunoHistoProbe one step HRP Polymer (ready to use) secondary antibody was used at 1 : 0 dilution. PBS instead of the primary antibody was used as the negative control.

Immunohistochemistry (Formalin/PFA-fixed paraffin-embedded sections) - Anti-T-bet / Tbx21 antibody [EPR9301] (AB150440)
  • IHC-P

Unknown

Immunohistochemistry (Formalin/PFA-fixed paraffin-embedded sections) - Anti-T-bet / Tbx21 antibody [EPR9301] (AB150440)

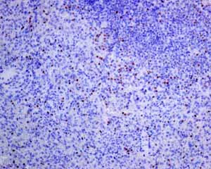
Immunohistochemical analysis of paraffin embedded Human Hodgkin's lymphoma tissue using unpurified ab150440 showing +ve staining.

Perform heat mediated antigen retrieval with citrate buffer pH 6 before commencing with IHC staining protocol.

Immunohistochemistry (Formalin/PFA-fixed paraffin-embedded sections) - Anti-T-bet / Tbx21 antibody [EPR9301] (AB150440)
  • IHC-P

Unknown

Immunohistochemistry (Formalin/PFA-fixed paraffin-embedded sections) - Anti-T-bet / Tbx21 antibody [EPR9301] (AB150440)

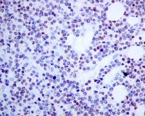
Immunohistochemical analysis of paraffin embedded Human T cell lymphoma tissue using unpurified ab150440 showing +ve staining.

Perform heat mediated antigen retrieval with citrate buffer pH 6 before commencing with IHC staining protocol.

Immunohistochemistry (Formalin/PFA-fixed paraffin-embedded sections) - Anti-T-bet / Tbx21 antibody [EPR9301] (AB150440)
  • IHC-P

Unknown

Immunohistochemistry (Formalin/PFA-fixed paraffin-embedded sections) - Anti-T-bet / Tbx21 antibody [EPR9301] (AB150440)

Immunohistochemical analysis of paraffin embedded Human Normal spleen tissue using unpurified ab150440 showing +ve staining.

Perform heat mediated antigen retrieval with citrate buffer pH 6 before commencing with IHC staining protocol.

Immunohistochemistry (Formalin/PFA-fixed paraffin-embedded sections) - Anti-T-bet / Tbx21 antibody [EPR9301] (AB150440)
  • IHC-P

Unknown

Immunohistochemistry (Formalin/PFA-fixed paraffin-embedded sections) - Anti-T-bet / Tbx21 antibody [EPR9301] (AB150440)

Immunohistochemical analysis of paraffin embedded normal Human tonsil tissue using unpurified ab150440 showing -ve staining.

Perform heat mediated antigen retrieval with citrate buffer pH 6 before commencing with IHC staining protocol.

Immunohistochemistry (Formalin/PFA-fixed paraffin-embedded sections) - Anti-T-bet / Tbx21 antibody [EPR9301] (AB150440)
  • IHC-P

Unknown

Immunohistochemistry (Formalin/PFA-fixed paraffin-embedded sections) - Anti-T-bet / Tbx21 antibody [EPR9301] (AB150440)

Immunohistochemical analysis of formalin-fixed, paraffin-embedded Human T cell lymphoma tissue labelling T-bet / Tbx21 with unpurified ab150440 at 1/250 dilution.

Perform heat mediated antigen retrieval with citrate buffer pH 6 before commencing with IHC staining protocol.

  • Carrier free

    Anti-T-bet / Tbx21 antibody [EPR9301] - BSA and Azide free

  • 519 Alexa Fluor® 488

    Alexa Fluor® 488 Anti-T-bet / Tbx21 antibody [EPR9301]

  • 617 Alexa Fluor® 594

    Alexa Fluor® 594 Anti-T-bet / Tbx21 antibody [EPR9301]

  • 665 Alexa Fluor® 647

    Alexa Fluor® 647 Anti-T-bet / Tbx21 antibody [EPR9301]

  • 565 Alexa Fluor® 555

    Alexa Fluor® 555 Anti-T-bet / Tbx21 antibody [EPR9301]

  • 660 APC

    APC Anti-T-bet / Tbx21 antibody [EPR9301]

  • 578 PE

    PE Anti-T-bet / Tbx21 antibody [EPR9301]

  • 775 Alexa Fluor® 750

    Alexa Fluor® 750 Anti-T-bet / Tbx21 antibody [EPR9301]

Key facts

Host species

Rabbit

Clonality

Monoclonal

Clone number

EPR9301

Isotype

IgG

Carrier free

No

Reacts with

Human

Applications

IHC-P

applications

Immunogen

The exact immunogen used to generate this antibody is proprietary information.

Reactivity data

{ "title": "Reactivity Data", "filters": { "stats": ["", "Species", "Dilution Info", "Notes"], "tabs": { "all-applications": {"fullname" : "All Applications", "shortname": "All Applications"}, "IHCP" : {"fullname" : "Immunohistochemistry (Formalin/PFA-fixed paraffin-embedded sections)", "shortname":"IHC-P"}, "WB" : {"fullname" : "Western blot", "shortname":"WB"}, "FlowCytIntra" : {"fullname" : "Flow Cytometry (Intracellular)", "shortname":"Flow Cyt (Intra)"} }, "product-promise": { "all": "all", "testedAndGuaranteed": "tested", "guaranteed": "expected", "predicted": "predicted", "notRecommended": "not-recommended" } }, "values": { "Human": { "IHCP-species-checked": "testedAndGuaranteed", "IHCP-species-dilution-info": "1/1000", "IHCP-species-notes": "<p><strong>For unpurified use at 1/250-1/500.</strong></p> Perform heat-mediated antigen retrieval with citrate buffer pH 6 before commencing with IHC staining protocol.", "WB-species-checked": "notRecommended", "WB-species-dilution-info": "", "WB-species-notes": "<p></p>", "FlowCytIntra-species-checked": "notRecommended", "FlowCytIntra-species-dilution-info": "", "FlowCytIntra-species-notes": "<p></p>" }, "Mouse": { "IHCP-species-checked": "notRecommended", "IHCP-species-dilution-info": "1/1000", "IHCP-species-notes": "<p><strong>For unpurified use at 1/250-1/500.</strong></p> Perform heat-mediated antigen retrieval with citrate buffer pH 6 before commencing with IHC staining protocol.", "WB-species-checked": "notRecommended", "WB-species-dilution-info": "", "WB-species-notes": "<p></p>", "FlowCytIntra-species-checked": "notRecommended", "FlowCytIntra-species-dilution-info": "", "FlowCytIntra-species-notes": "<p></p>" } } }

Product details

Patented technology
Our RabMAb® technology is a patented hybridoma-based technology for making rabbit monoclonal antibodies. For details on our patents, please refer to RabMAb® patents.

What are the advantages of a recombinant monoclonal antibody?
This product is a recombinant monoclonal antibody, which offers several advantages including:

  • - High batch-to-batch consistency and reproducibility
  • - Improved sensitivity and specificity
  • - Long-term security of supply
  • - Animal-free batch production

For more information, read more on recombinant antibodies.

Properties and storage information

Form
Liquid
Purification technique
Affinity purification Protein A
Storage buffer
Preservative: 0.01% Sodium azide Constituents: PBS, 40% Glycerol (glycerin, glycerine), 0.05% BSA
Shipped at conditions
Blue Ice
Appropriate short-term storage duration
1-2 weeks
Appropriate short-term storage conditions
+4°C
Appropriate long-term storage conditions
-20°C
Aliquoting information
Upon delivery aliquot
Storage information
Avoid freeze / thaw cycle

Supplementary information

This supplementary information is collated from multiple sources and compiled automatically.

T-bet also known as Tbx21 is a T-box transcription factor that plays an important role in regulating immune responses. T-bet has a molecular mass of approximately 58 kDa. It is extensively expressed in T-helper 1 (Th1) cells and natural killer (NK) cells facilitating these cells' development and function. T-bet guides the transcriptional activities necessary for cellular differentiation and immune response by binding to specific DNA sequences. Its expression is tightly controlled reflecting its central role in immune regulation. "9d bet" is also referenced in scientific research although its specific context requires precise understanding within a given study.
Biological function summary

This transcription factor is pivotal for manufacturing interferon-gamma (IFN-γ) initiating and sustaining Th1 cell immunity. T-bet doesn't act alone; it functions as part of larger protein complexes interacting with other transcription factors and cofactors to exert its effects. The capacity to influence IFN-γ production makes T-bet a significant player in immune responses helping coordinate responses against intracellular pathogens. Moreover the expression of T-bet is not limited solely to T cells but also impacts other immune cells like CD8+ T cells and B cells. Anti-bet or anti-T antibodies frequently target T-bet in research to explore immune system intricacies better.

Pathways

T-bet integrates into the immune signaling network through pathways such as the JAK-STAT pathway and the Th1 differentiation pathway. It activates transcription of the IFNG gene working closely with related proteins like STAT4. T-bet's influence extends as it cooperates with STAT1 enabling a feed-forward loop that amplifies and stabilizes Th1 responses. "Bet t products" could refer to those derived from such transcriptional activation. Additionally T-bet involvement goes beyond transcriptional regulation affecting cytokine transport and secretion processes vital for an effective immune response.

Researchers have linked T-bet to autoimmune diseases and infectious diseases. Aberrant expression of T-bet can lead to enhanced Th1 responses intensifying autoimmune conditions such as multiple sclerosis (MS). Its role in diseases connects it with NF-κB pathways and other transcription factors influencing inflammatory processes. Furthermore "anti bet" studies often involve understanding T-bet's role in infectious diseases seeking to manipulate its function to adjust immune responses in chronic infections. Studies targeting its pathways or interactions with disease-specific proteins aim to develop therapeutic strategies turning an element of dysregulation into a novel treatment approach.

Product protocols

For this product, it's our understanding that no specific protocols are required. You can visit:

Target data

Lineage-defining transcription factor which initiates Th1 lineage development from naive Th precursor cells both by activating Th1 genetic programs and by repressing the opposing Th2 and Th17 genetic programs (PubMed : 10761931). Activates transcription of a set of genes important for Th1 cell function, including those encoding IFN-gamma and the chemokine receptor CXCR3. Induces permissive chromatin accessibilty and CpG methylation in IFNG (PubMed : 33296702). Activates IFNG and CXCR3 genes in part by recruiting chromatin remodeling complexes including KDM6B, a SMARCA4-containing SWI/SNF-complex, and an H3K4me2-methyltransferase complex to their promoters and all of these complexes serve to establish a more permissive chromatin state conducive with transcriptional activation (By similarity). Can activate Th1 genes also via recruitment of Mediator complex and P-TEFb (composed of CDK9 and CCNT1/cyclin-T1) in the form of the super elongation complex (SEC) to super-enhancers and associated genes in activated Th1 cells (PubMed : 27292648). Inhibits the Th17 cell lineage commitment by blocking RUNX1-mediated transactivation of Th17 cell-specific transcriptinal regulator RORC. Inhibits the Th2 cell lineage commitment by suppressing the production of Th2 cytokines, such as IL-4, IL-5, and IL- 13, via repression of transcriptional regulators GATA3 and NFATC2. Protects Th1 cells from amplifying aberrant type-I IFN response in an IFN-gamma abundant microenvironment by acting as a repressor of type-I IFN transcription factors and type-I IFN-stimulated genes. Acts as a regulator of antiviral B-cell responses; controls chronic viral infection by promoting the antiviral antibody IgG2a isotype switching and via regulation of a broad antiviral gene expression program (By similarity). Required for the correct development of natural killer (NK) and mucosal-associated invariant T (MAIT) cells (PubMed : 33296702).
See full target information TBX21

Publications (20)

Recent publications for all applications. Explore the full list and refine your search

Frontiers in immunology 14:1240262 PubMed37638036

2023

Dupilumab improve acquired reactive perforating collagenosis characterized by type 2 inflammation.

Applications

Unspecified application

Species

Unspecified reactive species

Ben Liu,Yibei Wu,Xiaoyan Wu,Xinyu Zhong,Ruzeng Xue,Zhenying Zhang

Scientific reports 12:15427 PubMed36104369

2022

Cytotoxic CD8 T cells may be drivers of tissue destruction in Sjögren's syndrome.

Applications

Unspecified application

Species

Unspecified reactive species

Naoki Kaneko,Hu Chen,Cory A Perugino,Takashi Maehara,Ryusuke Munemura,Shiho Yokomizo,Junsei Sameshima,Thomas J Diefenbach,Katherine R Premo,Akira Chinju,Yuka Miyahara,Mizuki Sakamoto,Masafumi Moriyama,John H Stone,Seiji Nakamura,Shiv Pillai

Frontiers in immunology 13:871742 PubMed36159822

2022

The regulatory roles of T helper cells in distinct extracellular matrix characterization in breast cancer.

Applications

Unspecified application

Species

Unspecified reactive species

Qi Tian,Huan Gao,Yingying Ma,Lizhe Zhu,Yan Zhou,Yanwei Shen,Bo Wang

AMB Express 12:113 PubMed36057049

2022

Relationship between mucosal TNF-α expression and Th1, Th17, Th22 and Treg responses in Helicobacter pylori infection.

Applications

Unspecified application

Species

Unspecified reactive species

Ghorbanali Rahimian,Milad Shahini Shams Abadi,Yousef Mirzaei,Ali Hussein Mer,Reza Ahmadi,Fatemeh Azadegan-Dehkordi

Frontiers in immunology 13:859581 PubMed35795662

2022

Immunity and Extracellular Matrix Characteristics of Breast Cancer Subtypes Based on Identification by T Helper Cells Profiling.

Applications

Unspecified application

Species

Unspecified reactive species

Yan Zhou,Qi Tian,Huan Gao,Lizhe Zhu,Ying Zhang,Chenchen Zhang,Jiao Yang,Bo Wang

The Journal of comparative neurology 530:2154-2175 PubMed35397118

2022

Integrated age-related immunohistological changes occur in human olfactory epithelium and olfactory bulb.

Applications

Unspecified application

Species

Unspecified reactive species

Mira Fitzek,Parthkumar K Patel,Peter D Solomon,Brian Lin,Thomas Hummel,James E Schwob,Eric H Holbrook

Clinical immunology (Orlando, Fla.) 237:108991 PubMed35364330

2022

Temporal changes in T cell subsets and expansion of cytotoxic CD4+ T cells in the lungs in severe COVID-19.

Applications

Unspecified application

Species

Unspecified reactive species

Naoki Kaneko,Julie Boucau,Hsiao-Hsuan Kuo,Cory Perugino,Vinay S Mahajan,Jocelyn R Farmer,Hang Liu,Thomas J Diefenbach,Alicja Piechocka-Trocha,Kristina Lefteri,Michael T Waring,Katherine R Premo,Bruce D Walker,Jonathan Z Li,Gaurav Gaiha,Xu G Yu,Mathias Lichterfeld,Robert F Padera,Shiv Pillai

Cell death & disease 13:160 PubMed35181676

2022

HOXA-AS2 contributes to regulatory T cell proliferation and immune tolerance in glioma through the miR-302a/KDM2A/JAG1 axis.

Applications

Unspecified application

Species

Unspecified reactive species

Chuanhong Zhong,Bei Tao,Xianglong Li,Wei Xiang,Lilei Peng,Tangming Peng,Ligang Chen,Xiangguo Xia,Jian You,Xiaobo Yang

Cell reports. Medicine 3:100525 PubMed35243422

2022

An omic and multidimensional spatial atlas from serial biopsies of an evolving metastatic breast cancer.

Applications

Unspecified application

Species

Unspecified reactive species

Brett E Johnson,Allison L Creason,Jayne M Stommel,Jamie M Keck,Swapnil Parmar,Courtney B Betts,Aurora Blucher,Christopher Boniface,Elmar Bucher,Erik Burlingame,Todd Camp,Koei Chin,Jennifer Eng,Joseph Estabrook,Heidi S Feiler,Michael B Heskett,Zhi Hu,Annette Kolodzie,Ben L Kong,Marilyne Labrie,Jinho Lee,Patrick Leyshock,Souraya Mitri,Janice Patterson,Jessica L Riesterer,Shamilene Sivagnanam,Julia Somers,Damir Sudar,Guillaume Thibault,Benjamin R Weeder,Christina Zheng,Xiaolin Nan,Reid F Thompson,Laura M Heiser,Paul T Spellman,George Thomas,Emek Demir,Young Hwan Chang,Lisa M Coussens,Alexander R Guimaraes,Christopher Corless,Jeremy Goecks,Raymond Bergan,Zahi Mitri,Gordon B Mills,Joe W Gray

Frontiers in immunology 12:782106 PubMed34868057

2021

Avoiding Absolute Quantification Trap: A Novel Predictive Signature of Clinical Benefit to Anti-PD-1 Immunotherapy in Non-Small Cell Lung Cancer.

Applications

Unspecified application

Species

Unspecified reactive species

Chengming Liu,Sihui Wang,Sufei Zheng,Fei Xu,Zheng Cao,Xiaoli Feng,Yan Wang,Qi Xue,Nan Sun,Jie He
View all publications

Product promise

We are committed to supporting your work with high-quality reagents, and we're here for you every step of the way. In the unlikely event that one of our products does not perform as expected, you're protected by our Product Promise.
For full details, please see our Terms & Conditions

Please note: All products are 'FOR RESEARCH USE ONLY. NOT FOR USE IN DIAGNOSTIC OR THERAPEUTIC PROCEDURES'.

For licensing inquiries, please contact partnerships@abcam.com