JavaScript is disabled in your browser. Please enable JavaScript to view this website.
AB227115

Anti-T-bet / Tbx21 antibody [EPR9301] - BSA and Azide free

Be the first to review this product! Submit a review

|

(1 Publication)

Rabbit Recombinant Monoclonal T-bet / Tbx21 antibody. Carrier free. Suitable for IHC-P and reacts with Human samples. Cited in 1 publication.

View Alternative Names

TBET, TBLYM, TBX21, T-box transcription factor TBX21, T-box protein 21, T-cell-specific T-box transcription factor T-bet, Transcription factor TBLYM

6 Images
Immunohistochemistry (Formalin/PFA-fixed paraffin-embedded sections) - Anti-T-bet / Tbx21 antibody [EPR9301] - BSA and Azide free (AB227115)
  • IHC-P

Lab

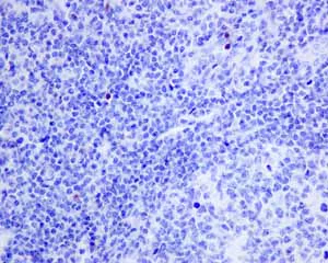
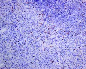
Immunohistochemistry (Formalin/PFA-fixed paraffin-embedded sections) - Anti-T-bet / Tbx21 antibody [EPR9301] - BSA and Azide free (AB227115)

Immunohistochemistry (Formalin/PFA-fixed paraffin-embedded sections) analysis of human Hodgkin lymphoma tissue sections labeling T-bet/Tbx21 with Purified ab150440 at 1 : 1000 dilution (1.23 μg/ml). Heat mediated antigen retrieval was performed using EDTA Buffer, pH9.0. Tissue was counterstained with Hematoxylin. ImmunoHistoProbe one step HRP Polymer (ready to use) secondary antibody was used at 1 : 0 dilution. PBS instead of the primary antibody was used as the negative control.

This data was developed using the same antibody clone in a different buffer formulation containing PBS, BSA, glycerol, and sodium azide (ab150440).

Immunohistochemistry (Formalin/PFA-fixed paraffin-embedded sections) - Anti-T-bet / Tbx21 antibody [EPR9301] - BSA and Azide free (AB227115)
  • IHC-P

Unknown

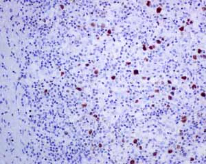
Immunohistochemistry (Formalin/PFA-fixed paraffin-embedded sections) - Anti-T-bet / Tbx21 antibody [EPR9301] - BSA and Azide free (AB227115)

Immunohistochemical analysis of paraffin embedded Human Hodgkin's lymphoma tissue using unpurified ab150440 showing +ve staining.

This data was developed using the same antibody clone in a different buffer formulation containing PBS, BSA, glycerol, and sodium azide (ab150440).

Heat mediated antigen retrieval was performed with citrate buffer pH 6 before commencing with IHC staining protocol.

Immunohistochemistry (Formalin/PFA-fixed paraffin-embedded sections) - Anti-T-bet / Tbx21 antibody [EPR9301] - BSA and Azide free (AB227115)
  • IHC-P

Unknown

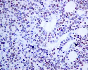
Immunohistochemistry (Formalin/PFA-fixed paraffin-embedded sections) - Anti-T-bet / Tbx21 antibody [EPR9301] - BSA and Azide free (AB227115)

Immunohistochemical analysis of paraffin embedded Human T cell lymphoma tissue using unpurified ab150440 showing +ve staining.

This data was developed using the same antibody clone in a different buffer formulation containing PBS, BSA, glycerol, and sodium azide (ab150440).

Heat mediated antigen retrieval was performed with citrate buffer pH 6 before commencing with IHC staining protocol.

Immunohistochemistry (Formalin/PFA-fixed paraffin-embedded sections) - Anti-T-bet / Tbx21 antibody [EPR9301] - BSA and Azide free (AB227115)
  • IHC-P

Unknown

Immunohistochemistry (Formalin/PFA-fixed paraffin-embedded sections) - Anti-T-bet / Tbx21 antibody [EPR9301] - BSA and Azide free (AB227115)

Immunohistochemical analysis of paraffin embedded Human Normal spleen tissue using unpurified ab150440 showing +ve staining.

This data was developed using the same antibody clone in a different buffer formulation containing PBS, BSA, glycerol, and sodium azide (ab150440).

Heat mediated antigen retrieval was performed with citrate buffer pH 6 before commencing with IHC staining protocol.

Immunohistochemistry (Formalin/PFA-fixed paraffin-embedded sections) - Anti-T-bet / Tbx21 antibody [EPR9301] - BSA and Azide free (AB227115)
  • IHC-P

Unknown

Immunohistochemistry (Formalin/PFA-fixed paraffin-embedded sections) - Anti-T-bet / Tbx21 antibody [EPR9301] - BSA and Azide free (AB227115)

Immunohistochemical analysis of paraffin embedded normal Human tonsil tissue using unpurified ab150440 showing -ve staining.

This data was developed using the same antibody clone in a different buffer formulation containing PBS, BSA, glycerol, and sodium azide (ab150440).

Heat mediated antigen retrieval was performed with citrate buffer pH 6 before commencing with IHC staining protocol.

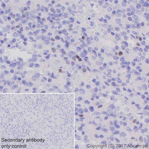
Immunohistochemistry (Formalin/PFA-fixed paraffin-embedded sections) - Anti-T-bet / Tbx21 antibody [EPR9301] - BSA and Azide free (AB227115)
  • IHC-P

Unknown

Immunohistochemistry (Formalin/PFA-fixed paraffin-embedded sections) - Anti-T-bet / Tbx21 antibody [EPR9301] - BSA and Azide free (AB227115)

This IHC data was generated using the same anti-T-bet antibody clone, EPR9301, in a different buffer formulation (cat# ab150440).

Immunohistochemical analysis of formalin-fixed, paraffin-embedded Human T cell lymphoma tissue labelling T-bet / Tbx21 with unpurified ab150440 at 1/250 dilution.

Heat mediated antigen retrieval was performed with citrate buffer pH 6 before commencing with IHC staining protocol.

  • Unconjugated

    Anti-T-bet / Tbx21 antibody [EPR9301]

  • 519 Alexa Fluor® 488

    Alexa Fluor® 488 Anti-T-bet / Tbx21 antibody [EPR9301]

  • 665 Alexa Fluor® 647

    Alexa Fluor® 647 Anti-T-bet / Tbx21 antibody [EPR9301]

  • 565 Alexa Fluor® 555

    Alexa Fluor® 555 Anti-T-bet / Tbx21 antibody [EPR9301]

  • 617 Alexa Fluor® 594

    Alexa Fluor® 594 Anti-T-bet / Tbx21 antibody [EPR9301]

  • 660 APC

    APC Anti-T-bet / Tbx21 antibody [EPR9301]

  • 578 PE

    PE Anti-T-bet / Tbx21 antibody [EPR9301]

  • 775 Alexa Fluor® 750

    Alexa Fluor® 750 Anti-T-bet / Tbx21 antibody [EPR9301]

Key facts

Host species

Rabbit

Clonality

Monoclonal

Clone number

EPR9301

Isotype

IgG

Carrier free

Yes

Reacts with

Human

Applications

IHC-P

applications

Immunogen

The exact immunogen used to generate this antibody is proprietary information.

Reactivity data

{ "title": "Reactivity Data", "filters": { "stats": ["", "Species", "Dilution Info", "Notes"], "tabs": { "all-applications": {"fullname" : "All Applications", "shortname": "All Applications"}, "FlowCytIntra" : {"fullname" : "Flow Cytometry (Intracellular)", "shortname":"Flow Cyt (Intra)"}, "WB" : {"fullname" : "Western blot", "shortname":"WB"}, "IHCP" : {"fullname" : "Immunohistochemistry (Formalin/PFA-fixed paraffin-embedded sections)", "shortname":"IHC-P"} }, "product-promise": { "all": "all", "testedAndGuaranteed": "tested", "guaranteed": "expected", "predicted": "predicted", "notRecommended": "not-recommended" } }, "values": { "Human": { "FlowCytIntra-species-checked": "notRecommended", "FlowCytIntra-species-dilution-info": "", "FlowCytIntra-species-notes": "<p></p>", "WB-species-checked": "notRecommended", "WB-species-dilution-info": "", "WB-species-notes": "<p></p>", "IHCP-species-checked": "testedAndGuaranteed", "IHCP-species-dilution-info": "", "IHCP-species-notes": "<p></p> Perform heat-mediated antigen retrieval with citrate buffer pH 6 before commencing with IHC staining protocol." }, "Mouse": { "FlowCytIntra-species-checked": "notRecommended", "FlowCytIntra-species-dilution-info": "", "FlowCytIntra-species-notes": "<p></p>", "WB-species-checked": "notRecommended", "WB-species-dilution-info": "", "WB-species-notes": "<p></p>", "IHCP-species-checked": "notRecommended", "IHCP-species-dilution-info": "", "IHCP-species-notes": "<p></p> Perform heat-mediated antigen retrieval with citrate buffer pH 6 before commencing with IHC staining protocol." } } }

Product details

ab227115 is the carrier-free version of ab150440.

Conjugation ready
Our carrier-free antibodies are typically supplied in a PBS-only formulation, purified and free of BSA, sodium azide and glycerol. This conjugation-ready format is designed for use with fluorochromes, metal isotopes, oligonucleotides, and enzymes, which makes them ideal for antibody labelling, functional and cell-based assays, flow-based assays (e.g. mass cytometry) and Multiplex Imaging applications.

Use our conjugation kits for antibody conjugates that are ready-to-use in as little as 20 minutes with 1 minute hands-on-time and 100% antibody recovery: available for fluorescent dyes, HRP, biotin and gold.

Compatibility
This product is compatible with the Maxpar® Antibody Labeling Kit from Fluidigm, without the need for antibody preparation. Maxpar® is a trademark of Fluidigm Canada Inc.

Properties and storage information

Form
Liquid
Purification technique
Affinity purification Protein A
Storage buffer
pH: 7.2 - 7.4 Constituents: PBS
Shipped at conditions
Blue Ice
Appropriate short-term storage conditions
+4°C
Appropriate long-term storage conditions
+4°C
Storage information
Do Not Freeze

Supplementary information

This supplementary information is collated from multiple sources and compiled automatically.

T-bet also known as Tbx21 is a T-box transcription factor that plays an important role in regulating immune responses. T-bet has a molecular mass of approximately 58 kDa. It is extensively expressed in T-helper 1 (Th1) cells and natural killer (NK) cells facilitating these cells' development and function. T-bet guides the transcriptional activities necessary for cellular differentiation and immune response by binding to specific DNA sequences. Its expression is tightly controlled reflecting its central role in immune regulation. "9d bet" is also referenced in scientific research although its specific context requires precise understanding within a given study.
Biological function summary

This transcription factor is pivotal for manufacturing interferon-gamma (IFN-γ) initiating and sustaining Th1 cell immunity. T-bet doesn't act alone; it functions as part of larger protein complexes interacting with other transcription factors and cofactors to exert its effects. The capacity to influence IFN-γ production makes T-bet a significant player in immune responses helping coordinate responses against intracellular pathogens. Moreover the expression of T-bet is not limited solely to T cells but also impacts other immune cells like CD8+ T cells and B cells. Anti-bet or anti-T antibodies frequently target T-bet in research to explore immune system intricacies better.

Pathways

T-bet integrates into the immune signaling network through pathways such as the JAK-STAT pathway and the Th1 differentiation pathway. It activates transcription of the IFNG gene working closely with related proteins like STAT4. T-bet's influence extends as it cooperates with STAT1 enabling a feed-forward loop that amplifies and stabilizes Th1 responses. "Bet t products" could refer to those derived from such transcriptional activation. Additionally T-bet involvement goes beyond transcriptional regulation affecting cytokine transport and secretion processes vital for an effective immune response.

Researchers have linked T-bet to autoimmune diseases and infectious diseases. Aberrant expression of T-bet can lead to enhanced Th1 responses intensifying autoimmune conditions such as multiple sclerosis (MS). Its role in diseases connects it with NF-κB pathways and other transcription factors influencing inflammatory processes. Furthermore "anti bet" studies often involve understanding T-bet's role in infectious diseases seeking to manipulate its function to adjust immune responses in chronic infections. Studies targeting its pathways or interactions with disease-specific proteins aim to develop therapeutic strategies turning an element of dysregulation into a novel treatment approach.

Product protocols

For this product, it's our understanding that no specific protocols are required. You can visit:

Target data

Lineage-defining transcription factor which initiates Th1 lineage development from naive Th precursor cells both by activating Th1 genetic programs and by repressing the opposing Th2 and Th17 genetic programs (PubMed : 10761931). Activates transcription of a set of genes important for Th1 cell function, including those encoding IFN-gamma and the chemokine receptor CXCR3. Induces permissive chromatin accessibilty and CpG methylation in IFNG (PubMed : 33296702). Activates IFNG and CXCR3 genes in part by recruiting chromatin remodeling complexes including KDM6B, a SMARCA4-containing SWI/SNF-complex, and an H3K4me2-methyltransferase complex to their promoters and all of these complexes serve to establish a more permissive chromatin state conducive with transcriptional activation (By similarity). Can activate Th1 genes also via recruitment of Mediator complex and P-TEFb (composed of CDK9 and CCNT1/cyclin-T1) in the form of the super elongation complex (SEC) to super-enhancers and associated genes in activated Th1 cells (PubMed : 27292648). Inhibits the Th17 cell lineage commitment by blocking RUNX1-mediated transactivation of Th17 cell-specific transcriptinal regulator RORC. Inhibits the Th2 cell lineage commitment by suppressing the production of Th2 cytokines, such as IL-4, IL-5, and IL- 13, via repression of transcriptional regulators GATA3 and NFATC2. Protects Th1 cells from amplifying aberrant type-I IFN response in an IFN-gamma abundant microenvironment by acting as a repressor of type-I IFN transcription factors and type-I IFN-stimulated genes. Acts as a regulator of antiviral B-cell responses; controls chronic viral infection by promoting the antiviral antibody IgG2a isotype switching and via regulation of a broad antiviral gene expression program (By similarity). Required for the correct development of natural killer (NK) and mucosal-associated invariant T (MAIT) cells (PubMed : 33296702).
See full target information TBX21

Publications (1)

Recent publications for all applications. Explore the full list and refine your search

Annals of the rheumatic diseases 76:261-269 PubMed27125523

2016

Genetic association of ankylosing spondylitis with TBX21 influences T-bet and pro-inflammatory cytokine expression in humans and SKG mice as a model of spondyloarthritis.

Applications

IHC

Species

Human

Max C Lau,Patricia Keith,Mary-Ellen Costello,Linda A Bradbury,Kelly A Hollis,Ranjeny Thomas,Gethin P Thomas,Matthew A Brown,Tony J Kenna
View all publications

Product promise

We are committed to supporting your work with high-quality reagents, and we're here for you every step of the way. In the unlikely event that one of our products does not perform as expected, you're protected by our Product Promise.
For full details, please see our Terms & Conditions

Please note: All products are 'FOR RESEARCH USE ONLY. NOT FOR USE IN DIAGNOSTIC OR THERAPEUTIC PROCEDURES'.

For licensing inquiries, please contact partnerships@abcam.com