JavaScript is disabled in your browser. Please enable JavaScript to view this website.
AB269488

Anti-T2A + P2A antibody [3H4]

Be the first to review this product! Submit a review

|

(0 Publication)

Anti-T2A + P2A antibody [3H4] (ab269488) is a mouse monoclonal antibody detecting T2A + P2A in Western Blot, ICC/IF, Dot Blot.
5 Images
Immunocytochemistry/ Immunofluorescence - Anti-T2A + P2A antibody [3H4] (AB269488)
  • ICC/IF

Supplier Data

Immunocytochemistry/ Immunofluorescence - Anti-T2A + P2A antibody [3H4] (AB269488)

Immunofluorescent analysis of 4% Paraformaldehyde-fixed, 0.1% TritonX-100 permeabilized 293T cells labelling T2A + P2A with ab269488 at 1/100 (9.29 ug/ml) dilution, followed by ab150119 Goat Anti-Mouse IgG H&L (Alexa Fluor® 647) preadsorbed (ab150119) antibody at 1/1000 2 ug/ml dilution (Green). Confocal image showing cytoplasmic and nuclear staining in HEK-293T cells transfected with a P2A expression vector containing a GFP tag is observed. The Nuclear counterstain was DAPI (Blue). Secondary antibody only control : Secondary antibody is ab150119 Goat Anti-Mouse IgG H&L (Alexa Fluor® 647) preadsorbed (ab150119) at 1/1000 2 ug/ml dilution.

Immunocytochemistry/ Immunofluorescence - Anti-T2A + P2A antibody [3H4] (AB269488)
  • ICC/IF

Supplier Data

Immunocytochemistry/ Immunofluorescence - Anti-T2A + P2A antibody [3H4] (AB269488)

Immunofluorescent analysis of 4% Paraformaldehyde-fixed, 0.1% TritonX-100 permeabilized 293T cells labelling T2A + P2A with ab269488 at 1/100 (9.29 ug/ml) dilution, followed by ab150119 Goat Anti-Mouse IgG H&L (Alexa Fluor® 647) preadsorbed (ab150119) antibody at 1/1000 2 ug/ml dilution (Green). Confocal image showing cytoplasmic and nuclear staining in HEK-293T cells transfected with a T2A expression vector containing a GFP tag is observed. The Nuclear counterstain was DAPI (Blue). Secondary antibody only control : Secondary antibody is ab150119 Goat Anti-Mouse IgG H&L (Alexa Fluor® 647) preadsorbed (ab150119) at 1/1000 2 ug/ml dilution.

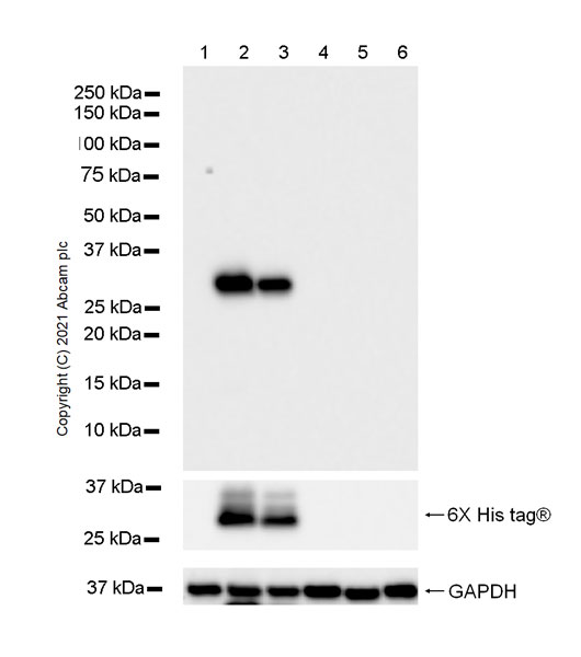
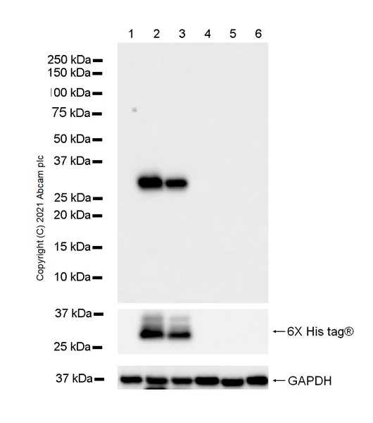
Western blot - Anti-T2A + P2A antibody [3H4] (AB269488)
  • WB

Supplier Data

Western blot - Anti-T2A + P2A antibody [3H4] (AB269488)

All lanes:

Western blot - Anti-T2A + P2A antibody [3H4] (ab269488) at 1/1000 dilution

Lane 1:

293T( human embryonic kidney epithelial cell) transfected with an empty vector (vector control), containing a GFP tag and myc-His-tag®, whole cell lysate at 10 µg

Lane 2:

293T transfected with T2A expression vector containing a GFP tag and myc-His-tag®, whole cell lysate at 10 µg

Lane 3:

293T transfected with P2A expression vector containing a GFP tag and myc-His-tag®, whole cell lysate at 10 µg

Lane 4:

HeLa (human epithelial cell line from cervix adenocarcinoma), whole cell lysate at 10 µg

Lane 5:

NIH/3T3 (mouse embryonic fibroblast), whole cell lysate at 10 µg

Lane 6:

C6 (rat glial tumor glial cell), whole cell lysate at 10 µg

Secondary

All lanes:

Peroxidase-Conjugated Goat anti-Mouse IgG (H+L) at 1/5000 dilution

false

Exposure time: 10s

Dot Blot - Anti-T2A + P2A antibody [3H4] (AB269488)
  • Dot

Lab

Dot Blot - Anti-T2A + P2A antibody [3H4] (AB269488)

Dot blot analysis of T2A + P2A using ab269488 at 1 : 1000 (0.9292 μg/mL), followed by a Peroxidase-Conjugated Goat anti-Mouse IgG (H+L) at 1 : 10,000 dilution.

This antibody cross-reacts with both E2A and F2A.

All lanes:

Dot Blot - Anti-T2A + P2A antibody [3H4] (ab269488) at 1/1000 dilution

Lane 1:

F2A peptide

Lane 2:

P2A peptide

Secondary

All lanes:

Peroxidase-Conjugated Goat anti-Mouse IgG (H+L)  at 1/10000 dilution

false

Exposure time: 3min

Dot Blot - Anti-T2A + P2A antibody [3H4] (AB269488)
  • Dot

Lab

Dot Blot - Anti-T2A + P2A antibody [3H4] (AB269488)

Dot blot analysis of T2A + P2A using ab269488 at 1/1000 (0.9292 μg/mL), followed by a Peroxidase-Conjugated Goat anti-Mouse IgG (H+L) at 1/10,000 dilution.

This antibody cross-reacts with both E2A and F2A.

All lanes:

Dot Blot - Anti-T2A + P2A antibody [3H4] (ab269488) at 1/1000 dilution

Lane 1:

E2A peptide

Lane 2:

T2A peptide

Secondary

All lanes:

Peroxidase-Conjugated Goat anti-Mouse IgG (H+L) at 1/10000 dilution

false

Exposure time: 3min

  • Carrier free

    Anti-T2A + P2A antibody [3H4] - BSA and Azide free

Key facts

Host species

Mouse

Clonality

Monoclonal

Clone number

3H4

Isotype

IgG

Carrier free

No

Applications

Dot, WB, ICC/IF

applications

Reactivity data

{ "title": "Reactivity Data", "filters": { "stats": ["", "Species", "Dilution Info", "Notes"], "tabs": { "all-applications": {"fullname" : "All Applications", "shortname": "All Applications"}, "IP" : {"fullname" : "Immunoprecipitation", "shortname":"IP"}, "WB" : {"fullname" : "Western blot", "shortname":"WB"}, "Dot" : {"fullname" : "Dot Blot", "shortname":"Dot"}, "ICCIF" : {"fullname" : "Immunocytochemistry/ Immunofluorescence", "shortname":"ICC/IF"} }, "product-promise": { "all": "all", "testedAndGuaranteed": "tested", "guaranteed": "expected", "predicted": "predicted", "notRecommended": "not-recommended" } }, "values": { "Synthetic peptide": { "IP-species-checked": "notRecommended", "IP-species-dilution-info": "", "IP-species-notes": "<p></p>", "WB-species-checked": "testedAndGuaranteed", "WB-species-dilution-info": "1/1000", "WB-species-notes": "<p></p>", "Dot-species-checked": "testedAndGuaranteed", "Dot-species-dilution-info": "1/1000", "Dot-species-notes": "<p></p>", "ICCIF-species-checked": "testedAndGuaranteed", "ICCIF-species-dilution-info": "1/100", "ICCIF-species-notes": "<p></p>" } } }

Product details

What is this antibody validated in?
Anti-T2A + P2A antibody [3H4] (ab269488) is a mouse recombinant monoclonal antibody and is validated for use in Western Blot (WB), Immunocytochemistry/immunofluorescence (ICC/IF), Dot Blot. Other related products
We have a range of other formats of antibody clone [3H4] also available for your convenience: ab269488, Carrier free - ab269492

Want a custom formulation?
This antibody clone is manufactured by Abcam. If you require a custom buffer formulation or conjugation for your experiments, please contact orders@abcam.com

What are the advantages of a recombinant monoclonal antibody?
This product is a recombinant monoclonal antibody, which offers several advantages including:

  • - High batch-to-batch consistency and reproducibility
  • - Improved sensitivity and specificity
  • - Long-term security of supply
  • - Animal-free batch production

For more information, read more on recombinant antibodies.

Properties and storage information

Form
Liquid
Purification technique
Affinity purification Protein A
Storage buffer
pH: 7.2 - 7.4 Preservative: 0.01% Sodium azide Constituents: PBS, 40% Glycerol (glycerin, glycerine), 0.05% BSA
Shipped at conditions
Blue Ice
Appropriate short-term storage duration
1-2 weeks
Appropriate short-term storage conditions
+4°C
Appropriate long-term storage conditions
-20°C
Aliquoting information
Upon delivery aliquot
Storage information
Avoid freeze / thaw cycle

Supplementary information

This supplementary information is collated from multiple sources and compiled automatically.

The T2A and P2A sequences commonly referred to as 2A peptides function as self-cleaving peptides that facilitate the expression of multiple proteins from a single gene construct. These peptides act as short sequences of amino acids that cause ribosomal skipping during translation resulting in discrete protein products. T2A and P2A are used as linker sequences and their use is often interchangeable in molecular biology techniques for polycistronic expression systems. The T2A peptide is derived from the Thosea asigna virus while P2A originates from the Porcine teschovirus-1. These sequences are small with a mass typically around 2 kDa and they are primarily expressed where polycistronic vectors are utilized such as in transgenic organisms or recombinant protein production systems.
Biological function summary

T2A and P2A peptides play a significant role in the facilitation of protein co-expression in a variety of organisms. They do not form part of any multi-protein complex but enable independent expression of protein components from within a single vector by cleaving themselves during protein translation. This ability is especially beneficial for engineering purposes where researchers require stable gene expression and production of multiple proteins simultaneously without the complication of internal ribosomal entry sites (IRES) or additional subunits.

Pathways

T2A and P2A peptides do not directly belong to classical biological pathways as they do not exist as conventional proteins. Instead they influence pathways facilitated by the proteins they help express. These peptides are employed in reverse engineering cellular pathways where simultaneous gene expression is desired such as the Wnt signaling pathway or apoptosis regulation. Both pathways involve key proteins that can be expressed using T2A and P2A sequences allowing researchers to construct and study artificial biological systems with enhanced control.

T2A and P2A peptides find significance in the study and therapeutic targeting of conditions like cancer and neurodegenerative diseases. In cancer research for instance these peptides enable the co-expression of oncogenes and tumor suppressors helping to elucidate their roles in tumorigenesis. Neurodegenerative disorders such as Parkinson's disease also benefit from their application as T2A and P2A sequences allow for the expression of multiple therapeutic proteins including growth factors like GDNF offering insights into potential combinatorial treatments. By facilitating multi-gene expression these peptides are integral to advancing understanding and therapeutic developments in complex diseases.

Product protocols

For this product, it's our understanding that no specific protocols are required. You can visit:

Target data

Product promise

We are committed to supporting your work with high-quality reagents, and we're here for you every step of the way. In the unlikely event that one of our products does not perform as expected, you're protected by our Product Promise.
For full details, please see our Terms & Conditions

Please note: All products are 'FOR RESEARCH USE ONLY. NOT FOR USE IN DIAGNOSTIC OR THERAPEUTIC PROCEDURES'.

For licensing inquiries, please contact partnerships@abcam.com