JavaScript is disabled in your browser. Please enable JavaScript to view this website.
AB151408

Anti-TAB1 antibody

Be the first to review this product! Submit a review

|

(3 Publications)

Rabbit Polyclonal TAB1 antibody. Suitable for IHC-P, WB, ICC/IF and reacts with Human, Mouse samples. Cited in 3 publications. Immunogen corresponding to Recombinant Fragment Protein within Human TAB1 aa 1-300.

View Alternative Names

MAP3K7IP1, TAB1, TGF-beta-activated kinase 1 and MAP3K7-binding protein 1, Mitogen-activated protein kinase kinase kinase 7-interacting protein 1, TGF-beta-activated kinase 1-binding protein 1, TAK1-binding protein 1

5 Images
Immunocytochemistry/ Immunofluorescence - Anti-TAB1 antibody (AB151408)
  • ICC/IF

Unknown

Immunocytochemistry/ Immunofluorescence - Anti-TAB1 antibody (AB151408)

Immunofluorescence analysis of paraformaldehyde-fixed HeLa cells labeling TAB1 with ab151408 at 1/100 dilution.

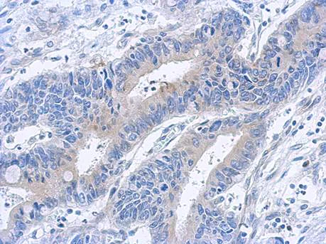
Immunohistochemistry (Formalin/PFA-fixed paraffin-embedded sections) - Anti-TAB1 antibody (AB151408)
  • IHC-P

Unknown

Immunohistochemistry (Formalin/PFA-fixed paraffin-embedded sections) - Anti-TAB1 antibody (AB151408)

Immunohistochemical analysis of paraffin-embedded human colon cancer tissue labeling TAB1 with ab151408 at 1/500 dilution.

Western blot - Anti-TAB1 antibody (AB151408)
  • WB

Lab

Western blot - Anti-TAB1 antibody (AB151408)

False colour image of Western blot : Anti-TAB1 antibody staining at 1/500 dilution, shown in green; Mouse anti-GAPDH antibody [6C5] (ab8245) loading control staining at 1/20000 dilution, shown in red. In Western blot, ab151408 was shown to bind specifically to TAB1. A band was observed at 60 kDa in wild-type HEK-293T cell lysates with no signal observed at this size in TAB1 knockout cell line ab266845 (knockout cell lysate ab258220). To generate this image, wild-type and TAB1 knockout HEK-293T cell lysates were analysed. First, samples were run on an SDS-PAGE gel then transferred onto a nitrocellulose membrane. Membranes were blocked in 3 % milk in TBS-0.1 % Tween® 20 (TBS-T) before incubation with primary antibodies overnight at 4 �C. Blots were washed four times in TBS-T, incubated with secondary antibodies for 1 h at room temperature, washed again four times then imaged.Secondary antibodies used were Goat anti-Rabbit IgG H&L (IRDye® 800CW) preabsorbed (ab216773) and Goat anti-Mouse IgG H&L (IRDye® 680RD) preabsorbed (ab216776) at 1/20000 dilution.

All lanes:

Western blot - Anti-TAB1 antibody (ab151408) at 1/500 dilution

Lane 1:

Wild-type HEK-293T cell lysate at 20 µg

Lane 2:

TAB1 knockout HEK-293T cell lysate at 20 µg

Lane 2:

Western blot - Human TAB1 knockout HEK-293T cell line (<a href='/en-us/products/cell-lines/human-tab1-knockout-hek-293t-cell-line-ab266845'>ab266845</a>)

Lane 3:

U-2 OS cell lysate at 20 µg

Lane 4:

HeLa cell lysate at 20 µg

Predicted band size: 55 kDa

Observed band size: 60 kDa

false

Western blot - Anti-TAB1 antibody (AB151408)
  • WB

Unknown

Western blot - Anti-TAB1 antibody (AB151408)

10% SDS-PAGE

All lanes:

Western blot - Anti-TAB1 antibody (ab151408) at 1/1000 dilution

Lane 1:

293T whole cell lysate/extract at 30 µg

Lane 2:

A431 whole cell lysate/extract at 30 µg

Lane 3:

HeLa whole cell lysate/extract at 30 µg

Lane 4:

A375 whole cell lysate/extract at 30 µg

Predicted band size: 55 kDa

false

Western blot - Anti-TAB1 antibody (AB151408)
  • WB

Unknown

Western blot - Anti-TAB1 antibody (AB151408)

10% SDS-PAGE

All lanes:

Western blot - Anti-TAB1 antibody (ab151408) at 1/1000 dilution

Lane 1:

GL261 whole cell lysate/extract at 30 µg

Lane 2:

C8D30 whole cell lysate/extract at 30 µg

Predicted band size: 55 kDa

false

Key facts

Host species

Rabbit

Clonality

Polyclonal

Isotype

IgG

Carrier free

No

Reacts with

Mouse, Human

Applications

WB, ICC/IF, IHC-P

applications

Immunogen

Recombinant Fragment Protein within Human TAB1 aa 1-300. The exact immunogen used to generate this antibody is proprietary information.

Q15750

Reactivity data

{ "title": "Reactivity Data", "filters": { "stats": ["", "Species", "Dilution Info", "Notes"], "tabs": { "all-applications": {"fullname" : "All Applications", "shortname": "All Applications"}, "IHCP" : {"fullname" : "Immunohistochemistry (Formalin/PFA-fixed paraffin-embedded sections)", "shortname":"IHC-P"}, "WB" : {"fullname" : "Western blot", "shortname":"WB"}, "ICCIF" : {"fullname" : "Immunocytochemistry/ Immunofluorescence", "shortname":"ICC/IF"} }, "product-promise": { "all": "all", "testedAndGuaranteed": "tested", "guaranteed": "expected", "predicted": "predicted", "notRecommended": "not-recommended" } }, "values": { "Human": { "IHCP-species-checked": "testedAndGuaranteed", "IHCP-species-dilution-info": "1/100 - 1/1000", "IHCP-species-notes": "<p></p> Perform heat-mediated antigen retrieval with citrate buffer pH 6 before commencing with IHC staining protocol.", "WB-species-checked": "testedAndGuaranteed", "WB-species-dilution-info": "1/500 - 1/3000", "WB-species-notes": "<p></p>", "ICCIF-species-checked": "testedAndGuaranteed", "ICCIF-species-dilution-info": "1/100 - 1/1000", "ICCIF-species-notes": "<p></p>" }, "Mouse": { "IHCP-species-checked": "guaranteed", "IHCP-species-dilution-info": "", "IHCP-species-notes": "", "WB-species-checked": "testedAndGuaranteed", "WB-species-dilution-info": "1/500 - 1/3000", "WB-species-notes": "<p></p>", "ICCIF-species-checked": "guaranteed", "ICCIF-species-dilution-info": "", "ICCIF-species-notes": "" } } }

Properties and storage information

Form
Liquid
Purification technique
Affinity purification Immunogen
Storage buffer
pH: 7 Preservative: 0.01% Thimerosal (merthiolate) Constituents: 10% Glycerol (glycerin, glycerine), 1.21% Tris, 0.75% Glycine
Shipped at conditions
Blue Ice
Appropriate short-term storage conditions
+4°C
Appropriate long-term storage conditions
-20°C
Aliquoting information
Upon delivery aliquot
Storage information
Avoid freeze / thaw cycle

Supplementary information

This supplementary information is collated from multiple sources and compiled automatically.

TAB1 also known as TGF-beta-activated kinase 1 binding protein 1 is a protein involved in signal transduction processes. It has a mass of approximately 68 kDa. TAB1 is expressed in various human tissues with notable presence in immune cells such as macrophages and lymphocytes. Mechanically TAB1 acts as a regulatory molecule that binds to and activates TAK1 an important kinase involved in several signaling cascades. This interaction facilitates the phosphorylation events necessary for downstream signal propagation.
Biological function summary

TAB1 functions as a scaffold protein assisting in the assembly of signaling complexes. This protein is part of the TAK1 complex which also includes TAB2 and TAB3. The formation of this complex is essential for activating multiple intracellular signaling pathways. Through its role in the TAK1 complex TAB1 contributes to cellular responses to environmental cues including inflammation apoptosis and immune responses. Its activity influences transcription factor activation and is pivotal in orchestrating cellular adaptation to changes.

Pathways

TAB1 is essential in both the NF-kB and MAPK signaling pathways. Maintaining proper function in these pathways is important for inflammatory responses and stress-related signal transduction. TAB1 helps bridge the activation of TAK1 to the downstream signaling required for NF-kB pathway activation. Additionally in the MAPK pathway TAB1 influences the activation of proteins such as MKKs which further regulate cellular stress responses and developmental processes.

TAB1 plays a role in inflammatory diseases and cancer. Dysregulation of TAB1 activity can result in chronic inflammation contributing to conditions like rheumatoid arthritis. In cancer altered TAB1 expression or function can lead to unchecked cell growth and survival. TAB1 connects to other proteins such as TAK1 in these diseases as it modulates signaling pathways that determine cellular fate. Understanding TAB1's involvement in these disorders opens potential therapeutic avenues targeting its interactions and function.

Product protocols

For this product, it's our understanding that no specific protocols are required. You can visit:

Target data

Key adapter protein that plays an essential role in JNK and NF-kappa-B activation and proinflammatory cytokines production in response to stimulation with TLRs and cytokines (PubMed : 22307082, PubMed : 24403530). Mechanistically, associates with the catalytic domain of MAP3K7/TAK1 to trigger MAP3K7/TAK1 autophosphorylation leading to its full activation (PubMed : 10838074, PubMed : 25260751, PubMed : 37832545). Similarly, associates with MAPK14 and triggers its autophosphorylation and subsequent activation (PubMed : 11847341, PubMed : 29229647). In turn, MAPK14 phosphorylates TAB1 and inhibits MAP3K7/TAK1 activation in a feedback control mechanism (PubMed : 14592977). Plays also a role in recruiting MAPK14 to the TAK1 complex for the phosphorylation of the TAB2 and TAB3 regulatory subunits (PubMed : 18021073).
See full target information TAB1

Publications (3)

Recent publications for all applications. Explore the full list and refine your search

iScience 28:112974 PubMed40687831

2025

Mutation T9I in Envelope confers autophagy resistance to SARS-CoV-2 Omicron.

Applications

Unspecified application

Species

Unspecified reactive species

Susanne Klute,Rayhane Nchioua,Arne Cordsmeier,Jyoti Vishwakarma,Lennart Koepke,Hala Alshammary,Christoph Jung,Maximilian Hirschenberger,Helene Hoenigsperger,Jana-Romana Fischer,Rinu Sivarajan,Fabian Zech,Steffen Stenger,Ruth Serra-Moreno,Ana Silvia Gonzalez-Reiche,Emilia Mia Sordillo,Harm van Bakel,Viviana Simon,Frank Kirchhoff,Timo Jacob,Dorota Kmiec,Andreas Pichlmair,Armin Ensser,Konstantin Maria Johannes Sparrer

The Biochemical journal 479:1891-1907 PubMed36062803

2022

TAK1 protein kinase activity is required for TLR signalling and cytokine production in myeloid cells.

Applications

Unspecified application

Species

Unspecified reactive species

Melissa Rodrigues,Tsvetana Petrova,Brendan Tibbs,J Simon C Arthur,Philip Cohen

The Biochemical journal 474:2235-2248 PubMed28507161

2017

Interleukin-1 and TRAF6-dependent activation of TAK1 in the absence of TAB2 and TAB3.

Applications

Unspecified application

Species

Unspecified reactive species

Jiazhen Zhang,Thomas Macartney,Mark Peggie,Philip Cohen
View all publications

Product promise

We are committed to supporting your work with high-quality reagents, and we're here for you every step of the way. In the unlikely event that one of our products does not perform as expected, you're protected by our Product Promise.
For full details, please see our Terms & Conditions

Please note: All products are 'FOR RESEARCH USE ONLY. NOT FOR USE IN DIAGNOSTIC OR THERAPEUTIC PROCEDURES'.

For licensing inquiries, please contact partnerships@abcam.com