JavaScript is disabled in your browser. Please enable JavaScript to view this website.
AB245587

Anti-TAB1 antibody

Be the first to review this product! Submit a review

|

(1 Publication)

Rabbit Polyclonal TAB1 antibody. Suitable for IP, WB and reacts with Human samples. Cited in 1 publication. Immunogen corresponding to Synthetic Peptide within Human TAB1 aa 450 to C-terminus.

View Alternative Names

MAP3K7IP1, TAB1, TGF-beta-activated kinase 1 and MAP3K7-binding protein 1, Mitogen-activated protein kinase kinase kinase 7-interacting protein 1, TGF-beta-activated kinase 1-binding protein 1, TAK1-binding protein 1

2 Images
Immunoprecipitation - Anti-TAB1 antibody (AB245587)
  • IP

Supplier Data

Immunoprecipitation - Anti-TAB1 antibody (AB245587)

TAB1 was immunoprecipitated from HeLa (Human epithelial cell line from cervix adenocarcinoma) whole cell lysate (1 mg per IP reaction; 20% of IP loaded).

ab245587 used for IP at 3 μg/mg lysate. For WB 1 μg/ml.

Lane 1 : ab245587 IP in HeLa whole cell lysate.
Lane 2 : Control IgG in HeLa whole cell lysate.

Chemiluminescence detection : 30 seconds.

All lanes:

Immunoprecipitation - Anti-TAB1 antibody (ab245587)

Predicted band size: 55 kDa

false

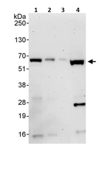
Western blot - Anti-TAB1 antibody (AB245587)
  • WB

Unknown

Western blot - Anti-TAB1 antibody (AB245587)

All lanes:

Western blot - Anti-TAB1 antibody (ab245587) at 0.1 µg/mL

Lane 1:

HeLa (Human epithelial cell line from cervix adenocarcinoma) whole cell lysate at 50 µg

Lane 2:

HeLa whole cell lysate at 15 µg

Lane 3:

HeLa whole cell lysate at 5 µg

Lane 4:

HEK-293T (Human epithelial cell line from embryonic kidney transformed with large T antigen) whole cell lysate at 50 µg

Predicted band size: 55 kDa

false

Exposure time: 3min

Key facts

Host species

Rabbit

Clonality

Polyclonal

Isotype

IgG

Carrier free

No

Reacts with

Human

Applications

WB, IP

applications

Immunogen

Synthetic Peptide within Human TAB1 aa 450 to C-terminus. The exact immunogen used to generate this antibody is proprietary information.

Q15750

Reactivity data

{ "title": "Reactivity Data", "filters": { "stats": ["", "Species", "Dilution Info", "Notes"], "tabs": { "all-applications": {"fullname" : "All Applications", "shortname": "All Applications"}, "IP" : {"fullname" : "Immunoprecipitation", "shortname":"IP"}, "WB" : {"fullname" : "Western blot", "shortname":"WB"} }, "product-promise": { "all": "all", "testedAndGuaranteed": "tested", "guaranteed": "expected", "predicted": "predicted", "notRecommended": "not-recommended" } }, "values": { "Human": { "IP-species-checked": "testedAndGuaranteed", "IP-species-dilution-info": "2-5 µg/mg of lysate", "IP-species-notes": "<p></p>", "WB-species-checked": "testedAndGuaranteed", "WB-species-dilution-info": "1/2000 - 1/10000", "WB-species-notes": "<p></p>" } } }

Properties and storage information

Form
Liquid
Purification technique
Affinity purification Immunogen
Purification notes
ab245587 was affinity purified using an epitope specific to TAB1 immobilized on solid support.
Storage buffer
pH: 7 - 8 Preservative: 0.09% Sodium azide Constituents: Tris citrate/phosphate
Shipped at conditions
Blue Ice
Appropriate short-term storage duration
1-2 weeks
Appropriate short-term storage conditions
+4°C
Appropriate long-term storage conditions
-20°C
Aliquoting information
Upon delivery aliquot
Storage information
Avoid freeze / thaw cycle

Supplementary information

This supplementary information is collated from multiple sources and compiled automatically.

TAB1 also known as TGF-beta-activated kinase 1 binding protein 1 is a protein involved in signal transduction processes. It has a mass of approximately 68 kDa. TAB1 is expressed in various human tissues with notable presence in immune cells such as macrophages and lymphocytes. Mechanically TAB1 acts as a regulatory molecule that binds to and activates TAK1 an important kinase involved in several signaling cascades. This interaction facilitates the phosphorylation events necessary for downstream signal propagation.
Biological function summary

TAB1 functions as a scaffold protein assisting in the assembly of signaling complexes. This protein is part of the TAK1 complex which also includes TAB2 and TAB3. The formation of this complex is essential for activating multiple intracellular signaling pathways. Through its role in the TAK1 complex TAB1 contributes to cellular responses to environmental cues including inflammation apoptosis and immune responses. Its activity influences transcription factor activation and is pivotal in orchestrating cellular adaptation to changes.

Pathways

TAB1 is essential in both the NF-kB and MAPK signaling pathways. Maintaining proper function in these pathways is important for inflammatory responses and stress-related signal transduction. TAB1 helps bridge the activation of TAK1 to the downstream signaling required for NF-kB pathway activation. Additionally in the MAPK pathway TAB1 influences the activation of proteins such as MKKs which further regulate cellular stress responses and developmental processes.

TAB1 plays a role in inflammatory diseases and cancer. Dysregulation of TAB1 activity can result in chronic inflammation contributing to conditions like rheumatoid arthritis. In cancer altered TAB1 expression or function can lead to unchecked cell growth and survival. TAB1 connects to other proteins such as TAK1 in these diseases as it modulates signaling pathways that determine cellular fate. Understanding TAB1's involvement in these disorders opens potential therapeutic avenues targeting its interactions and function.

Product protocols

For this product, it's our understanding that no specific protocols are required. You can visit:

Target data

Key adapter protein that plays an essential role in JNK and NF-kappa-B activation and proinflammatory cytokines production in response to stimulation with TLRs and cytokines (PubMed : 22307082, PubMed : 24403530). Mechanistically, associates with the catalytic domain of MAP3K7/TAK1 to trigger MAP3K7/TAK1 autophosphorylation leading to its full activation (PubMed : 10838074, PubMed : 25260751, PubMed : 37832545). Similarly, associates with MAPK14 and triggers its autophosphorylation and subsequent activation (PubMed : 11847341, PubMed : 29229647). In turn, MAPK14 phosphorylates TAB1 and inhibits MAP3K7/TAK1 activation in a feedback control mechanism (PubMed : 14592977). Also plays a role in recruiting MAPK14 to the TAK1 complex for the phosphorylation of the TAB2 and TAB3 regulatory subunits (PubMed : 18021073).
See full target information TAB1

Publications (1)

Recent publications for all applications. Explore the full list and refine your search

International journal of nanomedicine 19:4103-4120 PubMed38736658

2024

Long-Term Accumulation, Biological Effects and Toxicity of BSA-Coated Gold Nanoparticles in the Mouse Liver, Spleen, and Kidneys.

Applications

Unspecified application

Species

Unspecified reactive species

Kristina Jakic,Michal Selc,Filip Razga,Veronika Nemethova,Petra Mazancova,Filip Havel,Michal Sramek,Monika Zarska,Jan Proska,Vlasta Masanova,Iveta Uhnakova,Peter Makovicky,Marta Novotova,Vit Vykoukal,Andrea Babelova
View all publications

Product promise

We are committed to supporting your work with high-quality reagents, and we're here for you every step of the way. In the unlikely event that one of our products does not perform as expected, you're protected by our Product Promise.
For full details, please see our Terms & Conditions

Please note: All products are 'FOR RESEARCH USE ONLY. NOT FOR USE IN DIAGNOSTIC OR THERAPEUTIC PROCEDURES'.

For licensing inquiries, please contact partnerships@abcam.com